Zum Inhalt

“Hole sign” of the gallbladder

  • 16.12.2016
  • IMAGE
Erschienen in:

Auszug

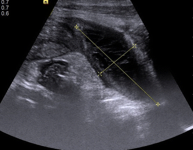
The “hole sign” of gallbladder represents direct visualization of a perforation in the gallbladder [1]. Gallbladder perforation, a rare and dangerous complication of acute cholecystitis, occurs most commonly in the fundus, owing to poor blood supply. Gallbladder perforation may develop as early as 2 days as late as several weeks after the onset of the symptoms. Gallbladder perforation may occur in calculous as well as acalculous gallbladders. Identification by imaging is essential because of the high morbidity and mortality. Demonstration of flow between the lumen of the gallbladder and pericholecystic abscess across gallbladder wall defect on color Doppler and identification of calculi within the perihepatic collection are the two other signs described with gallbladder perforation [1]. Ultrasonography of this patient with acalculous cholecystitis showed the “hole sign” in the superior wall of the sludge filled gallbladder with a pericholecystic collection along the medial aspect of the gallbladder (Figs. 1 and 2). Ultrasonic signs, especially the “hole sign” helps in unequivocally establishing the diagnosis of gallbladder perforation [2]. This patient underwent emergency cholecystectomy and responded well to treatment.
Fig. 1
Shows a defect in the superior wall of the sludge filled gallbladder (the “hole sign”)
Bild vergrößern
Fig. 2
Shows the walled off pericholecystic collection with internal septations
Bild vergrößern
Titel
“Hole sign” of the gallbladder
Verfasst von
Venkatraman Indiran
Naveen Prabakaran
Kanakaraj Kannan
Publikationsdatum
16.12.2016
Verlag
Springer India
Erschienen in
Indian Journal of Gastroenterology / Ausgabe 1/2017
Print ISSN: 0254-8860
Elektronische ISSN: 0975-0711
DOI
https://doi.org/10.1007/s12664-016-0723-3
Dieser Inhalt ist nur sichtbar, wenn du eingeloggt bist und die entsprechende Berechtigung hast.

Kompaktes Leitlinien-Wissen Innere Medizin (Link öffnet in neuem Fenster)

Mit medbee Pocketcards schnell und sicher entscheiden.
Leitlinien-Wissen kostenlos und immer griffbereit auf ihrem Desktop, Handy oder Tablet.

Neu im Fachgebiet Innere Medizin

Tirzepatid reduziert kardiovaskuläre Ereignisse bei Diabetes

Der duale GLP-1/GIP-Rezeptoragonist Tirzepatid empfiehlt sich mit Ergebnissen einer großen Studie als weitere Option zur Reduktion kardiovaskulärer Ereignisse bei Patienten mit Typ-2-Diabetes und manifester Gefäßerkrankung.

Kombination von SGLT2-Inhibitor mit Statin ist sicher

Die Rhabdomyolyse ist eine gefürchtete, aber sehr seltene Nebenwirkung von Statinen. Medikamenteninteraktionen können das Risiko erhöhen. Mit SGLT2-Inhibitoren scheint dies nicht der Fall zu sein – die Ko-Therapie könnte das Risiko sogar senken.

CAR-T-Zell-Infusion bei B-Zell-Lymphom möglichst am Vormittag?

Bei Menschen mit rezidivierendem großzelligem B-Zell-Lymphom ist das zirkadiane Timing einer CAR-T-Zell-Infusion möglicherweise entscheidend. In einer US-Studie wurde 22 Monate nachbeobachtet, wie sich die Tageszeit der Therapiegabe auf das progressionsfreie Überleben auswirkte.

Mortalität sinkt selbst bei leichter körperlicher Aktivität

Auch wenn körperliche Bewegung nur in Aktivitäten wie gemütlichem Spazierengehen oder Hausarbeit besteht, ist sie bei Menschen mit metabolischem Syndrom, die zudem chronisch niereninsuffizient und/oder kardiovaskulär erkrankt sind, mit einem reduzierten Sterberisiko verbunden.

Update Innere Medizin

Bestellen Sie unseren Fach-Newsletter und bleiben Sie gut informiert.

Bildnachweise
Die Leitlinien für Ärztinnen und Ärzte, Diffus großzelliges B-Zell-Lymphom/© David A Litman / stock.adobe.com, Frau geht Spazieren/© HODEI / stock.adobe.com (Symbolbild mit Fotomodell)