Zum Inhalt

Hypercalcemia revealing diffuse granulomatous myositis

  • 10.04.2017
  • Image of the Month
Erschienen in:

Auszug

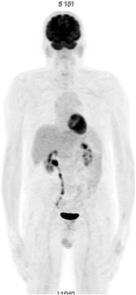
A 55-year-old man presented with a polydipsic syndrome and showed severe hypercalcemia. Medical history, laboratory tests and CT scan ruled out any malignant or iatrogenic cause. Granulomatosis was considered likely. There was no mediastinal lymphadenopathy and histology of the minor salivary glands was normal. A PET/CT scan showed strong 18F-FDG uptake in all skeletal muscles, suggesting myositis (Fig. 1). The CPK rate was normal. MRI of the legs showed a STIR-weighted hypersignal and a T1-weighted hypersignal of every muscle (Fig. 2). Muscle biopsy revealed an intramuscular non-necrotizing giant cell granuloma. Diffuse sarcoidosis myopathy was considered likely because of the absence of other granulomatous conditions. The evolution was rapidly favourable after glucocorticoid treatment. The patient completely recovered and a PET/CT scan showed a complete metabolic response (Fig. 3) at 3 months.
Bild vergrößern
Bild vergrößern
Bild vergrößern
Titel
Hypercalcemia revealing diffuse granulomatous myositis
Verfasst von
Weniko Caré
Estelle Blanc
Jean-Marie Cournac
Caroline Doutrelon
Marc Aletti
Stéphane Lecoules
Publikationsdatum
10.04.2017
Verlag
Springer Berlin Heidelberg
Erschienen in
European Journal of Nuclear Medicine and Molecular Imaging / Ausgabe 8/2017
Print ISSN: 1619-7070
Elektronische ISSN: 1619-7089
DOI
https://doi.org/10.1007/s00259-017-3693-5
Dieser Inhalt ist nur sichtbar, wenn du eingeloggt bist und die entsprechende Berechtigung hast.