Zum Inhalt
Die Gynäkologie

Die Frühschwangerschaft

Erschienen in:

Zusammenfassung

Neben Ultraschall und Pränataldiagnostik gibt es viele relevante Themen bei der Betreuung von Schwangeren. Oft werden bereits bei 5–6 SSW (Schwangerschaftswochen) körperliche Veränderungen bemerkt. Insbesondere eine Hyperemesis gravidarum und Fatigue können zu einer erheblichen Einschränkung der Lebensqualität führen. Zur medikamentösen Therapie der Hyperemesis gravidarum ist Doxylamin-Pyridoxin zugelassen. Falls das Medikament nicht ausreicht, zeigt u. a. Ondansetron eine sehr gute Wirksamkeit, sollte jedoch im ersten Trimenon nicht gegeben werden. Eine Fatigue in der Schwangerschaft ist oft durch ein Schlafapnoesyndrom bedingt. Als weitere Ursachen kommen u. a. das Restless-Legs-Syndrom und vermehrte Exposition von künstlichem Licht in den Abendstunden in Frage. Sport in der Schwangerschaft hat viele positive Auswirkungen und sollte einen festen Bestandteil in der Beratung von Schwangeren einnehmen. Blutungen in der Frühschwangerschaft sind mit einer Prävalenz um die 15 % häufig, führen jedoch in den meisten Fällen nicht zu einem Abort. Beim Abortus imminens sollte ein exspektatives Management erfolgen. Bettruhe bringt keinen Benefit und sollte daher nicht empfohlen werden. Eine seltene, jedoch schwerwiegende Komplikation in der Schwangerschaft ist die hintere Uterussakkulation des retrovertierten/retroflektierten Uterus. Es besteht das Risiko einer Uterusruptur sowie von Wachstumsrestriktion und Frühgeburt im weiteren Schwangerschaftsverlauf. Ein Aufrichten des Uterus vor 20 SSW ist essenziell. Verbleibt der Uterus in der retrovertiertem/retroflektierten Position, sollte eine Sectio caesarea bei 36 SSW am möglichst wehenfreien Uterus geplant werden, und die Uterotomie sollte aufgrund der verschobenen Anatomie möglichst weit kranial erfolgen.

Wissenschaftliche Leitung

Maggie Banys-Paluchowski, Lübeck
Thomas Dimpfl, Kassel
Katharina Hancke, Ulm
Christian Haslinger, Zürich
Markus Hübner, Freiburg
Wolfgang Janni, Ulm
Nicolai Maass, Kiel
Nicole Ochsenbein-Kölble, Zürich
Olaf Ortmann, Regensburg
Barbara Sonntag, Hamburg
Klaus Vetter, Berlin
QR-Code scannen & Beitrag online lesen

Hinweis des Verlags

Der Verlag bleibt in Hinblick auf geografische Zuordnungen und Gebietsbezeichnungen in veröffentlichten Karten und Institutsadressen neutral.

Lernziele

Nach Lektüre dieses Beitrags …
  • kennen Sie die aktuellen Behandlungsempfehlungen bei Hyperemesis gravidarum.
  • erkennen Sie eine hintere Uterussakkulation und wissen, wie sie zu behandeln ist.
  • können Sie Patientinnen bezüglich Schlafproblemen und Sport in der Schwangerschaft beraten.
  • kennen Sie die Empfehlungen zum Management eines Abortus imminens.

Hinführung zum Thema

Während der Schwangerschaft kommt es zu zahlreichen physiologischen Veränderungen, die teilweise mit körperlicher Belastung und typischen Schwangerschaftsbeschwerden einhergehen. Darüber hinaus steigt das Risiko für bestimmte Syndrome wie das Schlafapnoesyndrom oder eine Hyperemesis gravidarum. Eine frühzeitige Beratung – beispielsweise zu Themen wie körperliche Aktivität, Schlaf und Lebensstil – ist daher sinnvoll und kann präventiv wirken.
Im Folgenden werden ausgewählte Themen, die in der Frühschwangerschaft und teilweise auch im weiteren Schwangerschaftsverlauf relevant sind, näher betrachtet. Hierzu gehören die aktuellen Therapieempfehlungen bei Hyperemesis gravidarum, Schlafstörungen und Sport in der Schwangerschaft. Zudem gehen wir auf Abortus-imminens-Blutungen ein, die einen häufigen Konsultationsgrund in der Frühschwangerschaft darstellen. Abschließend betrachten wir einen Fallbericht zur seltenen Komplikation der posterioren Uterussakkulation.

Beratung in der Schwangerschaft

Sport

Grundsätzlich hat Sport in der Schwangerschaft viele positive Effekte. Hierzu gehören eine geringere Gewichtszunahme, ein geringeres Risiko für die Entwicklung eines Gestationsdiabetes oder einer Hypertonie, Prävention einer Harninkontinenz und weniger Rücken- und muskuloskelettale Beschwerden [1, 2]. Trotz der positiven Effekte kommen Sport und Bewegung im Alltag oft zu kurz, und weniger als 15 % der Schwangeren erreichen die empfohlenen 150 min moderaten Sport pro Woche. Eine Untersuchung aus den USA mit knapp 360 Schwangeren hat gezeigt, dass sich im Durchschnitt 12 min/Tag moderat und 0,3 min/Tag mit erhöhter Intensität bewegt wurde. Die Frauen haben mehr als die Hälfte des Tages sitzend verbracht [3]. Die Zahlen zeigen, dass die Schwangeren zum Sport ermutigt und auf die positiven Effekte hingewiesen werden sollten. Besonders geeignete Sportarten in der Schwangerschaft sind Schwimmen, Walking und Radfahren. Eine Studie von 2024 konnte zudem zeigen, dass 90 min Yoga pro Woche zu einer signifikanten Reduktion der Kaiserschnittrate und zu weniger subjektiv empfundenen Schmerzen während der Geburt geführt haben [4]. Die vorhandenen Daten bezüglich Schwimmens in der Schwangerschaft zeigen keine erhöhte Infektions- und Frühgeburtenrate [5, 6].
Gemäß AWMF(Arbeitsgemeinschaft der Wissenschaftlichen Medizinischen Fachgesellschaften)-Leitlinie „Adipositas und Schwangerschaft“ sollten Sportarten mit erhöhter Fallneigung und Bauchkontakt sowie die Belastung in > 2000 m Höhe vermieden werden. Zudem ist Sport in der Schwangerschaft bei Blutungen im zweiten/dritten Trimester, Placenta praevia nach 26 SSW, Zervixinsuffizienz, Präeklampsie, deutlicher Anämie und schwerwiegenden kardialen Vorerkrankungen nicht empfohlen [7].
Merke
Sport in der Schwangerschaft hat viele positive Effekte. Insbesondere Schwimmen, Walking, Radfahren und Yoga sind geeignet.

Schlafstörungen

Von Fatigue wird sehr häufig in der Schwangerschaft berichtet. Knapp die Hälfte der Frauen geben eine schlechtere Schlafqualität an, die sich mit fortschreitender Schwangerschaft weiter verschlechtert. Die Ursachen für Schlafstörungen in der Schwangerschaft sind vielfältig. Im ersten Trimester konnten schlafmedizinische Untersuchungen grundsätzlich einen eher guten Schlaf mit mehr Tiefschlafphasen abbilden, was am ehesten progesteron- und melatonininduziert ist. Im Verlauf der Schwangerschaft nimmt die objektivierte Schlafdauer ab. Im dritten Trimenon zeigt sich zudem ein reduzierter REM („rapid eye movement“)-Anteil [8].
Merke
Im ersten Trimester kommt es zu mehr Tiefschlafphasen, was am ehesten progesteron- und melatonininduziert ist.

Obstruktive Schlafapnoe

Insbesondere Adipositas und Lebensalter sind Hauptrisikofaktoren für obstruktive Schlafapnoe in der Schwangerschaft. Bei adipösen Schwangeren mit BMI (Body-Mass-Index) ≥ 30 kg/m2 zeigte sich eine erhöhte Prävalenz von 10 % im ersten Trimenon, die im Verlauf der Schwangerschaft oft zunimmt [9]. Ursächlich sind die physiologische Gewichtszunahme, die verminderte Zwerchfellmotilität und eine östrogenbedingte Proliferation der Nasenschleimhaut, die zu einer Verengung des weichen Pharynx führt. Die damit einhergehende intermittierende Hypoxie führt zu einer Aktivierungsreaktion und erhöhtem Sympathikotonus, wodurch die Schlafqualität deutlich abnimmt. Die obstruktive Schlafapnoe in der Schwangerschaft ist mit einem erhöhten Risiko für arterielle Hypertonie, Präeklampsie und Gestationsdiabetes vergesellschaftet [10]. Aufgrund der weitreichenden Konsequenzen in der Schwangerschaft sollte insbesondere bei adipösen Schwangeren ein Augenmerk auf Schlafstörungen gerichtet und im Zweifelsfall eine schlafmedizinische Abklärung eingeleitet werden.
Merke
Insbesondere adipöse Schwangere haben ein hohes Risiko für obstruktive Schlafapnoe, was mit einem erhöhten Risiko für arterielle Hypertonie, Präeklampsie und Gestationsdiabetes vergesellschaftet ist.

Restless-Legs-Syndrom

Die Häufigkeit des Restless-Legs-Syndrom steigt in der Schwangerschaft deutlich an. Die Prävalenz wird um die 25 % angegeben [11]. Die Patientinnen berichten von Kribbeln, Schmerzen, Kälte- oder Hitzegefühl und Bewegungsdrang der unteren Extremitäten, besonders am Abend oder nachts. Die meist unwillkürlichen nächtlichen Extremitätenbewegungen können zu Puls- und Blutdruckanstieg führen, was eine kardiovaskuläre Belastung in der Ruhephase bedeutet [12]. Pathophysiologisch spielt der erhöhte Eisenbedarf in der Schwangerschaft eine wesentliche Rolle. Eisen ist Ko-Faktor in der Transformation von Tyrosin zu Dopamin. Durch den Dopaminmangel fehlt ein hemmender Mechanismus im Rückenmark, der den Bewegungsdrang erklärt [13].
Wenn die Patientin Symptome des Restless-Legs-Syndroms beschreibt, sollte eine Kontrolle des Ferritins und eine Substitution bei Werten < 75 µg/l erfolgen. Bei Ferritinwerten < 30 µg/l sollte eine Eiseninfusion erwogen werden.
Cave
Durch den erhöhten Eisenbedarf in der Schwangerschaft, kommt es gehäuft zum Restless-Legs-Syndrom.

Melatonin

Das Hormon Melatonin steuert wesentlich den Schlaf-Wach-Rhythmus und wird fast ausschließlich nachts produziert. Über die Plazenta gelangt das Melatonin zum Fetus und beeinflusst als wichtiges Signal den Tag-Nacht-Rhythmus. Im ersten Trimester kommt es zu einem Anstieg des Melatonins, das im zweiten Trimester wieder leicht absinkt und im dritten Trimester erneut ansteigt. Neben der Funktion als „Schlafhormon“, handelt es sich um ein Antioxidans, das insbesondere dem erhöhten oxidativen Stress in der Plazenta entgegenwirkt. Es konnte ein Zusammenhang zwischen erniedrigten Melatoninspiegeln und Präeklampsie sowie Autismusspektrumstörungen und ADHS (Aufmerksamkeitsdefizit-Hyperaktivität-Syndrom) festgestellt werden [14, 15]. Die Melatoninspiegel können durch mehr Tageslichtexposition und weniger künstliches Licht am Abend positiv beeinflusst werden [16]. Um Schlafstörungen entgegenzuwirken, sollte zudem die Zeit an Handy, Fernseher oder sonstigen digitalen Devices reduziert und die Exposition insbesondere am Abend vermieden werden [17].
Merke
Bei Schlafstörungen sollte insbesondere am Abend künstliches Licht und das Handy/Fernsehen vermieden werden, um höhere Melatoninspiegel zu erzielen.

Abortus-imminens-Blutungen

Blutungen in der Frühschwangerschaft sind mit einer Prävalenz um die 15 % häufig, führen jedoch in den meisten Fällen nicht zu einem Abort. In einer prospektiven Studie mit 150 Patientinnen trat bei 14 Schwangeren (9 %) eine vaginale Blutung auf. Meist handelte es sich um eine sehr leichte Blutung um 4–5 SSW, die keinen Einfluss auf den weiteren Schwangerschaftsverlauf zeigte und nicht durch Geschlechtsverkehr (Kontaktblutung) verursacht wurde. Die umstrittene Hypothese, dass die Nidation eine Blutung verursachen kann, konnte in der Studie nicht gestützt werden [18].
Das Management der Abortus-imminens-Blutung ist exspektativ. Immobilisierung und Bettruhe sollten nicht empfohlen werden, sie bringen keinen Benefit [19].
Merke
Immobilisierung sollte bei Blutung in der Frühschwangerschaft nicht empfohlen werden, da es keinen Benefit bringt.
Die Frage, ob Progesteron bei Abortus imminens für das Schwangerschaftsoutcome vorteilhaft ist, wurde in 2 großen multizentrischen placebokontrollierten Studien in Großbritannien und den Niederlanden mit ca. 5000 Patientinnen untersucht. Hierbei zeigte sich, dass durch die Gabe von Progesteron eine höhere Rate an Lebendgeburten erzielt werden konnte, jedoch stark davon abhängig, wie viele Aborte die Patientinnen in der Vorgeschichte hatten. Ein deutlicher Benefit zeigte sich erst ab einer Anzahl von 3 oder mehr vorangegangen Aborten (Lebendgeburtenrate 72 % mit Progesteron vs. 57 % mit Placebo). Es wurden 400 mg mikronisiertes Progesteron vaginal morgens und abends verabreicht [20]. Die Gabe ist international umstritten. Gemäß den NICE(National Institute for Health and Care Excellence)-Guidelines wird eine Progesterongabe Patientinnen angeboten, die ein oder mehr Aborte in der Vorgeschichte haben und in der aktuellen Frühschwangerschaft bluten. Es wird nicht empfohlen für Patientinnen, die bisher keinen Abort hatten oder im Status nach Abort sind, aber in der aktuellen Schwangerschaft nicht bluten [21].
Cave
Progesteron kann angeboten werden, wenn die Schwangere im Status nach mehreren Aborten ist und in der aktuellen Frühschwangerschaft blutet.

Hyperemesis gravidarum

Übelkeit und Erbrechen kommen sehr oft in der Frühschwangerschaft vor und werden im Mittel mit einer Inzidenz um 70 % angegeben. Währenddessen ist die Hyperemesis gravidarum deutlich seltener mit einer Inzidenz von 0,3–2 % [22].
Typischerweise beginnen die Symptome um 5–6 SSW mit einem Peak um 9 SSW. Normalerweise sistieren die Beschwerden mit 16–20 SSW. Bei bis zu 80 % der Schwangeren mit Emesis gravidarum besteht die Übelkeit über den ganzen Tag, auch wenn oft nur von „Morgenübelkeit“ gesprochen wird.

Ätiologie

Die genaue Ätiologie ist noch nicht abschließend geklärt. Es handelt sich am ehesten um ein multifaktorielles Geschehen u. a. durch hormonelle Faktoren (HCG[humanes Choriongonadotropin]-Anstieg, Estradiol-Anstieg), mechanische Faktoren (Reflux, Blähungen) und psychische Neigung. Auch eine große Plazentamasse ist ein Risikofaktor (Mehrlinge, Blasenmole). Interessanterweise berichten viele Studien von mehr Schwangerschaften mit weiblichen Feten, die an Hyperemesis gravidarum leiden. Beim Konsum von Alkohol und Nikotin in der Schwangerschaft zeigt sich hingegen eine geringere Inzidenz der Hyperemesis gravidarum. [23, 24].
Anhand von familiären Häufungen und Zwillingsstudien wird zudem von einer genetischen Komponente der Hyperemesis gravidarum ausgegangen. Insbesondere das Gen GDF15 ist hierbei in den Fokus gerückt. Es handelt sich um ein Gen, das u. a. vom Plazentatrophoblasten exprimiert wird und dessen Protein Appetit und Körpergewicht über eine Region im Hypothalamus in der Area postrema reguliert. Es konnte gezeigt werden, dass hohe Niveaus des Proteins vom Gen GDF15 im Blutplasma der Mutter mit einer hohen Inzidenz von Hyperemesis gravidarum einhergehen. Wenn eine Schwangere hingegen bereits vor der Schwangerschaft hohe Niveaus von GDF15 im Plasma hatte, wie es bei Thalassämie oder Zigarettenkonsum der Fall ist, scheint ein Gewöhnungseffekt aufzutreten und die Hyperemesis gravidarum kommt deutlich seltener vor [25, 26].
Merke
Das Gen GDF15 hat einen Einfluss auf die Hyperemesis gravidarum.

Epidemiologie

Von der Emesis gravidarum, die in ihrer milden Form so oft vorkommt, dass sie von einigen Autoren schon als normales Symptom der Frühschwangerschaft angesehen wird, ist die Hyperemesis gravidarum klar abzugrenzen. Die Kriterien für eine Hyperemesis gravidarum sind nicht einheitlich definiert. Am häufigsten werden anhaltendes Erbrechen, Gewichtsverlust > 5 % im Vergleich zum Gewicht vor der Schwangerschaft, akute Dehydrierung und Hungern (Ketonurie) genannt [27]. Die Hyperemesis gravidarum wird mit einer Inzidenz um 0,3–3 % angegeben [28].
Merke
Zu den Kriterien der Hyperemesis gravidarum gehören anhaltendes Erbrechen, Gewichtsverlust > 5 %, akute Dehydrierung und Hungern.

Diagnostik

Nausea und Emesis sollten in der Sprechstunde thematisiert werden. Um den Schweregrad der Übelkeit und des Erbrechens einzuschätzen, können auch Scores zur Hilfe genommen werden, z. B. PUQE-Score (Pregnancy-Unique Quantification of Emesis and Nausea). Bei der Hyperemesis gravidarum handelt es sich um eine Ausschlussdiagnose. Es sollten daher weitere Abklärungen erfolgen. Zur Einschätzung des Schweregrades und zum Ausschluss anderer Ursachen gehören:
  • Vitalparameter und Gewicht,
  • Labor mit Blutbild, Elektrolyte, Leber- und Nierenwerte, Schilddrüsenwerte, Vitamin B1,
  • Urinstatus (Ketonurie) und
  • Sonographie zum Ausschluss einer Blasenmole, Mehrlingsschwangerschaft.
Merke
Die Hyperemesis gravidarum ist eine Ausschlussdiagnose.

Therapie

Konservative Ansätze

  • Vermeiden eines leeren oder zu vollen Magens
  • Langsames Essen mit kleinen Portionen
  • Flüssigkeitsaufnahme während des Essens vermeiden
  • Kleine Snacks, bevor das Hungergefühl einsetzt, die eventuell schon morgens vor dem Aufstehen gegessen werden können
  • Kombination aus protein- mit kohlenhydratreicher Nahrung, trockene Nahrung (z. B. Knäckebrot, Brezel, Kräcker, Toast)
  • Nach dem Essen den Mund mit Wasser ausspülen, Zähne putzen oder ein Pfefferminzbonbon [29, 30]
Merke
Protein- und kohlenhydratreiche Nahrung sowie die Vermeidung eines zu leeren oder zu vollen Magens können gegen die Beschwerden helfen.

Akupunktur und Akupressur

Die Wirksamkeit von Akupunktur und Akupressur am Punkt P6/Neiguan (3 Finger breit proximal der Handgelenksbeugefalte auf der Innenseite, zwischen den beiden Sehnen) zur Reduktion von Übelkeit und Erbrechen ist nicht erwiesen. Das Vorgehen ist jedoch nicht schädlich, und einige Patientinnen können profitieren. Ein Versuch mit einem Akupressurband oder Akupunktur kann daher evaluiert werden.

Medikamentöse Therapie

Zur erfolgreichen Therapie wird oft eine Kombination von Antiemetika benötigt.
Ingwer.
Die Einnahme von Ingwer (Rhizoma zingiberis) konnte in placebokontrollierten Studien einen positiven Effekt auf die Übelkeit, nicht jedoch auf das Erbrechen zeigen [31]. Da Ingwer einen Effekt auf die Thromboxan B(2)- und PG E([Prostaglandin]2)-Spiegel haben kann, sollte es bei antikoagulierten Patientinnen vermieden werden [32].
Pyridoxin (Vitamin B6).
In systematischen Reviews konnte gezeigt werden, dass Pyridoxin (Vitamin B6) als Monotherapie leichte bis moderate Übelkeit verringern konnte, jedoch keine signifikante Wirkung bei Erbrechen gezeigt hat. Es kann gut als Einstiegsmedikament verwendet werden. Die Anwendung in der Schwangerschaft ist als sicher einzuschätzen [33, 34].
Merke
Pyridoxin (Vitamin B6) und Ingwer können als Einstiegsmedikamente verwendet werden. Sie haben einen Effekt auf die Übelkeit, jedoch nicht auf das Erbrechen.

Antihistaminika

Doxylamin-Pyridoxin.
Die Kombination des Antihistaminikums Doxylamin mit Pyridoxin (Vitamin B6) zeigt eine gute Wirksamkeit bei Übelkeit und Erbrechen in der Schwangerschaft und ist sowohl im deutschsprachigen Raum als auch in den USA und Kanada in der Schwangerschaft zugelassen. Wirksamkeit und Sicherheit für die Mutter und das ungeborene Kind konnte in großen epidemiologischen Studien nachgewiesen werden [35]. Aufgrund der schlaffördernden Wirkung des Doxylamins sollte das Medikament möglichst am Abend eingenommen werden.
Merke
Die Kombination von Doxylamin mit Pyridoxin (Vitamin B6) ist zur Therapie der Hyperemesis gravidarum zugelassen und zeigt eine gute Wirksamkeit.
Meclozin.
Das Antihistaminikum Meclozin stellt ebenfalls eine wirksame und sichere Behandlungsalternative dar. Es ist in Deutschland nur in der Auslandsapotheke erhältlich. In der Schweiz ist ein Meclozin-Präparat in Kombination mit Pyridoxin und Koffein erhältlich. Die Patientinnen sollten darauf hingewiesen werden, den sonstigen Koffeinkonsum während der Anwendung einzustellen, um die sichere Maximaldosis von 200 mg Koffein/Tag nicht zu überschreiten (gemäß deutscher Gesellschaft für Ernährung; [36]).
Dimenhydrinat.
Zu Dimenhydrinat liegen nur kleinere Studien zur Wirksamkeit in der Schwangerschaft vor. Es kann als Zweitlinienmedikament eingesetzt werden. Bisherige Studien haben keine erhöhte Fehlbildungsrate festgestellt [37].

Dopaminantagonisten

Metoclopramid.
Die Anwendung von Metoclopramid (MCP) gilt als sicher in der Schwangerschaft. Die meisten Daten stammen aus dänischen Registerstudien mit 28.000 exponierten Schwangeren im ersten Trimenon. Es zeigte sich keine erhöhte Fehlbildungs- oder Abortrate. Aufgrund des neurologischen Nebenwirkungsprofils, das mit zunehmender Dosierung und Länge der Einnahme steigt, sollte das Medikament nur kurzfristig für einige Tage eingesetzt werden [38].
Cave
MCP sollte aufgrund des neurologischen Nebenwirkungsprofils nur kurzfristig eingesetzt werden.

Serotoninantagonisten

Ondansetron.
Ondansetron ist ein sehr potentes Medikament in der Behandlung von Übelkeit und Erbrechen in der Schwangerschaft und zeigte sich in einer Doppelblindstudie sogar als effektiver im Vergleich zu MCP [39]. Lange Zeit galt das Medikament bezüglich Teratogenität in der Schwangerschaft als sicher. Neuere Studien haben einen leichten, jedoch signifikanten Anstieg von Gaumenspalten bei der Anwendung im ersten Trimenon festgestellt (drei zusätzliche Fälle pro 10.000 behandelte Frauen). Ob Ondansetron das Risiko für Ventrikelseptumdefekte erhöht, ist in der Literatur widersprüchlich. Die Resultate dieser Kohortenstudien mit mehr als 88.000 Schwangeren hat 2019 zu einer Warnung durch die EMA (European Medicines Agency) und 2020 durch die Swissmedic bei der Anwendung in der Schwangerschaft geführt [40, 41]. 2022 wurde eine Metaanalyse durchgeführt, die letztlich weder für Septumdefekte noch für Gaumenspalten ein erhöhtes Risiko feststellen konnte [42].
Cave
Ondansetron soll nicht im ersten Trimenon angewendet werden.

Komplikationen bei Hyperemesis gravidarum

In einem Review von 2021 wurden als häufigste schwerwiegende Komplikationen ein Thiaminmangel, ein Vitamin-K-Mangel oder eine Elektrolytverschiebung festgestellt [43]. Ein Mangel an Thiamin (Vitamin B1) kann zu einer Wernicke-Enzephalopathie führen – eine seltene, jedoch schwerwiegende Komplikation. Bei der stationären Behandlung der Hyperemesis gravidarum sollten 100–200 mg Thiamin/Tag der Infusion beigemengt werden. Wichtig ist die Substitution des Thiamins vor einer möglichen Glukoseinfusion, da sich sonst die Symptome der Wernicke-Enzephalopathie noch verschlechtern können [44].
Merke
Die häufigsten schwerwiegenden Komplikationen sind ein Thiaminmangel, ein Vitamin-K-Mangel oder eine Elektrolytverschiebung.
Hinsichtlich fetaler Komplikationen ergab ein systematisches Review von 2023 eine erhöhte Rate an Präeklampsie, SGA („small for gestational age“) und IUGR („intrauterine growth restriction“) ([45]; Tab. 1).
Tab. 1
Übersicht der medikamentösen Therapien bei Hyperemesis gravidarum
Medikament/Substanz
Wirkstoff
Wirkung
Sicherheit und Anwendung in der Schwangerschaft
Besondere Hinweise
Ingwer
Rhizoma zingiberis
Übelkeit (leichte Fälle), kein Effekt auf Erbrechen
Sicher, aber bei antikoagulierten Patientinnen zu vermeiden
Wirkung auf Thromboxan B2 und Prostaglandin E2, Blutungsrisiko bei Antikoagulation
Pyridoxin
Vitamin B6
Leichte bis moderate Übelkeit
Sicher
Kombination mit Ingwer als Einstiegstherapie geeignet
Doxylamin-Pyridoxin
Antihistaminikum + Vitamin B6
Antiemetisch
Offiziell zugelassen in Deutschland, Schweiz, Österreich
Schlaffördernd, Einnahme abends empfohlen
Meclozin
Antihistaminikum
Antiemetisch
Sicher, in der Schweiz mit Pyridoxin + Koffein erhältlich, in Deutschland nur in Auslandsapotheke
Koffeinkonsum während der Einnahme reduzieren (max. 200 mg Koffein/Tag)
Dimenhydrinat
Antihistaminikum, Zweitlinienmedikament
Antiemetisch
Sicher in Schwangerschaft, keine erhöhte Fehlbildungsrate festgestellt
Kurzfristige Anwendung
Metoclopramid
Dopaminantagonist
Antiemetisch, motilitätsfördernd
Sicher in Schwangerschaft, keine erhöhte Fehlbildungsrate
Nur kurzfristige Anwendung (wegen neurologischer Nebenwirkungen)
Ondansetron
Serotonin-5-HT3-Antagonist
Sehr potent, stark antiemetisch
Früher als sicher angesehen, aktuell kontroverse Daten bzgl.Gaumenspalten im 1. Trimenon, Anwendung mit Vorsicht
EMA- und Swissmedic-Warnung, 2022 Metaanalyse ohne signifikantes Risiko, nicht im 1. Trimenon empfohlen
EMA European Medicines Agency
Fallbeispiel
Notfallmäßige Vorstellung einer 32-jährigen 3 Gravida 1 Para bei 14 + 6 SSW mit Unterbauchschmerzen und Harnverhalt seit einigen Stunden. Die Patientin gibt an, dass die Miktion in letzter Zeit zunehmend erschwert und nur noch unter Pressen möglich war.
Anamnestisch Status nach Spontangeburt 3 Jahre zuvor mit problemloser Schwangerschaft und einem Spontanabort vor einem Jahr. Keine bekannten Vorerkrankungen oder Voroperationen.
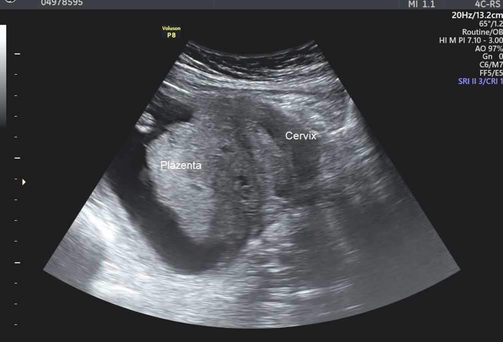
Befund (Abb. 1):
  • druckdolenter Unterbauch,
  • Entleeren von 1200 ml Urin per Einmalkatheter,
  • Spekulum: Zervix schwer auffindbar, schließlich hinter der Symphyse darstellbar,
  • transabdominelle Sonographie: intakte Einlingsgravidität entsprechend dem Gestationsalter.
Abb. 1
Sonographischer Befund einer Schwangerschaft bei hinterer Uterussakkulation
Bild vergrößern

„Auflösung“: hintere Sakkulation bei retrovertiert/retroflektiertem Uterus

Weiteres Vorgehen

Frustraner Versuch der Uterusaufrichtung mit der Transvaginalsonde des Ultraschalls auf dem gynäkologischen Stuhl und gleichzeitiger abdominaler Reposition.
Lagerung der Patientin auf einem Querbett im Kreißsaal in Knie-Ellenbogen-Position mit erhöhtem Becken in Trendelenburg-Lagerung. Eingehen mit der Transvaginalsonde des Ultraschalls von vaginal in die hintere Fornix vaginae. Langsames Aufrichten des Fundus uteri mit der Vaginalsonde unter Zuhilfenahme der Schwerkraft und gleichzeitige manuelle Reposition des Fundus uteri von abdominal. Nach ca. 10 min ist der Uterus antevertiert und anteflektiert.
Prophylaktische Einlage eines Cerclage-Pessars.

Inzidenz und Pathophysiologie

Die Inzidenz der hinteren Uterussakkulation beträgt 1:3000–1:10.000.
In der Literatur gibt es 2 Reviews mit 162 und 80 Fällen, allerdings gibt es bisher keine klaren Richtlinien zum Management [46, 47]. Bei retrovertiertem und retroflektiertem gravidem Uterus kommt es normalerweise zu einem Aufrichten des Fundus uteri in eine anteriore Position mit fortschreitender Schwangerschaft.
In seltenen Fällen bleibt der Fundus uteri in einer posterioren Position und wird im Verlauf am sakralen Promontorium eingeklemmt. Die Zervix verschiebt sich nach kranial in Richtung Symphyse und drückt gegen die Urethra, wodurch es zu erschwerter Miktion und Harnverhalt kommen kann. Nach 20 SSW wird das sakrale Becken zu klein für den größer werdenden Uterus, sodass sich die Uterusvorderwand mit größer werdender Schwangerschaft ausdünnt und sich nach kranial vorwölbt. Dieser Befund wird „inverted polarity genannt, da die Uterusvorderwand den Fundus uteri abbildet, während sich der eigentliche Fundus uteri in der Kreuzbeinhöhle befindet. Die Zervix kann hierbei bis zu 10 cm gedehnt werden. Das Os internum der Zervix kann sich zusammen mit der Harnblase nach abdominal Richtung Bauchnabel verlagern.
Merke
Die hintere Uterussakkulation ist eine sehr seltene Komplikation, zu der es keine verbindliche Behandlungsvorgabe gibt.

Symptome

Die meisten Patientinnen stellen sich um 14–16 SSW mit Schmerzen oder Miktionsbeschwerden vor. Die Schmerzen können intermittierend oder kontinuierlich vorhanden sein, teilweise wird auch nur ein Völlegefühl im Becken beschrieben. Seltener werden auch gastrointestinale Beschwerden als Symptom genannt. Es gibt allerdings auch asymptomatische Fälle [46, 47]. Risikofaktoren können jegliche anatomische Befunde sein, die den Uterus dabei behindern, sich aufzurichten: Myome, Adhäsionen, Endometriose, große Ovarialzysten. Eine hintere Uterussakkulation kommt allerdings auch ohne Risikofaktoren vor [46, 47].
Cave
In der Regel richtet sich der retrovertierte/retroflektierte Uterus bis 14 SSW in eine anteriore Position auf.

Diagnostik

Die nach kranial ventral verlagerte Zervix hinter die Symphyse ist der typische Befund bei hinterer Sakkulation. Oft kann die Zervix nicht mit dem Spekulum eingestellt werden. Der Befund kann im Ultraschall dargestellt werden. Nach 20 SSW kann u. U. eine Magnetresonanztomographie (MRT) zur Diagnosesicherung helfen [47].
Sonographisch kann eine Fundusplazenta teilweise als tiefliegende Plazenta falsch interpretiert werden, da der Fundus sich im kleinen Becken befindet. Zudem kann die Zervix als Corpus uteri missinterpretiert werden, sodass eventuell von einer ektopen Schwangerschaft ausgegangen wird.
Cave
Eine Fundusplazenta wird teilweise als tiefliegende Plazenta missinterpretiert.

Management

Vor 14 SSW

Bei einem retrovertierten Uterus vor 14 SSW und beschwerdefreier Patientin kann exspektativ vorgegangen werden. Eine Verlaufskontrolle sollte bis 16 SSW erfolgen, um zu kontrollieren, dass sich der Fundus nach kranial verlagert hat.

14–20 SSW

Vor 20 SSW bestehen gute Chancen, dass sich der Uterus in eine anteriore Position verlagern lässt (85 % vor 20 SSW vs. 30 % nach 20 SSW; [47]).
Passive Manöver.
Wenn die Patientin oligosymptomatisch ist, kann sie instruiert werden nach der Miktion über eine Woche 3×/Tag für 10 min in eine Knie-Ellenbogen-Position zu gehen. Sollte dies nicht erfolgreich sein respektive falls die Patientin Beschwerden hat, sollte ein manuelles Manöver gewählt werden.
Manuelle Manöver.
Falls die Patientin zu schmerzgeplagt ist, kann eine Analgosedierung oder eine Regionalanästhesie erfolgen. In der Literatur werden Fälle beschrieben, in denen die Patientin sich in Steinschnittlage befindet und der Untersucher mit den Fingern in der hinteren vaginalen Fornix den Fundus anhebt [47].
Es kann hilfreich sein, die Schwerkraft zu nutzen und die Patientin in Knie-Ellenbogen-Position mit erhöhtem Becken und Trendelenburg-Lagerung zu positionieren. Weil mit den Fingern oft der Fundus nicht erreicht werden kann, kann stattdessen die Vaginalsonde des Ultraschalls verwendet werden. Teilweise hilft es auch, die Vaginalsonde rektal einzuführen, um den Fundus uteri anzuheben. Hierbei sollte aufgrund des Verletzungsrisikos sehr behutsam vorgegangen werden.
Weiterführende Techniken.
Falls die manuellen Manöver nach einer Woche wiederholt frustran verlaufen, können weiterführende Techniken evaluiert werden. Zu den in der Literatur beschriebenen Techniken gehören das Aufrichten des Uterus mit einem Endoskop in einer Koloskopie. In einer Fallbeschreibung wurde vaginal ein Ballon mit 300 ml NaCl(Natrium-Chlorid)-Lösung aufgefüllt, um den Uterus anzuheben und anschließend von abdominal den Fundus uteri nach anterior zu verlagern.
Eine operative Aufrichtung des Uterus (laparoskopisch oder per Laparotomie) ist ebenfalls möglich [46, 47].
Nach der Umlagerung des Uterus.
In den meisten Fällen verbleibt der Uterus in der anterioren Position. Manche Autoren empfehlen die Einlage eines Pessars nach der erfolgreichen Aufrichtung des Uterus, hierzu gibt es allerdings keine klare Evidenz [47].

Nach 20 SSW

Bei Diagnosestellung nach 20 SSW sollte der Uterus in der Position belassen werden, da die erfolgreiche Aufrichtung des Uterus sehr unwahrscheinlich ist und das Risiko für Komplikationen groß ist.
Die Patientin sollte zur Selbstkatheterisierung instruiert werden. Gegebenenfalls sind Analgetika notwendig. Es handelt sich um eine Risikoschwangerschaft, die eng verlaufskontrolliert werden sollte. Das Risiko für Frühgeburt, Blasensprung, Oligohydramnion, IUGR und Uterusruptur ist erhöht [46, 47].

Geburtsmanagement

Eine vaginale Geburt ist kontraindiziert aufgrund der verlagerten Zervix und des erhöhten Risikos für eine Uterusruptur. Eine primäre Sectio sollte um 36 SSW am möglichst wehenfreien Uterus geplant werden. Die Uterotomie soll aufgrund der verschobenen Anatomie möglichst weit kranial erfolgen, damit die Zervix nicht eröffnet wird und eine Verletzung von Harnblase und Vagina vermieden werden [46, 47].
Merke
Bei hinterer Sakkulation sollte die primäre Sectio um 36 SSW geplant werden. Die Uterotomie soll aufgrund der verschobenen Anatomie möglichst weit kranial erfolgen.

Fazit für die Praxis

  • Beim retrovertierten/retroflektierten Uterus sollte sich der Fundus bis 14 SSW (Schwangerschaftswochen) in eine anteriore Position verlagert haben. Manuelle Manöver zur Aufrichtung sollten möglichst vor 20 SSW erfolgen. Die posteriore Sakkulation ist mit einem erhöhten Komplikationsrisiko für Frühgeburt, Blasensprung, Oligohydramnion, IUGR („intrauterine growth restriction“) sowie Uterusruptur vergesellschaftet. Es sollte eine primäre Sectio um 36 SSW mit kranialer Uterotomie erfolgen.
  • Doxylamin-Pyridoxin ist als Hyperemesis-Therapie zugelassen. Ondansetron steht im Verdacht, fetale Fehlbildungen zu verursachen.
  • Schlafprobleme in der Schwangerschaft sind häufig, insbesondere das obstruktive Schlafapnoe-Syndrom bei adipösen Schwangeren und das Restless-Legs-Syndrom. Zur Therapie des Restless-Legs-Syndroms sollte Ferritin im hochnormalen Bereich liegen (Ferritin > 75 ug/l).
  • Schwangere sollten zu Sport motiviert werden.
  • Bei Abortus imminens ist eine Immobilisierung der Patientin nicht zu empfehlen.

Einhaltung ethischer Richtlinien

Interessenkonflikt

Gemäß den Richtlinien des Springer Medizin Verlags werden Autoren und Wissenschaftliche Leitung im Rahmen der Manuskripterstellung und Manuskriptfreigabe aufgefordert, eine vollständige Erklärung zu ihren finanziellen und nichtfinanziellen Interessen abzugeben.

Autoren

C.L. Coelius: A. Finanzielle Interessen: C.L. Coelius gibt an, dass kein finanzieller Interessenkonflikt besteht. – B. Nichtfinanzielle Interessen: Oberärztin, Klinik für Geburtshilfe, Universitätsspital Zürich. T. Burkhardt: A. Finanzielle Interessen: Forschungsförderung zur persönlichen Verfügung: Grant der Family Larsson Rosenquist Foundation zur Durchführung einer klinischen Studie; Referentenhonorar und Reisekostenerstattung: Veranstaltung „Ultraschall an der Spree 2022“ in Berlin durch die Firma GE; Ultraschalltagung in Seggau, 10. und 11. November 2023; Erlassene Teilnehmergebühren aufgrund Referententätigkeit: Jahreskongress der Schweizer Gesellschaft für Gynäkologie und Geburtshilfe (2020, 2021, 2022, 2023, 2024); Ultraschall-Dreiländertreffen 2020, 2022, 2023. – B. Nichtfinanzielle Interessen: Leitender Arzt, Stv. Klinikdirektor der Klinik für Geburtshilfe, Universitätsspital Zürich | Präsident der Sektion Gynäkologie und Geburtshilfe der Schweizer Gesellschaft für Ultraschall in der Medizin | Mitgliedschaften: Schweizer Gesellschaft für Gynäkologie und Geburtshilfe, Deutsche Gesellschaft für Gynäkologie und Geburtshilfe, Deutsche Gesellschaft für Perinatale Medizin.

Wissenschaftliche Leitung

Die vollständige Erklärung zum Interessenkonflikt der Wissenschaftlichen Leitung finden Sie am Kurs der zertifizierten Fortbildung auf www.​springermedizin.​de/​cme.

Der Verlag

erklärt, dass für die Publikation dieser CME-Fortbildung keine Sponsorengelder an den Verlag fließen.
Für diesen Beitrag wurden von den Autor/-innen keine Studien an Menschen oder Tieren durchgeführt. Für die aufgeführten Studien gelten die jeweils dort angegebenen ethischen Richtlinien.
Open Access Dieser Artikel wird unter der Creative Commons Namensnennung 4.0 International Lizenz veröffentlicht, welche die Nutzung, Vervielfältigung, Bearbeitung, Verbreitung und Wiedergabe in jeglichem Medium und Format erlaubt, sofern Sie den/die ursprünglichen Autor(en) und die Quelle ordnungsgemäß nennen, einen Link zur Creative Commons Lizenz beifügen und angeben, ob Änderungen vorgenommen wurden. Die in diesem Artikel enthaltenen Bilder und sonstiges Drittmaterial unterliegen ebenfalls der genannten Creative Commons Lizenz, sofern sich aus der Abbildungslegende nichts anderes ergibt. Sofern das betreffende Material nicht unter der genannten Creative Commons Lizenz steht und die betreffende Handlung nicht nach gesetzlichen Vorschriften erlaubt ist, ist für die oben aufgeführten Weiterverwendungen des Materials die Einwilligung des jeweiligen Rechteinhabers einzuholen. Weitere Details zur Lizenz entnehmen Sie bitte der Lizenzinformation auf http://​creativecommons.​org/​licenses/​by/​4.​0/​deed.​de.

Hinweis des Verlags

Der Verlag bleibt in Hinblick auf geografische Zuordnungen und Gebietsbezeichnungen in veröffentlichten Karten und Institutsadressen neutral.
Zum CME-Kurs

Unsere Produktempfehlungen

Die Gynäkologie

Print-Titel

Praxisrelevante und fundierte Fortbildung
Das Fortbildungsorgan der DGGG
Vom Wissen angrenzender Fachgebiete profitieren
Mit spannenden Falldarstellungen lernen

e.Med Interdisziplinär

Kombi-Abonnement

Für Ihren Erfolg in Klinik und Praxis - Die beste Hilfe in Ihrem Arbeitsalltag

Mit e.Med Interdisziplinär erhalten Sie Zugang zu allen CME-Fortbildungen und Fachzeitschriften auf SpringerMedizin.de.

e.Med Gynäkologie

Kombi-Abonnement

Mit e.Med Gynäkologie erhalten Sie Zugang zu CME-Fortbildungen der beiden Fachgebiete, den Premium-Inhalten der Fachzeitschriften, inklusive einer gedruckten gynäkologischen oder urologischen Zeitschrift Ihrer Wahl.

download
DOWNLOAD
print
DRUCKEN
Titel
Die Frühschwangerschaft
Verfasst von
Dr. med. Christina Louisa Coelius
PD Dr. med. Tilo Burkhardt
Publikationsdatum
09.09.2025
Verlag
Springer Medizin
Erschienen in
Die Gynäkologie / Ausgabe 10/2025
Print ISSN: 2731-7102
Elektronische ISSN: 2731-7110
DOI
https://doi.org/10.1007/s00129-025-05413-3
1.
Zurück zum Zitat Danielli M et al (2022) Effects of supervised exercise on the development of hypertensive disorders of pregnancy: a systematic review and meta-analysis. J Clin Med. https://​doi.​org/​10.​3390/​jcm11030793CrossRefPubMedPubMedCentral
2.
Zurück zum Zitat Ribeiro MM, Andrade A, Nunes I (2022) Physical exercise in pregnancy: benefits, risks and prescription. J Perinat Med 50(1):4–17PubMedCrossRef
3.
Zurück zum Zitat Evenson KR, Wen F (2011) Prevalence and correlates of objectively measured physical activity and sedentary behavior among US pregnant women. Prev Med 53(1–2):39–43PubMedCrossRef
4.
Zurück zum Zitat Kuder L et al (2024) Benefits of yoga in pregnancy: a randomised controlled clinical trial. J Perinat Med. https://​doi.​org/​10.​1515/​jpm-2024-0422CrossRefPubMed
5.
Zurück zum Zitat Agopian AJ et al (2013) Swimming pool use and birth defect risk. Am J Obstet Gynecol 209(3):219 e1–219 e9PubMedCrossRef
6.
Zurück zum Zitat Salas LA et al (2019) Maternal swimming pool exposure during pregnancy in relation to birth outcomes and cord blood DNA methylation among private well users. Environ Int 123:459–466PubMedPubMedCentralCrossRef
7.
Zurück zum Zitat Deutsche Gesellschaft für Gynäkologie und Geburtshilfe (DGGG), A.G.u.P.A. S3-Leitlinie Adipositas und Schwangerschaft 2019. https://​register.​awmf.​org/​assets/​guidelines/​015-081p_​S3_​Adipositas-Schwangerschaft_​2020_​02.​pdf. Zugegriffen: 13. Juli 2025
8.
Zurück zum Zitat Sedov ID et al (2018) Sleep quality during pregnancy: a meta-analysis. Sleep Med Rev 38:168–176PubMedCrossRef
9.
Zurück zum Zitat Facco FL et al (2014) Sleep disordered breathing in a high-risk cohort prevalence and severity across pregnancy. Am J Perinatol 31(10):899–904PubMedPubMedCentralCrossRef
10.
Zurück zum Zitat Bazalakova M (2017) Sleep disorders in pregnancy. Semin Neurol 37(6):661–668PubMedCrossRef
11.
Zurück zum Zitat Manconi M et al (2012) When gender matters: restless legs syndrome. Report of the “RLS and woman” workshop endorsed by the European RLS Study Group. Sleep Med Rev 16(4):297–307PubMedCrossRef
12.
Zurück zum Zitat Cassel W et al (2016) Significant association between systolic and diastolic blood pressure elevations and periodic limb movements in patients with idiopathic restless legs syndrome. Sleep Med 17:109–120PubMedCrossRef
13.
Zurück zum Zitat Clemens S, Rye D, Hochman S (2006) Restless legs syndrome: revisiting the dopamine hypothesis from the spinal cord perspective. Neurology 67(1):125–130PubMedCrossRef
14.
Zurück zum Zitat Lanoix D, Guerin P, Vaillancourt C (2012) Placental melatonin production and melatonin receptor expression are altered in preeclampsia: new insights into the role of this hormone in pregnancy. J Pineal Res 53(4):417–425PubMedCrossRef
15.
Zurück zum Zitat Braam W et al (2018) Low maternal melatonin level increases autism spectrum disorder risk in children. Res Dev Disabil 82:79–89PubMedCrossRef
16.
Zurück zum Zitat Lambert GW et al (2002) Effect of sunlight and season on serotonin turnover in the brain. Lancet 360(9348):1840–1842PubMedCrossRef
17.
Zurück zum Zitat Nakshine VS et al (2022) Increased screen time as a cause of declining physical, psychological health, and sleep patterns: a literary review. Cureus 14(10):e30051PubMedPubMedCentral
18.
Zurück zum Zitat Harville EW et al (2003) Vaginal bleeding in very early pregnancy. Hum Reprod 18(9):1944–1947PubMedCrossRef
19.
Zurück zum Zitat Society for Maternal-Fetal Medicine et al (2020) Society for Maternal-Fetal Medicine Consult Series #50: The role of activity restriction in obstetric management: (Replaces Consult Number 33, August 2014). Am J Obstet Gynecol 223(2):B2–B10CrossRef
20.
Zurück zum Zitat Coomarasamy A et al (2020) Micronized vaginal progesterone to prevent miscarriage: a critical evaluation of randomized evidence. Am J Obstet Gynecol 223(2):167–176PubMedPubMedCentralCrossRef
21.
Zurück zum Zitat Guideline NN (2019) Ectopic pregnancy and miscarriage: diagnosis and initial management. https://​www.​nice.​org.​uk/​guidance/​ng126. Zugegriffen: 16. Juli 2025
22.
Zurück zum Zitat Lacasse A et al (2008) Nausea and vomiting of pregnancy: what about quality of life? BJOG 115(12):1484–1493PubMedCrossRef
23.
Zurück zum Zitat Veenendaal MV et al (2011) Consequences of hyperemesis gravidarum for offspring: a systematic review and meta-analysis. BJOG 118(11):1302–1313PubMedCrossRef
24.
Zurück zum Zitat Weigel MM, Weigel RM (1988) The association of reproductive history, demographic factors, and alcohol and tobacco consumption with the risk of developing nausea and vomiting in early pregnancy. Am J Epidemiol 127(3):562–570PubMedCrossRef
25.
Zurück zum Zitat Fejzo M et al (2024) GDF15 linked to maternal risk of nausea and vomiting during pregnancy. Nature 625(7996):760–767PubMedCrossRef
26.
Zurück zum Zitat Fejzo MS et al (2018) Placenta and appetite genes GDF15 and IGFBP7 are associated with hyperemesis gravidarum. Nat Commun 9(1):1178PubMedPubMedCentralCrossRef
27.
Zurück zum Zitat Koot MH et al (2018) Variation in hyperemesis gravidarum definition and outcome reporting in randomised clinical trials: a systematic review. BJOG 125(12):1514–1521PubMedCrossRef
28.
Zurück zum Zitat Matthews A et al (2015) Interventions for nausea and vomiting in early pregnancy. Cochrane Database Syst Rev. https://​doi.​org/​10.​1002/​14651858.​CD007575.​pub4CrossRefPubMedPubMedCentral
29.
Zurück zum Zitat Jednak MA et al (1999) Protein meals reduce nausea and gastric slow wave dysrhythmic activity in first trimester pregnancy. Am J Physiol 277(4):G855–G861PubMed
30.
Zurück zum Zitat Newman V, Fullerton JT, Anderson PO (1993) Clinical advances in the management of severe nausea and vomiting during pregnancy. J Obstet Gynecol Neonatal Nurs 22(6):483–490PubMedCrossRef
31.
Zurück zum Zitat Hu Y et al (2022) Effect of ginger in the treatment of nausea and vomiting compared with vitamin B6 and placebo during pregnancy: a meta-analysis. J Matern Fetal Neonatal Med 35(1):187–196PubMedCrossRef
32.
Zurück zum Zitat Nievergelt A et al (2011) Ginger phenylpropanoids inhibit IL-1beta and prostanoid secretion and disrupt arachidonate-phospholipid remodeling by targeting phospholipases A2. J Immunol 187(8):4140–4150PubMedCrossRef
33.
Zurück zum Zitat Koren G, Maltepe C (2004) Pre-emptive therapy for severe nausea and vomiting of pregnancy and hyperemesis gravidarum. J Obstet Gynaecol 24(5):530–533PubMedCrossRef
34.
Zurück zum Zitat Shrim A et al (2006) Pregnancy outcome following use of large doses of vitamin B6 in the first trimester. J Obstet Gynaecol 26(8):749–751PubMedCrossRef
35.
Zurück zum Zitat Madjunkova S, Maltepe C, Koren G (2014) The delayed-release combination of doxylamine and pyridoxine (Diclegis(R)/Diclectin (R)) for the treatment of nausea and vomiting of pregnancy. Paediatr Drugs 16(3):199–211PubMedPubMedCentralCrossRef
36.
Zurück zum Zitat Kallen B, Mottet I (2003) Delivery outcome after the use of meclozine in early pregnancy. Eur J Epidemiol 18(7):665–669PubMedCrossRef
37.
Zurück zum Zitat Czeizel AE, Vargha P (2005) A case-control study of congenital abnormality and dimenhydrinate usage during pregnancy. Arch Gynecol Obstet 271(2):113–118PubMedCrossRef
38.
Zurück zum Zitat Pasternak B et al (2013) Metoclopramide in pregnancy and risk of major congenital malformations and fetal death. JAMA 310(15):1601–1611PubMedCrossRef
39.
Zurück zum Zitat Kashifard M et al (2013) Ondansetrone or metoclopromide? Which is more effective in severe nausea and vomiting of pregnancy? A randomized trial double-blind study. Clin Exp Obstet Gynecol 40(1):127–130PubMed
40.
Zurück zum Zitat Huybrechts KF et al (2018) Association of maternal first-trimester ondansetron use with cardiac malformations and oral clefts in offspring. JAMA 320(23):2429–2437PubMedPubMedCentralCrossRef
41.
Zurück zum Zitat Parker SE et al (2018) Ondansetron for treatment of nausea and vomiting of pregnancy and the risk of specific birth defects. Obstet Gynecol 132(2):385–394PubMedCrossRef
42.
Zurück zum Zitat Cao X et al (2022) Risk of abnormal pregnancy outcomes after using ondansetron during pregnancy: a systematic review and meta-analysis. Front Pharmacol 13:951072PubMedPubMedCentralCrossRef
43.
Zurück zum Zitat Popa SL et al (2021) Life-threatening complications of hyperemesis gravidarum. Exp Ther Med 21(6):642PubMedPubMedCentralCrossRef
44.
Zurück zum Zitat Butterworth RF (1995) Pathophysiology of alcoholic brain damage: synergistic effects of ethanol, thiamine deficiency and alcoholic liver disease. Metab Brain Dis 10(1):1–8PubMedCrossRef
45.
Zurück zum Zitat Moberg T et al (2023) Placenta-associated adverse pregnancy outcomes in women experiencing mild or severe hyperemesis gravidarum—a systematic review and meta-analysis. BMC Pregnancy Childbirth 23(1):375PubMedPubMedCentralCrossRef
46.
Zurück zum Zitat Narayanamoorthy S et al (2023) Incarcerated gravid uterus—A systematic review. Eur J Obstet Gynecol Reprod Biol X 19:100227PubMedPubMedCentral
47.
Zurück zum Zitat Han C et al (2019) Incarceration of the gravid uterus: a case report and literature review. BMC Pregnancy Childbirth 19(1):408PubMedPubMedCentralCrossRef
Bildnachweise
Hintere Uterussakkulation im Ultraschall/© Coelius CL et al. | all rights reserved Springer Medizin Verlag GmbH