Zum Inhalt

Imaging of Geographic Atrophy: A Practical Approach

  • Open Access
  • 05.05.2025
  • PRACTICAL APPROACH
Erschienen in:

Abstract

Geographic atrophy (GA) secondary to age-related macular degeneration is a chronic degenerative disease involving the retinal pigment epithelium, photoreceptors, and choriocapillaris leading to irreversible loss of visual function. Identification of imaging markers associated with GA development and progression has progressed over the past decades, moving from two-dimensional to three-dimensional imaging, as well as image interpretation using artificial intelligence. However, there is an open discussion about the “must-haves” for GA detection and follow-up as well as complementary imaging. This practical approach provides an overview of the advantages of key imaging modalities for GA and their applicability in clinical and experimental settings.
Key Summary Points
Geographic atrophy is a heterogeneous disease and can present with multiple variations on different imaging modalities.
Understanding the relationship to histopathology is important in selecting the appropriate imaging modality.
Color fundus photography and fundus autofluorescence are imaging modalities that can be useful for an easy two-dimensional assessment.
Optical coherence tomography maximizes the information available from each patient, but standardized imaging protocols are recommended to obtain comparable data.
The role of angiography (dye or OCTA) or fundus autofluorescence is to exclude findings that may change the diagnosis and management.

Introduction

Geographic atrophy (GA) secondary to age-related macular degeneration (AMD) is a degenerative disease responsible for severe and irreversible loss of vision in the elderly population [1]. The history of imaging in GA and AMD has evolved with technological advances in retinal diagnostics [2]. A clinical assessment on the basis of fundus examination and color fundus photography was the primary means of diagnosing and monitoring AMD [3]. However, this approach was limited by the resolution of the images and the inability to detect early-stage changes in the retina. The diagnosis and monitoring of GA have been significantly enhanced by imaging technologies over the past few decades, including the need to differentiate GA from mimicking diseases that are not GA and should therefore be managed differently [4].
Fundus autofluorescence (FAF) imaging has been the fundamental imaging modality for GA over the last decades with possibilities of semi-automated quantifications using software such as the RegionFinder [5, 6]. However, with ongoing developments optical coherence tomography (OCT) has gained more and more attention and is now used for most retinal diseases, including GA [7]. Nevertheless, data are still acquired in a nonstandardized manner, even with OCT. With advances, such as artificial intelligence (AI), standardized and reproducible data are becoming more important than ever [2]. Additionally, while previously important for research purposes, objective implementation of standardized imaging protocols is now becoming important in real world clinical management. While there are several reviews for biomarkers in GA including the application of AI to quantify those [2, 813], this practical approach paper offers a perspective on the clinical utilization of imaging methods for GA diagnosis and progression, addressing their advantages and disadvantages. This article is based on previously conducted studies and does not contain any new studies with human participants or animals performed by any of the authors.

Prerequisites

With its large number of biomarkers ranging from clinically important to subclinical, GA is a perfect example of a disease needing both imaging and quantitative approaches to diagnosis and follow up. However, when looking at the images, it is important to keep in mind histologic and anatomical correlations to properly interpret what is visible on those images [14, 15], and differentiate the signs characteristics of each imaging modality itself (e.g., choroidal hypertransmission on OCT owing to absent retinal pigment epithelium (RPE)) [16].
In addition, the examiner must understand that some of the imaging is done as a strategy to rule out certain findings that would change the diagnosis and therefore future management, such as macular neovascularization (MNV) or inherited retinal diseases that may require additional genetic counseling [4]. Furthermore, images alone cannot diagnose AMD. While they can increase the accuracy of diagnosing AMD to a remarkably high degree [17], it is also important to consider each patient’s background, age, medical history, relevant medications, and other pertinent factors.

Color Fundus Photography

Conventional CFP was established as one of the first ways to diagnose and monitor AMD and the progression of GA. Its advantages are its wide availability and cost-effectiveness for screening and documentation. In addition, because it was one of the first ways to document GA, there are large datasets available to support its use in the development of artificial intelligence algorithms [18, 19]. GA on CFP appears with sharp demarcated areas of atrophy that highlight increased visibility of the choroidal vessels (Fig. 1A). Additionally, it allows for visualization and differentiation of drusen, deposits and other features associated with a different risk for GA progression, providing prognostic information [20]. Conventional CFP typically covers the central 30° area, with a seven-field early treatment diabetic retinopathy study (ETDRS) standard CFP covering approximately 75°. Newer approaches and devices can cover up to 200° of the retina, allowing for ultra-wide field imaging [21]. Features of AMD may also affect the peripheral retina [22].
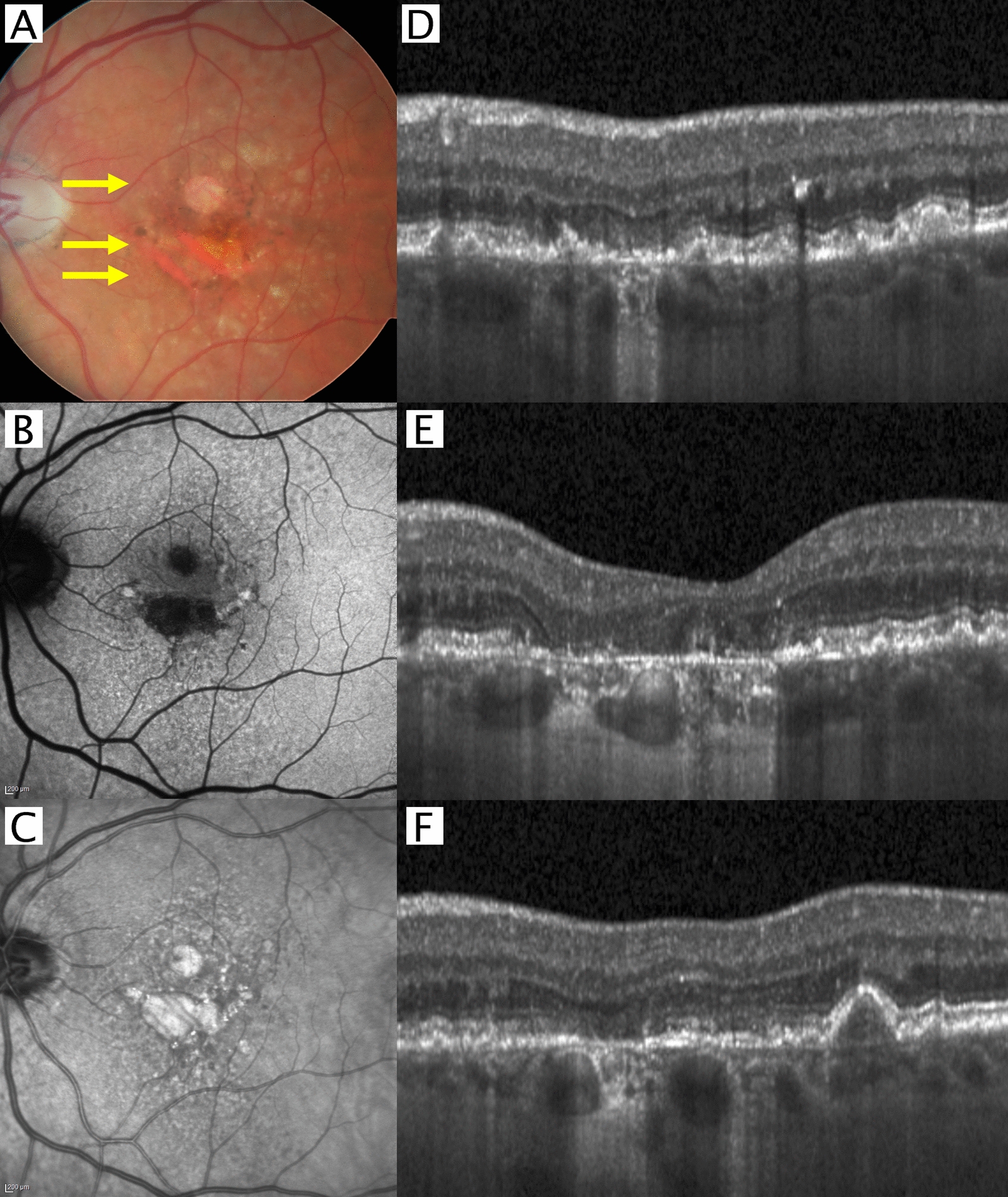
Fig. 1
Major imaging modalities in a patient with geographic atrophy (GA) secondary to age-related macular degeneration (AMD). A Color fundus photography (CFP), B 488 nm wavelength fundus autofluorescence (FAF), C) Near-infrared reflectance (NIR) imaging, D-F) Optical coherence tomography (OCT) B-scans at the level indicated by the three yellow arrows in A
Bild vergrößern

Fundus Autofluorescence

Fundus autofluorescence (FAF) imaging uses the excitation of fluorophores within the RPE (mainly lipofuscin and melanolipofuscin) and generates an image on the basis of the autofluorescent emission of light reaching the imaging device. Loss of the RPE also results in the loss of fluorophores within the RPE, explaining the hypoautofluorescent appearance of a lesion on FAF. The most used FAF is blue-light FAF (BAF), which uses light at approximately 488 nm. BAF has been routinely used in clinical trials and the area of atrophy can be quantified with software, such as the RegionFinder [5, 6]. However, the blue light is blocked by macular pigment and the involvement of the fovea is often difficult to distinguish (Fig. 1B). Using light in the green spectrum (around 532 nm) or near-infrared (around 787 nm) changes the attracted fluorophores and shift more toward melanin [23, 24].
The confocal scanning laser ophthalmoscope (cSLO) is a powerful instrument with several usages in ophthalmic imaging. In addition to the cSLO, FAF can be acquired using a camera with special filters [25]. While these cameras are often used in routine clinical settings, the cSLO is primarily used in clinical trials because of its higher resolution [25, 26].
Green and near-infrared FAF does not get affected by macular pigment and is therefore less prone to errors in the demarcation of the fovea. Moreover, these latter two imaging modalities excite fewer minor fluorophores that may be present near the border of GA. Conversely, BAF may further stimulate these minor fluorophores, potentially leading to an erroneous definition of the GA area, which may appear smaller than it actually is. Advantages have been made to quantify the signal of blue light FAF with quantitative FAF (qAF) [2729], or to investigate the decay of the AF signal using fluorescence lifetime imaging ophthalmoscopy (FLIO) [30], which has been investigated in patients with GA in research settings. Finally, color-coded BAF utilizes shorter-wavelength blue light to excite the retina, further stimulating minor fluorophores that emit in different spectra. This enables color-coded FAF to distinguish minor fluorophores from lipofuscin on the basis of their autofluorescence spectrum. As a result, it has demonstrated the presence of minor fluorophores within the GA lesion, where lipofuscin is otherwise absent [31, 32].

Reflectance Imaging

Near-infrared reflectance (NIR) imaging uses tissue reflectance to create a two-dimensional image, often acquired simultaneously to an OCT volume (Fig. 1C–F) [3]. Owing to its longer wavelength in the infra-red spectrum, the signal can penetrate well even in the presence of cataract and deeper into the choroid in comparison to shorter wavelength. While GA appears hypoautofluorescent on FAF, it appears hyperreflectant on NIR owing to decreased signal blocking from the missing RPE with increased reflection from the underlying tissue. Studies have shown good overlap between GA measurements on NIR compared with FAF [33].
Multicolor fundus imaging can be seen as an evolution of CFP. The increased contrast provided by the use of cSLO can improve the quantification of GA [34]. By using three different lasers in multicolor imaging, GA typically appears as a yellowish or whitish area.

Dye Based Angiography

Using the same wavelengths as blue and near-infrared AF, dye angiographies can be performed after administration of intravenous fluorescein or indocyanine green, respectively. Conventionally both fluorescein angiography (FA) and indocyanine green angiography (ICGA) are used for the detection of MNV and are not routinely recommended to manage patients with GA, unless MNV is suspected.

Optical Coherence Tomography

The use of OCT has increased significantly over the last two decades and its success is closely linked with the successful treatment of neovascular AMD [35]. The advances from time-domain OCT to spectral-domain OCT and swept-source OCT have opened a new horizon for biomarker identification and quantification. OCT imaging has therefore become the most frequently used imaging modality in retinal diseases and can be used to assess the progression of GA [7, 36]. However, OCT devices differ in their technical specifications, including differences in imaging protocols and signal-to-noise ratio (SNR) (Fig. 2). OCT has a high accuracy in detecting active MNV by highlighting exudative process within and under the retina, and most often angiography is not necessary to make the diagnosis [37, 38].
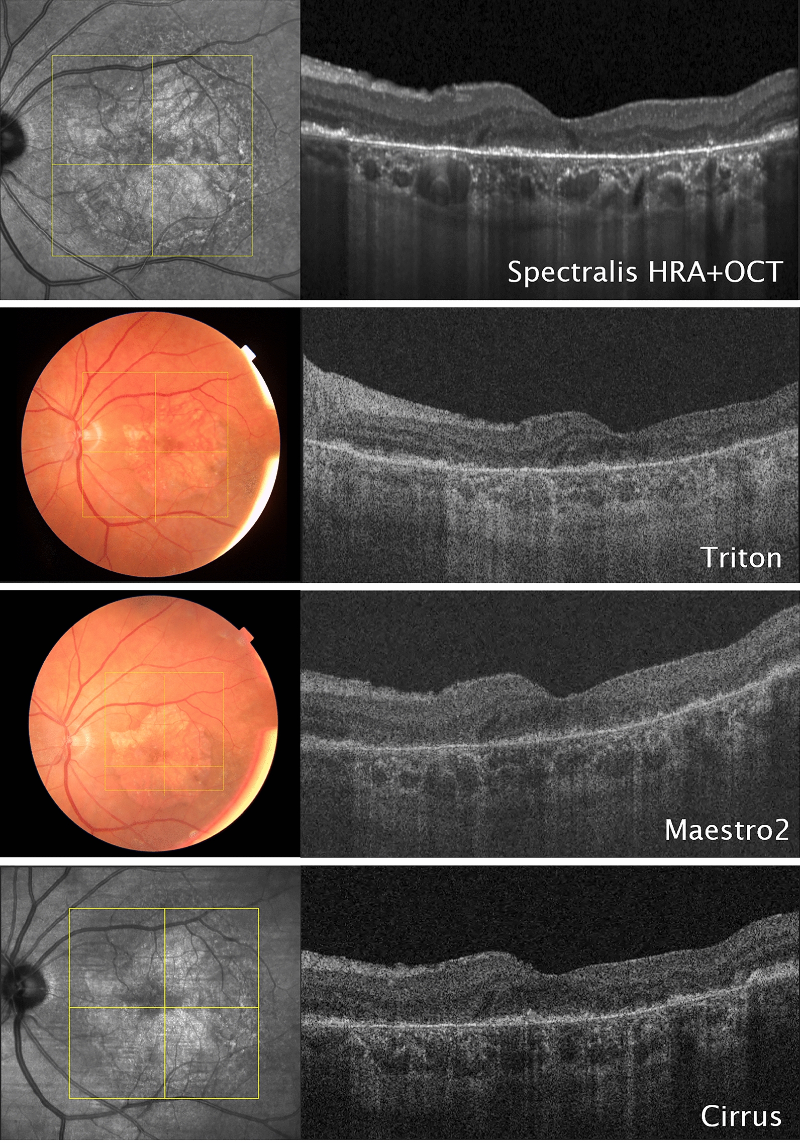
Fig. 2
Influence of the device on the final optical coherence tomography (OCT) image within the same patient with geographic atrophy (GA). The Spectralis HRA + OCT (Heidelberg Engineering, Germany), Maestro2 (Topcon, Japan), and Cirrus HD-OCT (Carl Zeiss Meditec Inc., USA) are spectral-domain OCTs. While the Spectralis and Cirrus simultaneously generate a near-infrared reflectance (NIR) image, the Maestro2 acquires a color fundus photograph (CFP). The Triton DRI (Topcon, Japan) is a swept-source OCT and acquires a CFP
Bild vergrößern
A big step in uniting the interpretation of OCT findings regarding GA has been provided by the Classification of Atrophy Meeting (CAM) group. The CAM definition of complete RPE and outer retinal atrophy (cRORA) allows identification of atrophy on the OCT independent from MNV [16, 39]. The biomarkers of interest on OCT are therefore closely related to the definition of cRORA. The absence or irregularity of the RPE and the resulting choroidal hypertransmission, an appearance of increased signal intensity after Bruch’s membrane, are the biomarkers that correlate well with FAF [40, 41]. The integrity of the outer retinal layers is however very individually affected. These layers represent the integrity of the photoreceptor outer and inner segments and are another key feature in the definition of cRORA. The most frequently used measurement is at the level of the ellipsoid zone (EZ). There is evidence that EZ loss outside of the RPE is a marker for increased progression of GA and may also play a role in the assessment of treatment effectiveness [42, 43]. Markers, such as increased density of hyperreflective foci (HRF) around the GA lesion, have been associated with accelerated local progression [44, 45].
An effective way to measure the area of GA is to use the increased reflectivity of the choroid caused by RPE loss. By creating a slab below Bruch’s membrane to capture the hypertransmission (i.e., hypertransmission defects—HyperTDs) and project it into an en face visualization, the area of GA can be easily identified and tracked over time. This method also takes into account that the maximum extent of the lesion may not be seen on one B-scan, but rather across multiple B-scans, which may be helpful in detecting smaller cRORA lesions (Fig. 3) [46].
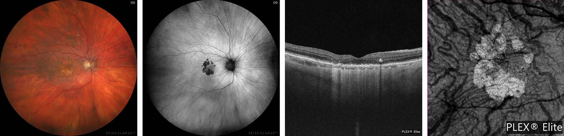
Fig. 3
Representative images from a patient with geographic atrophy (GA). Fundus photography (left image) shows the area of GA as a hypopigmented region with increased visibility of the choroidal vessels. The same area (middle-left image) appears hypoautofluorescent on green autofluorescence imaging. On structural optical coherence tomography (OCT, middle-right image), GA is seen as a region characterized by the triad of retinal pigment epithelium (RPE) absence, associated photoreceptor loss, and hypertransmission signal in the choroid. By using a slab below Bruch’s membrane, an en face image can be obtained (right image), highlighting the hypertransmission defects (hyperTDs) secondary to RPE atrophy
Bild vergrößern
Novel developments based on conventional OCT technology are adaptive optics OCT, polarization-sensitive OCT, or doppler OCT imaging [4749]. However, these are only used in research settings and not readily available as clinical devices.

OCT Angiography

Non-invasive OCT angiography is based on the detection of moving components within sequential images of static tissue [50]. In the retina, this applies to the blood cells within the vessels as opposed to the surrounding tissue, including the choroid and retina. The static elements can be removed from sequential imaging and the remaining changing information is processed into a network of vasculature, including its three-dimensional anatomy. Compared with dye angiography, OCT angiography is faster, noninvasive, and can separate different plexi on the basis of the segmentation of slabs that include the projected information about the vasculature.
OCT angiography in patients with GA revealed significant reduction of choriocapillaris density around the lesion area, indicating expansion of GA toward areas with more pronounced choriocapillaris degeneration [51, 52]. In clinical practice, OCT angiography is not yet frequently utilized or yet integrated into the routine clinical workflow. When available, OCT angiography is often used to identify (quiescent) MNV in suspect areas, such as shallow PED with double layer signs [5355]. Wide-field applications of OCT angiography are available and are becoming increasingly standardized. The use of wide-field OCT angiography has been explored in research settings.

Macular Atrophy versus Geographic Atrophy

The term GA should be used only in the absence of a history of macular neovascularization (MNV), whereas macular atrophy is the preferred term in such cases. When MNV is present, associated lesions such as fibrosis and hyperpigmentation can make the identification of atrophy more challenging [56, 57]. Fibrosis appears hyperreflective on NIR and multicolor imaging. Therefore, a region with fibrosis but without RPE atrophy (e.g., sub-RPE fibrosis) may be erroneously classified as macular atrophy using these imaging modalities, as this reflectivity is often attributed to RPE atrophy rather than fibrosis alone. Additionally, large areas of hyperpigmentation, which frequently occur in regions of RPE atrophy, can complicate the assessment of atrophy on en face OCT. This is because hyperpigmentation can obscure the associated HyperTDs, making it more challenging to accurately evaluate RPE atrophy. The importance of multimodal imaging for the detection and quantification of fibrosis has been discussed and summarized in recent literature [58, 59].

Practical Recommendation

The practical use of imaging modalities for a disease such as GA must consider its potential to detect disease and monitor its progression with sufficient quality and resolution while balancing benefits, costs and the burden to the patient. Secondly, it must reflect what is known from histopathology to allow better interpretation and improve our understanding of the disease which can enhance communication with the patient. Lastly, imaging must be performed to distinguish GA from different entities and when other diagnoses are suspected, additional testing, e.g., genetic counseling, should be considered. Diagnosis and assessment of progression must also be separated, and a patient might require more diagnostics at the initial presentation in contrast to routine follow up visits.
The use of OCT is strongly encouraged, since it contributes to all aspects of efficient disease identification and monitoring [16]. It usually pairs with a two-dimensional imaging technique which allows better localization of the GA lesion on the posterior pole. Most frequently, a NIR image accompanies the OCT and is often already co-registered. A FAF image is recommended at least at the initial presentation to investigate indicators of other causes of retinal atrophy, e.g., flecks in Stargardt disease. Age and family history must be considered when interpreting such imaging findings.
In the absence of OCT, at least one two-dimensional imaging modality should be acquired while additionally performing fundoscopy to rule out complications such as active MNV with exudation or retinal hemorrhages. If suspicion of MNV is present, MNV should be ruled out or confirmed in alignment with the availability and recommendation of the local standard of care retinal guidelines.
OCT imaging should comprise a scanning pattern dense enough to detect subtle markers of progression. For the Spectralis OCT, a 20 × 20 degree volume with at least 49 B-scans is recommended, but a higher number of B-scans is preferred. Larger volumes might be necessary if the GA lesion extends outside of the 20° area. For most other devices, the conventional 6 × 6 mm volume is of sufficient quality and has enough B-scan density to detect pathognomonic markers. CFP and FAF should cover the 30° area; however, when investigating peripheral changes, 50° images might be helpful as an addition.

Conclusions

There has been an increase in available imaging modalities for GA and while many are worthwhile investigating in research settings, implementation into routine clinical use is less frequently justified. OCT has become the most important imaging modality to diagnose GA, identify progression and estimate progression based on biomarkers or AI-algorithms. In addition, the acquisition of a two-dimensional image, in most cases either CFP, NIR or FAF, is encouraged. Patient-involved decisions are better based on mutual understanding and two-dimensional imaging can be easier to explain and understand, especially for patients with diseases affecting visual function. Care must be taken to correctly interpret findings in association with their histological cause and choose the modality accordingly. In case of uncertainty, the retina specialist must perform additional imaging and tests to secure the right diagnosis, which is most important for clinical trials and during treatment.

Medical Writing/Editorial Assistance

None.

Declarations

Conflict of interest

Gregor S. Reiter: consultant for Apellis, Bayer, Boehringer Ingelheim, Espansione, Nordic Pharma, and Roche and received research support from RetInSight. Enrico Borrelli: consultant for Abbvie, Bayer, Hofmann La Roche, and Zeiss. Rosa Dolz-Marco: consultant for Heidelberg Engineering and received research support from Roche, Apellis, and IvericBio. Raymond Iezzi: consultant for Johnson & Johnson. Sophie J. Bakri: consultant for Abbvie, Adverum, Allergan, Amgen, Annexon, Apellis, Aviceda, Cholgene, Eyepoint, ilumen, Iveric bio, Kala, Genentech, La Science Neurotech, Novartis, Ocular Therapeutix, Opthea, Outlook, Pixium, Regenxbio, Regeneron, Rejuvitas, Revana, Roche, VoxelCloud, and Zeiss and research support from Lowy Medical Foundation and Regenxbio.

Ethical approval

This article is based on previously conducted studies and does not contain any new studies with human participants or animals performed by any of the authors.
Open Access This article is licensed under a Creative Commons Attribution-NonCommercial 4.0 International License, which permits any non-commercial use, sharing, adaptation, distribution and reproduction in any medium or format, as long as you give appropriate credit to the original author(s) and the source, provide a link to the Creative Commons licence, and indicate if changes were made. The images or other third party material in this article are included in the article's Creative Commons licence, unless indicated otherwise in a credit line to the material. If material is not included in the article's Creative Commons licence and your intended use is not permitted by statutory regulation or exceeds the permitted use, you will need to obtain permission directly from the copyright holder. To view a copy of this licence, visit http://creativecommons.org/licenses/by-nc/4.0/.
download
DOWNLOAD
print
DRUCKEN
Titel
Imaging of Geographic Atrophy: A Practical Approach
Verfasst von
Gregor S. Reiter
Enrico Borrelli
Rosa Dolz-Marco
Raymond Iezzi
Sophie J. Bakri
Publikationsdatum
05.05.2025
Verlag
Springer Healthcare
Erschienen in
Ophthalmology and Therapy / Ausgabe 7/2025
Print ISSN: 2193-8245
Elektronische ISSN: 2193-6528
DOI
https://doi.org/10.1007/s40123-025-01158-3
1.
Zurück zum Zitat Klein R, Meuer SM, Knudtson MD, et al. The epidemiology of progression of pure geographic atrophy: the Beaver Dam Eye Study. Am J Ophthalmol. 2008;146:692–9. https://doi.org/10.1016/j.ajo.2008.05.050.CrossRefPubMedPubMedCentral
2.
Zurück zum Zitat Reiter GS, Mai J, Riedl S, et al. AI in the clinical management of GA: a novel therapeutic universe requires novel tools. Prog Retin Eye Res. 2024;103: 101305. https://doi.org/10.1016/j.preteyeres.2024.101305.CrossRefPubMed
3.
Zurück zum Zitat Zarbin MA, Casaroli-Marano RP, Rosenfeld PJ. Age-related macular degeneration: Clinical findings, histopathology and imaging techniques. Cell-Based Therapy for Retinal Degenerative Disease. S. Karger AG 2014:1–32.
4.
Zurück zum Zitat Saksens NTM, Fleckenstein M, Schmitz-Valckenberg S, et al. Macular dystrophies mimicking age-related macular degeneration. Prog Retin Eye Res. 2014;39:23–57. https://doi.org/10.1016/J.PRETEYERES.2013.11.001.CrossRefPubMed
5.
Zurück zum Zitat Panthier C, Querques G, Puche N, et al. Evaluation of semiautomated measurement of geographic atrophy in age-related macular degeneration by fundus autofluorescence in clinical setting. Retina. 2014;34:576–82. https://doi.org/10.1097/01.iae.0000433986.32991.1e.CrossRefPubMed
6.
Zurück zum Zitat Reumueller A, Sacu S, Karantonis MG, et al. Semi-automated quantification of geographic atrophy with blue-light autofluorescence and spectral-domain optical coherence tomography: a comparison between the region finder and the advanced retinal pigment epithelium tool in the clinical setting. Acta Ophthalmol. 2019;97:e887–95. https://doi.org/10.1111/aos.14085.CrossRefPubMedPubMedCentral
7.
Zurück zum Zitat Schmidt-Erfurth U, Klimscha S, Waldstein SM, et al. A view of the current and future role of optical coherence tomography in the management of age-related macular degeneration. Eye. 2017;31:26–44. https://doi.org/10.1038/eye.2016.227.CrossRefPubMed
8.
Zurück zum Zitat Frank-Publig S, Birner K, Riedl S, et al. Artificial intelligence in assessing progression of age-related macular degeneration. Eye. Published Online First: 18 November 2024. https://doi.org/10.1038/s41433-024-03460-z
9.
Zurück zum Zitat Mares V, Nehemy MB, Bogunovic H, et al. AI-based support for optical coherence tomography in age-related macular degeneration. Int J Retin Vitr. 2024;10:31. https://doi.org/10.1186/s40942-024-00549-1.CrossRef
10.
Zurück zum Zitat Vujosevic S, Loewenstein A, O’Toole L, et al. Imaging geographic atrophy: integrating structure and function to better understand the effects of new treatments. Br J Ophthalmol. 2024. https://doi.org/10.1136/BJO-2023-324246.CrossRefPubMed
11.
Zurück zum Zitat Lad EM, Fleckenstein M, Holz FG, et al. Informing endpoints for clinical trials of geographic atrophy. Annu Rev Vis Sci. 2024;10:455–76. https://doi.org/10.1146/ANNUREV-VISION-101922-045110/CITE/REFWORKS.CrossRefPubMed
12.
Zurück zum Zitat Servillo A, Sacconi R, Oldoni G, et al. Advancements in imaging and therapeutic options for dry age-related macular degeneration and geographic atrophy. Ophthalmol Ther. 2024;13:2067–82. https://doi.org/10.1007/S40123-024-00970-7/TABLES/2.CrossRefPubMedPubMedCentral
13.
Zurück zum Zitat Sacconi R, Corbelli E, Querques L, et al. A review of current and future management of geographic atrophy. Ophthalmol Ther. 2017;6:69–77. https://doi.org/10.1007/S40123-017-0086-6/FIGURES/1.CrossRefPubMedPubMedCentral
14.
Zurück zum Zitat Li M, Dolz-Marco R, Huisingh C, et al. Clinicopathologic correlation of geographic atrophy secondary to age-related macular degeneration. Retina. 2019;39:802–16. https://doi.org/10.1097/IAE.0000000000002461.CrossRefPubMedPubMedCentral
15.
Zurück zum Zitat Li M, Huisingh C, Messinger J, et al. Histology of geographic atrophy secondary to age-related macular degeneration. Retina. 2018;38:1937–53. https://doi.org/10.1097/IAE.0000000000002182.CrossRefPubMedPubMedCentral
16.
Zurück zum Zitat Sadda SR, Guymer R, Holz FG, et al. Consensus definition for atrophy associated with age-related macular degeneration on OCT: classification of atrophy report 3. Ophthalmology. 2018;125:537–48. https://doi.org/10.1016/j.ophtha.2017.09.028.CrossRefPubMed
17.
Zurück zum Zitat Kanagasingam Y, Bhuiyan A, Abràmoff MD, et al. Progress on retinal image analysis for age related macular degeneration. Prog Retin Eye Res. 2014;38:20–42.CrossRefPubMed
18.
Zurück zum Zitat Klein ML, Ferris FL, Armstrong J, et al. Retinal precursors and the development of geographic atrophy in age-related macular degeneration. Ophthalmology. 2008;115:1026–31. https://doi.org/10.1016/j.ophtha.2007.08.030.CrossRefPubMed
19.
Zurück zum Zitat Burlina PM, Joshi N, Pacheco KD, et al. Use of deep learning for detailed severity characterization and estimation of 5-year risk among patients with age-related macular degeneration. JAMA Ophthalmol. 2018;136:1359. https://doi.org/10.1001/jamaophthalmol.2018.4118.CrossRefPubMedPubMedCentral
20.
Zurück zum Zitat Jaffe GJ, Chakravarthy U, Freund KB, et al. Imaging features associated with progression to geographic atrophy in age-related macular degeneration. Ophthalmol Retin. 2021;5:855–67. https://doi.org/10.1016/j.oret.2020.12.009.CrossRef
21.
Zurück zum Zitat Xiao Y, Dan H, Du X, et al. Assessment of early diabetic retinopathy severity using ultra-widefield Clarus versus conventional five-field and ultra-widefield Optos fundus imaging. Sci Reports. 2023;13:1–8. https://doi.org/10.1038/s41598-023-43947-5.CrossRef
22.
Zurück zum Zitat Froines CP, Pak JW, Agrón E, et al. Longitudinal assessment of age-related macular degeneration using ultrawidefield imaging: the optos peripheral retina follow-up study. Ophthalmology. 2025. https://doi.org/10.1016/j.ophtha.2024.11.024.CrossRefPubMed
23.
Zurück zum Zitat Wolf-Schnurrbusch UEK, Wittwer VV, Ghanem R, et al. Blue-light versus green-light autofluorescence: lesion size of areas of geographic atrophy. Invest Ophthalmol Vis Sci. 2011;52:9497–502. https://doi.org/10.1167/iovs.11-8346.CrossRefPubMed
24.
Zurück zum Zitat Querques L, Querques G, Forte R, et al. Microperimetric correlations of autofluorescence and optical coherence tomography imaging in dry age-related macular degeneration. Am J Ophthalmol. 2012;153:1110–5. https://doi.org/10.1016/J.AJO.2011.11.002.CrossRefPubMed
25.
Zurück zum Zitat Calvo-Maroto AM, Esteve-Taboada JJ, Domínguez-Vicent A, et al. Confocal scanning laser ophthalmoscopy versus modified conventional fundus camera for fundus autofluorescence. Expert Rev Med Dev. 2016;13:965–78. https://doi.org/10.1080/17434440.2016.1236678.CrossRef
26.
Zurück zum Zitat Calvo-Maroto A, Cerviño A. Spotlight on fundus autofluorescence. Clin Optom. 2018;10:25–32. https://doi.org/10.2147/OPTO.S134637.CrossRef
27.
Zurück zum Zitat Reiter GS, Told R, Baratsits M, et al. Repeatability and reliability of quantitative fundus autofluorescence imaging in patients with early and intermediate age-related macular degeneration. Acta Ophthalmol. 2019. https://doi.org/10.1111/aos.13987.CrossRefPubMed
28.
Zurück zum Zitat Reiter GS, Hacker V, Told R, et al. Longitudinal changes in quantitative autofluorescence during progression from intermediate to late age-related macular degeneration. Retina. 2021;41:1236–41. https://doi.org/10.1097/IAE.0000000000002995.CrossRefPubMed
29.
Zurück zum Zitat Reiter GS, Told R, Baumann L, et al. Investigating a growth prediction model in advanced age-related macular degeneration with solitary geographic atrophy using quantitative autofluorescence. Retina. 2020;40:1657–64. https://doi.org/10.1097/IAE.0000000000002653.CrossRefPubMed
30.
Zurück zum Zitat Lincke JB, Dysli C, Jaggi D, et al. Longitudinal foveal fluorescence lifetime characteristics in geographic atrophy using fluorescence lifetime imaging ophthalmoscopy. Retina. 2021;41:2391–8. https://doi.org/10.1097/IAE.0000000000003222.CrossRefPubMed
31.
Zurück zum Zitat Borrelli E, Nittala MG, Abdelfattah NS, et al. Comparison of short-wavelength blue-light autofluorescence and conventional blue-light autofluorescence in geographic atrophy. Br J Ophthalmol. 2018. https://doi.org/10.1136/bjophthalmol-2018-311849.CrossRefPubMed
32.
Zurück zum Zitat Borrelli E, Lei J, Balasubramanian S, et al. Green emission fluorophores in eyes with atrophic age-related macular degeneration: a colour fundus autofluorescence pilot study. Br J Ophthalmol. 2018;102:827–32. https://doi.org/10.1136/BJOPHTHALMOL-2017-310881.CrossRefPubMed
33.
Zurück zum Zitat Abdelfattah NS, Sadda J, Wang Z, et al. Near-infrared reflectance imaging for quantification of atrophy associated with age-related macular degeneration. Am J Ophthalmol. 2020. https://doi.org/10.1016/j.ajo.2020.01.005.CrossRefPubMed
34.
Zurück zum Zitat Moussa NB, Georges A, Capuano V, et al. MultiColor imaging in the evaluation of geographic atrophy due to age-related macular degeneration. Br J Ophthalmol. 2015;99:842–7. https://doi.org/10.1136/bjophthalmol-2014-305643.CrossRefPubMed
35.
Zurück zum Zitat Rosenfeld PJ. Optical coherence tomography and the development of antiangiogenic therapies in neovascular age-related macular degeneration. Invest Ophthalmol Vis Sci. 2016. https://doi.org/10.1167/iovs.16-19969.CrossRefPubMedPubMedCentral
36.
Zurück zum Zitat Reiter GS, Lachinov D, Bühl W, et al. A novel management challenge in age-related macular degeneration. Ophthalmol Retin. 2024. https://doi.org/10.1016/j.oret.2024.10.029.CrossRef
37.
Zurück zum Zitat Capuano V, Miere A, Querques L, et al. Treatment-Naïve quiescent choroidal neovascularization in geographic atrophy secondary to non-exudative age-related macular degeneration. Am J Ophthalmol. 2017;182:45–55. https://doi.org/10.1016/j.ajo.2017.07.009.CrossRefPubMed
38.
Zurück zum Zitat Sacconi R, Brambati M, Miere A, et al. Characterisation of macular neovascularisation in geographic atrophy. Br J Ophthalmol. 2021. https://doi.org/10.1136/bjophthalmol-2021-318820.CrossRefPubMed
39.
Zurück zum Zitat Guymer RH, Rosenfeld PJ, Curcio CA, et al. Incomplete retinal pigment epithelial and outer retinal atrophy in age-related macular degeneration. Ophthalmology. 2020;127:394–409. https://doi.org/10.1016/j.ophtha.2019.09.035.CrossRefPubMed
40.
Zurück zum Zitat Mai J, Reiter GS, Riedl S, et al. Quantitative comparison of automated OCT and conventional FAF-based geographic atrophy measurements in the phase 3 OAKS/DERBY trials. Sci Reports. 2024;14:1–9. https://doi.org/10.1038/s41598-024-71496-y.CrossRef
41.
Zurück zum Zitat Mai J, Riedl S, Reiter GS, et al. Comparison of fundus autofluorescence versus optical coherence tomography–based evaluation of the therapeutic response to pegcetacoplan in geographic atrophy. Am J Ophthalmol. 2022;244:175–82. https://doi.org/10.1016/j.ajo.2022.06.023.CrossRefPubMed
42.
Zurück zum Zitat Reiter GS, Told R, Schranz M, et al. Subretinal drusenoid deposits and photoreceptor loss detecting global and local progression of geographic atrophy by SD-OCT imaging. Invest Ophthalmol Vis Sci. 2020;61:11. https://doi.org/10.1167/iovs.61.6.11.CrossRefPubMedPubMedCentral
43.
Zurück zum Zitat Schmidt-Erfurth U, Mai J, Reiter GS, et al. Disease activity and therapeutic response to pegcetacoplan for geographic atrophy identified by deep learning-based analysis of OCT. Ophthalmology. 2024. https://doi.org/10.1016/j.ophtha.2024.08.017.CrossRefPubMed
44.
Zurück zum Zitat Schmidt-Erfurth U, Bogunovic H, Grechenig C, et al. Role of deep learning-quantified hyperreflective foci for the prediction of geographic atrophy progression. Am J Ophthalmol. 2020;216:257–70. https://doi.org/10.1016/j.ajo.2020.03.042.CrossRefPubMed
45.
Zurück zum Zitat Bui PTA, Reiter GS, Fabianska M, et al. Fundus autofluorescence and optical coherence tomography biomarkers associated with the progression of geographic atrophy secondary to age-related macular degeneration. Eye. 2021. https://doi.org/10.1038/s41433-021-01747-z.CrossRefPubMedPubMedCentral
46.
Zurück zum Zitat Feo A, Ramtohul P, Govetto A, et al. En face OCT: breakthroughs in understanding the pathoanatomy of retinal disease and clinical applications. Prog Retin Eye Res. 2025. https://doi.org/10.1016/J.PRETEYERES.2025.101351.CrossRefPubMed
47.
Zurück zum Zitat Schütze C, Bolz M, Sayegh R, et al. Lesion size detection in geographic atrophy by polarization-sensitive optical coherence tomography and correlation to conventional imaging techniques. Invest Ophthalmol Vis Sci. 2013;54:739. https://doi.org/10.1167/iovs.11-7877.CrossRefPubMed
48.
Zurück zum Zitat Sayegh RG, Zotter S, Roberts PK, et al. Polarization-sensitive optical coherence tomography and conventional retinal imaging strategies in assessing foveal integrity in geographic atrophy. Invest Ophthalmol Vis Sci. 2015;56:5246–55. https://doi.org/10.1167/iovs.14-15114.CrossRefPubMed
49.
Zurück zum Zitat Reumueller A, Schmidt-Erfurth U, Salas M, et al. Three-dimensional adaptive optics-assisted visualization of photoreceptors in healthy and pathologically aged eyes. Invest Ophthalmol Vis Sci. 2019;60:1144. https://doi.org/10.1167/iovs.18-25702.CrossRefPubMed
50.
Zurück zum Zitat Borrelli E, Berni A, Mastropasqua L, et al. Pushing retinal imaging forward: innovations and their clinical meaning – the 2022 ophthalmologica lecture. Ophthalmologica. 2023;246:278–94. https://doi.org/10.1159/000533910.CrossRefPubMed
51.
Zurück zum Zitat Nassisi M, Baghdasaryan E, Borrelli E, et al. Choriocapillaris flow impairment surrounding geographic atrophy correlates with disease progression. PLoS ONE. 2019;14: e0212563. https://doi.org/10.1371/journal.pone.0212563.CrossRefPubMedPubMedCentral
52.
Zurück zum Zitat Nassisi M, Shi Y, Fan W, et al. Choriocapillaris impairment around the atrophic lesions in patients with geographic atrophy: a swept-source optical coherence tomography angiography study. Br J Ophthalmol. 2018. https://doi.org/10.1136/bjophthalmol-2018-312643.CrossRefPubMed
53.
Zurück zum Zitat Querques G, Srour M, Massamba N, et al. Functional characterization and multimodal imaging of treatment-naive ‘quiescent’ choroidal neovascularization. Invest Ophthalmol Vis Sci. 2013;54:6886–92. https://doi.org/10.1167/iovs.13-11665.CrossRefPubMed
54.
Zurück zum Zitat Carnevali A, Cicinelli MV, Capuano V, et al. Optical coherence tomography angiography: a useful tool for diagnosis of treatment-naïve quiescent choroidal neovascularization. Am J Ophthalmol. 2016;169:189–98. https://doi.org/10.1016/j.ajo.2016.06.042.CrossRefPubMed
55.
Zurück zum Zitat Sivaprasad S, Chandra S, Sadda SV, et al. Predict and protect: evaluating the double-layer sign in age-related macular degeneration. Ophthalmol Ther. 2024;13:2511–41. https://doi.org/10.1007/S40123-024-01012-Y/FIGURES/4.CrossRefPubMedPubMedCentral
56.
Zurück zum Zitat Berni A, Coletto A, Li J, et al. Macular atrophy in neovascular age-related macular degeneration: a systematic review and meta-analysis. Ophthalmol Retin. 2025. https://doi.org/10.1016/J.ORET.2025.01.011.CrossRef
57.
Zurück zum Zitat Borrelli E, Olivieri C, Serafino S, et al. Inter-reader and inter-modality variability in macular atrophy quantification in neovascular AMD: comparison of six imaging modalities. Ophthalmol Retin. 2024. https://doi.org/10.1016/J.ORET.2024.08.017.CrossRef
58.
Zurück zum Zitat Csincsik L, Cheung CMG, Bannon F, et al. Agreement between color, fluorescein angiography, and spectral domain optical coherence tomography in the detection of macular fibrosis in neovascular age-related macular degeneration. Am J Ophthalmol. 2025;272:126–35. https://doi.org/10.1016/j.ajo.2025.01.011.CrossRefPubMed
59.
Zurück zum Zitat Gandhewar R, Guimaraes T, Sen S, et al. Imaging biomarkers and artificial intelligence for diagnosis, prediction, and therapy of macular fibrosis in age-related macular degeneration: narrative review and future directions. Graefe’s Arch Clin Exp Ophthalmol. 2025. https://doi.org/10.1007/S00417-025-06790-0/FIGURES/3.CrossRef

Kompaktes Leitlinien-Wissen Innere Medizin (Link öffnet in neuem Fenster)

Mit medbee Pocketcards schnell und sicher entscheiden.
Leitlinien-Wissen kostenlos und immer griffbereit auf ihrem Desktop, Handy oder Tablet.

Neu im Fachgebiet Innere Medizin

Thyreoidektomie auch bei älteren Patienten sicher

Mehr Begleitkrankheiten, geringere physiologische Reserven: Ältere Patientinnen und Patienten tragen ein erhöhtes Risiko für perioperative Komplikationen. Ob und wie ausgeprägt das für die Thyreoidektomie gilt, war Gegenstand einer Metaanalyse von elf Studien.

Therapie von Oligometastasen verbessert Prognose bei Prostata-Ca.

Die operative Entfernung oder Bestrahlung von Oligometastasen eines Prostatakarzinoms verlängert das progressionsfreie Überleben deutlich, der Effekt auf das Gesamtüberleben bleibt jedoch unklar.

7% durch chronische Schmerzen stark beeinträchtigt

Laut einer Querschnittstudie leiden rund 7% der in Deutschland lebenden über 16-Jährigen unter chronischen Schmerzen, die ihren Alltag stark beeinträchtigen. Außer biologischen scheinen auch psychische und soziale Faktoren mit sogenanntem High-Impact Chronic Pain assoziiert zu sein.

Wie häufig sind radiologische Progressionen ohne PSA-Wert-Anstieg?

Radiologische Progressionen ohne vorherige PSA-Wert-Erhöhungen sind mit 10% recht häufig. Dafür sprechen zumindest Ergebnisse einer explorativen Reanalyse von Daten aus der australisch-neuseeländischen ENZAMET-Studie.   

Update Innere Medizin

Bestellen Sie unseren Fach-Newsletter und bleiben Sie gut informiert.

Bildnachweise
Die Leitlinien für Ärztinnen und Ärzte, Schilddrüsenoperation/© samrith / stock.adobe.com (Symbolbild mit Fotomodell), Stereotaktische Strahlentherapie (SBRT) einer solitären ossären Metastase in dem Brustwirbelkörper/© Springer Medizin Verlag GmbH, Verschiedene Tabletten/© zozzzzo / Getty Images / iStock, Arzt klärt urologischen Patient auf/© RFBSIP / stock.adobe.com (Symbolbild mit Fotomodellen)