Zum Inhalt

Incidental finding of endometrial carcinoma in a first-trimester miscarriage mimicking molar pregnancy: a case report and review of literature

  • Open Access
  • 11.12.2025
  • Case Report
Erschienen in:

Abstract

Background

Endometrium cancer is the most common gynecological cancer in women from developed countries. However, endometrial cancer is rarely seen during pregnancy. In literature, there are 34 cases reported since 1996 and majority were detected in the first trimester. We present a case of endometrial carcinoma in the background of suspected molar pregnancy.

Case presentation

A 39-year-old gravida 3 para 1 lady presented at 5 weeks and 3 days amenorrhea with per vaginal bleeding in Dec 2022. Her serum beta-HCG was 14,634 IU/L and the ultrasound pelvis showed echogenic material in the endometrial cavity with no gestational sac. A follow-up serum beta-HCG at 48 h showed a suboptimal rise to 22,546 IU/L. Findings on a repeat ultrasound pelvis were suspicious of a molar pregnancy. She underwent evacuation of uterus. The histology showed focal well differentiated endometrioid adenocarcinoma with background hyperplasia with and without atypia. Products of conception were also confirmed. Staging scans confirmed radiological stage 1 disease. She declined fertility sparing treatment and opted for definitive surgery. She underwent a total laparoscopic hysterectomy, bilateral salpingectomy with sentinel lymph node biopsy. The final histology showed complex atypical hyperplasia with no residual endometrial adenocarcinoma. The patient recovered well and remained disease-free 21 months after surgery.

Conclusion

Suspicious radiological findings in early pregnancy should prompt meticulous histological evaluation to rule out malignancy. Although endometrial cancer is very rare in pregnancy, it is important for clinicians and pathologists to have high index of suspicion of this possible differential diagnosis.

Publisher’s Note

Springer Nature remains neutral with regard to jurisdictional claims in published maps and institutional affiliations.

Background

Endometrial cancer has become the most common gynecological cancer in developed countries. The life time risk of endometrial cancer is around 3% and the median age at diagnosis is 61 years [1]. 4.2% of all low-grade endometrial cancer cases occur in women under the age of 40 years and the incidence of endometrial cancer in this age group has increased most significantly [2]. These patients usually present with abnormal uterine bleeding [3] with or without risk factors such as family history, obesity, polycystic ovarian syndrome, diabetes mellites, early menarche, late menopause, exogenous estrogen exposure, use of estrogen receptor modulator such as tamoxifen [4]. Progesterone is considered as a protective factor against endometrial cancer [5]. As a result, endometrial cancer is very rare during pregnancy when progesterone level is elevated. There are 34 cases reported to date (Table 1), 30 of which were diagnosed during first trimester when patients had a miscarriage or termination of pregnancy (Table 1). Endometrial cancer was also diagnosed at advanced gestation or during the postpartum period in a few case reports [7] (Table 1). The majority of patients underwent surgical treatment and recovered well after. In this case report, we present a patient with a suspected molar pregnancy who underwent evacuation of uterus. The histology showed endometrial carcinoma. She subsequently underwent staging scans and definitive surgery. She remained well post-surgery at 21-months review.
Table 1
A summary of literature review findings of endometrial cancer associated with pregnancy. Adopted from cancer treat res Commun. 2022:33:100660 and BMC pregnan Childbirth. 2019;19(1):425
Reference
Age
Parity
Risk factors
Symptoms
GA at diagnosis (wks)
Procedure
Stage, grade
Treatment
Outcome
Wall et al. 1953 [6]
36
2
Obesity, pelvic tuboculosis
Bleeding
28
CS
2, G1 adsq
TAH + BSO, intracavity RT
Recurrence, demise at 3yr
Schumann, et al. [8]
43
10
Obesity
Bleeding, complete miscarriage
10–12
EB
IB, G1
TAH + BSO
NED at 20 mo
Westmann, et al. [8]
40
3
Irregular menses
Bleeding, miscarriage
1 st trim
EB
IA, G1
TAH + BSO
NA
Karlen, et al. [8]
21
2
Nil
Bleeding, miscarriage
6–8
D&C
IA, G1
TAH
NED at 6 yr
Sandstrom, et al. [8]
37
0
Nil
Spotting, miscarriage
8–10
D&C
IA, G1
TAH + BSO
NED at 2.5 yr
Zirkin, et al. [8]
42
4
Nil
Bleeding,
1 st trim
D&C
IB, G1
TAH + BSO
NA
Suzuki, et al. [8]
30
1
Nil
Bleeding
7
D&C
IB, G2
TAH + BSO
NED at 5 yr
Pulitzer, et al. [8]
33
0
Nil
Bleeding, miscarriage
1 st trim
TAHBSO for ovarian neoplasm
IA, G1
TAH + BSO
NED at 3 mo
Carinelli, et al. [8]
40
2
Nil
Amenorrhea, abortion
1 st trim
D&C
IA, G1
rep D&C
NED at 6 mo
Hoffmann, et al. [8]
35
2
Nil
No symptoms, abortion
8–9
D&C
IA, G2
TAH + BSO
NA
Orlov, et al. [8]
42
2
Obesity, HTN, recurrent miscarriages
Bleeding, miscarriage
9
D&C
IA, G1
TAH + BSO
NA
Schneller, et al. [8]
26
0
Nil
Amenorrhea, miscarriage
5
D&C
IA, G1
rep D&C
NED at 7mo
Kovacs, et al. 1996 [8]
35
1
Nil
Bleeding, abotrion
10
D&C
IB, G1-G2
BRT + TAH + BSO + RT
NED at 1 year
Schammel, et al. 1998 [8]
38
0
Infertility
Miscarriage
9
D&C
IA, G1
rep D&C
NED at 58 mo
41
0
Infertility, obesity
Bleeding
13
D&C
IA, G1
TAH + BSO
NED at 48 mo
29
2
Nil
Miscarriage
9–10
D&C
IA, G1
NA
NA
34
0
PCOS
Bleeding, miscarriage
13
D&C
IA, G1
PGT + D&C, TAH + BSO
NED at 12 mo
Victoriano8, et al. [8]
NA
NA
NA
Bleeding, miscarriage
1 st trim
D&C
NA
NA
NA
Vaccarello et al. 1999 [6]
35
0
NA
AUB
9
D&C
IA, G1
TAH + BSO
NED at 30mo
Ayhan et al. 1999 [8]
44
2
Nil
Bleeding, miscarriage
5
D&C
IA, G1
TAH + BSO + OMTX + PLND
NA
Vaccarello, et al. [8]
35
0
Anovulation
Bleeding, miscarriage
9
D&C
IA, G1
TAH + BSO
NA
Hannuna et al. 2009 [8]
39
2
Oligomenorrhea
Miscarriage
9
D&C
IA, G1
PGT + D&C
NED at 18 mo
Terada et al. 2009 [6]
29
0
NA
Bleeding, miscarriage
8
D&C
NA, G2
Expectant
NA
Akil et al. 2012 [6]
45
3
Nil
AUB, miscarriage
8
D&C
IA, G1
TAH + BSO + PLND
NA
Tekin et al. 2014 [6]
36
0
PCOS
Bleeding, tubal ectopic
5
D&C
IA, G1
MPA
NED at 1yr
Saciragic et al. 2014 [8]
36
1
Obesity
Miscarriage
8
D&C
IA, G1
TAH + BSO
NA
Zhou et al. 2015 [8]
40
0
Nil
Miscarriage
8
D&C
NA, G1
MPA 600 mg/day
NED at 16w
33
0
Recurrent miscarriages
Miscarriage
9
D&C
NA, G1
Expectant
NED at 8w
Rizzuto et al. 2019 [6]
29
0
Nil
Bleeding, threatened miscarriage
7
Biopsy of soft tissue at cervix
IA, G1
Expectant in pregnancy
FT delivery. LNG-IUD post delivery. Ned at 8 yr
Shiomi et al. 2019 [7]
35
1
Nil
APH (PAS)
35
EM CS and hysterectomy
IA, G1
Lap BSO, PLND
NED at 4yr
Gaulin et al. 2020 [8]
37
NA
HMB
Miscarriage
8
D&C
IA, G1
Mirena and megestrol acetate 160 mg/day
NED at 6mo
Ota et al. 2020 [9]
36
0
Atypical polypoid adenomyoma
Bleeding, IUFD
26
Biopsy
IVB, G3
CCRT
Demise at 11mo
Adnan et al. 2022 [8]
32
0
DM
Miscarriage
7
D&C
IA, G1
Oral progesterone
NED at 6mo and conceived at 30mo
Maeda et al. 2022 [9]
34
0
Infertility treatment
PPROM
23 + 3
EB after vaginal delivery
IA, G2
TAH + BSO + partial OMTX + PLND
NED at 1 yr
Weiss et al. 2023 [10]
43
4
Obesity. GDM
APH
24 + 6
Resection of mass during CS
IA, clear cell (high grade)
TAH + BSO, PLND, PAND, infragastric OMTX. Adjuvant chemo + RT
Recurrence in ileum s/p resection.
Pembrolizumab maintenance
Our case
39
1
Nil
Bleeding,? molar pregnancy
5
Evacuation of uterus
IA, G1
TLH + BS + SLNB
NED at 17mo
Abbreviations: adsq adenosquamous carcinoma, APH antepartum hemorrhage, AUB abnormal uterine bleeding, BSO bilateral salpingo-oophorectomy, BS bilateral salpingectomy, BRT brachytherapy, CCRT concurrent chemo abd radiation therapy, D&C dilatation and curettage, EB endometrial biopsy, EM CS emergency caesarean section, HTN hypertension, HMB heavy menstrual bleeding, IUFD intrauterine fetal demise, LNG-IUD levonorgestrel intrauterine device, PAS placenta accreta spectrum, PCOS polycystic ovarian syndrome, PGT progesterone therapy, PLND pelvic lymph node dissection, mo month, NED no evidence of disease, NA not available, OMTX omentectectomy, RT radiation therapy, TAH total abdominal hysterectomy, TLH total laparoscopic hysterectomy, Yr year

Case presentation

A 39-year-old gravida 3 para 1 lady presented in December 2022 for per vaginal spotting in pregnancy. She denied any abdominal pain. She was 5 weeks and 3 days amenorrheic. Prior to pregnancy, she reported regular menses every 3 weeks. She had a body mass index of 17.6 kg/m2. The patient had one previous full-term vaginal delivery in 2013 and one miscarriage. Her past medical history included tuberculosis which was treated in 2018 and supraventricular tachycardia since 2010 with infrequent recurrent episodes.
Her serum beta-HCG was 14,634 IU/L and ultrasound pelvis showed an empty uterus. The endometrial thickness was 13 mm. There were echogenic materials 2.5 × 1.4 × 0.9 cm within the cavity with no significant vascularity (Fig. 1A). Beta-HCG trending was performed 48 h later and showed a suboptimal rise to 22,546 IU/L (54% rise). A follow-up ultrasound showed multiple cystic spaces in the endometrial cavity, with some cystic spaces showing hypervascularity (Fig. 1B and C). These findings raised the question of a possible molar pregnancy.
Fig. 1
Ultrasound images of the endometrium. A Echogenic material in the endometrial cavity in the first ultrasound B Multiple cystic spaces in the endometrium in the follow up ultrasound 48 hours later. C Color doppler of one of the echogenic areas showing hypervascularity in the follow up ultrasound 48 hours later
Bild vergrößern
The patient underwent an evacuation of uterus using suction vacurette followed by gentle curettage under ultrasound guidance. The definitive histopathological exam confirmed product of conception (Fig. 2A) and also showed focal well-differentiated endometrioid adenocarcinoma (Fig. 2C) with background of endometrial hyperplasia with and without atypia (Fig. 2B). Staging MRI pelvis and CT chest and abdomen were performed which showed 1.5 × 0.7 × 0.7 cm lesion confined to the lower endometrial cavity (Fig. 3A and B) with no loco-regional involvement. Options of definitive surgery versus fertility sparing management were discussed with patient. The patient opted for definitive surgery as she had completed her family and was not keen for future fertility. The case was discussed at a multidisciplinary tumor board meeting and the board recommended to proceed with definitive surgery as patient was not keen for fertility preservation. She underwent total laparoscopic hysterectomy (TLH), bilateral salpingectomy and bilateral sentinel lymph node (SLN) biopsy with ovarian conservation. She recovered well and was discharged on post-operative day 2. The final histology showed no evidence of residual adenocarcinoma. There was a focus of complex hyperplasia without atypia and a focus of complex atypical hyperplasia. Immunological staining reveled positive staining for ER and wild type P53. Peritoneal washing was negative and lymph nodes were not involved. Ancillary studies were performed on the original specimen from dilatation and curettage as endometrial carcinoma was absent on the final hysterectomy specimen. Immunohistochemistry for DNA mismatch repair protein returned normal and there was no microsatellite instability. The case was discussed at the multidisciplinary tumor board and was staged as stage 1 A grade 1 endometrioid adenocarcinoma of the uterus. Patient remained disease-free at 21-months follow-up.
Fig. 2
Histological images of specimen from evacuation of uterus and hysterectomy. A x 20 magnification. Chorionic villi with polar trophoblastic proliferation in keeping with products of conception. A small fragment of endometrial tissue showing complex hyperplasia without atypia is noted. B x 100 magnification. Endometrial tissue showing complex atypical hyperplasia and complex hyperplasia without atypia. C x20 magnification. Endometrial tissue with endometrioid adenocarcinoma, FIGO Grade 1. D x 40 magnification. Endometrial tissue showing hyperplasia without atypia from the hysterectomy specimen
Bild vergrößern
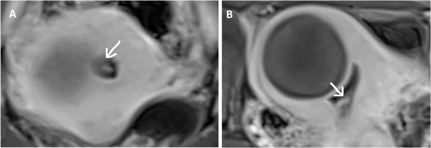
Fig. 3
MRI pelvis post evacuation of uterus. 1.5x0.7x0.7cm endometrial tumor in the lower endometrial cavity, without myometrial invasion. A. Axial view of the endometrial cavity.B. Coronal view of the endometrial cavity
Bild vergrößern

Discussion and conclusions

Our case is the first case reported so far of endometrial cancer mimicking a molar pregnancy. The ultrasound findings of cystic spaces and thickened endometrium can be contributed by both endometrial hyperplasia or malignancy as well as molar pregnancy. Moreover, the patient did not have the classical risk factors of endometrial cancer as she had regular menses, was lean and without exogenous or unopposed estrogen exposure. As such, it is essential to have detailed histological examination and a high level of suspicion if the histology does not correlate to the clinical picture.
A review of the literature was shown in Table 1. There are 34 cases of endometrial cancer in pregnancy reported so far with majority detected in first trimester after a miscarriage. Majority are low grade adenocarcinoma, with one reporting high grade clear cell carcinoma [10] and one adenosquamous carcinoma [6, 8]. Almost all patients were diagnosed with stage 1 disease with one patient diagnosed at stage IVB [11]. Majority of the patients underwent definitive surgery including a total hysterectomy and bilateral salpingo-oophorectomy (BSO). 5 patients had pelvic lymph node dissection (PLND) as well. A few patients decided for expectant management or hormonal treatment with repeat endometrial biopsies. The three cases with clear cell carcinoma, adenosquamous carcinoma and stage IVB adenocarcinoma respectively, did not survive the surveillance period. All patient with early-stage low grade adenocarcinoma remained disease free during the surveillance period and two had successful pregnancies and deliveries subsequently. Interestingly, although some patients had risk factors such as obesity, anovulatory cycles and diabetes, most of the patients including our patient had no identifiable risk factors. This raises the question on the pathophysiology of developing endometrial cancer during pregnancy.
Pregnancy is considered as a protective factor against endometrial cancer and ovarian cancer. The mechanisms leading to the protection include both endocrine and non-endocrine factors [5]. The lack of ovulation and pregnancy shift the hormonal balance to decreased estrogen levels and increased progesterone levels. Estrogen promotes growth of all endometrial cell types while progesterone promotes terminal differentiation of epithelium, induces apoptosis and prevents estrogen-induced proliferation [12, 13]. Therefore, progesterone-dominant pregnancy state leads to reduced mitotic activity and reduced risk of malignant transformation [14]. Fetal antigen hypothesis offers an explanation from a non-endocrine aspect. Fetal/placental cells release certain antigens into maternal circulation during pregnancy, which share some similarities to cancer cells. These antigens are believed to stimulate the maternal immune system to produce protection or natural immunity against tumors expressing the same antigens [15, 16]. There is also an interesting similarity between the placenta and tumors. Trophoblasts migrate away from the basement membrane, lose their polarized structures, penetrate the endometrium and remodel the maternal uterine spiral arteries without being detected by the maternal immune system. Although it is highly invasive like tumors, growth of the human placenta is strictly controlled both spatially and temporally [17]. The underlying mechanism remains to be elucidated with one possibility involving extracellular vesicles (EVs) [17] It is possible that the fetal antigens carried by placental EVs produce the lasting cross-reactive anti-cancer cell antibody responses.
Despite the protective effect of pregnancy against endometrial cancer, some patients did develop endometrial cancer during pregnancy. The underlying pathogenesis is complex and remains to be elucidated. The concept of progesterone unresponsiveness was described decades ago that certain part of the endometrium may not be responsive to progesterone and these progesterone refractory areas may become malignant over time [18]. A similar theory described by Novak and Matzloff in 1924 introduced the idea of “unripe endometrium” which were progesterone-unresponsive [19]. The portion of the endometrium which becomes neoplastic in pregnancy may be sensitive to estrogen but unresponsive to progesterone [20]. Progesterone unresponsiveness may occur in patients with no risk factors such as obesity and anovulation. More research is required to better delineate the pathophysiology of endometrial malignancy during pregnancy.
Assessment of the endometrial gland architecture and cytological details in a gravid uterus is often difficult due to pregnancy related changes. However, in our case, the areas concerned in the curettings showed atypical glands with confluent growth pattern and back-to-back gland arrangement allowing the pathologist to make a confident diagnosis.
In conclusion, our case report and review of the literature highlights the importance of careful histological examination in miscarriages even in women without any risk factors to exclude malignancy. Once detected and managed appropriately, majority of the cases will have excellent prognosis. More research is required to elucidate the mechanism underlying the development of endometrial cancer during pregnancy.

Acknowledgements

The authors thank the radiology department in KK Women’s and Children’s Hospital for providing the ultrasound and MRI images.

Declarations

This case study does not require approval by Institutional Review Board and the Ethics Committee of KK Women’s and Children’s Hospital.
Written informed consent was obtained from the patient for publication of this case report and any accompanying images. A copy of the written consent is available for review by the Editor of this journal.

Competing interests

The authors declare no competing interests.
Open Access This article is licensed under a Creative Commons Attribution-NonCommercial-NoDerivatives 4.0 International License, which permits any non-commercial use, sharing, distribution and reproduction in any medium or format, as long as you give appropriate credit to the original author(s) and the source, provide a link to the Creative Commons licence, and indicate if you modified the licensed material. You do not have permission under this licence to share adapted material derived from this article or parts of it. The images or other third party material in this article are included in the article’s Creative Commons licence, unless indicated otherwise in a credit line to the material. If material is not included in the article’s Creative Commons licence and your intended use is not permitted by statutory regulation or exceeds the permitted use, you will need to obtain permission directly from the copyright holder. To view a copy of this licence, visit http://creativecommons.org/licenses/by-nc-nd/4.0/.

Publisher’s Note

Springer Nature remains neutral with regard to jurisdictional claims in published maps and institutional affiliations.
download
DOWNLOAD
print
DRUCKEN
Titel
Incidental finding of endometrial carcinoma in a first-trimester miscarriage mimicking molar pregnancy: a case report and review of literature
Verfasst von
Yafang Tang
Charissa SY Goh
Qiu Ju Ng
Yen Ching Yeo
Felicia HX Chin
Publikationsdatum
11.12.2025
Verlag
BioMed Central
Erschienen in
BMC Women's Health / Ausgabe 1/2026
Elektronische ISSN: 1472-6874
DOI
https://doi.org/10.1186/s12905-025-04152-w
1.
Zurück zum Zitat Crosbie EJ, Kitson SJ, McAlpine JN, Mukhopadhyay A, Powell ME, Singh N. Endometrial cancer. Lancet. 2022;399(10333):1412–28.CrossRefPubMed
2.
Zurück zum Zitat Matsuo K, Mandelbaum RS, Matsuzaki S, Klar M, Roman LD, Wright JD. Ovarian conservation for young women with early-stage, low-grade endometrial cancer: a 2-step schema. Am J Obstet Gynecol. 2021;224:574–84.CrossRefPubMed
3.
Zurück zum Zitat Pennant ME, Mehta R, Moody P, et al. Premenopausal abnormal uterine bleeding and risk of endometrial cancer. BJOG. 2017;124:404–11.CrossRefPubMed
4.
Zurück zum Zitat Wise MR, Jordan V, Lagas A, Showell M, Wong N, Lensen S, et al. Obesity and endometrial hyperplasia and cancer in premenopausal women: a systematic review. Am J Obstet Gynecol. 2016;214:e6891–17.CrossRef
5.
Zurück zum Zitat Main C, Chen X, Zhao M, Chamley LW, Chen Q. Understanding how pregnancy protects against ovarian and endometrial cancer development: fetal antigens may be involved. Endocrinology. 2022;163(11):bqac141.CrossRefPubMedPubMedCentral
6.
Zurück zum Zitat Wall JA, Lucci JA Jr. Adenocarcinoma of the corpus Uteri and pelvic tuberculosis complicating pregnancy; report of case with delivery of live infant and successful recovery. Obstet Gynecol. 1953;2(6):629–35.PubMed
7.
Zurück zum Zitat Shiomi M, Matsuzaki S, Kobayashi E, Hara T, Nakagawa S, Takiuchi T, et al. Endometrial carcinoma in a gravid uterus: a case report and literature review. BMC Pregnancy Childbirth. 2019;19(1):425.CrossRefPubMedPubMedCentral
8.
Zurück zum Zitat Adnan W, Nik Mahmood WF, Ismail NMZ, Mohamad Zon MP, Othman E, Kamaludin MS. First-trimester miscarriage in the background of endometrial carcinoma. Cancer Treat Res Commun. 2022;33:100660.
9.
Zurück zum Zitat Maeda T, Nishimura M, Sogawa E, Kaji T, Irahara M, Iwasa T. Pathological examination of a placenta leading to the diagnosis of endometrial carcinoma: a case report. Mol Clin Oncol. 2022;16(1):24.CrossRefPubMed
10.
Zurück zum Zitat Weiss F, Kaltofen T, Kanitz V, et al. Clear cell endometrial carcinoma with high microsatellite instability in a complicated pregnancy: a case report. J Med Case Rep. 2023;17:286.CrossRefPubMedPubMedCentral
11.
Zurück zum Zitat Ota E, Nomura H, Omatsu K, Takazawa Y, Takeshima N. A case of endometrial carcinoma progressed during pregnancy resulting in fetal death. Int Cancer Conf J. 2020;9(3):159–61.CrossRefPubMedPubMedCentral
12.
Zurück zum Zitat Key TJ, Pike MC. The dose-effect relationship between ‘unopposed’ oestrogens and endometrial mitotic rate: its central role in explaining and predicting endometrial cancer risk. Br J Cancer. 1988;57(2):205–12.CrossRefPubMedPubMedCentral
13.
Zurück zum Zitat Lacey JV Jr, Mink PJ, Lubin JH, et al. Menopausal hormone replacement therapy and risk of ovarian cancer. JAMA. 2002;288(3):334–41.CrossRefPubMed
14.
Zurück zum Zitat Pike MC, Pearce CL, Wu AH. Prevention of cancers of the breast, endometrium and ovary. Oncogene. 2004;23(38):6379–91.CrossRefPubMed
15.
Zurück zum Zitat Katsanis WA, Shields LB, Spinnato JA, Gerçel-Taylor C, Taylor DD. Immune recognition of endometrial tumor antigens induced by multiparity. Gynecol Oncol. 1998;70(1):33–9.CrossRefPubMed
16.
Zurück zum Zitat Shields LB, Gerçel-Taylor C, Yashar CM, et al. Induction of immune responses to ovarian tumor antigens by multiparity. J Soc Gynecol Investig. 1997;4(6):298–304.CrossRefPubMed
17.
Zurück zum Zitat Sadovsky Y, Ouyang Y, Powell JS, et al. Placental small extracellular vesicles: current questions and investigative opportunities. Placenta. 2020;102:34–8.CrossRefPubMedPubMedCentral
18.
Zurück zum Zitat Risberg B, Grontoft O, Westholm B. Origin of carcinoma in secretory endometrium: a study using a whole-organ sectioining technique. Gynecol Oncol. 1983;15:32–41.CrossRefPubMed
19.
Zurück zum Zitat Novak ER, Woodruff JD. Novak’s gynecology & obstetrical pathology with clinical and endocrine correlations. Philadelphia / London / Toronto: Saunders; 1979. P.183.
20.
Zurück zum Zitat Schneller JA, Anthony D, Nicastri. Intrauterine pregnancy coincident with endometrial carcinoma: A case study and review of the literature. Gynecolohic Oncol. 1994;54:87–90.CrossRef

Neu im Fachgebiet Gynäkologie und Geburtshilfe

Risikoreduzierende Mastektomie könnte Frauenleben retten

Trägerinnen von pathogenen Varianten des BRCA1- oder BRCA2-Gens, die sich zur Risikosenkung einer bilateralen Mastektomie unterziehen, erkranken seltener an Brustkrebs. Doch reduziert die Brustoperation auch die Gesamtmortalität? Ein Studienteam hat nachgesehen.

Erste Leitlinie zur Versorgung von Frauen nach sexualisierter Gewalt

Frauen, die sexualisierte Gewalt erlebt haben, brauchen eine fachgerechte, traumasensible und rechtssichere Versorgung. Dies bundesweit sicherzustellen, ist Ziel der neuen S1-Leitlinie.

Diabetes in der Schwangerschaft macht Kinder infektanfällig

Schwangere mit Diabetes mellitus bringen ihre Kinder mit erhöhter Anfälligkeit für Infektionen zur Welt. Das hat eine US-Studie belegt und auch die Faktoren eruiert, die ein besonderes Risiko darstellen – wie etwa die Palette verfügbarer IgG-Antikörper im Nabelschnurblut.

Vorhaltepauschale: 2,50 Euro mehr pro Fall? Dafür lohnt es sich, einen Blick drauf zu werfen!

  • 11.01.2026
  • EBM
  • Nachrichten

Einfach alles beim alten lassen, oder doch für die Vorhaltepauschale Abläufe ändern? Arzt und Praxisberater Dr. Georg Lübben erläutert im Interview, für wen es sich lohnen könnte, aktiv zu werden.

Update Gynäkologie

Bestellen Sie unseren Fach-Newsletter und bleiben Sie gut informiert – ganz bequem per eMail.

Bildnachweise
Frau nach Mastektomie/© chotiga / Stock.adobe.com (Symbolbild mit Fotomodell), Bluterguss auf dem Unterarm/© millaf / Stock.adobe.com (Symbolbild mit Fotomodell), Arzt und Schwangere im Gespräch/© Pixel-Shot / stock.adobe.com (Symbolbild mit Fotomodellen), Frau ist im Videocall mit einem Arzt/© seb_ra / Getty Images / iStock (Symbolbild mit Fotomodell)