Zum Inhalt

CME: Unkomplizierte Harnwegsinfektionen bei Erwachsenen

Die aktualisierte S3-Leitlinie zu unkomplizierten Harnwegsinfektionen liefert evidenzbasierte Empfehlungen für Diagnostik, Therapie und Prävention – differenziert nach Geschlecht, Alter und Risikoprofil. Ein Überblick über praxisrelevante Neuerungen sowie Diagnose- und Therapie-Algorithmen.

weiterlesen

Weiterführende Themen

CME: Unkomplizierte Harnwegsinfektionen bei Erwachsenen

Die aktualisierte S3-Leitlinie zu unkomplizierten Harnwegsinfektionen liefert evidenzbasierte Empfehlungen für Diagnostik, Therapie und Prävention – differenziert nach Geschlecht, Alter und Risikoprofil. Ein Überblick über praxisrelevante Neuerungen sowie Diagnose- und Therapie-Algorithmen.

weiterlesen

Kasuistiken

Drei Fälle aus der Gerichtsmedizin: Wenn entscheidende Symptome übersehen werden

Nicht immer ist die Ursache eines plötzlichen Todes offensichtlich – und manchmal hätten sorgfältigere Untersuchungen oder rechtzeitiges Handeln sogar Leben retten können. Ausschnitte aus dem Arbeitsalltag eines Rechtsmediziners zeigen, wie wichtig Obduktionen für die Aufklärung sein können.

Kennen Sie das "Purple urine bag syndrome"?

Eine ältere Frau wurde in die Notaufnahme wegen Fieber und einer Verschlechterung des Allgemeinzustands eingeliefert. Die Patientin trägt einen Dauerkatheter, der mit ca. 300 ml lila-gefärbtem Urin gefüllt ist. Dahinter steckt ein Hinweis auf ein spezifisches Stoffwechselproblem.

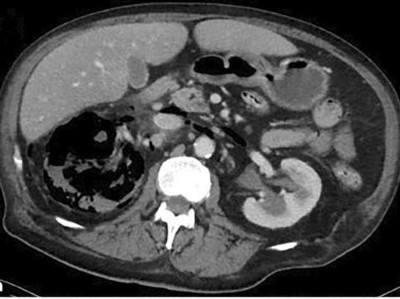
Gas, E. coli, Diabetes – in diesem Notfall sind Sie gefragt

Ein unkontrollierter Diabetes mellitus besteht bei bis zu 95 % der Patienten mit emphysematöse Pyelonephritis. So auch bei dem 55-jährigen Patienten, der notärztlich mit dem Leitbild eines akuten Abdomens vorgestellt wird. Die Diagnose ist nur radiologisch möglich. Ursächlicher Erreger in diesem Fall ist E. coli. Wissen Sie, wie therapiert wird?

Weitere Artikel aus unseren Fachzeitschriften

Neue Antiinfektiva

Wegen der weltweit stark zunehmenden Resistenzproblematik, insbesondere durch nicht indizierte Antibiotikagaben und Tiermast, haben die meisten Neuzulassungen den Status eines Reserveantibiotikums. Vorwiegend handelt es sich um Kombinationen aus …

Die neue Sepsis-S3-Leitlinie – das steht drin

  • Open Access
  • Sepsis
  • Leitlinie

Neue Empfehlungen zu Screening, Akuttherapie und Entlassmanagement: Die S3-Leitlinie "Sepsis – Prävention, Diagnose, Therapie und Nachsorge" ist grundlegend aktualisiert und ergänzt worden. Was ist neu? Zu Beginn der Leitlinie werden die wichtigsten der insgesamt 88 Empfehlungen zusammengefasst und Punkt für Punkt mit der Vorversion verglichen.

Prophylaxe rezidivierender Harnwegsinfektionen mit Nitroxolin – Real-World-Daten aus der ProNitrox-Studie

Harnwegsinfektionen (HWI) gehören zu den häufigsten Krankheitsbildern in der urologischen und hausärztlichen Sprechstunde. Zur Reinfektionsprophylaxe stehen leitliniengerecht antibiotische und nicht-antibiotische Therapien zur Verfügung. Unter den …

Impfen gegen Harnwegsinfekte als neue Präventionsmaßnahme?

Beim Thema Harnwegsinfekte (HWI) kommt die Prävention nicht zu kurz: Es gibt reichlich Empfehlungen, von viel Wasser trinken, über die Einnahme von Probiotika bis hin zum Konsum von Cranberry-Saft. Ein neuerer Ansatz ist es, gegen die Erreger solcher HWI zu impfen. Dabei gibt es allerdings ein paar Besonderheiten zu beachten.

Leitlinie: Kinderwunsch bei Menschen mit Viruserkrankung

Schließen sich eine chronische Infektion und ein Kinderwunsch aus? Mit medizinischer Unterstützung kann eine Transmission verhindert werden. Eine aktuelle Leitlinie zeigt, wie das Vorgehen etwa bei HPV, Hepatitis B und C, Zika sowie HIV gelingen kann.

Point-of-Care-Tests für sexuell übertragbare Infektionen – was ist der aktuelle Stand?

Point-of-Care-Tests revolutionieren die Diagnostik sexuell übertragbarer Infektionen. Doch der hierzulande verfügbare HIV-Selbsttest ist erst zwölf Wochen nach Exposition aussagekräftig. Welche Tests heute schon verfügbar sind und wo die Entwicklung noch hinterherhinkt, lesen Sie hier.

Jungengesundheit im Fokus

Männliche Jugendliche nutzen bestehende Versorgungs- und Aufklärungsangebote zur sexuellen Gesundheit deutlich seltener als ihre weiblichen Altersgenossen. Dieser Beitrag analysiert aktuelle Wissensdefizite, Zugangsbarrieren und Präventionspotenziale und zeigt strukturelle Lösungsansätze auf.

Wie Sie urologische Ursachen von Leistenschmerzen erkennen und behandeln

Bei Hydro- und Spermatozelen ist eine Schmerzsymptomatik ausgesprochen selten. Verschiedene andere urologische Krankheitsbilder können aber zu akuten Schmerzen in der Leistenregion führen. Hodentorsion oder Nierenkolik sind urologische Notfälle – Sie müssen rasch handeln!

Sind Antibiotika doch nicht vom Aussterben bedroht?

Immer wieder heißt es, die Versorgung mit Antibiotika sterbe aus. Doch so ganz entspricht das nicht der Wahrheit, denn es gibt auch Neuheiten im Bereich der Antibiotikatherapie. Einige der neuesten Entwicklungen sind in diesem Artikel am Beispiel der Harnwegsinfekte für Sie zusammengefasst. 

Sonderformate

Kongress Kompakt: Neues aus der Dermatologie

Keine Gelegenheit gehabt, die EADV-Tagung 2024 zu besuchen? Diese Lücke lässt sich prima mit den kurzen Beiträgen zu den besonders praxisrelevanten Abstracts und Vorträgen schließen. Diese werden ergänzt durch Videos, in denen deutsche Expertinnen und Experten die neuen Daten einordnen.

Mit freundlicher Unterstützung von:
  • Novartis Pharma GmbH

Buchkapitel zum Thema

Sonstige Notfälle

Dieses Kapitel gibt einen Überblick über die urologischen und ophthalmologischen Notfälle, die insgesamt sehr selten auftreten, sowie Notfälle aus dem Gebiet der HNO, die insbesondere akute Blutungen umfassen. Auch wenn die Notfälle selten sind …

Viszeraler Schmerz

Grundlagenwissenschaftler definieren viszerale Schmerzen als Schmerzen, die von viszeral innervierten Organen des Thorax, Abdomens und Beckens ausgehen. Kliniker sprechen von Brust- (thorakalen), Bauch- (abdominellen) und Unterbauch- sowie …

Beschwerden und Erkrankungen im urogenitalen Bereich

Die in diesem Kapitel erfassten »Erkrankungen im Urogenitalbereich« nehmen innerhalb der Beratungsergebnisse der Allgemeinpraxis mit 5,5 % ( Kap. 1, Tab. 1.2 einen respektablen Rang ein. In nahezu einem Viertel aller Fälle sind mit Hilfe der …

Urin- und Stuhluntersuchungen

Der Ausschluss oder die frühzeitige Diagnostik von beginnenden Nephropathien und Harnwegsinfekten mittels qualitativer Teststreifenverfahren ist eine Domäne des POCT. Diese und weitere Testverfahren werden im Kapitel ausführlich beschrieben.

Nicht gefunden, wonach Sie suchten?

Probieren Sie es mit der Suchfunktion:

Neu im Fachgebiet Urologie

Wirksamkeit im Vergleich: Abirateron und Enzalutamid bei mHSPC

Bei metastasiertem hormonsensitivem Prostatakarzinom (mHSPC) werden häufig die Hemmstoffe des Androgenrezeptorpfades (ARPI) Abirateron und Enzalutamid eingesetzt. Bisher war jedoch unklar, ob sich deren Wirksamkeit unterscheidet. In einer Studie mit US-Veteranen wurden nun Überlebens- und Tumorwachstumsraten unter den beiden ARPI verglichen.

Bei testikulären Tumoren spukt es manchmal im Gehirn

Plötzlich auftretende Ataxie, Diplopie oder Hörverlust – lassen sich solche Symptome bei Männern nicht erklären, kann sich eine Serumuntersuchung auf neuronale Antikörper lohnen. Die sind mitunter das erste Zeichen eines testikulären Tumors und für den Tumortyp charakteristisch.

Stereotaktische Strahlentherapie bei Prostatakrebs intensiv geprüft

Mit Hilfe der PSMA-PET/CT lassen sich Patienten mit Prostatakarzinomen identifizieren, bei denen eine lokale Therapie möglich ist und die z.B. von einer stereotaktischen Radiotherapie profitieren könnten. Die aktuelle Evidenz dazu wurde auf dem DGHO-Kongress vorgestellt.

Bevölkerungsweites PSA-Screening: Rechtfertigt der Nutzen die Risiken?

Langzeitdaten der European Randomized Study of Screening for Prostate Cancer (ERSPC) bestätigen eine Reduktion der prostatakrebsbedingten Mortalität durch ein bevölkerungsweites PSA-Screening. Die absoluten Effekte sind allerdings nach wie vor klein – und das Risiko für unnötige Eingriffe hoch.


Update Urologie

Bestellen Sie unseren Fach-Newsletter und bleiben Sie gut informiert.

Bildnachweise
Arzt reicht Patientin Urinbecher/© terovesalainen / stock.adobe.com (Symbolbild mit Fotomodellen), Urintest/© AlexRaths / Getty Images / iStock, Person hält sich den Bauch/© anut21ng Stock / stock.adobe.com (Symbolbild mit Fotomodell), Laborkraft benetzt einen Urinteststreifen/© Lothar Drechsel / Stock.adobe.com (Symbolbild mit Fotomodell), Injektion in einen venösen Zugang/© sudok1 / Getty Images / iStock, Arzt tastet Bauch eines Mannes ab/© Kate / Stock.adobe.com (Symbolbild mit Fotomodell), Senior hält Tabletten und Glas Wasser in den Händen/© Andrii Zastrozhnov / Stock.adobe.com (Symbolbild mit Fotomodell), Teststreifen zur Urin-Analyse/© Chamaiporn / stock.adobe.com, Junge Frau erhält Infusion im Krankenhaus/© Pitchayaarch / stock.adobe.com (Symbolbild mit Fotomodell), Spritze wird aufgezogen/© scyther5 / Getty Images / iStock, Junge Frau sitz auf dem Bett und hält sich den Bauch/© Siarhei Khaletski / Getty Images / iStock (Symbolbild mit Fotomodell), Springer Medizin Podcast - Antibiotikatherapie/© Viewfinder / stock.adobe.com, Sonographien Ureteropelviner Stenosen/© Dr. Kammer / LMU München (mit freundlicher Genehmigung), Impfbuch und Spritze/© Henrik Dolle / stock.adobe.com, Drei Blutteströhrchen für sexuell übertragbare Infektionen/© Sherry Young / stock.adobe.com (Symbolbild), In-Vitro Fertilisation/© Christoph Burgstedt / stock.adobe.com, Epididymitis mit verdicktem Nebenhodenkopf, entzündlicher Hyperämie und Begleithydrozele/© Rosellen J et al. / all rights reserved Springer Medizin Verlag GmbH, Jugendlicher im Gespräch mit Ärztin/© JackF / Getty Images / iStock (Symbolbild mit Fotomodellen), Impfung/© DragonImages / stock.adobe.com, Junge Patientin im Gespräch mit einer Ärztin/© FatCamera / Getty Images / iStock (Symbolbild mit Fotomodellen), Klebsiella-Balanitis am Penis/© 2024 European Academy of Dermatology and Venereology, Lila-gefärbter Urin in einem Katheterbeutel/© Franzoi M et al. / all rights reserved Springer Medizin Verlag GmbH, Emphysematöse Pyelonephritis in der kontrastmittelgestützten CT/© Taskin B et al. / all rights reserved Springer Medizin Verlag GmbH, Point of Care Test auf HIV/© Sodel Vladyslav / stock.adobe.com (Symbolbild mit Fotomodellen), Medikamente werden aus dem Schrank geholt/© I Viewfinder / stock.adobe.com (Symbolbild mit Fotomodell), Titelbild Kongress Kompakt EADV 2024/© Hintergrundbild: gnoparus / stock.adobe.com, Search Icon, Älterer Mann mit Tabletten in der Hand/© vorDa / Getty Images / iStock (Symbolbild mit Fotomodell), Mann erleidet Schwindel/© Tunatura / Getty Images / iStock (Symbolbild mit Fotomodell), Stereotaktische Strahlentherapie (SBRT) einer solitären ossären Metastase in dem Brustwirbelkörper/© Springer Medizin Verlag GmbH, Einem Mann wird Blut abgenommen/© auremar / stock.adobe.com (Symbolbild mit Fotomodellen)