Zum Inhalt
Die Urologie

Verschlussazoospermie bei unilateraler zystischer Alteration der Samenblase und kontralateraler Samenblasenagenesie – ein Fallbericht

Erschienen in:
download
DOWNLOAD
print
DRUCKEN
insite
SUCHEN

Zusammenfassung

Ein 29-jähriger Patient mit seit 2 Jahren bestehender primärer Infertilität stellte sich zur weiterführenden Abklärung vor. Wiederholte Spermiogramme zeigten eine Azoospermie bei saurem pH-Wert. Sonographisch zeigte sich ein unauffälliges Hodenparenchym bei normalem Hodenvolumen beidseits, die Samenstränge waren jedoch weder palpatorisch noch sonographisch sicher abgrenzbar. Im MRT zeigte sich ein zystisch erweitertes linkes Vas deferens, eine erweiterte linke Samenblase sowie ein nicht darstellbares rechtes Vas deferens. Eine testikuläre Spermienextraktion (TESE) zeigte eine regelhafte Spermiogenese mit einem Johnson-Score von 9.
QR-Code scannen & Beitrag online lesen

Hinweis des Verlags

Der Verlag bleibt in Hinblick auf geografische Zuordnungen und Gebietsbezeichnungen in veröffentlichten Karten und Institutsadressen neutral.

Anamnese

Ein 29-jähriger Patient stellte sich mit einem seit 2 Jahren bestehenden unerfüllten Kinderwunsch und primärer Infertilität in der Sprechstunde vor. Die Partnerin habe sich bereits einer unauffälligen gynäkologischen Untersuchung unterzogen.
Es bestand eine unauffällige Anamnese für Infektionen, Traumata oder Operationen im Urogenitalbereich bei Status nach Zirkumzision in der Kindheit. Es lagen seitens des Patienten keine Nebenerkrankungen vor und es wurden keine Medikamente eingenommen. Die Familienanamnese war ebenfalls unauffällig.

Befund

Im körperlichen Untersuchungsbefund ergab sich ein regelrechter Ernährungs- sowie Allgemeinzustand ohne klinische Anzeichen eines Hypogonadismus, kein pathologisch auffallendes Behaarungsmuster oder Anzeichen einer Gynäkomastie. Darüber hinaus zeigte sich ein unauffälliger palpatorischer sowie sonographischer Befund beider Hoden. Die Samenleiter konnten jedoch nicht eindeutig palpiert werden. Bereits im Vorfeld der Erstkonsultation in unserer Klinik wurden zwei Spermiogramme im Abstand von 8 Wochen durchgeführt, diese zeigten eine Azoospermie bei Ejakulatvolumen im unteren Normbereich. Bei zudem erniedrigtem pH von jeweils 6,3 wurde der Verdacht auf das Vorliegen einer Verschlussazoospermie geäußert.
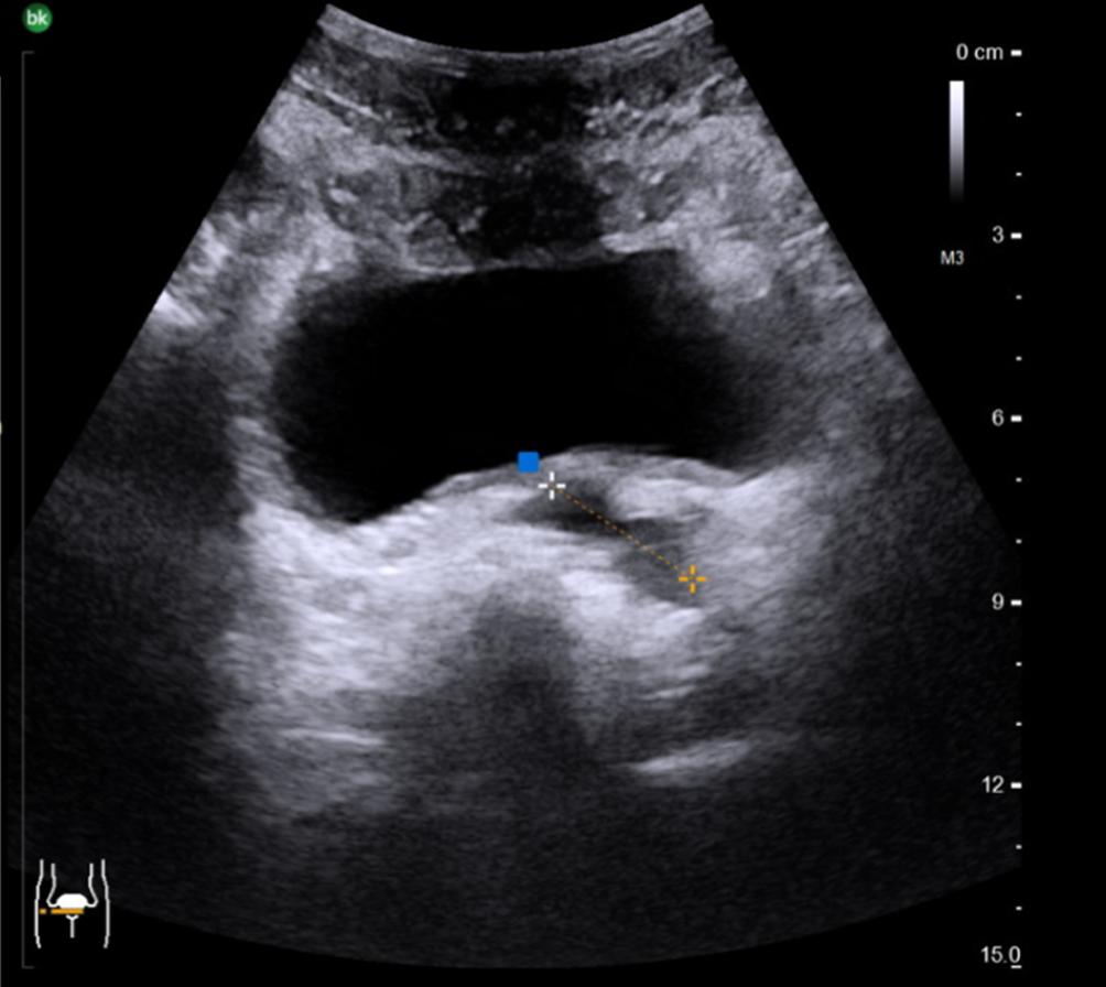
Sonographisch ließ sich eine prominente linke Samenblase im transvesikalen Ultraschall darstellen, sodass eine Bildgebung des Beckens mittels MRT durchgeführt wurde (Abb. 1 und 2). Hier zeigte sich ein zystisch dilatiertes Vas deferens sowie eine deutlich dilatierte Samenblase links bei nicht darstellbarem Vas deferens und Samenblasenagenesie rechts. Zum Ausschluss eines Zinner-Syndroms erfolgte neben einer Sonographie des oberen Harntrakts auch die weitere Diagnostik mittels MRT Abdomen. Bei regelrechtem Befund beider Nieren konnte ein Zinner-Syndrom ausgeschlossen werden.
Zur Vervollständigung der Diagnostik wurde eine genetische Analyse inklusive CFTR („cystic fibrosis transmemrane conductance regulator“)-Testung hinsichtlich Vorliegens einer zystischen Fibrose durchgeführt. Auch hier ergab sich kein pathologischer Befund.
Ein Hormonlabor ergab keinen Hinweis für eine Störung der Hormonachsen.
Abb. 1
Sonographiebefund von transvesikal mit prominenter linker Samenblase dorsal der Harnblase
Bild vergrößern
Abb. 2
MRT Becken im Transversal- (a) und Sagittalschnitt (b) mit Anschnitt der zystisch erweiterten linken Samenblase
Bild vergrößern

Diagnose

Es lag eine Verschlussazoospermie bei Obstruktion durch die in der MRT nachgewiesene Samenblasenagenesie rechts und einen Samenblasenhydrops links vor.

Therapie und Verlauf

Aufgrund des bestehenden Kinderwunsches konnte bei dem Patienten nach vorgängiger Aufklärung eine testikuläre Spermienextraktion (TESE) durchgeführt werden. Erfreulicherweise ergab sich hierbei histologisch ein reguläres, unauffälliges Hodenbiopsat mit histoanatomisch unauffälligen Hodenkanälchen und regelhafter Spermiogenese mit fokal minimaler Desorganisation im Sinne eines Johnson-Scores von 9. Es konnte ausreichend Material für eine im Verlauf geplante intrazytoplasmatische Spermieninjektion (ICSI) entnommen werden.

Diskussion

Ein unerfüllter Kinderwunsch betrifft bis zu 10–15 % der Paare, die gezielte Diagnostik ist vor weiterer Therapieplanung essentiell. Bei nicht eindeutig tastbarem und radiologisch nicht darstellbarem Ductus deferens sollte vor weiterer Therapieplanung wie in unserem Patientenfall nach Ursachen für eine mögliche Samenblasen- und Dukutsagenesie gesucht werden.
Als mögliche Ursache einer Verschlussazoospermie ist neben Infektionen, Traumata und Operationen, die zystische Fibrose als Ursache zu bedenken [6]. In etwa 3 % der Fälle einer Azoospermie lässt sich in der weiteren Abklärung eine Mutation im CFTR nachweisen, welche zu einer Verschlussazoospermie durch eine kongenitale bilaterale Aplasie der Samenleiter (CBAVD) führt [7]. Diese mildeste Variante einer zystischen Fibrose manifestiert sich häufig erst durch Infertilität und einen unerfüllten Kinderwunsch. Vor weiterer Kinderwunschbehandlung sollte im Falle einer CBAVD auch eine genetische Beratung der Partnerin erfolgen, da die Mutation des CFTR autosomal-rezessiv vererbt wird. In unserem Fall konnte eine zystische Fibrose durch genetische Testung ausgeschlossen werden. Aufgrund des bildmorphologisch auffälligen, zystisch dilatierten Vas deferens und der dilatierten linken Samenblase sahen wir auch die Indikation zum Ausschluss eines Zinner-Syndroms als gegeben an. Beim Zinner-Syndrom handelt es sich um einen kongenitalen Fehlbildungskomplex des männlichen Urogenitalsystems, bestehend aus der Trias einer unilateralen Zyste der ipsilateralen Samenblase, Obstruktion des Vas deferens und Agenesie der ipsilateralen Niere [2]. Die Symptome des Zinner-Syndroms reichen von perianalen und skrotalen Schmerzen über Hämatomspermie, Pollakisurie, Hämaturie zu Infertilität. In der Literatur sind etwa 200 Fälle als seltene Ursache der Verschlussazoospermie beschrieben. Das Zinner-Syndrom konnte in diesem Fall jedoch ausgeschlossen werden [1].
Weitere Ursachen der Samenblasenagenesie durch Entwicklungsstörungen der Embryonalzeit aufgrund exogener Umweltauslöser, welche zu Fehlbildungen des Wolff’schen Gangs und damit zu einer unilateralen Samenblasenagenesie führen, sind derweil nur wenig untersucht. Eine Studie bei 141 Patienten mit Infertilität zeigte bei 7 % der Patienten eine Samenblasenagenesie, die zu einem Großteil nur unilateral vorlag [3]. Auf eine Punktion des zystisch dilatieren linksseitigen Vas deferens zur Diagnostik auf vorhandene Spermien wurde aufgrund der möglicherweise rein diagnostischen und fraglich zielführenden therapeutischen Indikation auf Patientenwunsch in unserem Fall verzichtet.
Eine besondere diagnostische und therapeutische Herausforderung der Infertilität stellt sich insbesondere bei komplexen anatomischen Anomalien oder seltenen Ursachen. Umso wichtiger ist es hier, die gezielte Anamnese und eine weiterführende, auch bildgebende, Diagnostik im interdisziplinären Setting durchzuführen. Insbesondere genetische Alterationen sollten vor weiterer Therapieplanung evaluiert werden. Als gängige Methode der Spermiengewinnung bei Männern mit obstruktiver Azoospermie gilt die TESE. Je nach Studienlage variiert die Datenlage zur Erfolgsrate zwischen ca. 55 % bei einer regulären TESE und reicht bis zu 70–80 % bei einer Mikro-TESE [4, 5]. Bei Vorliegen einer Verschlussazoospermie zeigte sich in unserem Patientenbeispiel in der im Verlauf durchgeführten TESE eine regelrechte testikuläre Spermiogenese, so dass weitere Schritte im Rahmen der Kinderwunschbehandlung eingeleitet werden konnten.

Fazit für die Praxis

  • Dieser Fall verdeutlicht die Komplexität männlicher Infertilität und die Notwendigkeit einer umfassenden Diagnostik und Therapieplanung bei Patienten mit anatomischen Anomalien.
  • Differentialdiagnosen einer Verschlussazoospermie, seltene Erkrankungen wie das Zinner-Syndrom oder das Vorliegen einer CFTR-Mutation („cystic fibrosis transmemrane conductance regulator“) sollten im Rahmen der Abklärung bedacht werden.

Einhaltung ethischer Richtlinien

Interessenkonflikt

C. Wittler, D. Engeler und J. Rührup geben an, dass kein Interessenkonflikt besteht.
Für diesen Beitrag wurden von den Autor/-innen keine Studien an Menschen oder Tieren durchgeführt. Für die aufgeführten Studien gelten die jeweils dort angegebenen ethischen Richtlinien. Für Bildmaterial oder anderweitige Angaben innerhalb des Manuskripts, über die Patient/-innen zu identifizieren sind, liegt von ihnen und/oder ihren gesetzlichen Vertretern/Vertreterinnen eine schriftliche Einwilligung vor.
Open Access Dieser Artikel wird unter der Creative Commons Namensnennung 4.0 International Lizenz veröffentlicht, welche die Nutzung, Vervielfältigung, Bearbeitung, Verbreitung und Wiedergabe in jeglichem Medium und Format erlaubt, sofern Sie den/die ursprünglichen Autor(en) und die Quelle ordnungsgemäß nennen, einen Link zur Creative Commons Lizenz beifügen und angeben, ob Änderungen vorgenommen wurden. Die in diesem Artikel enthaltenen Bilder und sonstiges Drittmaterial unterliegen ebenfalls der genannten Creative Commons Lizenz, sofern sich aus der Abbildungslegende nichts anderes ergibt. Sofern das betreffende Material nicht unter der genannten Creative Commons Lizenz steht und die betreffende Handlung nicht nach gesetzlichen Vorschriften erlaubt ist, ist für die oben aufgeführten Weiterverwendungen des Materials die Einwilligung des jeweiligen Rechteinhabers einzuholen. Weitere Details zur Lizenz entnehmen Sie bitte der Lizenzinformation auf http://​creativecommons.​org/​licenses/​by/​4.​0/​deed.​de.

Hinweis des Verlags

Der Verlag bleibt in Hinblick auf geografische Zuordnungen und Gebietsbezeichnungen in veröffentlichten Karten und Institutsadressen neutral.

Unsere Produktempfehlungen

Die Urologie

Print-Titel

Aktuelle Informationen zu Urologie und Uro-Onkologie. Leitthema in jeder Ausgabe. Mit Übersichts- und Originalarbeiten sowie Kasuistiken. Leitlinien zu Diagnostik und Therapie. 12 Hefte pro Jahr.

e.Med Interdisziplinär

Kombi-Abonnement

Für Ihren Erfolg in Klinik und Praxis - Die beste Hilfe in Ihrem Arbeitsalltag

Mit e.Med Interdisziplinär erhalten Sie Zugang zu allen CME-Fortbildungen und Fachzeitschriften auf SpringerMedizin.de.

e.Med Gynäkologie

Kombi-Abonnement

Mit e.Med Gynäkologie erhalten Sie Zugang zu CME-Fortbildungen der beiden Fachgebiete, den Premium-Inhalten der Fachzeitschriften, inklusive einer gedruckten gynäkologischen oder urologischen Zeitschrift Ihrer Wahl.

Weitere Produktempfehlungen anzeigen
download
DOWNLOAD
print
DRUCKEN
Titel
Verschlussazoospermie bei unilateraler zystischer Alteration der Samenblase und kontralateraler Samenblasenagenesie – ein Fallbericht
Verfasst von
Dr. Clarissa Wittler
D. Engeler
J. Rührup
Publikationsdatum
14.04.2025
Verlag
Springer Medizin
Erschienen in
Die Urologie / Ausgabe 9/2025
Print ISSN: 2731-7064
Elektronische ISSN: 2731-7072
DOI
https://doi.org/10.1007/s00120-025-02578-6
1.
Zurück zum Zitat Dai R, Jiang F, Fan J et al (2023) Clinicopathological and genetic features of Zinner’s syndrome: two case reports and review of the literature. Front Urol 3:1257368. https://​doi.​org/​10.​3389/​fruro.​2023.​1257368CrossRefPubMedPubMedCentral
2.
Zurück zum Zitat Djidda A, Badi F‑E, Sabiri M et al (2021) Zinner Syndrome. Eur J Case Rep Intern Med. https://​doi.​org/​10.​12890/​2021_​002628CrossRefPubMedPubMedCentral
3.
Zurück zum Zitat Dominguez C, Boronat F, Cunat E et al (1991) Agenesis of Seminal Vesicles in Infertile Males:Ultrasonic Diagnosis. Eur Urol 20:129–132. https://​doi.​org/​10.​1159/​000471681CrossRefPubMed
4.
Zurück zum Zitat Kavoussi PK, West BT, Chen S‑H et al (2020) A comprehensive assessment of predictors of fertility outcomes in men with non-obstructive azoospermia undergoing microdissection testicular sperm extraction. Reprod Biol Endocrinol 18:90. https://​doi.​org/​10.​1186/​s12958-020-00646-4CrossRefPubMedPubMedCentral
5.
Zurück zum Zitat Lacey L, Henderson I, Hassan S et al (2021) Can preoperative parameters predict successful sperm retrieval and live birth in couples undergoing testicular sperm extraction and intracytoplasmic sperm injection for azoospermia? Middle East Fertil Soc J 26:6. https://​doi.​org/​10.​1186/​s43043-021-00052-9CrossRef
6.
Zurück zum Zitat Schlegel PN (2004) Causes of azoospermia and their management. Reprod Fertil Dev 16:561–572. https://​doi.​org/​10.​10371/​RD03087CrossRefPubMed
7.
Zurück zum Zitat Wang M, Zhou J, Long R et al (2023) An overview of CFTR mutation profiles and assisted reproductive technology outcomes in Chinese patients with congenital obstructive azoospermia. J Assist Reprod Genet. https://​doi.​org/​10.​1007/​s10815-023-03004-6CrossRefPubMedPubMedCentral

Neu im Fachgebiet Urologie

Stereotaktische Strahlentherapie bei Prostatakrebs intensiv geprüft

Mit Hilfe der PSMA-PET/CT lassen sich Patienten mit Prostatakarzinomen identifizieren, bei denen eine lokale Therapie möglich ist und die z.B. von einer stereotaktischen Radiotherapie profitieren könnten. Die aktuelle Evidenz dazu wurde auf dem DGHO-Kongress vorgestellt.

Bevölkerungsweites PSA-Screening: Rechtfertigt der Nutzen die Risiken?

Langzeitdaten der European Randomized Study of Screening for Prostate Cancer (ERSPC) bestätigen eine Reduktion der prostatakrebsbedingten Mortalität durch ein bevölkerungsweites PSA-Screening. Die absoluten Effekte sind allerdings nach wie vor klein – und das Risiko für unnötige Eingriffe hoch.


Metabolische Prozesse – ein Schlüssel zum Verständnis der Tumorbiologie

Darmkrebskranke mit Fettleber entwickeln wohl häufig prognostisch ungünstige Lebermetastasen. Solche metabolischen Prozesse und Signalwege des Tumormetabolismus wurden in einer Session auf der DGHO Jahrestagung diskutiert.

Erfolgreiche Therapie von Hodenkrebs hat ihren Preis

Hodenkrebs gilt selbst in fortgeschrittenen Stadien als sehr gut behandelbare Tumorentität. Doch das ist offenbar nur die halbe Geschichte, wie eine Studie aus Japan zeigt.

Update Urologie

Bestellen Sie unseren Fach-Newsletter und bleiben Sie gut informiert.

Bildnachweise
Verschlussazoospermie bei unilateraler zystischer Alteration der Samenblase und kontralateraler Samenblasenagenesie/© Wittler C et al, Stereotaktische Strahlentherapie (SBRT) einer solitären ossären Metastase in dem Brustwirbelkörper/© Springer Medizin Verlag GmbH, Einem Mann wird Blut abgenommen/© auremar / stock.adobe.com (Symbolbild mit Fotomodellen), Kolorektale Lebermetastase in Segment II, nahe der linken Lebervene (LHV)./© Sucher, E. et al. / all rights reserved Springer Medizin Verlag GmbH, Junger Mann bekommt einen Zugang gelegt/© Tyler Olson / Stock.adobe.com (Symbolbild mit Fotomodell)