Zum Inhalt

Innere Medizin

Nachrichten

Deutliche Rezidivangst bei jeder siebten Brustkrebspatientin

Fünf Jahre nach Diagnose eines frühen Brusttumors leidet jede siebte Langzeitüberlebende unter ausgeprägter Rezidivangst. Besonders betroffen sind Frauen mit Nebenwirkungen der endokrinen Therapie oder ohne eine solche Behandlung.

Schlechter Geruchssinn als mögliches Anzeichen für erhöhtes KHK-Risiko

Ein nachlassender Geruchssinn könnte ein Hinweis auf ein erhöhtes Risiko für die koronare Herzkrankheit (KHK) sein. In einer Analyse von über 5.000 älteren Erwachsenen war die Assoziation in den ersten Jahren nach Testung am stärksten und nahm mit der Zeit ab.

Tiefere Diagnostik, mehr Therapietargets bei metastasiertem Brustkrebs

Eine umfangreichere molekulardiagnostische Aufarbeitung kann bei metastasiertem Brustkrebs mehr therapierelevante Angriffsstellen aufdecken als das Standardvorgehen, was sich in Behandlungsvorteile übersetzt. Dafür sprechen zumindest die ersten Ergebnisse der deutschen CATCH-Studie.     

Zystische Fibrose: Immer mehr Frauen können erfolgreich schwanger werden

Dank verbesserter Therapieoptionen können Frauen mit zystischer Fibrose (CF) heute häufiger Kinder bekommen. Eine retrospektive Analyse aus England zeigt, dass dabei nur selten Komplikationen auftreten.

Antisense-Medikament senkt Triglyzeride und Pankreatitis-Risiko

In zwei Phase-3-Studien zeigte eine Therapie mit dem Antisense-Oligonukleotid Olezarsen einen starken Triglyzerid-senkenden Effekt bei Betroffenen mit schwerer Hypertriglyzeridämie. Auch das Risiko für akute Pankreatitiden reduzierte sich.

Prophylaktische Antibiotika bei Nasentamponade ohne erkennbaren Nutzen

Bei immunsupprimierten Patientinnen und Patienten mit Nasentamponade nach anteriorer Epistaxis konnte durch eine prophylaktische Antibiotikagabe keine Reduktion klinisch relevanter Infektionen erzielt werden. Die Rate unerwünschter Arzneimittelwirkungen lag hingegen deutlich über der Infektionsrate.

SGLT2-Inhibitoren schützen Nieren auch noch im CKD-Stadium 4

Von der nephroprotektiven Wirkung der SGLT2-Inhibitoren profitieren offenbar auch Menschen mit bereits weit fortgeschrittener chronischer Nierenerkrankung.

Steigert Langzeit-Cannabiskonsum das Risiko für Hodentumoren?

Männer, die regelmäßig oder über viele Jahre Cannabis konsumieren, entwickeln häufiger testikuläre Keimzelltumoren – vor allem nicht-seminomatöse Formen. Darauf verweist eine Analyse von drei Fall-Kontroll- und zwei Beobachtungsstudien.

Akute Zystitis kann auf künftigen Krebs hinweisen

Die Diagnose einer akuten Zystitis im Alter ab 50 Jahren hat sich in einer Studie als nützlicher Prädiktor kommender urogenitaler Krebserkrankungen erwiesen. Besonders hoch ist das Risiko demnach in den ersten drei Monaten nach der Blasenentzündung.

Wo ist das größte Innovationspotenzial in der Strahlentherapie?

"Das größte Potenzial liegt in der Verbindung biologischer und technischer Innovationen", sagt Professor Emmanouil Fokas, stellvertretender Sprecher der AG Radiologische Onkologie in der DKG und benennt Beispiele. Über seine radiologischen Highlights auf dem Krebskongress 2026 und wie mehr Nachwuchs für sein Fach begeistert werden kann, erzählt er im Interview.

Mit freundlicher Unterstützung von:
  • Deutsche Krebsgesellschaft und Deutsche Krebshilfe

Therapieoptionen beim NSCLC managen

Prof. Bernd Schmidt, Vorsitzender der pneumologisch-onkologischen AG in der DKG, gibt eine klare Empfehlung, welche Session sich auf dem Krebskongress lohnt: Die Sitzung zum fortgeschrittenen NSCLC. Hier gibt es viele neue Therapieoptionen. Auch das Lungenkrebsscreening wird rege diskutiert werden. Er freut sich auf den Start des Screenings, aber sieht auch einige Herausforderungen auf das Gesundheitssystem zukommen.

Mit freundlicher Unterstützung von:
  • Deutsche Krebsgesellschaft und Deutsche Krebshilfe

Triple-Agonist reduziert Triglyzeride und Leberfett

Bei sehr hohen Triglyzerid-Werten über 500 mg/dl steigt v.a. das Risiko einer akuten Pankreatitis, aber auch jenes für kardiovaskuläre Erkrankungen und Fettleber. Beim US-Herzkongress der American Heart Association wurden jetzt neue wirksame Therapieansätze präsentiert.

Schützt Metformin vor Vorhofflimmern-Rezidiven?

Nach Vorhofflimmern-Ablation kann Metformin möglicherweise das Rezidiv-Risiko bei übergewichtigen Patienten und Patientinnen ohne Diabetes reduzieren. Dies deutet eine aktuell präsentiere Studie an.

Septischer Schock: Kapillarfüllung als Marker für Therapie

Verlässliche Zielmarker zur Beurteilung der Perfusion werden in der Therapie des septischen Schocks seit Längerem gesucht. In einer Studie hat sich nun ein Kandidat bewährt: die Kapillarfüllungszeit.

PCSK9-Hemmer funktioniert auch oral

Trotz guter Möglichkeiten zur Senkung des atherogenen LDL-Cholesterins sind viele Personen mit hohen Risiken unzureichend therapiert. Nun wurde ein oraler PCSK9-Inhibitor entwickelt, der sich in einer Phase-3-Studie wirksam und sicher zeigte.

Brustkrebs: Bestrahlung nach Mastektomie verliert an Bedeutung

Auf eine Thoraxwandbestrahlung nach einer Mastektomie können Frauen mit Brustkrebs und einem intermediären Rezidivrisiko heutzutage offenbar verzichten: In der Phase-3-Studie SUPREMO minderte die Bestrahlung nicht das Sterberisiko.

Fischölkapseln senken kardiovaskuläres Risiko unter Dialyse

Sollten dialysepflichtige Menschen regelmäßig Fischölkapseln schlucken? In der randomisierten PISCES-Studie war die tägliche Einnahme mit einem signifikanten Rückgang schwerer kardiovaskulärer Ereignisse gegenüber einer Placebogruppe assoziiert.

Vorhofflimmern plus Stent: Auf Dauer bitte keinen Plättchenhemmer!

Für KHK-Patienten mit Vorhofflimmern und länger zurückliegender Stent-Implantation ist eine Antikoagulation mit einem DOAK als antithrombotische Monotherapie besser als eine Kombination aus DOAK plus Plättchenhemmer, belegen neue Studiendaten.

5 Mythen rund um die Perimenopause: Eine Gynäkologin klärt auf

Zu den Wechseljahren halten sich noch zahlreiche Fehlannahmen, teilweise auch unter fachlichen Kolleginnen und Kollegen. Die Präsidentin der Deutschen Menopause Gesellschaft ordnet häufig gehörte Mythen ein.

Reihenfolge in der Herzinsuffizienz-Therapie wohl nicht egal

Ob Patienten und Patientinnen, die wegen einer Herzinsuffizienz mit reduzierter Ejektionsfraktion bereits einen RAS-Inhibitor und einen Betablocker erhalten, erst einen Mineralokortikoidantagonisten oder einen SGLT-2-Inhibitor dazubekommen, könnte sich Registerdaten zufolge auf das Mortalitätsrisiko auswirken.

Jeder Zehnte weltweit berichtet über glutenbedingte Beschwerden

Eines systematischen Reviews mit Metaanalyse zufolge gibt rund jeder Zehnte weltweit an, unter einer Nicht-Zöliakie-Gluten- beziehungsweise Weizensensitivität (NZGWS) zu leiden. Bestimmte Bevölkerungsgruppen sind besonders häufig betroffen.

Wirksamkeit im Vergleich: Abirateron und Enzalutamid bei mHSPC

Bei metastasiertem hormonsensitivem Prostatakarzinom (mHSPC) werden häufig die Hemmstoffe des Androgenrezeptorpfades (ARPI) Abirateron und Enzalutamid eingesetzt. Bisher war jedoch unklar, ob sich deren Wirksamkeit unterscheidet. In einer Studie mit US-Veteranen wurden nun Überlebens- und Tumorwachstumsraten unter den beiden ARPI verglichen.

Kombination von DOAK und bestimmten Antiarrhythmika steigert Blutungsrisiko

Erhalten Personen mit nichtvalvulärem Vorhofflimmern DOAK und zugleich interagierende Antiarrhythmika, welche die DOAK-Spiegel steigern, nimmt das Risiko für schwere Blutungen um rund 30% zu. Besonders kritisch ist ein gleichzeitiger Start beider Arzneien.

PCI und Vorhofflimmern: Wie antithrombotisch optimal behandeln?

Patienten und Patientinnen mit Vorhofflimmern nach perkutaner Koronarintervention sind auf Antikoagulation und Plättchenhemmung angewiesen. Soll man beides langfristig kombinieren? Eine neue Studie zeigt, dass es dazu eine bessere Alternative gibt.

Jedes vierte adipöse Kind mit zu hohem Bluthochdruck

Hoher Blutdruck ist bei Kindern und Jugendlichen in Europa offenbar stark verbreitet. Ein internationales Team fordert: Häufiger messen und frühzeitig intervenieren, vor allem bei Adipositas!

Robuste antitumorale Aktivität bei tenosynovialem Riesenzelltumor

Die 2-Jahres-Daten der Phase-III-Studie MOTION bestätigen Vimseltinib als anhaltend wirksame Therapieoption für Patientinnen und Patienten mit tenosynovialen Riesenzelltumoren bei handhabbarem Risikoprofil.

CLL: Resistenzmechanismen bei BTK-Inhibition durchbrechen

Bruton-Tyrosinkinase-Inhibitoren (BTKi) haben die Therapie der chronischen lymphatischen Leukämie (CLL) revolutioniert. Doch Resistenzen schmälern den Therapieerfolg. Neue Ansätze umgehen Resistenzmechanismen oder eröffnen Alternativtherapien.

Passgenauer therapieren in der gynäkologischen Onkologie

"Mit Antikörper-Wirkstoff-Konjugaten können wir sehr gezielt vorgehen, indem Tumorzellen passgenauer zerstört und gesunde Zellen geschont werden." Prof. Anette Hasenburg gibt einen Ausblick auf gynäkoonkologische Themen des DKK 2026 und auf Ihre Highlights. Die minimalinvasive Chirurgie werde zudem immer wichtiger. Manchmal sei dennoch eine Eskalation die beste Option.

Mit freundlicher Unterstützung von:
  • Deutsche Krebsgesellschaft und Deutsche Krebshilfe

Ösophagogastrale Karzinome: "Highlight des Jahres" und mehr

Sowohl bei der zielgerichteten Behandlung als auch der Immuntherapie von resezierbaren Karzinomen des Magens und des gastroösophagealen Übergangs gibt es neue Daten. Ein Highlight: Die Ergebnisse zum Gesamtüberleben der Phase-III-Studie MATTERHORN.

Pincer-Impingement und Coxarthrose: Auf den CE-Winkel kommt es an!

Das sogenannte Beißzangen-Impingement des Hüftgelenks war in einer großen Kohortenstudie mit einem signifikant höheren Risiko für eine spätere Coxarthrose assoziiert – allerdings nur dann, wenn ein bestimmter Wert beim CE-Winkel überschritten wurde.

iFOBT: Positiv ist positiv – Punkt.

Das Ergebnis des fäkalen immunochemischen Tests auf Blut im Stuhl wird üblicherweise qualitativ als positiv oder negativ interpretiert. Ob sich mit einer quantitativen Auswertung das Risiko näher differenzieren lässt, ist in einer Studie untersucht worden.

Nach Herzinfarkt: Schlechtere Karten für Cannabis-Konsumenten?

Cannabis könnte bei jüngeren Menschen, die schon einmal wegen eines akuten Koronarsyndroms behandelt wurden, das Risiko für weitere kardiovaskuläre Ereignisse deutlich erhöhen. Hinweise hierfür finden sich in einer retrospektiven Studie aus Frankreich.

Mammografie-Screening: Das sind Hindernisse und Motivatoren

Brustkrebs ist die häufigste Krebserkrankung bei Frauen. Mit dem Mammografie-Screening können Tumoren potenziell früh erkannt werden – allerdings nehmen es viele Patientinnen nicht in Anspruch. Wie kann man sie besser motivieren?

Vorhofflimmern: Wann auf Antikoagulation (vielleicht) verzichtet werden kann

Sollen Patienten und Patientinnen mit Vorhofflimmern nach erfolgreicher Katheterablation eine orale Antikoagulation erhalten oder nicht? Inzwischen gibt es erste randomisierte Studien, die darauf eine Antwort haben. 

Immuncheckpoint-Blockade überall wirksam – nur nicht bei Lymphomen?

Innerhalb von nur zehn Jahren wurden Checkpoint-Inhibitoren in mehr als 110 Indikationen zugelassen, vor allem bei soliden Tumoren. Das Therapieprinzip ist auch in hämatologischen Indikationen oft erfolgreich, nicht aber bei den großzelligen Lymphomen.

Ursachenspezifische Therapie punktet bei MINOCA

In der italienischen PROMISE-Studie führte eine MINOCA-Behandlung mit umfassender ätiologischer Aufarbeitung im Vergleich mit einem weniger intensiven Standardvorgehen zu einer besseren Symptomkontrolle.

Gestörte Glukosetoleranz nach Gestationsdiabetes: Diese Empfehlungen helfen

Um bei Frauen mit Schwangerschaftsdiabetes im späteren Leben das Entstehen eines manifesten Typ-2-Diabetes zu verhindern, können allgemeine und medikamentöse Maßnahmen helfen. An deren Umsetzung hapert es jedoch.

Erste positive Daten zu Kopf-Hals-Tumoren in der Neoadjuvanz

Auch bei Kopf-Hals-Tumoren eröffnen Checkpoint-Inhibitoren neue Behandlungsmöglichkeiten. Nachdem die adjuvante Gabe wenig erfolgreiche Studienergebnisse hervorbrachte, wird nun der Fokus auf die neoadjuvante und perioperative Gabe gelegt – mit ersten Erfolgen.

Lipidsenker punktet in großer Präventionsstudie

Patienten mit erhöhtem kardiovaskulärem Risiko, aber ohne Herzinfarkt oder Schlaganfall in der Vorgeschichte, profitieren prognostisch von einer Lipidsenkung mit dem PCSK9-Hemmer Evolocumab. Eine Studie dazu wurde kürzlich auf dem AHA.Kongress vorgestellt.

Bei testikulären Tumoren spukt es manchmal im Gehirn

Plötzlich auftretende Ataxie, Diplopie oder Hörverlust – lassen sich solche Symptome bei Männern nicht erklären, kann sich eine Serumuntersuchung auf neuronale Antikörper lohnen. Die sind mitunter das erste Zeichen eines testikulären Tumors und für den Tumortyp charakteristisch.

Stereotaktische Strahlentherapie bei Prostatakrebs intensiv geprüft

Mit Hilfe der PSMA-PET/CT lassen sich Patienten mit Prostatakarzinomen identifizieren, bei denen eine lokale Therapie möglich ist und die z.B. von einer stereotaktischen Radiotherapie profitieren könnten. Die aktuelle Evidenz dazu wurde auf dem DGHO-Kongress vorgestellt.

Gliome zielgerichtet behandeln mit Vorasidenib

IDH (Isocitrat-Dehydrogenase)-Mutationen sind bei Gliomen im Erwachsenenalter ein wichtiger prognostischer und prädiktiver Faktor und zugleich ein ideales Target für eine zielgerichtete Therapie. Mittlerweile gibt es mit Vorasidenib eine zugelassene Behandlungsoption. 

NSCLC: Stellschrauben für den Langzeiterfolg der Immuntherapie

Die Prognose von Patientinnen und Patienten mit nicht-kleinzelligem Lungenkarzinom (NSCLC) hat sich durch die Einführung von Immuntherapien enorm verbessert. Dennoch erreicht nur ein Teil der Betroffenen eine langfristige und stabile Krankheitsremission. Das hat verschiedene Gründe.

Botulinumtoxin in der orthopädischen Schmerztherapie

Chronische Schmerzen und therapieresistent: Botulinumtoxin A könnte dafür eine Lösung sein. Wie der Wirkstoff in der Orthopädie eingesetzt wird, welche Evidenz dafür spricht und wie es um die Kostenübernahme steht, erklärte Dr. Stephan Grüner auf dem Kongress für Orthopädie und Unfallchirurgie.

Schützt GLP-1-Rezeptoragonist vor frühen Schlaganfall-Rezidiven?

Das hohe Rezidivrisiko von Typ-2-Diabetes-Patienten mit leichtem ischämischem Schlaganfall oder TIA kann laut einer randomisierten Studie durch Liraglutid gesenkt werden. Veränderungen in der Sekundärprävention sind trotzdem erst einmal nicht zu erwarten.

STIKO ändert Empfehlung zur Herpes zoster-Impfung

Menschen mit erhöhtem Risiko, an Herpes zoster zu erkranken, empfiehlt die STIKO nun, sich bereits ab 18 statt ab 50 Jahren mit dem Totimpfstoff Shingrix impfen zu lassen.

Bevölkerungsweites PSA-Screening: Rechtfertigt der Nutzen die Risiken?

Langzeitdaten der European Randomized Study of Screening for Prostate Cancer (ERSPC) bestätigen eine Reduktion der prostatakrebsbedingten Mortalität durch ein bevölkerungsweites PSA-Screening. Die absoluten Effekte sind allerdings nach wie vor klein – und das Risiko für unnötige Eingriffe hoch.


Bildgebung in der Nachsorge von Melanomen womöglich nutzlos?

Verschiedene Leitlinien zum Melanom, darunter die deutsche, empfehlen in der Nachsorge von Personen mit hohem Rückfallrisiko, die Betroffenen routinemäßig einer Schnittbildgebung zu unterziehen. Wie nützlich das ist, soll die TRIM-Studie herausfinden.

Risiken von Nierenkranken gesunken, aber immer noch hoch

Patienten mit chronischen Nierenleiden tragen ein überschießendes Risiko für kardiovaskuläre Komplikationen und Blutungen. Das ist noch immer so, auch wenn sich die Situation im vergangenen Jahrzehnt gebessert hat, wie eine Studie belegt.

Hartnäckige Hyponatriämie als erstes Krebsanzeichen

Trotz eines Olfaktoriusneuroblastoms ist eine 36-Jährige komplett frei von sinunasalen Beschwerden. Glücklicherweise führt eine anhaltende Hyponatriämie auf die Spur des Tumors.

Unnötige Strahlenbelastung bei Schwangeren mit Verdacht auf Lungenembolie?

In der Praxis hapert es an der Umsetzung von Empfehlungen, die bei Lungenembolieverdacht in der Schwangerschaft zunächst strahlungsfreie Diagnostikpfade vorsehen. Dafür sprechen zumindest Daten einer Kohortenstudie aus Kalifornien.

ADC-Kombi bewährt sich in der Erstlinie bei HER2-positivem Brustkrebs

Mit Trastuzumab deruxtecan (T-DXd) plus Pertuzumab in der Erstlinientherapie gegen HER2-positive metastasierte Brusttumoren leben Frauen rund 14 Monate länger rezidivfrei als unter einer Standardbehandlung. Dafür sprechen die Resultate einer Phase-3-Studie.

Hochrisiko-Smouldering Myeloma: behandeln oder nicht?

Auf der DGHO-Jahrestagung debattierten zwei Experten, was für Patientinnen und Patienten mit einer asymptomatischen Vorstufe des Multiplen Myeloms ein vertretbares Vorgehen ist. "Watch & Wait" oder besser direkt therapieren? Auf Grundlage der AQUILA-Studie konnte am Ende zumindest ein Konsens gefunden werden.  

Welche Nagelverfärbungen Indikatoren systemischer Erkrankungen sind

Veränderungen der Nagelfarbe und der Gefäßstruktur des Nagelbetts können frühe Anzeichen systemischer Erkrankungen sein. Eine aktuelle Übersichtsarbeit fasst die wichtigsten klinischen Befunde zusammen und erläutert deren diagnostische Relevanz für die ärztliche Praxis.

Es braucht mehr Palliativmedizin in der Hämatoonkologie

Obwohl die Belastung durch Symptome und psychosoziale Herausforderungen bei Erkrankten mit hämatologischen Malignomen (HM) ähnlich ausgeprägt ist wie bei Betroffenen mit soliden Tumoren, erhalten sie nur selten eine angemessene spezialisierte palliativmedizinische Betreuung. Dieser „ungedeckte palliativmedizinische Bedarf“ müsse dringend adressiert werden. 

Bei präoperativer Dyspnoe könnte sich gezieltes Atemtraining lohnen

Eine präoperative Dyspnoe war bei Teilnehmenden eines Prähabilitationsprogramms ein Risikofaktor für suboptimale Ergebnisse nach Op. am Magen-Darm-Trakt. Forschende aus den USA plädieren für ein verstärktes individuelles Atemtraining.

Mit „pflanzlichen“ Supplementen in die adrenale Insuffizienz

Als pflanzlich deklarierte Nahrungsergänzungsmittel gelten mit Blick auf unerwünschte Effekte gemeinhin als harmlos. Wie sehr man sich hier irren kann, zeigt ein Fallbericht.

Podcast

Frailty: Funktionalität erhalten – aber wie?

Ab 60 Jahren in die Muckibude? Häufiger ein Frühstücksei im Alter? Zurückhaltung bei der Blutdruckregulation? Persönlich wie auch fachlich besprechen Markus M. Lerch und Cornel Sieber die Besonderheiten bei Prävention und Therapien im Alter. Und was es eigentlich bedeutet, gebrechlich – also frail – zu sein.

Welche Operation bei Sigmadivertikulitis im Alter?

Ob bei komplizierter Sigmadivertikulitis eine Hartmann-Operation oder eine Sigmaresektion mit primärer Anastomosierung und vorgeschaltetem Ileostoma vorgenommen wird, kann Medicare-Daten zufolge auch bei älteren Menschen individuell entschieden werden.

Wer braucht eine Cotrimoxazol-Prophylaxe?

Der einzellige Schlauchpilz Pneumocystis jirovecii kann bei Menschen mit gestörter zellulärer Immunabwehr zu lebensbedrohlichen opportunistischen Infektionen führen. Eine Prophylaxe mit Cotrimoxazol kann die Inzidenz und Mortalität einer Pneumocystis-Pneumonie senken. Auch bei Krebskranken hat es in bestimmten Konstellationen seinen Stellenwert.

Bispezifische Antikörper – auch bei soliden Tumoren vielversprechend

Die T-Zell-basierte Immuntherapie mit Checkpoint-Inhibitoren, CAR-T-Zellen oder bispezifischen Antikörpern ist vor allem bei hämatologischen Malignomen erfolgreich. Bei soliden Tumoren sind die Therapieerfolge bislang noch limitiert. Doch aktuelle Studien und Strategien lassen hoffen.

Erhöhtes kardiovaskuläres Risiko durch virale Infektionen

Bestimmte Virusinfektionen lassen das Risiko für koronare Herzkrankheit, Schlaganfall und andere kardiovaskuläre Ereignisse signifikant ansteigen. Besonders ausgeprägt ist dieser Zusammenhang bei Influenza und SARS-CoV-2.

Neue Wirkprinzipien beim Melanom optimal einsetzen

Ab 2011 wurden mit BRAF-/MEK- und Checkpoint-Inhibitoren sowie onkolytischen Viren mehrere innovative Wirkansätze für die Therapie des metastasierten Melanoms zugelassen. Auf dem DGHO-Kongress stellte Prof. Annkristin Heine, Graz, den aktuellen Erkenntnisstand zur optimalen Sequenz, Dauer und zu Deeskalationsmöglichkeiten der neueren Therapien vor.

Gonarthrose-Therapie: Was bei der medikamentösen Therapie wichtig ist

Reichen Bewegung und andere nicht-pharmakologische Therapien bei Gonarthrose nicht aus, werden Medikamente nötig. Die neue Leitlinie zeigt, welche Wirkstoffe empfohlen werden, wo Risiken bestehen und wann Injektionen oder sogar eine Radiosynoviorthese infrage kommen.

Multikinasehemmer verlängert Leben bei mikrosatellitenstabilem mCRC

Die Kombination aus Zanzalintinib und Atezolizumab bietet vorbehandelten Personen mit metastasierten mikrosatellitenstabilen Kolorektalkarzinomen (mCRC) deutliche Vorteile: In einer Phase-3-Studie lebten sie 1,5 Monate länger als unter einer Monotherapie mit Regorafenib.

Metabolische Prozesse – ein Schlüssel zum Verständnis der Tumorbiologie

Darmkrebskranke mit Fettleber entwickeln wohl häufig prognostisch ungünstige Lebermetastasen. Solche metabolischen Prozesse und Signalwege des Tumormetabolismus wurden in einer Session auf der DGHO Jahrestagung diskutiert.

Neue medikamentöse Optionen bei Tumorkachexie in den Startlöchern

Bei Tumorkachexie solle eine Ernährungstherapie, idealerweise in Kombination mit Bewegung, auf Basis eines regelmäßigen Screenings immer angeboten werden, rät Dr. Jann Arends aus Freiburg. Nun deute sich auch pharmakologische Unterstützung an.

CLL: Venetoclax-Erstlinienkombinationen langfristig wirksam

Die 5-Jahresdaten der CLL13-Studie bestätigen die Langzeitwirksamkeit zeitlich begrenzter, chemotherapiefreier Kombinationen mit Venetoclax bei therapienaiven Patientinnen und Patienten mit chronischer lymphatischer Leukämie (CLL) ohne TP53-Alterationen.

Bisher unerreichte Remissionstiefen beim Multiplen Myelom

Ein Highlight der Best-Abstract-Session auf dem DGHO: Mit Induktionsregimen auf Basis des bispezifischen Antikörpers Teclistamab konnte bei Erkrankten mit neu diagnostiziertem, transplantationsgeeignetem Multiplem Myelom eine hohe MRD-Negativität erreicht werden.

Polypharmazie bei Krebs – so gelingt die Delirprävention

Die medikamentöse Versorgung älterer Krebskranker ist oft komplex – viele nehmen bereits vor der Tumordiagnose mehrere Arzneimittel ein. Diese Polypharmazie birgt Risiken, insbesondere für die Entwicklung eines Delirs. Auf der DGHO-Jahrestagung gab Dr. Nina Rosa Neuendorff, Herne, Tipps zur Prävention bei Hochbetagten.

Brustkrebs: Bei hohem Risiko ist T-DXd neoadjuvant von Vorteil

Prof. Dr. Nadia Harbeck, München, berichtete beim ESMO von besonders hohen Raten eines pathologischen Komplettansprechens bei Patientinnen mit frühem HER2+ Mammakarzinom und hohem Risiko. Neoadjuvant verabreicht wurden vier Zyklen Trastuzumab deruxtecan (T-DXd) plus vier Zyklen Paclitaxel, Trastuzumab und Pertuzumab (THP) .

Tripletherapie lohnt sich bereits bei moderat emetogener Chemotherapie

Eine antiemetische Behandlung mit einem NK₁-Antagonisten kann auch schon bei einer moderat emetogenen Chemotherapie von Vorteil sein – und zwar dann, wenn individuelle Faktoren wie Alter oder Morgenübelkeit in der Schwangerschaft ein hohes emetogenes Risiko nahelegen.

Kopfschmerzen im Schlaf – woran es liegt und was dagegen hilft

Wer regelmäßig nachts mit brummendem Schädel aufwacht, leidet womöglich unter schlafgebundenem Kopfschmerz. Die aktuelle S1-Leitlinie "Therapie anderer primärer Kopfschmerzerkrankungen" gibt dazu diagnostische und therapeutische Empfehlungen. Zunächst aber müssen sekundäre Ursachen ausgeschlossen werden.

Myopathien und Myasthenia gravis auch schmerzmedizinisch abklären!

Schmerzen können auch bei neuromuskulären Erkrankungen auftreten – allerdings werden sie nicht immer erfasst. Praktische Empfehlungen für das Vorgehen bei Myopathien und Myasthenia gravis.

Neue Optionen bei Fibromyalgie – und viel Luft nach oben

„Es gibt kein Wundermittel gegen die Fibromyalgie“ – so lautete ein ernüchterndes Fazit auf dem Deutschen Schmerzkongress. Aber: Digitale Gesundheitsanwendungen, TENS und neue medikamentöse Optionen können den Betroffenen potenziell helfen. 

Neuer Risikofaktor für zerebrale Mikroblutungen?

Zerebrale Mikroblutungen entstehen gehäuft bei Menschen, die an mittelschwerer bis schwerer obstruktiver Schlafapnoe leiden. Dieses Ergebnis einer Längsschnittstudie könnte einen neuen Ansatz zur Prävention aufzeigen.

Knöchel-Arm-Index wohl kein Marker für verkalkte Herzklappen

Ein niedriger Knöchel-Arm-Index kann zwar Hinweise auf eine (subklinische) Atherosklerose geben. Als Marker für die Verkalkung von Herzklappen ist der Wert jedoch wohl kaum geeignet.

Adaptiver Stent gegenüber konventionellem bei KHK von Vorteil?

Lassen sich mit einem neuartigen Koronarstent-Implantat, das sich mit der Zeit der natürlichen Gefäßfunktion anpasst, langfristig bessere Ergebnisse als mit konventionellen Stents erzielen. Neue Studienergebnisse deuten in diese Richtung.

Erfolgreiche Therapie von Hodenkrebs hat ihren Preis

Hodenkrebs gilt selbst in fortgeschrittenen Stadien als sehr gut behandelbare Tumorentität. Doch das ist offenbar nur die halbe Geschichte, wie eine Studie aus Japan zeigt.

Ovarialkarzinom: Mit Immuntherapie bei Platinresistenz endlich ein Fortschritt

Seit Jahren sind Bemühungen vergeblich verlaufen, die Prognose von Patientinnen mit rezidiviertem Ovarialkarzinom und Platinresistenz zu verbessern. Jetzt gibt es eine positiv ausgegangene Studie.

Angeleitetes Home-Training gegen Fatigue unter zielgerichteter Therapie

Krebsbedingte Fatigue ist ein häufiges und belastendes Symptom unter oraler zielgerichteter Therapie (OTT). Obwohl die Vorteile von Bewegung bei lokaler Krebserkrankung bekannt sind, fehlen Daten zur metastasierten Situation. In der QUALIOR-Studie wurde deshalb ein betreutes Bewegungsprogramm für zu Hause erprobt.

Wie steht es um die Strahlenbelastung des Personals bei distalem radialem Zugang?

Seit einiger Zeit gewinnt der linke distale radiale Zugang für Koronarinterventionen an Bedeutung. In einer aktuellen Studie wurde untersucht, ob es für die Strahlenbelastung von Kardiologinnen und Kardiologen einen Unterschied macht, ob sie diesen oder den „konventionellen“ Zugang wählen.

Stockholm3-Test bei Prostata-Ca. prognostisch relevanter als PSA

Der multimodale Bluttest Stockholm3 identifiziert aggressive Prostatatumoren mit hohem Rückfallrisiko deutlich präziser als der PSA-Wert allein. Darauf deuten Langzeitdaten einer schwedischen Studie.

Vorhofflimmern bei terminaler Niereninsuffizienz: welche Schlaganfall-Prophylaxe?

Antikoagulation oder Vorhofohrverschluss – welche Option für eine Schlaganfall-Prophylaxe ist für Risikopatienten mit Vorhofflimmern und terminaler Niereninsuffizienz die bessere Wahl? Eine registerbasierte Vergleichsstudie liefert dazu neue Erkenntnisse.

Herzkongress AHA 2025: Diese neuen Studien sollten Sie im Blick haben!

Am 8. November 2025 startet in New Orleans der diesjährige Herzkongress der American Heart Association (AHA) – wieder gut gespickt mit als wichtig erachteten neuen Studien, die das Potenzial haben, die kardiologische Praxis zu verändern.

Immunität nach COVID-19-Pandemie bei Kindern deutlich schlechter

Im Gefolge der COVID-19-Pandemie ist die Rate invasiver Streptokokkeninfektionen bei Kleinkindern deutlich gestiegen. Ein internationales Team weist einen Zusammenhang mit den Maßnahmen zur Bekämpfung der Pandemie (Lockdown, Maskenpflicht, Abstandsregeln) nach.

ctDNA-gestützte adjuvante Immuntherapie lohnt sich bei MIBC

Sind Personen mit muskelinvasiven Harnblasenkarzinomen (MIBC) nach einer Blasenresektion ctDNA-positiv, lohnt sich eine adjuvante Immuntherapie: In einer Phase-3-Studie lebten solche Menschen deutlich länger als Betroffene ohne adjuvante Behandlung.

Sentinel-Lymphknoten-Biopsie genügt bei frühen Zervixkarzinomen

Zeigen Wächterlymphknoten bei frühen Zervixkarzinomen keinen Befall, ist auch keine pelvine Lymphadenektomie nötig. Nach drei Jahren war die krebsspezifische Sterberate in einer Studie nicht höher, die Komplikationsrate aber geringer als nach der Lymphadenektomie.

Galenus-Preis 2025: Forschung zu Antibiotika-Alternativen gewinnt in der Kategorie Grundlagenforschung

Antikörper gegen Virulenzfaktoren von Pseudomonas aeruginosa könnten in Zukunft zu einer Alternative für Antibiotika werden. Für seine Forschungsarbeiten in diesem Bereich erhält ein Team des Universitätsklinikums Köln den Galenus-von-Pergamon-Preis für Grundlagenforschung.

Bakterielle Vaginose: Intravaginale Ascorbinsäure statt Antibiotika?

Die bakterielle Vaginose ist ein mitunter hartnäckiges Krankheitsbild. Ob Ascorbinsäure eine therapeutische Ergänzung oder Alternative zu Antibiotika darstellen könnte, ist im Zuge einer Metaanalyse untersucht worden.

Mitralinsuffizienz: Neue Therapieoption für „unbehandelbare“ Patienten

Ein neues katheterbasiertes Verfahren zum vollständigen Ersatz der Mitralklappe bei Patienten mit Mitralklappeninsuffizienz, für die keine anderen Therapieoptionen mehr infrage kommen, hat sich in einer Studie als erfolgversprechend erwiesen.

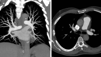
Lungenembolie mit weniger Bildgebung sicher ausschließen

Der seit Jahren zunehmende Einsatz der CT-Pulmonalisangiografie (CTPA) korreliert nicht mit der Entdeckung klinisch relevanter Lungenembolien. Französische Notärztinnen und -ärzte plädieren deswegen für einen neuen Diagnosealgorithmus, mit dem sich bildgebende Untersuchungen einsparen lassen, ohne die Sicherheit der Patienten zu gefährden.

Reizdarmpatienten entwickeln häufiger chronisch entzündliche Darmerkrankungen

Eine groß angelegte Kohortenstudie mit Daten aus der UK Biobank kommt zu dem Ergebnis, dass Menschen mit Reizdarmsyndrom (RDS) ein signifikant erhöhtes Risiko haben, im Verlauf ihres Lebens an einer chronisch entzündlichen Darmerkrankung (CED) zu erkranken. Besonders gefährdet ist dabei ein bestimmter RDS-Typ.

Reduzieren SGLT2-Hemmer das Risiko für postoperative Komplikationen?

Menschen mit Typ-2-Diabetes, die mit einem SGLT2-Inhibitor behandelt werden, haben nach Operationen offenbar eine geringere Mortalität und Morbidität. Laut einer Datenbankanalyse ist sogar das Risiko für Ketoazidosen reduziert. Daraus sollten jedoch keine voreiligen Schlüsse gezogen werden.

Exagamglogen-Autotemcel gewinnt den geteilten Preis in der Kategorie Orphan Drugs

Exagamglogene autotemcel (Exa-cel) von Vertex Pharmaceuticals ist die derzeit einzige zugelassene Geneditierungstherapie zur Einmalbehandlung der transfusionsabhängigen β-Thalassämie und der schweren Sichelzellkrankheit. Sie erhält als eine von zwei Substanzen den Galenus-von-Pergamon-Preis in der Kategorie Orphan Drugs.

Insulin icodec gewinnt in der Kategorie Primary Care

Insulin icodec von Novo Nordisk Pharma ist ein Basalinsulin mit neuem Speichermechanismus, das die Insulintherapie bei Erwachsenen mit Diabetes mellitus vereinfachen soll. Statt täglich muss das Basalinsulin nur noch einmal wöchentlich injiziert werden. Die Arznei hat den Galenus-von-Pergamon-Preis in der Kategorie Primary Care gewonnen.

Mirvetuximab-Soravtansin gewinnt in der Kategorie Specialist Care

Mit Mirvetuximab-Soravtansin von AbbVie steht die erste Therapie des platinresistenten, high-grade serösen Ovarialkarzinoms (OCa) zur Verfügung, die in einer Phase-III-Studie mit einer klinisch bedeutsamen Verlängerung des Gesamtüberlebens im Vergleich zu einer Chemotherapie nach Wahl des Prüfpersonals assoziiert war. Die Arznei gewinnt den Galenus-von-Pergamon-Preis in der Kategorie Specialist Care.

Sotatercept gewinnt den geteilten Preis in der Kategorie Orphan Drugs

Der Aktivin-Signalweg-Inhibitor Sotatercept von MSD Sharp & Dohme ist der First-in-Class-Wirkstoff zur Behandlung der pulmonalen arteriellen Hypertonie, mit dem das Fortschreiten der Erkrankung verlangsamt und die körperliche Leistungsfähigkeit der Betroffenen verbessert werden kann. Die Substanz erhält als eine von zwei Substanzen den Galenus-von-Pergamon-Preis in der Kategorie Orphan Drugs.

COVID-19-mRNA-Impfung als Booster für die Krebsimmuntherapie?

Epidemiologische sowie Tiermodelldaten legen nahe, dass eine mRNA-basierte COVID-19-Vakzinierung die Effektivität einer Immuncheckpointhemmung steigern kann. Die Effekte sind vielversprechend – müssen sich jedoch erst in prospektiver klinischer Prüfung bewähren.

Lungenembolie: Standard-Antikoagulation oder zusätzlich mechanische Thrombektomie?

Werden durch eine zusätzliche mechanische Thrombektomie bei Patienten und Patientinnen mit akuter Lungenembolie hinsichtlich Rechtsherzbelastung bessere Behandlungsergebnisse erzielt als mit einer Standard-Antikoagulation allein? Eine aktuelle Studie gibt die Antwort. 

Bildnachweise
Ältere Frau fasst sich an die Brust/© Jelena Stanojkovic / Stock.adobe.com (Symbolbild mit Fotomodell), Eine ältere Frau riecht an einem Basilikumblatt/© Halfpoint / Stock.adobe.com (Symbolbild mit Fotomodell), Person setzt DNS-Probe in Maschine ein/© Vit Kovalcik / stock.adobe.com, Schwangere/© Yakobchuk Olena / Stock.adobe.com (Symbolbild mit Fotomodell), Mann raucht Joint/© Daniel Sierralta / Westend61 / stock.adobe.com (Symbolbild mit Fotomodell), Blut in Toilette/© stylefoto24 / stock.adobe.com, Ultraschall bei einem älteren Patienten/© Alex Potemkin / Getty Images / iStock (Symbolbild mit Fotomodellen), Person hält Tablette und Glas/© bilderstoeckchen / stock.adobe.com (Symbolbild mit Fotomodell), Pulsoximeter wird an Finger angeschlossen/© Yakobchuk Olena / stock.adobe.com, Frau hält sich eine Brustseite nach Mastektomie/© chotiga / Stock.adobe.com (Symbolbild mit Fotomodell), Frau in der Menopause mit Hormonpflaster/© Anchiy / Getty Images / iStock (Symbolbild mit Fotomodell), Ältere Person sortiert Medikamente/© Przemek Klos / stock.adobe.com (Symbolbild mit Fotomodell), Frau hat Bauchschmerzen nach dem Konsum von Brot/© weyo / stock.adobe.com (Symbolbild mit Fotomodell), Älterer Mann mit Tabletten in der Hand/© vorDa / Getty Images / iStock (Symbolbild mit Fotomodell), Frau hält Tabletten-Blister und Beipackzettel in der Hand/© Vladimir Vladimirov / Getty Images / iStock (Symbolbild mit Fotomodell), Medikamente und Medikationsplan/© Photographee.eu / stock.adobe.com, Adipösem Jungen wird Blutdruck gemessen/© New Africa / stock.adobe.com (Symbolbild mit Fotomodell), Frau unkenntlich fasst sich ans Knie/© Pornpak Khunatorn / Getty Images / iStock (Symbolbild mit Fotomodell), Blutabstrich der chonisch lymphatischen Leukämie/© jarun011 / Getty Images / iStock, Endoskopische Befunde des Magenkarzinoms/© Probst, A., Messmann, H. / all rights reserved Springer Medizin Verlag GmbH, Hand hält Laborröhrchen/© Kunstzeug / stock.adobe.com (Symbolbild mit Fotomodell), Radiologin richtet Mammographiescreening ein/© LIGHTFIELD STUDIOS / stock.adobe.com (Symbolbild mit Fotomodellen), Mann hält Tablette und ein Glas Wasser in den Händen/© somenski / Fotolia (Symbolbild mit Fotomodell), Diffus großzelliges B-Zell-Lymphom (DLBCL)/© David A Litman / stock.adobe.com, Schwangere misst Blutzucker/© MMPhotography / Getty Images / iStock (Symbolbild mit Fotomodell), Infusion/© georgeoprea9 / Getty Images / iStock, Mann erleidet Schwindel/© Tunatura / Getty Images / iStock (Symbolbild mit Fotomodell), Stereotaktische Strahlentherapie (SBRT) einer solitären ossären Metastase in dem Brustwirbelkörper/© Springer Medizin Verlag GmbH, Hirntumoren sichtbar im MRT/© semnic / Getty Images / iStock (Symbolbild mit Fotomodell), Endobronchialer Befund mit exophytischem Tumor im Bereich des rechten Oberlappens/© Möller, M., Schütte, W. / all rights reserved Springer Medizin Verlag GmbH, Aufziehen einer Spritze/© Eisenhans / Fotolia, Adipöser Mann konsultiert Ärztin/© Halfpoint / stock.adobe.com (Symbolbild mit Fotomodellen), Herpes Zoster am Rücken/© Mumemories / Getty Images / iStock (Symbolbild mit Fotomodell), Einem Mann wird Blut abgenommen/© auremar / stock.adobe.com (Symbolbild mit Fotomodellen), Mann erhält einen CT-Scan /© Mark Kostich / stock.adobe.com (Symbolbild mit Fotomodell), Frau wird Blut abgenommen/© andresr / Getty Images / iStock (Symbolbild mit Fotomodellen), CT-Pulmonalisangiographie/© Das M et al. doi.org/10.1007/s00117-016-0100-3 unter CC-BY 4.0, Eine Frau erhält eine Chemotherapie/© peopleimages.com / stock.adobe.com (Symbolbild mit Fotomodell), Blutentnahme/© fotoblin / Fotolia (Symbolbild mit Fotomodellen), Älter Patient im Klinikbett/© Yakobchuk Olena / stock.adobe.com (Symbolbild mit Fotomodellen), Lungentrainer/© S@photo / stock.adobe.com (Symbolbild mit Fotomodell), Tabletten werden in Hand geschüttet/© O.Farion / Stock.adobe.com (Symbolbild mit Fotomodell), DGIM Podcast-Reihe - Frailty/© (M) David L / peopleimages.com / Stock.adobe.com (Symbolbild mit Fotomodell), akute Sigmadivertikulitis/© Springer Medizin, Pneumocystis-jirovecii-Pneumonie in der CT/© Springer Medizin, Tumorzellen werden von T-Zellen attackiert/© drimafilm / stock.adobe.com, Melanom Nahaufnahme/© selvanegra / Getty Images / iStock (Symbolbild mit Fotomodell), Mann appliziert Salbe auf sein Knie/© Ake Ngiamsanguan / Getty Images / iStock (Symbolbild mit Fotomodell), Kolorektales Karzinom/© Pox, C.P. et al. / all rights reserved Springer Medizin Verlag GmbH, Kolorektale Lebermetastase in Segment II, nahe der linken Lebervene (LHV)./© Sucher, E. et al. / all rights reserved Springer Medizin Verlag GmbH, Hals und Schultern einer sehr mageren Frau/© nielskliim / stock.adobe.com (Symbolbild mit Fotomodell), Infusionstropf im Krankenhaus /© Trsakaoe / stock.adobe.com, Senior nimmt Medikament an/© Yuri Arcurs / Fotolia (Symbolbild mit Fotomodellen), Mehrere Personen erhalten Chemotherapie/© FatCamera / Getty Images / iStock (Symbolbild mit Fotomodellen), Frau mit Kopf- und Bauchschmerzen/© astrosystem / stock.adobe.com (Symbolbild mit Fotomodell), Ältere Frau mit Kopfschmerzen im Bett/© digitalskillet / iStock (Symbolbild mit Fotomodell), Störung der Lidhebung bei Myasthenia gravis/© Alessandro Grandini / stock.adobe.com (Symbolbild mit Fotomodell), Cannabisarzneimittel/© [M] Rocky89 / Getty images / iStock, Eine Person sitzt müde im Bett und stützt den Kopf auf die Hände/© demaerre / Getty Images / iStock (Symbolbild mit Fotomodell), Junger Mann bekommt einen Zugang gelegt/© Tyler Olson / Stock.adobe.com (Symbolbild mit Fotomodell), Frau mit Kopftuch und Infusion/© FatCamera / Getty Images / iStock (Symbolbild mit Fotomodell), Ältere Frau hält Hanteln in den Händen/© yavdat / stock.adobe.com (Symbolbild mit Fotomodell), Kanüle für Katheterbehandlung/© romaset / stock.adobe.com, Blut wird abgenommen/© geargodz / stock.adobe.com (Symbolbild mit Fotomodellen), Ärztin mit Befunden und einem Herzmodell/© H_Ko / stock.adobe.com (Symbolbild mit Fotomodell), Sentinel-Node-Biospie/© Springer Medizin Verlag GmbH, Gewinner des Galenus-von-Pergamon-Preises 2025 in der Kategorie Grundlagenforschung/© Marc-Steffen Unger, Gardnerella spp. bedeckte Schlüsselzellen/© Swidsinski A et al. / all rights reserved Springer Medizin Verlag GmbH, Arzt tastet Bauch eines Patienten ab/© Davide Angelini / stock.adobe.com (Symbolbild mit Fotomodellen), Hand an einer Lampe im Operationssaal/© karrastock / Stock.adobe.com, Gewinner des geteilten Galenus-Preises 2025 Orphan Drugs/© Marc-Steffen Unger, Galenus-von-Pergamon-Preis 2025 in der Kategorie Primary Care /© Marc-Steffen Unger, Gewinner des Galenus-von-Pergamon-Preises 2025 in der Kategorie Specialist Care/© Marc-Steffen Unger, Arzt impft Patient/© FG Trade / Getty Images / iStock (Symbolbild mit Fotomodell), Kathetergestützte mechanische Thrombektomie /© Hecker M et al. / all rights reserved Springer Medizin Verlag GmbH