Zum Inhalt

Bilaterale fibrinöse Iridozyklitis mit ausgeprägter Myopisierung

  • Open Access
  • 07.08.2024
  • Iritis
  • Kasuistiken
Erschienen in:
download
DOWNLOAD
print
DRUCKEN
insite
SUCHEN
QR-Code scannen & Beitrag online lesen
Die Originalversion dieses Beitrags wurde korrigiert. Folgende Autor*innen wurden versehentlich in der Originalversion ausgelassen: Gerald Seidel, Christoph Singer, Hrvoje Tomasic, Tobias Peschaut, Astrid Heidinger, Katharina Valentin und Michael Sommer. Alle Autor*innen haben folgende Affiliation: Universitätsaugenklinik Graz, Medizinische Universität Graz, Graz, Österreich.
Zu diesem Beitrag ist ein Erratum online unter https://​doi.​org/​10.​1007/​s00347-024-02112-7 zu finden.

Hinweis des Verlags

Der Verlag bleibt in Hinblick auf geografische Zuordnungen und Gebietsbezeichnungen in veröffentlichten Karten und Institutsadressen neutral.

Anamnese

Eine 25-jährige Frau kaukasischer Abstammung stellte sich in der Notaufnahme der Universitäts-Augenklinik Graz mit seit 2 Tagen bestehender beidseitiger Sehverschlechterung sowie Augenrötung und Photophobie vor. Anamnestisch sei dies die erste Episode solcher Beschwerden, Vorerkrankungen inklusive rezente Insektenbisse wurden verneint. In der Augenanamnese wurde eine Myopie mit −0,5 s (sphärisch) Dioptrien (dpt) am rechten (RA) und −0,75 s dpt am linken Auge (LA) erhoben.

Befund

Die Spaltlampenuntersuchung zeigte beidseits neben einem Hyposphagma eine ausgeprägte Entzündung des vorderen Augenabschnittes mit 4+ Zellen (SUN-Klassifikation) mit Fibrinreaktion sowie zirkuläre hintere Synechien (Abb. 1). Der Augendruck lag beidseits im Normalbereich. Neben einer zellulären Infiltration des Glaskörpers zeigte sich, bei jedoch reduzierter Beurteilbarkeit, eine geringe beidseitige Papillenschwellung. Der Snellen-Visus betrug am RA mit Korrektur (cc) 0,4 (Refraktion −1,75 s dpt) und cc 0,5 (Refraktion −2,25 s dpt) am LA. Initial wurde eine Lokaltherapie mit Prednisolonacetat 1 % Augentropfen (AT) stündlich, Cyclopentolat 1 % AT 2‑mal täglich sowie Prednisolon Augensalbe (0,5 mg/g) abends eingeleitet. In der Kontrolle am Folgetag zeigte sich ein unverändert starker Entzündungsbefund des vorderen Augenabschnittes. Auffallend war jedoch eine weitere Myopisierung auf −4 dpt rechts und −4,5 dpt links. Es erfolgte eine Blutabnahme mit Uveitisserologie, welche Folgendes inkludierte: Blutbild, Differenzialblutbild, HLA-B27-Serologie, Screening auf Lues, Hepatitis, Borrelien und Sarkoidose sowie Autoimmunantikörperscreening auf Lupus. Im Rahmen einer neuerlichen ausführlichen Anamnese berichtete die Patientin über ein leichtes Fieber mit 38 °C am Vortag bei ansonsten gutem Allgemeinzustand. Aufgrund des berichteten Fiebers sowie der vorliegenden signifikanten Myopisierung wurde ein Screening auf eine Hanta-Virus-Infektion durchgeführt. Abgesehen von einem erhöhten Borrelien-IgM (5 Banden positiv) und einem erhöhten CRP von 120 mg/dl zeigte sich die gesamte oben genannte laborchemische Diagnostik im Verlauf unauffällig. Da auf gezielte Nachfrage intermittierend leichte Schmerzen im unteren Rückenbereich betont morgens angegeben wurden, erfolgte umgehend eine Röntgenaufnahme der Lendenwirbelsäule und der Iliosakralgelenke zum Ausschluss einer ankylosierenden Spondylitis, welche unauffällig war. Von einer Röntgenaufnahme des Thorax wurde bei negativem Screening auf Sarkoidose abgesehen. Da die Nierenfunktionsparameter (darunter Kreatinin und Harnstoff) sich durchwegs im Normalbereich befanden und ein TINU(tubulointestinelle Nephritis und Uveitis)-Syndrom üblicherweise mit leichtem Entzündungsreiz ohne Synechien einhergeht, wurde diese Differenzialdiagnose nicht weiter verfolgt.
Abb. 1
Spaltlampenfoto mit Hyposphagma, florider Iridozyklitis, hinteren Synechien
Bild vergrößern
Im Vergleich zum initial durchgeführten OCT zeigten sich eine Zunahme der zentralen Netzhautdicke mit Netzhautfalten sowie eine Papillenschwellung mit zellulärer Infiltration des Glaskörpers (Abb. 2). Die zelluläre Infiltration wurde primär auf einen Spill-over von Entzündungszellen des Vorderabschnittes zurückgeführt, da sich in der im Verlauf durchgeführten Angiographie keine Leckagen oder sonstige Auffälligkeiten im Sinne einer Uveitis intermedia oder posterior zeigten.
Abb. 2
OCT der Makula des rechten Auges mit Schwellung der Netzhaut, Irregularität der inneren Netzhaut, Glaskörperzellen
Bild vergrößern

Diagnose

Beidseitige fibrinöse Iridozyklitis mit Myopisierung bei laborchemisch positivem Borrelien-IgM-Titer und erhöhtem CRP.

Therapie und Verlauf

Nach Vorliegen des negativen Lues-Screenings wurde am selben Tag umgehend eine orale Therapie mit Prednisolon 75 mg eingeleitet. Des Weiteren wurde bei deutlich erhöhtem CRP (120 mg/dl) und rezentem Fieber (Leukozyten jedoch im Normalbereich) eine empirisch antibiotische Therapie mit Doxycyclin 100 mg p.o. 2‑mal täglich eingeleitet.
Die Kontrolle am Folgetag zeigte einen Rückgang der Entzündung auf 1+ Zellen (nach SUN) und ein sinkendes CRP. Nach Vorliegen eines erhöhten IgM-Titers in der Borrelienserologie wurde die Therapie mit Doxycyclin fortgesetzt. Die orale Prednisolon-Therapie wurde für weitere 2 Tage auf 75 mg belassen und im Anschluss auf 50 mg täglich reduziert.
Bei gebessertem Funduseinblick wurde eine Angiographie durchgeführt, welche keine Auffälligkeiten zeigte.
Bei der darauffolgenden Kontrolle nach 3 Tagen zeigte sich unter einer Tagesdosis von 50 mg Prednisolon eine erneute Verschlechterung der Uveitis anterior auf 2+ Zellen (SUN) sowie eine Zunahme der Myopisierung auf −6 dpt beidseits. Daher erfolgte die stationäre Aufnahme zur intravenösen Kortison-Therapie mit initial 125 mg Prednisolon 21-hydrogensucccinat über 3 Tage. Bereits innerhalb von 3 h nach der ersten Infusion traten eine signifikante Befundbesserung sowie Linderung der Beschwerden ein. Das CRP zeigte sich im Verlauf des stationären Aufenthaltes im Normalbereich. Eine Umstellung des Prednisolon auf eine orale Gabe erfolgte nach oben genannten 3 Tagen auf 75 mg, woraufhin die Patientin nach insgesamt 4 Tagen entlassen werden konnte.
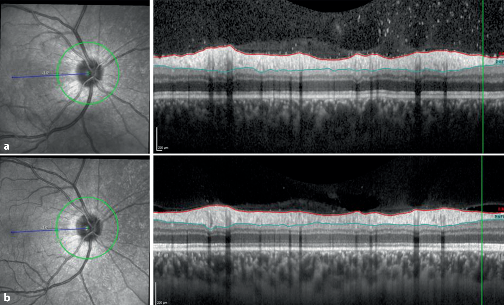
Die weiteren regelmäßigen ambulanten Kontrollen zeigten eine stetige Befundbesserung mit Rückgang der Myopie auf −1 dpt beidseits bei jeweils vollem Visus sowie Normalisierung des OCT-Befundes der Makula sowie vollständige Rückbildung der Papillenschwellung (Abb. 3), während das orale Steroid ausgeschlichen wurde. Die Therapie mit Doxycyclin wurde nach 3 Wochen abgesetzt. Bei Normalisierung der Laborparameter auf physiologische Parameter, negativem HLA-B27-Befund, negativem Autoantikörperscreening sowie der Abwesenheit sonstiger systemischer Beschwerden wurde auf eine weiterführende rheumatologische Abklärung verzichtet.
Abb. 3
Papillen-OCT im Vergleich zwischen maximal ausgeprägter Papillenschwellung am linken Auge (a) zum OCT der Papille am selben Auge bei Abschlusskontrolle 6 Monate später (b)
Bild vergrößern

Diskussion

Dieser Fallbericht beschreibt die durchaus seltene Entität der transienten Myopisierung im Rahmen einer entzündlichen Genese, erstmals deren bilaterales Auftreten zum Zeitpunkt der Publikation.
Eine ausgeprägte transiente akute Myopisierung, auch als „myopic shift“ bezeichnet, ist häufig mit Hanta-Virus-Infektionen assoziiert [3]. Diese kann jedoch auch im Rahmen anderer entzündlicher intraokulärer Prozesse, die mit sklerochoroidaler Inflammation assoziiert sind, auftreten, darunter das Vogt-Koyanagi-Harada-Syndrom. Eine mögliche Erklärung dafür ist eine transiente Myopisierung durch eine entzündliche Ziliarkörperabhebung und supraziliäre Exsudation mit anteriorer Dislokation des Iris-Linsen-Diaphragmas sowie Zunahme der Linsendicke [2]. Neben seltenen infektiösen Erkrankungen wie Dengue-Fieber wurde dieses Phänomen auch bei Autoimmunerkrankungen wie Lupus beschrieben [4, 6]. Ebenso wurde in der Literatur über medikamenteninduzierte transiente Myopisierungen berichtet, unter anderem bei Einnahme von Sulfonamiden. Auch hier wird eine choroidale Effusion mit Abflachung der Vorderkammer als mögliche Erklärung vermutet [5]. Im Fall unserer Patientin zeigte sich im Screening lediglich ein positiver Borrelien-IgM-Titer. Zu einer Augenaffektion im Rahmen einer Borreliose würden die Uveitis anterior ebenso wie die Papillenschwellung sowie Zeichen einer Neuroretinitis im OCT passen, jedoch lag keine typische Borreliose-assoziierte granulomatöse Iridozyklitis vor [1]. Auch zeigte sich in der Angiographie keine Vaskulitis, und bis dato liegen keine Berichte über eine bilaterale Myopisierung bei Uveitis im Rahmen einer Borreliose vor. Da die Steiermark jedoch eines der Risikogebiete für Zecken und damit Borreliose in Österreich ist, liegt die Schwelle, bei ausgeprägten Fällen einer Uveitis anterior mit fehlendem bzw. geringem Ansprechen auf Steroide zu testen, vermutlich etwas niedriger als in anderen Regionen. Bei positivem IgM in so einem ausgeprägten Fall könnte man argumentieren, hier den sicheren Weg zu gehen und eine potenzielle Infektion im Rahmen der Therapie abzudecken.
Die verordnete Zykloplegie zur Synechienprophylaxe macht eine Myopisierung durch einen Akkommodationsspasmus ebenfalls unwahrscheinlich. Ebenso favorisieren das bilaterale Auftreten und das ausgezeichnete Ansprechen auf systemische Steroide eine autoimmune Genese in unserem Fall. Zukünftige Messungen der Vorderkammertiefe und Linsendicke im Verlauf der Erkrankung mittels Biometrie oder Vorderabschnitts-OCT könnten Hinweise auf den Mechanismus der Myopisierung geben.

Einhaltung ethischer Richtlinien

Interessenkonflikt

P. Werkl gibt an, dass kein Interessenkonflikt besteht.
Für diesen Beitrag wurden von den Autor/-innen keine Studien an Menschen oder Tieren durchgeführt. Für die aufgeführten Studien gelten die jeweils dort angegebenen ethischen Richtlinien. Für Bildmaterial oder anderweitige Angaben innerhalb des Manuskripts, über die Patient/-innen zu identifizieren sind, liegt von ihnen und/oder ihren gesetzlichen Vertretern/Vertreterinnen eine schriftliche Einwilligung vor.
Open Access Dieser Artikel wird unter der Creative Commons Namensnennung 4.0 International Lizenz veröffentlicht, welche die Nutzung, Vervielfältigung, Bearbeitung, Verbreitung und Wiedergabe in jeglichem Medium und Format erlaubt, sofern Sie den/die ursprünglichen Autor(en) und die Quelle ordnungsgemäß nennen, einen Link zur Creative Commons Lizenz beifügen und angeben, ob Änderungen vorgenommen wurden.
Die in diesem Artikel enthaltenen Bilder und sonstiges Drittmaterial unterliegen ebenfalls der genannten Creative Commons Lizenz, sofern sich aus der Abbildungslegende nichts anderes ergibt. Sofern das betreffende Material nicht unter der genannten Creative Commons Lizenz steht und die betreffende Handlung nicht nach gesetzlichen Vorschriften erlaubt ist, ist für die oben aufgeführten Weiterverwendungen des Materials die Einwilligung des jeweiligen Rechteinhabers einzuholen.
Weitere Details zur Lizenz entnehmen Sie bitte der Lizenzinformation auf http://​creativecommons.​org/​licenses/​by/​4.​0/​deed.​de.

Hinweis des Verlags

Der Verlag bleibt in Hinblick auf geografische Zuordnungen und Gebietsbezeichnungen in veröffentlichten Karten und Institutsadressen neutral.

Unsere Produktempfehlungen

Die Ophthalmologie

Print-Titel

  • Umfassende Themenschwerpunkte mit klaren Handlungsempfehlungen
  • Praxisrelevante CME-Fortbildung in jedem Heft
  • Organ der Deutschen Ophthalmologischen Gesellschaft

e.Med Interdisziplinär

Kombi-Abonnement

Für Ihren Erfolg in Klinik und Praxis - Die beste Hilfe in Ihrem Arbeitsalltag

Mit e.Med Interdisziplinär erhalten Sie Zugang zu allen CME-Fortbildungen und Fachzeitschriften auf SpringerMedizin.de.

download
DOWNLOAD
print
DRUCKEN
Titel
Bilaterale fibrinöse Iridozyklitis mit ausgeprägter Myopisierung
Verfasst von
Peter Werkl
Gerald Seidel
Christoph Singer
Hrvoje Tomasic
Tobias Peschaut
Astrid Heidinger
Katharina Valentin
Michael Sommer
Publikationsdatum
07.08.2024
Verlag
Springer Medizin
Erschienen in
Die Ophthalmologie / Ausgabe 10/2024
Print ISSN: 2731-720X
Elektronische ISSN: 2731-7218
DOI
https://doi.org/10.1007/s00347-024-02087-5
1.
Zurück zum Zitat Bernard A, Seve P, Abukhashabh A et al (2020) Lyme-associated uveitis: Clinical spectrum and review of literature. Eur J Ophthalmol 30:874–885CrossRefPubMed
2.
Zurück zum Zitat Herbort CP, Papadia M, Neri P (2011) Myopia and inflammation. J Ophthalmic Vis Res 6:270–283PubMedPubMedCentral
3.
Zurück zum Zitat Hofmann J, Loyen M, Faber M et al (2022) Hantavirus Disease: An Update. Dtsch Med Wochenschr 147:312–318PubMed
4.
Zurück zum Zitat Fang MH, Ng OT, Agrawal R (2023) Myopic Shift in a Patient with Dengue Fever. Ocul Immunol Inflamm 31:191–193CrossRef
5.
Zurück zum Zitat Postel EA, Assalian A, Epstein DL (1996) Drug-induced transient myopia and angle-closure glaucoma associated with supraciliary choroidal effusion. Am J Ophthalmol 122:110–112CrossRefPubMed
6.
Zurück zum Zitat Safari S, Weppelmann TA (2022) Lupus-Induced Myopic Shift. Cureus 14:e22961PubMedPubMedCentral
Bildnachweise
Spaltlampenfoto mit florider Iridozyklitis/© Werkl P. et al. doi.org/10.1007/s00347-024-02087-5 unter CC-BY 4.0, Mädchen in selbst gebauter Zeitmaschine/© Santen GmbH (Symbolbild mit Fotomodell)