Zum Inhalt

Is there a link between Spigelian and inguinal hernias? A case series

  • Open Access
  • 27.06.2024
  • Original Article
Erschienen in:

Abstract

Introduction

Spigelian hernias are among the rare primary ventral hernias. Diagnosis is often difficult, as many cases are asymptomatic. Spigelian and inguinal hernias are usually considered separately in current scientific literature. With this case series, we want to illustrate a possible relationship between the neighboring hernia types.

Methods

In this article, we report on a case series of Spigelian hernias that were operated on in five hernia centers in the period from January 1st, 2021 to October 31st, 2023. We have summarized all patient characteristics with previous operations and the result of the secondary operation.

Results

We report a case series with 24 Spigelian hernias, 15 of which have a connection to previous inguinal hernias. In these cases, however, it is not certain whether these are primarily overlooked or occult hernias or whether these Spigelian hernias have arisen secondarily, as a result of previous hernia surgery.

Summary

With this case series, we would like to point out a possible connection between Spigelian hernia and inguinal hernia. Further studies are needed to shed more light on this entity and explain its genesis.

Publisher's Note

Springer Nature remains neutral with regard to jurisdictional claims in published maps and institutional affiliations.

Introduction

Spigelian hernias are among the rare abdominal wall hernias. They are named after the Flemish anatomist, surgeon and botanist Adrian van den Spieghel (1578–1625). The first description of a Spigelian hernia in 1764 goes back to Thaddeus Klinkosch, a Czech anatomist [13].
The term “Spigelian hernia” is used for congenital or acquired defects in the intersection of linea semilunaris and linea arcuata where the fascia of the internal oblique and the transverse abdominal muscles form the spigelian aponeurosis. Through these defects preperitoneal fatty tissue or a peritoneal sac containing parts of omentum majus or intestine can protrude. Overall, the incidence must be considered low, but exact figures are lacking. Women, mainly in the 4th to 7th decade of life, are probably affected more often than men [3].
The genesis of these Spigelian hernias is still not fully understood. They are always located in the linea semilunaris, which must be described as "locus minoris resistentia" [4]. Predisposing factors are patients over 50 years of age, obesity, chronic obstructive pulmonary disease (COPD) and the existence of other abdominal wall hernias [5].
In literature, case reports and case series predominate. Only five reviews with small numbers of patients (10 to 107) are available [610]. A recent database study from Denmark summarized 365 cases, with 16.4% being emergency interventions [11]. A meta-analysis does not exist, yet. Since 2009 there has been a classification of primary ventral hernias, including Spigelian hernias, by the European Hernia Society. They are divided into small (< 2 cm), medium (≥ 2–4 cm) and large (≥ 4 cm) [12]. In 2020 an expert group of the European and Americas Hernia Society published a review of the existing literature and a guideline for ventral hernias in rare circumstances. [3].
Diagnosis is sometimes difficult, as a large proportion of cases remain asymptomatic for a long time. 25% of cases are not diagnosed until an emergency procedure [3].
To date, Spigelian and inguinal hernias are considered separately and a connection between these two types of hernias has not yet been demonstrated. In a personal series, we have recently been able to observe that some Spigelian hernias have had a previous inguinal hernia operation.
The aim of this case series is to visualize a possible connection between Spigelian and inguinal hernias, to point out a possible coincidence and to develop awareness for this combination in some cases with unclear symptoms.

Methods

We conducted a retrospective case series of patient data from five specialized hernia centers in Germany (3 + CHIRURGEN Hernia center Berlin, Hospital Bethel Berlin, Park-Klinik Weißensee Berlin, UM Hernia centre Dr. Conze in Munich and Bodden-Klinik Ribnitz-Damgarten). In the period from January 1st, 2020 to October 31st, 2023, 24 cases of Spigelian hernias were operated. All patients had a symptomatic Spigelian hernia with exercise-dependent swelling and discomfort and/ or pain that led to surgery. All of them have consented to the publication as a case series.
Preoperative diagnostics included a detailed medical history including all previous hernia operations, clinical examination, dynamic ultrasound and, in selected cases, an additional computed tomography or magnetic resonance imaging (MRI). All cases were examined clinically by the surgeons four weeks postoperatively to record the early postoperative outcome. In the analysis we recorded the master data of the patients and the existing data of the previous inguinal or ventral hernia operation including date, hernia classification and operation technique. Regarding the surgical treatment of the Spigelian hernia, the size of the hernia, the operation technique, the size of mesh, the duration of the operation, the intraoperative and postoperative complications up to four weeks were recorded.

Statistics

For the descriptive analysis of the case series we have used Microsoft Excel. No multivariate or univariate analysis was conducted. In addition, we carried out a photo documentation of selected cases after agreement of patients to visualize representative examples.

Results

All together 24 Spigelian hernias were operated on between January 1st, 2020 to October 31st, 2023 (12 female and 12 male). The exact location of all Spigelian hernias was marked in a schematic drawing (Fig. 1). The age was on average 68.7 years (range 46–93 years, n = 24). Patient characteristics and medical history are summarized in Table 1. A total of 58% (n = 14) of the Spigelian hernias are medium-sized hernias according to EHS Classification, 17% are classified as large, and 25% as small Spigelian hernias [12].
Fig. 1
Spigelian Hernia localisations on the abdominal wall with case numbers
Bild vergrößern
Table 1
Cases with patient characteristics and medical history
  
Age
BMI (kg/m2)
Smoking  > 10 cigarettes/d
Previous inguinal/ventral hernia or abdominal operation-date
Time interval inguinal—spigelian hernia operation (months)
Previous inguinal/ventral hernia operation-technique
Previous inguinal/ ventral hernia operation-classification (EHS-Classification)
Previous inguinal hernia operation-side
Number of previous Hernias
1
F
56
27.9
 + 
05/2020
19
Inguinal—Gilbert
L III
Right
2
2
M
80
25.6
 + 
08/2020
15
Inguinal—TEP
L II
Right
1
3
F
49
34.8
 + 
07/2021
2
Inguinal—TEP
L II
Left
2
4
M
93
24.7
06/2022
12
Inguinal—Gilbert
C III L III M II
Right
3
5
M
57
29.6
 + 
09/2009
160
Inguinal—Gilbert
M III
Left
1
6
M
60
24.0
 + 
05/2022
13
Inguinal—TIPP
M III
Left
3
7
M
56
22.2
09/2022 Abdominal Trauma
No
0
8
F
88
21.9
2007, 07/2013
123
Inguinal—Lichtenstein
L III
Bilateral
4
9
F
73
25.0
11/2020 Lap. Hysterectomy
No
0
10
M
73
24.3
02/2012
141
Inguinal—Gilbert
C III L II M II
Bilateral
5
11
M
77
25.4
1952, 2013, 05/2023
1
Inguinal TAPP, Ventral IPOM
MIII, R1
Left
3
12
F
46
27.3
05/2020 lap. Hysterectomy
No
0
13
F
88
25.7
1993, 2015, 05/2023 (+ CCE)
Ventral—IPOMplus
M2–M4, W1
2
14
F
72
41
 + 
03/2017
48
Inguinal—TAPP
M II
Left
2
15
M
64
28
No
No
0
16
M
48
36
05/2022
18
Inguinal—eTEP
M III
Bilateral
1
17
M
50
29.3
 + 
2017
Umbilical—PUMP
1
18
M
81
26.5
 + 
12/1970
625
Inguinal—Pure Tissue
unknown
Left
1
19
F
58
24.2
03/2019
44
Inguinal—TAPP
L II
Right
1
20
F
73
34.3
2018
Hiatal hernia
1
21
F
80
25.4
No
No
0
22
F
54
30.1
 + 
09/2021
2
Inguinal—TEP
L II
Bilateral
2
23
F
83
27.2
1990, 10/2008
Ventral—Suture, Ventral—Sublay
M4, W2
3
24
M
89
24.2
10/2005
193
Inguinal-Pure Tissue
unknown
Bilateral
2
European Hernia Classification For Inguinal Hernias: C combined, F femoral, L lateral = indirect, M medial = direct, Size I < 1,5 cm, II 1,5-3cm, III > 3cm European Hernia Classification For Ventral Hernias: M2 = Midline epigastric, M3 = Midline umbilical, M4 = Midline hypogastric, W = Width W1 =  < 4cm, W2 4- < 10cm
BMI Body mass index
Operation techniques: PUMP Preperitoneal umbilical mesh plasty, TEP Total extraperitoneal plasty, eTEP Extended totally extraperitoneal repair, TAPP transabdominal preperitoneal plasty, IPOM intraperitoneal onlay mesh plasty, CCE cholecystectomy, Gilbert Bi-Layer Mesh (anterior and posterior mesh placement with a specific device), TIPP transinguinal preperitoneal plasty
In 15 of the 24 documented patients with a Spigelian hernia, we found a history of a previous inguinal hernia repair on the same side. The average interval between the inguinal and Spigelian surgery was 94.4 months (range 1 to 625 months, n = 15). In 7 of these 15 cases, a Spigelian hernia developed within 24 months of inguinal hernia surgery (47%, n = 15). One case of Spigelian hernia was obviously already present during the procedure for the inguinal hernia.
In the majority of cases, the previous inguinal hernia was surgically treated openly or endoscopically with a posterior mesh position.
In the Spigelian hernia repair, an open preperitoneal mesh procedure dominated. The average operating time was 68 min (range 25–105 min, n = 24) The pre-existing inguinal mesh was not removed in any case (Table 2). The body mass index of the patients was 27.7 kg/m2 (range 21.9—41.0 kg/m2, n = 24). All patients had a median of 1.5 hernia operations in their history (range 0–5, n = 24). A total of 37.5% of the patients smoked more than 10 cigarettes per day.
Table 2
Cases with Operation results of the Spigelian Hernia operation
 
Spigelian hernia site
Incarcer
Spigelian hernia, OP-date
Spigelian OP-technique
Spigelian hernia-size (cm)
Spiegelian EHS-classification
Spigelian mesh-size (cm)
OP min
Hosp. stay
Mesh removal
IOP Complic
POP Complic. (30d)
1
R
12/2021
Open PMP
2 × 3
L M
9 × 9
69
2
No
No
No
2
R
11/2021
Open PMP
3 × 3
L M
10 × 10
73
1
No
No
Seroma
3
L
09/2021
Open PMP
3 × 4
L L
10 × 10
84
2
No
No
No
4
R
06/2023
Open PMP
2 × 2
L M
9 × 9
52
2
No
No
No
5
L
06/2023
Open PMP
1,5 × 1,5
L S
8 × 8
34
2
No
No
No
6
L
06/2023
Open PMP
2 × 2
L M
8 × 8
75
2
No
No
No
7
R
06/2023
Open PMP
2 × 3
L M
9 × 9
76
1
No
No
8
L
10/2023
Open PMP
2 × 2,5
L M
9 × 9
40
2
No
No
No
9
L
11/2023
Open PMP
4 × 5
L L
15 × 15
85
2
No
No
No
10
L
11/2023
Open PMP
1 × 1,5
L S
5 × 6
48
1
No
No
No
11
L (and incisional hernia
05/2023
Lap. IPOM + 
2 × 2 (2 × 3 incisional Hernia)
L M
20 × 15
60
4
No
No
No
12
R
05/2020
Lap. IPOM + 
2 × 2
L M
15 × 15 round
45
3
No
No
No
13
R
05/2023
Lap. IPOM + 
3 × 5
L L
12 × 12 round
55
4
No
No
No
14
L
03/2021
Lap.IPOM
2 × 3
L M
15 × 15 round
50
6
No
No
No
15
L
11/2023
Open PMP
1,5 × 2
L M
8 × 8 round
26
2
No
No
No
16
R
11/2023
Open PMP
2 × 3
L M
8 × 8 round
42
2
No
No
No
17
R
03/2023
TEP + Inguin. hernia
1 × 1
L S
10 × 15
66
2
No
No
No
18
R
 + 
01/2023
Tissue repair
2 × 2
L M
No
42
3
No
No
No
19
L
11/2022
TEP + Inguin. hernia
1 × 1
L S
10 × 15
45
1
No
No
No
20
L
06/2022
Open PMP
4 × 5
L L
10 × 15
105
6
No
No
No
21
L
09/2021
TEP + Inguin. hernia
1 × 1
L S
13 × 17
40
1
No
No
No
22
L
11/2021
Tissue repair
2 × 2
L M
No
25
2
No
No
No
23
L
04/2021
Open PMP
1 × 1,5
L S
10 × 15
60
6
No
No
No
24
R
 + 
11/2021
Tissue Repair
2 × 2
L M
No
40
10
No
No
No
Open PMP Open preperitoneal mesh plasty, Lap. IPOM + Laparoscopic IntraPeritoneal Onlay Mesh plasty plus Augmentation of the defect, TEP Total Extraperitoneal mesh Plasty
The size of the hernia gap was 5.97 cm2 (range 1–20 cm2). The repair of the hernia was sutured in three cases; otherwise meshes ranging in size from 5 × 6 cm to 15 × 20 cm were used. The hospital stay of the patients was 2 days (range 1—10 days, n = 24). Only one patient developed a seroma postoperatively, which was treated conservatively (Table 2).
In this article we collected and summarized selected cases:
  • Fig. 1: exact location of 24 spigelian hernias
  • Figs. 2,3: preoperative view on the Abdominal wall in selected cases
  • Figs. 4,5: CT—scan of selected spigelian hernias
  • Figs. 6, 7, 8, 9, 10: intraoperative findings and repair steps with mesh insertion in selected cases
Fig. 2
Selected preoperative picture of right spigelian Hernia (Foto
© R. Lorenz)
Bild vergrößern
Fig. 3
Selected preoperative picture of left spigelian Hernia (Foto
© R. Lorenz)
Bild vergrößern
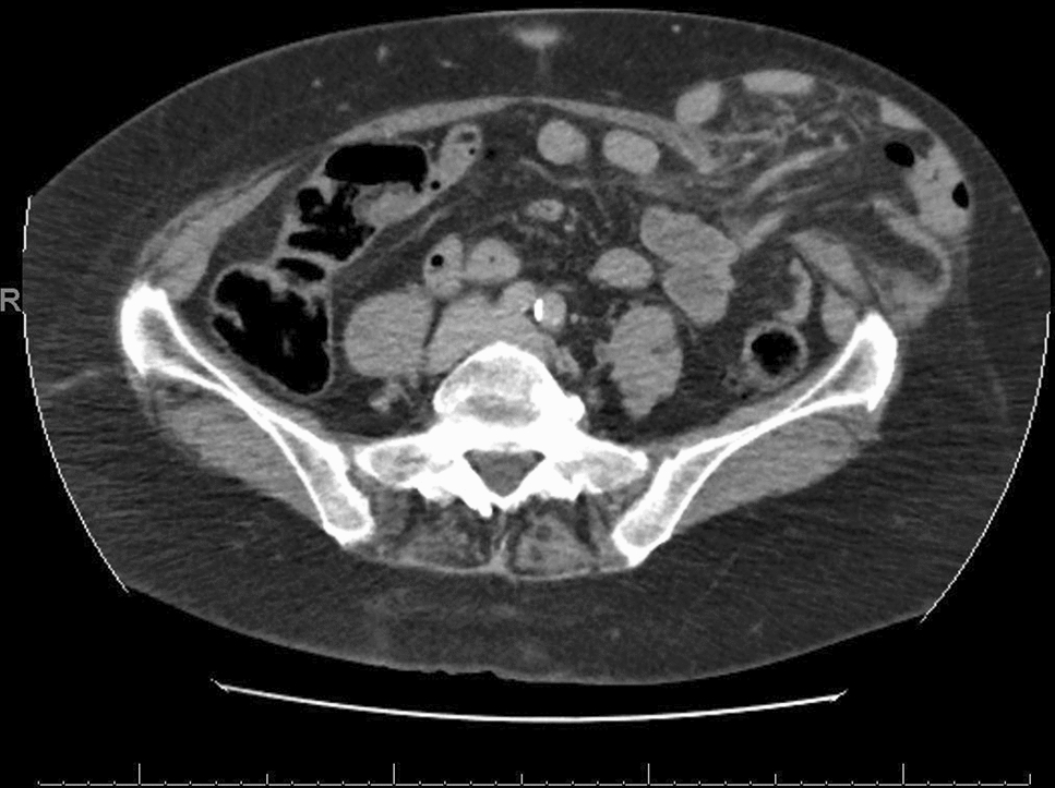
Fig. 4
CT-Scan of left spigelian Hernia (Foto
© U. Volmer)
Bild vergrößern
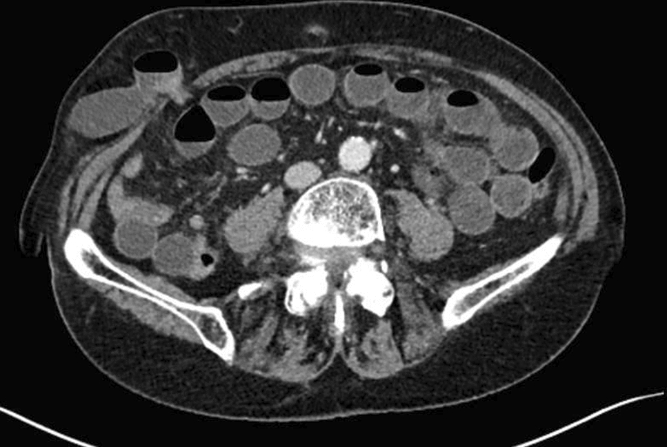
Fig. 5
CT-Scan of right spigelian Hernia (Foto
© U. Volmer)
Bild vergrößern
Fig. 6
Selected intraoperative picture with spigelian hernia sac (Foto
© R. Lorenz)
Bild vergrößern
Fig. 7
Selected intraoperative picture with spigelian hernia sac (Foto
© R. Lorenz)
Bild vergrößern
Fig. 8
Selected intraoperative picture with spigelian hernia sac (Foto
© R. Lorenz)
Bild vergrößern
Fig. 9
Endoscopic view on non-reducible spigelian hernia (Foto
© U. Volmer)
Bild vergrößern
Fig. 10
Selected intraoperative picture with mesh insertion in spigelian hernias (Foto
© R. Lorenz)
Bild vergrößern

Discussion

In our case series, 15 of the 24 patients with Spigelian hernia had undergone a previous inguinal hernia operation. In almost half of these 15 cases, a Spigelian hernia developed within 24 months of previous inguinal hernia operation. In one case it was apparently overlooked during the primary inguinal hernia operation as the patient continued to be clinically symptomatic. This direct relationship has not yet been discussed in the scientific literature. Recently, Weijie et al. described the possible correlation of Spigelian hernias combined with inguinal hernias, as “Spigelian inguinal complex” [13]. He postulated that such a combination is not uncommon.
In one of the 24 cases, a post-traumatic Spigelian hernia developed (or became symptomatic) after blunt abdominal trauma.
Not all of the Spigelian hernias summarized in our case series were localized in the typical Spigelian belt (Fig. 1). Some publications support a wider anatomical definition [14, 15]. Some of these cases could also be referred to as interstitial hernias or muscular groin hernias, although this type of hernia has not yet been scientifically confirmed [1619].
Against this background, diagnostics are given a particularly high priority. The sensitivity of the dynamic ultrasound examination is estimated to be high [20]. In selected cases, an MRI or dynamic MRI can help to differentiate. In cases without a peritoneal bulge, detection of the defect can be difficult in laparoscopic surgery; likewise in open surgery in cases of interstitial hernias with an intact external aponeurosis.
The association between Spigelian hernias and inguinal hernias is striking, especially since the regions are adjacent. Various possible scenarios have been described in the literature:
  • Are they overlooked occult hernias [21]?
  • Is there a confusion of inguinal and ventral hernias and Spigelian hernias?
  • Are there any pathophysiological changes in the abdominal wall after an inguinal or ventral mesh repair that may lead to instability in the immediate surrounding of the mesh area as a result of shear forces [22]?
  • Is there a congenital “Spigelian-inguinal complex“ [13, 23]?
Addendum 1: Occult Spigelian hernias associated with laparoscopies were first reported by Pajaanen in 2006. The overall frequency of unexpected Spigelian hernias was 5 of 201 (2%). [21].
Addendum 2: The literature also reports on hernias that appeared as Spigelian hernias, which were then ultimately identified intraoperatively as lateral hernias [2426].
Addendum 3: The third thesis would also be supported by the case report on the development of a Spigelian hernia after laparoscopic incisional hernia surgery [22]. We also had a case in the immediate neighborhood of an IPOM mesh inserted 8 years earlier (Table 1, Case 13). This could be caused by scar shrinkage of the mesh area. In the initial phase mesh area shrinkage was observed in up to 33% of cases over time after surgery with synthetic meshes [27, 28]. However, these shrinkages have not been confirmed by other authors [29, 30]. Traumatization of the arcuate line through the lateral approach during endoscopic or open preperitoneal operations could play a role here.
Addendum 4: In some case studies there seems to be a congenital relationship between Spigelian hernias and cryptochism in newborns and young children, [25, 3133]. In addition, the occurrence of multiple hernias could generally be attributed to a systematic metabolic disorder. Specifically, it is assumed that an abnormal expression of metalloproteinases can lead to a degradation of the extracellular matrix and thus to an altered ratio of collagen 1 and 3 [34]. Especially the substantial rate of smokers in our study might contribute to a metabolic disorder with subsequently wound healing disorder [34]. More research on that topic is needed.
One case in this case series describes the development of a traumatic Spigelian hernia as a result of blunt abdominal trauma. This case may be of interest for understanding the genesis of Spigelian hernias. Individual case reports of traumatic Spigelian hernias already exist, but they are considered very rare overall [35]. Though it remains uncertain whether the defect developed due to the trauma or became symptomatic in a pre-existing defect. Further case reports and scientific research on the anatomy and physiology of the abdominal wall are needed to confirm this correlation [36]. Maybe register data could also be accessed in the future to be able to prove a correlation between Spigelian and inguinal hernias.

Limitations

These observations come from the working group with five participating hernia centers. Of course, these can be random observations and are not representative and statistically relevant due to the small number of cases. Not all Spigelian hernias summarized in this case series are to be understood as such according to the current definition. However, there is no clear way to assign these cases correctly.

Summary

The knowledge on Spigelian hernias is still quite limited. In this observational case series, a coincidence or even a possible correlation between the appearance of a Spigelian hernia after inguinal mesh repair is demonstrated and discussed. A careful and precise diagnostic with more awareness for spigelian hernias is warranted, especially after previous inguinal mesh repair. Further research on that topic is necessary?

Acknowledgements

None.

Declarations

Conflicts of interest

RL, JC, FL, UV, KPP, CP, RM, RW have nothing to declare.

Ethical approval, Human and animal rights, and Informed consent

This retrospective study was in accordance with the ethical standards of the institutional and national research committee and of the 1964 Helsinki Declaration and its later amendments or comparable ethical standards. Informed consent was obtained from all individual participants included in the study.
Open Access This article is licensed under a Creative Commons Attribution 4.0 International License, which permits use, sharing, adaptation, distribution and reproduction in any medium or format, as long as you give appropriate credit to the original author(s) and the source, provide a link to the Creative Commons licence, and indicate if changes were made. The images or other third party material in this article are included in the article's Creative Commons licence, unless indicated otherwise in a credit line to the material. If material is not included in the article's Creative Commons licence and your intended use is not permitted by statutory regulation or exceeds the permitted use, you will need to obtain permission directly from the copyright holder. To view a copy of this licence, visit http://creativecommons.org/licenses/by/4.0/.

Publisher's Note

Springer Nature remains neutral with regard to jurisdictional claims in published maps and institutional affiliations.
Download
Titel
Is there a link between Spigelian and inguinal hernias? A case series
Verfasst von
R. Lorenz
U. Vollmer
J. Conze
F. Loch
K. Paul-Promchan
R. Mantke
C. Paasch
R. Wiessner
Publikationsdatum
27.06.2024
Verlag
Springer Paris
Erschienen in
Hernia / Ausgabe 5/2024
Print ISSN: 1265-4906
Elektronische ISSN: 1248-9204
DOI
https://doi.org/10.1007/s10029-024-03061-5
1.
Zurück zum Zitat Klinkosch JT (1764) Programma Quo Divisionum Herniarum, Novumque Herniae Ventralis Speciem Proponit. Dissertatium Medicorum: 184
2.
Zurück zum Zitat Skandalakis PN, Zoras O, Skandalakis JE, Mirilas P (2006) Spigelian hernia: surgical anatomy, embryology, and technique of repair. Am Surg 72(1):42–48CrossRefPubMed
3.
Zurück zum Zitat Henriksen NA, Kaufmann R, Simons MP, Berrevoet F, East B, Fischer J, Hope W, Klassen D, Lorenz R, Renard Y, Garcia Urena MA, Montgomery A; on behalf of the European Hernia Society and the Americas Hernia Society (2020) EHS and AHS guidelines for treatment of primary ventral hernias in rare locations or special circumstances. BJS Open 4(2):342–353. https://doi.org/10.1002/bjs5.50252CrossRef
4.
Zurück zum Zitat Petter-Puchner AH, Gruber-Blum S, Glaser KS (2018) The Spigelian Hernia. In: Campanelli G (ed) The Art of Hernia Surgery. Springer, Cham
5.
Zurück zum Zitat Malazgirt Z, Topgul K, Sokmen S, Ersin S, Turkcapar AG, Gok H, Gonullu N, Paksoy M, Ertem M (2006) Spigelian hernias: a prospective analysis of baseline parameters and surgical outcome of 34 consecutive patients. Hernia 10(4):326–330. https://doi.org/10.1007/s10029-006-0103-5CrossRefPubMed
6.
Zurück zum Zitat Mittal T, Kumar V, Khullar R, Sharma A, Soni V, Baijal M, Chowbey PK (2008) Diagnosis and management of Spigelian hernia: a review of literature and our experience. J Minim Access Surg 4(4):95–98. https://doi.org/10.4103/0972-9941.45204CrossRefPubMedPubMedCentral
7.
Zurück zum Zitat Moreno-Egea A, Guzmán P, Morales G, Carrillo A, Aguayo JL (2007) Tratamiento de la eventración no medial: experiencia de una unidad de pared abdominal y iteratu de la literature [Treatment of non-midline ventral hernia: experience in an abdominal wall unit and literature review]. Cir Esp 81(6):330–334. https://doi.org/10.1016/s0009-739x(07)71332-5CrossRefPubMed
8.
Zurück zum Zitat Barnes TG, McWhinnie DL (2016) Laparoscopic Spigelian hernia repair: a systematic review. Surg Laparosc Endosc Percutan Tech 26(4):265–270. https://doi.org/10.1097/SLE.0000000000000286CrossRefPubMed
9.
Zurück zum Zitat Webber V, Low C, Skipworth RJE, Kumar S, de Beaux AC, Tulloh B (2017) Contemporary thoughts on the management of Spigelian hernia. Hernia 21(3):355–361. https://doi.org/10.1007/s10029-017-1579-xCrossRefPubMed
10.
Zurück zum Zitat Hanzalova I, Schäfer M, Demartines N, Clerc D (2022) Spigelian hernia: current approaches to surgical treatment-a review. Hernia 26(6):1427–1433. https://doi.org/10.1007/s10029-021-02511-8CrossRefPubMed
11.
Zurück zum Zitat Lode L, Jensen KK, Helgstrand F, Henriksen NA (2023) Outcomes after Spigelian hernia repair: a nationwide database study. World J Surg 47(5):1184–1189. https://doi.org/10.1007/s00268-023-06923-8CrossRefPubMed
12.
Zurück zum Zitat Muysoms FE, Miserez M, Berrevoet F, Campanelli G, Champault GG, Chelala E, Dietz UA, Eker HH, El Nakadi I, Hauters P, Hidalgo Pascual M, Hoeferlin A, Klinge U, Montgomery A, Simmermacher RK, Simons MP, Smietański M, Sommeling C, Tollens T, Vierendeels T, Kingsnorth A (2009) Classification of primary and incisional abdominal wall hernias. Hernia 13(4):407–414. https://doi.org/10.1007/s10029-009-0518-xCrossRefPubMedPubMedCentral
13.
Zurück zum Zitat Weijie MO, Lee J (2023) Technical considerations for laparoscopic transabdominal preperitoneal repair of concurrent Spigelian-inguinal hernia complex: a case report and review of literature. Asian J Endosc Surg 16(1):135–138. https://doi.org/10.1111/ases.13122CrossRefPubMed
14.
Zurück zum Zitat Klimopoulos S, Kounoudes C, Validakis A, Galanis G (2001) Low spigelian hernias: experience of 26 consecutive cases in 24 patients. Eur J Surg 167(8):631–633. https://doi.org/10.1080/110241501753171272CrossRefPubMed
15.
Zurück zum Zitat Vierstraete M, Pereira Rodriguez JA, Renard Y, Muysoms F (2023) EIT Ambivium, Linea Semilunaris, and Fulcrum Abdominalis. J Abdom Wall Surg 2:12217. https://doi.org/10.3389/jaws.2023.12217CrossRefPubMedPubMedCentral
16.
Zurück zum Zitat Altman B (1960) Interstitial presenting as Spigelian hernia. A review of the literature and case report. Br J Surg 48:60–62. https://doi.org/10.1002/bjs.18004820710CrossRefPubMed
17.
Zurück zum Zitat Pulikkottil BJ, Pezeshk RA, Daniali LN, Bailey SH, Mapula S, Hoxworth RE (2015) Lateral abdominal wall defects: the importance of anatomy and technique for a successful repair. Plast Reconstr Surg Glob Open 3(8):e481. https://doi.org/10.1097/GOX.0000000000000439CrossRefPubMedPubMedCentral
18.
Zurück zum Zitat Szasz P, Mainprize M, Spencer Netto FAC (2023) Muscular groin hernias: an anatomical variation as a cause of recurrence. Hernia 27(6):1483–1489. https://doi.org/10.1007/s10029-023-02840-wCrossRefPubMed
19.
Zurück zum Zitat Read RC (2007) Co-morbidity and interstitial herniation in the adult: a hypothesis. Hernia 11(1):5–8. https://doi.org/10.1007/s10029-006-0185-0CrossRefPubMed
20.
Zurück zum Zitat Smereczyński A, Kołaczyk K, Lubiński J, Bojko S, Gałdyńska M, Bernatowicz E (2012) Sonographic imaging of Spigelian hernias. Journal of ultrasonography 12(50):269–275. https://doi.org/10.15557/JoU.2012.0012CrossRefPubMedPubMedCentral
21.
Zurück zum Zitat Paajanen H, Ojala S, Virkkunen A (2006) Incidence of occult inguinal and Spigelian hernias during laparoscopy of other reasons. Surgery. https://doi.org/10.1016/j.surg.2006.01.005CrossRefPubMed
22.
Zurück zum Zitat Tatara T, Monma H, Miyanaga H, Kawashima T, Kobayashi I, Kinugasa S, Takase S (2021) A case of Spigelian hernia after laparoscopic incisional hernia repair. Asian J Endosc Surg 14(4):807–810. https://doi.org/10.1111/ases.12941CrossRefPubMed
23.
Zurück zum Zitat Losanoff JE, Richman BW, Jones JW (2002) Spigelian and inguinal hernias in a neonate. J Pediatr Surg. https://doi.org/10.1053/jpsu.2002.36216CrossRefPubMed
24.
Zurück zum Zitat Kılıç MÖ, Değirmencioğlu G, Dener C (2015) A rare case of Spigelian hernia combined with direct and indirect inguinal hernias. Turk J Surg 33(1):40–42. https://doi.org/10.5152/UCD.2015.2793CrossRefPubMedPubMedCentral
25.
Zurück zum Zitat Hirabayashi T, Ueno S (2013) Rare variant of inguinal hernia interparietal hernia and ipsilateral abdominal ectopic testis mimicking a Spiegelian hernia. Case report. Tokai J Exp Clin Med 38(2):77–81PubMed
26.
Zurück zum Zitat Cervantes BYH, Lambert RG, Lopez DM, Gonzalez MR, Edwin F (2020) Giant intraparietal inguinal hernia misdiagnosed as spigelian hernia in an old woman. Pan Afr Med J 23(36):117. https://doi.org/10.11604/pamj.2020.36.117.21652CrossRef
27.
Zurück zum Zitat Schoenmaeckers EJ, van der Valk SB, van den Hout HW, Raymakers JF, Rakic S (2009) Computed tomographic measurements of mesh shrinkage after laparoscopic ventral incisional hernia repair with an expanded polytetrafluoroethylene mesh. Surg Endosc 23(7):1620–1623. https://doi.org/10.1007/s00464-009-0500-9CrossRefPubMed
28.
Zurück zum Zitat Jonas J (2009) Das Problem der Netzschrumpfung in der laparoskopischen Narbenhernienreparation [The problem of mesh shrinkage in laparoscopic incisional hernia repair]. Zentralbl Chir 134(3):209–213. https://doi.org/10.1055/s-0028-1098779CrossRefPubMed
29.
Zurück zum Zitat Muysoms F, Beckers R, Kyle-Leinhase I (2018) Prospective cohort study on mesh shrinkage measured with MRI after laparoscopic ventral hernia repair with an intraperitoneal iron oxide-loaded PVDF mesh. Surg Endosc 32(6):2822–2830. https://doi.org/10.1007/s00464-017-5987-xCrossRefPubMed
30.
Zurück zum Zitat Vierstraete M, Beckers R, Vangeel L, Foriers B, Pletinckx P, Muysoms F (2023) Prospective cohort study on mesh shrinkage measured with MRI after robot-assisted minimal invasive retrorectus ventral hernia repair using an iron-oxide-loaded polyvinylidene fluoride mesh. Surg Endosc 37(6):4604–4612. https://doi.org/10.1007/s00464-023-09938-3CrossRefPubMedPubMedCentral
31.
Zurück zum Zitat Al-Salem AH (2000) Congenital spigelian hernia and cryptorchidism: cause or coincidence? Pediatr Surg Int 16(5–6):433–436. https://doi.org/10.1007/s003839900292CrossRefPubMed
32.
Zurück zum Zitat Jones BC, Hutson JM (2015) The syndrome of Spigelian hernia and cryptorchidism: a review of paediatric literature. J Pediatr Surg 50(2):325–330. https://doi.org/10.1016/j.jpedsurg.2014.10.059CrossRefPubMed
33.
Zurück zum Zitat Patoulias I, Rahmani E, Patoulias D (2019) Congenital Spigelian hernia and ipsilateral cryptorchidism: a new syndrome? Folia Med Cracov 59(4):71–78. https://doi.org/10.24425/fmc.2019.131381CrossRefPubMed
34.
Zurück zum Zitat Larsen NK, Reilly MJ, Thankam FG, Fitzgibbons RJ, Agrawal DK (2019) Novel understanding of high mobility group box-1 in the immunopathogenesis of incisional hernias. Expert Rev Clin Immunol 15(7):791–800. https://doi.org/10.1080/1744666X.2019.1608822CrossRefPubMedPubMedCentral
35.
Zurück zum Zitat Moreno-Egea A, Campillo-Soto A, Girela-Baena E, Torralba-Martínez JA, Corral de la Calle M, Aguayo-Albasini JL (2006) Hernia traumática de Spiegel reparación laparoscópica extraperitoneal electiva [Traumatic Spigelian hernia. Elective extraperitoneal laparoscopic repair]. Cir Esp 79(1):61–63. https://doi.org/10.1016/s0009-739x(06)70815-6CrossRefPubMed
36.
Zurück zum Zitat Picasso R, Pistoia F, Zaottini F, Airaldi S, Perez MM, Pansecchi M, Tovt L, Sanguinetti S, Möller I, Bruns A, Martinoli C (2021) High-resolution ultrasound of spigelian and groin hernias: a closer look at fascial architecture and aponeurotic passageways. J Ultrason 21(84):53–62. https://doi.org/10.15557/JoU.2021.0008CrossRefPubMedPubMedCentral

Neu im Fachgebiet Chirurgie

Gynäkoonkologische Chirurgie: Weniger radikal, genauso sicher?

Minimalinvasive und robotische Verfahren prägen die moderne gynäkoonkologische Chirurgie. Leitlinien und Studien zeigen klare Trends zur Deeskalation. Doch wann ist sie sicher – und wann nicht?

Ergonomie im OP eklatant vernachlässigt!

Das Thema Ergonomie am Arbeitsplatz wird in chirurgischen Abteilungen viel zu oft stiefmütterlich behandelt. Die Konsequenzen macht die ERGO-Studie deutlich: Fehlhaltungen und Schmerzen hängen demnach eng zusammen.

Vor der TAVI erst noch eine PCI?

Relevante Koronarstenosen vor einer Transkatheter-Aortenklappen-Intervention (TAVI) interventionell statt rein medikamentös zu behandeln, bietet Registerdaten zufolge einen überschaubaren klinischen Nutzen zum Preis eines erhöhten Blutungsrisikos.

Ältere OP-Patienten profitieren von speziellen Versorgungspfaden

Ob älteren Menschen mit geplanter Operation im Krankenhaus ein geriatrischer Versorgungspfad offensteht oder nicht, hat Konsequenzen für die Dauer des stationären Aufenthalts.

Update Chirurgie

Bestellen Sie unseren Fach-Newsletter und bleiben Sie gut informiert.

Bildnachweise
Laparoskopischer Eingriff/© RFBSIP / stock.adobe.com (Symbolbild mit Fotomodellen), Abdominelle laparoskopische Operation/© Игорь Гончаров / stock.adobe.com (Symbolbild mit Fotomodellen), OP-Vorbereitung einer Seniorin/© sturti / Getty Images / iStock (Symbolbild mit Fotomodellen)