Zum Inhalt

Linksventrikuläre Elektrodenimplantation im Rahmen der kardialen Resynchronisationstherapie

Erschienen in:
download
DOWNLOAD
print
DRUCKEN
insite
SUCHEN

Zusammenfassung

Die kardiale Resynchronisationstherapie (CRT) ist ein wichtiger Bestandteil der Therapie herzinsuffizienter Patienten mit reduzierter linksventrikulärer Ejektionsfraktion und verbreitertem Kammerkomplex bei Schenkelblock. Der Positionierung der linksventrikulären Stimulationselektrode, die in Seitästen des Koronarsinus (CS) positioniert wird, kommt hierbei eine besondere Bedeutung zu, da eine optimale Positionierung entscheidend für den Therapieerfolg ist und bei Fehlpositionierung sogar prognoseverschlechternd sein kann. Die Implantation der Elektrode in den CS ist insbesondere, wenn man die Therapie erlernt, herausfordernd und hat eine flachere Lernkurve als die Implantation eines 2‑Kammer-Geräts. Deshalb ist neben dem theoretischen Wissen auch operative Erfahrung und manuelle Geschicklichkeit wichtig. Der vorliegende Artikel soll Ihnen helfen, die Grundlagen der Implantation bis in die Tiefe zu verstehen. Sondierungstechniken auch schwieriger CS-Anatomien werden vorgestellt und die typischen Herausforderungen wie Venenklappen und typische Komplikationen an Beispielen näher beleuchtet. Zudem werden die verschiedenen Sondentypen mit deren Vor- und Nachteilen vorgestellt. Wir hoffen, Ihnen hiermit Tipps und Tricks an die Hand geben zu können, um schnell operativ erfolgreich die CRT-Therapie anwenden zu können.
Das Manuskript wurde von Andreas Napp und Klaus K. Witte erstellt. Die aufgeführten Koautoren haben das Manuskript überarbeitet und korrigiert.
Zur besseren Lesbarkeit (und Vereinfachung des Sprachduktus) wird in diesem Beitrag nur eine Form der Geschlechter verwendet, nämlich die männliche. Dabei sind stets alle geschlechtlichen Identitäten mitgemeint.
QR-Code scannen & Beitrag online lesen

Hinweis des Verlags

Der Verlag bleibt in Hinblick auf geografische Zuordnungen und Gebietsbezeichnungen in veröffentlichten Karten und Institutsadressen neutral.
Die kardiale Resynchronisationstherapie (CRT) ist eine Behandlung für Patienten mit Herzinsuffizienz mit reduzierter Ejektionsfraktion (HFrEF) und inter- und intraventrikulärer elektrischer Leitungsverzögerung und basiert auf soliden Evidenzen aus randomisierten, placebokontrollierten Studien [1]. CRT, auch bekannt als biventrikuläres Pacing, wird über ein dauerhaft implantiertes kardiales implantierbares elektronisches Gerät (CIED) durchgeführt, bei dem es sich entweder um einen Herzschrittmacher oder einen Defibrillator handeln kann. Sie hat eine Klasse-Ia-Indikation für Patienten mit linksventrikulärer (LV) systolischer Dysfunktion mit einer Ejektionsfraktion (LVEF) ≤ 35 % und einem Linksschenkelblock (LBBB) mit einem QRS > 150 ms [2]. Für Patienten mit einem QRS < 150 ms, aber > 130 ms, sowie für diejenigen mit einem QRS > 150 ms, jedoch ohne klassischen LBBB, hat die CRT eine Klasse-IIa-Indikation. CRT ist nicht indiziert (und kann tatsächlich schädlich sein) bei Patienten mit einem QRS < 130 ms bei LBBB [3], oder < 150 ms bei Patienten ohne LBBB, selbst wenn eine Dyssynchronie im Echokardiogramm vorliegt. Andererseits wird allgemein akzeptiert, dass eine Resynchronisationstherapie Patienten angeboten werden sollte, die eine Schrittmacherindikation haben, eine mäßig beeinträchtigte linksventrikuläre Ejektionsfraktion (LVEF < 40 %) aufweisen und bei denen ein hoher Anteil an ventrikulärer Stimulation erwartet wird [4]. Die Prävalenz von Vorhofflimmern ist im Kollektiv der CRT-Patienten aufgrund der bestehenden strukturellen Herzerkrankung größer. Patienten mit einer schlechten Frequenzkontrolle können hier nicht oder nur eingeschränkt profitieren, da eine linksventrikuläre Nachstimulation (sog. VVT-Modus) die elektrische Dyssynchronie nicht erfolgreich aufhebt. Gleichwohl kann in Kombination mit einer Katheterablation, einer antiarrhythmischen Therapie oder im Falle eines permanenten, nicht frequenzkontrollierten Vorhofflimmerns mit einer AV-Knoten-Ablation eine sehr gute Therapieeffizienz erreicht werden.
CRT zielt darauf ab, die synchrone Kontraktion zwischen den Ventrikeln durch elektrische Stimulation wiederherzustellen und dadurch das Herzzeitvolumen sowohl in Ruhe als auch bei Aktivität zu verbessern. Zentraler Erfolgsfaktor der CRT ist die präzise Platzierung der linksventrikulären (LV) Elektrode an der lateralen Wand des linken Ventrikels durch den Koronarsinus (CS) optimalerweise am Ort der spätesten elektrischen Erregung. Durch die Verbesserung des Leitungsmusters kann CRT das Herzzeitvolumen, die Mitralinsuffizienz, die linksventrikuläre Funktion und LV-Diameter verbessern [57] und somit die Belastbarkeit steigern [8, 9], Symptome und Hospitalisierungen reduzieren sowie die Lebensqualität und -dauer verbessern. Die eindeutigen Mortalitätsvorteile haben die CRT von einer Behandlung für schwer beherrschbare Symptome zu einer Standardtherapie gemacht, die zusammen mit Betablockern, ACE-Hemmern, ARNI, SGLT2-Antagonisten und Aldosteronantagonisten routinemäßig für Patienten mit aktueller oder vorheriger schwerer chronischer Herzinsuffizienz eingesetzt wird. Es ist mittlerweile belegt, dass Versuche, Patienten vorab zu identifizieren, die ein „wahrscheinliches Ansprechen“ auf die Resynchronisationstherapie im Hinblick auf Symptome oder LV-Remodeling zeigen, nicht präzise sind [10]. Ein solches Vorgehen birgt das Risiko, Patienten nicht mittels CRT zu behandeln, bei denen eine Stabilisierung der Krankheit die Lebenserwartung erheblich verbessern kann [11, 12], einschließlich älterer Menschen [13].
Trotz der Einführung und Begeisterung für die Stimulation des spezifischen Reizleitungssystems („conduction system pacing“, CSP), bleibt die CRT in Ermangelung direkter Vergleichsstudien und angesichts weiterhin offener Fragen zu Erfolgsrate [14] und Haltbarkeit [15] von CSP [16] der Versorgungsstandard für Patienten, die die vorgenannten Kriterien erfüllen. Die Dauer und Erfolgsrate des Eingriffs, die Wahl der Elektrode und der Einsatz von LV-Elektroden-Fixierungen in relevanten Situationen spielen eine entscheidende Rolle für die Auswirkungen von CRT auf Bevölkerungsebene sowie für die Leistung des Geräts und die Ergebnisse bei individuellen Patienten.
In Deutschland werden pro Jahr knapp 10.000 CRT-Systeme implantiert [17], davon ca. 30 % CRT mit reiner Schrittmacherfunktion (CRT-P). Ein Drittel aller CRT-System-Implantationen sind Upgrades von bestehenden Systemen [18, 19], bei denen die Vorteile der Prozedur denen von De-novo-Implantation ähneln [20, 21]. Das additive periprozedurale Risiko einer CRT-Aufrüstung bezüglich z. B. Systeminfektionen und anderer operativer Komplikationen ist jedoch wesentlich höher [22]. Im Jahr 2019 führte die Hälfte aller implantierenden Zentren weniger als 20 Eingriffe pro Jahr durch [21]. In vorherigen EP-Basics-Ausgaben wurden bereits venöse Zugangswege, perioperatives Management sowie die Platzierung von Elektroden im rechten Ventrikel und rechten Vorhof bei aktiven Herzrhythmusimplantaten („cardiac implantable electronic devices“, CIED) thematisiert [2325].
In diesem Artikel werden wir die Implantationstechnik und die derzeit verfügbaren Elektrodenoptionen, einschließlich solcher mit aktiven Fixierungsmechanismen, untersuchen und häufige Herausforderungen im Zusammenhang mit Zugang, Platzierung und Stabilität der Elektroden ansprechen.

Mechanismus der CRT

CRT verbessert die Herzfunktion, indem sie die ventrikuläre Kontraktion bei Patienten mit Herzinsuffizienz synchronisiert, insbesondere bei Patienten mit Linksschenkelblock (LBBB) oder anderen Formen elektrischer Dyssynchronie. Das CRT-Gerät umfasst typischerweise 3 Elektroden: eine im rechten Vorhof (RA), eine im rechten Ventrikel (RV) und eine im Koronarsinus zur Stimulation der lateralen Wand des linken Ventrikels (Abb. 1). Bei Patienten mit permanentem Vorhofflimmern (AF) kann auf die Vorhofelektrode verzichtet werden, und der entsprechende Anschluss am Gerät kann blind verschlossen werden.
Abb. 1
a Röntgenaufnahme des Thorax in p.-a., welches die 3 Elektroden eines CRT-Schrittmachers in loco typico zeigt. b Laterale-Thorax-Rröntgenaufnahme; die 3 Elektroden eines CRT-Schrittmachers liegen an typischer Stelle und die posteriore Lage der CS Elektrode wird deutlich
Bild vergrößern
Insgesamt ist es entscheidend, die laterale Wand des linken Ventrikels zur richtigen Zeit im Herzzyklus zu stimulieren, um die Kontraktion zu synchronisieren und das Herzzeitvolumen zu verbessern. Die klinische Wirksamkeit von CRT hängt jedoch nicht nur von der Programmierung des Geräts ab, sondern wesentlich von der korrekten Positionierung und Stabilität der LV-Elektrode im Koronarsinussystem.

Präoperative Vorbereitung

Die Patienten sollten auch aufgrund der meist schwereren kardialen Grunderkrankung mit einem sicheren Monitoring ausgestattet werden. Es empfiehlt sich das Kleben von Defi-Patch-Elektroden und mindestens eines 3‑Kanal-EKGs. Aufgrund der elektrokardiographisch guten Abschätzung der Stimulationsposition und der Eröffnung eines möglichen Wechsels auf eine Stimulation des spezifischen Reizleitungssystems bei frustraner CS-Sonden-Implantation ist das primäre Anlegen eines 12-Kanal-EKGs sehr empfehlenswert. Unabdingbar bei Analgosedierung ist eine periphere Sauerstoffmessung über einen Finger- oder Ohrsensor. Zudem ist ein funktionierender Venenzugang (mindestens 20G, besser 18G) optimalerweise auf Implantationsseite zur Ermöglichung einer intraoperativen Phlebographie und Applikation von Medikamenten und Flüssigkeit als mandatorisch anzusehen.

Das Implantationsverfahren

Bei einem De-novo-Patienten sollten zuerst die RV- und ggf. die RA-Elektrode implantiert werden. Dies ist vor allem deswegen zu präferieren, da bei Patienten mit Linksschenkelblock (LBBB) eine mechanische Verletzung des rechten Tawara-Schenkels während der Intubation des Koronarsinus zu einem vollständigen AV-Block führen kann, wodurch ein Routineeingriff zu einem Notfall werden kann. Für weitere Details wird auf frühere Publikationen zur Platzierung der RV- und RA-Elektroden verwiesen [2325]. In diesem Kontext sei darauf hingewiesen, dass eine septale Sondenlage der RV-Elektrode in einer retrospektiven Analyse von 563 CRT-D-Patienten zu einer größeren Reduktion der QRS-Breite führte als eine apikale Lage, wenn sich auch beide Gruppen im Outcome nicht unterschieden [26]. Eine septale RV-Sondenlage könnte demnach förderlich sein. Prospektive randomisierte Untersuchungen hierzu fehlen bislang. Diese Elektroden können vor dem nächsten Schritt fixiert oder bis nach der LV-Implantation unfixiert bleiben.

Intubation des Koronarsinus

Im nächsten Schritt muss der Koronarsinus intubiert werden. Dies erfolgt mit einem speziellen Führungskatheter (Guidekatheter; Abb. 2), durch den bei Bedarf verschiedene Führungsdrähte, ein Koronarkatheter oder ein steuerbarer elektrophysiologischer (EP) Katheter eingeführt werden können, um den Koronarsinus zu lokalisieren und zu sondieren. Hierbei kann zur besseren Lokalisierung des CS-Ostiums auch Kontrastmittel über den Führungskatheter oder den Koronarkatheter appliziert werden. Diese Guides sind mit einem Hämostaseventil ausgestattet, welches die Einführung von Kathetern, Drähten und Elektroden ermöglicht, ohne dass Blut zurückfließt oder Luft eintritt. Die Wahl der Form und Länge des Führungskatheters kann anhand der Größe des rechten Atriums erfolgen. Basierend auf der erreichten Position kann bei Bedarf auf eine andere Form gewechselt werden. Alternativ kann auch nach Präferenz des Operateurs ein Ansatz verfolgt werden, bei dem stets mit einer vertrauten Katheterform begonnen wird. So wird beispielsweise von einigen Operateuren ein Multi-Purpose-Guide verwendet und das Aufsuchen des CS-Ostiums mit einem steuerbaren EP-Katheter realisiert. Andere präferieren bei linksseitiger Implantation eine steilere Kurve (z. B. „extended hook guide“; Abb. 2), da häufig eine rechtsatriale Dilatation vorliegt und mit Rotation gegen den Uhrzeigersinn und Rückzug des Katheters auch ein weniger steil abgehender CS erfolgreich intubiert werden kann. Für rechtsseitige Implantationen bieten die Hersteller spezielle Katheterformen an. Für sehr steil abgehende CS bietet sich bei kleinem RA in Einzelfällen auch von links ein MP-Rechts-Guide an.
Abb. 2
a CS-Guides, b Subselektionskatheter und c das Hämostaseventil. Alle Produkte sind von Medtronic
Bild vergrößern
Als Orientierung befindet sich das CS-Ostium posterior-inferior zur Trikuspidalklappenebene. Der Koronarsinus verläuft dann inferior und posterior entlang der Trikuspidalklappenebene und weiter zur Mitralklappenebene (Abb. 3). In einer LAO-30°-Angulation der Röntgenanlage kann das CS-Ostium gut lokalisiert werden. Aus Strahlenschutzgründen und aufgrund der störenden Bildwandlerposition bei Angulation ist eine primäre Operation in p.-a.-Ausrichtung empfehlenswert. Wenn der Eingriff von der linken V. subclavia aus durchgeführt wird, werden der Katheter oder der Guide gegen den Uhrzeigersinn gedreht und vorsichtig vorgeschoben, wenn sich die Spitze in der Nähe der Trikuspidalklappe befindet. Der Einsatz eines Koronarkatheters oder eines steuerbaren EP-Katheters kann eine zusätzliche dreidimensionale Orientierung bieten und schwierige anatomische Herausforderungen insbesondere bei dilatierten Herzhöhlen lösen. Sollte das CS-Ostium nicht lokalisiert werden können, kann eine Darstellung via Femoralvenen mit einem AL-1- oder AL-2-Katheter helfen. Alternativ kann man auch eine Koronarangiographie präferenziell der linken Koronararterie in einer LAO-40°- und RAO-30°-Angulierung durchführen und dann bei langer Filmaufnahme die Kontrastierung des CS abwarten, um eine Orientierung zu erhalten. Intrakardiale (ICE) oder transösophageale Echokardiographie (TEE) können bei bildgebungserfahrenen Operateuren helfen, sind aber in der Regel nicht erforderlich und im Falle des ICE invasiv und kostenintensiv.
Abb. 3
Anatomie des CS. (Aus [27] mit freundl. Genehmigung)
Bild vergrößern
Sobald das CS-Ostium lokalisiert wurde, kann eine kleine Menge Kontrastmittel dabei helfen, den Verlauf des Koronarsinus darzustellen. Das CS-Ostium ist bei einzelnen Patienten aufgrund einer ostialen Venenklappe kaum sondierbar (Thebesische Klappe). Diese Klappe ist bei den meisten Patienten klein angelegt, kann den Zugang zum CS jedoch auch subtotal verschließen. Sie kann von kranial oder von kaudal mit einem steuerbaren EP-Katheter oder einem 6‑French-Amplatz-Links-Katheter (1 oder 2) zur Seite gedrängt und dann nach Darstellung mit dem CS-Guide passiert werden (Abb. 4). Der Guide wird vorsichtig bis zur mittleren lateralen Region vorgeschoben, wobei darauf geachtet wird, Seitäste oder die atriale Vene des linken Atriums (Marshall-Vene) zu vermeiden. An diesem Punkt kann die Drehung des Katheters oder die Verwendung eines hydrophilen Drahtes innerhalb des Katheters den Vorschub desselben erleichtern. Insbesondere im proximalen Drittel ist der CS anatomisch bedingt vulnerabel und dissektions- bzw. perforationsgefährdet.
Abb. 4
Thebesische Klappe, die über einen femoralen Zugang mittels AL-1-Katheter dargestellt wurde. Ebenfalls einliegend 10-poliger Inquiry-Katheter der Firma Abbott
Bild vergrößern
Falls das Vorankommen des Guides auf mittlerer Venenhöhe schwierig ist, sollte dieser leicht zurückgezogen werden, und eine geringe Menge Kontrastmittel kann helfen, das Vorhandensein von weiteren Venenklappen an dieser Stelle zu erkennen. Die Vieussen-Klappe, die nach Abgang der Marschallvene lokalisiert ist, kann hier einen Abbruch des CS vortäuschen (Abb. 5). Diese Klappen können in der Regel mit einem hydrophilen Draht überwunden werden, der vom Katheter gestützt wird und durch die Klappe gedreht werden kann. In Einzelfällen können auch über einen Koronarkatheter steifere Drähte (Amplatz Extrastiff o. Ä.) vorgebracht werden, oder ein kräftigerer Innenkatheter verwendet werden, der den Backup des Guides beim Vorschub verbessert.
Abb. 5
CS-Angiographie mit Darstellung der Vieussen-Klappe
Bild vergrößern

Ballonokklusionsvenographie

Sobald der Guide mittig in der Vene positioniert ist, kann eine kleine Menge Kontrastmittel verwendet werden, um zu zeigen, ob er koaxial zur Vene ist. Ein Ballonokklusionskatheter wird dann eingesetzt, um eine retrograde Venographie zu ermöglichen. Dieser sollte bis zur Spitze des Guides vorgeschoben werden. Dann wird der Guide leicht zurückgezogen, um den Ballon gefahrlos zu enthüllen. Der Ballon sollte nicht routinemäßig über die Spitze hinaus vorgeschoben werden, um das Risiko einer Gefäßverletzung zu vermeiden. Ein weiterer kleiner Kontrastmittelbolus kann klären, dass sich der Ballonkatheter nicht in einer kleinen Vene befindet. Eine Kontrastmittelinjektion von etwa 10 ml reicht in der Regel aus, um die venöse Anatomie umfassend darzustellen (Abb. 6a). Das Ablassen des Ballons bei maximaler Füllung unter Fortsetzung der Röntgenaufnahme ermöglicht es, eventuell durch den Ballon okkludierte Seitenäste nicht zu übersehen. Wenn der Durchmesser des CS zu groß ist und der Ballon nicht zu einer kompletten Okklusion führt, kann auch im dünneren distalen Bereich der „great cardiac vein“ vorsichtig okkludiert werden und mit einer langen Szene über eine retrograde Füllung über Anastomosen die proximalen Venen visualisiert werden (Abb. 6b).
Abb. 6
Ballonvenographie zeigt die Anatomie des Koronarsinus und eine geeignete laterale Zielvene. ab radiologische Aufnahmen; c Ballon-Okklusionskatheter (Abbott)
Bild vergrößern

Auswahl der Zielvene

Der erfolgreiche Einsatz hängt nicht nur davon ab, Zugang zum Koronarsinus zu erhalten, sondern auch davon, in die Äste mit ausreichender Größe zu navigieren, um die Elektrode mit allen Elektrodenpolen unterzubringen.
Zu den wichtigsten Herausforderungen bei der LV-Elektrodenplatzierung gehören:
  • Venen-Tortuositität: Die Koronarvenen weisen oft einen gewundenen Verlauf auf, was die Komplexität der Elektrodenplatzierung erhöht und anspruchsvolle Hilfsmittel für die Navigation erfordert.
  • Elektrodenstabilität: Es ist entscheidend, dass die LV-Elektrode über die Zeit stabil bleibt, um eine effektive Stimulation zu gewährleisten. Instabile Elektroden können zu schlechten Messwerten oder zu einer Dislokation der Elektrode führen, was den Erfolg der CRT beeinträchtigt.
  • Anatomische Variabilität: Die Lage und Größe der Koronarvenen sind patientenindividuell, dies kann die ideale Platzierung erschweren.
  • Phrenikusstimulation: Aufgrund des Verlaufes des N. phrenicus kann bei bestimmten Elektrodenpositionen eine begleitende Stimulation dieses Nervs und damit eine stimulationssynchrone Kontraktion des Zwerchfells auftreten (sog. „Zwerchfellzucken“). Posteriore, laterale und weiter apikale Elektrodenpositionen bringen hierfür ein erhöhtes Risiko mit sich. Schwierig ist, dass in aufrechter Position des Patienten und bei Inspiration eine Lageveränderung der Elektrode auftreten kann und dies während der Operation nicht detektiert wird. Aufgrund der quadripolaren Elektroden mit multiplen Stimulationsvektoren und der Möglichkeit einer Impulsdauerverbreiterung mit der dann niedrigeren erforderlichen Impulsamplitude kann dieses Problem meist ohne Revisionsoperation beherrscht werden.
Die Entscheidung, welche Vene verwendet werden soll, wird daher durch eine Kombination anatomischer Gegebenheiten und elektrischer Messwerte bestimmt.

Entscheidung der Wahl der Elektrode

Für die CRT-Implantation stehen mehrere Elektrodenoptionen zur Verfügung, die unterschiedliche Fixierungsmechanismen aufweisen, um die Stabilität der Elektrode nach der Positionierung zu gewährleisten. Diese lassen sich grob in passive Fixierung und aktive Fixierung unterteilen, wobei beide Vor- und Nachteile haben.

Passive Fixierungselektroden

Diese Elektroden sind mit flexiblen Widerhaken oder speziellen Krümmungen ausgestattet, die mit der venösen Wand in Kontakt treten, um die Elektrode an ihrem Platz zu halten. Passive Fixierungselektroden nutzen die natürliche Krümmung der Vene, um die Elektrode im Sinne einer Verklemmung zu stabilisieren (Abb. 7). Sie sind im Allgemeinen einfacher zu implantieren und erfordern weniger Drehmoment, um die Elektrode zu positionieren.
Abb. 7
Linksventriculaere(LV)-Sonden mit unterschiedlichen Kurvenformen. a Medtronic, b Biotronik, c Abbott, d Microport
Bild vergrößern
Vorteile:
  • Einfacher zu implantieren und während der Platzierung neu zu positionieren.
  • Ideal für Venen mit guter natürlicher Geometrie.
  • Einfacher zu extrahieren.
Nachteile:
  • Weniger stabil als aktive Fixierung, insbesondere in gewundenen oder kleinen Venen.
  • Können mit der Zeit zur Dislokation neigen.

Aktive Fixierungselektroden

Aktive Fixierungselektroden sind so konstruiert, dass die Elektrode mit einer kleinen helikalen Schraube, die zwischen den Elektrodenpolen liegt, gesichert wird, in dem die Elektrode rotiert wird bis die Schraube sich in das Endothel innerhalb der Vene verankert (Abb. 8). Eine aktive Fixierung bietet eine größere Stabilität im Vergleich zur passiven Fixierung und ist besonders nützlich bei Venen mit größerem Durchmesser oder kürzeren Venen mit herausfordernder Anatomie.
Abb. 8
Medtronic Attain Stability quadripolare LV-Elektrode zur aktiven Fixierung im Koronarsinusast
Bild vergrößern
Vorteile:
  • Erhöhte Stabilität und geringeres Risiko einer Dislokation.
  • Ideal für Venen mit gewundenem oder nicht idealem Verlauf.
  • Sichert die Elektrodenplatzierung selbst in anspruchsvolleren Ästen des Koronarsinus.
Nachteile:
  • Potenzielles Risiko einer Gefäßverletzung, wenn nicht korrekt positioniert.
  • Kann schwieriger neu positioniert oder angepasst werden, nachdem sie platziert wurde.
  • Extraktionen können im langfristigen Verlauf mit einem erhöhten Risiko einhergehen.
Quadripolare Elektroden sind mittlerweile der Standard, da sie mehr Optionen hinsichtlich der potenziellen Stimulationsvektoren bieten und dadurch eine ungewollte Stimulation des N. phrenicus in der Regel vermieden werden kann. Die größere Fläche, über die diese Pole verteilt sind, ermöglicht es auch, die Elektroden tiefer in eine Vene zu platzieren, sodass der distale Pol sogar in der Nähe des Apex liegt, da die proximaleren Pole seitlich mittig positioniert sind. Insgesamt haben quadripolare Elektroden trotz ihres komplexeren Designs eine ähnliche Implantationserfolgsrate und Langlebigkeit wie ältere bipolare Elektroden. Sie zeichnen sich durch langfristig stabile elektrische Messwerte aus sowie niedrige Raten von unerwünschten Ereignissen im Vergleich zu bipolaren Elektroden [28, 29].

Auswirkungen der Elektrodenplatzierung auf die CRT-Ergebnisse

Das Hauptziel des Verfahrens ist es, eine Elektrode auf der lateralen Seite des linken Ventrikels in einer stabilen Position zu platzieren, um eine Stimulation des N. phrenicus zu vermeiden. Die optimale Positionierung der LV-Elektrode hat einen erheblichen Einfluss auf die Wirksamkeit der CRT. Die Platzierung der Elektrode in den lateralen oder posterolateralen Bereichen des linken Ventrikels, mittig zwischen Apex und Basis, führt zu den besten Ergebnissen hinsichtlich einer verbesserten linksventrikulären Auswurffraktion (LVEF), reduzierten Krankenhausaufenthalten und besserer Langzeitüberlebensrate [30]. Allerdings, obwohl man diesen idealen Ort häufig identifizieren kann, muss dies mit dem Pragmatismus der anatomischen Erreichbarkeit, Elektrodenstabilität und Vermeidung einer N.-phrenicus-Stimulation in Einklang gebracht werden. Aufgrund der Vielzahl potenzieller Vektoren hat die Einführung quadripolarer Elektroden die Chance erhöht, eine erfolgreiche Elektrodenplatzierung zu erreichen, jedoch ist in einigen Fällen ein Kompromiss erforderlich. Ein höhere Stimulationsreizschwelle und eine nur suboptimale Platzierung verwendeten Elektrodenpole sind akzeptabel, wenn eine gute Elektrodenstabilität gewährleistet ist und keine oder nur eine beherrschbare N.-phrenicus-Stimulation auftritt. Umgekehrt kann eine suboptimale Elektrodenplatzierung, insbesondere in apikalen Segmenten oder septal zu einer weniger effektiven Resynchronisation und einem geringeren klinischen Nutzen führen [31], obwohl die Studienlage in diesem Bereich uneinheitlich ist [32].
Während einige Studien gezeigt haben, dass eine gezielte Elektrodenplatzierung unter Verwendung von echokardiographischem Speckle-Tracking [33] oder Magnetresonanztomographie [34, 35] die klinische oder echokardiographische Ergebnisse verbessern kann, haben andere keinen Nutzen gezeigt, trotz der zusätzlichen Komplexität des Versorgungswegs, die mit einem multimodalen Ansatz verbunden ist [36, 37]. Deshalb, während Ergebnisse laufender Studien noch ausstehen [38], ist ein gezielter Ansatz für die Elektrodenposition nicht routinemäßig, nicht zuletzt, weil die ideale Position häufig nicht erreicht werden kann oder mit einer anderen Herausforderung sowie die Phrenikusstimulation verbunden ist. Daher ist es angesichts der begrenzten Evidenz, dass eine gezielte Elektrodenplatzierung die Ergebnisse verbessert, nicht üblich, eine optimierte anatomische Sondenposition im Voraus zu planen, da auch die Stabilität der Elektrode und die Vermeidung der Phrenikusstimulation mitentscheidend sind.

Elektrodenplatzierung

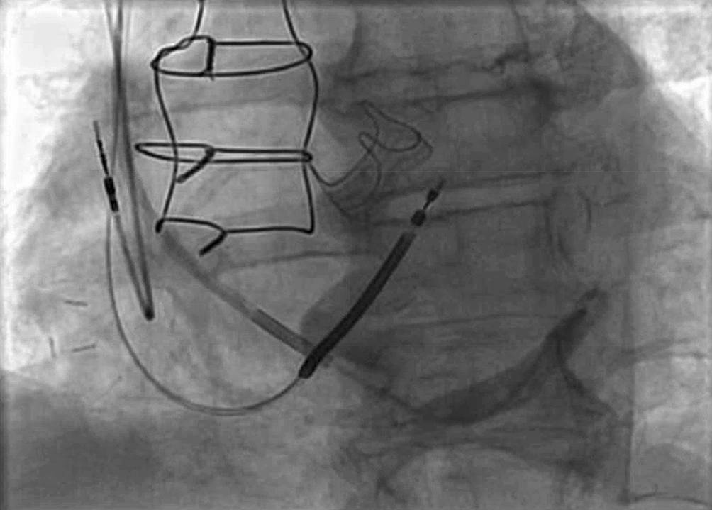
Sobald eine stabile Position des Guides im Koronarsinus erreicht wurde und die Anatomie klar ist, wird die gewählte Elektrode platziert. Die Platzierung der Elektrode im Zielgefäß wird durch die Verwendung eines Angioplastiedrahts mit einer leicht gebogenen Spitze (oder einer vorgefertigten J‑Form) erleichtert, um das Steuern in die lateralen Äste zu ermöglichen. Der Draht wird in die Zielvene vorgeschoben und die Elektrode dann über diesen Draht bis zur Stabilität oder der gewünschten Position (vorzugsweise beides) vorgebracht.
Elektroden in lateralen Venen mit einem spitzwinkligen Abgang zum Koronarsinus können besonders schwierig zu platzieren sein, da der Vorwärtsdruck auf die Elektrode dazu führen kann, dass sie in den Hauptanteil des Koronarsinus prolabiert. Um dies zu vermeiden, gibt es mittlerweile eine Vielzahl von Subselektionskathetern mit einem ausreichend großen Innendurchmesser, um das Einführen der Elektrode zu ermöglichen. Diese bieten ausreichend Unterstützung an der oberen Krümmung, um die Kanülierung dieser schwierigen Venen zu erleichtern (Abb. 9a). Die Wahl des Führungsdrahtes, über den die Elektrode geführt wird, kann ebenfalls den Implantationserfolg beeinflussen. Weiche Drähte ermöglichen in der Regel die leichte Sondierung auch kleiner Gefäße mit schwierigen Abgängen. Gewundene Venen können gut mit einem Extra-support-Draht teilweise begradigt werden und bieten gleichzeitig ein gutes Backup für den Elektrodenvorschub. Steifere Führungsdrähte sind oft nicht so gut steuerbar. Sobald die Elektrode positioniert ist, wird unter Durchleuchtung der Führungsdraht zurückgezogen (Abb. 9b).
Abb. 9
a Darstellung der lateralen Zielvene über einen 130° Subselektionskatheter. b Platzierte CS-Elektrode über den Subselektionskatheter. Dieser gibt einen guten Backup für das Vorbringen der Elektrode
Bild vergrößern
Falls eine Elektrode mit aktiver Fixierung gewählt wurde, muss der Mechanismus durch Drehen der gesamten Elektrode entweder mit dem Führungsdraht oder der bereitgestellten Stilette aktiviert werden. Um zu bestätigen, dass diese fixiert ist, führt ein sanftes Ziehen dazu, dass der Guide sich in Richtung der Spitze der Elektrode bewegt, und ein sanftes Drücken sollte dazu führen, dass die Spitze des Guides in Richtung des Koronarsinusostiums verschoben wird.

Abschluss der Elektrodenplatzierung

Sobald die Position in den LAO- und RAO-Bildern verifiziert wurde und sich auf der lateralen Wand (und nicht anterior; Abb. 10) befindet, sollten die elektrischen Messwerte erhoben werden und ein Schwellenwert für die Phrenikusstimulation bestimmt werden. Während die Stimulationsreizschwelle einer transvenösen epikardialen LV-Elektrode häufig höher ist als bei endokardialen Elektroden, kann diese im Allgemeinen akzeptiert werden, solange sie einen ausreichenden Abstand zur Phrenikusschwelle hat und die Elektrodenstabilität am gewünschten Ort akzeptabel ist. Darüber hinaus ist die übliche Sicherheitsmarge bei der Programmierung des LV-Outputs im Gegensatz zu RV-Elektroden von dem 2‑fachen des Reizschwellenwertes nicht unbedingt erforderlich, sodass die Programmierung darauf abgestimmt werden sollte, ein zuverlässiges LV-Capture zu erreichen. Die Impulsamplitude sollte jedoch aus Gründen der Energieersparnis unterhalb der Batteriespannung liegen. In bestimmten Fällen können höhere Reizschwellen als Kompromiss für die Elektrodenplatzierung und -stabilität akzeptabel sein.
Abb. 10
Laterale Röntgenaufnahme des Thorax, die eine unbefriedigende anteriore Position der LV-Elektrode zeigt (roter Kreis). Diese Position ist insbesondere mit einem schlechten Ergebnis der CRT verbunden
Bild vergrößern
Anschließend muss der Guide mit einem speziell angefertigten Schlitzmesser der Länge nach eröffnet werden, um die Elektrode freizulegen. Die Elektrode wird hierbei mit dem Messer in einer stabilen Position gehalten und der Guide in einer kontinuierlichen ggf. auch fluoroskopisch kontrollierten Bewegung zurückgezogen und hierbei längs aufgeschlitzt. (Abb. 11). Der Draht oder Stilette können dann entfernt und die Elektrode wie üblich an der Faszie angenäht werden. Insgesamt muss auf eine feste Fixierung der Elektroden mit einer doppelten oder besser dreifachen Annaht des Sleeves an die Muskelfaszie geachtet werden, um ein Herausarbeiten bei Armbewegungen zu verhindern.
Abb. 11
Das Schlitzmesser wird durch das Ventil vorgeschoben, und anschließend wird der Guide gleichmäßig und stetig zurückgezogen
Bild vergrößern
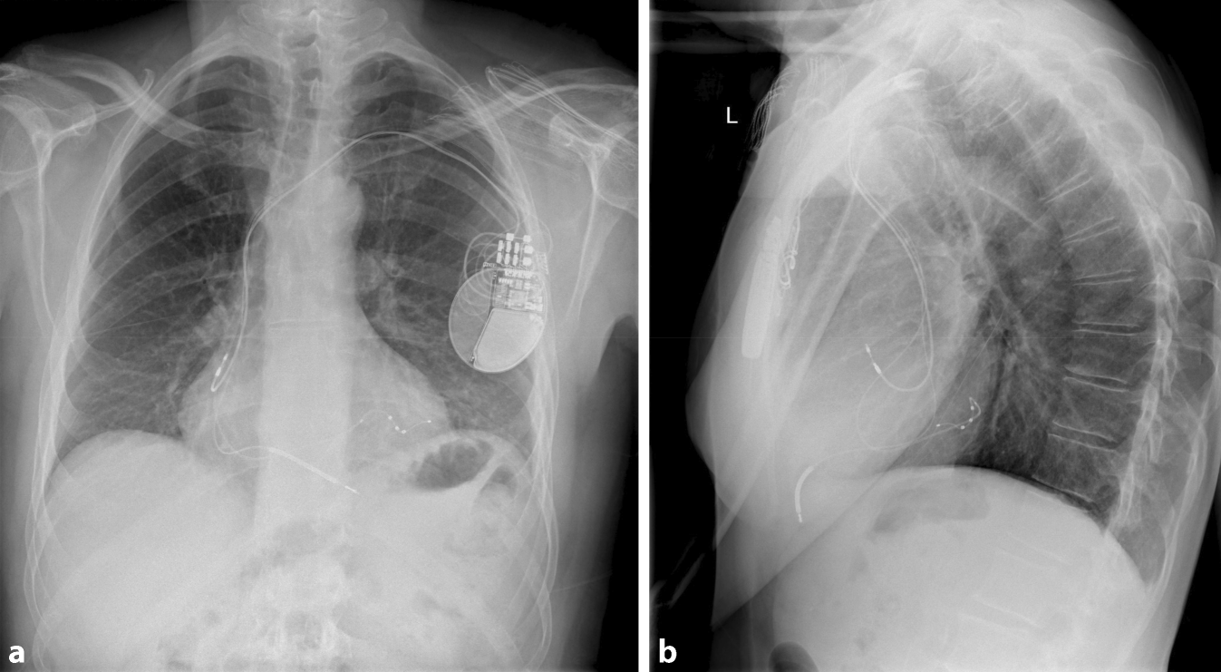
Postoperativ sollte eine PA- und laterale Röntgenaufnahme des Thorax gemacht werden, um die angemessene und stabile Position der LV-Elektrode zu bestätigen (Abb. 12). Außerdem sollte im Rahmen der ersten Nachsorge ein EKG aufgezeichnet werden, das die intrinsische Erregung, RV-Stimulation, LV-Stimulation und biventrikuläre Stimulation dokumentiert. Dies kann als Referenz z. B. für einen Stimulationsverlust der LV-Sonde herangezogen werden und zusätzlich Aufschluss über die Kammerkomplexbreite unter biventrikulärer Stimulation geben. Die RV/LV-Synchronität könnte hier optimiert werden, obwohl der klinische Nutzen im Vergleich zur AV-Zeit-Optimierung weiterhin fraglich ist (Abb. 13).
Abb. 12
Posterior-anteriore (a) und laterale (b) Röntgenaufnahme des Thorax, die eine gute Position der LV-Elektrode bei einer De-novo-CRT-D-Implantation zeigen
Bild vergrößern
Abb. 13
EKGs, die die intrinsische Erregung, RV-Stimulation, LV-Stimulation und biventrikuläre Stimulation zeigen
Bild vergrößern

Komplikationen

Die Operationsdauer und die Erfolgsraten stehen in engem Zusammenhang mit der Erfahrung des Operateurs. Aufgrund der aktuellen, politisch vorgegebenen Umstrukturierung in der Krankenversorgung mit Wegfall von Leistungsgruppen in einzelnen Krankenhäusern wird es zu einer Zentralisierung dieser Eingriffe kommen. Die flachen Lernkurve für solche Eingriffe erfordert zudem eine ausreichend große Fallzahl pro Operateur, um eine hochqualitative Patientenversorgung zu gewährleisten. Die Dosis-Flächen-Produkt-Grenzen für die Implantation eines De-novo-CRT-Systems sollten konstant unter 5000 cGy/cm2 liegen [16]. Der Operateur sollte eine sorgfältige Beurteilung des Risikos einer Infektion und der hohen Strahlendosis einer prolongierten Prozedur im Vergleich zu einem Zweiteingriff durch einen erfahreneren Operateur vornehmen [39]. Neuimplantationen und Revisionsoperation unterliegen in Deutschland einer bundeseinheitlichen externen Qualitätssicherung.
Eine frustrane LV-Elektroden-Implantation sollte in weniger als 5 % der Fälle auftreten. Die Beliebtheit des CSP nimmt zu und die Verfügbarkeit dieser Option hat scheinbar zu einer falsch erhöhten Fehlerrate der LV-Sonden-Platzierung geführt. Insgesamt empfehlen wir, dass im Falle eines Scheiterns der LV-Elektroden-Implantation der Fall mit einem sehr erfahrenen Operateur besprochen wird, bevor ein zweiter Versuch unternommen wird, solange CSP nicht in Bezug auf patientenorientierte Ergebnisse als gleichwertig mit CRT nachgewiesen ist. CSP stellt jedoch eine attraktive Alternative dar, um eine chirurgische epikardiale Sondenanlage, die deutlich invasiver ist, zu vermeiden.
Komplikationen, die speziell mit der Sondierung des Koronarsinus und der LV-Elektroden-Platzierung verbunden sind, beinhalten Verletzungen des Koronarsinus mit einer Dissektion oder gar Perforation. Während Letzteres sehr selten zu schwerwiegenden Ereignissen führt, kann eine signifikante Dissektion die Implantation bei fehlender Sondierbarkeit der Zielvene unmöglich machen. Ein zweiter Versuch kann nach 6 Wochen unternommen werden, wenn die Dissektion in der Regel abgeheilt ist. Drahtungsversuche bei bestehender größerer Dissektion sollten nur von erfahrenen Operateuren in der gleichen Prozedur erfolgen.
Relevante Elektrodendislokationen ggf. mit Reizschwellenproblemen und hartnäckiger N.-phrenicus-Stimulation, die zu einer Reoperation führen, sollten insgesamt unter 5 % liegen. Der Einsatz quadripolarer LV-Elektroden hat zu einer Verringerung der Reoperationen aufgrund dieser Indikationen geführt. Ein Prolaps der LV-Elektrode in den Koronarsinus oder das rechte Atrium tritt in weniger als 1 % der Fälle auf, erfordert jedoch eine Wiederholung des Verfahrens aufgrund des Risikos induzierter Arrhythmien.

Jüngste Fortschritte und zukünftige Entwicklungen in der Resynchronisationstherapie

Das Feld der CRT hat sich mit Innovationen in der Programmierung weiterentwickelt, die die Batterielebensdauer, z. B. durch automatische Reizschwellentests mit Anpassung der Amplitude (sog. Capture-Management) und die CRT-Effektivität verbessern. Verschiedene Algorithmen zur Optimierung der AV- und VV-Zeiten werden von den Herstellern angeboten. Auch wenn diese nur mäßige Vorteile zu haben scheinen, sind sie besser als das Festhalten an der Out-of-the-box-Programmierung, die leider immer wieder beibehalten wird. Eine echokardiographisch und elektrokardiographisch gestützte Optimierung der AV- und ggf. VV-Zeit sowie Auswahl der LV-Stimulationskonfiguration sollten möglichst routinemäßig, aber insbesondere bei Nichtansprechen oder Verschlechterung durchgeführt werden [11]. Quadripolare LV-Elektroden mit aktiver Fixierung, die die Auswahl des Implantationsorts mit weniger Kompromissen ermöglichen, verbessern die Erfolgsraten. Neuere Kathetertechnologien und fortschrittliche Bildgebungstechniken, einschließlich intrakardialer Echokardiographie und MRT-kompatibler Elektroden, bieten eine höhere Präzision bei der Elektrodenplatzierung und -verfolgung während des Verfahrens. Jedoch nicht jede Innovation, die vielversprechend schien, hat sich in größeren prospektiven unabhängigen Studien als vorteilhaft gezeigt. Das Multi-Point-Pacing, das bessere Resynchronisation versprach, verbessert beispielsweise die klinischen Ergebnisse nicht, hat jedoch beträchtliche Kosten in Bezug auf die Batterielebensdauer und sollte nur bei Patienten aktiviert werden, die trotz optimaler Therapie eine Verschlechterung zeigen [40].
Zusätzlich könnte eine personalisierte Programmierung basierend auf patientenspezifischen anatomischen und kontraktilen Eigenschaften einen noch größeren therapeutischen Nutzen bieten, während zunehmend erkannt wird, dass die Gerätetherapie für Herzinsuffizienz am besten von einem interdisziplinären Team in einer spezialisierten Einrichtung durchgeführt wird [41].

Fazit

Der Erfolg der kardialen Resynchronisationstherapie ist eng mit der genauen und stabilen Positionierung der linksventrikulären Elektrode verbunden. Während Elektroden mit passiver Fixierung nach wie vor ein fester Bestandteil der CRT sind, haben sich Elektroden mit aktiver Fixierung als überlegen in Bezug auf die Stabilität bei schwierigen anatomischen Bedingungen erwiesen. Diese Technologien bringen jedoch ihre eigenen Herausforderungen mit sich, insbesondere bei verwundenen oder kleinen Koronargefäßen, und neben den verwendeten Materialien ist die Erfahrung und Geschicklichkeit des Operateurs maßgeblich.

Einhaltung ethischer Richtlinien

Interessenkonflikt

A. Napp erhielt moderate Referentenhonorare von Boston Scientific, Medtronic und Zoll, sowie Fortbildungsunterstützung von Abbott, Biosense Webster und Medtronic. D. Duncker erhielt moderate Referentenhonorare, Reisekostenunterstützung und/oder einen Fellowship grant von Abbott, Astra Zeneca, Biotronik, Boehringer Ingelheim, Boston Scientific, Bristol Myers Squibb, CVRx, Medtronic, Microport, Pfizer, Sanofi, Zoll. D. Steven erhielt Referentenhonorare von Boston Scientific, Abbott, Biosense Webster, Pfizer und Zoll, sowie Fortbildungsunterstützung von Abbott, Biosense Webster und Boston-Scientific. V. Johnson erhielt Referentenhonorare, Reisekostenunterstützung und/oder einen Fellowship grant von Abbott Medical GmbH, Medtronic GmbH, Pfizer Pharma GmbH, BMS GmbH & Co. KGaA, Astra Zeneca GmbH, Daichi Sankyo GmbH, Bayer Vital GmbH, Boehringer Ingelheim Pharma GmbH & Co. KG, NovoNordisk PharmaGmbH, Sanofi Aventis GmbH. L. Iden Consultant: Biosense Webster, Novartis, Lecture Fees: Biosense Webster, Bayer, Berlin-Chemie, BMS/Pfizer, Daiichi-Sankyo, Astra Zeneca, TravelGrants: Biosense Webster. H. Jansen, T. Althoff, R. Tilz, C.H. Heeger, A. Rillig, S. Rolf, T. Maurer, K.R.J. Chun, P. Sommer und K.K. Witte geben an, dass kein Interessenkonflikt besteht. Eine finanzielle Unterstützung seitens Dritter erfolgte zur Fertigstellung des Artikels nicht.
Es handelt sich um einen Übersichtsartikel. Für diesen Beitrag wurden von den Autor/-innen keine Studien an Menschen oder Tieren durchgeführt. Für die aufgeführten Studien gelten die jeweils dort angegebenen ethischen Richtlinien.
Open Access Dieser Artikel wird unter der Creative Commons Namensnennung 4.0 International Lizenz veröffentlicht, welche die Nutzung, Vervielfältigung, Bearbeitung, Verbreitung und Wiedergabe in jeglichem Medium und Format erlaubt, sofern Sie den/die ursprünglichen Autor(en) und die Quelle ordnungsgemäß nennen, einen Link zur Creative Commons Lizenz beifügen und angeben, ob Änderungen vorgenommen wurden. Die in diesem Artikel enthaltenen Bilder und sonstiges Drittmaterial unterliegen ebenfalls der genannten Creative Commons Lizenz, sofern sich aus der Abbildungslegende nichts anderes ergibt. Sofern das betreffende Material nicht unter der genannten Creative Commons Lizenz steht und die betreffende Handlung nicht nach gesetzlichen Vorschriften erlaubt ist, ist für die oben aufgeführten Weiterverwendungen des Materials die Einwilligung des jeweiligen Rechteinhabers einzuholen. Weitere Details zur Lizenz entnehmen Sie bitte der Lizenzinformation auf http://​creativecommons.​org/​licenses/​by/​4.​0/​deed.​de.

Hinweis des Verlags

Der Verlag bleibt in Hinblick auf geografische Zuordnungen und Gebietsbezeichnungen in veröffentlichten Karten und Institutsadressen neutral.

Unsere Produktempfehlungen

Herzschrittmachertherapie + Elektrophysiologie

Print-Titel

  • Themenbezogene Hefte zu aktuellen Fragen der Elektrophysiologie sowie der Diagnostik und Therapie von Herzrhythmusstörungen

  • Organ der Deutschen Gesellschaft für Kardiologie - Herz- und Kreislaufforschung e.V.
  • Journal affiliated to the European Heart Rhythm Association 
  • Partnerjournal der AG Rhythmologie der ÖKG

e.Med Interdisziplinär

Kombi-Abonnement

Für Ihren Erfolg in Klinik und Praxis - Die beste Hilfe in Ihrem Arbeitsalltag

Mit e.Med Interdisziplinär erhalten Sie Zugang zu allen CME-Fortbildungen und Fachzeitschriften auf SpringerMedizin.de.

e.Med Innere Medizin

Kombi-Abonnement

Mit e.Med Innere Medizin erhalten Sie Zugang zu CME-Fortbildungen des Fachgebietes Innere Medizin, den Premium-Inhalten der internistischen Fachzeitschriften, inklusive einer gedruckten internistischen Zeitschrift Ihrer Wahl.

download
DOWNLOAD
print
DRUCKEN
Titel
Linksventrikuläre Elektrodenimplantation im Rahmen der kardialen Resynchronisationstherapie
Verfasst von
Andreas Napp
Henning Jansen
Till Althoff
Roland Tilz
Christian Hendrik Heeger
Victoria Johnson
Andreas Rillig
Leon Iden
Sascha Rolf
Tilman Maurer
K. R. Julian Chun
Philipp Sommer
Daniel Steven
David Duncker
Klaus K. Witte
Publikationsdatum
04.08.2025
1.
Zurück zum Zitat Moss AJ, Hall WJ, Cannom DS (2009) Cardiac-resynchronization therapy for the prevention of heart-failure events. N Engl J Med 361:1329–1338CrossRefPubMed
2.
Zurück zum Zitat Glikson M, Nielsen JC, Kronborg MB, Michowitz Y, Auricchio A, Barbash IM, Barrabés JA, Boriani G, Braunschweig F, Brignole M, Burri H, Coats AJS, Deharo JC, Delgado V, Diller GP, Israel CW, Keren A, Knops RE, Kotecha D, Leclercq C, Merkely B, Starck C, Thylén I, Tolosana JM, ESC Scientific Document Group (2021) ESC Guidelines on cardiac pacing and cardiac resynchronization therapy. Eur Heart J 2021(42):3427–3520. https://​doi.​org/​10.​1093/​eurheartj/​ehab364CrossRef
3.
Zurück zum Zitat Ruschitzka F, Abraham WT, Singh JP, Bax JJ, Borer JS, Brugada J, Dickstein K, Ford I, Gorcsan J 3rd, Gras D, Krum H, Sogaard P, Holzmeister J, EchoCRT Study Group (2013) Cardiac-resynchronization therapy in heart failure with a narrow QRS complex. N Engl J Med 369:1395–1405. https://​doi.​org/​10.​1056/​NEJMoa1306687CrossRefPubMed
4.
Zurück zum Zitat Curtis AB, Worley SJ, Adamson PB, Chung ES, Niazi I, Sherfesee L, Shinn T, Sutton MS (2013) Biventricular versus Right Ventricular Pacing in Heart Failure Patients with Atrioventricular Block (BLOCK HF) Trial Investigators. Biventricular pacing for atrioventricular block and systolic dysfunction. N Engl J Med 368:1585–1593. https://​doi.​org/​10.​1056/​NEJMoa1210356CrossRefPubMed
5.
Zurück zum Zitat Witte KK, Sasson Z, Persaud JA, Jolliffe R, Wald RW, Parker JD (2008) Biventricular pacing: impact on exercise-induced increases in mitral insufficiency in patients with chronic heart failure. Can J Cardiol 24:379–384PubMedPubMedCentral
6.
Zurück zum Zitat Abraham WT, Fisher WG, Smith AL, Delurgio DB, Leon AR, Loh E, Kocovic DZ, Packer M, Clavell AL, Hayes DL, Ellestad M, Trupp RJ, Underwood J, Pickering F, Truex C, McAtee P, Messenger J, MIRACLE Study Group (2002) Multicenter InSync Randomized Clinical Evaluation. Cardiac resynchronization in chronic heart failure. N Engl J Med 346:1845–1853CrossRefPubMed
7.
Zurück zum Zitat Young JB, Abraham WT, Smith AL, Leon AR, Lieberman R, Wilkoff B, Canby RC, Schroeder JS, Liem LB, Hall S, Wheelan K (2003) Multicenter InSync ICD Randomized Clinical Evaluation (MIRACLE-ICD) Trial Investigators. Combined cardiac resynchronization and implantable cardioversion defibrillation in advanced chronic heart failure: the MIRACLE-ICD Trial. JAMA 289:2685–2694CrossRefPubMed
8.
Zurück zum Zitat Cazeau S, Leclercq C, Lavergne T, Walker S, Varma C, Linde C, Garrigue S, Kappenberger L, Haywood GA, Santini M, Bailleul C, Daubert JC, Multisite Stimulation in Cardiomyopathies (MUSTIC) Study Investigators (2001) Effects of multisite biventricular pacing in patients with heart failure and intraventricular conduction delay. N Engl J Med 344:873–880CrossRefPubMed
9.
Zurück zum Zitat Freemantle N, Tharmanathan P, Calvert MJ, Abraham WT, Ghosh J, Cleland JG (2006) Cardiac resynchronisation for patients with heart failure due to left ventricular systolic dysfunction – a systematic review and meta-analysis. Eur J Heart Fail 8:433–440CrossRefPubMed
10.
Zurück zum Zitat Chung ES, Leon AR, Tavazzi L, Sun JP, Nihoyannopoulos P, Merlino J, Abraham WT, Ghio S, Leclercq C, Bax JJ, Yu CM, Gorcsan J 3rd, St John Sutton M, De Sutter J, Murillo J (2008) Results of the Predictors of Response to CRT (PROSPECT) trial. Circulation 117:2608–2616. https://​doi.​org/​10.​1161/​CIRCULATIONAHA.​107.​743120CrossRefPubMed
11.
Zurück zum Zitat Mullens W, Dauw J, Gustafsson F, Mebazaa A, Steffel J, Witte KK, Delgado V, Linde C, Vernooy K, Anker SD, Chioncel O, Milicic D, Hasenfuß G, Ponikowski P, von Bardeleben RS, Koehler F, Ruschitzka F, Damman K, Schwammenthal E, Testani JM, Zannad F, Böhm M, Cowie MR, Dickstein K, Jaarsma T, Filippatos G, Volterrani M, Thum T, Adamopoulos S, Cohen-Solal A, Moura B, Rakisheva A, Ristic A, Bayes-Genis A, Van Linthout S, Tocchetti CG, Savarese G, Skouri H, Adamo M, Amir O, Yilmaz MB, Simpson M, Tokmakova M, González A, Piepoli M, Seferovic P, Metra M, Coats AJS, Rosano GMC (2024) Integration of implantable device therapy in patients with heart failure. A clinical consensus statement from the Heart Failure Association (HFA) and European Heart Rhythm Association (EHRA) of the European Society of Cardiology (ESC). Eur J Heart Fail 26:483–501. https://​doi.​org/​10.​1002/​ejhf.​3150CrossRefPubMed
12.
Zurück zum Zitat Witte KK (2013) Cardiac resynchronisation therapy for chronic heart failure: predicting and measuring „response“. Heart 99:293–294. https://​doi.​org/​10.​1136/​heartjnl-2012-303359CrossRefPubMed
13.
Zurück zum Zitat Safdar NZ, Kamalathasan S, Gupta A, Wren J, Bird R, Papp D, Latto R, Ahmed A, Palin V, Gierula J, Witte KK, Straw S (2023) Outcomes following cardiac resynchronisation therapy in older people. Age Ageing 52:afad222. https://​doi.​org/​10.​1093/​ageing/​afad222CrossRefPubMedPubMedCentral
14.
Zurück zum Zitat Vazquez PM, Mohamed U, Zanon F, Lustgarten DL, Atwater B, Whinnett ZI, Curila K, Dinerman J, Molina-Lerma M, Wiley J, Grammatico A, Lee K, Vijayaraman P (2023) Result of the Physiologic Pacing Registry, an international multicenter prospective observational study of conduction system pacing. Heart Rhythm 20:1617–1625. https://​doi.​org/​10.​1016/​j.​hrthm.​2023.​06.​006CrossRefPubMed
15.
Zurück zum Zitat Özpak E, Van Heuverswyn F, Timmermans F, De Pooter J (2024) Lead performance of stylet-driven leads in left bundle branch area pacing: Results from a large single-center cohort and insights from in vitro bench testing. Heart Rhythm 21:865–873. https://​doi.​org/​10.​1016/​j.​hrthm.​2024.​01.​049CrossRefPubMed
16.
Zurück zum Zitat Schmitt J, Althoff T, Busch S, Chun KRJ, Dahme T, Ebert M, Estner H, Gunawardene M, Heeger C, Iden L, Jansen H, Johnson V, Maurer T, Rillig A, Rolf S, Sommer P, Steven D, Tilz RR, Duncker D (2025) „Left bundle branch (area) pacing“: Sondenpositionierung und Erfolgskriterien – Schritt für Schritt [Left bundle branch (area) pacing: lead positioning and implant criteria-step for step. Herzschrittmacherther Elektrophysiol 36:82–90. https://​doi.​org/​10.​1007/​s00399-024-01060-8CrossRefPubMed
17.
Zurück zum Zitat Butter C, Eckardt L, Israel CW, Perings CA, Steven D, Stockburger M (2022) Schrittmacher- und kardiale Resynchronisationstherapie. Kardiologie 16:383–390. https://​doi.​org/​10.​1007/​s12181-022-00568-yCrossRef
18.
Zurück zum Zitat Linde CM, Normand C, Bogale N, Auricchio A, Sterlinski M, Marinskis G, Sticherling C, Bulava A, Pérez ÓC, Maass AH, Witte KK, Rekvava R, Abdelali S, Dickstein K (2018) Upgrades from a previous device compared to de novo cardiac resynchronization therapy in the European Society of Cardiology CRT Survey II. Eur J Heart Fail 20:1457–1468. https://​doi.​org/​10.​1002/​ejhf.​1235CrossRefPubMed
19.
Zurück zum Zitat Bogale N, Witte K, Priori S, Cleland J, Auricchio A, Gadler F, Gitt A, Limbourg T, Linde C, Dickstein K (2011) Scientific Committee, National coordinators and the investigators. The European Cardiac Resynchronization Therapy Survey: comparison of outcomes between de novo cardiac resynchronization therapy implantations and upgrades. Eur J Heart Fail 13:974–983. https://​doi.​org/​10.​1093/​eurjhf/​hfr085CrossRefPubMed
20.
Zurück zum Zitat Witte KK, Pipes RR, Nanthakumar K, Parker JD (2006) Biventricular pacemaker upgrade in previously paced heart failure patients – improvements in ventricular dyssynchrony. J Card Fail 12:199–204. https://​doi.​org/​10.​1016/​j.​cardfail.​2005.​12.​003CrossRefPubMed
21.
Zurück zum Zitat Gierula J, Cubbon RM, Jamil HA, Byrom R, Baxter PD, Pavitt S, Gilthorpe MS, Hewison J, Kearney MT, Witte KK (2013) Cardiac resynchronization therapy in pacemaker-dependent patients with left ventricular dysfunction. Europace 15:1609–1614. https://​doi.​org/​10.​1093/​europace/​eut148CrossRefPubMed
22.
Zurück zum Zitat Poole JE, Gleva MJ, Mela T et al (2010) Complication rates associated with pacemaker or implantable cardioverter-defibrillator generator replacements and upgrade procedures: Results from the REPLACE registry. Circulation 122:1553–1561CrossRefPubMed
23.
Zurück zum Zitat Krieger K, Park I, Althoff T, Busch S, Chun KRJ, Estner H, Iden L, Maurer T, Rillig A, Sommer P, Steven D, Tilz R, Duncker D (2024) Perioperatives Management bei der Versorgung mit aktiven Rhythmusimplantaten [Perioperative management for cardiovascular implantable electronic devices. Herzschrittmacherther Elektrophysiol 35:83–90. https://​doi.​org/​10.​1007/​s00399-023-00989-6CrossRefPubMedPubMedCentral
24.
Zurück zum Zitat Martens E, Sommer P, Johnson V, Tilz RR, Althoff T, Jansen H, Steven D, Steger A, Iden L, Estner H, Rillig A, Duncker D (2023) Venöse Zugangswege in der kardialen Devicetherapie [Venous access routes for cardiac implantable electronic devices. Herzschrittmacherther Elektrophysiol 34:250–255. https://​doi.​org/​10.​1007/​s00399-023-00954-3CrossRefPubMed
25.
Zurück zum Zitat Wörmann J, Duncker D, Althoff T et al (2024) Elektrodenplatzierung in der kardialen Devicetherapie. Herzschrittmacher Elektrophysiol 35:155–164. https://​doi.​org/​10.​1007/​s00399-024-01019-9CrossRef
26.
Zurück zum Zitat Benz AP, Vamos M, Erath JW et al (2018) ICD lead type and RV lead position in CRT‑D recipients. Clin Res Cardiol 107:1122–1130. https://​doi.​org/​10.​1007/​s00392-018-1286-3CrossRefPubMed
27.
Zurück zum Zitat Khan FZ et al (2009) Characterization of the suitability of coronary venous anatomy for targeting left ventricular lead placement in patients undergoing cardiac resynchronization therapy. Ep Eur 11:1491–1495. https://​doi.​org/​10.​1093/​europace/​eup292CrossRef
28.
Zurück zum Zitat Patel PA, Nadarajah R, Ali N, Tan F, Hammond C, Burnet N, Cole CA, Paton MF, Cubbon RM, Kearney MT, Gierula J, Witte KK (2020) Long-term performance of left ventricular leads in cardiac resynchronisation therapy. Pacing Clin Electrophysiol 43:1501–1507. https://​doi.​org/​10.​1111/​pace.​14034CrossRefPubMed
29.
Zurück zum Zitat Ziacchi M, Diemberger I, Corzani A et al (2018) Cardiac resynchronization therapy: a comparison among left ventricular bipolar, quadripolar and active fixation leads. Sci Rep 8:13262. https://​doi.​org/​10.​1038/​s41598-018-31692-zCrossRefPubMedPubMedCentral
30.
Zurück zum Zitat Nguyên UC, Prinzen FW, Vernooy K (2024) Left ventricular lead placement in cardiac resynchronization therapy: Current data and potential explanations for the lack of benefit. Heart Rhythm 21:197–205. https://​doi.​org/​10.​1016/​j.​hrthm.​2023.​10.​003CrossRefPubMed
31.
Zurück zum Zitat Kutyifa V, Kosztin A, Klein HU, Biton Y, Nagy VK, Solomon SD, McNitt S, Zareba W, Goldenberg I, Roka A, Moss AJ, Merkely B, Singh JP (2018) Left Ventricular Lead Location and Long-Term Outcomes in Cardiac Resynchronization Therapy Patients. JACC Clin Electrophysiol 4:1410–1420. https://​doi.​org/​10.​1016/​j.​jacep.​2018.​07.​006CrossRefPubMed
32.
Zurück zum Zitat Saxon LA, Olshansky B, Volosin K, Steinberg JS, Lee BK, Tomassoni G, Guarnieri T, Rao A, Yong P, Galle E, Leigh J, Ecklund F, Bristow MR (2009) Influence of left ventricular lead location on outcomes in the COMPANION study. J Cardiovasc Electrophysiol 20:764–768. https://​doi.​org/​10.​1111/​j.​1540-8167.​2009.​01444.​xCrossRefPubMed
33.
Zurück zum Zitat Saba S, Marek J, Schwartzman D, Jain S, Adelstein E, White P, Oyenuga OA, Onishi T, Soman P, Gorcsan J (2013) Echocardiography-guided left ventricular lead placement for cardiac resynchronization therapy: results of the Speckle Tracking Assisted Resynchronization Therapy for Electrode Region trial. Circ Heart Fail 6:427–434. https://​doi.​org/​10.​1161/​CIRCHEARTFAILURE​.​112.​000078 (3rd.)CrossRefPubMed
34.
Zurück zum Zitat Shetty AK, Duckett SG, Ginks MR, Ma Y, Sohal M, Bostock J, Kapetanakis S, Singh JP, Rhode K, Wright M, O’Neill MD, Gill JS, Carr-White G, Razavi R, Rinaldi CA (2013) Cardiac magnetic resonance-derived anatomy, scar, and dyssynchrony fused with fluoroscopy to guide LV lead placement in cardiac resynchronization therapy: a comparison with acute haemodynamic measures and echocardiographic reverse remodelling. Eur Heart J Cardiovasc Imaging 14:692–699. https://​doi.​org/​10.​1093/​ehjci/​jes270CrossRefPubMed
35.
Zurück zum Zitat Salden OAE, van den Broek HT, van Everdingen WM, Hoesein MFAA, Velthuis BK, Doevendans PA, Cramer MJ, Tuinenburg AE, Leufkens P, van Slochteren FJ, Meine M (2019) Multimodality imaging for real-time image-guided left ventricular lead placement during cardiac resynchronization therapy implantations. Int J Cardiovasc Imaging 35:1327–1337. https://​doi.​org/​10.​1007/​s10554-019-01574-0CrossRefPubMedPubMedCentral
36.
Zurück zum Zitat Kočková R, Sedláček K, Wichterle D, Šikula V, Tintěra J, Jansová H, Pravečková A, Langová R, Krýže L, El-Husseini W, Segeťová M, Kautzner J (2018) Cardiac resynchronization therapy guided by cardiac magnetic resonance imaging: A prospective, single-centre randomized study (CMR-CRT). Int J Cardiol 270:325–330. https://​doi.​org/​10.​1016/​j.​ijcard.​2018.​06.​009CrossRefPubMed
37.
Zurück zum Zitat Glikson M, Beinart R, Golovchiner G, Sheshet AB, Swissa M, Bolous M, Rosso R, Medina A, Haim M, Friedman P, Khalamaizer V, Benzvi S, Ito S, Goldenberg I, Klempfner R, Vaturi O, Oh JK (2022) Radial strain imaging-guided lead placement for improving response to cardiac resynchronization therapy in patients with ischaemic cardiomyopathy: the Raise CRT trial. Europace 24:835–844. https://​doi.​org/​10.​1093/​europace/​euab253CrossRefPubMed
38.
Zurück zum Zitat Wouters PC, van Lieshout C, van Dijk VF, Delnoy PH, Doevendans PA, Cramer MJ, Frederix GW, van Slochteren FJ, Meine M (2021) Advanced image-supported lead placement in cardiac resynchronisation therapy: protocol for the multicentre, randomised controlled ADVISE trial and early economic evaluation. Bmj Open 11:e54115. https://​doi.​org/​10.​1136/​bmjopen-2021-054115CrossRefPubMedPubMedCentral
39.
Zurück zum Zitat Kamalathasan S, Paton M, Gierula J, Straw S, Witte KK (2024) Is conduction system pacing a panacea for pacemaker therapy? Expert Rev Med Devices 21:613–623. https://​doi.​org/​10.​1080/​17434440.​2024.​2370827CrossRefPubMedPubMedCentral
40.
Zurück zum Zitat Leonardo C, Ermenegildo R, Christof K, Amir J, Pedro M, Pascal D, Christelle M, Olivier P, Andrea G, Kwangdeok L, Wenjiao L, Haran B, Johannes S, Bernard T, Christopher R, Christophe L (2024) Multipoint pacing is associated with improved prognosis and cardiac resynchronization therapy response: MORE-CRT MPP randomized study secondary analyses. Europace 26(11):euae259. https://​doi.​org/​10.​1093/​europace/​euae259CrossRefPubMed
41.
Zurück zum Zitat Mullens W, Auricchio A, Martens P, Witte KK, Cowie MR, Delgado V, Dickstein K, Linde C, Vernooy K, Leyva F, Bauersachs J, Israel CW, Lund LH, Donal E, Boriani G, Jaarsma T, Berruezo A, Traykov V, Yousef Z, Kalarus Z, Nielsen JC, Steffel J, Vardas P, Coats A, Seferovic P, Edvardsen T, Heidbuchel H, Ruschitzka F, Leclercq C (2021) Optimized implementation of cardiac resynchronization therapy: a call for action for referral and optimization of care. Europace 23:1324–1342. https://​doi.​org/​10.​1093/​europace/​euaa411CrossRefPubMed

Neu im Fachgebiet Kardiologie

PCSK9-Hemmer funktioniert auch oral

Trotz guter Möglichkeiten zur Senkung des atherogenen LDL-Cholesterins sind viele Personen mit hohen Risiken unzureichend therapiert. Nun wurde ein oraler PCSK9-Inhibitor entwickelt, der sich in einer Phase-3-Studie wirksam und sicher zeigte.

Fischölkapseln senken kardiovaskuläres Risiko unter Dialyse

Sollten dialysepflichtige Menschen regelmäßig Fischölkapseln schlucken? In der randomisierten PISCES-Studie war die tägliche Einnahme mit einem signifikanten Rückgang schwerer kardiovaskulärer Ereignisse gegenüber einer Placebogruppe assoziiert.

Vorhofflimmern plus Stent: Auf Dauer bitte keinen Plättchenhemmer!

Für KHK-Patienten mit Vorhofflimmern und länger zurückliegender Stent-Implantation ist eine Antikoagulation mit einem DOAK als antithrombotische Monotherapie besser als eine Kombination aus DOAK plus Plättchenhemmer, belegen neue Studiendaten.

Reihenfolge in der Herzinsuffizienz-Therapie wohl nicht egal

Ob Patienten und Patientinnen, die wegen einer Herzinsuffizienz mit reduzierter Ejektionsfraktion bereits einen RAS-Inhibitor und einen Betablocker erhalten, erst einen Mineralokortikoidantagonisten oder einen SGLT-2-Inhibitor dazubekommen, könnte sich Registerdaten zufolge auf das Mortalitätsrisiko auswirken.

EKG Essentials: EKG befunden mit System (Link öffnet in neuem Fenster)

In diesem CME-Kurs können Sie Ihr Wissen zur EKG-Befundung anhand von zwölf Video-Tutorials auffrischen und 10 CME-Punkte sammeln.
Praxisnah, relevant und mit vielen Tipps & Tricks vom Profi.

Update Kardiologie

Bestellen Sie unseren Fach-Newsletter und bleiben Sie gut informiert.

Bildnachweise
Medikamente und Medikationsplan/© Photographee.eu / stock.adobe.com, Ältere Person sortiert Medikamente/© Przemek Klos / stock.adobe.com (Symbolbild mit Fotomodell), EKG befunden mit System - EKG Essential/© Springer Medizin Verlag GmbH