Zum Inhalt

Kasuistiken aus der Kardiologie

Zugang erhalten

Um auf alle Kasuistiken Ihres Fachgebiets zugreifen zu können, benötigen Sie ein e.Med Fach-Abo. Um auf die Kasuistiken aller Fachgebiete zugreifen zu können, benötigen Sie e.Med Interdisziplinär

Lebensbedrohliche intrathorakale Blutung durch ein rupturiertes Vena-brachiocephalica-Aneurysma bei Neurofibromatose Typ 1

Wir berichten über den außergewöhnlichen Fall einer jungen Patientin mit Neurofibromatose Typ 1 (NF1, Morbus von Recklinghausen), bei der ein rupturiertes venöses Aneurysma der linken Vena brachiocephalica eine massive Hämothoraxbildung mit …

Thorakale Schmerzen, Schweißausbruch und Schwindel

  • EKG
  • Kasuistik

Ein 66-jähriger pensionierter Beamter, bei dem seit Jahren eine arterielle Hypertonie bekannt war, hatte immer wieder links thorakale Schmerzen ohne anderweitige Symptome. Kardiologische Untersuchungen mit 12-Kanal-Oberflächen-EKG, Belastungs-EKG …

Die Kehrseite intensiver Blutdruckkontrolle: 76-Jährige mit unerwarteten Komplikationen

Eine 76-jährige Patientin stellte sich in der Hochdrucksprechstunde zur Blutdruckeinstellung vor. Trotz langjähriger, sukzessiv gesteigerter Hypertonietherapie hatte sich in den letzten Jahren der systolische Blutdruck zunehmend – teilweise auf über 200 mmHg – erhöht. In den letzten Monaten kamen kardiale Beschwerden hinzu. Wie lautet Ihre Diagnose? 

Perkutane endovaskuläre Thrombektomie eines in die Aorta hineinragenden Embolus aus der Arteria mesenterica superior

Wir stellen den Fall einer 73-jährigen Patientin vor, die eine akute mesenteriale Ischämie durch einen kardio-embolischen Verschluss der Arteria mesenterica superior erlitten hatte, wobei der Embolus bis in die Aorta abdominalis hineinragte. Die …

Eine seltene Ursache für gastrointestinale Blutungen

Bei dem 62-jährigen Patienten wurde vor Jahrzehnten eine Nabelhernie operativ versorgt. Im Verlauf kam es immer wieder zu Rezidiven, sodass insgesamt drei Revisionseingriffe notwendig wurden, schlussendlich auch mit Netzimplantation. Des Weiteren …

Ein seltener Fall von Niereninfarkt bei einem Patienten mit gleichzeitig bestehendem Cor triatriatum sinistrum: klinische Implikationen und Management

Das Cor triatriatum ist ein seltener angeborener Herzfehler mit einer geschätzten Inzidenz von ungefähr 0,1–0,4 % aller angeborenen Herzfehler. Kennzeichnend ist das Vorliegen einer fibromuskulären Membran, die den linken oder rechten Vorhof in …

Red Flag im EKG – hätten Sie's gesehen?

  • EKG
  • Kasuistik

Ein 78-jähriger Mann stellt sich montags bei seiner Hausärztin vor und berichtet über linksthorakale Schmerzen beim Spazierengehen am Wochenende, die in Ruhe wieder vergangen waren. Die Hausärztin leitet ein 12-Kanal-EKG ab – der Vergleich mit einem vergangenen Routine-EKG bringt die Diagnose.

Was tun, wenn ein Säugling „raccoon eyes“ hat?

Nach einem 20-minütigen Spaziergang entwickelt sich bei dem 4 Monate alte Mädchen eine Schwellung rund um die Augen, die nach kurzer Zeit wieder verschwindet. Jetzt steht das Kind mit einem bilateralen periorbitalem Erythem vor Ihnen in der Praxis. An welche Diagnose sollten Sie jetzt denken? 

Entzündlicher Perikarderguss im Rahmen eines paraneoplastischen Syndroms bei einer 82-jährigen Patientin

Eine 82-jährige Patientin stellte sich bei ihrem Hausarzt vor. Sie klagte über eine seit mehreren Monaten bestehende, progrediente allgemeine Schwäche, einen Gewichtsverlust von etwa 3 kg innerhalb eines Monats sowie über seit etwa sechs Wochen …

Ein besonderer Kammerblick

Ein 4‑jähriger Junge wurde vom Kinderarzt zum Kardiologen überwiesen, um einen angeborenen Herzfehler auszuschließen, da beim Vater im Rahmen einer Routinekontrolle eine bikuspide Aortenklappe festgestellt worden war. Die Anamnese war abgesehen …

Drei Fälle aus der Gerichtsmedizin: Wenn entscheidende Symptome übersehen werden

Nicht immer ist die Ursache eines plötzlichen Todes offensichtlich – und manchmal hätten sorgfältigere Untersuchungen oder rechtzeitiges Handeln sogar Leben retten können. Ausschnitte aus dem Arbeitsalltag eines Rechtsmediziners zeigen, wie wichtig Obduktionen für die Aufklärung sein können.

Schmerzen, Dyspnoe, Fatigue – aber Long-COVID war es nicht!

Erst zwei Jahre und eine diagnostische Odyssee später wird hier die tatsächliche Ursache gefunden: Während bei der jungen Frau zunächst alles auf Long-COVID hindeutet, kommen bald Herzstolpern, Atemnot und ein Engegefühl in der Brust hinzu. In der dritten Notaufnahme keimt endlich der richtige Verdacht auf.

Kardiogener Schock – Volumengabe oder nicht?

Diese entscheidende Frage stellt sich im Fall einer 93-jährigen Patientin mit starker Dyspnoe, Thoraxschmerzen und Hypotonie. Das Aufnahme-EKG zeigt eindeutig einen ST-Hebungsinfarkt, der Verdacht auf ein kardiales Lungenödem steht im Raum. Der lungensonografische Befund jedoch passt nicht dazu.

Beine und Arme plötzlich gelähmt – kein Albtraum, sondern Notfall

Ein Mann schläft mit leicht schwächelnden Beinen ein und wacht mit Tetraparese auf: Beim nächtlichen Toilettengang sackt der Mann vor dem Bett zusammen – zu kraftlos, um selbstständig aufzustehen. Erst Stunden später finden die Mitbewohner den 40-Jährigen. Im Schockraum fallen neben dem klinischen Bild und dem EKG insbesondere die laborchemischen Befunde auf.

61-jährige Verkäuferin mit "Herzrattern wie eine Nähmaschine" – Ihre Diagnose?

  • EKG
  • Kasuistik

Eine 61-jährige Verkäuferin mit gut eingestelltem Typ-1-Diabetes musste während der Arbeit den Notarzt rufen, weil ihr Herz "ratterte wie eine Nähmaschine", sie sich elend fühlte und die Luft knapp wurde. Kardiale Vorerkrankungen gab es keine. Was sehen Sie im EKG?

58-Jährige mit neurologischen Beschwerden – ist eine frühere Schwangerschaft schuld?

Seit zehn Jahren lagen die Blutdruckwerte einer 58-Jährigen bei über 200/120 mmHg – ohne Beschwerden. Vor drei Monaten kam es plötzlich zu einer transitorischen ischämischen Attacke. Ein Blick in die Anamnese ergab: Vor 30 Jahren musste ihr Kind in der 33. Schwangerschaftswoche wegen Komplikationen geholt werden. Was verbindet dieses Ereignis mit den aktuellen Beschwerden?

Schwere, akute, eitrige Konjunktivitis nach Glaukomoperation

Ein 74-jähriger Patient stellte sich mit seit 10 Tagen neu aufgetretenen Schmerzen bei Augenbewegungen vor. In der Nacht verspürte er zusätzlich ein Druckgefühl am linken Auge, weshalb er am nächsten Morgen den niedergelassenen Augenarzt …

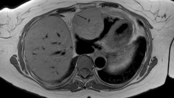
Bei diesem Herztumor war schnelles Handeln nötig

Ein mehr als 6 cm großer Tumor zeigt sich bei einer 55-jährigen Patientin im Kardio-MRT. Sie wird auf die Intensivstation verlegt. Bei hämodynamischer Instabilität und fast vollständiger Obstruktion der Trikuspidalklappenebene und funktioneller Stenosierung wird eine Notfalltherapie gestartet. Dem Verdacht auf ein Rezidiv eines diffus großzelligen B-Zell-Lymphoms wird währenddessen nachgegangen.

„Unaufhörliches“ Herzrasen bei 57-jährigem Kraftfahrer – Ihre Diagnose?

  • EKG
  • Kasuistik

Bei einem 57-jähriger Kraftfahrer, langjährig übergewichtig und Raucher, kommt es nach dem Beladen des LKWs zu Stechen im Brustkorb, Herzrasen und Luftnot. Weil sich sein Herz auch nach 30 Minuten nicht "beruhigt" hat, rufen seine Kollegen den Notarzt. Was erkennen Sie sofort im EKG – und was erst bei genauerem Hinsehen?

32-minütige Reanimation einer jungen Frau – so gut kann es laufen

Drei Dinge sind schnell klar bei diesem Notruf an einem Sonntag im Januar: Die Frau hat einen Herzstillstand, nur der Ehemann ist vor Ort und in der Nähe ist kein Einsatzfahrzeug verfügbar. Gut eine halbe Stunde später kehrt der Spontankreislauf der jungen Frau zurück – dank Leitstelle, Ersthelfer-App, First Responder und Rettungskräften. Der präklinische Ablauf in Minuten.

Bildnachweise
e.Med Interdisziplinär Icon, Digitales Blutdruckmessgerät/© Kotchakorn / Stock.adobe.com (Symbolbild mit Fotomodell), EKG bei RIVA-Stenose/© S. Grautoff, Racoon Eyes Neonataler Lupus erythematodes/© Cho A. et al. doi.org/10.1007/s00105-025-05581-2 unter CC-BY 4.0, Person hält sich den Bauch/© anut21ng Stock / stock.adobe.com (Symbolbild mit Fotomodell), Frau sitzt besorgt beim Arzt und hält sich den Kopf/© M+Isolation+Photo / Stock.adobe.com (Symbolbild mit Fotomodell), Lungensonographie /© Böck U et al. / all rights reserved Springer Medizin Verlag GmbH, EKG bei normofrequentem Vorhofflimmern/© Knop J et al. doi.org/10.1007/s10049-025-01599-0 unter CC-BY 4.0, Extremitäten-EKG-Ableitungen/© Trappe H-J et al. / all rights reserved Springer Medizin Verlag GmbH, Rechtsatriale und rechtsventrikuläre Raumforderung/© Krohn, JN et al. / all rights reserved Springer Medizin Verlag GmbH, EKG bei ventrikulärer Tachykardie/© Trappe H-J et al. / all rights reserved Springer Medizin Verlag GmbH, Herzdruckmassage bei einer jungen Frau/© DJ Creative Studio / Stock.adobe.com (Symbolbild mit Fotomodellen)