Zum Inhalt

Kasuistiken aus der Gynäkologie und Geburtshilfe

Zugang erhalten

Um auf alle Kasuistiken Ihres Fachgebiets zugreifen zu können, benötigen Sie ein e.Med Fach-Abo. Um auf die Kasuistiken aller Fachgebiete zugreifen zu können, benötigen Sie e.Med Interdisziplinär

Suche in Kasuistiken

Sonographischer Zufallsbefund mit 35 Schwangerschaftswochen und unmittelbarer therapeutischer Konsequenz

Eine 31-jährige Patientin (GII/PI) stellte sich im März 2024 zur geplanten Geburtsmodusbesprechung mit 35 + 4 Schwangerschaftswochen (SSW) vor. Es handelte sich dabei um die Erstvorstellung in unserer Klinik in dieser Schwangerschaft.

Ein heimtückisches Haustier

Eine 63-jährige Frau stellte sich mit seit fünf Tagen bestehendem hohem Fieber, Petechien an den Unterschenkeln und schwerer Thrombozytopenie vor. Klinisch fand sich eine inguinale Lymphadenopathie links und eine verkrustete Wunde am linken …

Notfall Ovarialtorsion – zwei Fallberichte

Hätten Sie plötzlich einsetzende, starke Unterleibschmerzen sofort mit einem gynäkologischen Notfall assoziiert? Zwei Fallberichte zeigen, wie herausfordernd die Diagnose einer Ovarialtorsion bei unauffälliger Morphologie sein kann und warum schnelles Handeln entscheidend ist.

Anhaltende vaginale Blutung zehn Monate nach Re-Sectio

Eine 31-jährige, stillende Patientin stellt sich mit zunehmend übelriechendem Vaginalausfluss und anhaltender Schmierblutung vor. Zehn Monate zuvor hatte sie per Re-Sectio entbunden, bei der es intraoperativ zu einer Uterusatonie kam. Nun zeigt die Vaginalsonographie einen dramatischen Befund, der sofortiges Handeln erfordert. 

Hat die Sectio was mit den Bauchschmerzen zu tun?

Eine 33-jährige Patientin stellt sich am späten Abend in der Notaufnahme mit leichten, rezidivierenden Oberbauchschmerzen, auffälligen Darmgeräuschen und abnehmender Stuhlfrequenz bei breiigen Stuhlgängen vor. Anamnestisch hat die Patientin vor 14 Tagen per Sectio ihr erstes Kind entbunden.

Bei rasch progredienter Osteoporose an maligne Grunderkrankung denken!

Eine 74-jährige Patientin stellt sich mit starken Kreuzschmerzen vor, die beidseitig in die Oberschenkel ausstrahlen. Die Beschwerden bestehen seit sechs Tagen; ein auslösendes Trauma wird verneint. Eine im April 2023 durchgeführte DXA-Knochendichtemessung ergibt eine grenzwertige Osteopenie. Aktuell liegt eine manifeste Osteoporose mit rasch progredienten Wirbelkörperfrakturen vor.

Stechende Schmerzen und unklarer Befund – was steckt dahinter?

Mit stechenden Schmerzen im rechten Unterbauch stellt sich eine 23-Jährige in der Notaufnahme vor. Die Sonographie zeigt eine Raumforderung im Bereich der Adnexe sowie freie Flüssigkeit im Douglas-Raum. Erst ein spezifischer Laborwert liefert das fehlende Puzzlestück zur Diagnose.

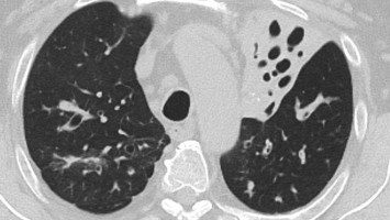
Wenn der Husten in die Jahre kommt: Alles nur Asthma?

Ein 65-jähriger hausärztlich tätiger Kollege stellt sich wegen zunehmender Belastungsdyspnoe, chronischem Husten mit produktivem Auswurf und abendlichen subfebrilen Temperaturen vor. Seit Jahren ist ein allergisches Asthma bekannt, zudem liegt eine chronische Kolonisation mit Pseudomonas aeruginosa vor. Die Ursache seiner Beschwerden liegt jedoch woanders.

Trichophyton mentagrophytes ITS-Genotyp VII: Übertragung in Abwesenheit sichtbarer Läsionen?

Sexuell übertragene Dermatophytosen, verursacht durch Trichophyton (T.) mentagrophytes ITS-Genotyp VII, stellen ein aufkommendes Problem der sexuellen Gesundheit bei Männern, die Sex mit Männern haben (MSM), dar. Wir berichten über einen Fall, der …

Was diesen Bauch wachsen ließ, war alles andere als erwartet

Der Bauchumfang wächst und der hCG-Wert steigt. Trotzdem verneint die 47-jährige Patientin eine kürzlich zurückliegende Schwangerschaft, als sie sich mit Verdacht auf eine neu aufgetretene Hypertonie vorstellt. Was die Sonographie dann zeigt, ist ein Befund, den man nur selten zu Gesicht bekommt.

Abdominalschmerzen und schwere Bewusstseinsstörung bei einer 19-jährigen Patientin

Eine 19-jährige Patientin stellte sich mit Abdominalschmerzen, psychomotorischer Agitation und Desorientiertheit in unserer Klinik vor. Laboranalytisch lag eine schwere Hyponatriämie vor. Das zerebrale MRT zeigte das typische neuroradiologische …

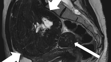
Multiple Raumforderungen beider Ovarien – und ein auffälliger Hautbefund

Eine 21-Jährige Nulligravida stellt sich mit Unterbauchschmerzen vor. Der Befund: multiple rezidivierende Raumforderungen beider Ovarien sowie ein benigner Hauttumor an der Nase. Bereits mit 16 wurden beidseitig benigne Ovarialtumoren entfernt. Wie würden Sie diesen komplexen Fall diagnostisch und therapeutisch einordnen?

58-Jährige mit neurologischen Beschwerden – ist eine frühere Schwangerschaft schuld?

Seit zehn Jahren lagen die Blutdruckwerte einer 58-Jährigen bei über 200/120 mmHg – ohne Beschwerden. Vor drei Monaten kam es plötzlich zu einer transitorischen ischämischen Attacke. Ein Blick in die Anamnese ergab: Vor 30 Jahren musste ihr Kind in der 33. Schwangerschaftswoche wegen Komplikationen geholt werden. Was verbindet dieses Ereignis mit den aktuellen Beschwerden?

Anhaltende Galaktorrhö: Stecken die Antidepressiva dahinter?

Milchfluss außerhalb der Stillzeit ist meist hormonell bedingt. Doch was, wenn der Prolaktinspiegel trotz bestehender Galaktorrhö normwertig bleibt? Dieser Fall zeigt, wie komplex die Ursachen sein können und warum SSRI-Antidepressiva mehr Aufmerksamkeit in der Gynäkologie verdienen.

Dieser pränatale Befund hat weitreichende Konsequenzen

Eine 32-jährige Erstgravida erscheint zur Routineuntersuchung in der 11 + 1 SSW. Vorerkrankungen oder genetische Risikofaktoren können die Behandelnden nicht erkennen. Dafür aber ein sonographischer Befund, der sofort Fragen aufwirft. 

Frau mit klimakterischen Beschwerden und vaginaler Blutung

Eine 50-jährige Patientin stellt sich mit klimakterischen Beschwerden und rezidivierenden vaginalen Blutungen vor. Die Familienanamnese ist belastet, das Labor zeigt erhöhte Transaminasen und im transvaginalen Ultraschall findet sich eine solide Struktur im Cavum uteri. Wie gehen Sie vor? Welche Differenzialdiagnosen müssen bedacht, welche Untersuchungen eingeleitet werden?

Medizinisches Rätsel: HCG-Wert erhöht trotz fehlendem intrauterinen Befund?

Eine 36-jährige Drittgravida stellt sich mit erhöhten β-HCG-Werten vor, obwohl sonographisch keine intrauterine Schwangerschaft nachweisbar ist. Voraus gingen eine Tubargravidität mit Salpingektomie links, eine Frühgeburt bei 35+5 SSW infolge vorzeitigen Blasensprungs sowie eine laparoskopische Appendektomie. Welche Ursache ziehen Sie in Betracht?

Akuter Stoffwechselnotfall nach abgelehntem Neugeborenenscreening

Die richtige Versorgung eines kritisch kranken Kindes im Schock ist elementar. Berichtet wird von einem 6 Wochen alten Säugling, welcher nach abgelehntem Neugeborenenscreening mit einer akuten Salzverlustkrise bei unerkanntem adrenogenitalen …

Bildnachweise
e.Med Interdisziplinär Icon, Search Icon, Transvaginaler Ultraschall/© Graphicroyalty / stock.adobe.com (Symbolbild mit Fotomodellen), Glaszellentumor der Gebärmutter/© Boeker M et al. / all rights reserved Springer Medizin Verlag GmbH, Extrauteringravidität /© Tsitlakidis I et al. / all rights reserved Springer Medizin Verlag GmbH, Bilaterale ausgedehnte zylindrische Bronchiektasen/© Düsterhöft D et al. / all rights reserved Springer Medizin Verlag GmbH, CT des Uterus einer 47-Jährigen /© Rizos A et al. | all rights reserved Springer Medizin Verlag GmbH, MRT des Beckens: Uterus und Ovarialtumoren/© Hosten AK et al. / all rights reserved Springer Medizin Verlag GmbH, Digitales Blutdruckmessgerät/© Kotchakorn / Stock.adobe.com (Symbolbild mit Fotomodell), Frau tastet ihre Brust ab/© Pheelings Media / Getty Images / iStock (Symbolbild mit Fotomodell), Feten von siamesischen Zwillingen/© Zahn E et al. / all rights reserved Springer Medizin Verlag GmbH, MRT einer intrakavitären Raumforderung/© Lattermann M et al. doi.org/10.1007/s00761-025-01733-0 unter CC-BY 4.0, Aufnahme nach Resektion der Extrauteringravidität/© Antonia Jörger