Zum Inhalt

Erste Fallbeschreibung einer Eutypella-scoparia-Keratitis

  • Open Access
  • 07.10.2024
  • Keratitis
  • Kasuistiken
Erschienen in:
download
DOWNLOAD
print
DRUCKEN
insite
SUCHEN
QR-Code scannen & Beitrag online lesen

Hinweis des Verlags

Der Verlag bleibt in Hinblick auf geografische Zuordnungen und Gebietsbezeichnungen in veröffentlichten Karten und Institutsadressen neutral.

Anamnese

Eine 79-jährige Patientin wurde unserer Augenklinik bei Verdacht auf eine chronische Endophthalmitis notfallmäßig zugewiesen. Drei Monate zuvor habe sich die Patientin einer Kataraktoperation an diesem Oculus unicus unterzogen. Postoperativ sei es wiederholt zu intraokularen Reizzuständen gekommen, die sich unter topischer Glukokortikoidapplikation gebessert hätten und nach Therapiereduktion wieder zugenommen hätten.
Fünf Tage vor der Erstvorstellung war es zu einer schmerzhaften und deutlichen Sehverschlechterung mit Hypopyon, Fibrin, Hornhautdekompensation und Glaskörperinfiltration gekommen. Eine Vorderkammerpunktion mit Vorderkammerspülung, eine Vitrektomie, Kapsulotomie und eine intraokulare Antibiose mittels Ceftazidim und Vancomycin sowie Dexamethason wurden extern vorgenommen. Im Verlauf wurden ein tief stromales Infiltrat und deutliche Zellen in der Vorderkammer mit Hypopyon sichtbar. Die Patientin wurde unter topischer Therapie mit Prednisolon, Moxifloxacin und Atropin sowie Ciprofloxacin oral eingestellt. Die extern durchführte Bakterien- und Pilz-Polymerase-Kettenreaktion (Pilz-PCR) aus der Vorderkammerpunktion und Vitrektomie blieben negativ. Die ophthalmologischen Diagnosen waren bis dato nur ein ausgeprägter kongenitaler Mikrophthalmus, mittels Glasprothese versorgt, und die Katarakt am Oculus unicus, die ca. 2 Monate zuvor operiert worden war.
Als Begleiterkrankungen bestanden eine arterielle Hypertonie, Pankreasinsuffizienz, Hypothyreose, chronisch obstruktive Lungenerkrankung (COPD) und Depression. Des Weiteren war eine Allergie gegen Barbiturate, Benzodiazepine und Penicillin bekannt.

Befund

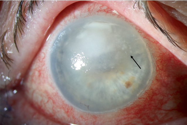
Der Visus betrug Fingerzählen, der Augeninnendruck 8 mm Hg applanatorisch. Spaltlampenmikroskopisch imponierten ein geschlossenes Hornhautepithel, superior ein tief stromales Infiltrat, 1 mm flaches nicht pyramidenförmiges Hypopyon und eine Intraokualarlinse (IOL) in loco (Abb. 1). Fundoskopisch war nur ein schemenhafter Einblick möglich, sonographisch konnte aber eine Glaskörperinfiltration bei anliegender Netzhaut festgestellt werden. Kontralateral war die Augenprothese bei kongenitalem unilateralem Mikrophthalmus in loco.
Abb. 1
Rechter Oculus unicus mit diffusem Hornhautinfiltrat und flachem, bei glattem Spiegel nicht pilztypischem Hypopyon bei Erstvorstellung
Bild vergrößern

Therapie und Verlauf

Die Patientin wurde stationär aufgenommen und bekam zusätzlich zur intravenösen Therapie mit Ceftazidim, Imipenem und Prednisolon eine Vorderkammerpunktion und Spülung mittels Dexamethason, Moxifloxacin sowie intravitreal Vancomycin. Bei langsamer Regredienz des Vorderkammerreizes, Besserung des Hornhautödems und der Schmerzen zeigte sich ein Hornhautinfiltrat, das langsam aufklarte. Bei negativer Mikrobiologie und relativer Befundbesserung (Abb. 2) wurde die Patientin nach 10 Tagen intravenöser Therapie unter topischer Therapie mit Prednisolon und Moxifloxacin mit einem Visus von 0,125 nach Hause entlassen.
Abb. 2
Persistierende Hornhauttrübung nach 10 Tagen intravitrealer, intrakameraler und topischer Antibiose
Bild vergrößern
Eine Verlaufskontrolle nach 5 Tagen zeigte eine deutliche Verschlechterung mit eitrigem prominentem Hornhautinfiltrat, pilztypischen Satelliteninfiltraten (Abb. 3) und einem Visusabfall auf Metervisus 1/35. Zwei scharfe Hornhautabstriche im Abstand von 2 Tagen zeigten in der Mikroskopie Pilzhyphen, sodass die topische Therapie auf Voriconazol und Natamycin erweitert wurde. Dies konnte eine perforierende Keratoplastik (pKPL) à chaud nach 11 Tagen topischer antimykotischer Therapie aber nicht verhindern: Abb. 4 zeigt Pilzhyphen in der PAS-Färbung des Explantats. Weitere Sequenzierung der Pilz-PCR aus beiden unabhängig gemachten Hornhautabstrichen ergab den Nachweis von Eutypella scoparia, welche bis dato als Pflanzenpathogen bekannt war. Natamycin und Voriconazol wurden jeweils 2 und 4 Wochen nach der pKPL in Rücksprache mit dem Nationalen Referenzzentrum für Invasive Pilzinfektion in Jena (NRZMyk) topisch verabreicht. Im Verlauf stieg der Visus bis 0,32 an. Es erfolgte zudem 2 Jahre nach der pKPL eine Lösung vorderer Synechien, um das Risiko einer Transplantatabstoßung zu vermindern. Während der bisher 3‑jährigen Nachbeobachtungszeit kam es weder zur Transplantatabstoßung noch zu einem Rezidiv des Pilzbefalls (Abb. 5). Der Visus betrug zuletzt 0,125 bei im Verlauf festgestelltem fortgeschrittenem Normaldruckglaukom.
Abb. 3
Pilztypische Satellitenläsionen (Pfeil) und prominentes Hornhautinfiltrat
Bild vergrößern
Abb. 4
Histologie des Explantats. Pilzhyphen in der PAS-Färbung
Bild vergrößern
Abb. 5
Reizloser Befund mit Hornhauttransplantat ohne Hinweis auf Abstoßung 2 Jahre nach Keratoplastik
Bild vergrößern

Diskussion

Die Endophthalmitis ist eine der gefürchtetsten postoperativen Komplikationen, die umgehend behandelt werden muss. Die akute Form ist aufgrund der plötzlichen und zeitnahen Symptomatik (meisten 3 bis 6 Tage postoperativ [1]) oft nicht zu übersehen.
Die chronische Form „delayed onset endophthalmitis“ kann aber eine Herausforderung für den Augenarzt darstellen, da sie deutlich seltener ist [2] und meistens mit deutlich weniger ausgeprägten Symptomen einhergeht. Zudem kann man aufgrund der zeitlichen Distanz zur Operation (Wochen bis Monate [2]) die Erkrankung mit einer nichtinfektiösen Uveitis verwechseln. Noch heimtückischer und irreführender ist, so wie in unserem Fall, eine mögliche, vorübergehende und paradoxe Befundbesserung unter topischen oder systemischen Glukokortikoiden [2]. Typische Erreger der chronischen postoperativen Endophthalmitis sind Propionibakterien oder seltener Pilze [2, 3]. Schimmelpilze (Aspergillus, Fusarium) scheinen häufiger als Hefepilze (Candida-Spezies) aufzutreten [3]. Neue Erreger werden regelmäßig entdeckt [46].
Auch wenn die Pilzkeratitis sich oft nicht eindeutig – v. a. im Frühstadium – von der durch Bakterien verursachten Keratitis unterscheiden lässt und Keratomykosen nach wenigen Stunden symptomatisch werden [7], sind einige klinische Zeichen für Pilze pathognomonisch: ein zähes, oft pyramidenförmiges Hypopyon (BB-1-Zeichen nach Behrens-Baumann) und das prominente Hornhautinfiltrat ohne oder nur mit geringem Epitheldefekt (BB-2-Zeichen) [8]. Das BB-1-Zeichen war in unserem Fall zwar (noch) negativ mit dem flachen glatten nicht pyramidenförmigen Hypopyonspiegel (s. Abb. 1), dafür aber das BB-2-Zeichen positiv (prominentes Hornhautinfiltrat mit intaktem Epithel).
Eutypella scoparia gehört zu der Gattung der Coelomyceten. Diese Art wird ausgesprochen selten in klinischen Proben nachgewiesen. Eine einzige Publikation aus dem Jahr 2017 [9] erwähnte 2 Isolate aus dieser Gattung aus subkutanem Gewebe und Atemwegsmaterial. Bei einem Nachweis in 2 voneinander unabhängigen Proben mit einer mittleren Keimzahl ist es aber wahrscheinlich, dass Eutypella scoparia die Keratitis und chronische Endophthalmitis bei unserer Patientin verursacht hat. Differenzialdiagnostisch kann auch eine Mischinfektion mit Bakterien und Pilzen initial stattgefunden haben, ohne dass ein intraokulärer Keimnachweis erfolgte.
Die Inzidenz von Pilzkeratitiden nimmt zu [1]. Eine bundesweite Surveillance ist daher wichtig, und Pilzkeratitiden sollten an das deutsche Pilzkeratitis-Register [1] gemeldet werden. Nicht selten wird, wie in unserem Fall, eine perforierende Keratoplastik notwendig [1].

Fazit für die Praxis

  • Die frühe Diagnose und adäquate Behandlung von chronisch postoperativen Endophthalmitiden stellen eine Herausforderung im klinischen Alltag dar.
  • Pathognomonische Zeichen für eine Pilzkeratitis sind ein pyramidenförmiges Hypopyon (BB1-Zeichen), ein prominentes Hornhautinfiltrat mit intaktem Epithel (BB2-Zeichen) und eine landkartenartige Konfiguration des Hornhautinfiltrates mit Satellitenherden.
  • Die mögliche vorübergehende und paradoxe Befundbesserung unter topischen oder systemischen Glukokortikoiden bei Pilzkeratitiden kann besonders irreführend sein.
  • Der mikrobiologische Nachweis von Pilzen ist oft schwierig, eine multimodale Diagnostik (Mikroskopie, Kultur, PCR) sollte beim klinischen Verdacht trotz Negativität wiederholt werden.
  • Dieser Fall ist die erste Beschreibung von Eutypella scoparia am Auge.

Einhaltung ethischer Richtlinien

Interessenkonflikt

N. Ferrand, S. Thaler, D. Süsskind und J.M. Rohrbach geben an, dass kein Interessenkonflikt besteht.
Für diesen Beitrag wurden von den Autor/-innen keine Studien an Menschen oder Tieren durchgeführt. Für die aufgeführten Studien gelten die jeweils dort angegebenen ethischen Richtlinien. Für Bildmaterial oder anderweitige Angaben innerhalb des Manuskripts, über die Patient/-innen zu identifizieren sind, liegt von ihnen und/oder ihren gesetzlichen Vertretern/Vertreterinnen eine schriftliche Einwilligung vor. Eine Einwilligung in die Erstellung und Veröffentlichung eines Fallberichts gemäß Art. 7 Datenschutzgrundverordnung (DSGVO) liegt vor.
Open Access Dieser Artikel wird unter der Creative Commons Namensnennung 4.0 International Lizenz veröffentlicht, welche die Nutzung, Vervielfältigung, Bearbeitung, Verbreitung und Wiedergabe in jeglichem Medium und Format erlaubt, sofern Sie den/die ursprünglichen Autor(en) und die Quelle ordnungsgemäß nennen, einen Link zur Creative Commons Lizenz beifügen und angeben, ob Änderungen vorgenommen wurden.
Die in diesem Artikel enthaltenen Bilder und sonstiges Drittmaterial unterliegen ebenfalls der genannten Creative Commons Lizenz, sofern sich aus der Abbildungslegende nichts anderes ergibt. Sofern das betreffende Material nicht unter der genannten Creative Commons Lizenz steht und die betreffende Handlung nicht nach gesetzlichen Vorschriften erlaubt ist, ist für die oben aufgeführten Weiterverwendungen des Materials die Einwilligung des jeweiligen Rechteinhabers einzuholen.
Weitere Details zur Lizenz entnehmen Sie bitte der Lizenzinformation auf http://creativecommons.org/licenses/by/4.0/deed.de.

Hinweis des Verlags

Der Verlag bleibt in Hinblick auf geografische Zuordnungen und Gebietsbezeichnungen in veröffentlichten Karten und Institutsadressen neutral.
download
DOWNLOAD
print
DRUCKEN
Titel
Erste Fallbeschreibung einer Eutypella-scoparia-Keratitis
Verfasst von
Dr. med. Nawfel Ferrand
Sebastian Thaler
Daniela Süsskind
Jens Martin Rohrbach
Publikationsdatum
07.10.2024
Verlag
Springer Medizin
Erschienen in
Die Ophthalmologie / Ausgabe 12/2024
Print ISSN: 2731-720X
Elektronische ISSN: 2731-7218
DOI
https://doi.org/10.1007/s00347-024-02113-6
1.
Zurück zum Zitat Roth M et al (2019) The German keratomycosis registry : Initial results of a multicenter survey. Ophthalmologe 116(10):957–966CrossRefPubMed
2.
Zurück zum Zitat Maalouf F, Abdulaal M, Hamam RN (2012) Chronic postoperative endophthalmitis: a review of clinical characteristics, microbiology, treatment strategies, and outcomes. Int J Inflam 2012:313248PubMedPubMedCentral
3.
Zurück zum Zitat Fox GM et al (1991) Delayed-onset pseudophakic endophthalmitis. Am J Ophthalmol 111(2):163–173CrossRefPubMed
4.
Zurück zum Zitat Sane S et al (2019) Emerging corneal pathogens: First report of Pseudopestalotiopsis theae keratitis. Indian J Ophthalmol 67(1):150–152CrossRefPubMedPubMedCentral
5.
Zurück zum Zitat Abente S et al (2022) Keratitis due to Mycobaterium abscessus. First case report in Paraguay. Rev Chilena Infectol 39(1):86–90CrossRefPubMed
6.
Zurück zum Zitat Monden Y et al (2013) First case of fungal keratitis caused by Pestalotiopsis clavispora. Clin Ophthalmol 7:2261–2264CrossRefPubMedPubMedCentral
7.
Zurück zum Zitat Grueb M, Rohrbach JM, Zierhut M (2006) Amphotericin B in the therapy of Candida glabrata endophthalmitis after penetrating keratoplasty. Cornea 25(10):1243–1244CrossRefPubMed
8.
Zurück zum Zitat Behrens-Baumann W (2009) Diagnostik und Therapie der Keratomykose. Ophthalmologe 106(5):471–480. https://doi.org/10.1007/s00347-009-1925-1 (Keratomycosis: diagnosis and therapy)CrossRefPubMed
9.
Zurück zum Zitat Valenzuela-Lopez N et al (2017) Coelomycetous Fungi in the Clinical Setting: Morphological Convergence and Cryptic Diversity. J Clin Microbiol 55(2):552–567CrossRefPubMedPubMedCentral

Passend zum Thema

ANZEIGE

Atropin zur Verlangsamung der pädiatrischen Myopieprogression*

Bis 2050 wird etwa jedes dritte Kind in Europa kurzsichtig sein [1]. Zur Vermeidung sehkraftgefährdender Folgekomplikationen ist die Progressionsverlangsamung der pädiatrischen Myopie* – z. B. mit niedrig dosiertem Atropin – von zentraler Bedeutung [2,3].   

Santen GmbH
Bildnachweise
Mädchen in selbst gebauter Zeitmaschine/© Santen GmbH (Symbolbild mit Fotomodell)