Zum Inhalt
Chirurgie Kinderchirurgie

Kinderchirurgie

Erworbener Hodenhochstand – ein unterschätztes klinisches Phänomen

Regelmäßig werden Operationen bei Hodenhochstand jenseits des ersten Lebensjahres durchgeführt. Dafür wurde lange Zeit eine späte Vorstellung der betroffenen Jungen verantwortlich gemacht. Mittlerweile wird immer öfter der sogenannte erworbene Hodenhochstand als Ursache hierfür in Betracht gezogen.

weiterlesen

Kasuistiken

Übersehene Verletzungen in der Kindertraumatologie

Bei mehrfach verletzten Kindern werden trotz moderner Bildgebung häufig Verletzungen übersehen. Somit bleiben sie ein Risiko in der Notfallversorgung. Zwei Fallbeispiele zeigen, wie standardisierte Abläufe, festgelegte Zuständigkeiten und Nachuntersuchungen dabei helfen können, solche Verletzungen frühzeitig zu erkennen. 

Drohende fatale Blutung nach Knopfzelleningestion – weltweit einmalige Op.

Ein kleines Mädchen verschluckt eine Knopfzelle. Als die Extraktion drei Stunden später gelingt, ist der Ösophagus bereits stark verätzt. Fistelgänge bilden sich, deren Durchbruch zur Karotis am übernächsten Tag kurz bevorzustehen scheint. Weltweit erstmalig in einem solchen Setting entscheidet sich das Team zur präventiven Operation.

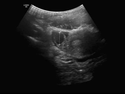
11-Jährige mit Bauchschmerzen: Was der Eileiter damit zu tun hat

Ein 11-jähriges Mädchen kommt mit rechtsseitigen Unterbauchschmerzen in die Notaufnahme. Labor-, Urin- und Ultraschalldiagnostik sind zunächst unauffällig. Erst in der zweiten Sonografie, nach einer erfolglosen Schmerztherapie, zeigt sich die seltene Ursache.

Weitere Artikel aus unseren Fachzeitschriften

Anorektale Fehlbildungen

Anorektale Fehlbildungen (ARM) betreffen etwa 1 von 5000 Neugeborenen und erfordern eine spezialisierte, langfristige Betreuung. Eine sachgerechte Diagnostik umfasst das VACTERL-Screening, bildgebende Verfahren und die Evaluation von Sakrum und …

Analyse der Vergütungsstruktur der onkologischen Kinderchirurgie im G-DRG-System

Kindliche Malignomerkrankungen zählen mit einer jährlichen Inzidenz von 2000–2200 Fällen in Deutschland zu den seltenen Erkrankungen [ 14 ]. Der Großteil dieser Fälle sind Lymphome und Leukämien, die ca. 45–50 % der kindlichen Malignome ausmachen [ …15

Schaftfrakturen bei Kindern und Jugendlichen: altersgerechte Behandlungsstrategien

Schaftfrakturen bei Kindern und Jugendlichen unterscheiden sich hinsichtlich Frakturmuster und Therapie von denen im Erwachsenenalter. Bezüglich des Vorgehens müssen Humerusschaftfrakturen von den Unterarmschaftfrakturen unterschieden werden. Am …

Geschlossene/minimal-invasive Repositionstechniken an der oberen und unteren Extremität in der Kindertraumatologie

In der Kindertraumatologie ist die Art der Frakturbehandlung sowohl vom Alter des/der Patienten/in als auch vom betroffenen Skelettsegment abhängig. Gerade bei Frakturen nahe potenter Wachstumsfugen muss nicht auf eine anatomische Reposition …

Kinder, Knochen und künstliche Intelligenz

Künstliche Intelligenz (KI) kann die Diagnose und Therapie von Knochenverletzungen im Kindes- und Jugendalter verbessern. Doch wie sieht die Arbeit mit dem virtuellen Helfer aus? Inwieweit ist das System behilflich? Und an welchen Stellen müssen Pädiaterinnen und Pädiater wachsam sein?

Pulmonale und extrapulmonale Fehlbildungen bei Neugeborenen

Bei einer angeborenen Zwerchfellhernie ist das sofortige Intubieren nach der Entbindung essenziell. Auch die weitere Betreuung des Neugeborenen muss gesichert sein. Damit das gelingt, geben wir einen Überblick über diese und andere angeborene pulmonale und extrapulmonale Fehlbildungen mit Fokus auf die pränatale Diagnostik und das postnatale Management.

Frakturen rund um das Knie im Wachstumsalter

Epiphysiolysen und Epiphysenfrakturen von distalem Femur und proximaler Tibia sind eine äußerst seltene Entität, müssen aufgrund ihrer weitreichenden Konsequenzen mit einhergehenden Funktionseinschränkungen des Kniegelenks aber obligat erkannt und …

Außer Spesen nichts gewesen?

Verschiedentlich wurde eine abnehmende Quote an späteren Veröffentlichung von Kongressbeiträgen als Manuskript festgestellt [ 14 , 29 ], wovon auch die Pädiatrie [ 16 ] und die Kinderchirurgie [ 8 ] nicht ausgenommen waren. Als eine mögliche …

Buchkapitel zum Thema

Rumpf

Die Pathologien (kinderorthopädische Erkrankungen, traumatologische Erkrankungen, Entzündungen etc.) des Rumpfes sind in diesem Kapitel nochmals nach 3 Abschnitten (Wirbelsäule, Thorax und Becken) unterteilt. Allen Abschnitten ist einführend ein …

Nicht gefunden, wonach Sie suchten?

Probieren Sie es mit der Suchfunktion:

Neu im Fachgebiet Chirurgie

Prophylaktische Antibiotika bei Nasentamponade ohne erkennbaren Nutzen

Bei immunsupprimierten Patientinnen und Patienten mit Nasentamponade nach anteriorer Epistaxis konnte durch eine prophylaktische Antibiotikagabe keine Reduktion klinisch relevanter Infektionen erzielt werden. Die Rate unerwünschter Arzneimittelwirkungen lag hingegen deutlich über der Infektionsrate.

Periprothetische Infektion: Welches Verfahren beim Prothesenwechsel liegt im Trend?

Eine periprothetische Gelenkinfektion stellt ein erhebliches Mortalitätsrisiko in der Endoprothetik dar. Der Prothesenwechsel kann in einem einzeitigen oder zweizeitigen Verfahren erfolgen. Die Wahl des Verfahrens beeinflusst die Prognose maßgeblich, der Trend geht aber klar in eine Richtung.

Gliome zielgerichtet behandeln mit Vorasidenib

IDH (Isocitrat-Dehydrogenase)-Mutationen sind bei Gliomen im Erwachsenenalter ein wichtiger prognostischer und prädiktiver Faktor und zugleich ein ideales Target für eine zielgerichtete Therapie. Mittlerweile gibt es mit Vorasidenib eine zugelassene Behandlungsoption. 

Bei präoperativer Dyspnoe könnte sich gezieltes Atemtraining lohnen

Eine präoperative Dyspnoe war bei Teilnehmenden eines Prähabilitationsprogramms ein Risikofaktor für suboptimale Ergebnisse nach Op. am Magen-Darm-Trakt. Forschende aus den USA plädieren für ein verstärktes individuelles Atemtraining.

Update Chirurgie

Bestellen Sie unseren Fach-Newsletter und bleiben Sie gut informiert.

Bildnachweise
Bauchhoden/© Springer Medizin Verlag GmbH, Blutung im transversalen als auch im saggitalen Schnitt/© Institut für Diagnostische und Interventionelle Radiologie der Uniklinik Köln; mit freundlicher Genehmigung, Abdomensonographie: 14,7 mm große zystische Struktur im Bereich des rechten Ovars/© Isaev Y et al. / all rights reserved Springer Medizin Verlag GmbH, Röntgen einer Beckenfraktur und Abdomen-CT bei Jugendlichem/© Karvouniaris N. et al. / all rights reserved Springer Medizin Verlag GmbH, Drohende ösophago-arterielle Fistel nach Batterieingestion/© Lohmann J et al. doi.org/10.1007/s00101-024-01477-3 unter CC-BY 4.0, Kleinkind und Teddy mit Verband/© simoningate / Getty Images / iStock (Symbolbild mit Fotomodell), Akute Appendizitis/© Springer Medizin, Kind mit Gipsarm/© nycshooter / Getty Images / iStock (Symbolbild mit Fotomodell), Appendizitis /© Springer Medizin Verlag GmbH, Operationstechnik der Limberg-Plastik bei Sinus pilonidalis/© Jamal Driouch et al., Ärztin und Patientin im Gespräch/© andrei_r / Getty Images / iStock (Symbolbild mit Fotomodell), Bunte Plastikperlen/© Steven White / Getty Images / iStock, Ärztin betrachtet Röntgenbild/© dusanpetkovic1 / stock.adobe.com (Symbolbild mit Fotomodell), Search Icon, Knochensäge im Einsatz bei Knie-TEP/© Issara / stock.adobe.com (Symbolbild mit Fotomodellen), Hirntumoren sichtbar im MRT/© semnic / Getty Images / iStock (Symbolbild mit Fotomodell), Lungentrainer/© S@photo / stock.adobe.com (Symbolbild mit Fotomodell)