Zum Inhalt

Die Natur schlägt zurück Angriff der "Killerwespen" und "wilden" Gänse

Erschienen in:

Auszug

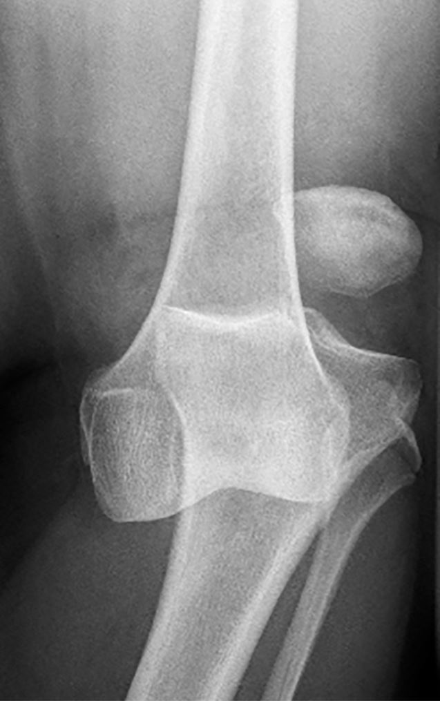
Tatort einsamer Wald: Ende Juni 2020 geht eine 50-jährige Frau mit ihren zwei Hunden in einem einsamen Wald spazieren. Als sie unvermittelt von Wespen - die sich offensichtlich durch ihr Erscheinen gestört fühlten - attackiert wurde, geriet sie ins Stolpern, stürzte und verdrehte sich das Kniegelenk. Dabei zog sie sich eine üble, ausgedehnte Verletzung ihres linken Kniegelenkes zu, mit Luxation des Kniegelenkes (Abb. 1), Ruptur des vorderen und hinteren Kreuzbandes, Läsion des Innenbandes, Bruch des Fibulaköpfchens, Fissur des Tibiaplateaus sowie eine Ruptur des medialen und lateralen Retinakulums.
Abb. 1: Kniegelenksluxation
© Prof. Willinek, Krankenhaus der Barmherzigen Brüder Trier
Bild vergrößern
© Anterovium / stock.adobe.com
Bild vergrößern
Titel
Die Natur schlägt zurück
Angriff der "Killerwespen" und "wilden" Gänse
Verfasst von
Dr. med. Peter Krapf
Publikationsdatum
12.10.2020
Verlag
Springer Medizin
Erschienen in
Orthopädie & Rheuma / Ausgabe 5/2020
Print ISSN: 1435-0017
Elektronische ISSN: 2196-5684
DOI
https://doi.org/10.1007/s15002-020-2920-9

Arthropedia

Grundlagenwissen der Arthroskopie und Gelenkchirurgie erweitert durch Fallbeispiele, Videos und Abbildungen. Zur Fortbildung und Wissenserweiterung, verfasst und geprüft von Expertinnen und Experten der Gesellschaft für Arthroskopie und Gelenkchirurgie (AGA).


Jetzt entdecken!

Neu im Fachgebiet Orthopädie und Unfallchirurgie

Frau "erspült" sich ein Kubitaltunnelsyndrom

Beim Abwaschen wurden die Rückenschmerzen jedes Mal unerträglich. Eine 74-Jährige behalf sich mit einem Trick – und erreichte damit, dass ihr nun auch noch der Arm wehtat und die Finger kribbelten.

Vorhaltepauschale: 2,50 Euro mehr pro Fall? Dafür lohnt es sich, einen Blick drauf zu werfen!

  • 11.01.2026
  • EBM
  • Nachrichten

Einfach alles beim alten lassen, oder doch für die Vorhaltepauschale Abläufe ändern? Arzt und Praxisberater Dr. Georg Lübben erläutert im Interview, für wen es sich lohnen könnte, aktiv zu werden.

Pneumokokken-Indikationsimpfung: STIKO empfiehlt 20-valenten Impfstoff für Kinder ab 2 Jahren

Auch Kinder und Jugendliche mit Risikofaktoren sollen nun mit einem 20-valenten Pneumokokkenimpfstoff geimpft werden. Die Immunisierung mit einer 23-valenten Vakzine wird ihnen nicht mehr empfohlen.

Osteoporose: Wie hoch ist das Risiko, dass ein weiterer Wirbel bricht?

Bei postmenopausalen Frauen, die eine osteoporotische Wirbelfraktur erlitten haben, ist das Problem mit einer vertebralen Augmentation in vielen Fällen nicht behoben. Von welchen Faktoren hängt es ab, ob es nach der Op. zu weiteren Frakturen kommt?

Update Orthopädie und Unfallchirurgie

Bestellen Sie unseren Fach-Newsletter und bleiben Sie gut informiert.

Bildnachweise
Frakturen der Mittelhandknochen/© Krapf / Springer Medizin, Arthropedia, Schmutziges Geschirr/© Thomas Northcut / Getty Images / iStock, Frau ist im Videocall mit einem Arzt/© seb_ra / Getty Images / iStock (Symbolbild mit Fotomodell), Impfung/© tong2530 / stock.adobe.com (Symbolbild mit Fotomodellen), Osteoporotisch bedingte Sinterungsfrakturen der Wirbelsäule/© L. Heuchemer, D. Emmert, T. Bender et al./Springer Medizin Verlag GmbH