Zum Inhalt

Knochentumoren

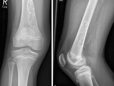
Warum schmerzt das Knie des 15-Jährigen?

Schmerzbedingt kann ein 15-Jähriger sein rechtes Knie nur eingeschränkt bewegen. Seit etwa 3 Monaten verschlechtert sich die Symptomatik, insbesondere beim Sport. ASS bringt keine Besserung. Welche Diagnose stellen Sie? Zur Wahl stehen eosinophiles Granulom, Riesenzelltumor, Chondroblastom, Osteoidosteom, Osteomyelitis.

weiterlesen

Kasuistiken

Warum schmerzt das Knie des 15-Jährigen?

Schmerzbedingt kann ein 15-Jähriger sein rechtes Knie nur eingeschränkt bewegen. Seit etwa 3 Monaten verschlechtert sich die Symptomatik, insbesondere beim Sport. ASS bringt keine Besserung. Welche Diagnose stellen Sie? Zur Wahl stehen eosinophiles Granulom, Riesenzelltumor, Chondroblastom, Osteoidosteom, Osteomyelitis.

Was drückt hier auf das Auge?

Bei einer einseitigen Verschattung der Nasennebenhöhlen kommen zahlreiche benigne und maligne Differenzialdiagnosen in Frage. Oft ergibt erst die Histologie die richtige Diagnose, wie in diesem Fall eines 32-Jährigen mit rezidivierender Epistaxis, Rhinorrhoe und Druckgefühl auf dem linken Auge. 

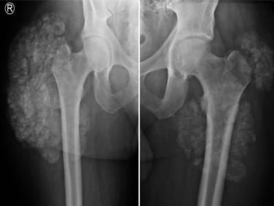
Warum nimmt die Oberschenkelschwellung beim Dialysepatienten immer mehr zu?

Bei einem 54-jährigen Mann nimmt seit einem halben Jahr die schmerzhafte Schwellung der rechten Hüfte bei bekannter Peritonealdialyse zu. Es besteht eine chronische Niereninsuffizienz. Vier Jahre zuvor war eine Parathyroidektomie bei tertiärem Hyperparathyreoidismus durchgeführt worden. Was zeigen Röntgen- und MRT-Bilder?

Weitere Artikel aus unseren Fachzeitschriften

Interne Hemipelvektomie: periazetabuläre Resektion mit Femurtransposition (Hüftverschiebeplastik)

Primär maligne Knochentumoren sind sehr selten und machen nur ca. 0,2 % aller Malignome aus. Im Bereich des Beckens kann man das Auftreten eines Knochensarkoms als Rarität bezeichnen. Die häufigsten im Beckenskelett lokalisierten Knochensarkome …

Proximale Femurresektion mit endoprothetischer Rekonstruktion bei malignen Knochentumoren

Die Inzidenz von Krebserkrankungen steigt aufgrund der alternden Bevölkerung. In Österreich ist die Prävalenz von Krebserkrankungen zwischen dem Jahr 2014 und 2024 um 24 % gestiegen [ 1 ]. Die weltweit geschätzte Inzidenz primär maligner …

Schmerzen bei Krebs lindern – mit interventioneller Radiologie

Etwa 50 % der schmerzhaften Symptome von Tumorpatientinnen und -patienten sind knochenassoziiert. Opioidhaltige Analgetika und Bestrahlung führen oft nur zu einer partiellen Schmerzreduktion. Bildgestützte Ablationstechniken können zunehmend schonender und präziser eingesetzt werden – auch im palliativen Setting.

Wie steht es um die Leitlinienadhärenz in der Supportivtherapie?

In zahlreichen Leitlinien wird beschrieben, wie supportive Maßnahmen am besten umzusetzen sind. Von Anämie über Neutropenie, Antikörpermangel bis Antiemese – wie gut werden die Empfehlungen in der Praxis beachtet? In mehreren Studien der Deutschen Krebsgesellschaft wurde genau das untersucht.

Hämatogene Osteomyelitis im Kindesalter

Eine Osteomyelitis ist definiert als eine Entzündung des Knochens durch eine mikrobielle Infektion. Die typische Konstellation ist eine hämatogene Streuung von Bakterien in das wachsende Skelett und betrifft typischerweise (in 50 % der Fälle) …

Wie Sie die Tumoren des Felsenbeins in der Bildgebung unterscheiden können

Obwohl Tumoren des Felsenbeins insgesamt selten sind, haben sie aufgrund der komplexen anatomischen Verhältnisse und der Nähe zu kritischen Strukturen am Schädel eine hohe Priorität in der Diagnostik. Was muss bei der Bildgebung alles beachtet werden, um die diversen Entitäten sicher zu unterscheiden?

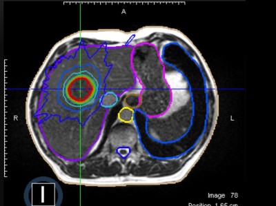
Wie gelingt eine erfolgreiche Stereotaxie bei Oligometastasierung?

Die Hochpräzisionsbestrahlung bzw. Stereotaxie spielt eine zentrale Rolle bei oligometastatischen Tumoren. Relevante technischen und prozeduralen Anforderungen wurden durch entsprechende Fachgesellschaften definiert. Darüber hinaus spielen moderne bildgebende Verfahren eine zentrale Rolle bei der Ausbreitungsdiagnostik, Zielvolumendefinition und Beurteilung des Therapieansprechens.

Artikuläre und periartikuläre Tumoren

Diese Übersichtsarbeit stellt die histopathologische Differenzialdiagnostik von malignen und benignen Gelenktumoren sowie Pseudotumoren der Gelenke und des periimplantären Gewebes dar. Methodisch basiert diese integrative Diagnostik auf …

Diagnostik von Tumoren an Schulter und Oberarm

Muskuloskelettale Tumoren sind insgesamt sehr selten, kommen jedoch u. a. an Schulter und Oberarm gehäuft vor. Eine spezifische Anamnese existiert ebenso wie typische Laborveränderungen für die meisten Entitäten nicht. Primär bildgebendes …

Tumorendoprothetische Rekonstruktionen bei Erwachsenen und Kindern

Tumorendoprothetische Rekonstruktionen ermöglichen den Extremitätenerhalt sowie die funktionelle Wiederherstellung nach Tumorresektionen bei Knochensarkomen oder Metastasen. Der vorliegende Artikel beleuchtet verschiedene Rekonstruktionsoptionen …

Buchkapitel zum Thema

Tumoren der Wirbelsäule und des Spinalkanals

Die Liste der möglichen Differenzialdiagnosen spinaler Tumoren ist umfangreich. Eine sichere Entscheidung ist deshalb nicht allein nach bildmorphologischen Kriterien möglich.

Knochen- und Weichteiltumoren

In diesem Kapitel stehen die Knochen- und Weichteiltumoren der unterschiedlichen Dignitäten im Vordergrund. Epidemiologie, Ätiologie, Klinik, Diagnostik, Therapie und Prognose der unterschiedlichen benignen (wie z. B. Osteome, Chondroblastome …

Strahlentherapeutische Behandlung von Knochenmetastasen bei Tumorschmerzen

Die perkutane Strahlentherapie ist eine wirksame Maßnahme zur Reduktion der lokalen inflammatorischen Reaktion sowie zur Inaktivierung proliferativer Eigenschaften des Tumors. Daher verfügt sie über eine messbare Effektivität bei Schmerzen, die …

Knochen- und Weichteiltumoren

Knochen- und Weichteiltumoren sind Tumoren, die aus mesodermalem und neuroektodermalem, nichtepithelialem Gewebe entstehen. Hierzu gehören Fett, Muskeln, periphere Nerven, Blut- und Lymphgefäße, Knochen, Knorpel und das fibrohistiozytäre Gewebe.

Nicht gefunden, wonach Sie suchten?

Probieren Sie es mit der Suchfunktion:

Arthropedia

Grundlagenwissen der Arthroskopie und Gelenkchirurgie erweitert durch Fallbeispiele, Videos und Abbildungen. Zur Fortbildung und Wissenserweiterung, verfasst und geprüft von Expertinnen und Experten der Gesellschaft für Arthroskopie und Gelenkchirurgie (AGA).


Jetzt entdecken!

Neu im Fachgebiet Orthopädie und Unfallchirurgie

Robuste antitumorale Aktivität bei tenosynovialem Riesenzelltumor

Die 2-Jahres-Daten der Phase-III-Studie MOTION bestätigen Vimseltinib als anhaltend wirksame Therapieoption für Patientinnen und Patienten mit tenosynovialen Riesenzelltumoren bei handhabbarem Risikoprofil.

Pincer-Impingement und Coxarthrose: Auf den CE-Winkel kommt es an!

Das sogenannte Beißzangen-Impingement des Hüftgelenks war in einer großen Kohortenstudie mit einem signifikant höheren Risiko für eine spätere Coxarthrose assoziiert – allerdings nur dann, wenn ein bestimmter Wert beim CE-Winkel überschritten wurde.

STAR-Approach: „Das Beste aus zwei Welten“

Mit dem STAR-Approach, einem modifizierten posterioren Zugang zum Hüftgelenk, erreicht man nicht nur optimalen Überblick, sondern auch die vollständige Schonung des M. piriformis und wichtiger Nerven.

Sprunggelenksfraktur: Die Fünf-Millimeter-Grenze als OP-Indikation

Ob bei Sprunggelenksfrakturen operiert wird, hängt von der Stabilität und Gelenkkongruenz ab. Entscheidend ist die Messung des medialen Gelenkspalts im Belastungsröntgen. Warum die Fünf-Millimeter-Regel hilft, unnötige Operationen zu vermeiden, stellte Dr. Helen Anwander auf dem Orthopädie und Unfallchirurgie Kongress vor.

Update Orthopädie und Unfallchirurgie

Bestellen Sie unseren Fach-Newsletter und bleiben Sie gut informiert.

Bildnachweise
Chondroblastom in der MRT/© Camp L et al. / all rights reserved Springer Medizin Verlag GmbH, Patellafraktur/© K. Fehske · R. Hoffmann / all rights reserved Springer Medizin Verlag GmbH, Röntgenaufnahme eines nicht ossifizierenden Fibroms /© Weber M et al. / all rights reserved Springer Medizin Verlag GmbH, Cholesterolgranulom im MRT/© Frederik F/ all rights reserved Springer Medizin Verlag GmbH, pathologische distale Femurfraktur/© Omar M et al. / all rights reserved Springer Medizin Verlag GmbH, Frau unkenntlich fasst sich ans Knie/© Pornpak Khunatorn / Getty Images / iStock (Symbolbild mit Fotomodell), Echondrom/© Springer Medizin, Ausprägungen einer antiresorptivaassoziierten Kiefernekrose (AR-ONJ)/© Ristow, O. et al. / all rights reserved Springer Medizin Verlag GmbH, Stereotaktische Strahlentherapie (SBRT) einer solitären ossären Metastase in dem Brustwirbelkörper/© Springer Medizin Verlag GmbH, Arzt oder Pfleger schaut auf eine im MRT Eingang liegende Person/© [M] oksanazahray / stock.adobe.com (Symbolbild mit Fotomodell), Wirbelsäulenmetastase/© stockdevil / stock.adobe.com, Bluttransfusion/© Tobilander / Fotolia, Ärztin und kleines Mädchen mit Kopftuch/© FatCamera / Getty Images / iStock (Symbolbild mit Fotomodellen), Inhalt eines Fläschchens wird aufgezogen/© MarianVejcik / Getty Images / iStock, aneurysmatische Knochenzyste im Bereich des rechten distalen Femurs/© Springer Nature / all rights reserved Springer Medizin Verlag GmbH, Ewing-Sarkom/© Botos B. Z. et al. / all rights reserved Springer Medizin Verlag GmbH, Tumorkalzinose in der Hüfte/© Sukun A & Weber M.-A. , Computertomografie-gesteuerte periradikuläre Therapie auf Höhe von Lendenwirbelkörper 5/Sakralwirbelkörper 1 rechts/© Institut für Diagnostische und Interventionelle Radiologie des Klinikums St. Marien Amberg, Körperstereotaxie einer Lebermetastase im Segment VIII am MR-LINAC/© Ehret, F. et al. / all rights reserved Springer Medizin Verlag GmbH, Search Icon, Arthropedia, Ärzteteam führt Hüftoperation durch/© ATRPhoto / stock.adobe.com (Symbolbild mit Fotomodell), Gebrochener Fuß im Gips/© Aleksandr Kirillov / stock.adobe.com (Symbolbild mit Fotomodell)