Zum Inhalt

Kongress für Kinder- und Jugendmedizin 2025

DGKJ 2025

Kongress für Kinder- und Jugendmedizin

24.–27. September 2025 | Leipzig

Die Inklusionsband „Oder so“ stimmte während der Eröffnungsfeier mit eigens getexteten Liedern auf das Fokusthema „Chronische Erkrankungen und Beeinträchtigungen“ des Kinder- und Jugendkongresses ein. Auch die Vorträge aus den Bereichen Infektiologie, Sozialpädiatrie, Notfallmedizin und vielen mehr folgten diesem Schwerpunkt. Ob die neue CMV-Leitlinie, die Forderung nach einem Allergiescreening oder die Risikofaktoren eines kindlichen Delirs – unsere Highlights können Sie im Kongressdossier nachlesen. 

News vom Kongress

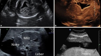
Leitlinie CMV-Infektion – es ist kompliziert

Zur Zytomegalievirus(CMV)-Leitlinie gab es einige kontroverse Diskussionen, berichtete Professor Markus Knuf von der Klinik für Kinder- und Jugendmedizin in Worms auf dem diesjährigen Kongress für Kinder- und Jugendmedizin. Trotz dünner Evidenzlage bietet die Leitlinie Empfehlungen zu Diagnostik und Therapie bei Schwangeren und Neugeborenen.

Unilaterale Zerebralparese: Das sind wichtige Inhalte der S3-Leitlinie

Die Fertigstellung der S3-Leitlinie „Diagnostik und Therapie der unilateralen spastischen Zerebralparese / LL-uCP“ ist für Dezember 2025 geplant. Ein Ausblick auf die wichtigsten Empfehlungen.

Beim Management des kindlichen Schädel-Hirn-Traumas ist noch Luft nach oben

Eine Überversorgung im stationären Bereich, uneinheitliche Versorgungsstrategien und eine dünne Evidenzlage zur Therapie der schweren Form: Offensichtlich gibt es bezüglich des Managements eines Schädel-Hirn-Traumas bei Kindern noch Verbesserungsbedarf. Wie aktuell behandelt wird und was sich ändern muss.

Delir – von Risikofaktoren bis zur Diagnose

Ein kindliches Delir ist auf Intensivstationen keine Seltenheit. Welche Formen gibt es, was sind charakteristische Symptome und wie erfolgt die Therapie? Antworten gab es auf dem diesjährigen Kongress für Kinder- und Jugendmedizin in Leipzig.

Allergiescreening für Kinder gefordert

Allergien und Asthma sind Volkskrankheiten mit hoher Relevanz, die besonders Kinder und Jugendliche betreffen. Mit präventiven Maßnahmen bzw. frühen Therapien lässt sich gegensteuern, weshalb Experten und Expertinnen ein Allergiescreening im Rahmen von Vorsorgeuntersuchungen bei Kindern fordern.

weiterlesen

Weitere News vom Kongress

Drei neue Konzepte für die Stoffwechselmedizin

In der Stoffwechselmedizin haben sich in den vergangenen Jahren neue Konzepte aufgetan – darunter Small Molecules, Antisense Oligonukleotide und genetische Therapien. Sie punkten mit verschiedenen Vorteilen und Einsatzmöglichkeiten, auch in der Pädiatrie.

Impfungen bei Frühgeborenen: Was, wie und ab wann?

Frühgeborene sollten entsprechend ihres chronologischen Alters und nach STIKO-Empfehlungen geimpft werden. Es gibt aber einige Besonderheiten zu beachten. Welche das sind, wurde auf dem diesjährigen Kongress für Kinder- und Jugendmedizin diskutiert.

Mit Reha zum Normgewicht: Wunschdenken oder Realität?

Die Zahl der Kinder und Jugendlichen mit Adipositas steigt. Selbständig abzunehmen, fällt ihnen oft schwer. Stationäre Reha-Aufenthalte können dann helfen. Doch deren Therapieziele beschränken sich nicht allein auf den Gewichtsverlust. 

Bildnachweise
Leipzig/© Igor / Stock.adobe.com, Fetale CMV-Infektion/© Springer Medizin, Kind mit Zerebralparese/© Antipina / stock.adobe.com (Symbolbild mit Fotomodellen), Kleinkind und Teddy mit Verband/© simoningate / Getty Images / iStock (Symbolbild mit Fotomodell), Kleinkind auf Intensivstatin/© sudok1 / stock.adobe.com (Symbolbild mit Fotomodell), Blutentnahme bei einem Kind/© Aliaksandr Dobysh / stock.adobe.com (Symbolbild mit Fotomodellen), Frühgeborenes im Inkubator/© Ondrooo / Getty Images / iStock, Mit Schuhen auf Körperwaage/© Africa Studio / Stock.adobe.com (Symbolbild mit Fotomodell), Mannheim/© uslatar / stock.adobe.com, Junge wird geimpft/© Zinkevych / Getty Images / iStock (Symbolbild mit Fotomodellen), Kind sitzt auf WC/© Anchalee / stock.adobe.com, Krankes trauriges kleines Mädchen/© Halfpoint / stock.adobe.com (Symbolbild mit Fotomodell), Kind mit Gipsarm/© nycshooter / Getty Images / iStock (Symbolbild mit Fotomodell), Mutter misst Fieber bei kranker Tochter/© Sasha_Suzi / Getty Images / iStock (Symbolbild mit Fotomodell), Inhalationsgerät bei einem Baby/© GOLFX / Getty Images / iStock (Symbolbild mit Fotomodell), Hodentorsion /© Wunsch R / all rights reserved Springer Medizin Verlag GmbH, Urinanalyse zur Untersuchung von Leukozyten, Urobilinogen, Bilirubin, Blut, Nitrit, pH-Wert, Dichte, Protein, Glukose und Ketonkörpern/© RHJ / Stock.adobe.com, Ein Pricktest wird auf einen Arm durchgeführt/© Gerhard Seybert / stock.adobe.com (Symbolbild mit Fotomodell), Hamburg/© Jonas Weinitschke / stock.adobe.com, Trockenblutkarte für Neugeborenenscreening/© Stefan Sauer / dpa, Ein Kind bekommt eine Spritze in den Arm/© Seventyfour / stock.adobe.com (Symbolbild mit Fotomodellen), Schlafendes Mädchen im Krankenhausbett/© monkeybusinessimages / iStock (Symbolbild mit Fotomodell), Junge mit Sensor für CGM und Insulinpumpe/© Halfpoint / stock.adobe.com (Symbolbild mit Fotomodell), Infusionspumpe vor Kind im Krankenhausbett/© Recycle Man / stock.adobe.com (Symbolbild mit Fotomodell), Schwere rechtsseitige Hüftdysplasie bei infantiler Zerebralparese/© Thielemann F et al. / all rights reserved Springer Medizin Verlag GmbH, Bei einem Jungen wird ein EKG durchgeführt/© ulianna19970 / stock.adobe.com (Symbolbild mit Fotomodell), Kleiner Junge spricht mit Zeigefingern am Mund/© elisabetta figus / Fotolia (Symbolbild mit Fotomodell), Plastikflasche mit Milch in einem Milchwärmer/© tiagozr / stock.adobe.com, DGKJ Logo/© Deutsche Gesellschaft für Kinder- und Jugendmedizin e. V., Erstauntes Baby/© Imgorthand / Getty Images / iStock (Symbolbild mit Fotomodell), Labormedizin CRP-Test/© vchalup / stock.adobe.com, Einsamer Junge mit Teddy auf Tribüne/© FatCamera / Getty Images / iStock (Symbolbild mit Fotomodell), Geimpftes Kind/© portishead1 / Getty Images / iStock (Symbolbild mit Fotomodell), Beine einer Kinder-Fußballmannschaft/© seventyfour / stock.adobe.com, Jugendliches Mädchen auf Treppe kauernd/© pixelfit / Getty Images / iStock (Symbolbild mit Fotomodell), Fläschchen mit Muttermilch/© Panithan / stock.adobe.com (Symbolbild mit Fotomodell), Kleines Mädchen mal Regenbogen auf Fensterscheibe/© encrier / Getty Images / iStock (Symbolbild mit Fotomodell), Epiphyseolysis capitis femoris (ECF)/© Sebastian Berg, Kerstin F. Kuminack / all rights reserved Springer Medizin Verlag GmbH, Kinderhände tippen auf Smartphone/© Alessandra Schellnegger / SZ Photo / picture alliance, Mädchen mit Mund-Nasen-Schutz hinter am Fenster/© lithiumcloud / Getty Images / iStock (Symbolbild mit Fotomodell), Zwei Kita-Kinder/© santypan / stock.adobe.com (Symbolbild mit Fotomodellen), DNA-Sequenz/© Gio_tto / Getty Images / iStock, Streptokokken/© Simone Rößling - VCT / Fotolia, Anästhesie beim Kind/© Tobilander / Fotolia (Symbolbild mit Fotomodell), Windpocken/© MilosBataveljic / Getty Images / iStock (Symbolbild mit Fotomodell), Schüler mit Mund-Nasen-Schutz/© romrodinka / Getty Images / iStock (Symbolbild mit Fotomodell), Mädchen beißt in Hamburger/© Kenishirotie / Fotolia (Symbolbild mit Fotomodell), Frühgeborenes in Klinik/© AWelshLad / Getty Images / iStock (Symbolbild mit Fotomodell), Typisches Pflastersteinrelief der Darmmucosa bei Morbus Crohn/© Juan Gärtner / Fotolia , Mädchen auf Couch/© fizkes / Getty Images / iStock (Symbolbild mit Fotomodell), Kranker Junge mit erhöhter Temperatur/© Imgorthand / Getty Images / iStock (Symbolbild mit Fotomodell), Passagere Coxitis/© Springer Medizin Verlag GmbH, Junge im Weckglas/© grafikplusfoto / stock.adobe.com (Symbolbild mit Fotomodell), Gendersymbole/© ronniechua / stock.adobe.com (Symbolbild mit Fotomodell), Auge/© Alberto Cano García / Fotolia (Symbolbild mit Fotomodell), Kleines Mädchen mit Asthmaspray/© bubutu / stock.adobe.com (Symbolbild mit Fotomodell), Mädchen wird geimpft/© Imgorthand / Getty Images / iStock (Symbolbild mit Fotomodellen), Vierjähriges Kind auf Arm der Mutter/© laura clay ballard / Getty Images / iStock (Symbolbild mit Fotomodell), Mädchen fasst sich an den Kopf/© Satjawat / stock.adobe.com (Symbolbild mit Fotomodell), Rheumafaktornegative Polyarthritis beim Kind/© Springer Medizin, Kind blickt durch Scheibe nach draußen/© Noam / stock.adobe.com (Symbolbild mit Fotomodell), Blutdruckmessgerät/© Alexander Maier / Fotolia, Typ-1-Diabetiker mit Insulinpumpe/© b4producer / Fotolia (Symbolbild mit Fotomodell), Mädchen inhaliert Kortikosteroid/© photomim / Fotolia (Symbolbild mit Fotomodell), Kind im Krankenhaus/© Siam / stock.adobe.com (Symbolbild mit Fotomodell)