Zum Inhalt
Solide Tumoren Kopf-Hals-Tumoren

Kopf-Hals-Tumoren

Alter ist keine Diagnose

Was geht Ihnen durch den Kopf, wenn ältere Patientinnen und Patienten über eine ständig tropfende Nase, Hyposmie, viel Sekret, Schwindel, Dysphagie oder Dysphonie berichten? Altersdiskriminierung bzw. Ageismus erfolgt häufig unbewusst. Lesen Sie hier, wie Sie damit produktiv umgehen können.

weiterlesen

Kasuistiken

Mehr als eine Otitis externa

Eine 83-jährige alte Dame wird wegen einer hartnäckigen "Otitis externa" zur weiteren Abklärung vorgestellt. Die Histopathologie der wulstig flach erhabenen Raumforderung macht jedoch schnell deutlich, dass es sich um eine seltene Manifestation einer viel weiter reichenden Erkrankung handelt.

Plötzlich wächst der Knoten am Kopf

Seit ihrer Kindheit hat die heute 63-Jahre alte Patientin eine Hautveränderung am Hinterkopf. Doch seit 3 Monaten nimmt die Größe rasant zu und der blumenkohlartige Knoten fängt an zu nässen. Erst steht der Verdacht auf ein Plattenepithelkarzinom im Raum, doch die Biopsie weist auf einen anderen Tumor hin.

Schnell wachsender Knoten unterm Ohr - Ihre Diagnose?

Seit sechs Monaten wächst ein Knoten in der rechten Ohrspeicheldrüse des 47-jährigen Patienten. Die Stanzbiopsie zeigt, dass es sich nicht um eine Lymphomerkankung handeln kann. Vielmehr wird klar, dass es sich um eine sehr seltene, aggressive Tumorentität handelt. Was vermuten Sie?

Weitere Artikel aus unseren Fachzeitschriften

Immunresistenz: Wie Tumorzellen dem Immunsystem entwischen

Tumorzellen können sich maskieren oder sie erschweren es Immunzellen zu arbeiten, indem sie den pH-Wert der Tumormikroumgebung verändern. Sie nutzen diese und weitere Mechanismen, um der Kontrolle durch das Immunsystem zu entgehen. Das kann den Verlauf von onkologischen Erkrankung maßgeblich beeinflussen.

Alter ist keine Diagnose

Was geht Ihnen durch den Kopf, wenn ältere Patientinnen und Patienten über eine ständig tropfende Nase, Hyposmie, viel Sekret, Schwindel, Dysphagie oder Dysphonie berichten? Altersdiskriminierung bzw. Ageismus erfolgt häufig unbewusst. Lesen Sie hier, wie Sie damit produktiv umgehen können.

Moderne Krebstherapien verstehen: Grundlagen der Immunonkologie

Wie unterscheidet das Immunsystem zwischen "fremd" und "selbst"? Im Beitrag werden Mediatoren und Mechanismen der immunologischen Tumorabwehr und ihre Zielstrukturen beschrieben, die für aktuelle klinische Anwendungen in der Krebsimmuntherapie relevant sind bzw. in naher Zukunft wahrscheinlich an Relevanz gewinnen.

Neue Immuncheckpoint-Inhibitoren und Kombinationen

Trotz signifikanter Fortschritte bestehen weiterhin Limitationen durch schwierige Patientenselektion, Resistenzen sowie immunvermittelte Nebenwirkungen (irAE). Neue Strategien zielen darauf ab, die Effektivität bestehender Therapien durch gezieltere Immunmodulation, neue Zielstrukturen und eine Steuerung des Tumormikromilieus (TME) zu erhöhen.

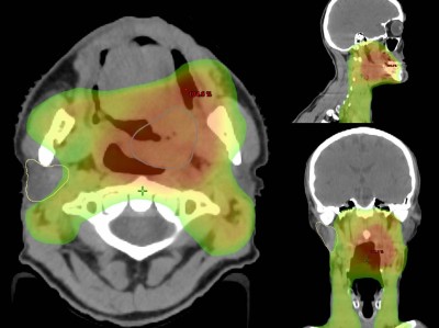
Neues in der Radiochemotherapie von Kopf-Hals-Tumoren

Erste Studien deuten darauf hin, dass eine Deeskalation der Radiochemotherapie bei nichtmetastasierten Kopf-Hals-Tumoren möglich ist – insbesondere bei HPV-positiven Karzinomen. Hypoxiesensitive Bildgebung könnte die Patientenselektion unterstützen. Gleichzeitig zeichnet sich die perioperative Checkpointinhibition als potenzieller neuer Standard bei resektablen HNSCC ab.


Update Kopf-Hals-Tumoren 2025

Die Primärtherapie von Kopf-Hals-Tumoren besteht nach wie vor meist in der chirurgischen Resektion. Die Radio(chemo)therapie spielt bei der multidisziplinären Behandlung eine zentrale Rolle. Medikamentöse Therapien, u. a. mit Immuncheckpointinhibitoren, finden bislang vor allem im palliativen Stadium Anwendung, werden jedoch zunehmend für den neoadjuvanten und adjuvanten Einsatz untersucht.

Kopf-Hals-Onkologie des älteren Patienten

Ältere Patienten haben oft mehr Komorbiditäten als jüngere. Da sie zudem öfter von klinischen Studien ausgeschlossen werden, fehlen evidenzbasierte Daten zur optimalen onkologischen Behandlung dieser Patientengruppe - mit dramatischen Folgen für …

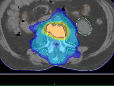
Neue therapeutische Entwicklungen bei Oligometastasierung

Es gibt zunehmende Evidenz für die stereotaktische Strahlentherapie (SBRT) sämtlicher Metastasen bei oligometastasierten Tumorerkrankungen wie beispielsweise Kopf-Hals-Tumoren. Zudem wird die Kombination aus Immuntherapie und SBRT auch bei Oligometastasierung geprüft. Und bei einigen Entitäten zeigt die Metastasenchirurgie Überlebensvorteile. 


Psychische Belastung und psychiatrische Komorbidität in der Therapie von Schluckstörungen bei Patienten mit Kopf-Hals-Tumoren

Neben der Beeinträchtigung von Atmung und Stimme stellt die Dysphagie, im Sinne einer Störung der natürlichen Nahrungsaufnahme, die größte funktionelle Einschränkung für Patienten mit Kopf-Hals-Tumoren dar [ 17 ]. An einem typischen …

Buchkapitel zum Thema

Hämatologische Neoplasien und solide Tumore

Die Auswertung der Verordnungen von Onkologika zeigt schon in der Übersicht einige bemerkenswerte Ergebnisse. Für GKV-Patienten wurden 2021 insgesamt 8,4 Mio. Verordnungen von Onkologika ausgestellt. Dies entspricht einem Anteil hinsichtlich aller …

Palliative Plasmabehandlung von Kopf-Hals-Tumoren und kurative Konzepte

Die Behandlung von Tumoren im Kopf-Hals-Bereich mit CAP („cold atmospheric pressure plasma“) hat für die Patienten einen palliativen Nutzen, wenn im fortgeschrittenen Krankheitsstadium eine Dekontamination der infizierten Tumorgeschwüre gelingt …

Nicht gefunden, wonach Sie suchten?

Probieren Sie es mit der Suchfunktion:

Neu im Fachgebiet Onkologie

Bevölkerungsweites PSA-Screening: Rechtfertigt der Nutzen die Risiken?

Langzeitdaten der European Randomized Study of Screening for Prostate Cancer (ERSPC) bestätigen eine Reduktion der prostatakrebsbedingten Mortalität durch ein bevölkerungsweites PSA-Screening. Die absoluten Effekte sind allerdings nach wie vor klein – und das Risiko für unnötige Eingriffe hoch.


Bildgebung in der Nachsorge von Melanomen womöglich nutzlos?

Verschiedene Leitlinien zum Melanom, darunter die deutsche, empfehlen in der Nachsorge von Patienten mit hohem Rückfallrisiko, die Betroffenen routinemäßig einer Schnittbildgebung zu unterziehen. Wie nützlich das ist, soll die TRIM-Studie herausfinden.

Hartnäckige Hyponatriämie als erstes Krebsanzeichen

Trotz eines Olfaktoriusneuroblastoms ist eine 36-Jährige komplett frei von sinunasalen Beschwerden. Glücklicherweise führt eine anhaltende Hyponatriämie auf die Spur des Tumors.

ADC-Kombi bewährt sich in der Erstlinie bei HER2-positivem Brustkrebs

Mit Trastuzumab deruxtecan (T-DXd) plus Pertuzumab in der Erstlinientherapie gegen HER2-positive metastasierte Brusttumoren leben Frauen rund 14 Monate länger rezidivfrei als unter einer Standardbehandlung. Dafür sprechen die Resultate einer Phase-3-Studie.

Update Onkologie

Bestellen Sie unseren Fach-Newsletter und bleiben Sie gut informiert.

Bildnachweise
Eine ältere Frau schaut in die Ferne/© RgStudio / Getty Images / iStock (Symbolbild mit Fotomodell), Bestrahlungsplans einer Wirbelsäulenmetastase eines oligometastasierten Prostatakarzinoms/© Springer Medizin Verlag GmbH, Immuncheckpointinhibitoren binden an Krebszelloberflächenproteine /© Juan Gärtner / stock.adobe.com, Arzt misst Blutzucker per Glucometer/© geargodz / Stock.adobe.com (Symbolbild mit Fotomodell), Ein Anatomie-Modell des Kopfes in der HNO-Praxis/© peakSTOCK / Gettty Imgaes / iStock (Symbolbild mit Fotomodellen), Larynxkarzinom/© Springer Medizin, Tropf in Krankenhaus/© Amornrat Phuchom / Getty Images / iStock, Infusionstropf im Krankenhaus /© Trsakaoe / stock.adobe.com, Zytologischer Abstrich bei gynäkologischer Untersuchung/© Iryna / stock.adobe.com (Symbolbild mit Fotomodell), Pembrolizumab-Modell (Illustration)/© Kateryna_Kon / stock.adobe.com, Plattenepithelkarzinom des Oropharynx/© Springer Medizin Verlag GmbH, Tumor im linken Kleinhirnbrückenwinkel und inneren Gehörgang (linkes Bild) und Tumor am Foramen jugulare (rechtes Bild)/© Springer Medizin, Frau erhält Infusion/© Eakkachai / Stock.adobe.com (Symbolbild mit Fotomodell), Raumforderung im Ohr/© Franzen A M und Coordes A / all rights reserved Springer Medizin Verlag GmbH, Blumenkohlartiger Knoten am Hinterkopf/© Winkler D. et al. doi.org/10.1007/s00105-024-05437-1 unter CC-BY 4.0, 18-FDG-PET-Fusions-CT vom Kopf/© Sheila Büchel u. Markus Jungehülsing doi.org/10.1007/s00106-024-01459-2 unter CC-BY 4.0, VMAT-Bestrahlungsplan einer definitiven Radiochemotherapie eines linksseitigen, lokal fortgeschrittenen Tonsillenkarzinoms/© Schnellhardt, S et al. / all rights reserved Springer Medizin Verlag GmbH, Search Icon, Einem Mann wird Blut abgenommen/© auremar / stock.adobe.com (Symbolbild mit Fotomodellen), Frau wird Blut abgenommen/© andresr / Getty Images / iStock (Symbolbild mit Fotomodellen), Eine Frau erhält eine Chemotherapie/© peopleimages.com / stock.adobe.com (Symbolbild mit Fotomodell)