Zum Inhalt
Angiologie Kreislauferkrankungen

Kreislauferkrankungen

Welche Folgen hat Fluglärm fürs Herz?

Zahlreiche Umweltfaktoren wirken sich negativ auf die Gesundheit aus. Auch Lärm spielt hier eine große Rolle: Ein PKW verursacht einen Schalldruckpegel von ca. 70 dB, ein startendes Flugzeug sogar 120 dB. In einer Studie wurde untersucht, ob Fluglärm auch kardiale Erkrankungen begünstigt.  

weiterlesen

Weiterführende Themen

Welche Folgen hat Fluglärm fürs Herz?

Zahlreiche Umweltfaktoren wirken sich negativ auf die Gesundheit aus. Auch Lärm spielt hier eine große Rolle: Ein PKW verursacht einen Schalldruckpegel von ca. 70 dB, ein startendes Flugzeug sogar 120 dB. In einer Studie wurde untersucht, ob Fluglärm auch kardiale Erkrankungen begünstigt.  

weiterlesen

Kasuistiken

Die Kehrseite intensiver Blutdruckkontrolle: 76-Jährige mit unerwarteten Komplikationen

Eine 76-jährige Patientin stellte sich in der Hochdrucksprechstunde zur Blutdruckeinstellung vor. Trotz langjähriger, sukzessiv gesteigerter Hypertonietherapie hatte sich in den letzten Jahren der systolische Blutdruck zunehmend – teilweise auf über 200 mmHg – erhöht. In den letzten Monaten kamen kardiale Beschwerden hinzu. Wie lautet Ihre Diagnose? 

Was diesen Bauch wachsen ließ, war alles andere als erwartet

Der Bauchumfang wächst und der hCG-Wert steigt. Trotzdem verneint die 47-jährige Patientin eine kürzlich zurückliegende Schwangerschaft, als sie sich mit Verdacht auf eine neu aufgetretene Hypertonie vorstellt. Was die Sonographie dann zeigt, ist ein Befund, den man nur selten zu Gesicht bekommt.

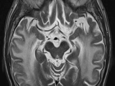
58-Jährige mit neurologischen Beschwerden – ist eine frühere Schwangerschaft schuld?

Seit zehn Jahren lagen die Blutdruckwerte einer 58-Jährigen bei über 200/120 mmHg – ohne Beschwerden. Vor drei Monaten kam es plötzlich zu einer transitorischen ischämischen Attacke. Ein Blick in die Anamnese ergab: Vor 30 Jahren musste ihr Kind in der 33. Schwangerschaftswoche wegen Komplikationen geholt werden. Was verbindet dieses Ereignis mit den aktuellen Beschwerden?

Weitere Artikel aus unseren Fachzeitschriften

Bluthochdruck-Management in der Schwangerschaft und Stillzeit

Hypertensive disorders in pregnancy are common and carry significant maternal and fetal risks. Robust evidence from the CHAP- and CHIP-studies support clear management strategies including validated home or office blood pressure measurements …

Das Krebsrisiko von Hydrochlorothiazid – wie ist eine Prävention möglich?

Im Oktober 2018 wurde ein Rote-Hand-Brief veröffentlicht, der das Risiko von Hautkrebs im Zusammenhang mit der Einnahme von Hydrochlorothiazid (HCT) beschreibt [1]. Seitdem gibt es immer wieder Nachfragen bezüglich dessen Verschreibung. HCT wird …

Bluthochdruck bei Kindern und Jugendlichen

Bluthochdruck ist der wichtigste Risikofaktor für eine erhöhte kardiovaskuläre Morbidität und Mortalität. Da er überwiegend Erwachsene betrifft, wird das Risiko für eine Hypertonie und ihre Folgen bei Kindern und Jugendlichen oft nur unzureichend …

Blutdrucktherapie bei hypertensiver Krise – was tun, was lassen?

Bei der Beurteilung einer Person mit plötzlichem Blutdruckanstieg ist es wesentlich, zwischen hypertensiven Notfällen und unkontrollierter Hypertonie zu unterscheiden, da sich die Vorgehensweise erheblich unterscheidet. Beim hypertensiven Notfall …

Arterieller Lungenhochdruck: Kombitherapie macht Punkte

Die europäischen Leitlinien empfehlen bei pulmonalarterieller Hypertonie (PAH) mit kardiovaskulären Komorbiditäten initial eine Monotherapie, da es für eine Kombinationstherapie in dieser wachsenden Population nur wenig Evidenz gibt. Neuere Daten …

Einführung einer bundesweit einheitlichen Fortbildung für Gefäßsporttrainer in Deutschland

Die periphere arterielle Verschlusskrankheit ist eine chronisch-progrediente Erkrankung, die sich üblicherweise durch eine Claudicatio intermittens an den Beinen erstmanifestiert. Dabei handelt es sich um ischämiebedingte Muskelschmerzen unter …

Interdisziplinäre Versorgung Erwachsener mit angeborenen Herzfehlern (EMAH)

Die EMAH bilden ein heterogenes PatientInnenkollektiv und stellen eine große Herausforderung für die klinische Versorgung dar. Die zugrunde liegenden angeborenen Herzfehler lassen sich entsprechend der Komplexität in 3 Gruppen unterteilen (Tab. 1 …

Bei resistenter Hypertonie auch auf blutdrucksteigernde Medikation achten!

Viele Hypertoniepatienten bekommen aus diversen Gründen blutdrucksteigernde Medikamente. Dies wird kaum berücksichtigt, sollte aber gerade bei resistentem Hochdruck dringend überprüft werden.

Metabolisch bariatrische Operation als „Bridging“ zur Transplantation – Konzepte und Ergebnisse

Der Anteil der Bevölkerung mit Übergewicht/Adipositas steigt weltweit an. Damit sind auch Patienten mit dem Vollbild Adipositas-assoziierter Begleiterkrankungen bis hin zur Organinsuffizienz zunehmend auf den Transplantationslisten vertreten. Ein …

Was ist gesichert in der Therapie der schwer zu kontrollierenden arteriellen Hypertonie?

Bei der therapierefraktären Hypertonie liegen die Blutdruckwerte oberhalb des Zielbereichs, obwohl 3 verschiedene Antihypertensiva inklusive eines Diuretikums in maximaler oder maximal tolerierter Dosierung verordnet wurden. Eine häufige und …

Videos und Webinare

Webinar

Stoffwechsel und Gefäße

  • Webinar | 21.05.2025 | 17:30

Einige wichtige Aspekte für die Praxis zum Thema "Stoffwechsel und Gefäße" greift die Aufzeichnung des MMW-Webinars auf. Die Referierenden geben Ihnen die wichtigsten Take-Home-Messages zu den Hypertonie-Leitlinien an die Hand, zeigen einen Überblick zur Adipositas-Therapie in der Praxis und liefern ein Therapie-Update zur chronischen Nierenerkrankung mit oder ohne Diabetes-Komorbidität.

Prof. Dr. med. Dr. Dipl. Biol. Stefan Engeli
PD Dr. med. Klaus Thürmel
Prof. Dr. med. Oliver Vonend
MMW – Fortschritte der Medizin

Buchkapitel zum Thema

Hypertonie

Zwischen Körpergewicht und Blutdruck bestehen enge Beziehungen, die durch umfängliche epidemiologische Studien belegt sind (Tab. 22.1). Diese großen Datensätze erlauben Berechnungen des Hypertonierisikos bei Adipositas, aber das Risiko eines …

Spezielle Aspekte bezogen auf Organsysteme nach geriatrisch-klinischer Bedeutung

Die arterielle Hypertonie ist die häufigste Herz-Kreislauf-Erkrankung überhaupt, und sie ist eine Alterskrankheit. In den westlichen Industrienationen sind die älteren Menschen (>65 Jahre) die am stärksten wachsende Bevölkerungsgruppe; damit …

Bergsteigen und Bergwandern mit Vorerkrankungen

Bergsteigen und Höhenaufenthalt gehen auch für Patienten mit Vorerkrankungen. Bevor es losgeht, müssen die zu erwartenden Umgebungsbedingungen geklärt und dann überlegt werden, wie diese auf die Grunderkrankung einwirken. Gerade bei Patienten mit …

Programmierung

Wenn die Diagnosespeicher ausgelesen und die Tests für die Nachsorge durchgeführt sind, sollte unter Berücksichtigung des Patientenstatus und der Schrittmacherindikation überprüft werden, ob eine Anpassung oder Optimierung der programmierbaren …

Nicht gefunden, wonach Sie suchten?

Probieren Sie es mit der Suchfunktion:

Passend zum Thema

ANZEIGE

Eng verbunden: Physiologische Rhythmen und Schlafqualität

Schlafstörungen und Erkrankungen des Herz-Kreislauf-Systems treten häufig gemeinsam auf. Lesen Sie, welche Herausforderungen Ein- und Durchschlafprobleme – und insbesondere Schichtarbeit – für den inneren Rhythmus darstellen und wie die Selbstregulation des Organismus unterstützt werden kann.

ANZEIGE

Ein zeitloses Geschenk für das Herz

Den Symptomen funktioneller Herz-Kreislauf-Erkrankungen, wie Palpitationen, Herzrhythmusstörungen, Schwindel, können aus ganzheitlicher Sicht Störungen der vegetativen Rhythmik zugrunde liegen. Da setzt ein regulativ wirkendes Arzneimittel mit einer Komposition von drei Heilpflanzen an.

ANZEIGE

Wenn psychosoziale Belastungen zu Herz-Kreislaufproblemen führen

Psychosoziale Stressoren wie Einsamkeit, Frustration oder Angst können zu Herz-Kreislaufproblemen führen – mit weitreichenden Folgen für Gesundheit und Lebensqualität. Lesen Sie, warum funktionelle Herzbeschwerden ernst genommen werden sollten und wie Betroffene unterstützt werden können.

ANZEIGE

Ganzheitliche Therapie vegetativer Herz-Kreislauf-Beschwerden

Bis zu 40 % aller Herzpatienten können den funktionellen Herz-Kreislauf-Beschwerden (fHKB) zugeordnet werden. Zur Linderung der Symptome und zur Stabilisierung der Herz-Kreislauf-Funktionen eignet sich eine Komposition aus bewährten Heilpflanzen. Mehr zum ganzheitlichen regulativen Ansatz.

Weleda AG
Bildnachweise
Flugzeug von unten/© Manuela Klopsch / Fotolia, Digitales Blutdruckmessgerät/© Kotchakorn / Stock.adobe.com (Symbolbild mit Fotomodell), Injektionsnadeln für Regionalanästhesie/© zlikovec / Getty Images / iStock, Blutdruckmessung bei einer Schwangeren/© Anna / stock.adobe.com (Symbolbild mit Fotomodell), Frau misst Blutdruck mit digitalem Messgerät/© vchalup / stock.adobe.com (Symbolbild mit Fotomodell), Gewinner des geteilten Galenus-Preises 2025 Orphan Drugs/© Marc-Steffen Unger, Einer älteren Frau im Rollstuhl wird der Blutdruck gemessen/© David L / peopleimages.com / Stock.adobe.com (Symbolbild mit Fotomodell), Älterer Mann schaut kritisch auf Tabletten/© Mediteraneo / stock.adobe.com (Symbolbild mit Fotomodell), Junge Frau misst Blutdruck bei älterer Frau/© CasarsaGuru / Getty Images / iStock (Symbolbild mit Fotomodellen), Ältere Parkinson-Patientin/© Ratirath / stock.adobe.com (Symbolbild mit Fotomodell), Frau misst Blutdruck/© Microgen / stock.adobe.com (Symbolbild mit Fotomodell), Blutdruckmessung bei einem Kind/© romankosolapov / stock.adobe.com (Symbolbild mit Fotomodellen), Positronenemissionstomographie zerebrale Amyloidablagerungen/© Block F / all rights reserved Springer Medizin Verlag GmbH, CT des Uterus einer 47-Jährigen /© Rizos A et al. | all rights reserved Springer Medizin Verlag GmbH, Blutdruckmessung/© (M) Peter Atkins / stock.adobe.com (Symbolbild mit Fotomodellen), Search Icon, Frau liegt wach im Bett, während der Wecker halb 3 morgens zeigt/© Dan Race / Fotolia, Frau mit Herzproblemen im Gespräch mit Ärztin/© LittleBee80/iStock (Symboldbild mit Fotomodellen), Person sitzt am Wasser/© iakovenko/123rf, Eseldistel in Nahaufnahme/© Weleda AG