Zum Inhalt
Die Radiologie

Bildgebung des vorderen Kreuzbands und der anterolateralen Rotationsinstabilität des Kniegelenks

Erschienen in:
download
DOWNLOAD
print
DRUCKEN
insite
SUCHEN

Zusammenfassung

Das vordere Kreuzband (VKB) ist essenziell für die Stabilität des Kniegelenks. Die VKB-Ruptur stellt eine der häufigsten Sportverletzungen dar, mit einer hohen Inzidenz besonders bei Sportarten, die Drehbewegungen und abrupte Richtungswechsel erfordern. VKB-Verletzungen sind selten isoliert und oft von Meniskus- und anderen Kniebinnenverletzungen begleitet, die das Arthroserisiko erhöhen. Das Verletzungsspektrum des VKB umfasst Zerrungen, Teilrupturen und vollständige Rupturen. Die Magnetresonanztomographie (MRT) spielt eine zentrale Rolle in der Diagnostik, da sie nicht nur das VKB, sondern auch begleitende Verletzungen präzise darstellen kann. Protonendichte- und T2-gewichtete Sequenzen eignen sich besonders zur Beurteilung des VKB, welches in der Regel in allen Ebenen gut sichtbar und bewertbar ist. Neben der Darstellung der Faserunterbrechung als direktem Zeichen und zentralem diagnostischem Indikator einer VKB-Ruptur gibt es zahlreiche weitere direkte und indirekte Anzeichen einer VKB-Verletzung in der MRT. Dazu gehören abnormale Faserorientierungen, Signalerhöhungen sowie eine anteriore Subluxation der Tibia im Verhältnis zum Femur. Die häufig mit VKB-Rupturen assoziierten Knochenmarködeme sind oft hinweisend auf den zugrundeliegenden Verletzungsmechanismus. Die Therapie der VKB-Rupturen kann konservativ oder operativ sein, abhängig von verschiedenen Faktoren wie dem Aktivitätsniveau des Patienten und dem Vorhandensein von Begleitverletzungen. Die präzise und umfassende Beschreibung von VKB-Verletzungen durch die Radiologie ist entscheidend für die optimale Therapieplanung. Die anterolaterale Rotationsinstabilität (ALRI) des Kniegelenks kennzeichnet einen Zustand übermäßiger lateraler und rotatorischer Beweglichkeit der Tibia im Verhältnis zum Femur im anterolateralen Kniebereich. Diese Instabilität wird primär durch eine Ruptur des VKB verursacht, wobei dem vor etwa 10 Jahren wiederentdeckten anterolateralen Ligament (ALL) ebenfalls eine Rolle bei der Stabilisierung des Knies zugeschrieben wird. Obwohl die ALRI in erster Linie durch klinische Untersuchungen diagnostiziert wird, ist die MRT unerlässlich für das Erkennen von Verletzungen am VKB, ALL und anderen Kniebinnenstrukturen, was essenziell für die Entwicklung einer optimalen Behandlungsstrategie ist.
QR-Code scannen & Beitrag online lesen

Hinweis des Verlags

Der Verlag bleibt in Hinblick auf geografische Zuordnungen und Gebietsbezeichnungen in veröffentlichten Karten und Institutsadressen neutral.
Das vordere Kreuzband (VKB) ist das am häufigsten verletzte Ligament des Kniegelenks. In den USA wird die jährliche Inzidenz der VKB-Rupturen auf über 200.000 Fälle geschätzt, während in Schweden die Inzidenz bei 78 pro 100.000 Einwohnern liegt [19, 24]. VKB-Rupturen sind typische Sportverletzungen, die vor allem bei Sportarten mit intensiven Drehbewegungen des Kniegelenks auftreten. In Deutschland sind vorrangig Athleten in Mannschaftssportarten wie Fußball, Handball oder Basketball betroffen, aber auch Skifahrer erleiden verhältnismäßig häufig VKB-Verletzungen [6]. Die meisten VKB-Verletzungen treten ohne direkte Fremdeinwirkung auf, insbesondere während abrupter Richtungswechsel und Abbremsmanöver, die zu unkontrollierten Verdrehungen und Überstreckungen des Kniegelenks führen können. Besonders Adoleszente und junge Erwachsene haben ein erhöhtes Risiko für eine VKB-Ruptur. Zudem zeigen einige Studien signifikante Geschlechtsunterschiede, wobei junge Frauen ein bis zu fünffach erhöhtes Risiko für eine VKB-Ruptur im Vergleich zu ihren männlichen Counterparts aufweisen. Die Ursachen hierfür sind vielschichtig und noch nicht vollständig geklärt, können jedoch teilweise durch Unterschiede in Anatomie, Biomechanik, Bandlaxizität sowie durch die Intensität der sportlichen Betätigung erklärt werden [23].
Die VKB-Ruptur ist nur selten eine isolierte Knieverletzung. Begleitende Meniskusrisse und andere Kniebinnenverletzungen sind häufig und tragen zu einem erhöhten Risiko für früh einsetzende posttraumatische Arthrose etwa 10 bis 15 Jahre nach der Erstverletzung bei. Klinisch äußert sich eine akute VKB-Ruptur meist mit erheblicher Knieinstabilität, Schmerzen, Schwellungen und eingeschränkter Kniefunktion. Der Stellenwert der Bildgebung liegt in der Bestätigung oder dem Ausschluss der Verdachtsdiagnose der VKB-Verletzung sowie in der Detektion von Begleitverletzungen. Dabei steht das Röntgenbild immer am Anfang der Bildgebung und ist auch laut den Richtlinien des American College of Radiology die geeignete erste bildgebende Untersuchung bei Erwachsenen und Kindern ab einem Alter von 5 Jahren nach akutem und symptomatischem Knietrauma [3]. Röntgenaufnahmen können Gelenkergüsse, Frakturen, Deformitäten und Fehlstellungen zeigen. Abhängig von der Schwere der Verletzung, den klinischen Symptomen und der Übereinstimmung der radiographischen Befunde mit den Verdachtsdiagnosen der körperlichen Untersuchung, ist eine weiterführende Schnittbildgebung angezeigt. Die MRT ist aufgrund ihres hohen Weichteilkontrasts nicht nur zur genauen Evaluation des vorderen Kreuzbands bestens geeignet, sondern erlaubt auch die Detektion von nahezu allen relevanten intra- und extraartikulären Begleitverletzungen. Manche Metaanalysen beschreiben hierbei eine Sensitivität und Spezifität der MRT für die Detektion der vollständigen VKB-Ruptur von jeweils 94–95 % [20, 25]. Die Computertomographie (CT) ist dagegen weitestgehend ungeeignet zur Detektion von VKB- und anderen Weichteilverletzungen, kann aber zur genauen Evaluation von Frakturen und präoperativen Planungen nützlich sein.
Ziel dieses Artikels ist es, einen Überblick über die wesentlichen Aspekte von VKB-Verletzungen mit einem Schwerpunkt auf der MRT-Bildgebung zu geben. Im zweiten Abschnitt wird die klinische Diagnose der anterolateralen Rotationsinstabilität des Kniegelenks dargelegt, welche maßgeblich von der Integrität des VKB abhängig ist.

Anatomie des VKB und Biomechanik

Das VKB ist ein intraartikuläres, extrasynoviales Ligament, bestehend hauptsächlich aus Typ-I-Kollagenfasern, die parallel angeordnet sind, um eine hohe Stärke und Elastizität zu gewährleisten. Das VKB verbindet das distale Femur mit der Tibia, der Ursprung befindet sich hierbei an der Innenseite des lateralen Femurkondylus und der Ansatz am anterioren Tibiaplateau im Bereich der Medianlinie. Das VKB ist aus zwei unterschiedlichen Bündeln aufgebaut, die nach ihren tibialen Ansatzstellen benannt sind: das anteromediale (AM) Bündel und das posterolaterale (PL) Bündel (Abb. 1). Der tibiale Ansatz des AM-Bündels befindet sich hierbei etwas weiter anterior und medial zum Ansatz des PL-Bündels. Der femorale Ursprung des AM-Bündels befindet sich etwas weiter kranial als der Ursprung des PL-Bündels. Das AM-Bündel ist das größere und stärkere der beiden Bündel und macht etwa 70 % der Gesamtstärke des VKB aus. Das PL-Bündel ist kleiner und trägt etwa 30 % der Stärke des VKB bei. Das PL-Bündel ist schräger orientiert als das AM-Bündel und verläuft tiefer in der interkondylären Notch. Studien haben gelegentlich ein zusätzliches, inkonstantes intermediäres Bündel beschrieben, das jedoch in der MRT-Bildgebung üblicherweise nicht zuverlässig identifiziert werden kann. Das gesamte VKB misst etwa 38 mm in der Länge und 11 mm in der Breite [11]. Das AM-Bündel ist im Mittel ca. 37 mm lang, während das PL-Bündel im Mittel ca. 21 mm lang ist. Beide Bündel sind ähnlich breit mit ca. 5 mm im mittleren Drittel [2].
Abb. 1
MRT des Kniegelenks mit einer koronalen Short-Tau-Inversion-Recovery (STIR)-Sequenz (a) und einer sagittalen protonendichtegewichteten (PD) Sequenz mit Fettsuppression (b) mit Schichtführung auf Höhe des vorderen Kreuzbands (VKB). Die Bilder illustrieren den anatomischen Aufbau des VKB, bestehend aus dem etwas dichter gepackten anteromedialen Bündel (weißer Pfeil) und dem etwas lockerer gepackten posteromedialen Bündel (hohler Pfeil), welcher in der MRT häufig gut nachvollziehbar ist
Bild vergrößern
Das VKB ist ein entscheidender Stabilisator im Kniegelenk. Die einzigartige Zweibündel-Anatomie spielt eine wichtige Rolle in der Biomechanik des Kniegelenks und ist entscheidend für die Kontrolle dynamischer Kniebewegungen, insbesondere bei der Bereitstellung von Rotationsstabilität und der Verhinderung einer übermäßigen anterioren Translation der Tibia gegenüber dem Femur. In Extension verlaufen die beiden VKB-Bündel parallel, wobei das PL-Bündel angespannt und das AM-Bündel relaxiert ist. Beim Übergang des Kniegelenks in Flexion gerät das AM-Bündel unter Spannung, während sich das PL-Bündel lockert. Dies wird verursacht durch eine relative Positionsänderung des femoralen Ursprungs der beiden Bündel. Gegenüber der Extension verschiebt sich in Flexion der femorale Ursprung des AM-Bündels etwas weiter nach posterior und der femorale Ursprung des PL-Bündels etwas weiter nach anterior [26]. Durch die Varianz der Spannungsverhältnisse bildet das PL-Bündel den primären Widerstand gegen die anteriore Tibiatranslation in Extension und das AM-Bündel den primären Widerstand gegen die anteriore Tibiatranslation in Flexion. Zusätzlich bietet das PL-Bündel dem Kniegelenk Rotationsstabilität während der anterioren Translation durch Anspannung sowohl bei Innen- als auch bei Außenrotation. Das VKB ist zudem reich an Mechanorezeptoren, die eine wesentliche Rolle bei der propriozeptiven Rückkopplung und neuromuskulären Kontrolle spielen. Diese Fähigkeit ermöglicht es dem Knie, auf Positions- und Belastungsänderungen zu reagieren und die Muskelaktivität entsprechend anzupassen.

MRT-Bildgebung

Für die Bewertung der Kniebinnenstrukturen nach akuten Verletzungen wird die MRT als die bevorzugte Bildgebungsmodalität angesehen und hat die diagnostische Arthroskopie in den vergangenen 30 Jahren fast vollständig abgelöst. Die meisten Standardprotokolle ermöglichen nicht nur eine adäquate Beurteilung des VKB, sondern auch der anderen Kniebinnenstrukturen wie Menisken, Sehnen, weiteren Ligamenten und dem Gelenkknorpel. Typische klinische MRT-Protokolle bei Knieverletzungen umfassen 4 bis 5 zweidimensionale Turbo- oder Fast-Spin-Echo-Pulssequenzen in axialer, sagittaler und koronarer Orientierung mit Schichtdicken von meist um 3 mm. Nicht fettsupprimierte protonendichtegewichtete (PD) Turbo- oder Fast-Spin-Echo(TSE)-Pulssequenzen sind am vielseitigsten für die morphologische Beurteilung der Kniebinnenstrukturen, einschließlich Gelenkknorpel, Bänder, Menisken und Gelenkflüssigkeit. Fettsupprimierte flüssigkeitssensitive Pulssequenzen mit Echozeiten von 60 ms sind dagegen am besten für Kontrastbewertungen geeignet, einschließlich Gelenkflüssigkeit, Knochenmarködeme sowie ligamentäre und tendinöse Risse. T1-gewichtete Pulssequenzen können zur Verbesserung der Frakturvisualisierung verwendet werden, jedoch ist die Kombination aus PD und fettsupprimierten T2-gewichteten Pulssequenzen oft ähnlich akkurat. Eine räumliche In-Plane-Auflösung von etwa 0,5 mm ist in der Regel ausreichend um anatomische Kniestrukturen detailliert zu bewerten. Moderne Beschleunigungstechniken und künstliche Intelligenz (KI) erlauben mittlerweile schnelle Untersuchungsprotokolle des Kniegelenks von 5 min ohne relevanten Verlust der Bildqualität, was den Komfort der Patient:innen mit akuten Knieverletzungen deutlich erhöhen kann [9, 14, 16].
Das VKB ist als große Bandstruktur in Standardsequenzen meist gut beurteilbar. Es lässt sich aber aufgrund seines obliquen Verlaufs in der koronaren, sagittalen und axialen Ebene typischerweise nicht in seiner vollen Ausdehnung auf einzelnen Schichten darstellen, sondern erstreckt sich meist über mehrere Bildebenen. Zur besseren Visualisierung der Gesamtausdehnung können oblique Sequenzen mit Angulationen entlang dem schrägen VKB-Verlauf akquiriert werden. In seltenen Fällen können diese Sequenzen die Diagnostik einer VKB-Ruptur verbessern, sind aber meist für eine suffiziente VKB-Diagnostik nicht notwendig und werden aufgrund des ungünstigen Kosten-Nutzen-Verhältnisses nicht generell empfohlen. Eine Alternative hierfür stellen hochaufgelöste, isotrope 3D-Turbo- oder Fast-Spin-Echo-Pulssequenzen dar, deren Akquisitionszeiten in den letzten Jahren durch technische Innovationen auf 4 bis 5 min pro Sequenz deutlich beschleunigt werden konnten. Diese lassen sich nach Belieben multiplanar rekonstruieren und an alle Strukturen individuell anpassen, so auch an den schrägen Verlauf des VKB. Ein Protokoll bestehend aus einer isotropen PD- und einer fettsupprimierten T2-gewichteten 3D-Turbo- oder Fast-Spin-Echo-Sequenz wird in Hinblick auf die diagnostische Genauigkeit als gleichwertig gegenüber einem Standard 2D-Knieprotokoll angesehen [7, 8].

Verletzungsmechanismen des VKB

VKB-Rupturen entstehen typischerweise nicht durch exzessiven axialen Zug entlang der longitudinalen Achse des Ligaments, sondern hauptsächlich durch abnorme Scherkräfte, die bei übermäßigen Drehbewegungen auf das VKB einwirken. Dies führt oft zu Subluxationen und Kollisionen zwischen Femur und Tibia, wobei in der MRT bei über 80 % der VKB-Rupturen kontusionsbedingte Knochenmarködeme an Femur und Tibia festgestellt werden. Es wurden verschiedene Mechanismen beschrieben, die zu VKB-Verletzungen führen, welche teilweise durch ihre charakteristischen posttraumatischen Knochenmarködeme eindeutig identifiziert werden können. Der häufigste Mechanismus ist die sog. Pivot-shift-Verletzung, die in über 50 % der Fälle von VKB-Verletzungen zugrunde liegt (Abb. 2; [30]). Diese führt bei Erwachsenen, meist während sportlicher Aktivität und ohne Fremdeinwirkung, in nahezu allen Fällen zu einer hochgradigen Partialruptur oder vollständigen Ruptur der VKB. Beim Pivot-shift-Mechanismus erfährt das leicht flektierte Knie exzessiven Valgusstress in Kombination mit einer Außenrotation der Tibia. Der Fuß ist dabei fest auf dem Boden aufgesetzt. Es kommt zu einer Valgusüberlastung des Kniegelenks (oft mit Verletzung des medialen Kollateralbands) und zu einer anterioren Tibiatranslation durch Quadrizepszug, wodurch es zur VKB-Ruptur kommt. Das Kniegelenk erfährt dabei eine transiente rotatorische posterolaterale Subluxation, wodurch der laterale Femurkondylus mit dem posterolateralen Tibiaplateau kollidiert. Dabei kommt es meist zu einer flachen osteochondralen Impressionsfraktur des lateralen Femurkondylus mit charakteristischem Knochenmarködem auf Höhe des kondylopatellaren Sulkus. Diese Impression ist häufig bereits im Röntgenbild erkennbar und wird als „deep lateral femoral notch sign“ bezeichnet [21]. Im Rahmen der Knochenkollision kommt es auch im posterolateralen Tibiaplateau zu einer Knochenkontusion, welche in der MRT meist durch charakteristische Knochenmarködeme gekennzeichnet ist. Das Verletzungsspektrum reicht dabei von einfachen Knochenkontusionen mit trabekulären Mikrofrakturen bis zu dislozierten posterolateralen Tibiaplateaufrakturen mit Gelenkflächenbeteiligung.
Abb. 2
MRT des Kniegelenks einer 17-jährigen Fußballspielerin nach Kniedistorsion mit sagittalen protonendichtegewichteten (PD) Schichten mit Fettsuppression. a Schnitt durch das laterale Kniekompartiment mit Darstellung von fokalen Knochenmarködemen der lateralen Femurkondyle auf Höhe des kondylopatellaren Sulkus (weißer Pfeil) und am posterolateralen Tibiaplateau (hohler Pfeil), welche typisch für Kontusionsödeme im Rahmen eines Pivot-shift-Mechanismus sind. b Schnitt durch das zentrale Kniegelenk mit Darstellung einer vollständigen Ruptur des vorderen Kreuzbands (VKB) im proximalen Anteil mit Nachweis von rupturierten Fasern und Spaltbildungen (weißer Pfeil). Die ödematösen VKB-Fasern sind gewellt und abweichend von der Blumensaat-Linie orientiert, was sichere Zeichen einer VKB-Ruptur sind
Bild vergrößern
Das Hyperextensionstrauma des Kniegelenks stellt einen weiteren Mechanismus dar, der durch ein typisches Muster von Knochenkontusionen gekennzeichnet ist. Bei der Überstreckung des Kniegelenks kommt es zur Kollision und Impaktion von Femur und Tibia, was weit anterior gelegene Knochenmarködeme an gegenüberliegenden Lokalisationen verursacht. Diese Knochenmarködeme können sowohl im lateralen als auch im medialen Kompartiment auftreten. Im Gegensatz zum Pivot-shift-Mechanismus führt der Hyperextensionsmechanismus oft nicht zu einer vollständigen Ruptur des VKB, sondern es treten hierbei relativ häufig Zerrungen und niedriggradige Partialrupturen auf.
Bei Kreuzbandverletzungen durch äußere Gewalteinwirkung, etwa durch Motorfahrzeugkollisionen oder bei Kontakt mit Gegenspielern im Sport, können die Knochenmarködeme Hinweise auf den Ort der Krafteinwirkung geben. Ein gut definierter Verletzungsmechanismus, durch welchen es zur VKB-Überlastung kommt, wie beim Pivot-shift-Mechanismus, ist bei diesen oft komplexen Hochenergietraumata jedoch häufig nicht nachvollziehbar.

MRT-Darstellung der VKB-Rupturen

Das normale VKB ist eine in allen Sequenzen hypointense Struktur mit dicht gepackten, parallel angeordneten Faserzügen. Das PL-Bündel erscheint hier häufig etwas lockerer angeordnet als das AM-Bündel mit teils feiner linearer Streifung und gering angehobenem T1- und T2-Signal (Abb. 1). Der Verlauf des VKB ist parallel oder in gering spitzem Winkel zur Blumensaat-Linie, welche das Dach der interkondylären Notch beschreibt. Im Fall einer vollständigen VKB-Ruptur lassen sich die unterbrochenen Faserzüge meist in der sagittalen, axialen und koronalen Ebene gut abgrenzen. Hierbei verliert das VKB seine nahezu perfekt angeordnete, parallel gestreifte Architektur. Die rupturierten Fasern zeigen typischerweise eine Abweichung ihrer Orientierung entlang der Blumensaat-Linie mit gewellter Konfiguration, was als sicherer Hinweis auf eine VKB-Ruptur gewertet werden kann (Abb. 2; Tab. 1). Durch assoziierte Ödeme und Hämatome kommt es zu einer Signalanhebungen des VKB in flüssigkeitssensitiven Sequenzen sowie häufig zu einer Verdickung des Ligaments. Hier bestehen in der MRT bildmorphologische Überlappungen mit der mukoiden Degeneration des VKB, was ebenfalls mit einer PD- und T2-hyperintensen Signalalteration und Ligamentverdickung einhergeht. Die mukoide Degeneration ist jedoch typischerweise mit kleinen Ganglien an den VKB-Enden oder innerhalb der Sehnensubstanz assoziiert sowie einer intakten und parallelen Faserarchitektur. Bei hochgradigen Partialrupturen und vollständigen VKB-Rupturen kann es zu einer Dislokation des tibialen Sehnenstumpfes nach anterior mit Interposition zwischen anteriorer Eminentia intercondylaris und femoraler Notch kommen. Dadurch kann eine Extensionshemmung des Kniegelenks hervorrufen werden.
Tab. 1
Normale Darstellung sowie direkte und indirekte Zeichen einer Verletzung des vorderen Kreuzbands (VKB) in der MRT
Normale Darstellung des VKB
Direkte Zeichen der VKB-Verletzung
Indirekte Zeichen der VKB-Verletzung
Hypointense Struktur in allen Sequenzen
Unterbrechung von VKB-Fasern
Knochenmarködeme mit Kontusionsmuster
Parallele Faserarchitektur mit feiner Streifung
Achsabweichung der Faserorientierungen von der Blumensaat-Linie
PD und T2-hyperintese Signalveränderung der VKB-Substanz
VKB-Verlauf nahezu parallel zur Blumensaat-Linie
Umgeschlagene Ligamentanteile, (insbesondere distaler Sehnenanteile nach anterior)
Verdickung der VKB-Substanz
Anteriore Subluxation der Tibia gegenüber Femur
Posteriore Dislokation des Außenmeniskushinterhorns
Deformierung des hinteren Kreuzbands mit Steilstellung
Assoziierte Kniebinnenverletzungen (Meniskus, Kollateralbänder, ALL-Verletzung und Segond-Fraktur)
Meniskokapsuläre Separation oder „ramp lesion“
Indirekte Zeichen einer VKB-Ruptur können assoziierte Verletzungen von Kniebinnenstrukturen oder femorotibialen Alignmentstörungen darstellen (Tab. 1). Häufige Begleitverletzungen einer VKB-Ruptur sind insbesondere der Riss des Innenmeniskus und des medialen Kollateralbands, was auch als „O’Donoghue unhappy triad“ bezeichnet wird. Der Riss des Innenmeniskus ist hierbei meist vertikal orientiert und im Hinterhorn gelegen. Jedoch findet sich bei einer VKB-Ruptur mit ähnlicher Häufigkeit auch ein Riss des Außenmeniskus, ebenfalls meist vertikal orientiert und im Hinterhorn lokalisiert.
In den letzten Jahren hat die Ruptur der Anheftung des Innenmeniskushinterhorns an die posteromediale Gelenkkapsel zunehmend Beachtung gefunden. Diese Verletzung, die uneinheitlich als meniskokapsuläre Separation oder „ramp lesion“ bezeichnet wird, scheint stark mit einer VKB-Ruptur assoziiert zu sein. Die Sensitivität und Spezifität der MRT für die Detektion der meniskokapsulären Separation ist wahrscheinlich niedrig. Eine vermehrte Flüssigkeitskollektion und Distanz zwischen Innenmeniskushinterhorn und posteromedialer Gelenkkapsel mit fehlender Abgrenzbarkeit der generell schlecht einsehbaren feinen meniskokapsulären oder meniskotibialen Zügel können in der MRT hinweisend auf eine meniskokapsuläre Separation sein. Des Weiteren bestehen hochgradige Assoziationen zwischen der Segond-Fraktur und der Ruptur des anterolateralen Ligaments (ALL) mit VKB-Verletzungen, worauf im letzten Teil dieses Artikels näher eingegangen wird.
Im Rahmen der VKB-Ruptur kann es zu Alignmentstörungen mit anteriorer Subluxation der Tibia gegenüber dem Femur kommen. Dies kann vermutet werden, wenn in der zentralen sagittalen Schicht des lateralen Kompartiments die posteriore Kante der Tibia um mehr als 5 mm weiter ventral verläuft gegenüber der posterioren Kante der Femurkondyle (Abb. 3). Hierdurch kann es zu einer posterioren Dislokation des Außenmeniskushinterhorns gegenüber dem lateralen Tibiaplateau kommen. Im Rahmen der vermehrten anterioren Translation der Tibia gegenüber dem Femur kommt es zudem meist zu einer Verformung des hinteren Kreuzbands mit relativer Steilstellung und Verlust der charakteristischen hakenförmigen Konfiguration. Als weitere indirekte Hinweise auf eine VKB-Ruptur werden zudem die zuvor beschriebenen ossären Kontusionsödeme gezählt.
Abb. 3
MRT des Kniegelenks eines 14-jährigen Patienten mit vollständiger Ruptur des vorderen Kreuzbands (nicht abgebildet). Die sagittale protonendichtegewichteten (PD) Sequenz mit zentraler Schichtführung durch das laterale femorotibiale Kompartiment zeigt eine anteriore Subluxation der Tibia gegenüber dem Femur um 7,5 mm (gepunktete vertikale Linien). Dies überschreitet den Normwert von < 5 mm und stellt einen indirekten Hinweis auf eine Ruptur des vorderen Kreuzbands dar
Bild vergrößern

Klassifikation der VKB-Ruptur

Die Kategorisierung der VKB-Verletzung in den Grad der Faserruptur ist von hoher klinischer Relevanz, da sie direkten Einfluss auf die Therapie haben kann. Dabei reicht das Spektrum der VKB-Verletzungen von Zerrungen, über Partialrupturen bis zu vollständigen Rupturen.
Der im deutschsprachigen Raum gebräuchliche Begriff „Zerrung“ steht histopathologisch für interstitielle Mikrorisse in den Ligamentfasern, die makroskopisch nicht differenzierbar sind. In der MRT äußern sich Zerrungen durch PD- und T2-Signalerhöhungen der VKB-Fasern, die mit einer möglichen Verdickung des Ligaments einhergehen können. Allerdings gibt es umfangreiche bildmorphologische Überschneidungen mit normaler Variabilität der VKB-Signale oder mit leichten mukoiden Degenerationen, die eine zuverlässige Erkennung der VKB-Zerrung in der klinischen Praxis oft erschweren. Da eine Zerrung des VKB jedoch nicht zu Knieinstabilität führt, besitzt eine übersehene Diagnose in der klinischen Praxis oft keine gravierende klinische Bedeutung.
Partialrupturen des VKB können ein Spektrum von niedrig- bis hochgradige Schädigungen umfassen. Die prozentuale Bestimmung des Ausmaßes der durchtrennten Ligamentfasern kann wertvolle Informationen für den Entscheid zwischen konservativer und operativer Behandlung liefern. Oft sind beide Bündel des VKB von einer Partialruptur betroffen, obwohl auch einzelne Bündel isoliert geschädigt sein können. Die Genauigkeit der MRT in der Erkennung von Partialrupturen des VKB ist geringer als bei der Erkennung kompletter Rupturen. Obwohl nur begrenzte Daten verfügbar sind, ergab eine Studie, dass die Sensitivität zwischen 40 und 75 % sowie die Spezifität zwischen 62 und 89 % beträgt [27].
Die vollständige Ruptur des VKB beschreibt eine komplette Durchtrennung aller Sehnenfasern. Tatsächlich zeigt sich bei der Arthroskopie häufig, dass bei MR-tomographisch vermuteten vollständigen Rupturen des VKB oft noch filiforme Faserzügel in Kontinuität erhalten sind. Daher entsprechen diese Fälle formal hochgradigen Partialrupturen. Dies beeinflusst jedoch in der Regel nicht das Management der Patient:innen, da solche Rupturen bei der Abwägung zwischen konservativer und operativer Therapie meist keinen entscheidenden Einfluss haben. Im Fall einer Operation werden hochgradige Partialrupturen, ebenso wie vollständige VKB-Rupturen, meist mittels Ersatzplastik behandelt. Mehrere Metaanalysen konnten eine hohe diagnostische Genauigkeit der MRT für die Detektion der vollständigen VKB-Rupturen nachweisen mit Sensitivtäten und Spezifitäten von jeweils ca. 94–95 % [20, 25]. Einige Studien, die von spezialisierten muskuloskeletalen Radiolog:innen durchgeführt wurden, konnten noch höhere Ergebnisse erzielen, mit nahezu perfekten Sensitivitäten und Spezifitäten von jeweils 98–100 % [4, 10]. Dadurch gehört die vollständige VKB-Ruptur zu den Verletzungen, die in der muskuloskeletalen MRT-Bildgebung am genauesten detektierbar sind.
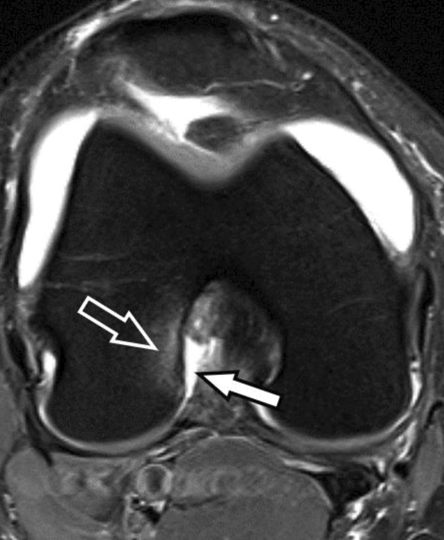
Aufgrund eines Wiederauflebens der primären VKB-Reparatur unter Erhaltung des nativen Ligaments, hat die genaue Beschreibung und Visualisierung der Höhe der Faserruptur in manchen Institutionen wieder an Relevanz gewonnen. Es konnte gezeigt werden, dass sich über die Hälfte der VKB-Rupturen in den mittleren 50 % der Ligamentausdehnung befinden. Rupturen in den distalen 25 % des VKB sind dagegen äußerst selten mit ca. 5 %. VKB-Rupturen in den proximalen 25 % finden sich dagegen bei 43 % der Patient:innen. Von besonderem Interesse sind hierbei die Rupturen der proximalen 10 % der Ligamentsubstanz, welche Avulsionen des femoralen VKB-Ursprung entsprechen. Diese scheinen sich für eine primäre VKB-Reparatur zu eignen und entsprechen etwa 16 % aller VKB-Rupturen (Abb. 4; [28]).
Abb. 4
MRT des Kniegelenks mit einer axialen protonendichtegewichteten (PD) Sequenz mit Fettsuppression. Die Schichtführung auf Höhe der Femurkondylen zeigt eine vollständige Avulsion des vorderen Kreuzbands (VKB) vom femoralen Ursprung (Pfeil). Diese Rupturen sind in manchen Institutionen von besonderem Interesse, da sie sich für primäre VKB-Reparatur mit Erhalt des nativen Ligaments eignen. Gelegentlich finden sich schwache subkortikale Knochenmarködeme (hohler Pfeil) am femoralen Ursprung des VKB, welche möglicherweise im Rahmen eines assoziierten Zugs am Periost erklärt werden können
Bild vergrößern
Zum Spektrum der VKB-Rupturen gehören auch die knöchernen Avulsionsfrakturen der Eminentia intercondylaris. Hierbei kommt es aufgrund des VKB-Zugs zum Ausriss von tibialen Knochenfragmenten variabler Größe, welche meist eine geringe kraniale Dislokation von wenigen Millimetern aufweisen. Das VKB bleibt hierbei meist intakt oder zeigt lediglich eine Zerrung oder niedriggradige Partialruptur. Hauptsächlich finden sich die ossären Avulsionsfrakturen der Eminentia intercondylaris bei Kindern und Adoleszenten, können aber selten auch bei Erwachsenen mit abgeschlossener Skelettreifung vorkommen (Abb. 5).
Abb. 5
MRT des Kniegelenks eines 38-jährigen Patienten nach Kniedistorsion. Die sagittale protonendichtegewichtete (PD) Sequenz mit Fettsuppression zeigt eine nichtdislozierte Avulsionsfraktur der Eminentia intercondylaris mit hyperintenser Frakturlinie (hohler Pfeil), verursacht durch Zug des vorderen Kreuzbands (VKB). Es besteht eine Signalerhöhung des VKB (weißer Pfeil) als Zeichen einer Zerrung bzw. von interstitiellen Mikrorupturen. Am weit anterioren tibialen Ansatz des VKB besteht zudem eine sehr kleine Partialruptur in Angrenzung an ein winziges Knochenfragment (Pfeilspitze)
Bild vergrößern

Therapie der VKB-Rupturen

Die Therapie der VKB-Rupturen umfasst konservative und operative Methoden, in beiden Fällen mit dem Ziel der Wiedererlangung der Kniestabilität und der Reduktion des Arthroserisikos. Bei der Entscheidungsfindung sind u. a. das Aktivitätslevel, das Alter und die Begleitverletzungen von hoher Relevanz [15]. Patient:innen mit isolierten VKB-Rupturen und geringer sportlicher oder körperlicher Beanspruchung eignen sich für die konservative Therapie. Ein hohes körperliches Aktivitätslevel und/oder relevante Begleitverletzungen, wie insbesondere instabile oder rekonstruierbare Meniskusrisse, werden häufig der operativen Therapie zugeführt. Die Aufgabe der Radiologie besteht darin, mittels präziser und umfassender Beschreibung der VKB-Ruptur und der Begleitverletzungen die Voraussetzung für eine optimale Therapie zu schaffen.

Anterolaterale Rotationsinstabilität des Kniegelenks

Die anterolaterale Rotationsinstabilität (ALRI) des Kniegelenks beschreibt einen pathologischen Zustand, der sich durch eine beeinträchtigte Stabilität zwischen Femur und Tibia, vor allem in anterolateraler Richtung, auszeichnet. Dieses abnorme Bewegungsmuster führt klinisch zu episodischer Knieinstabilität, besonders bei Aktivitäten mit Rotationsbewegungen, und ist von Symptomen wie Schmerzen, Schwellungen und dem subjektiven Empfinden eines instabilen Knies begleitet. Typischerweise zeigt sich eine abnormale und komplexe dreidimensionale Beweglichkeit, die Translation und Rotation entlang einer spiralförmigen Achse umfasst [12]. Bei der körperlichen Untersuchung zeigt sich am häufigsten eine vermehrte Innenrotation der Tibia im Vergleich zum Femur. Aus radiologischer Sicht sollte beachtet werden, dass es sich hier nicht um eine Diagnose handelt, die primär auf bildgebenden Verfahren basiert, sondern vielmehr um eine, die aus der Kombination von Anamnese, körperlicher Untersuchung und Weichteilverletzungen resultiert, die wiederum typischerweise in der MRT-Bildgebung erkannt werden.
Die ALRI wird durch eine Beeinträchtigung der strukturellen Integrität des stützenden Apparats des Knies, insbesondere der Bänder, verursacht, wobei das VKB am häufigsten betroffen ist. So kann eine ALRI des Kniegelenks nicht nur bei akuten Knieverletzungen mit VKB-Ruptur vorkommen, sondern auch bei Patienten nach insuffizienter VKB-Rekonstruktion [18]. Aber auch Verletzungen des lateralen Kollateralbands, des anterolateralen Ligaments (ALL), des Tractus iliotibialis und der Gelenkkapsel können zu einer ALRI des Kniegelenks beitragen. Diese Strukturen werden uneinheitlich von manchen Autoren als anterolateraler Komplex zusammengefasst. Inwiefern diese Strukturen des anterolateralen Komplexes zur ALRI des Kniegelenks beitragen, wird kontrovers diskutiert und hängt mutmaßlich vom Flexionsgrad des Kniegelenks ab. Studienergebnisse suggerieren jedoch, dass eine ALRI des Kniegelenks mit pathologisch erhöhter Innenrotation der Tibia gegenüber dem Femur nur im Rahmen einer Insuffizienz des VKB möglich ist, da die Durchtrennung der anterolateralen Strukturen des Kniegelenks bei intaktem VKB keine signifikante tibiale Innenrotation gegenüber dem Femur hervorruft [17].
Das ALL hat seit der Beschreibung von Claes et al. im Jahr 2013 starke Beachtung gefunden [1]. Die Autorengruppe beschrieb hierbei an anatomischen Präparaten ein rundliches Ligament, welches vom lateralen Epikondylus des Femurs (anterior des Ursprungs des lateralen Kollateralbands) zum anterolateralen Tibiakopf verläuft und posterior des distalen Tractus iliotibialis und Gerdy-Tuberkulums inseriert. Es wird angenommen, dass das ALL dem anatomischen Korrelat entspricht, welches die ossäre Avulsion des kleinen kortikalen Fragments der Segond-Fraktur am anterolateralen Tibiakopf verursacht. Auch wenn die Autorengruppe in ihrer Studie das ALL als rundliches Ligament beschreibt, morphologisch ähnlich dem lateralen Kollateralband, so lässt sich dies radiologisch in der MRT typischerweise nicht nachvollziehen. Das ALL lässt sich eher als eine flache Struktur identifizieren, die signalarm in PD- und T2-gewichteten Aufnahmen erscheint und in die anterolaterale Gelenkkapsel integriert sowie mit ihr kontinuierlich verbunden ist. Deshalb ist fraglich, ob es sich hierbei tatsächlich um ein eigentliches Ligament oder eine kapsuloligamentäre Verstärkung der anterolateralen Kniegelenkkapsel handelt [22]. Im Fall der akuten Verletzung demarkiert sich das ALL aufgrund einer ödematösen Verdickung und umgebender Weichteilödeme oft deutlicher im Bereich der tibialen Insertion, wo ALL-Verletzungen typischerweise zu finden sind [5]. Das Verletzungsspektrum umfasst auch hier wie bei anderen kapsuloligamentären Verletzungen Zerrungen, Partialrupturen und vollständige Rupturen (Abb. 6).
Abb. 6
MRT des Kniegelenks von drei unterschiedlichen Patient:innen nach jeweils akuter Kniedistorsion. Koronale Short-Tau-Inversion-Recovery(STIR)-Sequenzen mit Schnittführung und Vergrößerung des anterolateralen Kompartiments mit Darstellung des anterolateralen Ligaments. a Intaktes anterolaterales Ligament (ALL) mit flacher, hypointenser Konfiguration (weißer Pfeil) und normaler distaler Insertion (hohler Pfeil), welches sich durch die umgebenden Weichteilödeme gut demaskiert. b Partialruptur des ALL mit partieller Faserunterbrechung an der tibialen Insertion (hohler Pfeil) und Verdickung des distalen Ligamentanteils (weißer Pfeil). c Vollständige Ruptur des ALL mit Ablösung von der tibialen Insertion (hohler Pfeil), geringer Retraktion und welliger Konfiguration (weißer Pfeil) sowie umgebenden Ödemen. In Bild b und c ist jeweils eine Ruptur des vorderen Kreuzbands partiell mitabgebildet (Pfeilspitzen), mit welcher eine Verletzung des ALL typischerweise assoziiert ist
Bild vergrößern
Analog zu Segond-Frakturen, welche nahezu immer mit einer VKB-Ruptur vergesellschaftet sind, findet sich auch eine hochgradige Assoziation zwischen ALL-Verletzungen und VKB-Rupturen, primär im Rahmen von Knieverletzungen mit einem Pivot-shift-Mechanismus [29]. Auch wenn der Beitrag eines intakten ALL zur ALRI des Kniegelenks nicht vollständig geklärt ist und möglicherweise erst in Flexion an Relevanz gewinnt, so findet das ALL doch zunehmend operative Beachtung mit chirurgischer Rekonstruktion und dem Ziel, eine physiologische Kinematik und Stabilität des Kniegelenks wiederherzustellen [13].
Die radiologische Bildgebung umfasst bei Patienten mit komplexen Knietraumata und dem klinischen Bild einer ALRI immer ein Röntgenbild in 2 Ebenen zum Ausschluss von ossären Verletzungen und Degenerationen sowie meist eine MRT zur Evaluation der Weichteilverletzungen. Mittels axialen, koronalen und sagittalen Standardebenen und PD- und T2-gewichteten Sequenzen mit und ohne Fettsuppression lassen sich alle relevanten Strukturen mit besonderer Beachtung des VKB, des lateralen Kollateralbands und des ALL suffizient einschätzen und den Verdacht einer ALRI des Kniegelenks weiter erhärten oder entkräften. Ultraschall kann unter Umständen einen diagnostischen Beitrag leisten, insbesondere zur Evaluation des gut darstellbaren lateralen Kollateralbands, des äußerst selten verletzten distalen Tractus iliotibialis oder unter Umständen auch des ALL. Aufgrund der Limitationen in der Diagnostik der Kreuzbänder, der Menisken und des Gelenkknorpels sollte der Ultraschall jedoch bei vermuteter ALRI oder nach komplexem Knietrauma nicht primär in Erwägung gezogen werden.

Fazit für die Praxis

  • Das vordere Kreuzband (VKB) ist eines der am häufigsten verletzten Ligamente im Knie, besonders bei Sportarten mit intensiven Drehbewegungen und abrupten Richtungswechseln.
  • VKB-Rupturen treten selten isoliert auf und sind oft von Meniskus- und anderen Kniebinnenverletzungen begleitet.
  • Die Magnetresonanztomographie (MRT) ist entscheidend für die Diagnose von VKB-Verletzungen und ermöglicht die präzise Darstellung des VKB sowie begleitender Verletzungen.
  • Verletzungen des VKB reichen von Zerrungen und Partialrupturen bis zu vollständigen Rupturen.
  • Die MRT deckt direkte und indirekte Zeichen der VKB-Verletzung auf, einschließlich Faserunterbrechungen, Knochenmarködeme und Veränderungen in der Faserorientierung.
  • Die anterolaterale Rotationsinstabilität (ALRI) des Kniegelenks beschreibt eine beeinträchtigte Stabilität des Kniegelenks, hauptsächlich verursacht durch VKB-Rupturen.
  • Dem anterolateralen Ligament wird eine Bedeutung bei der Stabilisierung des Knies und der ALRI zugemessen, und es ist eng mit VKB-Rupturen assoziiert.

Einhaltung ethischer Richtlinien

Interessenkonflikt

B. Fritz gibt an, dass kein Interessenkonflikt besteht.
Für diesen Beitrag wurden von den Autor/-innen keine Studien an Menschen oder Tieren durchgeführt. Für die aufgeführten Studien gelten die jeweils dort angegebenen ethischen Richtlinien.
Open Access Dieser Artikel wird unter der Creative Commons Namensnennung 4.0 International Lizenz veröffentlicht, welche die Nutzung, Vervielfältigung, Bearbeitung, Verbreitung und Wiedergabe in jeglichem Medium und Format erlaubt, sofern Sie den/die ursprünglichen Autor(en) und die Quelle ordnungsgemäß nennen, einen Link zur Creative Commons Lizenz beifügen und angeben, ob Änderungen vorgenommen wurden.
Die in diesem Artikel enthaltenen Bilder und sonstiges Drittmaterial unterliegen ebenfalls der genannten Creative Commons Lizenz, sofern sich aus der Abbildungslegende nichts anderes ergibt. Sofern das betreffende Material nicht unter der genannten Creative Commons Lizenz steht und die betreffende Handlung nicht nach gesetzlichen Vorschriften erlaubt ist, ist für die oben aufgeführten Weiterverwendungen des Materials die Einwilligung des jeweiligen Rechteinhabers einzuholen.
Weitere Details zur Lizenz entnehmen Sie bitte der Lizenzinformation auf http://​creativecommons.​org/​licenses/​by/​4.​0/​deed.​de.

Hinweis des Verlags

Der Verlag bleibt in Hinblick auf geografische Zuordnungen und Gebietsbezeichnungen in veröffentlichten Karten und Institutsadressen neutral.

Unsere Produktempfehlungen

Die Radiologie

Print-Titel

  • Ein umfassender Themenschwerpunkt in jeder Ausgabe
  • CME-Punkte sammeln mit praxisrelevanten und leitliniengerechten Fortbildungsbeiträgen
  • IT und Management für Radiologinnen und Radiologen

e.Med Interdisziplinär

Kombi-Abonnement

Für Ihren Erfolg in Klinik und Praxis - Die beste Hilfe in Ihrem Arbeitsalltag

Mit e.Med Interdisziplinär erhalten Sie Zugang zu allen CME-Fortbildungen und Fachzeitschriften auf SpringerMedizin.de.

e.Dent – Das Online-Abo der Zahnmedizin

Online-Abonnement

Mit e.Dent erhalten Sie Zugang zu allen zahnmedizinischen Fortbildungen und unseren zahnmedizinischen und ausgesuchten medizinischen Zeitschriften.

Weitere Produktempfehlungen anzeigen
download
DOWNLOAD
print
DRUCKEN
Titel
Bildgebung des vorderen Kreuzbands und der anterolateralen Rotationsinstabilität des Kniegelenks
Verfasst von
PD Dr. med. Benjamin Fritz
Publikationsdatum
05.03.2024
Verlag
Springer Medizin
Erschienen in
Die Radiologie / Ausgabe 4/2024
Print ISSN: 2731-7048
Elektronische ISSN: 2731-7056
DOI
https://doi.org/10.1007/s00117-024-01278-0
1.
Zurück zum Zitat Claes S, Vereecke E, Maes M et al (2013) Anatomy of the anterolateral ligament of the knee. J Anat 223:321–328CrossRefPubMedPubMedCentral
2.
Zurück zum Zitat Cohen SB, Vanbeek C, Starman JS et al (2009) MRI measurement of the 2 bundles of the normal anterior cruciate ligament. Orthopedics 32:
3.
Zurück zum Zitat Expert Panel on Musculoskeletal I, Taljanovic MS, Chang EY et al (2020) ACR Appropriateness Criteria(R) Acute Trauma to the Knee. J Am Coll Radiol 17:S12–S25CrossRef
4.
Zurück zum Zitat Fritz B, Fritz J (2022) Artificial intelligence for MRI diagnosis of joints: a scoping review of the current state-of-the-art of deep learning-based approaches. Skelet Radiol 51:315–329CrossRef
5.
Zurück zum Zitat Fritz B, Fritz J (2023) MR imaging of acute knee injuries: systematic evaluation and reporting. Radiol Clin North Am 61:261–280CrossRefPubMed
6.
Zurück zum Zitat Fritz B, Parkar AP, Cerezal L et al (2020) Sports imaging of team handball injuries. Semin Musculoskelet Radiol 24:227–245CrossRefPubMed
7.
Zurück zum Zitat Fritz J, Ahlawat S, Fritz B et al (2019) 10-min 3D turbo spin echo MRI of the knee in children: arthroscopy-validated accuracy for the diagnosis of internal derangement. J Magn Reson Imaging 49:e139–e151CrossRefPubMed
8.
Zurück zum Zitat Fritz J, Fritz B, Thawait GG et al (2016) Three-dimensional CAIPIRINHA SPACE TSE for 5‑minute high-resolution MRI of the knee. Invest Radiol 51:609–617CrossRefPubMed
9.
Zurück zum Zitat Fritz J, Fritz B, Zhang J et al (2017) Simultaneous multislice accelerated turbo spin echo magnetic resonance imaging: comparison and combination with in-plane parallel imaging acceleration for high-resolution magnetic resonance imaging of the knee. Invest Radiol 52:529–537CrossRefPubMed
10.
Zurück zum Zitat Germann C, Marbach G, Civardi F et al (2020) Deep convolutional neural network-based diagnosis of anterior cruciate ligament tears: performance comparison of homogenous versus heterogeneous knee MRI cohorts with different pulse sequence protocols and 1.5‑T and 3‑T magnetic field strengths. Invest Radiol 55:499–506CrossRefPubMedPubMedCentral
11.
Zurück zum Zitat Girgis FG, Marshall JL, Monajem A (1975) The cruciate ligaments of the knee joint. Anatomical, functional and experimental analysis. Clin Orthop Relat Res: 216–231
12.
Zurück zum Zitat Hughes JD, Rauer T, Gibbs CM et al (2019) Diagnosis and treatment of rotatory knee instability. J Exp Orthop 6:48CrossRefPubMedPubMedCentral
13.
Zurück zum Zitat Kelly SR, Cutter BM, Huish EG Jr. (2021) Biomechanical effects of combined anterior cruciate ligament reconstruction and anterolateral ligament reconstruction: a systematic review and meta-analysis. Orthop J Sports Med 9:23259671211009879CrossRefPubMedPubMedCentral
14.
Zurück zum Zitat Kijowski R, Fritz J (2023) Emerging technology in musculoskeletal MRI and CT. Radiology 306:6–19CrossRefPubMed
15.
Zurück zum Zitat Kohn L, Rembeck E, Rauch A (2020) Anterior cruciate ligament injury in adults : diagnostics and treatment. Orthopade 49:1013–1028CrossRefPubMedPubMedCentral
16.
Zurück zum Zitat Lin DJ, Walter SS, Fritz J (2023) Artificial intelligence-driven ultra-fast superresolution MRI: 10-fold accelerated musculoskeletal turbo spin echo MRI within reach. Invest Radiol 58:28–42CrossRefPubMed
17.
Zurück zum Zitat Lipke JM, Janecki CJ, Nelson CL et al (1981) The role of incompetence of the anterior cruciate and lateral ligaments in anterolateral and anteromedial instability. A biomechanical study of cadaver knees. J Bone Joint Surg Am 63:954–960CrossRefPubMed
18.
Zurück zum Zitat Musahl V, Herbst E, Burnham JM et al (2018) The anterolateral complex and anterolateral ligament of the knee. J Am Acad Orthop Surg 26:261–267CrossRefPubMed
19.
Zurück zum Zitat Nordenvall R, Bahmanyar S, Adami J et al (2012) A population-based nationwide study of cruciate ligament injury in Sweden, 2001–2009: incidence, treatment, and sex differences. Am J Sports Med 40:1808–1813CrossRefPubMed
20.
Zurück zum Zitat Oei EH, Nikken JJ, Verstijnen AC et al (2003) MR imaging of the menisci and cruciate ligaments: a systematic review. Radiology 226:837–848CrossRefPubMed
21.
Zurück zum Zitat Pao DG (2001) The lateral femoral notch sign. Radiology 219:800–801CrossRefPubMed
22.
Zurück zum Zitat Porrino J Jr., Maloney E, Richardson M et al (2015) The anterolateral ligament of the knee: MRI appearance, association with the Segond fracture, and historical perspective. AJR Am J Roentgenol 204:367–373CrossRefPubMed
23.
Zurück zum Zitat Renstrom P, Ljungqvist A, Arendt E et al (2008) Non-contact ACL injuries in female athletes: an International olympic committee current concepts statement. Br J Sports Med 42:394–412CrossRefPubMed
24.
Zurück zum Zitat Salzler M, Nwachukwu BU, Rosas S et al (2015) State-of-the-art anterior cruciate ligament tears: a primer for primary care physicians. Phys Sportsmed 43:169–177CrossRefPubMed
25.
Zurück zum Zitat Smith TO, Lewis M, Song F et al (2012) The diagnostic accuracy of anterior cruciate ligament rupture using magnetic resonance imaging: a meta-analysis. Eur J Orthop Surg Traumatol 22:315–326CrossRef
26.
Zurück zum Zitat Torabi M, Fu F, Luo J et al (2013) Clinical relevance and imaging features of isolated single bundle anterior cruciate tear and single bundle augmentation. Clin Imaging 37:830–835CrossRefPubMed
27.
Zurück zum Zitat Umans H, Wimpfheimer O, Haramati N et al (1995) Diagnosis of partial tears of the anterior cruciate ligament of the knee: value of MR imaging. AJR Am J Roentgenol 165:893–897CrossRefPubMed
28.
Zurück zum Zitat Van Der List JP, Mintz DN, Difelice GS (2017) The location of anterior cruciate ligament tears: a prevalence study using magnetic resonance imaging. Orthop J Sports Med 5:2325967117709966
29.
Zurück zum Zitat Van Dyck P, Clockaerts S, Vanhoenacker FM et al (2016) Anterolateral ligament abnormalities in patients with acute anterior cruciate ligament rupture are associated with lateral meniscal and osseous injuries. Eur Radiol 26:3383–3391CrossRefPubMed
30.
Zurück zum Zitat Yoon KH, Yoo JH, Kim KI (2011) Bone contusion and associated meniscal and medial collateral ligament injury in patients with anterior cruciate ligament rupture. J Bone Joint Surg Am 93:1510–1518CrossRefPubMed

Neu im Fachgebiet Radiologie

Unnötige Strahlenbelastung bei Schwangeren mit Verdacht auf Lungenembolie?

In der Praxis hapert es an der Umsetzung von Empfehlungen, die bei Lungenembolieverdacht in der Schwangerschaft zunächst strahlungsfreie Diagnostikpfade vorsehen. Dafür sprechen zumindest Daten einer Kohortenstudie aus Kalifornien.

Wie steht es um die Strahlenbelastung des Personals bei distalem radialem Zugang?

Seit einiger Zeit gewinnt der linke distale radiale Zugang für Koronarinterventionen an Bedeutung. In einer aktuellen Studie wurde untersucht, ob es für die Strahlenbelastung von Kardiologinnen und Kardiologen einen Unterschied macht, ob sie diesen oder den „konventionellen“ Zugang wählen.

In engen Grenzen: So sollen Apotheken Rx-Produkte ohne ärztliches Rezept abgeben

Ganz so frei, wie es zunächst den Anschein hatte, wird die eigenverantwortliche Abgabe verschreibungspflichtiger Arzneimittel in der Offizin nun doch nicht aufgesetzt. Das Gesundheitsministerium will den Apothekern Krankheitsbilder vorgeben.

Gretchenfrage: Verkehrstauglichkeit bewerten

Ärzte sind laut Führerscheinverordnung an strikte Richtlinien gebunden, wenn es um die Feststellung der Verkehrstauglichkeit von Patienten geht – oft eine Herausforderung im Versorgungsalltag. Ein rechtlicher Überblick.

Update Radiologie

Bestellen Sie unseren Fach-Newsletter und bleiben Sie gut informiert.

Bildnachweise
Knieverletzungen im MRT/© Fritz B. doi.org/10.1007/s00117-024-01278-0 unter CC-BY 4.0, CT-Pulmonalisangiographie/© Das M et al. doi.org/10.1007/s00117-016-0100-3 unter CC-BY 4.0, Kanüle für Katheterbehandlung/© romaset / stock.adobe.com, Alter Mann in Sprechstunde mit junger Ärztin/© lordn / Stock.adobe.com (Symbolbild mit Fotomodellen)