Zum Inhalt
Erkrankungen der Genitalorgane Lageveränderungen der weiblichen Genitalorgane

Lageveränderungen der weiblichen Genitalorgane

Beckenorganprolaps: Wann operieren, wie rekonstruieren?

Zystozelen, Rektozelen und Enterozelen erfordern eine differenzierte chirurgische Therapie – besonders, wenn konservative Maßnahmen wie Pessare nicht greifen. Eine bebilderte Übersicht über die unterschiedlichen operativen Verfahren und das konkrete chirurgische Vorgehen.

weiterlesen

Meistgelesene Beiträge zum Thema

Kasuistiken

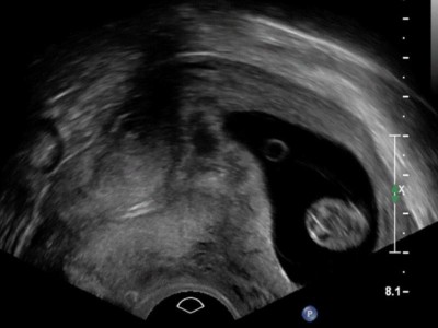
Akuter Harnverhalt in der Frühschwangerschaft

Eine 41-jährige III-Gravida I‑Para – Zustand nach Sectio – stellt sich mit Unterbauchschmerzen und tropfenweiser Harninkontinenz in der 11. Schwangerschaftswoche vor. Es besteht keine vaginale Blutung, gastroenterologische Ursachen sind ausgeschlossen. Was war der Grund für die Beschwerden?

Weitere Artikel aus unseren Fachzeitschriften

Rekonstruktive Beckenbodenchirurgie: So haben Sie Komplikationen im Griff

Die rekonstruktive Beckenbodenchirurgie bietet vielfältige operative Optionen bei Harninkontinenz, Organprolaps und weiteren Beckenbodenstörungen. Für den Therapieerfolg sind eine präzise Diagnostik, konservative Alternativen sowie interdisziplinäre Expertise entscheidend – denn das Komplikationsmanagement beginnt bereits vor dem Eingriff.

Beckenorganprolaps: Wann operieren, wie rekonstruieren?

Zystozelen, Rektozelen und Enterozelen erfordern eine differenzierte chirurgische Therapie – besonders, wenn konservative Maßnahmen wie Pessare nicht greifen. Eine bebilderte Übersicht über die unterschiedlichen operativen Verfahren und das konkrete chirurgische Vorgehen.

Levatoravulsionen: Risikofaktoren, Diagnostik und Prävention

Genitaldeszensus, Inkontinenz und eingeschränkte Lebensqualität. Das sind nur ein paar der möglichen Folgen von Levatoravulsionen nach einer vaginalen Geburt. Welche Risikofaktoren diese Komplikation begünstigen und wie Sie Patientinnen davor schützen können, lesen Sie hier.

Welche Vorteile hat eine Pessartherapie nach einer Geburt oder in der Postmenopause?

Geburt und Menopause hinterlassen Spuren am Beckenboden – akut wie chronisch. Die Pessartherapie kann in beiden Lebensphasen sowohl präventiv als auch therapeutisch unterstützen. Was Sie über deren Einsatz sowie aktuelle Studien wissen sollten, lesen Sie hier.

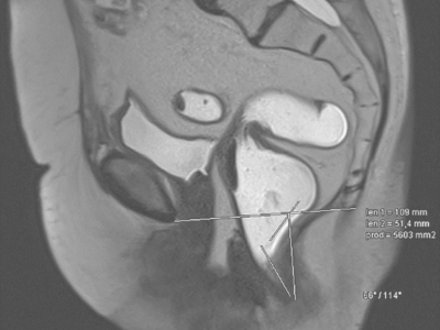
Descensus genitalis und obstruktives Defäkationssyndrom

Häufig geht ein Descensus genitalis auch mit einem obstruktiven Defäkationssyndrom (ODS) oder einer analen Inkontinenz einher. Insbesondere Patientinnen mit kombinierter Symptomatik profitieren von einer interdisziplinären Diagnostik und Therapieplanung. Eine Übersicht über das konservative und operative Vorgehen zeigt dieser Beitrag.

Basisdiagnostik in der Urogynäkologie

Erkrankungen wie Genitalprolaps und Inkontinenz führen oft zu hohem Leidensdruck. Aus Scham sprechen Betroffene jedoch nicht immer über ihre Beschwerden. Dieser Artikel bietet einen Überblick über die gezielte Anamnese und die wichtigsten Untersuchungen in der Urogynäkologie.

Beckenbodentraining - welche Methoden sind sinnvoll?

Regelmäßiges Beckenbodentraining kann viele Beschwerden vorbeugen und entgegenwirken. Worauf kommt es bei dieser oft unterschätzten Therapieform an und wann ist sie besonders hilfreich? Eine Physiotherapeutin plädiert für eine multiprofessionelle Versorgung z.B. bei chronischen Schmerzen, Inkontinenz oder Organprolaps.

Operationsmethoden zur Behebung von Geburtsverletzungen

Nach Entbindungen leiden viele Frauen an einer Senkung und Inkontinenz. Konservative Therapien können oft helfen, manchmal sind aber operative Maßnahmen erforderlich. Spezielle Fragen stellen sich bei jungen Patientinnen mit Kinderwunsch. Antworten darauf sind selten evidenzbasiert.

Wie man den Beckenboden vor Funktionsstörungen schützen kann

Nicht jede Schwangere trägt das gleiche Risiko für das Entstehen von Störungen des Beckenbodens. Je nach Risiko, lassen sich dementsprechend Maßnahmen zur Protektion bereits vor, während oder nach der Geburt anwenden.

Ist der Uteruserhalt eine Modeerscheinung oder medizinisch sinnvoll?

Zur Behandlung eines Genitaldeszensus oder Genitalprolapses werden häufig chirurgische Verfahren angewendet, die sowohl mit als auch ohne Erhalt des Uterus erfolgen können. Doch wann ist der Erhalt wirklich sinnvoll? In diesem Beitrag werden aktuelle Verfahren und ihre Vor- und Nachteile diskutiert.

Nicht gefunden, wonach Sie suchten?

Probieren Sie es mit der Suchfunktion:

Neu im Fachgebiet Gynäkologie und Geburtshilfe

Multiple Sklerose und Schwangerschaft: Was darf man und was nicht?

Was gilt es zu beachten, bei Frauen mit Multipler Sklerose und Kinderwunsch? Auf dem diesjährigen DGN-Kongress wurden u. a. neue Erkenntnisse zur Auswirkung der Reproduktionsmedizin bei MS-Patientinnen sowie bei Schwangeren mit schwerem Verlauf präsentiert.

Podcast

Depression: Die Zeit bis zum Therapieplatz sinnvoll nutzen

Die Zahl der diagnostizierten Depressionen steigt – gleichzeitig fehlen flächendeckend Therapieplätze. Für Betroffene ist die Hausarztpraxis eine erste Anlaufstelle. Doch wie kann dort der passende Raum entstehen? Allgemeinmedizinerin Prof. Dr. med. Anne Simmenroth und Psychologin Maike Krauthausen berichten, wie niederschwellig Hilfe angeboten werden kann.

Zeitschrift für Allgemeinmedizin, DEGAM

Deutliche Rezidivangst bei jeder siebten Brustkrebspatientin

Fünf Jahre nach Diagnose eines frühen Brusttumors leidet jede siebte Langzeitüberlebende unter ausgeprägter Rezidivangst. Besonders betroffen sind Frauen mit Nebenwirkungen der endokrinen Therapie oder ohne eine solche Behandlung.

Tiefere Diagnostik, mehr Therapietargets bei metastasiertem Brustkrebs

Eine umfangreichere molekulardiagnostische Aufarbeitung kann bei metastasiertem Brustkrebs mehr therapierelevante Angriffsstellen aufdecken als das Standardvorgehen, was sich in Behandlungsvorteile übersetzt. Dafür sprechen zumindest die ersten Ergebnisse der deutschen CATCH-Studie.     

Update Gynäkologie

Bestellen Sie unseren Fach-Newsletter und bleiben Sie gut informiert – ganz bequem per eMail.

Bildnachweise
Uterosakralligamente /© T. Fink, Chirurgin und Assistentin bei OP/© Georgiy / stock.adobe.com (Symbolbild mit Fotomodellen), Intrauterinpessar aus Kupfer/© Lalocracio / Getty Images / iStock (Symbolbild mit Fotomodell), Gynäkologische Untersuchung mit Spekulum/© Nomad_Soul / Stock.adobe.com (Symbolbild mit Fotomodellen), Intrauterinpessar/© JPC-PROD / stock.adobe.com (Symbolbild mit Fotomodell), Junge Frau sitzt auf Toilette/© Dragana Gordic / stock.adobe.com (Symbolbild mit Fotomodell), Laparoskopischer Eingriff/© RFBSIP / stock.adobe.com (Symbolbild mit Fotomodellen), Netz und Skalpell/© Beate Panosch / stock.adobe.com, Ärztin zeigt auf Modell eines weiblichen Beckens/© H_Ko / Stock.adobe.com (Symbolbild mit Fotomodell), Frau mit Balsenschwäche/© grinvalds / Getty Images / iStock (Symbolbild mit Fotomodell), Beckenbodentraining/© Mathias Ernert, Atelier Gesundheit, Schwangere macht Gymnastik/© fotostorm / Getty Images / iStock (Symbolbild mit Fotomodell), Transvaginalsonographie in der 11+1SSW/© Springer Medizin, Modell einer Levatoravulsion/© Baeßler K et al. / all rights reserved Springer Medizin Verlag GmbH, Magnetresonanz-Defäkographie des Rektums/© Deniz M, Kornmann M / all rights reserved Springer Medizin Verlag GmbH, Ältere Frau mit Trainerin beim Sport/© jacoblund / Getty Images / iStock (Symbolbild mit Fotomodellen), Laparoskopische Operation/© Iryna / stock.adobe.com (Symbolbild mit Fotomodellen), rotatorischer Descensus urethrae mit einem Meatus urethrae internus/© Anzböck T, Koensgen D: doi.org/10.1007/s00117-023-01215-7 unter CC-BY 4.0, Search Icon, Paar schaut glücklich auf Schwangerschaftstest/© Andrii Zastrozhnov / Stock.adobe.com (Symbolbild mit Fotomodellen), ZFA TALKS - Depression/© (M) seb_ra / Getty Images / iStock (Symbolbild mit Fotomodell) Logo: Springer Medizin Verlag GmbH, Ältere Frau fasst sich an die Brust/© Jelena Stanojkovic / Stock.adobe.com (Symbolbild mit Fotomodell), Person setzt DNS-Probe in Maschine ein/© Vit Kovalcik / stock.adobe.com