Zum Inhalt
Die Chirurgie

Konditionierung und Systemtherapie vor ausgedehnter Leberresektion

Zusammenfassung

Hintergrund

Das Posthepatektomie-Leberversagen (PHLF) stellt nach wie vor die Hauptursache für Morbidität und Mortalität nach ausgedehnten Leberresektionen dar. Die präoperative Konditionierung des zukünftigen Leberrestvolumens („future liver remnant“ [FLR]) ist daher essenziell, um die Resektabilität zu verbessern und Komplikationen zu vermeiden.

Ziel der Arbeit

Ziel dieser Übersichtsarbeit ist die Darstellung und kritische Bewertung aktueller Verfahren der Leberkonditionierung einschließlich interventioneller, chirurgischer und systemischer Strategien.

Material und Methoden

Es erfolgte eine selektive Literaturrecherche in PubMed-gelisteten Datenbanken. Berücksichtigt wurden aktuelle systematische Reviews, randomisierte Studien sowie Registeranalysen zu Portalvenenembolisation (PVE), kombinierter Portal- und Lebervenendeprivation (LVD), „associating liver partition and portal vein ligation for staged hepatectomy“ (ALPPS), selektiver interner Radiotherapie (SIRT) und neoadjuvanten Chemotherapien.

Ergebnisse

Die PVE ist seit Jahrzehnten Standardverfahren mit nachgewiesener Sicherheit und verlässlicher Hypertrophieinduktion, zeigt jedoch Limitierungen durch unzureichendes Wachstum oder Tumorprogress bei bis zu 20 % der Patienten. Die LVD konnte im Vergleich zu PVE in mehreren Studien eine schnellere und ausgeprägtere FLR-Hypertrophie bei vergleichbarer Sicherheit zeigen. ALPPS erreicht die höchste Regenerationsdynamik, ist jedoch mit hoher Morbidität und Mortalität verbunden und erfordert eine strenge Patientenselektion. SIRT („radiation lobectomy“) ermöglicht neben Tumorkontrolle auch eine relevante Hypertrophie, wenngleich prospektive Vergleiche fehlen. Neoadjuvante Chemotherapien, insbesondere FOLFOXIRI plus Bevacizumab oder biomarkerbasierte Therapieselektion, führen bei primär nicht resektablen Metastasen zu hohen Konversions- und Resektionsraten.

Diskussion

Die Evidenz zeigt, dass individualisierte Strategien zur Leberkonditionierung entscheidend sind, um eine sichere Resektion zu ermöglichen. Die Wahl des Verfahrens sollte sich an Patientencharakteristika, Tumorbiologie und interdisziplinären Therapiealgorithmen orientieren.

Redaktion

U. Settmacher, Jena
Die Autoren El-Ahmar und Maike Hermann haben zu gleichen Teilen zum Manuskript beigetragen.
QR-Code scannen & Beitrag online lesen

Hinweis des Verlags

Der Verlag bleibt in Hinblick auf geografische Zuordnungen und Gebietsbezeichnungen in veröffentlichten Karten und Institutsadressen neutral.
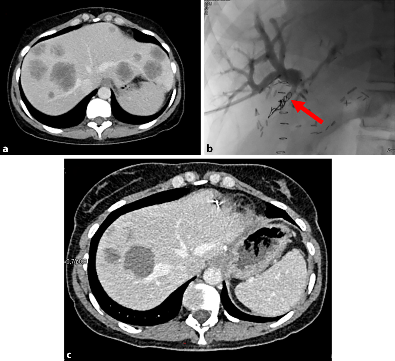
Die stetige Weiterentwicklung der perioperativen Medizin einschließlich der präoperativen Konditionierung und Systemtherapie haben das Management der Patienten mit primären und sekundären Lebertumoren grundlegend verändert. Das Ziel dieser Strategie ist es letztlich, die Resektabilität zu optimieren und dabei das postoperative Risiko eines Posthepatektomie-Leberversagens („posthepatectomy liver failure“ [PHLF]) zu minimieren. Neben der neoadjuvanten Chemotherapie gehören auch interventionelle und operative Verfahren wie die Portalvenenembolisation (PVE), Lebervenendeprivation (LVD), „associating liver partition and portal vein ligation for staged hepatectomy“ (ALPPS) sowie die selektive interne Radiotherapie (SIRT) längst zum Standard, um ein ausreichendes funktionelles Restlebervolumen zu sichern (Abb. 1).
Abb. 1
Mehrzeitige Lebersanierung bei 42-jähriger Patientin mit synchron metastasiertem Sigmakarzinom. Zunächst Resektion des Primarius, gefolgt von Chemotherapie (6 Zyklen FOLFOX + Bevacizumab). Hierunter partielle Remission. Nach 3 Monaten atypische Resektion S II/III und S IVa/b. 1 Woche später Portalvenenembolisation (PVE) rechts. 6 Wochen später Hemihepatektomie rechts. a Leber bei Erstdiagnose mit diffuser Metastasierung. b PVE rechts, roter Pfeil auf den Coils in situ des rechten Pfortaderastes. c Ergebnis nach PVE und Sanierung des linken Leberlappens vor geplanter Hemihepatektomie rechts. (Mit freundl. Genehmigung, © Klinik für Radiologie und Nuklearmedizin, Universitätsklinikum Mannheim)
Bild vergrößern
In den letzten Jahrzehnten nahm die Inzidenz primärer und sekundärer Lebertumoren zu. Die Leberresektion stellt dabei neben der Transplantation den einzigen kurativen Therapieansatz dar [1]. Nach wie vor stellt das PHLF die wesentliche Ursache für Komplikationen und Todesfälle im Anschluss an Major-Leberresektionen dar und bestimmt damit entscheidend die postoperative Morbidität und Mortalität [2]. Im klinischen Alltag wurden über die Jahre unterschiedliche Definitionen zum PHLF verwendet, dazu gehören unter anderem der Model for End Stage Liver Disease(MELD)-Score, die „50–50“-Kriterien (Bilirubin > 50 µmol/l und Prothrombinzeit < 50 % am 5. postoperativen Tag) sowie der Nachweis eines maximalen Bilirubinwerts von > 7 mg/dl [2].
Um eine international einheitliche Nomenklatur zu schaffen, etablierte die International Study Group of Liver Surgery (ISGLS) im Jahr 2011 eine standardisierte Definition, die das PHLF als postoperative Einschränkung der Leberfunktion mit erhöhter INR (International Normalized Ratio) und Bilirubin ab dem 5. postoperativen Tag beschreibt [3]. Den Kriterien der ISGLS nach, tritt ein PHLF zwischen 8 und 12 % der Fälle auf. Risikofaktoren stellen v. a. Major-Leberresektionen, eine neoadjuvante Chemotherapie oder Begleiterkrankungen wie Adipositas, Diabetes mellitus oder eine Leberzirrhose dar. Muss aufgrund des PHLF das therapeutische Vorgehen angepasst werden oder eine Intervention durchgeführt werden (Grad B und C), beträgt die Mortalitätsrate rund 13 % bzw. 54 % [4, 5].
Ein weiterer essenzieller Faktor zur Vermeidung eines PHLF ist das zukünftige Leberrestvolumen („future liver remnant“ [FLR]). Allgemein gilt bei ansonsten unbeeinträchtigtem Leberparenchym ein FLR von etwa 25 % als ausreichend [6]. Besteht eine eingeschränkte Leberfunktion, etwa nach hepatotoxischer Chemotherapie oder bei Steatosis hepatis, sollte der FLR bei etwa 30 % liegen. Bei vorbekannter Leberzirrhose oder einer Cholestase ist ein FLR schon von 40 % notwendig [68].
Jedoch muss auch immer die individuelle Körperkonstitution berücksichtigt werden, um letztlich ein PHLF vermeiden zu können. Dies gilt insbesondere für Patienten mit hohem Body-Mass-Index oder großer Körperoberfläche, sodass hierzu das Konzept des standardisierten FLR (sFLR) entwickelt wurde. Dieser ergibt sich aus dem Verhältnis des in der Computertomographie gemessenen FLR und dem Lebergesamtvolumen („total estimated liver volume“ [TELV]) unter Berücksichtigung der Körperoberfläche [1]. Ein sFLR von > 20 % bei normalem Leberparenchym zeigte dabei eine signifikant geringere Komplikationsrate nach erfolgter Leberresektion [9].
Ein weiterer relevanter und präziser Parameter zur Risikostratifizierung nach PVE ist die kinetische Wachstumsrate („kinetic growth rate“ [KGR]). Diese beschreibt den wöchentlichen Zuwachs des FLR im Verhältnis zum Ausgangsvolumen. So konnte Shindoh 2013 zeigen, dass Patienten mit einer KGR ≥ 2 % pro Woche weder ein PHLF noch eine leberassoziierte 90-Tage-Mortalität entwickelten [10].
Unabhängig von dem Volumen der Leber bzw. dem FLR und der Funktion kann auch das Parenchym bzw. die Syntheseleistung verbessert werden. Dies ist insbesondere bei Patienten mit vermuteter oder bekannter vorbestehender Lebererkrankung oder chemotherapieassoziierter bzw. medikamenteninduzierter Leberschädigung wichtig. Eine klinische Untersuchung und laborbasierte Scores, die die Leberfunktion oder das Vorliegen einer portalen Hypertension widerspiegeln, z. B. Albumin, Bilirubin und die Thrombozytenzahl, unterstützen in der Identifikation von PatientInnen mit erhöhtem Risiko für ein PHLF. Der Goldstandard zur histologischen Qualitätsbeurteilung bleibt die Leberbiopsie, weitere nichtinvasive Verfahren umfassen den Hochfrequenzultraschall und die Elastographie zur Einschätzung von vorliegender Fibrose oder Steatose. Sowohl Steatose als auch Fibrose beinträchtigen die Leberregeneration aufgrund der entzündungsassoziierten chronischen Hypoxie und damit vorliegenden Mikrozirkulationsstörung signifikant. Das Risiko einer PHLF beträgt bei PatientInnen mit vorliegender Steatose 15 %, ohne Steatose 4 %. Des Weiteren ist eine kausale Korrelation zwischen Steatose und Insulinresistenz bekannt, was die Regenerationsfähigkeit ebenfalls beeinträchtigt [39].
Ein standardisierter Score oder ein Goldstandard zum Vorgehen zur Beurteilung der Leberqualität existiert nicht.

Cholestase

Eine Cholestase liegt insbesondere bei perihilären Cholangiokarzinomen oder bei Tumoren, die die zentralen Gallenwege abdrücken, vor. Auch hier sind bei Major-Eingriffen die Morbidität mit bis zu 50 %, die Mortalität mit bis zu 13 % und PHLF mit bis zu 17 % signifikant erhöht. Pathophysiologisch sind die Hepatozyten in ihrer Regenerationsfähigkeit durch den alterierten portalvenösen Fluss, das Fehlen von enterohepatischer Zirkulation und einer reduzierten Produktion proliferativer leberspezifischer Wachstumsfaktoren beeinträchtigt [40].
Bei biliärer Obstruktion vor Resektion sollte eine Drainage, intern mittels Stents oder extern als perkutane transhepatische Drainage (PTCD), erwogen werden. Bei akuter Cholangitis kombiniert mit Cholestase, Mangelernährung, geplanter portalvenöser Embolisation (PVE) oder neoadjuvanter Chemotherapie ist die Indikation zur Drainage und einer Antibiose zu überlegen.
Nach Drainagenanlage wird bei elektiven, größeren Leberresektionen ein längeres Abwarten empfohlen, gemessen an den Cholestase- und Entzündungsparametern, um das PHLF-Risiko zu minimieren. Die aktuelle Literatur sieht hier keine einheitliche feste Zeitlinie vor, die Beurteilung erfolgt individuell. Zuletzt zeigte eine Metaanalyse von 2025 keinen klaren Vorteil in der präoperativen Drainage bei insgesamt erhöhtem postoperativem Risiko. Das Timing und die klare Definierung von möglicherweise profitierenden Patientenkohorten erscheinen essenziell [41]. Bei Cholestase und geplanter Pankreaskopfresektion wird eine präoperative Drainage ab einem Bilirubin > 250 μmol/l (> 15 mg/dl) empfohlen, auch hier ist die Datenlage bei darunter liegenden Werten heterogen [42] und kann nur begrenzt auf Leberresektionen übertragen werden.

Portalvenenembolisation

Seit der Erstbeschreibung durch Makuuchi im Jahr 1984 gilt die PVE als Standardverfahren zur Induktion eines FLR-Wachstums [11]. Dabei werden selektiv intrahepatische Äste der Pfortader durch die Applikation von Embolisationsmaterial verschlossen. Hierdurch wird der portalvenöse Zufluss zu den resektionsgeplanten Lebersegmenten reduziert, was zu einer Atrophie des embolisierten Leberparenchyms führt und gleichzeitig eine kompensatorische Hypertrophie in den zu erhaltenden Segmenten nach sich zieht. Möglich ist dies durch die duale Perfusion der Leber, der V. portae und der A. hepatica, sodass trotz der Okklusion keine Leberinfarkte entstehen [1]. Die chirurgische Ligatur der Pfortader wird in der Regel im Rahmen einer Laparoskopie oder Laparotomie durchgeführt und erfordert dabei eine Präparation des Leberhilus, wodurch eine spätere Resektion technisch komplexer werden kann [12]. Daher erfolgt die PVE heutzutage meist interventionell.
Die PVE gilt als Standardverfahren zur Induktion eines FLR-Wachstums
Der interventionelle Zugangsweg mittels transhepatischer Punktion, hat den offen-chirurgisch, transileokolischen Zugang zuletzt deutlich in den Hintergrund gestellt. Ausschlaggebend hierfür sind zum einen die höheren Risiken eines offenen Eingriffs, zum anderen die im Vergleich signifikant geringere Hypertrophie des FLR, die mit diesen Techniken erzielt wird [13].
Der perkutane Zugangsweg zur PVE kann entweder kontralateral über den FLR oder ipsilateral über die geplant zu resezierenden Segmente erfolgen. In der klinischen Routine wird häufig der ipsilaterale Zugang gewählt, da er ausschließlich das ohnehin zu resezierende Lebergewebe betrifft und so den FLR im Falle von Komplikationen schont [1].
Auch das Embolisationsmaterial scheint einen wesentlichen Einfluss auf das Hypertrophieausmaß zu haben. In der prospektiv randomisierten BestFLR-Studie konnte nachgewiesen werden, dass die Verwendung von N‑Butyl-Cyanoacrylate (NBCA) mit iodisiertem Öl, einer Embolisation mit PVA(Polyvinylalkohol)-Partikeln und Coils signifikant überlegen war. Sowohl die Geschwindigkeit als auch das Ausmaß der Hypertrophie waren in der NBCA-Gruppe höher (57 % vs. 37 % nach 28 Tagen). Des Weiteren lag bereits 14 Tage nach erfolgter PVE bei 87 % der Patienten in der NBCA-Gruppe ein ausreichendes FLR für eine Resektion vor (Vergleichsgruppe lediglich in 53 % der Fälle) [14].
Ein systematisches Review aus 2013 von van Lienden mit etwa 1200 Patienten zeigte eine Durchführbarkeitsrate von fast 99 % mit einer durchschnittlichen kompensatorischen Hypertrophie des FLR von fast 38 % [15].
Bei einer geplanten Hemihepatektomie rechts werden in der Regel die portalvenösen Äste des anterioren und posterioren Pedikels embolisiert. Muss die Resektion jedoch ausgeweitet werden, so müssen zusätzlich die Äste der Segmente IVa und IVb verschlossen werden [1, 16].
Zwar besteht dabei das Risiko, auch Anteile des FLR zu embolisieren, jedoch kann so auch ein signifikant verstärktes Wachstum der Segmente II und III erzielt werden (52,4 % mit und 32,2 % ohne Embolisation von Segment IV) [17].
Evidenzbasiert gilt die PVE als sichere Intervention. In der Analyse von van Lienden betrug die eingriffsbedingte Mortalität lediglich 0,1 %, und die Rate an Major-Komplikationen betrug 0,4 %. Zu den Major-Komplikationen gehören unter anderem die Fehlembolisation von zu erhaltenden portalvenösen Ästen, Gefäßverletzungen, Portal- oder Mesenterialthrombose, portale Hypertension und die Bildung von Biliomen. Minor-Komplikationen mit deutlich erhöhter Inzidenzrate, jedoch in den meisten Fällen selbstlimitierend, sind postinterventionelles Fieber, unspezifische abdominelle Schmerzen und Anstieg der Transaminasen [15].
Allen positiven Aspekten zum Trotz besteht ein wesentlicher Nachteil der PVE in einer potenziellen Verzögerung der Major-Leberesektion. Cassese berichtete 2022 über einen relevanten Anteil von Patienten von bis zu 20 %, die nach erfolgter PVE nicht einer Resektion zugeführt werden konnten (in der Regel 4 bis 6 Wochen nach erfolgter PVE). Als Ursachen hierfür gelten ein unzureichendes Wachstum des FLR oder ein Tumorprogress während des Hypertrophie-bedingten Intervalls [6].

Lebervenendeprivation

Trotz ihres etablierten Stellenwerts führt die PVE nicht bei allen Patienten zu einer ausreichenden und v. a. rechtzeitigen Hypertrophie. Rund ein Fünftel der Patienten kann nach 4 bis 6 Wochen aufgrund eines unzureichenden Volumenzuwachses oder infolge eines Tumorprogresses nicht wie geplant operiert werden [6, 18]. Um dem zu entgegnen, wurde 2016 erstmals die Lebervenendeprivation („liver venous deprivation“ [LVD]) beschrieben. Bei diesem Verfahren wird die PVE mit einer zusätzlichen Embolisation der ipsilateralen Lebervene kombiniert. Ziel ist es, durch gleichzeitige Blockade von portalem Zufluss und venösem Abfluss eine stärkere und schnellere Hypertrophiereaktion des FLR hervorzurufen [19].
Das Prinzip der LVD beruht darauf, durch den kombinierten Verschluss von Pfortader und Lebervene den Schaden im embolisierten Leberareal zu verstärken und damit die regenerative Antwort des kontralateralen Restparenchyms zu stimulieren. Zugleich soll so ein möglicher residualer portaler Zufluss, wie er nach unvollständiger oder zu proximaler PVE auftreten kann, effektiv unterbunden werden. Während eine vollständige PVE zu einem erhöhten arteriellen Zufluss führt, wird dieser bei zusätzlicher Okklusion des venösen Abflusses reduziert, ohne jedoch vollständig unterbunden zu sein. Auf diese Weise wird das Risiko eines schweren ischämischen Schadens mit Abszessbildung vermieden. Insbesondere bei zirrhotischem Parenchym dürften die bereits bestehende Hyperarterialisierung sowie die Vermehrung des peribiliären Gefäßplexus zusätzlich vor ischämischen Ereignissen schützen [20].
Bei der LVD wird die PVE mit einer zusätzlichen Embolisation der ipsilateralen Lebervene kombiniert
Ähnlich zu der PVE wird auch hier ein ultraschallgestützter transhepatischer Zugang gewählt. Nach durchgeführter PVE über den gleichen Zugang wird anschließend die rechte Lebervene verschlossen (mittels Amplatzer-II-Plug) [19].
Limitierend ist das Risiko einer Migration des Embolisats über hepatische Kollateralen sowie der Notwendigkeit multipler transhepatischer Zugänge bei anatomischen Varianten, die bei bis zu 70 % der Patienten vorkommen können. Das wiederum kann zu einer unzureichenden Hypertrophie des FLR führen [21, 22]. Als Weiterentwicklung dieser Technik gilt der transjuguläre Zugang über die V. jugularis interna. Dabei können mehrere Lebervenen und Varianten embolisiert werden. Durch die distale Platzierung und Stabilisierung der Plugs wird zudem das Risiko einer zentralen Migration reduziert [22].
Erste klinische Studien bestätigen die Grundidee dieser neuen Technik. Guiu konnte bereits 2020 positive Unterschiede der LVD im Vergleich zur PVE nachweisen. Dabei wies die LVD gegenüber der PVE einen signifikant höheren funktionellen Zugewinn des FLR auf, der bereits in der ersten 3 Wochen nach der Intervention nachweisbar war (Tag 7: 54,3 % vs. 23,1 %; Tag 14: 56,1 % vs. 17,6 %; Tag 21: 63,9 % vs. 29,8 %) [21].
In einer retrospektiven Analyse von Cassese aus dem Jahr 2023 zeigte sich ein signifikanter Volumenzuwachs des FLR im Vergleich zur PVE (durchschnittlich 49 % vs. 27 %, p = 0,01), jedoch ohne Unterschiede bei der perioperativen Morbidität oder dem „overall survival“ (OS) bzw. „disease-free survival“ (DFS) [6].
Gestützt werden diese Ergebnisse durch ein systematisches Review und eine Metaanalyse mit fast 600 Patienten von 2024. Yang konnte dabei ebenfalls signifikante Unterschiede im Vergleich zur PVE nachweisen. Diese Unterschiede zeigten sowohl eine erhöhte Resektionsrate (OR [Odds Ratio] 1,89; 95 % CI [Konfidenzintervall] 1,13–3,15; p = 0,01) als auch eine schnellere KGR (MD [„mean deviation“] 1,37; 95 % CI 0,31–2,42; p = 0,01) bei niedrigerer Rate an PHLF als nach erfolgter PVE (OR 0,45; 95 % CI 0,22–0,91; p = 0,03). Keine Unterschiede der beiden Interventionen ergaben sich in Bezug auf die postinterventionellen Komplikationen (OR 1,35; 95 % CI 0,66–2,74), die allgemeine postoperative Komplikationsrate (OR 1,09; 95 % CI 0,68–1,75), die Major- (Clavien-Dindo ≥ III) Komplikationsrate (OR 0,70; 95 % CI 0,43–1,14) sowie die 90-Tage-Mortalität (OR 0,38; 95 % CI 0,13–1,09) [23].
Damit deutet die aktuelle Evidenz darauf hin, dass LVD in Kombination mit PVE die alleinige PVE in ihrer Wirksamkeit übertrifft, ohne die Sicherheit zu kompromittieren.

„Associating liver partition and portal vein ligation for staged hepatectomy“

ALPPS stellt ein zweizeitiges chirurgisches Verfahren dar, das entwickelt wurde, um bei grenzwertigem zukünftigem Leberrestvolumen (FLR) eine besonders schnelle Hypertrophie zu erreichen. Erstmals 2007 beschrieben, kombiniert die Methode im ersten Schritt die Unterbindung der portalvenösen Zuflüsse auf der Resektionsseite mit einer In-situ-Parenchymdurchtrennung entlang der geplanten Resektionslinie. Dadurch wird der gesamte portalvenöse Blutfluss in das verbleibende Leberparenchym umgeleitet und ein ausgeprägter Stimulus für das Wachstum des FLR erzeugt. Die zweite Operation mit Vervollständigung der Hepatektomie folgt in der Regel innerhalb von 7 bis 10 Tagen [24, 25].
Die operative Durchführung von ALPPS variiert zwischen den Zentren erheblich, was v. a. dem Bestreben geschuldet ist, die nach wie vor hohe Morbidität und Mortalität des Verfahrens zu senken [26]. Nach dem klassischen Vorgehen haben sich zahlreiche Modifikationen etabliert, darunter „partial ALPPS“, radiofrequenzassistierte Parenchymteilung (RALPPS), „Mini-ALPPS“, anteriorer Zugang, hybride Ansätze sowie die Tourniquet-Technik. Auch die Indikationsstellung ist uneinheitlich [27].
Im Vergleich zu den anderen etablierten Verfahren zur Präkonditionierung der Leber verdeutlichen die Daten aus dem internationalen ALPPS-Register, in dem bis 2020 mehr als 1200 Patienten dokumentiert wurden, sowohl das Potenzial als auch die Limitationen des Verfahrens. Eine Zunahme des FLR von rund 80 % im Median macht ALPPS zu einer der effektivsten Methoden zur Induktion einer kontralateralen Hypertrophie.
ALPPS ist eine der effektivsten Methoden zur Induktion einer kontralateralen Hypertrophie
Ein wesentlicher Vorteil von ALPPS liegt im kurzen Intervall zwischen den beiden Operationsschritten, das in der Regel nur 1 bis 2 Wochen beträgt, wohingegen bei klassischen zweizeitigen Hepatektomien („two-staged hepatectomy“ [TSH]) meist 4 bis 6 Wochen vergehen [26]. Dadurch lassen sich beide Eingriffe im Rahmen eines stationären Aufenthaltes durchführen, und die Rate der Komplettierung der zweiten Operation liegt bei nahezu 100 % [2, 26]. Demgegenüber ist die TSH durch das Risiko eines Tumorprogresses im Intervall belastet, was zu Abbruchraten von bis zu 36 % führen kann. Mehrere Studien bestätigen zudem eine deutlich stärkere Hypertrophie des FLR nach ALPPS im Vergleich zu TSH [28, 29]. In der prospektiv randomisierten LIGRO-Studie zeigte sich eine signifikant höhere Resektionsrate für ALPPS (92 % vs. 57 %) bei vergleichbarer Morbidität und Mortalität [30].
Aufgrund dieser hohen Regenerationsdynamik wird ALPPS zunehmend auch als Salvage-Strategie für Patienten diskutiert, die nach PVE keine ausreichende Hypertrophie erzielen. So konnten in einer Subgruppe von 22 Patienten aus dem internationalen ALPPS-Register nach frustraner PVE mittels des ALPPS-Verfahrens erfolgreich operiert werden. Der mediane FLR-Zuwachs betrug dabei 88 % ohne Nachweis von PHLF oder einer Mortalität innerhalb von 90 Tagen [31].
Trotz der Vorteile ist ALPPS weiterhin mit erheblichen Nachteilen behaftet, insbesondere im Hinblick auf die hohe Morbidität- und Mortalitätsrate. Kritisch diskutiert wird, dass die rasche Volumenzunahme des FLR nicht zwingend mit einer gleichwertigen funktionellen Verbesserung einhergeht. So berichtete Sparrelid bereits 2017 über einen medianen Zuwachs des FLR von 56,7 % innerhalb von 6 Tagen nach dem ersten Eingriff, während die funktionelle Zunahme nur 28,7 % betrug [29].
Eine multizentrische Untersuchung mit 60 Patienten bestätigte diese Diskrepanz. Das mediane FLR-Volumen nahm dabei um 78 % zu, die gemessene Leberfunktion jedoch lediglich um 29 % [32].
Erste Daten aus dem internationalen Register gaben zudem eine Rate schwerer Komplikationen (Clavien-Dindo ≥ IIIb) von 27 % und eine 90-Tage-Mortalität von 9 % an. Als unabhängige Risikofaktoren für schwere Komplikationen wurden u. a. intraoperative Bluttransfusionen, Operationszeiten von mehr als 300 min im ersten Schritt, ein Alter über 60 Jahren sowie nichtkolorektale Grunderkrankungen identifiziert [33]. Darüber hinaus zeigte die Analyse von Wanis erhebliche Unterschiede zwischen internationalen Zentren. Die 90-Tage-Mortalität variierte zwischen 4,2 und 29,1 %, der Comprehensive Complication Index zwischen 17 und 49,8. Auffällig war hierbei eine Assoziation zwischen höherem Fallaufkommen und geringerer Mortalität [34]. Entscheidend hierbei ist die Patientenselektion [24].

Selektive interne Radiotherapie

Die selektive interne Radiotherapie ist ein weiteres Verfahren, das sich zur präoperativen Konditionierung etabliert hat. Dabei erfolgt über einen transfemoralen Zugang die intraarterielle Applikation von Yttrium-90-Mikrosphären in den tumortragenden Leberlappen. Das Ziel ist eine lokale Hochdosisbestrahlung des betroffenen Lebersegments bei gleichzeitiger Schonung des kontralateralen Parenchyms. Wird die SIRT einseitig appliziert („radiation lobectomy“), kommt es im bestrahlten Areal zur Tumorkontrolle und Parenchymschädigung, während das FLR eine kompensatorische Hypertrophie entwickelt [35].
Eine systematische Übersichtsarbeit von Birgin et al. aus dem Jahr 2020, die 16 Studien mit insgesamt 602 Patientinnen und Patienten einbezog, konnte diesen doppelten Nutzen belegen. Die mediane KGR des FLR lag zu Beginn bei etwa 0,7 % pro Woche, nahm im weiteren Verlauf jedoch ab. Dennoch wurde ein relativer Volumenzuwachs von über 40 % insbesondere innerhalb der ersten 9 Monate nach SIRT beschrieben. Interessanterweise waren die Hypertrophieraten bei Patientinnen und Patienten mit Leberzirrhose ähnlich wie in nichtzirrhotischen Kollektiven. Das Verhältnis von FLR zum Gesamtlebervolumen („total liver volume“ [TLV]) verbesserte sich von initial 23,4–49,6 % auf 27,0–68,6 % nach erfolgter Intervention [12].
Auch die onkologischen Ergebnisse unterstreichen das Potenzial dieser Methode: In den ausgewerteten Studien wurde von einer lokalen Tumorkontrollrate von 84 % im behandelten Areal berichtet. Zudem konnte etwa ein Drittel der zunächst nicht resektablen Patienten durch die Kombination aus Tumorregression und FLR-Hypertrophie einer kurativen Resektion zugeführt werden.
Um die Rolle der SIRT im Vergleich zu etablierten Verfahren wie der PVE oder LVD einzustufen, bedarf es jedoch noch prospektiver, kontrollierter Studien.

Neoadjuvante Systemtherapie

Neben den interventionellen und chirurgischen Verfahren zur Präkonditionierung stellt auch die systemische Therapie einen entscheidenden Ansatz dar, um die Resektabilität bei primär nicht operablen Lebermetastasen zu verbessern. Durch eine effektive Tumorkontrolle und gezieltes Downstaging kann eine zunächst nicht mögliche Leberresektion in einen kurativen Therapieansatz überführt werden.
In der prospektiv randomisierten CAIRO5-Studie der Dutch Colorectal Cancer Study Group wurde erstmals ein strikt definiertes Kollektiv von Patienten mit primär nicht resektablen, leberlimitierten Metastasen randomisiert behandelt. Je nach molekularem Subtyp erhielten die Patienten intensivierte Chemotherapie (FOLFOXIRI) in Kombination mit Bevacizumab oder Cetuximab. Die Studie konnte zeigen, dass durch biomarkergeleitete Therapieselektion und Chemointensivierung hohe Ansprechraten und relevante sekundäre Resektionsraten erreicht werden können, wodurch sich die Perspektive der chirurgischen Therapie erheblich erweitert [36].
Diese Ergebnisse stehen im Einklang mit einem systematischen Review von Tomasello, die den Einsatz von FOLFOXIRI in Kombination mit Bevacizumab als besonders wirksame Konversionsstrategie herausstellte. Unter Einbeziehung von 11 Studien mit insgesamt 889 Patienten erreichte diese Kombination eine objektive Ansprechrate („objective response rate“ [ORR]) von 69 %, eine Resektionsrate von 39 % und eine R0-Resektionsrate von 28 %. Das mediane Gesamtüberleben lag bei knapp 30 Monaten, das progressionsfreie Überleben bei rund 12 Monaten. Besonders ausgeprägt war der Effekt in leberlimitierten Kollektiven, die eine deutlich höhere Wahrscheinlichkeit für eine sekundäre Resektion aufwiesen [37].
mFOLFOX6 mit Bevacizumab gilt als Standard für molekular entsprechend selektionierte Patienten
Bei Patienten mit RAS-mutierter Erkrankung, bei denen eine Anti-EGFR(„epidermal growth factor receptor“)-Therapie nicht infrage kommt, liefert die randomisierte Phase-III-Studie BECOME entscheidende Evidenz. Hier führte die Kombination von mFOLFOX6 mit Bevacizumab im Vergleich zur alleinigen Chemotherapie zu signifikant höheren Ansprechraten und Resektionsmöglichkeiten. So konnte die R0-Resektionsrate mit Bevacizumab von 5,8 % auf 22,3 % gesteigert werden. Auch das progressionsfreie und das Gesamtüberleben verbesserten sich signifikant, womit diese Strategie als Standard für molekular entsprechend selektionierte Patienten gilt [38].

Fazit für die Praxis

  • Leberparenchym-schädigende Noxen sind abzusetzen, eine Infektion ist auszubehandeln und eine Cholestase abzuleiten.
  • Portalvenenembolisation (PVE) ist etabliert und sicher, erreicht aber nicht in allen Fällen eine ausreichende Hypertrophie.
  • Lebervenendeprivation (LVD) zeigt schnellere und stärkere Hypertrophie bei vergleichbarer Sicherheit.
  • „Associating liver partition and portal vein ligation for staged hepatectomy“ (ALPPS) bietet die schnellste Hypertrophie, erfordert jedoch strenge Patientenselektion.
  • Selektive interne Radiotherapie (SIRT) kombiniert Tumorkontrolle mit FLR(zukünftiges Leberrestvolumen)-Hypertrophie und kann die Resektabilität erweitern.
  • Neoadjuvante Chemotherapien ermöglichen Downstaging und erhöhen die Resektionsrate erheblich.
  • Eine individualisierte, interdisziplinär abgestimmte Strategie ist entscheidend für optimale Ergebnisse.

Einhaltung ethischer Richtlinien

Interessenkonflikt

M. El-Ahmar, M. Hermann, S. Abdelhadi, F. Sandra-Petrescu und C. Reißfelder geben an, dass kein Interessenkonflikt besteht.
Für diesen Beitrag wurden von den Autor/-innen keine Studien an Menschen oder Tieren durchgeführt. Für die aufgeführten Studien gelten die jeweils dort angegebenen ethischen Richtlinien.
Open Access Dieser Artikel wird unter der Creative Commons Namensnennung - Nicht kommerziell - Keine Bearbeitung 4.0 International Lizenz veröffentlicht, welche die nicht-kommerzielle Nutzung, Vervielfältigung, Verbreitung und Wiedergabe in jeglichem Medium und Format erlaubt, sofern Sie den/die ursprünglichen Autor(en) und die Quelle ordnungsgemäß nennen, einen Link zur Creative Commons Lizenz beifügen und angeben, ob Änderungen vorgenommen wurden. Die Lizenz gibt Ihnen nicht das Recht, bearbeitete oder sonst wie umgestaltete Fassungen dieses Werkes zu verbreiten oder öffentlich wiederzugeben. Die in diesem Artikel enthaltenen Bilder und sonstiges Drittmaterial unterliegen ebenfalls der genannten Creative Commons Lizenz, sofern sich aus der Abbildungslegende nichts anderes ergibt. Sofern das betreffende Material nicht unter der genannten Creative Commons Lizenz steht und die betreffende Handlung nicht nach gesetzlichen Vorschriften erlaubt ist, ist für die oben aufgeführten Weiterverwendungen des Materials die Einwilligung des jeweiligen Rechteinhabers einzuholen. Weitere Details zur Lizenz entnehmen Sie bitte der Lizenzinformation http://creativecommons.org/licenses/by-nc-nd/4.0/.

Hinweis des Verlags

Der Verlag bleibt in Hinblick auf geografische Zuordnungen und Gebietsbezeichnungen in veröffentlichten Karten und Institutsadressen neutral.
download
DOWNLOAD
print
DRUCKEN
Titel
Konditionierung und Systemtherapie vor ausgedehnter Leberresektion
Verfasst von
Dr. med. Mohammad El-Ahmar
Dr. med. Maike Hermann
Dr. med. Shaima Abdelhadi
PD Dr. med. Flavius Sandra-Petrescu
Prof. Dr. med. Christoph Reißfelder, MHBA
Publikationsdatum
29.10.2025
Verlag
Springer Medizin
Erschienen in
Die Chirurgie
Print ISSN: 2731-6971
Elektronische ISSN: 2731-698X
DOI
https://doi.org/10.1007/s00104-025-02400-1
1.
Zurück zum Zitat Charles J et al (2023) Portal Vein Embolization: Rationale, Techniques, and Outcomes to Maximize Remnant Liver Hypertrophy with a Focus on Contemporary Strategies. Life (basel) 13(2)
2.
Zurück zum Zitat Wong P et al (2025) Augmenting the Future Liver Remnant Prior to Major Hepatectomy: A Review of Options on the Menu. Ann Surg Oncol 32(8):5694–5709CrossRefPubMedPubMedCentral
3.
Zurück zum Zitat Rahbari NN et al (2011) Posthepatectomy liver failure: a definition and grading by the International Study Group of Liver Surgery (ISGLS). Surgery 149(5):713–724CrossRefPubMed
4.
Zurück zum Zitat Jarnagin WR et al (2002) Improvement in perioperative outcome after hepatic resection: analysis of 1,803 consecutive cases over the past decade. Ann Surg 236(4):397–406 (discussion 406–7)CrossRefPubMedPubMedCentral
5.
Zurück zum Zitat Piccus R et al (2023) Significance of predicted future liver remnant volume on liver failure risk after major hepatectomy: a case matched comparative study. Front Surg 10:1174024CrossRefPubMedPubMedCentral
6.
Zurück zum Zitat Cassese G et al (2023) Liver Venous Deprivation Versus Portal Vein Embolization Before Major Hepatectomy for Colorectal Liver Metastases: A Retrospective Comparison of Short- and Medium-Term Outcomes. J Gastrointest Surg 27(2):296–305CrossRefPubMed
7.
Zurück zum Zitat de Meijer VE et al (2010) Systematic review and meta-analysis of steatosis as a risk factor in major hepatic resection. Br J Surg 97(9):1331–1339CrossRefPubMed
8.
Zurück zum Zitat Zorzi D et al (2007) Chemotherapy-associated hepatotoxicity and surgery for colorectal liver metastases. Br J Surg 94(3):274–286CrossRefPubMed
9.
Zurück zum Zitat Ribero D, Chun YS, Vauthey JN (2008) Standardized liver volumetry for portal vein embolization. Semin intervent Radiol 25(2):104–109CrossRefPubMedPubMedCentral
10.
Zurück zum Zitat Shindoh J et al (2013) Kinetic growth rate after portal vein embolization predicts posthepatectomy outcomes: toward zero liver-related mortality in patients with colorectal liver metastases and small future liver remnant. J Am Coll Surg 216(2):201–209CrossRefPubMed
11.
Zurück zum Zitat Makuuchi M et al (1984) Preoperative Transcatheter Embolization Of The Portal Venous Branch For Patients Receiving Extended Lobectomy Due To The Bile Duct Carcinoma. J Japanese Pract Surg Soc 45(12):1558–1564
12.
Zurück zum Zitat Birgin E et al (2020) Contralateral Liver Hypertrophy and Oncological Outcome Following Radioembolization with (90)Y-Microspheres: A Systematic Review. Cancers (basel) 12(2)
13.
Zurück zum Zitat Abulkhir A et al (2008) Preoperative portal vein embolization for major liver resection: a meta-analysis. Ann Surg 247(1):49–57CrossRefPubMed
14.
Zurück zum Zitat Luz JHM et al (2021) BestFLR Trial: Liver Regeneration at CT before Major Hepatectomies for Liver Cancer—A Randomized Controlled Trial Comparing Portal Vein Embolization with N‑Butyl-Cyanoacrylate Plus Iodized Oil versus Polyvinyl Alcohol Particles Plus Coils. Radiology 299(3):715–724CrossRefPubMed
15.
Zurück zum Zitat van Lienden KP et al (2013) Portal vein embolization before liver resection: a systematic review. Cardiovasc Intervent Radiol 36(1):25–34CrossRefPubMed
16.
Zurück zum Zitat Kishi Y et al (2009) Three hundred and one consecutive extended right hepatectomies: evaluation of outcome based on systematic liver volumetry. Ann Surg 250(4):540–548CrossRefPubMed
17.
Zurück zum Zitat Ito J et al (2020) Evaluation of segment 4 portal vein embolization added to right portal vein for right hepatic trisectionectomy: A retrospective propensity score-matched study. J Hepatobiliary Pancreat Sci 27(6):299–306CrossRefPubMed
18.
Zurück zum Zitat Alvarez FA et al (2018) Natural history of portal vein embolization before liver resection: a 23-year analysis of intention-to-treat results. Surgery 163(6):1257–1263CrossRefPubMed
19.
Zurück zum Zitat Guiu B et al (2016) Simultaneous trans-hepatic portal and hepatic vein embolization before major hepatectomy: the liver venous deprivation technique. Eur Radiol 26(12):4259–4267CrossRefPubMed
20.
Zurück zum Zitat Madoff DC et al (2020) Improving the Safety of Major Resection for Hepatobiliary Malignancy: Portal Vein Embolization and Recent Innovations in Liver Regeneration Strategies. Curr Oncol Rep 22(6):59CrossRefPubMed
21.
Zurück zum Zitat Guiu B et al (2020) Liver venous deprivation versus portal vein embolization before major hepatectomy: future liver remnant volumetric and functional changes. Hepatobiliary Surg Nutr 9(5):564–576CrossRefPubMedPubMedCentral
22.
Zurück zum Zitat Degrauwe N et al (2021) Induction of Robust Future Liver Remnant Hypertrophy Before Hepatectomy With a Modified Liver Venous Deprivation Technique Using a Trans-venous Access for Hepatic Vein Embolization. Front Radiol 1:736056CrossRefPubMedPubMedCentral
23.
Zurück zum Zitat Yang L et al (2024) Comparison of liver venous deprivation with portal vein embolization alone in patients undergoing major liver resection: a systematic review and meta-analysis. HPB 26(11):1329–1338CrossRefPubMed
24.
Zurück zum Zitat Lang H, Baumgart J, Mittler J (2020) Associated Liver Partition and Portal Vein Ligation for Staged Hepatectomy (ALPPS) Registry: What Have We Learned? Gut Liver 14(6):699–706CrossRefPubMedPubMedCentral
25.
Zurück zum Zitat Schnitzbauer AA et al (2018) Indicating ALPPS for Colorectal Liver Metastases: A Critical Analysis of Patients in the International ALPPS Registry. Surgery 164(3):387–394CrossRefPubMed
26.
Zurück zum Zitat Memeo R et al (2021) Optimization of the future remnant liver: review of the current strategies in Europe. Hepatobiliary Surg Nutr 10(3):350–363CrossRefPubMedPubMedCentral
27.
Zurück zum Zitat Buac S et al (2016) The many faces of ALPPS: surgical indications and techniques among surgeons collaborating in the international registry. Hpb (oxford) 18(5):442–448CrossRefPubMed
28.
Zurück zum Zitat Zhou Z et al (2017) Associating liver partition and portal vein ligation for staged hepatectomy versus conventional two-stage hepatectomy: a systematic review and meta-analysis. World J Surg Oncol 15(1):227CrossRefPubMedPubMedCentral
29.
Zurück zum Zitat Sparrelid E et al (2017) Dynamic Evaluation of Liver Volume and Function in Associating Liver Partition and Portal Vein Ligation for Staged Hepatectomy. J Gastrointest Surg 21(6):967–974CrossRefPubMedPubMedCentral
30.
Zurück zum Zitat Sandström P et al (2018) ALPPS Improves Resectability Compared With Conventional Two-stage Hepatectomy in Patients With Advanced Colorectal Liver Metastasis: Results From a Scandinavian Multicenter Randomized Controlled Trial (LIGRO Trial). Ann Surg 267(5):833–840CrossRefPubMed
31.
Zurück zum Zitat Enne M et al (2017) ALPPS as a salvage procedure after insufficient future liver remnant hypertrophy following portal vein occlusion. Hpb (oxford) 19(12):1126–1129CrossRefPubMed
32.
Zurück zum Zitat Olthof PB et al (2017) Hepatobiliary scintigraphy to evaluate liver function in associating liver partition and portal vein ligation for staged hepatectomy: Liver volume overestimates liver function. Surgery 162(4):775–783CrossRefPubMed
33.
Zurück zum Zitat Schadde E et al (2014) Early survival and safety of ALPPS: first report of the International ALPPS Registry. Ann Surg 260(5):829–836 (discussion 836–8)CrossRefPubMed
34.
Zurück zum Zitat Wanis KN et al (2021) Variation in complications and mortality following ALPPS at early-adopting centers. Hpb (oxford) 23(1):46–55CrossRefPubMed
35.
Zurück zum Zitat Lee IJ, Kim H‑C (2025) Optimizing Yttrium-90 Radioembolization Dosimetry for Hepatocellular Carcinoma: A Korean Perspective. Korean J Radiol 26(7):688–703CrossRefPubMedPubMedCentral
36.
Zurück zum Zitat Bond MJG et al (2023) First-line systemic treatment strategies in patients with initially unresectable colorectal cancer liver metastases (CAIRO5): an open-label, multicentre, randomised, controlled, phase 3 study from the Dutch Colorectal Cancer Group. Lancet Oncol 24(7):757–771CrossRefPubMed
37.
Zurück zum Zitat Tomasello G et al (2017) FOLFOXIRI Plus Bevacizumab as Conversion Therapy for Patients With Initially Unresectable Metastatic Colorectal Cancer: A Systematic Review and Pooled Analysis. JAMA Oncol 3(7):e170278CrossRefPubMedPubMedCentral
38.
Zurück zum Zitat Tang W et al (2020) Bevacizumab Plus mFOLFOX6 Versus mFOLFOX6 Alone as First-Line Treatment for RAS Mutant Unresectable Colorectal Liver-Limited Metastases: The BECOME Randomized Controlled Trial. J Clin Oncol 38(27):3175–3184CrossRefPubMed
39.
Zurück zum Zitat Capobianco I, Strohäker J (2019) Präkonditionierung der Leber. Chirurg. https://doi.org/10.1007/s00104-019-0926-0CrossRefPubMed
40.
Zurück zum Zitat Yokoyama Y, Nagino M, Nimura Y (2007) Mechanism of impaired hepatic regeneration in cholestatic liver. J Hepatobiliary Pancreat Surg 14(2):159–166. https://doi.org/10.1007/s00534-006-1125-1CrossRefPubMed
41.
Zurück zum Zitat Zhang B, Lang Z, Zhu K, Luo W, Zhao Z, Zhang Z, Wang Z (2025) Whether preoperative biliary drainage leads to better patient outcomes of pancreaticoduodenectomy: a meta-analysis and systematic review. BMC Gastroenterol 25(1):161. https://doi.org/10.1186/s12876-025-03761-xCrossRefPubMedPubMedCentral
42.
Zurück zum Zitat van Gils L, Verbeek R, Wellerdieck N, Bollen T, van Leeuwen M, Schwartz M, Vleggaar F, Molenaar IQQ, van Santvoort H, van Hooft J, Verdonk R, Weusten B (2022) Regional Academic Cancer Center Utrecht (RAKU). Preoperative biliary drainage in severely jaundiced patients with pancreatic head cancer: A retrospective cohort study. Hpb (oxford) 24(11):1888–1897. https://doi.org/10.1016/j.hpb.2022.05.1345CrossRefPubMed

Neu im Fachgebiet Chirurgie

Liposuktion therapiert das Lipödem am effektivsten

Für die Therapie von Patientinnen – betroffen sind fast ausschließlich Frauen – mit Lipödem existiert eine Reihe von Optionen, mit einem eindeutigen Favoriten in puncto Effektivität. Ein großes Problem ist jedoch die korrekte Diagnose.

Wie Chirurgen durch Missgeschicke zu zweiten Opfern werden

Wenn sich in der Medizin verhängnisvolle Komplikationen oder Fehler ereignen, gibt es neben den betroffenen Patienten oft ein zweites Opfer: die behandelnden Ärztinnen oder Ärzte. Eine dafür besonders anfällige Disziplin ist die Chirurgie.

Machen 5-Alpha-Reduktase-Hemmer die TURP sicherer?

Ergebnisse einer Metaanalyse sprechen dafür, dass eine adjuvante präoperative Behandlung mit 5-Alpha-Reduktase-Inhibitoren bei Männern mit benigner Prostatahyperplasie zu einem geringeren Blutverlust während einer transurethralen Prostataresektion (TURP) beitragen kann.

Wenn die Teestunde in der Notaufnahme endet

Den heißen Tee in der Hand und die Wärmflasche auf dem Bauch: Gerade im Winter bringt man solche Situationen im Allgemeinen mit Wohlbehangen in Verbindung. Ein chirurgisches Team warnt jedoch mit einer Serie von Verbrühungsfällen vor Unachtsamkeit.

Update Chirurgie

Bestellen Sie unseren Fach-Newsletter und bleiben Sie gut informiert.

Bildnachweise
Arzt stützt sich nachdenklich ab/© Wavebreakmedia / Getty Images / iStock (Symbolbild mit Fotomodell), Operation/© santypan / stock.adobe.com (Symbolbild mit Fotomodellen), Mann niest in Ellbogen/© Drazen Zigic / Getty Images / iStock (Symbolbild mit Fotomodell)