Zum Inhalt
Hernienchirurgie Hernienchirurgie der Leiste

Hernienchirurgie der Leiste

Welche Netze sind die besten bei der Leistenhernien-Op.?

Werden Inguinalhernien laparoskopisch mittels Netzverstärkung korrigiert, sind synthetische Netze biologischen aus einer Kollagenmatrix überlegen: Die Rezidivrate nach zwei Jahren und die Schmerzen in der Woche nach dem Eingriff sind deutlich geringer.

weiterlesen

Kasuistiken

Relikt aus der Kindheit verursacht Leistenschmerz bei Frau

Eine Schwellung bis unter das linke Leistenband nimmt bei einer 64-jährigen Patientin seit einigen Monaten immer mehr zu, so wie ihre Schmerzen in den letzten Wochen. Eine sichtbare Rötung oder Überwärmung ist nicht vorhanden, aber eine kleine Bruchlücke tastbar. Ursache war etwas, was eigentlich im ersten Lebensjahr verschwunden sein sollte.

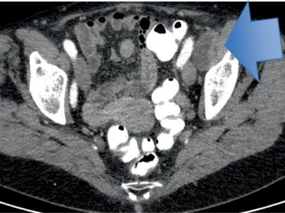
Femoralhernie? Lymphknoten? Appendix? Dieser Fall ist eine Rarität

Der Patient ist 80 Jahre alt und stellt sich aufgrund einer seit drei Jahren bestehenden, nur punktuell schmerzenden Schwellung im Bereich der rechten Leiste vor. Eine Lymphknotenschwellung ist es nicht. In der CT des Abdomens wird eine Hernierung von intraperitonealem Fett mit der Appendix in einer Inguinalhernie festgestellt.

Seltener Befund: Als Skrotalhernie getarnter maligner Tumor

Ein 63-jähriger Patient stellte sich mit einer seit 8 Monaten größenprogredienten Raumforderung im rechten Skrotum ambulant urologisch vor. Er habe keine Schmerzen, sei aber inzwischen deutlich eingeschränkt in der Bewegung und insbesondere beim Sitzen, was seine berufliche Tätigkeit als Baggerfahrer unmöglich mache. Wie lautet Ihre Diagnose?

Weitere Artikel aus unseren Fachzeitschriften

Die operative Versorgung von Rezidivleistenhernien nach endoskopischer Vor-OP in TEP-Technik (RE-TEP)

Hernienoperationen zählen zu den häufigsten operativen Eingriffen in der Allgemein- und Viszeralchirurgie weltweit. In Deutschland beträgt ihr Anteil mit einer Eingriffszahl von etwa 300.000 bis zu 15 % aller viszeralchirurgischen Operationen und …

Lernen von anderen – Semitendinosus-Sehnen-Netz für die Leistenhernienoperation (HoTT-TAPP)

Weltweit werden jedes Jahr mehr als 20 Mio. Leistenhernien operiert [ 1 ]. Das Lebenszeitrisiko für die Entwicklung eines symptomatischen Leistenbruchs liegt bei Männern bei etwa 27 % und bei Frauen bei 3 %. Damit gehört die operative Versorgung …

Okkulte Hernien, Klassifikation der Leistenlipome und chronische postoperative Leistenschmerzen

Leistenhernien, die asymptomatisch und klinisch nicht ohne Weiteres zu detektieren sind, werden okkulte Hernien genannt. Es stellt sich die Frage, ob okkulte Hernien, die intraoperativ als Zufallsbefund bei der Versorgung einer symptomatischen …

Kennen Sie alle Ursachen von Leistenschmerz bei Sportlern?

Nachdem er knapp 2 Stunden in der Halle auf Teppich Tennis gespielt hat, plagen einen 39-jährigen Freizeitsportler stärkste Schmerzen in der rechten Leiste. Blockaden des Iliosakralgelenks sind ihm bekannt. Aktuell befürchtet er jedoch einen Leistenbruch. Wie Sie in derartigen Fällen einer Sportlerleiste vorgehen, lesen Sie im Übersichtsbeitrag.

Ambulantisierung in der Hernienchirurgie in Deutschland

Die Ambulantisierung in der Hernienchirurgie ist aktuell durch neue gesetzliche Vorgaben (Stichwort Hybrid-DRG [„diagnosis related groups“]) eine große Herausforderung für die Patienten und die behandelnden Ärzte in Deutschland. Trotz großer …

Aktuelle Trends bei der laparoskopischen Hernienoperation im Kindesalter

Leistenhernien gehören zu den häufigsten chirurgischen Pathologien bei Kindern. In den letzten Jahren kamen vermehrt laparoskopische Verfahren zur Anwendung, mit dem großen Vorteil, intraoperativ auch die Gegenseite überprüfen zu können. An der …

Buchkapitel zum Thema

Abdominelle Hernien

Unter einer Hernie versteht man eine sackartige Ausstülpung des Peritoneums durch eine präformierte oder sekundär entstandene Lücke. In die Aussackung können sich intraabdominelle oder retroperitoneale Organe und Strukturen verlagern.Äußere …

Komplikationen in der Hernienchirurgie

Zwar gelten Hernienoperationen in der Regel als Ausbildungseingriffe, jedoch sind sie durchaus nicht als trivial anzusehen. Dies wird durch gravierende und für den Patienten unter Umständen mit ernsten Langzeitfolgen sowie eingeschränkter Lebensqualität behaftete Komplikationen verdeutlicht.

Nicht gefunden, wonach Sie suchten?

Probieren Sie es mit der Suchfunktion:

Neu im Fachgebiet Chirurgie

Prophylaktische Antibiotika bei Nasentamponade ohne erkennbaren Nutzen

Bei immunsupprimierten Patientinnen und Patienten mit Nasentamponade nach anteriorer Epistaxis konnte durch eine prophylaktische Antibiotikagabe keine Reduktion klinisch relevanter Infektionen erzielt werden. Die Rate unerwünschter Arzneimittelwirkungen lag hingegen deutlich über der Infektionsrate.

Periprothetische Infektion: Welches Verfahren beim Prothesenwechsel liegt im Trend?

Eine periprothetische Gelenkinfektion stellt ein erhebliches Mortalitätsrisiko in der Endoprothetik dar. Der Prothesenwechsel kann in einem einzeitigen oder zweizeitigen Verfahren erfolgen. Die Wahl des Verfahrens beeinflusst die Prognose maßgeblich, der Trend geht aber klar in eine Richtung.

Gliome zielgerichtet behandeln mit Vorasidenib

IDH (Isocitrat-Dehydrogenase)-Mutationen sind bei Gliomen im Erwachsenenalter ein wichtiger prognostischer und prädiktiver Faktor und zugleich ein ideales Target für eine zielgerichtete Therapie. Mittlerweile gibt es mit Vorasidenib eine zugelassene Behandlungsoption. 

Bei präoperativer Dyspnoe könnte sich gezieltes Atemtraining lohnen

Eine präoperative Dyspnoe war bei Teilnehmenden eines Prähabilitationsprogramms ein Risikofaktor für suboptimale Ergebnisse nach Op. am Magen-Darm-Trakt. Forschende aus den USA plädieren für ein verstärktes individuelles Atemtraining.

Update Chirurgie

Bestellen Sie unseren Fach-Newsletter und bleiben Sie gut informiert.

Bildnachweise
Laparoskopische Operation/© Iryna / stock.adobe.com (Symbolbild mit Fotomodellen), Pincer-Konstellation, Hüftdysplasie und CAM-Impingement im Röntgenbild/© Fehske K / all rights reserved Springer Medizin Verlag GmbH, Ultraschallbefund einer klassischen sekundären Hydrozele/© Filmar, S., Gross, A.J., Hook, S. et al. , Nuck-Zyste/© Oehring R & Farke S / all rights reserved Springer Medizin Verlag GmbH, Arzt macht Ultraschall bei älterem Mann/© bojanstory / Getty Images / iStock (Symbolbild mit Fotomodell), Operation einer Leistenhernie links nach Lichtenstein/© Dietz U A et al. / all rights reserved Springer Medizin Verlag GmbH, Leistennaht nach Hernien-Operation/© Michael Weber / imageBROKER / mauritius images, De-Garengeot-Hernie/© Abazid A et al. / all rights reserved Springer Medizin Verlag GmbH, Liposarkom des Funiculus spermaticus/© Springer Medizin Verlag GmbH, Search Icon, Knochensäge im Einsatz bei Knie-TEP/© Issara / stock.adobe.com (Symbolbild mit Fotomodellen), Hirntumoren sichtbar im MRT/© semnic / Getty Images / iStock (Symbolbild mit Fotomodell), Lungentrainer/© S@photo / stock.adobe.com (Symbolbild mit Fotomodell)