Zum Inhalt

Lymphocyte-Directed Immunomodulation Remits Thymoma-Associated Autoimmune Pneumonitis

  • Open Access
  • 01.10.2024
  • Research
Erschienen in:
download
DOWNLOAD
print
DRUCKEN
insite
SUCHEN

Abstract

Background

Thymoma presents with several autoimmune manifestations and is associated with secondary autoimmune regulator (AIRE) deficiency. Pneumonitis has recently been described as an autoimmune manifestation associated with thymoma presenting with similar clinical, radiographic, histological, and autoantibody features as seen in patients with inherited AIRE deficiency who suffer from Autoimmune PolyEndocrinopathy-Candidiasis-Ectodermal Dystrophy (APECED) syndrome.

Objectives

To treat two patients with biopsy-proven thymoma-associated pneumonitis with lymphocyte-directed immunomodulation.

Methods

Two patients with thymoma were enrolled on IRB-approved protocols at the NIH Clinical Center. We performed history and physical examination; laboratory, radiographic, histologic and pulmonary function evaluations; and measurement of the lung-directed autoantibodies KCNRG and BPIFB1 prior to and at 1- and 6-months following initiation of lymphocyte-directed immunomodulation with azathioprine with or without rituximab.

Results

Combination T- and B-lymphocyte-directed immunomodulation resulted in improvement of clinical, functional, and radiographic parameters at 6-month follow-up evaluations in both patients with sustained remission up to 12–36 months following treatment initiation.

Conclusion

Lymphocyte-directed immunomodulation remitted autoimmune pneumonitis in two patients with thymoma.
Elise M. N. Ferré and Diana X. Nichols-Vinueza contributed equally to this work.

Publisher’s Note

Springer Nature remains neutral with regard to jurisdictional claims in published maps and institutional affiliations.

Introduction

The thymus is essential for the development of T-lymphocytes [1]. Patients with thymoma have an abnormal thymic microenvironment and decreased AIRE expression associated with impaired negative selection of T-cells and a broad spectrum of autoimmune manifestations [2, 3]. Among those, myasthenia gravis is well-recognized to affect 30–44% of thymoma patients, but other autoimmune diseases have also been reported including Addison’s disease, erythroblastopenia, systemic lupus erythematosus, inflammatory myopathies, alopecia, vitiligo, thyroiditis, type 1 diabetes, hepatitis, pure red cell aplasia, pneumonitis, and Good’s syndrome [2, 48]. We previously reported that patients with thymoma-associated autoimmune pneumonitis exhibit similar clinical, radiographic, and histological features with autoimmune pneumonitis observed in the setting of Autoimmune PolyEndocrinopathy-Candidiasis-Ectodermal Dystrophy (APECED), also known as Autoimmune Polyendocrine Syndrome type 1 (APS-1), which is caused by loss-of-function AIRE variants [5, 9]. In addition, some thymoma patients carry autoantibodies against the lung-targeted bactericidal/permeability-increasing fold-containing B1 (BPIFB1), the potassium channel regulator (KCNRG), or both, which are also seen in APECED-associated pneumonitis [4, 5]. We previously demonstrated that lymphocyte-directed immunomodulatory treatment can remit APECED-associated autoimmune pneumonitis with improvement in clinical symptoms and radiographic and pulmonary function abnormalities [5]. The shared features between APECED-associated and thymoma-associated autoimmune pneumonitis suggest common immunopathogenic mechanisms. Thus, we postulated that the lymphocyte-targeted immunomodulatory regimen that remits APECED-associated autoimmune pneumonitis may also remit thymoma-associated autoimmune pneumonitis. Here, we describe the clinical presentation and response to lymphocyte-directed immunomodulatory treatment of two patients with thymoma-associated autoimmune pneumonitis.

Methods

Patients provided written informed consent in accordance with the Declaration of Helsinki to participate in IRB-approved protocols NCT00001355 and NCT00018044 at the NIH Clinical Center. Pulmonary function testing (PFT) was performed in accordance with American Thoracic Society/European Respiratory Society standards [10]. Lung and liver tissue biopsies were routinely processed and sectioned for hematoxylin and eosin (H&E) and immunohistochemistry staining as previously described [5, 11]. A luciferase immunoprecipitation systems immunoassay was used to detect autoantibody immunoreactivity against BPIFB1 and KCNRG. A particle-based multiplex assay was used to detect immunoreactivity against anti-IFNα, anti-IFNβ, anti-IFNγ, anti-IFNω, anti-IL-12p70, anti-IL-17 A, anti-IL-17 F, anti-IL-22, anti-IL-23, and anti-GM-CSF. Seropositivity was determined based on the mean plus three standard deviations of control patients as previously described [5].

Results

The first patient is a 42-year-old male with a history of thymoma, nontuberculous mycobacterial (NTM) pulmonary infection, hypothyroidism, type 2 diabetes, and iatrogenic adrenal insufficiency who developed chronic cough productive of green sputum, dyspnea, pleuritic chest pain, and night sweats (Table 1). He was diagnosed at age 40 with a modified Masaoka stage 11 A, World Health Organization (WHO) type-B2 thymoma and bronchiolitis obliterans organizing pneumonia (BOOP; now known as cryptogenic organizing pneumonia) by lung wedge resection. He was treated with high-dose prednisone for BOOP. He was referred to the NIH for surgical resection where pre-surgical chest computed tomography (CT) identified bilateral lower lung infiltrates concerning for infection as well as bronchiectasis and tree-in-bud abnormalities throughout the lung fields. Mycobacterium abscessus grew from multiple sputum cultures. Thus, it became apparent that ‘BOOP’ was a misdiagnosis, and that the pathology was consistent with pulmonary NTM disease. Anti-mycobacterial therapy was initiated with azithromycin, linezolid, amikacin, and imipenem. One month later, he underwent right hemi-clamshell thoracotomy with resection of thymoma and pericardial reconstruction using Gore-Tex. Amikacin was discontinued secondary to mild ototoxicity, and clofazimine was added. Antibiotics were discontinued after 12 months of repeatedly negative mycobacterial sputum cultures and improved cough and radiographic abnormalities. He returned to NIH 3 months later with worsening respiratory symptoms and radiographic abnormalities concerning for recurrence of NTM infection. Sputum cultures grew Mycobacterium avium complex (MAC), M. abscessus with a different susceptibility profile from his initial isolate, and methicillin-susceptible Staphylococcus aureus. He improved symptomatically and sputum cultures became negative following 8-weeks of treatment with vancomycin, imipenem, azithromycin, and rifampin; however, his chest CT abnormalities of right middle and bibasilar focal consolidations, bronchial wall thickening, and nodular opacities (Fig. 1A) were largely unchanged despite antibiotics. He underwent bronchoscopy with bronchoalveolar lavage (BAL), which revealed airway neutrophilia (77% of nucleated cells) in the setting of negative microbiological studies including mycobacterial, bacterial, fungal, Nocardia, and Legionella cultures, respiratory viral FilmArray, PCRs for Pneumocystis jirovecii, Legionella, HSV, and CMV, and BAL Histoplasma and Aspergillus antigens. Histology demonstrated bronchial mucosa with chronic inflammation composed predominately of CD3+ T lymphocytes (CD4+ > CD8+ T lymphocytes) and aggregates of CD20+ B lymphocytes, a pattern also observed upon review of the initial lung wedge resection diagnosing thymoma (images previously published [5]). Autoantibody profiling identified high titers of KCNRG, but not BPIFB1, autoantibodies (Fig. 2A) as well as high titer anti-IFN-α and anti-IFN-ω (Table 2). Screening for autoantibodies against IFN-β, IFN-γ, IL-17 A, IL-17 F, IL-22, IL-23, and GM-CSF was negative (Table 2). Baseline pulmonary function testing (PFTs) revealed moderately severe mixed obstructive-restrictive ventilatory defect with FVC 79% of predicted, FEV1 58% of predicted, FEV1/FVC 0.58, and a moderate diffusion defect [diffusing capacity of the lung adjusted for hemoglobin (DLCOadj), 60%] (Table 3). He had a 6-minute walk (6MWT) distance of 488 m, with 3% decrease in oxygen saturation.
Table 1
Summary of patients’ clinical characteristics
Demographics
Patient 1
Patient 2
 Gender
Male
Male
 Ethnicity
White
White
 Age at presentation (years)
40
30
Thymoma treatment
 
Thymectomy without neoadjuvant / adjuvant chemotherapy
Thymectomy without neoadjuvant / adjuvant chemotherapy
Age of onset of autoimmune manifestations
 Alopecia barbae
n/a
30
 Atrophic pancreatitis
n/a
30
 Chronic active gastritis
n/a
30
 Hepatitis
n/a
32
 Pneumonitis
40
32
 Hypothyroidism
41
n/a
Symptom description
 
Chronic cough productive of sputum, dyspnea, pleuritic chest pain, chronic sinusitis
Chronic cough, chronic sinusitis, steatorrhea, weight loss
Bronchoscopy findings
 
Scattered thick, white secretions throughout airways with numerous mucous plugs. Airways appeared mildly edematous and erythematous throughout.
Bronchial mucosa and anatomy were normal; there were no endobronchial lesions, and there were scant mucoid secretions.
Lung tissue histology
 Endobronchial biopsy
Bronchial mucosa with chronic inflammation. Predominately lymphocytic infiltrate in the lamina propria both singly and in aggregates made up of CD3/CD4 T-cells and CD20 B-cells and mixed with a few CD8 T-cells and CD4 histiocytes.
Respiratory Mucosa with dense chronic inflammation and thick epithelial basement membrane. CD20, CD3, CD4/CD8, CD79a and CD138 stains highlight reactive lymphoplasmacytic infiltrate.
 Deeper lung biopsy
Bronchial tissue with peribronchial lymphocytic inflammation, scattered plasma cells and prominent infiltration of lymphocytes into bronchial epithelium. Foci of organizing pneumonia are seen at the edges of the peribronchial inflammation. There is a diffuse peribronchial infiltration of CD3 positive T-cells with CD4 positive T-cells outnumbering CD8 positive T-cells. Both B and T-cells infiltrate the bronchial epithelium. Small aggregates of CD20 positive B-cells are present around the edges of bronchi.
Respiratory mucosa with dense chronic inflammation and thick epithelial basement membrane. Acute and chronic inflammation associated with bronchial tissue. CD20, CD3, CD4/CD8, CD79a (B cell receptor), and CD138 (marker for terminally differentiated normal plasma cells) stains highlight reactive lymphoplasmacytic infiltrate.
Microbiology findings
 
Negative FITE and AFB stains. BAL negative for infectious organisms.
GMS stain negative for fungi and Pneumocystis jirovecii. BAL culture grew Mycobacterium intracellulare / chimaera
Immunosuppressive therapies
 T-cell targeting therapy
Azathioprine
Azathioprine
 B-cell targeting therapy
Rituximab (1 gram x 2)
Rituximab (1 gram x 2)
 Steroids
Prednisone
n/a
Table 2
Summary of patient 1’s radiographic and pulmonary function results at baseline and in response to azathioprine immunosuppression
 
Baseline
1-months
6-months
1-year
2-year
3-year
Immunosuppression
 Azathioprine
100 mg
100 mg
100 mg
150 mg daily
150 mg daily
100 mg twice daily
 Prednisone
5 mg
17.5 mg daily
17.5 mg daily
12.5 mg daily
12.5 mg daily
9 mg daily
Anti-mycobacterial therapy
 
Imipenem, azithromycin, rifampin, vancomycin
Imipenem, azithromycin, rifampin, vancomycin
Imipenem, azithromycin, rifampin, vancomycin
Imipenem, azithromycin, rifampin, vancomycin
Not applicable
Not applicable
6-Minute walk test
 Distance (m)
488
478
531
562
516
530
 Pre O2
98
96
98
99
98
100
 Post O2
95
98
99
100
98
98
Pulmonary function test
 FVC (liters)
4.01
3.62
3.77
4.63
3.31
4.15
 FVC % predicted
79
71
72
89
64
81
 FEV1 (liters)
2.33
2.38
2
2.36
2.12
2.76
 FEV1% predicted
58
59
48%
57
52
68
 FEV1/FVC%
58
66
53
51
64
67
 DL Adj (mL/mmHg/min)
22
22.2
25.8
28.8
21.4
21.8
 DL Adj % predicted
60
60
69
77
58
59
Spirometry Interpretation
Mixed pattern, moderately severe mixed obstructive-restrictive ventilatory defect; mild diffusion defect
Mixed pattern, moderately severe obstruction and restrictive ventilatory defect; mild diffusion defect
Moderately severe obstruction; mild diffusion defect
Stable, moderately severe obstruction, mildly reduced diffusion though improved from previous
Moderately severe obstruction with moderate restriction and moderately reduced diffusion
Mixed pattern with moderate obstructive and restrictive defect and moderate diffusion defect. Significant improvement in FEV1 and FVC since last study
Chest CT
 CT findings
Stable right hemithorax postoperative features. Right middle lobe and bilateral posterior lower lobe small focal consolidations and nodular infiltrates
Stable right hemithorax postoperative features. Decreased bibasilar tree-in-bud infiltrates
Stable right hemithorax postoperative features. Diffuse, minimal bronchiectasis with trace tree-in-bud opacities in bases
Stable right hemithorax postoperative features and bronchiectasis. Resolved bibasilar tree-in-bud opacities. Few scattered small ground-glass nodular foci in lungs bilaterally.
Stable right hemithorax postoperative features. Stable bronchiectasis
Stable right hemithorax postoperative features. Stable bronchiectasis
Table 3
Summary of patient 1’s radiographic and pulmonary function results at baseline and in response to combination azathioprine and rituximab treatment
 
Baseline
1-months
1-year
Immunosuppression
 Azathioprine
100 mg
100 mg
100 mg
 Prednisone
9 mg
9 mg
9 mg
6-Minute walk test
 Distance (m)
513
Not performed
537
 Pre O2
98
 
98
 Post O2
95
 
96
Pulmonary function test
 FVC (liters)
3.88
Not performed
3.98
 FVC % predicted
76
 
86
 FEV1 (liters)
2.22
 
2.35
 FEV1% predicted
55
 
63
 FEV1/FVC%
73
 
73
 DL Adj (mL/mmHg/min)
21.4
 
21.24
 DL Adj % predicted
58
 
72
Spirometry Interpretation
Mixed obstructive-restrictive pattern with moderately severe obstruction and mild restriction. Moderately reduced diffusion.
 
Moderate obstruction with mild diffusion defect.
Chest CT
 CT findings
Stable right hemithorax postoperative features. Scattered tree-in-bud opacities in bilateral bases
Stable right hemithorax postoperative features. Interval improvement in scattered bilateral tree-in-bud opacities
Stable right hemithorax postoperative features. Interval improvement in scattered bilateral tree-in-bud opacities
Fig. 1
Radiographic, autoantibody, and histological features of thymoma-associated pneumonitis. Representative chest CT images for A) Patient 1 following azathioprine monotherapy at baseline and at 1-month and 6-months post-treatment initiation, B) Patient 1 following azathioprine with rituximab at baseline (before rituximab) and at 1.5-months and 12-months post-treatment initiation, and C) Patient 2 at baseline and at 3-months and 6-months post-treatment initiation. Baseline CT scans depict tree-in-bud nodularity (orange circles), bronchial wall thickening (red circles), and focal consolidations (yellow circle). Repeat CT scans demonstrate improvement at 1–3 months and resolution at 6-months following initiation of lymphocyte-directed immunomodulatory treatment. Note: Patient 1’s 1-month post-azathioprine monotherapy follow-up CT is complicated by right hemi-diaphragm elevation secondary to herpes zoster associated right phrenic nerve neuropathy. Abbreviations: AZA, azathioprine
Bild vergrößern
Fig. 2
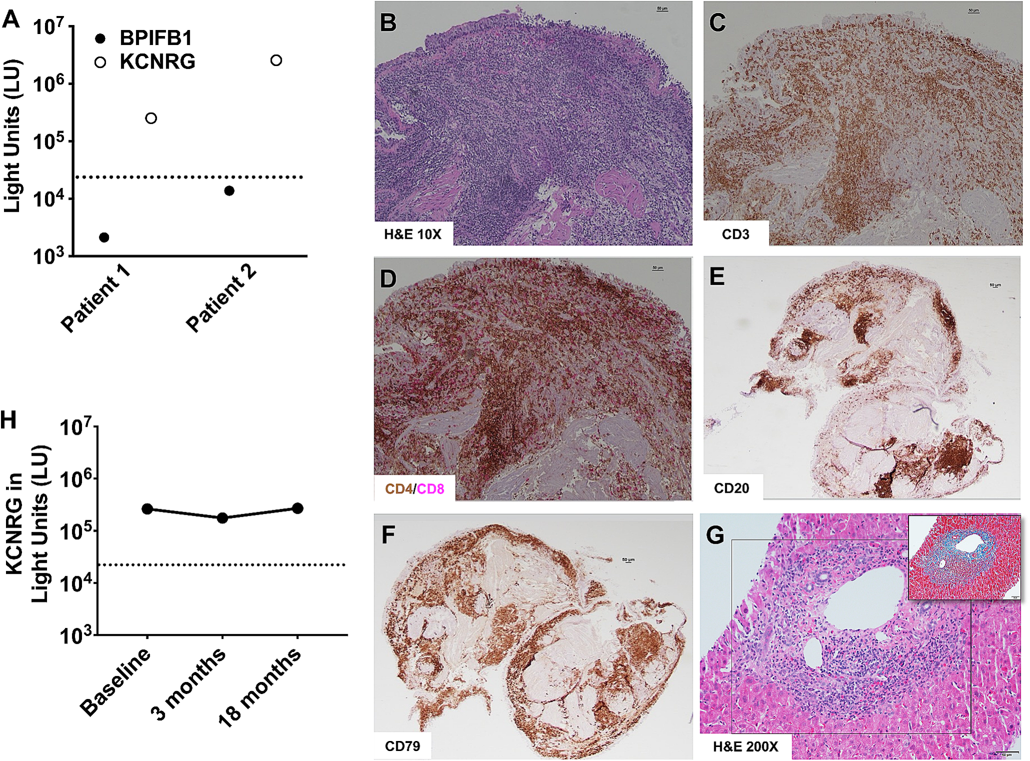
A) Autoantibody immunoreactivity against BPIFB1 and KCNRG presented as light units (LU). Dotted lines represent the cutoff values for determining autoantibody seropositivity. B) Hematoxylin and eosin (H&E) staining of endobronchial biopsy from patient 2 depicting chronic inflammatory infiltrate within intraepithelial and submucosal areas and thickened epithelial basement membrane. C) CD3 immunostaining showing that the infiltrate is composed primarily of CD3+ T lymphocytes. D) CD4 and CD8 double immunostaining showing that CD4+ T lymphocytes (brown) outnumber CD8+ T lymphocytes (magenta). E) CD20 immunostaining showing aggregates of B lymphocytes scattered throughout the lung parenchyma. F) CD79 immunostaining of the B cell receptor. G) H&E staining of the hepatic portal area of Patient 2 shows lymphocytic inflammation with scattered eosinophils and interface hepatitis. Masson trichrome shows mild periportal fibrosis (inset). Scale bars for panels B-G, 50 μm. Magnification for panels B-F, 10x. Magnification for panel G, 200x. H) Autoantibody immunoreactivity against KCNRG presented as LU in Patient 2 before treatment (baseline) and at 3- and 18-months following treatment with azathioprine and rituximab
Bild vergrößern
Before starting treatment for autoimmune pneumonitis, we tested for thiopurine methyltransferase (TPMT) activity to avoid the risk for azathioprine (AZA)-induced toxicity, which was normal [12]. We initiated AZA at 100 mg (1 mg/kg) daily and continued prednisone 20 mg (0.25 mg/kg) daily. Three weeks later, he developed herpes zoster infection presenting with a painful dermatomal rash affecting the right shoulder and extending to the neck, chest, and back and associated right phrenic nerve neuropathy resulting in right hemi-diaphragm elevation documented by chest X-ray and positive sniff test. He was treated with intravenous acyclovir while continuing azathioprine and prednisone was tapered to 17.5 mg daily (Table 3). At 1-month follow-up, he had improvement in cough, dyspnea, and chest CT findings of bibasilar infiltrates and tree-in-bud nodularity (Fig. 1A). By 6-months, his respiratory symptoms had resolved with further improvement noted in chest CT abnormalities (Fig. 1A). DLCOadj improved to 69% and 6MWT distance increased to 531 m. At 1-year post-treatment initiation, attempts to wean prednisone resulted in recurrence of respiratory complaints. Consequently, over the next 1.5 years, AZA was titrated up to 100 mg twice daily allowing for tapering of prednisone to 9 mg daily, which he remained on for treatment of iatrogenic adrenal insufficiency. At 3-years post-treatment initiation, he remained respiratory symptom-free, had no radiographic abnormalities, and had stably improved PFT and 6MWT (Table 3).
Of interest, over the course of the next 6 months, he developed gradually worsening dyspnea, particularly upon climbing stairs. Chest CT (Fig. 1B) was notable for new scattered tree-in-bud opacities in the bilateral bases and sputum culture was positive for methicillin-susceptible Staphylococcus aureus for which he was prescribed a 14-day course of levofloxacin. Despite treatment, his symptoms did not improve, he continued to have radiographic abnormalities, and he demonstrated a severe mixed obstructive-restrictive spirometry pattern with moderate diffusion defect on PFTs in combination with a 6% decline in SpO2 on 6-minute walk test (Table 4). He underwent bronchoscopy with endobronchial biopsy for which histological examination revealed chronic inflammation composed of mixed CD4+ and CD8+ T lymphocytes and aggregates of B lymphocytes consistent with recurrence of autoimmune pneumonitis. We performed the same panel of microbiological studies on the BAL that were all negative. Given the treatment response we had observed in Patient 2 to combination T and B cell-targeted therapy and the favorable response with the combination of azathioprine and rituximab in APECED-associated autoimmune pneumonitis, we administered two intravenous infusions of rituximab (1 gram each) within 2 weeks and followed the patient clinically and radiographically at 1-month and 12-months post-treatment. By 1-month, he reported resolved cough and sputum production and improved dyspnea on exertion. Chest CT demonstrated clearing of tree-in-bud abnormalities in the bilateral bases. At 12-months, cough had resolved, and mild dyspnea occurred only when climbing > 3 flights of stairs. He demonstrated resolution of tree-in-bud abnormalities on CT and pulmonary function improvement on PFTs with FVC 86% of predicted, FEV1 63% of predicted, and DLCOadj of 72%.
Table 4
Anti-cytokine autoantibody profiles in the patients with thymoma presented in our study
 
Patient 1
Patient 2
anti-IFNα
7963
8176
anti-IFNβ
41
197
anti-IFNγ
290
245
anti-IFNω
8151
7871
anti-IL-12p70
131
8842
anti-IL-17 A
68
151
anti-IL-17 F
183
178
anti-IL-22
104
195
anti-IL-23
24
110
anti-GM-CSF
86
38
Positive values are indicated in bold
The second patient is a 33-year-old male with no significant past medical history until age 20 when he was diagnosed and treated for guttate psoriasis, which resolved with UV therapy, and alopecia areata (Table 1). At age 30, he developed severe abdominal pain and weight loss. Abdominal CT revealed an atrophic pancreas and a lung mass. A transbronchial biopsy showed a WHO B1 thymoma and a pancreatic biopsy revealed atrophic pancreatitis with negative IgG and IgG4 staining. He underwent thymectomy and initiated pancreatic enzyme replacement, which resolved his abdominal symptoms. Following thymectomy, he developed persistent dry cough and recurrent sinusitis symptoms, which were unresponsive to several courses of antibiotics to treat Pseudomonas and MAC including rifampin, ethambutol, azithromycin, inhaled tobramycin, doxycycline, and levofloxacin for 6 months. Evaluation for vocal cord dysfunction and cystic fibrosis were negative. Autoantibody evaluations showed high titers of KCNRG, but not BPIFB1, autoantibodies (Fig. 2A) as well as high titers for anti-IFN-α, anti-IFN-ω, and IL-12p70 (Table 2). Screening for autoantibodies against IFN-β, IFN-γ, IL-17 A, IL-17 F, IL-22, IL-23, and GM-CSF was negative (Table 2). Chest CT revealed diffuse peribronchial thickening, mucus plugging, and tree-in-bud nodularity throughout the lungs (Fig. 1C). PFTs demonstrated a mild restrictive pattern (Table 5). He underwent bronchoscopy with BAL, which revealed airway neutrophilia (73% of nucleated cells). BAL cultures grew Mycobacterium intracellulare/chimaera. Endobronchial biopsies showed basement membrane thickening and profound lymphocyte infiltration in intraepithelial and submucosal areas. His lung biopsy showed chronic peri-bronchiolitis composed predominately of CD3+ T lymphocytes (CD4+ > CD8+ T lymphocytes) (Fig. 2B-F). Anti-mycobacterial therapy was started with azithromycin and ethambutol and inhaled amikacin was initiated 4 weeks prior to starting immunosuppression. During the first month of antibiotic induction period, routine surveillance labs noted persistently elevated transaminase levels for which he underwent liver biopsy that revealed chronic hepatitis with autoimmune hepatitis-like features of moderate activity with periportal and perivenular fibrosis such as that seen in APECED-associated autoimmune hepatitis (Fig. 2G) [11]. He received two doses of rituximab (1 gram each) within 2 weeks and, given normal TPMT activity, was started on AZA at 75 mg (1 mg/kg) daily. AZA was increased to 100 mg (1.3 mg/kg) once daily after one month of therapy (Table 5). At 3-months following AZA and rituximab initiation, the patient had no pulmonary complaints, had no radiographic abnormalities on chest CT imaging, had normalized transaminase levels, and demonstrated stability in PFTs and 6MWT. At 6-months, he remained asymptomatic with normal chest CT; due to the COVID-19 pandemic, he was unable to perform PFTs and 6MWT at that time. At 18-months after treatment initiation, he remained free of respiratory complaints, he had no radiographic abnormalities, he had normal transaminases and normal PFTs and 6MWT (Table 5), and his alopecia had resolved (Table 1). KCNRG antibodies remained highly positive despite rituximab administration (Fig. 2H) suggesting they may not be directly pathogenic [5]. He completed 18 months of treatment for MAC and remained on AZA 100 mg daily and has not necessitated re-dosing with rituximab.
Table 5
Summary of radiographic and pulmonary function results of patient 2 at baseline and in response to immunosuppression
 
Baseline
3-months
6-months
18-months
Immunosuppression dosing
 Azathioprine
75 mg
100 mg
100 mg
100 mg
Anti-mycobacterial therapy
 
rifampin, ethambutol, azithromycin, inhaled tobramycin, doxycycline, and levofloxacin
rifampin, ethambutol, azithromycin, inhaled tobramycin, doxycycline, and levofloxacin
rifampin, ethambutol, azithromycin, inhaled tobramycin, doxycycline, and levofloxacin
rifampin, ethambutol, azithromycin, inhaled tobramycin, doxycycline, and levofloxacin
6-Minute walk test
 Distance (m)
716
719
Not performed
745
 Pre O2
100
99
 
100
 Post O2
98
99
 
100
Pulmonary function test
 FVC (liters)
4.59
4.43
 
5.19
 FVC %
84
81
Not performed
95
 FEV1 (liters)
3.43
3.44
 
4.24
 FEV1%
78
78
 
96
 FEV1/FVC%
68
78
 
82
 DL Adj (mL/mmHg/min)
25.6
27.8
 
26
 DL Adj %
64
70
 
65
Spirometry Interpretation
Borderline restrictive pattern. The flow volume loop has a mixed configuration; mild diffusion effect
Mild restrictive pattern. Mild diffusion effect.
 
Normal Flows. Normal total lung capacity using nitrogen washout technique. Mild diffusion defect.
Chest CT
 CT findings
Bilateral tree in bud nodules in the lung parenchyma. Nodular infiltrates in the right upper lobe. Diffuse scattered mild tubular bronchiectasis bilaterally.
Bilateral mild tubular bronchiectasis. Bilateral patchy tree in bud opacities and peribronchial nodular opacities; right lung upper lobe peribronchial nodule decreased
Cylindrical bronchiectasis with diminished mucoid impaction and tree-in-bud opacities.
Minimal residual bronchiectasis. Minimal tree in bud opacities within the periphery of the upper lobes, decreasing since prior examination.

Discussion

Like in APECED, patients with thymoma have an abnormal thymic microenvironment leading to decreased AIRE expression, impaired negative selection of T-cells, and an enrichment of anti-cytokine antibodies against type-1 interferons, particularly anti-IFN-ω, that collectively result in a broad spectrum of autoimmune manifestations [13]. Although we had previously reported patients with thymoma-associated and APECED-associated autoimmune pneumonitis display common clinical, radiographic, histological, and bronchial-directed autoantibodies (BPIFB1 and KCNRG), there has been no published literature on how to treat thymoma-associated pneumonitis. In both cases, our patients initially presented with mycobacterial disease in the setting of chronic, uncontrolled airway inflammation that persisted despite anti-mycobacterial therapy, which we have also observed in some patients with uncontrolled APECED-associated autoimmune pneumonitis [5, 14, 15]. Importantly, the histological presentation of autoimmune pneumonitis differs from that of patients without thymoma infected with NTM. While both patient groups may have chronic inflammation of the small airways, non-thymoma patients with NTM infection display necrotizing or non-necrotizing granulomas surrounded by giant cells, a finding absent in our thymoma patients [16]. Furthermore, Patient 1 had biopsy-proven recrudescence of autoimmune pneumonitis in the absence of mycobacterial disease. Initiation of lymphocyte-directed immunosuppression not only remitted thymoma-associated autoimmune pneumonitis in both patients but also ameliorated Patient 2’s other autoimmune features of hepatitis and alopecia.
In summary, these cases illustrate the common clinical, radiographic, histological, and autoantibody features of autoimmune pneumonitis caused by APECED and thymoma. Beyond performing a chest CT, measurement of autoantibodies against BPIFB1 and KCNRG is a valuable diagnostic tool and should be considered as a screening modality in patients with thymoma and radiographic evidence of lung disease and/or chronic respiratory symptoms. Prospective evaluation in consecutive patients with thymoma-associated autoimmune pneumonitis will be important to investigate the sensitivity and specificity of these autoantibodies for this entity. In addition, these cases provide proof-of-concept that lymphocyte-directed immunomodulation may remit thymoma-associated autoimmune pneumonitis and hepatitis. Importantly, they expand upon the previously reported therapeutic role of AZA and rituximab in APECED-associated autoimmune pneumonitis and CVID-associated granulomatous and lymphocytic interstitial lung disease. Additional longitudinal follow-up of our patients will be needed to establish the durability of the observed clinical and radiographic responses. Evaluation of AZA and rituximab-based therapy in a larger number of patients will be required to establish the safety and efficacy of this immunomodulatory therapy in the management of autoimmune lung disease in thymoma patients.

Acknowledgements

We thank our patients and their families for participation in our study and the NIAID clinical fellows and nursing staff for dedication to patient care.

Declarations

Competing Interests

The authors declare no competing interests.
Open Access This article is licensed under a Creative Commons Attribution 4.0 International License, which permits use, sharing, adaptation, distribution and reproduction in any medium or format, as long as you give appropriate credit to the original author(s) and the source, provide a link to the Creative Commons licence, and indicate if changes were made. The images or other third party material in this article are included in the article’s Creative Commons licence, unless indicated otherwise in a credit line to the material. If material is not included in the article’s Creative Commons licence and your intended use is not permitted by statutory regulation or exceeds the permitted use, you will need to obtain permission directly from the copyright holder. To view a copy of this licence, visit http://creativecommons.org/licenses/by/4.0/.

Publisher’s Note

Springer Nature remains neutral with regard to jurisdictional claims in published maps and institutional affiliations.
download
DOWNLOAD
print
DRUCKEN
Titel
Lymphocyte-Directed Immunomodulation Remits Thymoma-Associated Autoimmune Pneumonitis
Verfasst von
Elise M. N. Ferré
Diana X. Nichols-Vinueza
Lindsey B. Rosen
Peter D. Burbelo
Kevin P. Fennelly
Joseph Pechacek
Daniel M. Goldstein
Anahita Agharahimi
Annapurna Saksena
David E. Kleiner
Yesim Yilmaz Demirdag
Arun Rajan
David S. Schrump
Steven M. Holland
Alexandra F. Freeman
Michail S. Lionakis
Publikationsdatum
01.10.2024
Verlag
Springer US
Erschienen in
Journal of Clinical Immunology / Ausgabe 7/2024
Print ISSN: 0271-9142
Elektronische ISSN: 1573-2592
DOI
https://doi.org/10.1007/s10875-024-01760-3
1.
Zurück zum Zitat Klein L, Kyewski B, Allen PM, Hogquist KA. Positive and negative selection of the T cell repertoire: what thymocytes see (and don’t see). Nat Rev Immunol. 2014;14(6):377–91.CrossRefPubMedPubMedCentral
2.
Zurück zum Zitat Wolff AS, Karner J, Owe JF, Oftedal BE, Gilhus NE, Erichsen MM, et al. Clinical and serologic parallels to APS-I in patients with thymomas and autoantigen transcripts in their tumors. J Immunol. 2014;193(8):3880–90.CrossRefPubMed
3.
Zurück zum Zitat Strobel P, Murumagi A, Klein R, Luster M, Lahti M, Krohn K, et al. Deficiency of the autoimmune regulator AIRE in thymomas is insufficient to elicit autoimmune polyendocrinopathy syndrome type 1 (APS-1). J Pathol. 2007;211(5):563–71.CrossRefPubMed
4.
Zurück zum Zitat Bernard C, Frih H, Pasquet F, Kerever S, Jamilloux Y, Tronc F, et al. Thymoma associated with autoimmune diseases: 85 cases and literature review. Autoimmun Rev. 2016;15(1):82–92.CrossRefPubMed
5.
Zurück zum Zitat Ferre EMN, Break TJ, Burbelo PD, Allgauer M, Kleiner DE, Jin D, et al. Lymphocyte-driven regional immunopathology in pneumonitis caused by impaired central immune tolerance. Sci Transl Med. 2019;11:495.CrossRef
6.
Zurück zum Zitat Mendogni P, Rosso L, Tosi D, Palleschi A, Righi I, Minonzio F et al. Autoimmune hepatitis: an uncommon presentation of thymoma. Tumori. 2016;102(Suppl. 2).
7.
Zurück zum Zitat Marx A, Willcox N, Leite MI, Chuang WY, Schalke B, Nix W, Strobel P. Thymoma and paraneoplastic myasthenia gravis. Autoimmunity. 2010;43(5–6):413–27.CrossRefPubMed
8.
Zurück zum Zitat Zhao J, Bhatnagar V, Ding L, Atay SM, David EA, McFadden PM, et al. A systematic review of paraneoplastic syndromes associated with thymoma: treatment modalities, recurrence, and outcomes in resected cases. J Thorac Cardiovasc Surg. 2020;160(1):306–14. e14.CrossRefPubMed
9.
Zurück zum Zitat Constantine GM, Lionakis MS. Lessons from primary immunodeficiencies: autoimmune regulator and autoimmune polyendocrinopathy-candidiasis-ectodermal dystrophy. Immunol Rev. 2019;287(1):103–20.CrossRefPubMedPubMedCentral
10.
Zurück zum Zitat Graham BL, Steenbruggen I, Miller MR, Barjaktarevic IZ, Cooper BG, Hall GL, et al. Standardization of Spirometry 2019 Update. An official American Thoracic Society and European Respiratory Society Technical Statement. Am J Respir Crit Care Med. 2019;200(8):e70–88.CrossRefPubMedPubMedCentral
11.
Zurück zum Zitat Chascsa DM, Ferre EMN, Hadjiyannis Y, Alao H, Natarajan M, Quinones M et al. APECED-Associated Hepatitis: Clinical, Biochemical, Histological and Treatment Data from a Large Predominantly American Cohort. Hepatology. 2020.
12.
Zurück zum Zitat Gisbert JP, Luna M, Mate J, Gonzalez-Guijarro L, Cara C, Pajares JM. Choice of azathioprine or 6-mercaptopurine dose based on thiopurine methyltransferase (TPMT) activity to avoid myelosuppression. A prospective study. Hepatogastroenterology. 2006;53(69):399–404.PubMed
13.
Zurück zum Zitat Kisand K, Link M, Wolff AS, Meager A, Tserel L, Org T, et al. Interferon autoantibodies associated with AIRE deficiency decrease the expression of IFN-stimulated genes. Blood. 2008;112(7):2657–66.CrossRefPubMedPubMedCentral
14.
Zurück zum Zitat Ferre EMN, Lionakis MS. An AIREless Breath: Pneumonitis caused by impaired Central Immune Tolerance. Front Immunol. 2020;11:609253.CrossRefPubMed
15.
Zurück zum Zitat Kubala SA, Do HM, Ferre EMN, Schrump DS, Olivier KN, Walls JG, et al. Fatal autoimmune pneumonitis requiring bilobectomy and omental flap repair in a patient with autoimmune polyendocrinopathy-candidiasis-ectodermal dystrophy (APECED). Respir Med Case Rep. 2021;33:101476.PubMedPubMedCentral
16.
Zurück zum Zitat Choi S, Potts KJ, Althoff MD, Jimenez G, Bai X, Calhoun KM, et al. Histopathologic analysis of surgically resected lungs of patients with non-tuberculous mycobacterial lung disease: a retrospective and hypothesis-generating study. Yale J Biol Med. 2021;94(4):527–35.PubMedPubMedCentral

Kompaktes Leitlinien-Wissen Innere Medizin (Link öffnet in neuem Fenster)

Mit medbee Pocketcards schnell und sicher entscheiden.
Leitlinien-Wissen kostenlos und immer griffbereit auf ihrem Desktop, Handy oder Tablet.

Neu im Fachgebiet Innere Medizin

Dilatierte Aorta ascendens: Wenn mehr Überwachung nicht mehr Sicherheit bringt

US-Radiologinnen und -Radiologen haben retrospektiv Fälle ihrer Einrichtung ausgewertet und kommen zu dem Schluss, dass mehr Surveillance bei erweiterter Aorta ascendens nicht immer hilfreich ist: In der Mehrzahl der Fälle blieben die Dilatationen stabil – und um die seltenen Fälle mit späterer Dissektion besser identifizieren zu können, müssten andere Faktoren noch stärker berücksichtigt werden.

Erhöht Reflux auch das Risiko für Larynxtumoren?

Gastroösophagealer Reflux ist womöglich auch mit einem erhöhten Risiko für Kehlkopftumoren assoziiert. Dafür sprechen zumindest Teilergebnisse einer aktuellen Metaanalyse. Im Detail ist der Zusammenhang indes weniger klar.

NSAR plus Metformin – eine gefährliche Kombination

Als „gefährliches Duo“ bezeichnen zwei Ärzte aus Südkorea die gleichzeitige Anwendung von nichtsteroidalen Antirheumatika (NSAR) und Metformin. Sie schildern den Fall einer älteren Patientin, die mit einer lebensbedrohlichen Laktatazidose in der Notaufnahme vorgestellt wurde.

Tirzepatid reduziert kardiovaskuläre Ereignisse bei Diabetes

Der duale GLP-1/GIP-Rezeptoragonist Tirzepatid empfiehlt sich mit Ergebnissen einer großen Studie als weitere Option zur Reduktion kardiovaskulärer Ereignisse bei Patienten mit Typ-2-Diabetes und manifester Gefäßerkrankung.

Update Innere Medizin

Bestellen Sie unseren Fach-Newsletter und bleiben Sie gut informiert.

Bildnachweise
Die Leitlinien für Ärztinnen und Ärzte, Wegweiser Notaufnahme /© schulzfoto / stock.adobe.com