Zum Inhalt
Die Dermatologie

Plasmazytoides Urothelkarzinom: eine seltene Ursache des lokalisierten Lymphödems

Erschienen in:

Zusammenfassung

Lokalisierte Lymphödeme der Genitalregion sind insgesamt seltene Erkrankungen. Liegt ihnen eine angeborene Fehlentwicklung des Lymphgefäßsystems zugrunde, werden sie als primäre Lymphödeme bezeichnet. Sekundäre Lymphödeme entstehen durch exogene Schädigung von Lymphgefäßen infolge von z. B. operativen Eingriffen, Übergewicht, Filariasis, Radiotherapie oder tumorösen Prozessen. Wir präsentieren den Fall eines Patienten mit lokalisiertem Lymphödem der Genitalregion, für das sich ein bisher nicht diagnostiziertes Urothelkarzinom als ursächlich erwies.
QR-Code scannen & Beitrag online lesen

Hinweis des Verlags

Der Verlag bleibt in Hinblick auf geografische Zuordnungen und Gebietsbezeichnungen in veröffentlichten Karten und Institutsadressen neutral.

Anamnese

Ein 79-jähriger Patient stellte sich mit einer binnen Wochen rasch progredienten Schwellung und Induration des Mons pubis, der Peniswurzel und des Skrotums in unserer dermatologischen Ambulanz vor (Abb. 1). Vorangegangen war den Hautveränderungen ein akutes Nierenversagen, welches in einer auswärtigen urologischen Klinik stationär therapiert worden war. Ein komplizierter Harnwegsinfekt war zu diesem Zeitpunkt die vermutete Ursache der Nierenfunktionsstörung. Passager erfolgte die Anlage eines transurethralen Blasenkatheters. Etwa eine Woche nach Entfernung des Katheters bemerkte unser Patient eine neue, rasch progrediente, schmerzhafte Schwellung der gesamten Genitalregion. Fieber oder Schüttelfrost bestanden zum Zeitpunkt der Vorstellung in unserer Klinik nicht.
Abb. 1
In der Übersichtsaufnahme zeigt sich ein großflächiges, derbes Ödem, welches Mons pubis, Peniswurzel und Skrotum einbezieht. Akzentuiert an der Radix penis zeigen sich multiple hautfarbene bis bräunliche, verruköse Papeln
Bild vergrößern

Hautbefund

Im Bereich des Mons pubis, skrotal sowie an der Peniswurzel zeigte sich ein umschriebenes Ödem. Zudem imponierten verruköse, hautfarbene bis bräunliche, aggregierte, wenige Millimeter durchmessende Papeln an der Peniswurzel. Im Bereich des Mons pubis war die Haut Cellulite-ähnlich verändert („Orangenhaut“ oder „peau d’orange“) und induriert (Abb. 2). In dieser Lokalisation war zudem eine subkutane, nichtverschiebliche Raumforderung tastbar. Die lokoregionären Lymphknoten waren nicht vergrößert tastbar.
Abb. 2
In der ventralen Nahaufnahme zeigen sich zirkulär im Bereich der Peniswurzel verruköse, hautfarbene bis bräunliche Papeln, die zu Plaques konfluieren. Auch in dieser Aufnahme imponiert ein gut abgrenzbares Skrotalödem
Bild vergrößern

Diagnostik

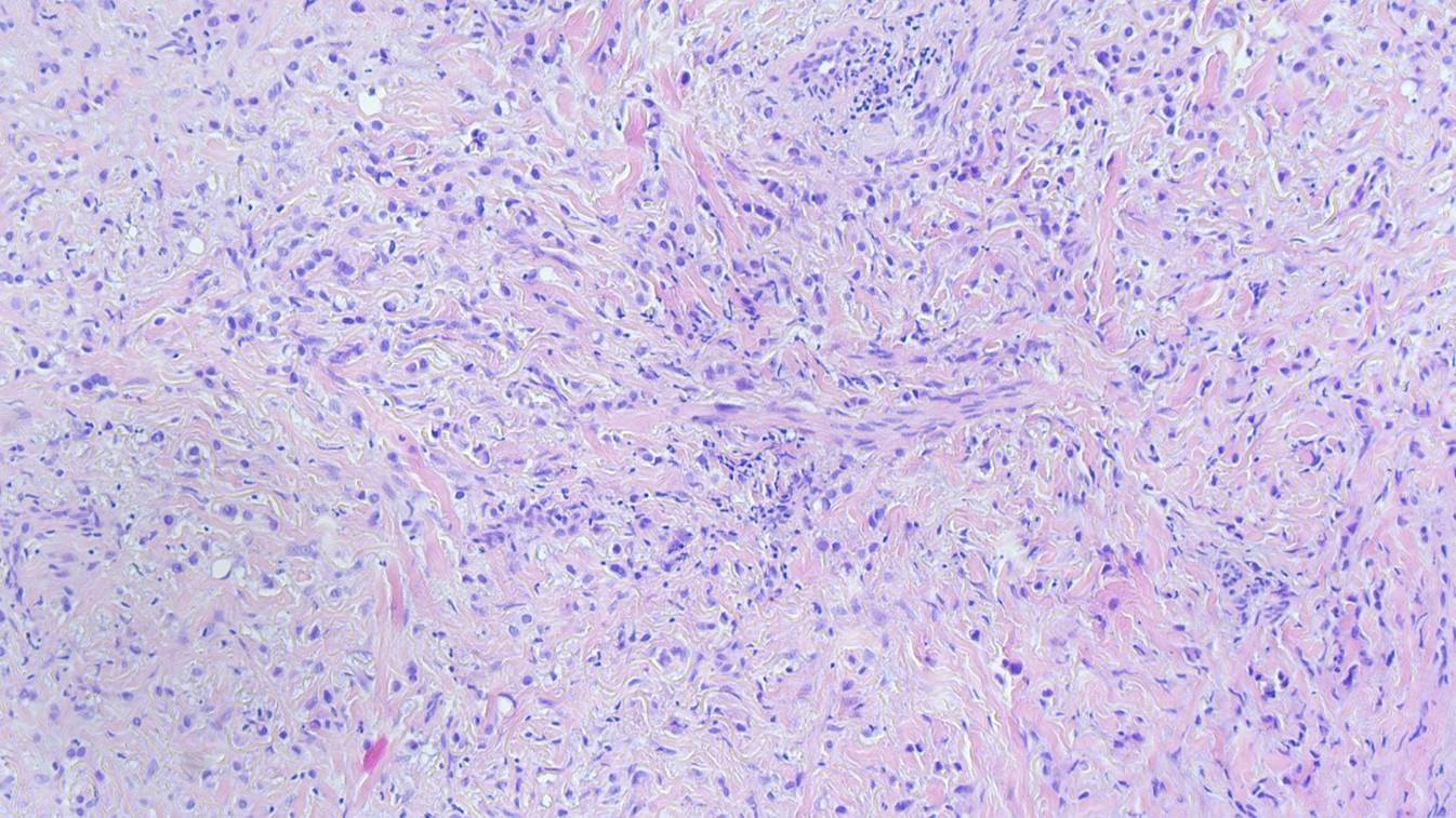
Aufgrund der Akuität der Symptomatik, ungewöhnlichen Lokalisation des Ödems und raschen Progression entschieden wir uns zur Entnahme einer spindelförmigen Hautbiopsie zur weiterführenden Diagnostik. Histologisch zeigten sich im Bereich der Lederhaut diffus einzelzellig und infiltrativ wachsende, plasmazytoide Tumorzellen (Abb. 3). In den immunhistochemischen Zusatzuntersuchen zeigten diese Infiltrate CK20- und CK7-Reaktivität (Abb. 4), eine nukleäre Expression von GATA3 (Abb. 5) und teilweise Positivität gegenüber dem proliferationsassoziierten Antigen Ki67 (Mib1) bei negativer Reaktion gegenüber CK5/6, Östrogenrezeptor, CD68, Androgenrezeptor, CDX2 und NKX3.1.
Abb. 3
Diffus einzelzellig und infiltrativ wachsende, plasmazytoide Tumorzellen innerhalb der Lederhaut. (Hämatoxylin-Eosin-Färbung, Originalvergrößerung 100:1)
Bild vergrößern
Abb. 4
Immunhistochemische Untersuchung mit deutlicher Positivität für CK7. (Originalvergrößerung 100:1)
Bild vergrößern
Abb. 5
Immunhistochemische Untersuchung mit deutlicher Positivität für GATA3. (Originalvergrößerung 100:1)
Bild vergrößern

Labor

  • Kreatinin 2,82 mg/dl (Normbereich: 0,5–1,1 mg/dl)
  • Glomeruläre Filtrationsrate 20 ml/min (Normbereich: 90–120 ml/min)
  • Hämoglobin 7,6 g/dl (Normbereich: 13,5–17,5 g/dl)
  • Leukozyturie
  • Geringgradige Proteinurie

Diagnose

  • Diffuse kutane Infiltration eines plasmazytoiden Urothelkarzinoms mit sekundärem, lokalisiertem Lymphödem

Therapie und Verlauf

Klinik, Histologie und immunhistochemische Zusatzuntersuchungen sprachen für eine diffuse kutane Infiltration eines plasmazytoiden Urothelkarzinoms mit sekundärem, lokalisiertem Lymphödem. In einer ergänzenden MRT-Untersuchung des Abdomens und Beckens zeigte sich eine ausgeprägte, großflächige Wandverdickung der rechten lateralen, dorsalen und kranialen Anteile der Harnblase. Komplettierende Staginguntersuchungen konnten lokoregionäre Lymphknotenmetastasen und Fernmetastasen ausschließen. In transurethral gewonnenem Tumorgewebe ließ sich eine PD-L1(„programmed death ligand 1“)-Expression nachweisen. Aufgrund des lokal fortgeschrittenen Tumors mit diffuser Infiltration der Kutis (pT4b cN0 cM0, Stadium IVA nach WHO-Klassifikation 2016 [4]) erfolgte durch die behandelnden urologischen Kollegen schließlich die Einleitung einer Immuntherapie mit Pembrolizumab.

Diskussion

Lokalisierte Lymphödeme der Genitalregion sind insgesamt seltene Erkrankungen. Von primären Formen sind sekundäre Formen abzugrenzen, die infolge einer exogenen Schädigung von Lymphgefäßen entstehen. Ihnen können Infektionen wie rezidivierende Erysipele oder urogenitale Tuberkulosen, operative Eingriffe, Radiotherapien oder – wie im geschilderten Fall – tumoröse Prozesse zugrunde liegen [2, 3, 6].
Differenzialdiagnostisch kann bei urogenital lokalisierten Lymphödemen auch ein sog. massives lokalisiertes Lymphödem („verrucous localized lymphedema“) vorliegen, welches Adipositas-assoziiert auftritt und sich mit polypoiden Läsionen der Inguinalregion und/oder der unteren Extremität manifestiert. Vermutete Ursache dieser Erkrankung ist eine Kompression lokaler Lymphgefäße durch schwere, herabhängende Körperfalten [8].
Unabdingbar ist der Ausschluss maligner Grunderkrankungen. Eine Infiltration der Haut durch Urothelkarzinome wie im vorliegenden Fall ist jedoch selten. Deutlich häufiger tritt eine kutane Beteiligung bei Mammakarzinomen auf [5]. Eine Infiltration von Lymphgefäßen durch Tumorzellen (Lymphangiosis carcinomatosa) führt zu „peau d’orange“-artigen Veränderungen der Hautoberfläche. Ein weiterer Mechanismus in der Entstehung maligner Lymphödeme ist eine direkte, tumorbedingte Kompression lokoregionärer Lymphgefäße. Meist führt eine Kombination beider Mechanismen zur Ausbildung erheblicher ödematöser Schwellungen [9].
Insbesondere bei umschriebenen Lymphödemen ist daher eine sorgfältige klinische Untersuchung der betroffenen Region inklusive Palpation der angrenzenden Lymphknotenstationen vorzunehmen. Ein noch unentdeckter Tumor – wie in unserem Fall –, aber auch ein Rezidiv eines bereits bekannten Tumors sollten ausgeschlossen werden. Ergänzende radiologische Diagnostik kann zur weiteren Einordnung hilfreich sein. Ein akuter Beginn der Symptomatik, rasche Progression, Schmerzhaftigkeit und tastbare Tumorinfiltrationen sind wichtige Kriterien zur Unterscheidung maligner Lymphödeme von benignen Formen [9].
Das bei unserem Patienten diagnostizierte plasmazytoide Urothelkarzinom gehört zu den High-grade-Tumoren mit aggressivem Verlauf und schlechter Prognose [4]. Zur Therapie lokal fortgeschrittener oder nichtresektabler Tumoren werden neben Cisplatin-basierten Chemotherapien zunehmend Checkpointinhibitoren eingesetzt. Insbesondere der PD-1(„programmed cell death protein 1“)-Antikörper Pembrolizumab gehört mittlerweile zu den etablierten Therapieverfahren für Karzinome mit positivem PD-L1-Status [7]. Analog zum malignen Melanom wird eine Therapie mit Checkpointinhibitoren auch im neoadjuvanten Setting beim muskelinvasiven Harnblasenkarzinom diskutiert und scheint nach aktuellem Kenntnisstand vorteilhaft hinsichtlich des progressionsfreien Überlebens zu sein [1].

Fazit für die Praxis

  • Lokalisierte Lymphödeme der Urogenitalregion bedürfen einer weiteren diagnostischen Abklärung.
  • Als sog. sekundäre maligne Lymphödeme können sie einziges Symptom eines klinisch noch unentdeckten Tumors sein.
  • Insbesondere akuter Beginn, rasche Progression und Schmerzhaftigkeit sind Hinweise für das Vorliegen eines malignen Lymphödems und sollten eine dezidierte Diagnostik nach sich ziehen.

Einhaltung ethischer Richtlinien

Interessenkonflikt

S.-N. Burmann, A.-L. Michalowitz, F. Oellig, A. Kreuter und J. Matull geben an, dass kein Interessenkonflikt besteht.
Für diesen Beitrag wurden von den Autor/-innen keine Studien an Menschen oder Tieren durchgeführt. Für die aufgeführten Studien gelten die jeweils dort angegebenen ethischen Richtlinien. Für Bildmaterial oder anderweitige Angaben innerhalb des Manuskripts, über die Patient/-innen zu identifizieren sind, liegt von ihnen und/oder ihren gesetzlichen Vertretern/Vertreterinnen eine schriftliche Einwilligung vor.
Open Access Dieser Artikel wird unter der Creative Commons Namensnennung 4.0 International Lizenz veröffentlicht, welche die Nutzung, Vervielfältigung, Bearbeitung, Verbreitung und Wiedergabe in jeglichem Medium und Format erlaubt, sofern Sie den/die ursprünglichen Autor(en) und die Quelle ordnungsgemäß nennen, einen Link zur Creative Commons Lizenz beifügen und angeben, ob Änderungen vorgenommen wurden.
Die in diesem Artikel enthaltenen Bilder und sonstiges Drittmaterial unterliegen ebenfalls der genannten Creative Commons Lizenz, sofern sich aus der Abbildungslegende nichts anderes ergibt. Sofern das betreffende Material nicht unter der genannten Creative Commons Lizenz steht und die betreffende Handlung nicht nach gesetzlichen Vorschriften erlaubt ist, ist für die oben aufgeführten Weiterverwendungen des Materials die Einwilligung des jeweiligen Rechteinhabers einzuholen.
Weitere Details zur Lizenz entnehmen Sie bitte der Lizenzinformation auf http://creativecommons.org/licenses/by/4.0/deed.de.

Hinweis des Verlags

Der Verlag bleibt in Hinblick auf geografische Zuordnungen und Gebietsbezeichnungen in veröffentlichten Karten und Institutsadressen neutral.
download
DOWNLOAD
print
DRUCKEN
Titel
Plasmazytoides Urothelkarzinom: eine seltene Ursache des lokalisierten Lymphödems
Verfasst von
Sven-Niklas Burmann
Alena-Lioba Michalowitz
Frank Oellig
Prof. Dr. med. Alexander Kreuter
Johanna Matull
Publikationsdatum
08.05.2024
Verlag
Springer Medizin
Erschienen in
Die Dermatologie / Ausgabe 9/2024
Print ISSN: 2731-7005
Elektronische ISSN: 2731-7013
DOI
https://doi.org/10.1007/s00105-024-05358-z
1.
Zurück zum Zitat Basile G, Bandini M, Gibb EA et al (2022) Neoadjuvant Pembrolizumab and Radical Cystectomy in Patients with Muscle-Invasive Urothelial Bladder Cancer: 3‑Year Median Follow-Up Update of PURE-01 Trial. Clin Cancer Res 28:5107–5114CrossRefPubMed
2.
Zurück zum Zitat Figueiredo AA, Lucon AM, Srougi M (2017) Urogenital Tuberculosis. Microbiol Spectr 5:120–124
3.
Zurück zum Zitat Garfein ES, Borud LJ, Warren AG et al (2008) Learning from a lymphedema clinic: an algorithm for the management of localized swelling. Plast Reconstr Surg 121:521–528CrossRefPubMed
4.
Zurück zum Zitat Humphrey PA, Moch H, Cubilla AL et al (2016) The 2016 WHO Classification of Tumours of the Urinary System and Male Genital Organs-Part B: Prostate and Bladder Tumours. Eur Urol 70:106–119CrossRefPubMed
5.
Zurück zum Zitat Krathen RA, Orengo IF, Rosen T (2003) Cutaneous metastasis: a meta-analysis of data. South Med J 96:164–167CrossRefPubMed
6.
Zurück zum Zitat Lu S, Tran TA, Jones DM et al (2009) Localized lymphedema (elephantiasis): a case series and review of the literature. J Cutan Pathol 36:1–20CrossRefPubMed
7.
Zurück zum Zitat Ohlmann CH, Kerkmann M, Holtmann L et al (2022) Quality assurance for the treatment of muscle-invasive and metastasized bladder carcinoma in. Urologie, Bd. 61. An initiative of the Working Groups Urological Oncology (AUO) and Internal Oncology (AIO) in the German Cancer Society (DKG), Germany, S 1351–1364
8.
Zurück zum Zitat Plaza JA, Requena L, Kazakov DV et al (2014) Verrucous localized lymphedema of genital areas: clinicopathologic report of 18 cases of this rare entity. J Am Acad Dermatol 71:320–326CrossRefPubMed
9.
Zurück zum Zitat Soucek-Hadwiger B, Doller W (2006) Secondary malignant lymphedema. Wien Med Wochenschr 156:309–313CrossRefPubMed

Neu im Fachgebiet Onkologie

Beeinflusst Farbenblindheit die Blasenkrebsprognose?

Forschende aus den USA sind in elektronischen Gesundheitsakten auf einen Zusammenhang von Farbenblindheit und Blasenkarzinomen gestoßen. Was zunächst merkwürdig klingt, lässt sich prinzipiell recht schlüssig erklären …

Risikoreduzierende Mastektomie könnte Frauenleben retten

Trägerinnen von pathogenen Varianten des BRCA1- oder BRCA2-Gens, die sich zur Risikosenkung einer bilateralen Mastektomie unterziehen, erkranken seltener an Brustkrebs. Doch reduziert die Brustoperation auch die Gesamtmortalität? Ein Studienteam hat nachgesehen.

Männer mit höherer Tumorlast bei multiplem Myelom

Bei Männern mit multiplem Myelom ist die Tumorlast zum Zeitpunkt der Diagnose im Schnitt höher als bei Frauen. In der IMAGE-Studie wurde nach Erklärungen gesucht.

Massiv erhöhtes CA 19-9 weckt falschen Krebsverdacht

Massiver Gewichtsverlust, erhöhte Cholestaseparameter und ein extrem hoher Wert des Tumormarkers CA-19-9 bei einem Diabetiker werden als Zeichen eines Pankreaskarzinoms gedeutet. Doch Krebsangst und Tumorsuche hätten dem Mann erspart werden können.

Update Onkologie

Bestellen Sie unseren Fach-Newsletter und bleiben Sie gut informiert.

Bildnachweise
Ödem, welches Mons pubis, Peniswurzel und Skrotum einbezieht/© S.-N. Burmann et al. doi.org/10.1007/s00105-024-05358-z unter CC-BY 4.0, Blut in Toilette/© stylefoto24 / stock.adobe.com, Frau nach Mastektomie/© chotiga / Stock.adobe.com (Symbolbild mit Fotomodell), Einem Mann wird Blut abgenommen/© Kzenon / Stock.adobe.com (Symbolbild mit Fotomodell), Blutabnahme /© © Chutipon / Stock.adobe.com (Symbolbild mit Fotomodell)