Zum Inhalt
Arthroskopie

Kombinationstherapie bei radiärer Meniskusläsion und Varusdeformität des Kniegelenks

Erschienen in:

Zusammenfassung

Varisch ausgerichtete Beinachsen gelten als Risikofaktor für die Entstehung von radiären Rissen des medialen Meniskus. Im Rahmen dieses Fallberichts wird ein Therapieschema bei radiären Meniskusläsionen, kombiniert mit einer varischen Beinachse, diskutiert. Dieser Fallberichtet berichtet über einen 44-jährigen Mann, der trotz sechsmonatiger konservativer Therapie über medialseitige Schmerzen des linken Knies klagte. Die weiterführende Diagnostik zeigte eine radiäre Läsion des medialen Meniskus bei vorbestehender varischer Beinachse des linken Beins. Neben einer Behandlung der radiären Meniskusläsion, wurde zusätzlich eine medial öffnende hohe tibiale Osteotomie (HTO) durchgeführt. Nach einer initialen sechswöchigen vollständigen Entlastung inkl. Bewegungslimitierung mittels Orthese, wurde die Belastung in den folgenden sechs bis acht Wochen, bis zur Vollbelastung, gesteigert. Nach zwölf Wochen zeigte sich ein nahezu beschwerdefreies Patientenbild. Die Korrektur beider Anomalien, sowie die Wahl des Nahtverfahrens der Meniskusläsion, kann sich langfristig positiv auf das Ergebnis auswirken und zu einer schnelleren Wiedereingliederung in das Alltags- bzw. Berufsleben führen.
QR-Code scannen & Beitrag online lesen

Hinweis des Verlags

Der Verlag bleibt in Hinblick auf geografische Zuordnungen und Gebietsbezeichnungen in veröffentlichten Karten und Institutsadressen neutral.
Durch die physiologische Fixierung des medialen Meniskus an der Gelenkkapsel und dem tiefen Anteil des Ligamentum collaterale mediale, ist die Beweglichkeit eingeschränkt und das Verletzungsrisiko dadurch erhöht [1]. Die Anordnung der kollagenen Fasern entlang des sichelförmigen Meniskus, bildet eine Ringspannung und führt zu einer gleichmäßigen Druckverteilung vom Femur auf die Tibia. Kommt es im Rahmen eines radiären Risses zu einer Unterbrechung dieser Spannung, sind Defizite in der Stabilität und Belastbarkeit des Meniskus die Folge. Die Wiederherstellung der Ringspannung mit dem Ziel, die Meniskusfunktion und die biomechanische Integrität zu sichern, sollte daher im Vordergrund stehen. Ozeki et al. [2] beschrieben bei der Meniskusnaht, im Vergleich zur Teilresektion des Meniskus, eine erhöhte Reoperationsrate, wobei sich jedoch im 16-Jahres-Verlauf ein erhöhtes Risiko für eine symptomatische und radiologische Osteoarthrose zeigte. Daher sollte die Meniskusnaht, sofern möglich, immer einer Resektion vorgezogen werden. Beamer et al. [3] fanden eine höhere Belastbarkeit sowie geringere Verschieblichkeit bei einer vertikalen All-inside-Nahttechnik eines Radiärrisses des medialen Meniskus, im Vergleich zur herkömmlichen horizontalen Inside-out-Methode. Als wesentlicher Fortschritt erwies sich hierbei eine Verstärkung der Nahtkonstruktion mittels Rip-Stop-Nähten, welche im Vergleich zu nichtverstärkten Konstruktionen die beste Stabilität erbringen [4]. Die derzeit gängigsten Nahttechniken eines Radiärrisses des Meniskus sind in Abb. 1 dargestellt [5]. Dieser Case Report beschäftigt sich insbesondere mit der Rebar-Methode. Hierbei werden zuerst vertikale, anteriore und posteriore Matratzennähte durchgeführt. Anschließend werden zwei horizontal verlaufende Nähte neben die beiden Vertikalen gesetzt (Abb. 1c). Durch diese Kombination kommt es zu einer Verstärkung der zirkumferenziellen Fasern des Meniskus und damit zu einer Rekonstruktion der Ringspannung sowie zu einer geringeren Versagensrate der Rekonstruktion [5].
Abb. 1
a Paralleles Verfahren. b Überkreuztes Verfahren. c Rebar-Methode. d–f Kadaveransichten der vorher genannten Methoden. (Aus [5])
Bild vergrößern
Normwerte für die Beinasche gemessen an der Mikulicz-Linie werden nach Paley et al. [6] mit einer medialen Abweichung der Beinachse von 9 ± 7 mm angegeben. Ein Genu varum kann diagnostiziert werden, wenn eine mediale Abweichung der Beinachse über den angegebenen Normwert besteht.
Zu den wichtigsten Indikationen einer „high tibial osteotomy“ (HTO) bei varischer Beinachsendeformität gehören vor allem isolierte Knorpeldefekte im medialen Anteil des Kniegelenks sowie Rekonstruktionen des Außenbands und mediale Meniskusläsionen. Die HTO lässt sich in erster Linie als Entlastungsmaßnahme sehen, welche zusätzlich einen verbesserten Heilungsprozess generiert. Rezente Studien konnten zeigen, dass sowohl das Knieadduktionsmoment (KAM) als auch das Kniebeugemoment (KFM) nach einer HTO deutlich abgenommen haben [713]. Das KAM stellt eine Ersatzform für die Kniekontaktkraft (KCF) dar und eignet sich dabei gut, die Belastung auf das mediale Kompartiment während der gesamten bzw. der frühen Standphase zu prognostizieren [7, 14]. Lerner et al. [7, 15] stellten zudem fest, dass bei jeder Abweichung der tibiofemoralen Ausrichtung (TF-Ausrichtung) um 1° der erste mediale Spitzenwert des KCF um 51 N verändert wurde. Generell sollte eine ausgewogene Belastung zwischen dem medialen und lateralen Kompartiment stattfinden. Insgesamt herrscht in der Literatur Inhomogenität hinsichtlich der Achsstellung, welche zu einer ausgewogenen Kraftverteilung führt. Der Valguswinkel reicht dabei von 1,7° [16] bis 4,5° [17]. Im Rahmen dieses Fallberichts soll die Kombination einer HTO in Verbindung mit einer medialen Meniskusrekonstruktion beleuchtet werden.

Fallbericht

Anamnese

Es handelt sich um einen 44-jährigen Mann, der nach sechsmonatiger konservativer Therapie noch immer Schmerzen im medialen Anteil des linken Knies angibt.

Befund und Diagnostik

Die klinische Untersuchung zeigte eine regelkonforme „range of motion“ (ROM) im Kniegelenk mit den Werten 5/0/130° und eine Außen‑/Innenrotation von 30/0/15, welche ebenfalls als physiologisch zu betrachten ist. Darüber hinaus konnten weder eine Erschlaffung der Bänder, noch Instabilitäten im Bereich des femorotibialen oder des patellofemoralen Gelenks festgestellt werden. Dennoch konnte ein empfindlicher Punkt am medialen Gelenkanteil ausgemacht werden, welcher sich im Rahmen eines positiven McMurray-Tests auf den medialen Meniskus projizieren ließ. Neben einer anteroposterioren und seitlichen Röntgenaufnahme des Knies, wurden zusätzlich eine präoperative MRT und eine stehende Ganzbeinaufnahmen (Abb. 2) angefertigt. In Letzterer konnte eine varische Abkippung des Tibiaplateaus mit einem mechanischen medialen proximalen Tibiawinkel (mMPTA) von 83 Grad festgestellt werden (Abb. 2a).
Abb. 2
Die beiden Röntgenaufnahmen zeigen die Planung des operativen Eingriffs. a Präoperative Ganzbeinaufnahme des Patienten im anteroposterioren Strahlengang. b Planung der medial öffnenden HTO
Bild vergrößern

Diagnose

Durch die Abweichung des Tibiaplateau-Mittelpunkts nach medial, lässt sich am linken Bein ein Genu varum diagnostizieren. Auch der Winkel zwischen mechanischer Femurachse und mechanischer Tibiaachse (mechanischer tibiofemoraler Winkel, FSA-mTA) mit −1,1 Grad und die mechanische Achsabweichung (MAD) von 32 mm, sind als pathologisch zu werten (Abb. 2a). Zusätzlich lässt sich in der MRT im Bereich der Intermediärzone bzw. des Hinterhorns des medialen Meniskus des linken Beins, ein komplexer radiärer Einriss erkennen. Im Rahmen dessen, konnte auch eine mediale Extrusion des Meniskus festgestellt werden.

Therapie und Verlauf

Neben einer Behandlung der radiären Verletzung des medialen Meniskus mittels Rebar-Nahttechnik (Abb. 3), wurde zusätzlich eine medial öffnende HTO zur Korrektur der varischen Beinachse und zur Entlastung des medialen Kompartiments geplant (Abb. 2b). Nach der operativen Versorgung, erfolgte die Röntgenkontrolle im anteroposterioren (Abb. 4a) und seitlichen Strahlengang (Abb. 4b). Zusätzlich wurden Beinganzaufnahmen zur Kontrolle der Winkelverhältnisse angefertigt (Abb. 4c). Da die Ergebnisse mit der Planung übereinstimmten, wurde dem Patienten eine komplette Entlastung für sechs Wochen, mit anschließender schrittweiser Erhöhung der Belastung bis hin zur Vollbelastung in den Wochen sechs bis acht, empfohlen. Während der ersten zwei Wochen soll das Bein mittels Knieorthese in Streckstellung und danach für vier Wochen auf 0/0/90° limitiert werden. Zwölf Wochen nach der Operation wurde eine Folgeuntersuchung durchgeführt, die ein nahezu beschwerdefreies Patientenbild zeigte.
Abb. 3
Arthroskopische Darstellung des medialen Meniskus vor der Durchführung der Rebar-Naht (a), nach der Platzierung des Rip-Stops (b) und nach Abschluss der Rebar-Naht (c)
Bild vergrößern
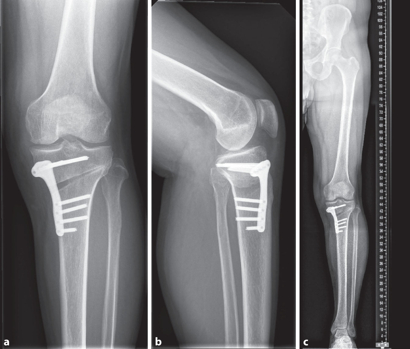
Abb. 4
Darstellung der postoperativen Ergebnisse. a Postoperatives Röntgenbild des Kniegelenks im anteroposterioren Strahlengang. b Postoperatives Röntgenbild des Kniegelenks im seitlichen Strahlengang. c Postoperative Beinganzaufnahme
Bild vergrößern

Diskussion

Die durch Mameri et al. [4] beschriebenen Menisci übernehmen essenzielle Aufgaben bezüglich dynamischer Lastverteilung, Propriozeption, Kongruenz und Stabilität im Tibiofemoralgelenk. Durch die unter Knieverletzungen anteilsmäßig hohe Häufigkeit an Meniskusrissen, liegt deren Versorgung im aktuellen Fokus [4]. In diesem Case Report soll der radiäre Riss in Verbindung mit einer medial öffnenden HTO, zur Entlastung des medialen Kompartments, näher beleuchtet werden. Bei dieser Rissart kommt es zur Diskonnektion der zirkumferenziellen Fasern des Meniskus [4]. Da diese Fasern laut Mameri et al. [4] eine Umwandlung axialer Belastung in Ringspannung initiieren, kann eine Läsion zu erhöhtem Kontaktdruck und damit einhergehender Meniskusextrusion sowie gesteigertem Knorpelverschleiß führen. Wu et al. [18] untersuchten anhand 104 radiärer Risse im Hinterhorn des Meniskus die dafür wahrscheinlichsten Risikofaktoren. Dabei konnte neben einem erhöhten Alter und einer schweren Degeneration des Kniegelenkknorpels auch eine varische Beinachse als Prädisposition für die Entstehung von radiären Rissen ausgemacht werden [18]. Allgemein verschiebt sich der therapeutische Trend dieser Pathologie aufgrund der Folgeerscheinungen, wie beispielsweise der Funktionsverlust des Meniskus und die damit einhergehende Arthrose, immer mehr in Richtung meniskuserhaltender Verfahren [18].
In Bezug auf die Nahttechnik konnte zwischen parallel und überkreuzt gesetzten Nähten des Meniskus kein Unterschied hinsichtlich der „load to failure“ (LTF) festgestellt werden [5]. Dagegen konnte die Rebar-Methode im unmittelbaren Vergleich einer höheren Belastung als die anderen beiden Nahttechniken standhalten [5]. Wie oben beschrieben, kommt es bei dieser Kombination aus vertikalen und horizontalen Matratzennähten, zusätzlich zu einer Verstärkung der zirkumferenziellen Fasern und zur Rekonstruktion der Ringspannung [5]. Aufgrund dieser empirischen Argumentationskette entschied man sich auch im vorliegenden Fall für eine Rebar-Naht des medialen Meniskus.
Die HTO kann in Verbindung mit der Meniskusreparatur zur Schonung des pathologischen Bereichs beitragen. Dabei kann die mechanische Achse des Beins so ausgerichtet werden, dass die Lasten adäquat verteilt und der geschädigte Meniskus bzw. Gelenkknorpel entlastet wird. Folglich kommt es zu einer Schmerzreduktion und zu einer verbesserten Funktion des Kniegelenks [2]. Dies bestätigte sich auch in einer systematischen Übersichtsarbeit von Ekhtiari et al. [19], wobei die Mehrheit der Patienten innerhalb eines Jahres nach HTO, wieder Sport und Arbeit meistern konnten. Zusätzlich berichteten zwei Drittel der Patienten von einer gleichen oder höheren körperlichen Belastbarkeit als vor der HTO [19]. Hier schließen sich die Ergebnisse von Nakayama et al. [20] an, welche über ein schlechteres Outcome berichteten, wenn bei einer varischen Achsendeformität (% der mechanischen Achse weniger als 30 %) lediglich der Meniskus operativ versorgt wurde.
Die HTO diente im präsentierten Fall der Korrektur der varischen Beinachse von 9° auf 2,4°. Auch der MAD konnte dadurch von 32 auf 8 mm gesenkt und der FSA-mTA von −1,1° auf 5,5° erhöht werden. Wie oben genannt, zielte dieses Prozedere auf eine adäquate Kraftverteilung und eine Stressabnahme des geschädigten medialen Meniskus ab. Dadurch soll einerseits das Risiko für ein Versagen der Meniskusnaht reduziert und andererseits eine Verbesserung der Symptomatik erreicht werden.
Grundsätzlich lässt sich in der Literatur ein aktueller Trend zur meniskuserhaltenden Therapie („Save the Meniscus“) erkennen. Dabei konnte die Rebar-Methode durch eine höhere Belastbarkeit, ein geringes Risiko für Ausrissverletzungen und die Wiederherstellung der Ringspannung überzeugen. Die Kombination aus Meniskusnaht und HTO kann bei Patienten mit varischen Beinachsen und Meniskusverletzungen nach adäquater Indikationsstellung sinnvoll sein und dadurch eine verbesserte Lastenverteilung zwischen medialem und lateralem Kompartment sowie eine Entlastung des geschädigten Meniskus bieten. In weiterer Folge kann diese Kombinationstherapie, wie auch in diesem Fall gezeigt, zu einer Schmerzreduktion, einer Verbesserung des funktionellen Outcomes und einer raschen Wiedereingliederung in den Alltag führen [2].

Einhaltung ethischer Richtlinien

Interessenkonflikt

J. Macek, R. Schrödter und S.F. Fischerauer geben an, dass kein Interessenkonflikt besteht.
Für diesen Beitrag wurden von den Autor/-innen keine Studien an Menschen oder Tieren durchgeführt. Für die aufgeführten Studien gelten die jeweils dort angegebenen ethischen Richtlinien. Für Bildmaterial oder anderweitige Angaben innerhalb des Manuskripts, über die Patient/-innen zu identifizieren sind, liegt von ihnen und/oder ihren gesetzlichen Vertretern/Vertreterinnen eine schriftliche Einwilligung vor.
Open Access Dieser Artikel wird unter der Creative Commons Namensnennung 4.0 International Lizenz veröffentlicht, welche die Nutzung, Vervielfältigung, Bearbeitung, Verbreitung und Wiedergabe in jeglichem Medium und Format erlaubt, sofern Sie den/die ursprünglichen Autor(en) und die Quelle ordnungsgemäß nennen, einen Link zur Creative Commons Lizenz beifügen und angeben, ob Änderungen vorgenommen wurden. Die in diesem Artikel enthaltenen Bilder und sonstiges Drittmaterial unterliegen ebenfalls der genannten Creative Commons Lizenz, sofern sich aus der Abbildungslegende nichts anderes ergibt. Sofern das betreffende Material nicht unter der genannten Creative Commons Lizenz steht und die betreffende Handlung nicht nach gesetzlichen Vorschriften erlaubt ist, ist für die oben aufgeführten Weiterverwendungen des Materials die Einwilligung des jeweiligen Rechteinhabers einzuholen. Weitere Details zur Lizenz entnehmen Sie bitte der Lizenzinformation auf http://​creativecommons.​org/​licenses/​by/​4.​0/​deed.​de.

Hinweis des Verlags

Der Verlag bleibt in Hinblick auf geografische Zuordnungen und Gebietsbezeichnungen in veröffentlichten Karten und Institutsadressen neutral.

Unsere Produktempfehlungen

Arthroskopie und Gelenkchirurgie

Print-Titel

Umfassende Reviews zu aktuellen arthroskopischen Fragestellungen sowie Tipps und Tricks zur endoskopischen Untersuchung und Chirurgie der Gelenke


e.Med Interdisziplinär

Kombi-Abonnement

Für Ihren Erfolg in Klinik und Praxis - Die beste Hilfe in Ihrem Arbeitsalltag

Mit e.Med Interdisziplinär erhalten Sie Zugang zu allen CME-Fortbildungen und Fachzeitschriften auf SpringerMedizin.de.

e.Med Orthopädie & Unfallchirurgie

Kombi-Abonnement

Mit e.Med Orthopädie & Unfallchirurgie erhalten Sie Zugang zu CME-Fortbildungen der Fachgebiete, den Premium-Inhalten der dazugehörigen Fachzeitschriften, inklusive einer gedruckten Zeitschrift Ihrer Wahl.

download
DOWNLOAD
print
DRUCKEN
Titel
Kombinationstherapie bei radiärer Meniskusläsion und Varusdeformität des Kniegelenks
Verfasst von
Jannis Macek
Dr.med.univ. René Schrödter
Univ. F.A. PD Mag.rer.nat. Dr.med.univ. Dr.scient.med. Stefan Franz Fischerauer
Publikationsdatum
30.06.2025
Verlag
Springer Medizin
Erschienen in
Arthroskopie / Ausgabe 4/2025
Print ISSN: 0933-7946
Elektronische ISSN: 1434-3924
DOI
https://doi.org/10.1007/s00142-025-00785-z
1.
Zurück zum Zitat Fox AJS, Bedi A, Rodeo SA (2012) The basic science of human knee menisci: structure, composition, and function. Sports Health. https://​doi.​org/​10.​1177/​1941738111429419​CrossRefPubMedPubMedCentral
2.
Zurück zum Zitat Ozeki N, Seil R, Krych AJ, Koga H (2021) Surgical treatment of complex meniscus tear and disease: state of the art https://​doi.​org/​10.​1136/​jisakos-2019-000380CrossRef
3.
Zurück zum Zitat Beamer BS et al (2015) Analysis of a new all-inside versus inside-out technique for repairing radial meniscal tears. Arthroscopy. https://​doi.​org/​10.​1016/​j.​arthro.​2014.​08.​011CrossRefPubMed
4.
Zurück zum Zitat Mameri ES et al (2023) Meniscus radial tears: current concepts on management and repair techniques https://​doi.​org/​10.​1007/​s12178-023-09831-5CrossRef
5.
Zurück zum Zitat Massey P, McClary K, Parker D, Barton RS, Solitro G (2019) The Rebar repair for radial meniscus tears: a biomechanical comparison of a reinforced suture repair versus parallel and cross-stitch techniques. J Exp Orthop. https://​doi.​org/​10.​1186/​s40634-019-0206-4CrossRefPubMedPubMedCentral
6.
Zurück zum Zitat Paley D, Herzenberg JE, Tetsworth K, McKie J, Bhave A (1994) Deformity planning for frontal and sagittal plane corrective osteotomies https://​doi.​org/​10.​1016/​s0030-5898(20)31927-1CrossRef
7.
Zurück zum Zitat Liu X, Chen Z, Gao Y, Zhang J, Jin Z (2019) High tibial osteotomy: review of techniques and biomechanics https://​doi.​org/​10.​1155/​2019/​8363128CrossRef
8.
Zurück zum Zitat Lind M, McClelland J, Wittwer JE, Whitehead TS, Feller JA, Webster KE (2013) Gait analysis of walking before and after medial opening wedge high tibial osteotomy. Knee Surg Sports Traumatol Arthrosc. https://​doi.​org/​10.​1007/​s00167-011-1496-yCrossRefPubMed
9.
Zurück zum Zitat Leitch KM, Birmingham TB, Dunning CE, Giffin JR (2015) Medial opening wedge high tibial osteotomy alters knee moments in multiple planes during walking and stair ascent. Gait Posture. https://​doi.​org/​10.​1016/​j.​gaitpost.​2015.​05.​005CrossRefPubMed
10.
Zurück zum Zitat Marriott K, Birmingham TB, Kean CO, Hui C, Jenkyn TR, Giffin JR (2015) Five-year changes in gait biomechanics after concomitant high tibial osteotomy and ACL reconstruction in patients with medial knee osteoarthritis. Am J Sports Med. https://​doi.​org/​10.​1177/​0363546515591995​CrossRefPubMed
11.
Zurück zum Zitat da Silva HGPV, Zorzi AR, da Silva HPV, de Miranda JB (2018) Gait analysis in short-term follow-up of medial opening wedge high tibial osteotomy. Eur J Orthop Surg Traumatol. https://​doi.​org/​10.​1007/​s00590-017-2099-1CrossRefPubMed
12.
Zurück zum Zitat Meyer AJ, D’Lima DD, Besier TF, Lloyd DG, Colwell CW, Fregly BJ (2013) Are external knee load and EMG measures accurate indicators of internal knee contact forces during gait? J Orthop Res. https://​doi.​org/​10.​1002/​jor.​22304CrossRefPubMed
13.
Zurück zum Zitat Bhatnagar T, Jenkyn TR (2010) Internal kinetic changes in the knee due to high tibial osteotomy are well-correlated with change in external adduction moment: an osteoarthritic knee model. J Biomech. https://​doi.​org/​10.​1016/​j.​jbiomech.​2010.​05.​001CrossRefPubMed
14.
Zurück zum Zitat Kutzner I, Trepczynski A, Heller MO, Bergmann G (2013) Knee adduction moment and medial contact force-facts about their correlation during gait. PLoS ONE. https://​doi.​org/​10.​1371/​journal.​pone.​0081036CrossRefPubMedPubMedCentral
15.
Zurück zum Zitat Lerner ZF, DeMers MS, Delp SL, Browning RC (2015) How tibiofemoral alignment and contact locations affect predictions of medial and lateral tibiofemoral contact forces. J Biomech. https://​doi.​org/​10.​1016/​j.​jbiomech.​2014.​12.​049CrossRefPubMedPubMedCentral
16.
Zurück zum Zitat Martay JL et al (2018) A preliminary modeling investigation into the safe correction zone for high tibial osteotomy. Knee. https://​doi.​org/​10.​1016/​j.​knee.​2017.​12.​006CrossRefPubMed
17.
Zurück zum Zitat Trad Z, Barkaoui A, Chafra M, Tavares JMR (2018) Finite element analysis of the effect of high tibial osteotomy correction angle on articular cartilage loading. Proc Inst Mech Eng H. https://​doi.​org/​10.​1177/​0954411918770706​CrossRefPubMed
18.
Zurück zum Zitat Wu J, Huang JM, Zhao B, Cao JG, Chen X (2016) Risk factors comparison for radial and horizontal tears. J Knee Surg. https://​doi.​org/​10.​1055/​s-0036-1572415CrossRefPubMed
19.
Zurück zum Zitat Ekhtiari S, Haldane CE, De Sa D, Simunovic N, Musahl V, Ayeni OR (2016) Return to work and sport following high tibial osteotomy: a systematic review. J Bone Joint Surg Am. https://​doi.​org/​10.​2106/​JBJS.​16.​00036CrossRefPubMed
20.
Zurück zum Zitat Nakayama H, Kanto R, Kambara S, Iseki T, Onishi S, Yoshiya S (2020) Successful treatment of degenerative medial meniscal tears in well-aligned knees with fibrin clot implantation. Knee Surg Sports Traumatol Arthrosc. https://​doi.​org/​10.​1007/​s00167-019-05758-yCrossRefPubMed

Arthropedia

Grundlagenwissen der Arthroskopie und Gelenkchirurgie erweitert durch Fallbeispiele, Videos und Abbildungen. Zur Fortbildung und Wissenserweiterung, verfasst und geprüft von Expertinnen und Experten der Gesellschaft für Arthroskopie und Gelenkchirurgie (AGA).


Jetzt entdecken!

Neu im Fachgebiet Orthopädie und Unfallchirurgie

Video

S2e-Leitlinie Hallux valgus – in Kürze

Mehr als eine Million Menschen in Deutschland leiden unter Hallux valgus – eine Fehlstellung des Großzehs, die je nach Schweregrad und Symptomen behandelt wird. Welche neuen Empfehlungen die aktualisierte S2e-Leitlinie bietet, erklärt der Orthopäde Prof. Sebastian Baumbach im Interviewformat MedTalk Leitlinie KOMPAKT der Zeitschrift Orthopädie und Unfallchirurgie – kompakt zusammengefasst in sieben Minuten.

MedTalk Leitlinie KOMPAKT

Zwei auf einen Streich: Wie sicher ist der simultane bilaterale Gelenkersatz?

Ein französisch-belgisches Team hat Komplikationsrisiko und Transfusionsraten nach simultanem bilateralem Hüft- bzw. Kniegelenkersatz in mehr als 280 Fällen untersucht. Die Ergebnisse sind vielversprechend, vor allem beim beidseitigen Teilersatz des Kniegelenks.

Krankenkassen erklären sich bereit, therapeutische Wundprodukte weiterhin zu erstatten

  • 05.12.2025
  • EBM
  • Nachrichten

Aktuell gesteigertes Regressrisiko bei der Verordnung therapeutischer Wundauflagen? Vielerorts signalisieren Kassen und KVen schon Entwarnung.

Gelenkinfektion: Datenlage spricht für frühen Wechsel auf orales Antibiotikum

Im Fall einer periprothetischen Gelenkinfektion kann die antibiotische Behandlung wohl frühzeitig von intravenös auf oral umgestellt werden, ohne dass der Therapieerfolg darunter leidet. Das zeigen die Ergebnisse einer neuen Metaanalyse.

Update Orthopädie und Unfallchirurgie

Bestellen Sie unseren Fach-Newsletter und bleiben Sie gut informiert.

Bildnachweise
Arthropedia, Operation an der Hand/© karegg / stock.adobe.com (Symbolbild mit Fotomodellen), Knochensäge im Einsatz bei Knie-TEP/© Issara / stock.adobe.com (Symbolbild mit Fotomodellen), Versorgung einer infizierten Wunde bei diabetischem Fuß/© kirov1969 / Stock.adobe.com (Symbolbild mit Fotomodellen), Älterer Mann schaut kritisch auf Tabletten/© Mediteraneo / stock.adobe.com (Symbolbild mit Fotomodell)