Zum Inhalt

Metabolische-Dysfunktion-assoziierte Steatotische Lebererkrankung und Metabolische-Dysfunktion-assoziierte Steatohepatitis: ein Update

No more watchful waiting!

Erschienen in:

Zusammenfassung

Weltweit lebt jedes 5. bis 6. Kind mit Übergewicht, und die Prävalenz einer Adipositas im Jugendalter in Deutschland beträgt gemäß den Daten der Studie zur Gesundheit von Kindern und Jugendlichen in Deutschland (KiGGS) knapp 6 %. Bei Jugendlichen mit Adipositas steigt das Risiko für eine Metabolische-Dysfunktion-assoziierte Steatotische Lebererkrankung (MASLD) ner Gesamt-MASLD-Prävalenz von ca. 7 % auf > 30 %. In Nordamerika ist eine MASLD assoziierte dekompensierte Leberinsuffizienz mitlerweilie die zweithäufigste Indikation zur Lebertransplantation im Erwachsenenalter. Mit dieser Übersichtsarbeit zu den aktuellen Daten einer MASLD und der Entstehung der neuen Nomenklatur möchten wir für die Bedeutsamkeit dieser Erkrankung sensibilisieren, aktuelle deutschsprachige und internationale Empfehlungen zusammenfassen und darüber hinaus neueste Entwicklungen zur Diagnostik sowie Therapieoptionen vorstellen.

Redaktion

Carsten Posovszky, Zürich
Elke Lainka, Essen
Eberhard Lurz, München
QR-Code scannen & Beitrag online lesen

Hinweis des Verlags

Der Verlag bleibt in Hinblick auf geografische Zuordnungen und Gebietsbezeichnungen in veröffentlichten Karten und Institutsadressen neutral.
AASLD
American Association for the Study of Liver Diseases
AGA
Arbeitsgemeinschaft Adipositas im Kindes- und Jugendalter
ATI
„Attenuation imaging“
BMI
Body-Mass-Index
CAP
„Controlled attenuation pattern“
CI
„Coefficient interval“
cT1
Korrigierte T1-Relaxationszeit
DAG
Deutsche Adipositas-Gesellschaft
DGKJ
Deutsche Gesellschaft für Kinder- und Jugendmedizin
DGVS
Deutsche Gesellschaft für Gastroenterologie, Verdauungs- und Stoffwechselkrankheiten
DHA
Docosahexaensäure
DMP
Disease Management Program
EASL
European Association for the Study of the Liver
ESG
Endoskopische Sleeve-Gastroplastie
ESPGHAN
Europäische Gesellschaft für Kindergastroenterologie
F
Fibrose
G‑BA
Gemeinsamer Bundesausschuss
GLP-1-RA
Glucagon-like-Peptide-1-Rezeptoragonisten
HCC
Hepatozelluläres Karzinom
HOMA-IR
Homeostasis Model Assessment of Insulin Resistance
IL-17A
Interleukin-17A
KBE
Koloniebildende Einheiten
KiGSS
Studie zur Gesundheit von Kindern und Jugendlichen in Deutschland
LALD
Lysosomale-saure-Lipase-Defizienz
LSG
Laparoskopische Sleeve-Gastrektomie
MASH
Metabolic dysfunction associated steatohepatitis (metabolische-Dysfunktion-assoziierte Steatohepatitis; ehem. „nonalcoholic steatohepatitis“, NASH)
MASLD
Metabolic dysfunction associated steatotic liver disease (metabolische-Dysfunktion-assoziierte Steatotische Lebererkrankung; ehem. „nonalcoholic fatty liver disease“, NAFLD)
NASPGHAN
Nordamerikanische Gesellschaft für Kindergastroenterologie
PDFF
Protonendichte-Fett-Fraktion
pFIB-Score
Pädiatrischer Fibrose-Score
RYGB
Roux-en‑Y Gastric Bypass (Roux-en-Y-Magen-Bypass)
SGLT‑2
Natrium-Glucose-Co-Transporter 2
SWD
Scherwellendispersion
2D-SWE
Zweidimensionale Scherwellenelastographie
SWE
Scherwellenelastographie
p‑SWE
Point-Scherwellenelastographie
TE
Transiente Elastographie
ULN
„Upper limit normal“
WHO
World Health Organization
γ‑GT
Gammaglutamyltransferase

Einführung

Die neue Nomenklatur MASLD – Metabolic dysfunction associated steatotic liver disease sowie MASH – Metabolic dysfunction associated steatohepatitis und ihre Definitionen spiegeln die Natur dieser systemischen Erkrankungen, die durch Entzündungen, Darmdysbiose und Stoffwechselstörungen gekennzeichnet sind, wider [1]. Ein großer Teil der MASLD beruht auf den Prinzipien der Adipositas bzw. des metabolischen Syndroms: einem Missverhältnis zwischen der Energiezufuhr durch Lebensmittel und dem Energieumsatz durch Bewegung, das zu einer positiven Energiebilanz führt. Überschüssige Energie wird als Körperfett, u. a. in der Leber, gespeichert. Die MASH ist komplex, zahlreiche unterschiedliche biochemische Vorgänge sind involviert und verursachen verschiedene Arten der Leberschädigung [2]. In der Entstehung und der Therapie des Übergewichts spielen psychosoziale Herausforderungen, Verhaltensauffälligkeiten mit gestörtem Essverhalten und Impulskontrolle eine Rolle [3].

Dysregulation des Fettstoffwechsels

Ein zentraler Faktor in der Entwicklung der MASLD ist die Insulinresistenz, die häufig mit Übergewicht und Typ-2-Diabetes assoziiert ist. Die Insulinresistenz führt zu einer erhöhten Lipolyse im Fettgewebe und einer erhöhten Fettsäureproduktion in der Leber. Auf der einen Seite akkumulieren die freien Fettsäuren, und auf der anderen Seite kann die Leber diese nicht abbauen, sodass Triglyzeride in den Hepatozyten angesammelt werden. Die Folge ist die Steatosis hepatis [4].
Merke.
Komorbiditäten des metabolischen Syndroms, wie ein Typ‑2 Diabetes mellitus, sollten regelhaft gescreent werden, da sie bei Kindern mit MASLD häufiger auftreten und eine zusätzlich schädliche Wechselwirkung auf die Progression der Lebererkrankung aufweisen.

Oxidativer Stress und Lipotoxizität

Der ständige Fluss von Fettsäuren durch die Mitochondrien erzeugt oxidativen Stress und Lipidperoxidation, was die Apoptose der Hepatozyten und weitere Leberschäden auslösen kann. Auch der Stress des endoplasmatischen Retikulums spielt eine Rolle, da er mit Lipotoxizität und einer „unfolded protein response“, die ebenfalls die Hepatozyten schädigen kann, in Verbindung steht [5]. Mechanismen für die Steatosis hepatis schließen eine verminderte Synthese von Very Low Density Lipoproteins ein [6]. Die Leberverfettung ist ein dynamischer, reversibler Prozess. Die MASLD kann über Jahre oder Jahrzehnte hinweg unbemerkt verlaufen.

Entzündliche Kaskade

Gewebeeigene Immunzellen erkennen den Stress der Hepatozyten bei einer Steatosis hepatis und schütten in der Folge proinflammatorische Mediatoren wie Interleukin-17A (IL-17A) aus. Daraufhin werden proinflammatorische Zellen rekrutiert und weitere Signalketten aktiviert. Hepatozelluläre Entzündungsaktivität kann infolge eines Zellmembranschadens durch Lipidoxidation auftreten. Diese Veränderungen stimulieren Kupffer-Sternzellen, die als Makrophagen aus dem Pfortaderblut körperfremde und körpereigene Substanzen als Teil der zellulären Immunabwehr phagozytieren. Die Aktivierung dieser Immunzellen und die Freisetzung proinflammatorischer Zytokine sind an der Entwicklung einer MASH beteiligt [7].

Leberfibrose

Chronische Entzündungsaktivität mit Leberzellschädigung löst narbenbildende Wundheilungsprozesse, die Leberfibrose, aus. Die Leberfibrose ist potenziell reversibel, bis eine vollständiger Architekturstörung im Sinne einer knotigen Leberzirrhose ausgebildet ist. Neben diversen Komplikationen der Leberzirrhose ist das Risiko, ein hepatozelluläres Karzinom (HCC) zu entwickeln, erhöht, aber im Kindes- und Jugendalter nur selten beschrieben [8].

Einflussfaktoren

Intrauterine und epigenetische Faktoren sowie Geschlecht und Alter beeinflussen die Prävalenz und die Pathophysiologie [9]. Genetische Prädispositionen, wie Polymorphismen z. B. in den Genen PNPLA3 und TM6SF2, beeinflussen die Lipoproteine bei sekundärem, metabolischem Stress sowie einer insulinresistenten Umgebung und tragen zusammen mit Umweltfaktoren wie Ernährung und Lebensstil zur Entwicklung und zum Fortschreiten der MASLD bei [10, 11].
Die Interaktion der Leber mit anderen Organen, wie dem Fettgewebe, beeinflusst das Fortschreiten der MASLD (Inter-Organ Crosstalk). Die Kommunikation zwischen den Organen kann Stoffwechselstörungen und Entzündungen verschlimmern und zusätzlich die Entwicklung der Leberfibrose fördern [2].
Merke.
Neben einer polygenetischen Risikokonstellation und dem ursächlichen Ungleichgewicht von Kalorienzufuhr und Kalorienverbrauch ist eine MASLD bzw. MASH durch leberspezifische metabolische und inflammatorische Prozesse getriggert.

Diagnostik

Screening und Diagnose der MASLD

Insbesondere bei Erwachsenen mit Adipositas (BMI > 97.P), bei denen eine Steatosis hepatis nachgewiesen wird und keine weiteren Hinweise auf eine andere Lebererkrankung vorliegen, kann die Diagnose MASLD bereits gestellt werden [12]. Bei Kindern liegt die Diagnose ebenfalls bei dieser Konstellation nahe, jedoch wird empfohlen, primär wichtige behandelbare Differenzialdiagnosen wie Autoimmunhepatitis, M. Wilson, α1-Antitrypsin-Mangel, Virushepatitiden und Zöliakie abzuklären. In ungewöhnlichen Situationen, insbesondere bei nichtübergewichtigen Kindern, sollte je nach klinischen Zeichen und Befunden an Stoffwechselerkrankungen (z. B. Lysosomale saure Lipase-Defizienz [LALD], Glykogenspeichererkrankungen, Fettsäureoxidationsstörungen, Hypobetalipoproteinämie), toxischen/medikamentösen Leberschaden sowie hormonelle (z. B. Hypothyreose) oder Essstörungen gedacht werden [13].
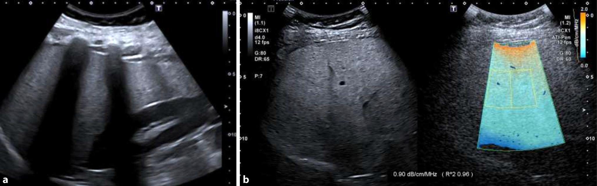
Laut der S2k-Leitlinie der Deutschen Gesellschaft für Gastroenterologie, Verdauungs- und Stoffwechselkrankheiten (DGVS) – sollen Kinder mit Adipositas (BMI > 97.P oder BMI > 90.P ± Risikofaktor) ab dem Alter von 8 Jahren mithilfe der Bestimmung der Alanin-Aminotransferase (ALT) für eine MASLD gescreent werden [14]. Nach Empfehlung der Nordamerikanischen Gesellschaft für Kindergastroenterologie (NASPGHAN) werden für Jungen ein ALT-Wert26IU/l und Mädchen22IU/l als Grenzwerte empfohlen [15]. Zur Diagnosestellung einer MASLD wird neben dem Vorliegen von kardiometabolischen Risikofaktoren der Nachweis einer Lebersteatose durch eine bildgebende oder histologische Untersuchung gefordert. Hierfür eignet sich im klinischen Alltag vorrangig die Abdomensonographie (Abb. 1a,b). Die weitreichende Verfügbarkeit, der Kostenfaktor, die schmerzfreie und schnelle Einschätzung über entweder die „Helligkeit“ des Leberparenchyms gegenüber der Niere/Milz oder mithilfe etablierter Scoring-Tools sind klare Argumente für einen ultraschallbasierten Nachweis einer Steatose. Sonographische Kriterien sind eine Organvergrößerung mit glatter Oberfläche, ein stumpfwinkeliger kaudaler Rand, die erhöhte Echogenität, meist homogene Echotextur, die verminderte Schallleitung und Rarefizierung der Lebervenen. Erschwert werden kann die Diagnose bei der Adipositas durch die Schallabschwächung aufgrund der verdickten Bauchdecke [16].
Abb. 1
a,b Sonographische Darstellung einer Metabolische-Dysfunktion-assoziierten Steatohepatitis und Scherwellenelastographie der Leber. Fall: 10-jähriger Junge mit Adipositas (BMI 33,5 kg/m2) und ausgeprägter Steatohepatitis. Glutamat-Pyruvat-Transaminase (ALT, alanin aminotransferase) 232 U/l, Glutamat-Oxalacetat-Transaminase (AST, aspartat aminotransferase) 160 U/l. Histologisch: mikrovesikuläre Steatose (ca. 90 %) und Leberfibrose Grad II. Sonographisch deutliche Echogenitätserhöhung des Leberparenchyms mit starkem Echogenitätskontrast zur Niere. Das Attenuation Imaging zeigt einen deutlich erhöhten Leberdämpfungsquotienten von 0,90 dB/cm/MHz. Mit freundl. Genehmigung von Dr. Benas Prusinskas, Universitätskinderklinik II, Essen
Bild vergrößern
Die Durchführung einer Leberbiopsie soll bei unklaren Befunden, insbesondere bei fortgeschrittener Lebererkrankung, erwogen werden. Gemäß der aktuellen S2K-Leitlinie wird die Leberbiopsie bei Kindern spätestens empfohlen nach 18 Monaten anhaltender ALT-Werte >2‑mal upper limit of normal (ULN), die anderswertig nicht eindeutig erklärbar sind [14]. Dabei ist zu berücksichtigen, dass sich das histologische Bild einer MASH bei Kindern von dem bei Erwachsenen unterscheidet. Man spricht von Steatose, wenn > 5 % der Hepatozyten Fettvakuolen aufweisen. Bei Erwachsenen liegen typischerweise eine zentrolobuläre makrovesikuläre Steatose, lobuläre Entzündung sowie eine Ballonierung von Hepatozyten und perisinusoidale Fibrose vor. Hingegen zeigen sich bei jüngeren Kindern eher eine portale Inflammation und Fibrose. Limitierende Faktoren einer Leberbiopsie sind der „sampling error“, d. h., je nach Ort der Biopsie kann das histologische Bild variieren [16].
Merke.
  • Für das Screening der MASLD bei „At-risk“-Kindern ist die Bestimmung der ALT entscheidend.
  • Für die Diagnosestellung ist der Nachweis einer Steatose durch bildgebende oder histologische Verfahren erforderlich.

Nichtinvasive Tests zur Verlaufskontrolle der kindlichen MASLD

Surrogatmarker für Steatosis. Die American Association for the Study of Liver Diseases (AASLD) und die European Association of the Liver (EASL) betonen, dass die Magnetresonanztomographie(MRT)-basierte Messung der Protonendichte-Fett-Fraktion (PDFF) Referenzstandard für die quantitative Triglyzeridbestimmung im Lebergewebe ist. Die MR-PDFF findet allerdings vorwiegend in klinischen Studien Anwendung [12, 17].
Die konventionelle Sonographie ist für die Detektion von Steatose bei Kindern geeignet, wobei die Genauigkeit für eine milde Steatose geringer ist als für eine moderate bis schwere Steatose, und die konventionelle Sonographie nicht zur Graduierung infrage kommt [16, 18]. Quantitative Ultraschallverfahren können jedoch eine Genauigkeit wie die MR-PDFF erreichen und sind in der Praxis aufgrund der Verfügbarkeit bei der Diagnose und Verlaufsbeurteilung hilfreich. Zur nichtinvasiven Bestimmung des Leberfettgehalts gehören die Messung der Schallattenuierung, wie Controlled attenuation pattern (CAP) mithilfe des Fibroscan® (echosens, 6 Rue Ferrus, Paris, Frankreich) oder Attenuation Imaging (ATI). Hierbei wird die höhere Abschwächung der Ultraschallwellen durch Lipideinlagerung in den Hepatozyten zur Quantifizierung der Steatosis genutzt. Bei Erwachsenen scheint das ATI für die Bestimmung der Steatose genauer als die CAP-Messung zu sein [13, 1618].
Surrogatmarker für Entzündungsaktivität (MASH). Die nichtinvasive Messung hepatischer Inflammation und hepatozytärer Apoptose bzw. Nekrose ist als Marker für die Aktivität einer MASH, z. B. zur Evaluation der Wirksamkeit einer therapeutischen Intervention, für das klinische Management wertvoll. Unter anderem wurden Entzündungsmediatoren (Adipokine, Chemokine) und Marker für den Zelltod (Zytokeratin 18) untersucht, wobei kein Biomarker mit ausreichender diagnostischer Wertigkeit identifiziert werden konnte [19]. Longitudinale Studien einer nordamerikanischen Kohorte haben gezeigt, dass die Werte von ALT und Gammaglutamyltranferase (γ-GT) mit der histologischen MASH-Aktivität korrelieren [15].
Eine neuere Methode ist die multiparametrische MRT, wobei die für Eisen korrigierte Relaxationszeit cT1 bestimmt wird. Das cT1-Mapping ist ein sensitiver, nichtinvasiver Biomarker für die Detektion und Quantifizierung von Leberentzündung und Fibrose bei Kindern mit einer MASH und bietet eine höhere diagnostische Genauigkeit für fibroinflammatorische Aktivität als ultraschallbasierte Surrogatmarker, insbesondere wenn es mit anderen MRT-Parametern kombiniert wird [20]. Das ATI für die Steatosis und die Scherwellendispersion für die Gewebsviskosität bzw. Entzündung werden bereits eingesetzt, sind aber noch nicht validiert [16, 18].
Surrogatmarker für Fibrose. Kürzlich wurde der pädiatrischer Fibrose(pFIB)-Score zum Screening auf eine signifikante Fibrose F ≥ 2 bei adipösen Kindern mit V. a. eine MASLD entwickelt und validiert [21]. Der pFIB-Score basiert auf 6 klinischen Kriterien (Geschlecht, ethnischer Hintergrund, Körpergewicht [z-Score], ALT, Homeostasis Model Assessment of Insulin Resistance [HOMA-IR] und Bluthochdruck) und weist einen hohen negativen prädiktiven Wert zum Ausschluss einer signifikanten Fibrose auf. In MASH-Kohorten kann die Anwendung des pFIB-Scores als Parameter zur Risikostratifizierung von „At-risk“ Patienten mit Übergewicht und Verdacht auf eine MASLD mit Fibrose hervorgehoben werden.
Bei den ultraschallbasierten Techniken wird zwischen der vibrationskontrollierten transienten Elastographie (TE), Point(p-SWE)- und zweidimensionalen Scherwellenelastographie (2D-SWE) unterschieden. Die diagnostische Präzision einer ultraschallbasierten Scherwellenelastographie ist bei Erwachsenen mit MASLD hoch. Die Sensitivität für die Vorhersage einer signifikanten Leberfibrose (ensprechend einem histologischem Fibrosegrad (F) ≥ 2) und der einzelnen Fibrosegrade ist hervorragend. Bei Kindern und Jugendlichen ist von einer ähnlich guten diagnostischen Genauigkeit auszugehen, da es sich um rein biophysikalische Methoden handelt [22]. Die MR-Elastographie ermöglicht eine Elastizitätsbeurteilung in einem größeren Leberareal. Mit diesem Verfahren kann tief liegendes Leberparenchym untersucht werden, was bei adipösen Bauchdecken oder zur Beurteilung tiefer liegender und fokaler Parenchymläsionen wichtig ist.
Merke.
Neben der Erhebung anthropometrischer Verlaufswerte ist eine laborchemische und sonographische Kontrolle, einschließlich Leberelastographie, zur Einschätzung des Krankheitsverlaufs sinnvoll.

Therapieoptionen

Multimodale Lifestyle-Intervention.
Die First-line-Therapie der MASLD basiert auf der Adipositastherapie mit dem Ziel der effizienten Gewichtsreduktion [9, 14, 15]. Internationale Leitlinien formulieren eine multimodale und professionelle Strategie, die neben einer Lifestyle-Intervention (Ernährung, Bewegung, Medienkonsum etc.) auch psychosoziale Aspekte adressiert (Abb. 2; [12]). Im Jahr 2024 wurde vom Gemeinsamen Bundesausschuss (G-BA) in Deutschland ein Disease Management Program (DMP) für Kinder und Jugendliche mit Adipositas beschlossen. In einer systematischen Übersichtsarbeit konnte jedoch gezeigt werden, dass eine Reduktion des BMI-z-Scores durch Lifestyle-Programme im Mittel nur um −0,11 (95 %-CI −0,18 bis −0,04) erreicht werden kann. Des Weiteren nahmen in einer großen Kohortenstudie in Deutschland mit 21.784 Jugendlichen nach 6 Monaten noch 24 % und nach 2 Jahren lediglich noch 8 % an dem strukturierten Programm zur Gewichtsreduktion teil [23]. Dementsprechend werden in den aktuellen Leitlinien zur MASLD ergänzende Maßnahmen wie medikamentöse Therapien und bariatrische Eingriffe diskutiert und individuell empfohlen (Abb. 3; [12, 14]).
Abb. 2
Lifestyle-Management. EASL European Association for the Study of the Liver. Adapt. nach [12]
Bild vergrößern
Abb. 3
Behandlungsempfehlungen für Erwachsene. EASL European Association for the Study of the Liver. Adapt. nach [12]
Bild vergrößern
Medikamentöse Therapie.
Die aktualisierte S2k-Leitlinie der DGVS enthält keine ausreichenden Daten für eine medikamentöse Therapie von MASLD und MASH bei Kindern und Jugendlichen. Im begleitenden Kommentar wird diskutiert, dass in einer multizentrischen, placebokontrollierten Studie zwar weder Vitamin E (800 IE/Tag) noch Metformin (2-mal 500 mg/Tag) den primären Endpunkt einer signifikanten und anhaltenden Senkung der ALT erreichten, zeigte sich in der Vitamin E Gruppe ein signifikant höherer Rückgang von NASH (58 % vs 28 %, p ≥ 0,006) und eine signifikante Verringerung des histologischen Aktivitätsindex (–1,8 vs –0,7). In der Metformin Gruppe zeigte sich weniger Ballonierung [14].
Studien zur Wirksamkeit von Omega-3-Fettsäuren führten zu widersprüchlichen Ergebnissen. Während eine Kombination aus Eicosapentaensäure und Docosahexaensäure (DHA) keinen signifikanten therapeutischen Nutzen zeigt, führte die Verabreichung von DHA (250 mg/Tag) über einen Zeitraum von 6 Monaten in einer anderen Studie zu einer signifikanten Verbesserung des Leberfettgehalts und der kardiometabolischen Risikofaktoren. Auch der ALT-Wert war mehr als ein Jahr später gesunken. Cholin mit DHA und Vitamin E erzielten eine signifikante Reduktion von ALT-Wert und Steatose. Die einjährige Verabreichung von Cysteaminbitartrat führte zu einer Reduktion von ALT-Wert und Entzündung, verbesserte jedoch nicht die histologischen Befunde [14].
Obwohl der Zusammenhang zwischen verändertem Darmmikrobiom und MASLD gut dokumentiert ist, gibt es nur wenige randomisierte Studien zu Faktoren, die das Darmmikrobiom bei MASLD beeinflussen. Eine randomisierte Studie mit einer 8‑wöchigen Gabe von Lactobacillus rhamnosus Stamm GG (12 Mrd. KBE/Tag) reduzierte den ALT-Wert signifikant, unabhängig von Veränderungen des BMI. Eine andere Studie zeigte eine Abnahme der Steatose bei Behandlung mit VSL#3 (Heilpflanzenwohl GmbH, Berlin, Deutschland) über einen Zeitraum von 4 Monaten [14].
Jüngste Arbeiten betonen das Potenzial von Glucagon-like-Peptide-1-Rezeptoragonisten (GLP-1-RA) bei der Behandlung von Adipositas bei Kindern und damit verbundenen Begleiterkrankungen, einschließlich MASLD [12, 14]. Die GLP-1-RA bewirken eine Gewichtsabnahme und verbessern die Leberenzymwerte. Die Kombinationstherapie mit Pioglitazon und Topiramat in einer Fallserie hat bei Jugendlichen mit schwerer MASLD die Leberfunktion verbessert und möglicherweise die Fibrose reduziert [24]. Semaglutid ist nach Liraglutid der zweite GLP-1-RA, der für die Behandlung von Adipositas bei pädiatrischen Patienten zugelassen ist. In einer doppelt verblindeten Studie wurden Jugendliche mit Adipositas oder Übergewicht und anderen Komorbiditäten nach dem Zufallsprinzip einer 68-wöchigen Behandlung mit Semaglutid oder Placebo zugewiesen. Semaglutid reduzierte den BMI signifikant um 16,1 % gegenüber einem Anstieg des BMI um 0,6 % mit Placebo allein, in Ergänzung zu einer Modifikation der Ernährung und des Lebensstils. Darüber hinaus führte Semaglutid zu einer Senkung des Gesamtcholesterins, des Low-Density-Lipoprotein-Cholesterins, des Taillenumfangs sowie des ALT-Werts [25]. Hierzu muss allerdings festgehalten werden, dass die Patienten bereits zu Beginn der Studie im Durchschnitt normwertige ALT-Aktivitäten aufwiesen, die Studie daher primär nicht darauf ausgelegt war, den Effekt auf eine MASLD zu beurteilen. Liraglutid ist seit Kurzem ab dem 6. Lebensjahr, Semaglutid ab dem 12. Lebensjahr zur Therapie der Adipositas zugelassen.
Merke.
Derzeit gibt es keine zugelassene spezifische medikamentöse Therapie für Kinder und Jugendliche mit MASLD, sehr wohl aber für die Therapie der meist zusätzlich bestehenden Adipositas.
Bariatrische Therapie.
Bariatrische Eingriffe sind derzeit die effizientesten Maßnahmen zur Gewichtsreduktion bei Adipositas und können als Therapieoption bei Jugendlichen mit extremer Adipositas und MASH mit hohem Risiko für eine progrediente Fibrose in Erwägung gezogen werden [9, 12, 15]. Die beiden häufigsten bariatrischen Eingriffe bei Kindern sind die sog. Schlauchmagenoperation, auch laparoskopische Sleeve-Gastrektomie (LSG) genannt, und der Roux-Y-Magen-Bypass (RYGB). Minimalinvasive endoskopische Eingriffe wie eine endoskopische Schlauchmagenplastik (ESG) werden bei Erwachsenen und Kindern zunehmend erfolgreich durchgeführt [2628].
Derzeit international anerkannte Indikationen für einen bariatrischen Eingriff bei Jugendlichen ab 10 Jahren (gemäß internationaler Fachgesellschaften wie der European Society of Pediatric Gastroenterology, Hepatology and Nutrition (ESPGHAN), American Acadamy of Pediatrics (AAP) und der American Society for Metabolic and Bariatric Surgery (ASMBS)) sind:
A.
BMI ≥ 35 kg/m2 oder 120 % der 95. P mit Komorbiditäten (obstruktive Schlafapnoe, Typ-2-Diabetes, idiopathische intrakranielle Hypertonie, MASLD, M. Blount [Epiphysiolyse des kapitalen Femurs] oder arterielle Hypertonie) oder
 
B.
BMI ≥ 40 kg/m2 oder 140 % der 95. P.
 
Kontraindikationen sind unzureichendes kritisches Urteilsvermögen der Kinder und Jugendlichen und ihrer Familien sowie das Vorliegen medizinisch behebbarer Ursachen der Adipositas, anhaltender Drogenmissbrauch, medizinische, psychiatrische, psychosoziale oder kognitive Zustände, die die Einhaltung des postoperativen Ernährungs- und Medikamentenplans verunmöglichen oder eine aktuelle oder geplante Schwangerschaft innerhalb von 12 bis 18 Monaten nach der Operation [26, 27].
In der deutschen S2k-Leitlinie zur Behandlung einer MASLD wird die Indikation eines bariatrischen Eingriffs zurückhaltend formuliert und darauf hingewiesen, dass ein bariatrischer Eingriff nur bei ausgewachsenen Jugendlichen, nach intensiver Ausschöpfung konservativer Maßnahmen, nach Ausschluss relevanter psychiatrischer Begleiterkrankungen und jeweils nur nach ausführlichen Informationen es immer einer Einzelentscheidung bedarf, um Jugendlichen einen bariatrischen Eingriff anzubieten. Diese Eingriffe sollen immer in einem spezialisiertem Zentrum mit einem multiprofessionellem Team mit Sicherstellung der langfristigen Nachbetreuung durchgeführt werden [14].
In einer prospektiven, multizentrischen Studie aus Nordamerika, konnte gezeigt werden, dass bei Kindern, die aufgrund einer Adipositas mithilfe eines RYGB (n = 161) oder einer LSG (n = 99) versorgt wurden, nach 10 Jahren eine anhaltende 20 %ige Reduktion des BMI vorliegt. Insbesondere die schwerwiegenden Co-Morbiditäten (Typ-2-Diabetes, arterielle Hypertension, Dyslipidämie) wurden mit diesen Eingriffen häufiger als bei Erwachsenen erfolgreich behandelt, und die Lebensqualität verbessert [29, 30]. In 2 prospektiven Studien (n = 24, n = 20) konnte anhand von Leberbiopsien vor und ein Jahr nach einer LSG gezeigt werden, dass sich der pathologische Befund in der histologischen Untersuchung, einschl. Steatose, Inflammation und Fibrose, bessert [31, 32]. In einer größeren Studie mit 93 Jugendlichen führte die LSG zu einer 100 %igen Regression von MASH und einer 90 %igen Reduktion der Fibrose nach einem Jahr, verglichen bei Lebensstilinterventionen, MASH nur in 24 % und Fibrose in 37 % der Fälle [33]. Es bleibt ein relevantes Reoperationsrisiko.
Eine sicherere und bei Erwachsenen ähnlich effiziente Alternative sind endoskopische bariatrische Eingriffe. Nach endoskopischer Magenballoneinlage nehmen Patienten im Kurzzeitverlauf Gewicht ab, und das Ausmaß einer MASLD wird reduziert, jedoch scheint es nach Entfernung dieses Ballons relativ rasch zu einer erneuten Gewichtszunahme zu kommen [34]. Bei Erwachsenen mit Adipositas wird eine ESG mit lang anhaltendem Erfolg durchgeführt [35]. Für Jugendliche gibt es nur eine Studie, in der die Effekte einer ESG bei 109 Teilnehmenden untersucht wurden, und in der eine nachhaltige Verringerung des Körpergewichts über 2 Jahre um 13,7 % beobachtet werden konnte. Alle Adipositas-Co-Morbiditäten (obstruktives Schlafapnoesyndrom, Bluthochdruck, Prädiabetes) waren 3 Monate nach dem Eingriff bis zum Ende der Studie in vollständiger Remission. Während einer 2‑jährigen Nachbeobachtung kam es zu keiner relevanten Komplikation oder Reoperation [36].
In einer systematischen Übersichtsarbeit über die Auswirkungen unterschiedlicher bariatrischer endoskopischer Eingriffe auf eine MASLD bei Erwachsenen wurden 33 Studien (randomisierte kontrollierte Studien, Beobachtungsstudien) ausgewertet, in die insgesamt 1710 Personen eingeschlossen wurden. Über kurze Beobachtungszeiten von mehrheitlich 6 Monaten konnten die ALT-Aktivität, der Grad der Lebersteatose und die MASLD-Aktivität unabhängig von der Behandlungsmethode signifikant gebessert werden [37].
Inwiefern sich diese und weitere neue minimalinvasive endoskopische Eingriffe, z. B. auch antiresorptive Methoden im Bereich des Dünndarms, für Kinder mit Adipositas und MASLD etablieren werden, bleibt aktuell unklar. Letztendlich führen alle bariatrischen Maßnahmen u. a. über eine Verkleinerung des Magenvolumens, reduzierte Magenentleerung, Veränderung der Spiegel intestinale Hormone, wie z. B. Ghrelin, Peptid YY und GLP‑1, und, damit assoziiert, vermindertem Appetit oder durch die Verringerung der absorptiven Fläche im Dünndarm zu einer reduzierten Kalorienaufnahme und möglichen Resolution einer MASLD oder MASH. Psychosoziomotorische Verhaltensauffälligkeiten wie eine Aufmerksamkeitsdefizit-Hyperaktivitätsstörung und Essstörungen stellen vor und nach bariatrischen Eingriffen eine relevante Herausforderung dar [38].

Fazit für die Praxis

  • Durch die neue Nomenklatur wurde das lang bekannte Krankheitsbild einer Lebersteatose bei Kindern mit metabolischem Syndrom entstigmatisiert, und Diagnosewege wurden klar definiert.
  • Neu verfügbare Therapieoptionen setzen die Hürde für die zeitnahe Diagnose und Behandlung einer Metabolische-Dysfunktion-assoziierten Steatotischen Lebererkrankung (MASLD) herunter, und eine „Watchful-waiting“-Strategie wird nicht mehr empfohlen.
  • Mit erfolgreicher Gewichtsreduktion verbessert sich die Lebergesundheit. Eine große Herausforderung bleibt die Bereitstellung der erforderlichen Ressourcen für eine adäquate multimodale Therapie der Kinder und Jugendlichen mit einer MASLD.
  • Über die nächsten Jahre müssen Langzeitdaten systematisch ausgewertet und anhand dieser Ergebnisse gesundheitspolitische Maßnahmen getroffen werden, um eine zeitnahe Behandlung der Adipositas und MASLD im Kindes- und Jugendalter zu ermöglichen sowie relevante Co-Morbiditäten zu vermeiden.

Einhaltung ethischer Richtlinien

Interessenkonflikt

Die Angaben zum Interessenkonflikt orientieren sich am Formular des International Committee of Medical Journal Editors (ICMJE): E. Lurz, C. Hudert und E. Lainka haben keinerlei Unterstützung für das vorliegende Manuskript erhalten. Sie erklären, dass für die letzten 36 Monate keinerlei Beziehungen, Tätigkeiten und Interessen offenzulegen sind, die mit dem Inhalt des Manuskripts in Zusammenhang stehen. D. Weghuber hat keinerlei Unterstützung für das vorliegende Manuskript erhalten. In den letzten 36 Monaten: Beratungshonorare von Novo Nordisk, Rhythm, Eli Lilly. Bezahlung oder Honorare für Vorträge, Präsentationen, Referentenbüros, Manuskripterstellung oder Bildungsveranstaltungen von Novo Nordisk, Rhythm, Eli Lilly. Unterstützung bei der Teilnahme an Meetings und/oder Reisen von Novo Nordisk.
Für diesen Beitrag wurden von den Autor/-innen keine Studien an Menschen oder Tieren durchgeführt. Für die aufgeführten Studien gelten die jeweils dort angegebenen ethischen Richtlinien.
Open Access Dieser Artikel wird unter der Creative Commons Namensnennung 4.0 International Lizenz veröffentlicht, welche die Nutzung, Vervielfältigung, Bearbeitung, Verbreitung und Wiedergabe in jeglichem Medium und Format erlaubt, sofern Sie den/die ursprünglichen Autor(en) und die Quelle ordnungsgemäß nennen, einen Link zur Creative Commons Lizenz beifügen und angeben, ob Änderungen vorgenommen wurden. Die in diesem Artikel enthaltenen Bilder und sonstiges Drittmaterial unterliegen ebenfalls der genannten Creative Commons Lizenz, sofern sich aus der Abbildungslegende nichts anderes ergibt. Sofern das betreffende Material nicht unter der genannten Creative Commons Lizenz steht und die betreffende Handlung nicht nach gesetzlichen Vorschriften erlaubt ist, ist für die oben aufgeführten Weiterverwendungen des Materials die Einwilligung des jeweiligen Rechteinhabers einzuholen. Weitere Details zur Lizenz entnehmen Sie bitte der Lizenzinformation auf http://creativecommons.org/licenses/by/4.0/deed.de.

Hinweis des Verlags

Der Verlag bleibt in Hinblick auf geografische Zuordnungen und Gebietsbezeichnungen in veröffentlichten Karten und Institutsadressen neutral.

Unsere Produktempfehlungen

Monatsschrift Kinderheilkunde

Print-Titel

• Aktuelles, gesichertes Fachwissen aus allen Bereichen der Kinder- und Jugendmedizin

• Themenschwerpunkt und CME-Fortbildung – praxisnah und in jedem Heft  

• Konsensuspapiere und Handlungsempfehlungen: Wegweiser für gutes medizinisches Handeln

e.Med Interdisziplinär

Kombi-Abonnement

Für Ihren Erfolg in Klinik und Praxis - Die beste Hilfe in Ihrem Arbeitsalltag

Mit e.Med Interdisziplinär erhalten Sie Zugang zu allen CME-Fortbildungen und Fachzeitschriften auf SpringerMedizin.de.

e.Dent – Das Online-Abo der Zahnmedizin

Online-Abonnement

Mit e.Dent erhalten Sie Zugang zu allen zahnmedizinischen Fortbildungen und unseren zahnmedizinischen und ausgesuchten medizinischen Zeitschriften.

Weitere Produktempfehlungen anzeigen
download
DOWNLOAD
print
DRUCKEN
Titel
Metabolische-Dysfunktion-assoziierte Steatotische Lebererkrankung und Metabolische-Dysfunktion-assoziierte Steatohepatitis: ein Update
No more watchful waiting!
Verfasst von
PD Dr. med. E. Lurz
C. Hudert
D. Weghuber
E. Lainka
Publikationsdatum
12.11.2025
Verlag
Springer Medizin
Erschienen in
Monatsschrift Kinderheilkunde / Ausgabe 12/2025
Print ISSN: 0026-9298
Elektronische ISSN: 1433-0474
DOI
https://doi.org/10.1007/s00112-025-02303-9
1.
Zurück zum Zitat Schwarzler J et al (2024) The pathophysiology of MASLD: an immunometabolic perspective. Expert Rev Clin Immunol 20(4):375–386CrossRefPubMed
2.
Zurück zum Zitat Wang S et al (2024) Metabolic disorders, inter-organ crosstalk, and inflammation in the progression of metabolic dysfunction-associated steatotic liver disease. Life Sci 359:123211CrossRefPubMed
3.
Zurück zum Zitat Cortese S et al (2016) Association between ADHD and obesity: a systematic review and meta-analysis. Am J Psychiatry 173(1):34–43CrossRefPubMed
4.
Zurück zum Zitat Heldens A et al (2024) Adipose Tissue Insulin Resistance Correlates with Disease Severity in Pediatric Metabolic Dysfunction-Associated Steatotic Liver Disease: A Prospective Cohort Study. J Pediatr 274:114171CrossRefPubMed
5.
Zurück zum Zitat Venkatesan N, Doskey LC, Malhi H (2023) The Role of Endoplasmic Reticulum in Lipotoxicity during Metabolic Dysfunction-Associated Steatotic Liver Disease (MASLD) Pathogenesis. Am J Pathol 193(12):1887–1899CrossRefPubMedPubMedCentral
6.
Zurück zum Zitat Marigorta UM et al (2024) Dysfunctional VLDL metabolism in MASLD. NPJ Metab Health Dis 2(1):16CrossRefPubMedPubMedCentral
7.
Zurück zum Zitat Mladenic K et al (2024) The “Domino effect” in MASLD: The inflammatory cascade of steatohepatitis. Eur J Immunol 54(4):e2149641CrossRefPubMed
8.
Zurück zum Zitat Horn P, Tacke F (2024) Metabolic reprogramming in liver fibrosis. Cell Metab 36(7):1439–1455CrossRefPubMed
9.
Zurück zum Zitat Xanthakos SA et al (2025) AASLD Practice Statement on the evaluation and management of metabolic dysfunction-associated steatotic liver disease in children. Hepatology
10.
Zurück zum Zitat Kocas-Kilicarslan ZN et al (2024) Polymorphisms Associated With Metbolic Dysfunction-Associated Steatotic Liver Disease Influence the Progression of End-Stage Liver Disease. Gastro Hep Adv 3(1):67–77CrossRefPubMed
11.
Zurück zum Zitat Foster C, Gagnon CA, Ashraf AP (2024) Altered lipid metabolism and the development of metabolic-associated fatty liver disease. Curr Opin Lipidol 35(4):200–207CrossRefPubMed
12.
Zurück zum Zitat European Association for the Study of the, L., D., European Association for the Study of, O. European Association for the Study of (2024) EASL- EASD-EASO Clinical Practice Guidelines on the management of metabolic dysfunction-associated steatotic liver disease (MASLD). J Hepatol 81(3):492–542CrossRef
13.
Zurück zum Zitat European Society for Paediatric Gastroenterology, H., et al (2023) Diagnosis of fatty liver in children should occur in parallel to investigation for other causes of liver disease. Lancet Gastroenterol Hepatol 8(7):598–600CrossRef
14.
Zurück zum Zitat Roeb E et al (2022) Aktualisierte S2k-Leitlinie NAFLD. Z Gastroenterol 60(9):1346–1421CrossRefPubMed
15.
Zurück zum Zitat Vos MB et al (2017) NASPGHAN Clinical Practice Guideline for the Diagnosis and Treatment of Nonalcoholic Fatty Liver Disease in Children: Recommendations from the Expert Committee on NAFLD (ECON) and the North American Society of Pediatric Gastroenterology, Hepatology and Nutrition (NASPGHAN). J Pediatr Gastroenterol Nutr 64(2):319–334CrossRefPubMedPubMedCentral
16.
Zurück zum Zitat Draijer L, Benninga M, Koot B (2019) Pediatric NAFLD: an overview and recent developments in diagnostics and treatment. Expert Rev Gastroenterol Hepatol 13(5):447–461CrossRefPubMed
17.
Zurück zum Zitat Nishimura T et al (2025) Diagnostic performance of attenuation imaging versus controlled attenuation parameter for hepatic steatosis with MRI-based proton density fat fraction as the reference standard: a prospective multicenter study. J Gastroenterol 60(6):727–737CrossRefPubMedPubMedCentral
18.
Zurück zum Zitat Sterling RK et al (2025) AASLD Practice Guideline on imaging-based noninvasive liver disease assessment of hepatic fibrosis and steatosis. Hepatology 81(2):672–724CrossRefPubMed
19.
Zurück zum Zitat Zhang X et al (2025) A blood-based biomarker panel for non-invasive diagnosis of metabolic dysfunction-associated steatohepatitis. Cell Metab 37(1):59–68 e3CrossRefPubMed
20.
Zurück zum Zitat Alkhouri N et al (2025) Decreases in cT1 and liver fat content reflect treatment-induced histological improvements in MASH. J Hepatol 82(3):438–445CrossRefPubMed
21.
Zurück zum Zitat Lefere S et al (2025) Development and validation of pFIB scores for exclusion of significant liver fibrosis in pediatric MASLD. Hepatology 81(4):1276–1287CrossRefPubMed
22.
Zurück zum Zitat Yu Q et al (2022) Performance of Imaging Techniques in Non-invasive Diagnosis of Non-alcoholic Fatty Liver Disease in Children: A Systematic Review and Meta-Analysis. Front Pediatr 10:837116CrossRefPubMedPubMedCentral
23.
Zurück zum Zitat Reinehr T et al (2009) Two-year follow-up in 21,784 overweight children and adolescents with lifestyle intervention. Obesity 17(6):1196–1199CrossRefPubMed
24.
Zurück zum Zitat Conroy C et al (2024) The combined pioglitazone and topiramate therapy for management of pediatric patients with severe MASLD. Saudi J Gastroenterol 30(4):252–259PubMedPubMedCentral
25.
Zurück zum Zitat Weghuber D et al (2022) Once-Weekly Semaglutide in Adolescents with Obesity. N Engl J Med 387(24):2245–2257CrossRefPubMedPubMedCentral
26.
Zurück zum Zitat Nobili V et al (2015) Indications and limitations of bariatric intervention in severely obese children and adolescents with and without nonalcoholic steatohepatitis: ESPGHAN Hepatology Committee Position Statement. J Pediatr Gastroenterol Nutr 60(4):550–561CrossRefPubMed
27.
Zurück zum Zitat Pratt JSA et al (2018) ASMBS pediatric metabolic and bariatric surgery guidelines, 2018. Surg Obes Relat Dis 14(7):882–901CrossRefPubMedPubMedCentral
28.
Zurück zum Zitat De Luca M et al (2024) Scientific evidence for the updated guidelines on indications for metabolic and bariatric surgery (IFSO/ASMBS). Surg Obes Relat Dis 20(11):991–1025CrossRefPubMed
29.
Zurück zum Zitat Fleming MA 2nd et al (2025) Weight loss and health status 10 years after laparoscopic adjustable gastric band insertion in adolescents: a follow-up report from Teen-LABS. Surg Obes Relat Dis 21(1):33–40CrossRefPubMed
30.
Zurück zum Zitat Boles RE, Moore JM (2025) Psychosocial outcomes after adolescent metabolic and bariatric surgery: a narrative review of the literature. Surg Obes Relat Dis 21(1):16–23CrossRefPubMed
31.
Zurück zum Zitat Pastore A et al (2022) Changes in Total Homocysteine and Glutathione Levels After Laparoscopic Sleeve Gastrectomy in Children with Metabolic-Associated Fatty Liver Disease. OBES SURG 32(1):82–89CrossRefPubMed
32.
Zurück zum Zitat Nobili V et al (2018) Laparoscopic Sleeve Gastrectomy Improves Nonalcoholic Fatty Liver Disease-Related Liver Damage in Adolescents by Reshaping Cellular Interactions and Hepatic Adipocytokine Production. J Pediatr 194:100–108 e3CrossRefPubMed
33.
Zurück zum Zitat Manco M et al (2017) The Benefit of Sleeve Gastrectomy in Obese Adolescents on Nonalcoholic Steatohepatitis and Hepatic Fibrosis. J Pediatr 180:31–37 e2CrossRefPubMed
34.
Zurück zum Zitat Abbitt D et al (2024) Weight regain after intragastric balloon for pre-surgical weight loss. World J Gastrointest Surg 16(7):2040–2046CrossRefPubMedPubMedCentral
35.
Zurück zum Zitat Dayyeh BKA et al (2024) IFSO Bariatric Endoscopy Committee Evidence-Based Review and Position Statement on Endoscopic Sleeve Gastroplasty for Obesity Management. OBES SURG 34(12):4318–4348CrossRefPubMedPubMedCentral
36.
Zurück zum Zitat Alqahtani A et al (2019) Endoscopic Sleeve Gastroplasty in 109 Consecutive Children and Adolescents With Obesity: Two-Year Outcomes of a New Modality. Am J Gastroenterol 114(12):1857–1862CrossRefPubMed
37.
Zurück zum Zitat Ren M et al (2022) Effects of Bariatric Endoscopy on Non-Alcoholic Fatty Liver Disease: A Comprehensive Systematic Review and Meta-Analysis. Front Endocrinol 13:931519CrossRef
38.
Zurück zum Zitat Mocanu V et al (2019) The Impact of ADHD on Outcomes Following Bariatric Surgery: a Systematic Review and Meta-analysis. OBES SURG 29(4):1403–1409CrossRefPubMed

Die CME App von Springer Medizin

CME-Punkte sammeln leicht gemacht – Fortbildung, wann und wo Sie wollen

Die CME-App bietet einen schnellen Zugang zu über 500 zertifizierten medizinischen Fortbildungen aus Springer-Publikationen und deckt über 35 Fachbereiche ab. Sie gibt einen perfekten Überblick über das Kursangebot, ermöglicht einfaches Vormerken, Teilnehmen und CME-Punkte-Sammeln.
 

Laden im App Store        Laden bei Google Play

Mehr Infos
Bildnachweise
CME App