Zum Inhalt

Minimal Gas Vitrectomy and As-Needed Positioning Duration for Idiopathic Macular Holes

  • Open Access
  • 14.03.2025
  • ORIGINAL RESEARCH
Erschienen in:

Abstract

Introduction

This study aimed to investigate postoperative outcomes of minimal gas vitrectomy (MGV) combined with a reduced period of gas–fovea contact in the management of idiopathic full-thickness macular holes (MHs).

Methods

This retrospective cohort study included patients who underwent surgery for MHs with minimal hole diameters of 250–800 µm and categorized them into two groups: conventional fluid–gas exchange (FGX) (38 eyes) and MGV (28 eyes), with FGX replaced by a 1.0–1.2 mL injection of pure sulfur hexafluoride after internal limiting membrane peeling. Postoperatively, patients in the MGV group were kept in a face-down position, switching to face-forward or no positioning (pseudophakia) once MH closure was confirmed by optical coherence tomography, performed every few days during the first postoperative week. The maximum duration of face-down positioning was 5 days.

Results

Most baseline characteristics were comparable between the two groups except for the proportion of combined cataract surgery and the use of non-expansile gas, which were higher in the FGX group. Prone positioning time in the MGV group was shorter than that in the control group (3.8 days vs. 11.9 days). Subfoveal fluid pocket was present in 73.0% and 5.2% of eyes in the MGV and FGX groups, respectively. Twenty-seven eyes (96.4%) in the MGV group showed MH closure within 3 months. At 12 months, compared to the FGX group, the MGV group exhibited less disruption of the ellipsoidal zone (28.5% vs. 57.8%), superior visual acuity (0.33 ± 0.18 vs. 0.54 ± 0.28), and comparable MH closure rates.

Conclusion

In the treatment of medium-sized MHs, when compared to the FGX method, the use of a smaller volume of gas tamponade may be associated with earlier photoreceptor restoration. This method individualized prone positioning period without an immediate impact on central vision post surgery.
SUPPLEMENTARY VIDEO: An overview of the surgical techniques involved in minimal gas vitrectomy. FORMAT: MP4; Resolution: 16:9; Size 124,401 KB (0.124 GB); length: 50 sec Vitrectomy was conducted using a 23- or 25-gauge vitrectomy system. In cases of incomplete posterior vitreous detachment, the posterior hyaloid was separated with the assistance of diluted preservative-free triamcinolone. Scleral depression was performed for 360° to facilitate a vitreous-based dissection. Afterwards, epiretinal membranes were peeled if present. The ILM was peeled with brilliant blue G staining in a circular fashion for approximately 2.5- to 3-disc diameters; the peeled area was extended throughout the vascular arcades in all directions without involving the areas of nerve striae. The ILM flap procedure was applied to MHs sized between 600 and 800 µm. Therefore, two superior sclerotomies were closed with 8-0 Vicryl® sutures. The eye was kept slightly hypotonic before the gas injection, during which 1.0 to 1.2 mL of pure sulfur hexafluoride (SF6) was injected through a 30-guage needle connected to a 3-mm syringe at a distance of 3.5 mm from the superior limbus. The needle tip was maintained within the injected bubble to avoid the fish eggs phenomenon. Thereafter, the eye was slightly rotated toward the injection site to shift the gas bubble away from the needle sclerotomy. The infusion cannula was removed, and anterior chamber paracentesis was performed to withdraw 0.3 mL of aqueous humor. In eyes undergoing phacovitrectomy, simultaneous anterior chamber paracentesis was conducted during gas injection using an iris spatula to tap gently at the cataract incision.

Supplementary Information

The online version contains supplementary material available at https://doi.org/10.1007/s40123-025-01114-1.
Prior Presentation: Portions of this study were presented in the 42nd Annual Scientific Meeting of the American Society of Retina Specialists in July 2024, Stockholm, Sweden.
Key Summary Points
What carry out this study?
Vitrectomy combined with internal limiting membrane (ILM) peel and fluid–gas exchange produces favorable macular hole (MH) closure rates, yet suboptimal long-term visual results due to delayed recovery of the photoreceptors.
Less invasive surgery has been introduced to optimize the procedures for medium-sized idiopathic MH. These include topical eyedrops, vitrectomy with ILM peeling without gas injection, or gas injection alone.
What was learned from the study?
Minimal gas vitrectomy (MGV) decreases the buoyant pressure to the fovea through the use of a small volume of pure gas bubble and shortened duration; the gas remains in contact with the macula, whereby the patients can discontinue prone positioning once the inner foveal layers are sealed.
The presence of subfoveal fluid pocket coinciding with MH closure represents the success of this method. After an initial adherence, the outer layers of the gas-free fovea undergo self-regeneration as the subfoveal fluid is gradually absorbed.
As compared with a conventional fluid–gas exchange, the MGV approach is associated with improved morphology of the photoreceptors, with comparable MH closure rates at 12 months after repairing medium-sized MH.

Digital Features

This article is published with digital features, including a video, to facilitate understanding of the article. To view digital features for this article, go to https://doi.org/10.6084/m9.figshare.28450742.

Introduction

Pars plana vitrectomy (PPV) combined with internal limiting membrane (ILM) peel and fluid–gas exchange (FGX) has emerged as a standard treatment for early to moderate idiopathic full-thickness macular holes (FTMH) owing to its ability to address both anteroposterior and tangential tractional forces simultaneously [1, 2]. Although these procedures have demonstrated high closure rates, visual recovery is typically slow, with average best-corrected visual acuity (BCVA) often limited to a range of 20/50 to 20/80 and stabilizing after the second year post surgery, even in patients with symptoms for less than 6 months [37]. Long-term follow-up studies have shown that only 60% of patients have restored organized structures of the external limiting membrane (ELM) and ellipsoidal zone (EZ) more than 5 years after macular hole (MH) repair, which may contribute to suboptimal visual outcomes [8].
A novel approach to retinal detachment (RD) repair has been proposed in recent studies, suggesting that patients who achieve retinal reattachment through natural retinal pigment epithelium (RPE) absorption and reduced gas tamponade, without drainage of subretinal fluid, exhibited superior visual function and better photoreceptor integrity compared to those who experienced immediate reattachment with FGX, which exerts a greater buoyant force [9].
When comparing this concept with MH surgery, our observations and recent case studies suggest that, following an initial apposition of MH edges or the inner retinal layers, a subfoveal pocket of residual fluid, combined with gradual reattachment of the fovea through RPE pumps, may promote a more structured regeneration of photoreceptors. This is reflected in the improved final visual acuity (VA) of better than 20/40 in the case series including ours (Figs. S1, S2) [1012]. In part, the constant friction of the high buoyant force related to the utilization of large volumes of gas bubbles may lead to the stretching of foveal cone cells, causing delayed EZ restoration [9, 13, 14]. In addition, the traditional FGX has drawbacks such as cataract formation, controversial instructions regarding prone positioning, and decreased vision during the early postoperative period [15].
Two main principles behind minimal gas vitrectomy (MGV) for MH repair are decreasing the contact pressure (by three to seven times) exerted on the fovea through the use of a small volume of pure gas bubble [13, 16] and reducing the time the gas remains in contact with the foveal tissue, whereby the patients were instructed to discontinue prone positioning once the hole was sealed. The presence of foveal fluid pocket coinciding with MH closure symbolized the success of this method. In particular, this approach aims to maintain a dry ILM-peeled fovea only until the initial integration of the inner layers of the hole edges. Afterward, the outer layers of the gas-free fovea undergo self-regeneration as the subfoveal fluid pocket is gradually reabsorbed.
Several studies have focused on finding a solution for closing large MHs or identifying preoperative factors associated with poor outcomes. However, limited research has been conducted on modifiable procedures that could improve visual recovery or preserve photoreceptor structures in routine MH surgery, typically performed in patients with medium-sized hole diameters. This study aimed to compare the anatomical and visual outcomes between the MGV and the traditional approach using complete FGX for idiopathic FTMH.

Methods

We performed a retrospective cohort by consecutively enrolling patients with idiopathic FTMHs who underwent surgical repair (performed by all authors except CT) at Vajira Hospitals in Thailand from June 2020 to December 2023. This study was approved by the Institutional Review Board Committee Vajira, Thailand (COA No. 016/2567) and conducted in accordance with the ethical principles of the Declaration of Helsinki. Throughout the standard follow-up sessions, patients consented to the utilization of their previously documented information stored in the hospital database. No identifying information is included in the manuscript. The study included eyes with a minimal hole diameter of 250 –800 µm. To exclude chronic, non-cystic MHs, eyes with MHs measuring between 600 and 800 µm were included in the study if the ratio of hole diameter was below 0.6 [17]. On the basis of the surgical procedures provided, eligible patients were classified into two groups: the MGV and the standard FGX group (performed during 2021–2023 and 2020–2022, respectively). Among the four surgeons involved in the procedures, three (KH, YC, and IL) had between 8 and 13 years of experience, whereas one (TK) had 2 years of experience in retinal surgery at the initiation of the study. TK conducted surgery on two patients, both of whom received standard FGX. Therefore, most surgeries were conducted by surgeons whose expertise fell within the intermediate to experienced level [18]. Despite the use of different techniques across separate time intervals, their ILM peeling technique was expected to stabilize, likely yielding consistent results in the majority of cases.
Data on demographics, preoperative features, and standard MH parameters were collected for analysis. MH stages based on Gass’s classification from 1995 were not included as preoperative factors, as they have been found to have limited predictive value for surgical outcomes and choice of surgical techniques compared to the hole size [19, 20]. The minimal MH diameter was defined as the shortest length between the hole edges (parallel to RPE lines), and this measurement was taken from the horizontal cut of 32-radial or 32-raster macular optical coherence tomography (OCT, Spectralis, Heidelberg Technology, Heidelberg, Germany) scans. The MH diameter ratio was calculated as the ratio between the minimal MH diameter and the length of the MH base [17].
Patients with MH characteristics coinciding with diabetic retinopathy, significant vitreomacular traction with posterior hyaloid thickening, significant epiretinal membrane (macular pucker), RD, retinal vein occlusion, a recent history of eye trauma, or eyes with an axial length greater than 26.5 mm were excluded from the study. Patients with incomplete OCT scans during follow-up visits, a recent history of intraocular surgery or macular laser, and those unable to maintain prone positioning postoperatively were also precluded from the study.

Surgical Methods

Cataract extraction was performed simultaneously in cases of significant cataracts. PPV was conducted using a 23- or 25-gauge vitrectomy system (Constellation, Alcon, Fort Worth, TX, or Bausch & Lomb, St. Louis, MO). In cases of incomplete posterior vitreous detachment, the posterior hyaloid was separated with the assistance of diluted preservative-free triamcinolone. Scleral depression was performed for 360° to facilitate a vitreous-based dissection. Confluent endolaser photocoagulation was applied around retinal breaks and lesions predisposing to RD, if present.
Regarding the macular peeling technique, epiretinal membranes were peeled if present. The ILM was peeled with brilliant blue G staining in a circular fashion for approximately 2.5- to 3-disc diameters [21]; the peeled area was extended throughout the vascular arcades in all directions without involving the areas of nerve striae (Fig. 1a). The ILM flap procedure was applied to MHs sized between 600 and 800 µm. Specifically, the ILM was peeled in the same manner with the flap attached at the edge of the MH. However, the inferior half of the flap was peeled off, and then the superior semicircular half of the flap was gently inverted to cover the surface of the MH (Fig. 1b). All ILM inversion procedures did not utilize perfluorocarbon liquid.
Fig. 1
The perioperative procedures for minimal gas vitrectomy (MGV). a The internal limiting membrane (ILM) was peeled in a standard circular fashion for 2.5- to 3-disc diameters. b The inverted ILM flap approach was employed for macular hole (MH) sizes ranging from 600 to 800 µm. The illustrations in a and b were collected from different patients. c Two superior sclerotomies were closed with 8-0 Vicryl sutures in patients undergoing MGV. d The eye was maintained at a slightly hypotonic state before injecting 1.0–1.2 mL of pure sulfur hexafluoride through a 30-gauge needle connected to a 3-mm syringe, positioned 3.5 mm from the superior limbus. e Anterior chamber paracentesis was performed to balance intraocular pressure. f In cases of phacovitrectomy, simultaneous anterior chamber paracentesis during gas injection was performed using an iris spatula to gently tap at the primary cataract incision
Bild vergrößern
In the MGV group, two superior sclerotomies were closed with 8–0 Vicryl® sutures (Fig. 1c). The eye was kept slightly hypotonic before the gas injection, during which 1.0–1.2 mL of pure sulfur hexafluoride (SF6) was injected through a 30-guage needle connected to a 3-mm syringe at a distance of 3.5 mm from the superior limbus (Fig. 1d). The volume was slightly increased to 1.4 mL for eyes with an axial length of 24.5–26.5 mm [22, 23].
The needle tip was maintained within the injected bubble to avoid the fish eggs phenomenon. Thereafter, the eye was slightly rotated toward the injection site to shift the gas bubble away from the needle sclerotomy. The infusion cannula was removed, and anterior chamber paracentesis was performed to withdraw 0.3 mL of aqueous humor (Fig. 1e). In eyes undergoing phacovitrectomy, simultaneous anterior chamber paracentesis was conducted during gas injection using an iris spatula to tap gently at the cataract incision (Fig. 1f; Supplementary Video). Perfusion of the central retinal artery was assessed before completing the operation. During the first postoperative day, either 250 mg of orally administered acetazolamide or 30 to 50 mL of 100% glycerin was provided every 6 h.
During the first postoperative week, patients undergoing MGV were instructed to maintain a face-down positioning, which was later changed to face forward (for phakic eyes) or no specific positioning (for pseudophakic eyes) once the hole edges were observed to be integrated by OCT images, taken on the first, 3rd to 4th, and 5th to 7th postoperative days (Fig. 2). The maximum duration of face-down positioning was limited to 5 days, on the basis of a recent study indicating that visual benefits reached a plateau after 5 days of prone positioning [24]. A combination of topical therapy comprising 1% prednisolone acetate and nepafenac was prescribed to patients with cystic MH who did not achieve MH closure after 5 days (Fig. 3).
Fig. 2
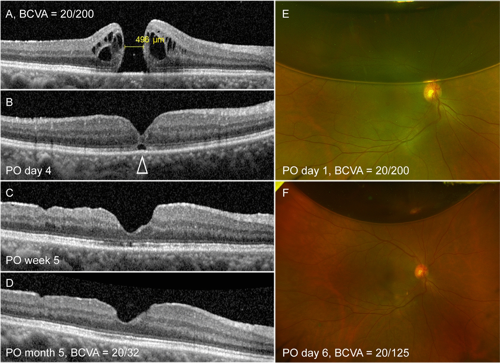
Postoperative findings and transfluid optical coherence tomography imaging after minimal gas vitrectomy (MGV). A 67-year-old woman presented with an idiopathic full-thickness macular hole with a minimal hole diameter of 496 µm (a), resulting in a decline in visual acuity to 20/200. The hole initially closed 4 days after vitrectomy, with a small subfoveal fluid pocket (arrowhead) (b), which was gradually replaced by the external limiting membrane, followed by the photoreceptor layers (c, d). Her vision improved to 20/32 at the 5th month post vitrectomy (d). In the first postoperative week, her central visual field was preserved when she was upright (e, f). We observed that the bottom edge of the gas bubble remained above the foveal level, even with the injection of 1.0 mL of pure sulfur hexafluoride. This case illustrates the advantages of MGV regarding the convenience of imaging that could be performed through fluid as early as day 1 post surgery. Similarly, the patient could begin to see from the first postoperative day. BCVA best-corrected visual acuity, PO postoperative
Bild vergrößern
Fig. 3
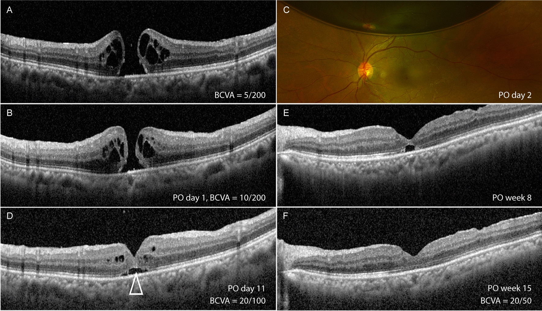
Postoperative findings in a 62-year-old woman who had relatively delayed hole closure after minimal gas vitrectomy. Her visual acuity was 5/200 at baseline (a) and improved to 10/200 on the first postoperative day (b, c). Hole apposition was first observed on the sixth day after she completed a 5-day face-down positioning (d). e, f The reabsorption of subretinal fluid (arrowhead) coincided with the restoration of outer retinal layers, and the visual acuity increased to 20/50 at week 15 postoperatively. BCVA best-corrected visual acuity, PO postoperative
Bild vergrößern
In the control group, a non-expansile concentration of SF6 or perfluoropropane (C3F8) was used during a FGX procedure (Table 1). Sclerotomy closure was at the discretion of the surgeons. Patients were instructed to maintain a prone posture for 7 to 14 days postoperatively. As per hospital protocol, patients undergoing vitrectomy with gas injection were required to be admitted for 2–5 days for continuous monitoring of their intraocular pressure (IOP) and positioning by nursing staff.
Table 1
Preoperative features of the patients in both groups
 
MGV (28 eyes)
Standard FGX (38 eyes)
P
Age (years)
65.8 ± 4.6
66.3 ± 8.6
0.85
Female
12 (42.8%)
22 (57.8%)
0.05*
Symptom duration (months)
6.6 ± 7.9
7.7 ± 7.5
0.84
BCVA
0.96 ± 0.22
0.93 ± 0.27
0.61
Pseudophakia
4 (14.2%)
4 (10.5%)
0.70
Presence of VMT
17 (60.7%)
22 (57.8%)
0.96
Minimal hole diameter (µm)
585 ± 233
523 ± 247
0.81
Eyes with minimal hole diameter of 600–800 µm
3 (10.7%)
4 (10.5%)
0.78
Macular hole diameter ratio
0.55 ± 0.09
0.52 ± 0.19
0.67
Irregularity of the inner MH surface
18 (64.2%)
22 (57.9%)
0.83
Presence of foveal ELM
1 (3.5%)
1 (2.6%)
0.77
Concurrent cataract extraction
4 (14.2%)
16 (42.1%)
0.04*
Vitrectomy system
 23-gauge
16 (57.1%)
17 (44.8%)
0.80
 25-gauge
10 (35.7%)
21 (55.2%)
0.26
 27-gauge
2 (7.1%)
0
N/A
Endolaser retinopexy
7 (25%)
9 (23.6%)
0.88
Epiretinal membrane peeling
2 (7.1%)
5 (17.8%)
0.54
Tamponade agenta
 Air
None
None
N/A
 Pure SF6
100%
None
 
 20% SF6
None
14 (36.8%)
 
 10% SF6
None
1 (2.6%)
 
 14% C3F8
None
21 (55.2%)
 
 7–10% C3F8
None
2 (5.2%)
 
MGV minimal gas vitrectomy, FGX fluid–gas exchange, BCVA best-corrected visual acuity, VMT vitreomacular traction, MH macular hole, ELM external limiting membrane, SF6 sulfur hexafluoride, C3F8 perfluoropropane
aPerioperatively, some surgeons decided to lower the gas concentration when observing a relaxed macula with significantly smaller hole after the internal limiting membrane peeling
*Significant (as p < 0.05)
The primary outcomes of this study included the 12-month BCVA and the proportion of eyes achieving continuous restoration of the ellipsoidal zone. At every follow-up visit, two radial OCT scans—one at 90° and another at 180°—were exported from the OCT machine and forwarded to two separate graders who were not part of the patients’ treatment. Herein, the ellipsoidal zone was classified into three types: continuous (Figs. 2d, S1D), attenuated (Fig. 2c, 3f), and disrupted [2527]. Disrupted ellipsoidal zone is characterized by a complete disconnection of the photoreceptor inner segment/outer segment (IS/OS) junction on either the horizontal or vertical cross-sectional OCT B-scan at the fovea (Fig. S3D, S4F). The evaluators classified the disruption of the IS/OS line as either “present” or “absent (continuous or attenuated IS/OS line),” without measuring the width of the discontinuous IS/OS line or any defective regions through en face OCT imaging. The agreement measurement of inter-rater reliability for this discrete variable utilized the Cohen’s kappa statistic. Other outcome measures comprise the duration of being in a prone position in days, the presence of a postoperative subfoveal pocket, the rates of MH closure observed at the first week, 12 weeks, and 12 months, along with the central foveal thickness, numbers of MH recurrences, patients requiring reoperation or adjunctive interventions, and preoperative irregularity of the inner MH surface [28]. The uneven MH surface represents long-term changes associated with the loss of photoreceptor outer segments, predicting that recovery will likely be incomplete, which may lead to a thinner fovea and poorer visual prognosis in the long-term post operation. Consequently, this factor was controlled during the regression analysis of the postoperative EZ status.
Postoperative complications such as cataract formation, subretinal or intracameral migration of the gas bubble, hypotony, and ocular hypertension were collected. Notably, patients with an MH diameter of 600–800 µm who underwent surgery with ILM inversion were included in the analysis. Data collection and analysis were carried out by technicians and the author (CT), who was not part of the patients’ treatment.

Statistical Analysis

Based on previous studies and our pilot case series [4, 5, 11, 12], the required sample size for adequate statistical power (80%) at a significance level of 5% to detect significant differences in visual outcomes between two surgical procedures was determined using the following values; the mean and standard deviation of logMAR BCVA were 0.30 ± 0.23 for the MGV group and 0.50 ± 0.32 for the conventional group. Cohen’s effect size was estimated to be moderate. Under these conditions, the sample size calculation was performed using the following formula:
$$N = \frac{{2\left( {Z_{\alpha /2} + Z_{\beta } } \right)^{2} \left( {1 + \left( {n - 1} \right)\rho } \right)}}{{n\left[ {\left( {\mu_{1} - \mu_{2} /\sigma } \right)} \right]2}}.$$
Substituting the values into the equation, a sample size of 62 eyes from 62 patients (31 eyes per group) was determined to achieve 80% power to detect the proposed difference at a two-sided 0.05 level using a two-sample t test.
Skewed data were logarithmically transformed prior to the analysis. A linear regression model was applied to analyze the continuous outcomes between the two groups. Controlled covariates for each outcome analysis are detailed in Table 2. Missing time points were not handled using statistical tools. A two-sided p value of less than 0.05 was considered statistically significant. Stata version 15.0 (StataCorp, College Station, TX) was used for all computations.

Results

Out of the 64 patients, two had bilateral involvement, and their eyes were analyzed independently, resulting in a total of 66 eyes in the study population. Most baseline characteristics were comparable between the two groups, except for the proportion of combined cataract surgery, which was higher in the standard FGX group (14.2% vs. 42.1%; P = 0.04). Although the minimal MH diameter was slightly larger in the MGV group (585 ± 233 vs. 523 ± 247 µm; P = 0.81), the overall MH diameter ratio was comparable between the two groups (0.55 ± 0.09 vs. 0.52 ± 0.19; P = 0.67). Pure SF6 gas was used in all patients in the MGV group (28 eyes), while a non-expansile concentration of C3F8 gas was employed in the majority of the standard FGX group (35 out of 38 eyes, 92.1%; Table 1).
Throughout the repeated observation of postoperative gas expansion, none of the participants in the MGV group displayed gas levels lower than the fovea or optic disc when being upright (Figs. 2B and S4B). Consequently, patients who underwent MGV surgery displayed a visual capability during the first postoperative week (mean BCVA, 20/160+1), while eyes completely filled with gas had vision ranging from counting fingers to hand movement (Table 2). Postoperative subfoveal pockets were observed in 73.0% (19/26 eyes) and 5.2% (2/38 eyes) of patients in the MGV and standard FGX groups, respectively (P < 0.001). Two patients in the MGV group missed follow-up visits on postoperative day 3 but were advised to maintain face-down positioning. Both patients achieved hole closure by the fifth day after surgery with no residual fluid pocket.
Table 2
Postoperative results
 
MGV (28 eyes)
Standard FGX (38 eyes)
Adjusted covariates
P
Prone positioning timea (days) (ranges)
3.8 ± 3.0 (1–5 days)
11.9 ± 5.8 (1–26 days)
  
logMAR BCVAb
  
Age, baseline BCVA, and symptom duration
 
 Day 5–7
0.88 ± 0.27
CF or HM
 
N/A
 Week 12
0.68 ± 0.24
0.93 ± 0.27
 
0.11
 Month 6b
0.54 ± 0.12
0.77 ± 0.26 (30 eyes)
 
0.03*
 Month 12b
0.33 ± 0.18 (24 eyes)
0.54 ± 0.28 (27 eyes)
 
0.05*
Time to visualize a macula through transfluid OCT (days)
1.2 ± 1.8
All cases in the control group: 28.6 ± 14.2
 Non-expansile SF6: 12.4 ± 6.1
 Non-expansile C3F8: 34.1 ± 11.6
 
< 0.001*
Presence of subfoveal pocketc,d
19/26 (73.0%)
2 (5.2%)
 
< 0.001*
Macular hole closurec,d
 Within the first week
21 (75.0%)
N/A
  
 Within 12 weeks
27 (96.4%)
35 (92.1%)
 
0.66
 At 12 months
27 (96.4%)
37 (97.3%)
 
0.87
Central foveal thickness (µm)
  
Age and MHD
 
 Month 6
201 ± 88
144 ± 80
 
0.31
 Month 12
187 ± 72
115 ± 56
 
0.09
Interrupted ellipsoidal zone at 12 months
8 (28.5%)
22 (57.8%)
Preoperative irregular MH surface, MHD, and symptom duration
0.04*
Eyes requiring adjunctive interventions
 Topical therapy
9 (32.1%)
7 (18.4%)
  
 Gas exchange
0
3 (7.9%)
 
0.80
Reopening of macular hole
0
1 (no signs of peeled ILM)
  
Postoperative complications
(n = 22)
(n = 32)
  
 Cataract
2 (9.1%)
9 (28.1%)
 
0.11
 Hypotony
0
3 (9.3%)
 
N/A
 Ocular hypertension
1 (4.5%)
5 (15.6%)
 
0.24
 Endophthalmitis
0
1 (3.1%)
 
N/A
 Dislocated intraocular lenses
0
0
 
N/A
CF counting fingers, HM hand movement, MGV minimal gas vitrectomy, FGX fluid–gas exchange, BCVA best-corrected visual acuity, N/A not applicable, OCT optical coherence tomography, MH macular hole, MHD minimal hole diameter, ILM internal limiting membrane, SF6 sulfur hexafluoride, C3F8 perfluoropropane
aThe same duration with a period between the operation date and the first observation of the hole edges’ apposition in patients who achieved MH closure within 5 days postoperatively
bPatients who underwent BCVA assessment with the Snellen chart were excluded from the analysis
cDocumented on the first visit when the macula was visualized by the OCT. Data collected from the control group was derived from common clinical practice; following an initial week of follow-up, the next set of visits occurred between 2 and 5 weeks later. As a result, the earliest observations of transfluid macular OCT in patients that received perfluoropropane were recorded within a timeframe of 3–5 weeks
dAnalysis could not be conducted on a small subset of eyes with MH measuring 600–800 µm because of the insufficient sample size, leading to insufficient statistical power for the study
*Significant (as p < 0.05)
Twenty-one eyes (75%) in the MGV group showed MH closure on the OCT scans within the first postoperative week, while the remaining eyes achieved closure within 3 months with topical therapy alone, without the need for further surgical interventions. Because trans-tamponade OCT was not part of routine practice, MH closure rates were unavailable from the control group for the comparison in the initial week. The OCT results from the FGX group were not acquired until the gas had resolved to less than half of the vitreous cavity, a timeline that generally spans a few weeks post surgery or longer for the C3F8 cohort (34.1 ± 11.6 days) (Table 2).
At 12 months, after adjustment for potential confounders, patients undergoing MGV showed lower proportions of disrupted ellipsoidal zone (8 eyes [28.5%] vs. 22 eyes [57.8%]; P = 0.04) and superior mean final BCVA (20/40−2 vs. 20/63−2). The inter-rater agreement for the EZ disruption variable yielded a Cohen’s kappa coefficient of 0.875. Both groups did not differ significantly in terms of final MH closure rates, MH recurrences, or the need for additional interventions. The average prone positioning time was shorter in the MGV group than in the control group (3.8 days vs. 11.3 days; Table 2). Statistical analysis was not performed on this discrepancy, as the outcomes were partially a result of the research protocol, which restricted the MGV group’s prone positioning to a maximum of 5 days.
The control group displayed a trend toward a higher incidence of feathering cataract (28.1% vs. 9.1%; P = 0.11). There were no significant differences in postoperative complications such as hypotony, secondary glaucoma, issues related to face-down positioning, or endophthalmitis between the two groups. A total of one eye (4.5%) in the MGV group and five eyes (15.6%) in the FGX group experienced a rise in IOP post surgery (P = 0.24). Notably, two patients from the control group with crystalline lenses had significantly shallow anterior chambers (Table 2). One case (3.5%) of the fish eggs phenomenon was observed in the MGV group on the first postoperative day, with no subretinal gas migration.

Discussion

Our study demonstrated that substituting the typical FGX in standard MH surgery with a reduced amount of pure gas and shorter contact time between the gas and fovea resulted in superior visual results, comparable hole closure rates with a shorter period of prone position. The findings suggest that photoreceptors may recover in a more organized manner when undergoing natural regeneration, as evidenced by the presence of a subfoveal pocket within the first 5 days under a dry environment or later with adjunctive topical therapy. It is possible that prolonged existence of a large intraocular gas bubble potentially causes constant friction between its surface tension, ultimately resulting in the stretching of the outer foveal layers [13]. The fact that the bottom edge of the small gas bubble remained above the fovea throughout the postoperative period may allow OCT imaging to be performed through fluid as early as day 1 post surgery. Without obstruction by central gas, maintaining the patient’s central vision while in an upright position could be beneficial for individuals having limited vision in their non-surgical eye. Nevertheless, as-needed prone positioning in the MGV group may be more burdensome for patients with pseudophakia compared to facing forward positioning in those receiving a conventional FGX.
The implementation of minimally invasive surgery for treating FTMH involves modifying the three treatment pillars—PPV, ILM peel, and FGX—to achieve optimal visual and anatomical outcomes. Among these maneuvers, ILM removal remains crucial since tangential contraction contributes a major role in idiopathic FTMH development. This is evident by high MH closure rates of up to 90% with ILM peeling or scraping alone [8, 29, 30]. In addition, vitrectomy and ILM peel alone may be sufficient for closing small macular holes (< 250 µm) without the need for gas tamponade [10]. Correspondingly, in 21.4% of eyes that underwent MGV and did not have hole closure within the first week, the hole edges continued to show inward movement, possibly due to the absence of tangential traction, proliferating glial cells, and the use of topical eyedrops. Conversely, relieving anteroposterior traction using pneumatic vitreolysis alone to detach the posterior hyaloid resulted in lower closure rates (only 30%) [31]. In clinical practice, one major disadvantage of a tamponade-free approach or omitting gas injection during vitrectomy is an absence of a defined timeframe for determining the need for additional interventions for non-closure status. Moreover, patients may be hesitant to undergo secondary procedures, potentially causing delays in implementation.
Concerning the gas volume determined in this study, unlike earlier studies aiming to seal peripheral retinal breaks in retinal detachment repair [16], our research applies reduced gas volume for a different purpose. Specifically, MH closure is driven by the proliferation of glial cells, a process that is slower than retinal break sealing through laser reaction. To ensure effective MH closure, we selected values slightly above the 0.7–1.0 mL gas volume that was previously shown to be safe for RD surgery [23]. A maximal expansion of 1.0–1.2 mL of pure SF6 yields 40–45% of vitreous cavity, which could prolong the tamponade period in patients with delayed hole closure while still meeting with the study’s goals by keeping the fovea gas-free in an upright posture. The MGV approach also enables simultaneous balanced salt solution aspiration through an infusion canula to regulate IOP, unlike pneumatic retinopexy, which restricts gas amount as a result of the constant vitreous volume. A study involving 2.0 mL of pure SF6 for MH surgery (average diameter of 523 µm) demonstrated positive anatomical results. Nevertheless, the gas bubble lasted for 2 weeks, reaching 73% on average, with IOP elevation noted in 4% of patients [22]. Lastly, a slight increase in gas volume can be advantageous in vitrectomized eyes because of quicker gas clearance than in those containing vitreous gel.
Fundamentally, the main function of the gas bubble is to maintain dryness in the fovea, thereby preventing the excessive influx of aqueous into the edges of the hole. Preoperatively, direct contact between hypo-osmolar fluid, consisting of a mixture of liquefied vitreous and aqueous, and the outer foveal layers could lead to fluid bypassing external limiting membrane barrier and migrating directly through the outer neurosensory retina. This process can result in cystic transformations with the proliferation of fibrocytes and astrocytes, tangential contraction, and ultimately a flat configuration with atrophic photoreceptors, observed in chronic large MH [32, 33]. Following surgery, a similar flow of fluid propelled by osmotic differences may cause swollen foveal tissues, which could impede the initial connection of the inner foveal layers [34]. Therefore, not only does the gas bubble inhibit cystoid macular edema (CME) formation but its surface also serves as a scaffold for the proliferation of glial cells, facilitating the initial merging of the fovea [35].
Upon sealing of the macular hole’s roof, a progressive reversal in the gross structural stages was observed, despite the presence of a deep subfoveal pocket. The initial noteworthy change was the disappearance of cystic elements, typically occurring within a day with slight changes in foveal height (Fig. 3b, d). These findings suggest that the hydration effect is the primary factor enabling the RPE to regain control over the subretinal space, regardless of the fluid volume. At this stage, the pathology has shifted from rhegmatogenous to serous retinal detachment, where a gas tamponade is no longer required to facilitate the attachment of the retina to the RPE layer. Similarly, DISCOVER study examining trans-tamponade OCT scans with a conventional gas exchange indicated an 86.3% rate of MH closure of eyes with small MH (mean MHD, 300 µm) starting from the first day after surgery [36].
While the use of gas tamponade is necessary for promoting the initial hole apposition, it is equally important to limit ongoing friction on the fovea to preserve the integrity of photoreceptors. According to mathematical models, the MGV approach decreases the contact force between the injected tamponade and the inner retinal wall by three to four times compared to a full gas fill [37]. Utilizing an undiluted small gas bubble that can persist in the eye for an extended period is essential for achieving these goals, particularly in individuals with relatively large MHs or delayed hole closure. An additional benefit of the MGV method is the ability to personalize prone positioning duration on the basis of postoperative OCT features. Potentially, the closure rate in the early weeks could be higher if the prone duration was extended beyond 5 days in the MGV group. Although the control group could have utilized a shorter period of prone positioning, as indicated by several studies that extended positioning is often unnecessary for achieving MH closure, the delayed regenerative process of photoreceptors may occur as a consequence of extended exposure of the fovea to residual intraocular gas. Notably, while the standard FGX group exhibited increased instances of simultaneous cataract procedures, earlier studies, including meta-analyses, did not indicate any differences in the rates of MH closure between vitrectomy and phacovitrectomy. A rapid clearance of eosinophilic granules from the iris in vitrectomized eyes may explain the lack of significant CME in these patients [38, 39].
Air tamponade could be an alternative, but air’s buoyant force is greater than that of gas and still requires a large volume. Furthermore, air generally dissipates within 3 days while 21.4% of eyes treated with MGV (6/28 eyes) required a period of at least 5 days being prone. Correspondingly, previous research has shown that air is not as effective as SF6 in achieving anatomical outcomes because of its shorter tamponade duration, especially in cases with an MH diameter greater than 250 μm [40, 41]. Correspondingly, we observed a delay in restoring the outer retinal layers, even when utilizing lower concentrations of gas such as 7% to 10% C3F8 or 10% SF6 without a subfoveal bleb during gas disappearance (Fig. S4).
The study’s results emphasize the need to balance the extent of tamponade effects with the morphological success rates and functionality. In particular, both the amount of gas and the time it remains in contact with the fovea should be limited without compromising the chances of MH closure, which typically occurs through two main mechanisms: following the removal of the ILM, the foveal tissues become loosened, resulting in a horizontal and inward movement, accompanied by gliosis formation [32, 42]. These glial tissues subsequently adhere the hole edges together, with their effectiveness increasing in a dry condition to avert the development of CME, causing the fovea to stretch in a vertical direction. Both principles address the key challenges associated with the reduced gas approach, indicating that an initial period for gas to contact the fovea is essential for successful outcomes. Consistently, most patients treated with MGV demonstrated early MH closure after being in a prone position within 3 days when the undiluted gas bubble expanded to approximately 40–45% of the vitreous cavity. The presence of intraocular gas for 7–10 days may continue to deliver a sufficient tamponade for individuals who experience delayed closure.
Unlike other factors, gas “pressure” has not been identified as a contributor to the MH closure. In this regard, our study was able to depicted a clear progression of MH recovery as transfluid OCT imaging could be performed as early as the first postoperative day. We observed that, following an initial adherence of the inner fovea, none of the patients treated with MGV experienced either reopening of MH, despite the large amount of subfoveal fluid, or significant CME possibly as a result of the changes in the subretinal fluid’s osmolarity. Therefore, a transition from rhegmatogenous retinal detachment to serous RD, represented by the presence of subfoveal pocket, could evidently be part of the natural recovery process that aligns more effectively with the physiology of photoreceptors. This observation may indicate that, after MH closure, prolonging exposure to a gas-controlled dry environment does not yield additional advantages for achieving anatomical success.
With an additional duration of exposure to the large gas volume, such healing processes are possibly disrupted, illustrated by a completely dry fovea with EZ defect during gas dissolution. The prolonged presence of gas interacting with a small area of serous foveal detachment could stretch the foveal cones from the center towards the perifovea, potentially causing a delay in the visual recovery. One previous study reported the corresponding findings where patients receiving 20% SF6 showed greater VA gain than the patients treated with 14% C3F8, despite similar 2-day prone posturing being applied for both groups [7].
The reduced instances of interrupted EZ in the MGV group underscore the importance of the self-repairing process in the outer retina, which generally progresses inside-out beginning from the ELM to the photoreceptors. During this process, the initial central gliosis, characterized by a vertical hyperreflective band, gradually resolves from the bottom to the top of the fovea and is replaced by the outer nuclear and axonal outer plexiform layers (Figs. 3e, f, and S3) [43, 44]. The reconstitution of photoreceptor layers is recognized to be associated with improved long-term visual outcomes and increased retinal sensitivity [45]. The importance of photoreceptor self-restoration in visual outcomes is supported by the superior postoperative BCVA recorded in patients treated with MGV at all follow-up timepoints, compared to those from the FGX approach. Previous studies indicating that individuals with primary hole closure who received air or balanced salt solution tamponade likely achieved better final VA compared to those undergoing traditional FGX (20/50 vs. 20/80) [5]. Similarly, a case series demonstrated that patients undergoing ILM peeling without gas tamponade and with a postoperative subfoveal pocket preceding photoreceptor migration tended to have better final visual acuity [11]. Taken together, the evidence suggests that a reduced tamponade approach may provide greater visual benefits.
From a clinical viewpoint, the primary purpose of MH surgery is to ensure the hole closure, followed by efforts to restore photoreceptors and improve visual outcomes. Therefore, this research advocates for the application of MGV in patients with small to medium-sized MH who are prepared to undergo prone positioning shortly after surgery, whereas individuals with larger MH may still require a traditional FGX to avoid the unpredictability of hole closure that may arise following the loss of tamponade effects between 7 and 10 days post MGV.
In contrast to an FGX procedure commonly performed in traditional MH repair, MGV methods have some drawbacks, such as the necessity for suturing parts of sclerotomies and the requirement for patients to maintain a prone position immediately after surgery, along with an increase in postoperative visits and OCT scans during the first week after surgery. Despite the short duration, the strict face-down posture may pose challenges for individuals with morbid obesity.
The present study had several methodological limitations, including its retrospective design, single-center data collection, and insufficient sample size in the MGV group. Furthermore, telephone interviews based on memory recall were used to gather symptom duration from some patients. This method may impact the accuracy of the data, considering that symptom duration plays an independent role in determining visual outcomes [4]. Without sufficient long-term data, BCVA in the control group receiving traditional FGX may eventually reach the same level as that of the MGV group, though this may require between 2 and 5 years (Fig. S3) [6]. Lastly, postoperative visual functions were not explored through visual field and microperimetry tests. A randomized clinical trial with a larger sample size and longer follow-up is needed to confirm the visual benefits of MGV.

Conclusions

When compared to the standard FGX approach, the MGV approaches may be associated with improved photoreceptor restoration, earlier visual improvement, and comparable MH closure rates in cases of small to medium-sized idiopathic FTMH. The use of a reduced tamponade approach allows for a shorter and more individualized period of prone positioning without having an immediate impact on vision post surgery.

Acknowledgements

We greatly thank Dr. Sunir Garg for his insightful comments on the manuscript.

Medical Writing/Editorial Assistance

This article has been edited for English language by Clayton Mitchell of Enago, the editing brand of Crimson Interactive Inc. Funding for this assistance was provided by the Faculty of Medicine, Vajira Hospital, Navamindradhiraj University. The authors of this article did not utilize artificial intelligence technology to help with the writing process.

Declarations

Conflict of Interest

Yodpong Chantarasorn, Thanaporn Kritfuangfoo, Itsara Pokawattana, Kornwipa Hemarat, and Chosita Tangjitwilaikul have no conflict of interests.

Ethical Approval

This study was approved by the Institutional Review Board Committee Vajira, Thailand (COA No. 016/2567) and conducted in accordance with the ethical principles of the Declaration of Helsinki. Throughout the standard follow-up sessions, patients consented to the utilization of their previously documented information stored in the hospital database. No identifying information is included in the manuscript.
Open Access This article is licensed under a Creative Commons Attribution-NonCommercial 4.0 International License, which permits any non-commercial use, sharing, adaptation, distribution and reproduction in any medium or format, as long as you give appropriate credit to the original author(s) and the source, provide a link to the Creative Commons licence, and indicate if changes were made. The images or other third party material in this article are included in the article's Creative Commons licence, unless indicated otherwise in a credit line to the material. If material is not included in the article's Creative Commons licence and your intended use is not permitted by statutory regulation or exceeds the permitted use, you will need to obtain permission directly from the copyright holder. To view a copy of this licence, visit http://creativecommons.org/licenses/by-nc/4.0/.
download
DOWNLOAD
print
DRUCKEN
Titel
Minimal Gas Vitrectomy and As-Needed Positioning Duration for Idiopathic Macular Holes
Verfasst von
Yodpong Chantarasorn
Thanaporn Kritfuangfoo
Itsara Pokawattana
Kornwipa Hemarat
Chosita Tangjitwilaikul
Publikationsdatum
14.03.2025
Verlag
Springer Healthcare
Erschienen in
Ophthalmology and Therapy / Ausgabe 5/2025
Print ISSN: 2193-8245
Elektronische ISSN: 2193-6528
DOI
https://doi.org/10.1007/s40123-025-01114-1

Supplementary Information

Below is the link to the electronic supplementary material.
SUPPLEMENTARY VIDEO: An overview of the surgical techniques involved in minimal gas vitrectomy. FORMAT: MP4; Resolution: 16:9; Size 124,401 KB (0.124 GB); length: 50 sec Vitrectomy was conducted using a 23- or 25-gauge vitrectomy system. In cases of incomplete posterior vitreous detachment, the posterior hyaloid was separated with the assistance of diluted preservative-free triamcinolone. Scleral depression was performed for 360° to facilitate a vitreous-based dissection. Afterwards, epiretinal membranes were peeled if present. The ILM was peeled with brilliant blue G staining in a circular fashion for approximately 2.5- to 3-disc diameters; the peeled area was extended throughout the vascular arcades in all directions without involving the areas of nerve striae. The ILM flap procedure was applied to MHs sized between 600 and 800 µm. Therefore, two superior sclerotomies were closed with 8-0 Vicryl® sutures. The eye was kept slightly hypotonic before the gas injection, during which 1.0 to 1.2 mL of pure sulfur hexafluoride (SF6) was injected through a 30-guage needle connected to a 3-mm syringe at a distance of 3.5 mm from the superior limbus. The needle tip was maintained within the injected bubble to avoid the fish eggs phenomenon. Thereafter, the eye was slightly rotated toward the injection site to shift the gas bubble away from the needle sclerotomy. The infusion cannula was removed, and anterior chamber paracentesis was performed to withdraw 0.3 mL of aqueous humor. In eyes undergoing phacovitrectomy, simultaneous anterior chamber paracentesis was conducted during gas injection using an iris spatula to tap gently at the cataract incision.
1.
Zurück zum Zitat Chin EK, Almeida DR, Sohn EH. Structural and functional changes after macular hole surgery: a review. Int Ophthalmol Clin. 2014;54(2):17–27.PubMedCrossRef
2.
Zurück zum Zitat Williamson TH, Lee E. Idiopathic macular hole: analysis of visual outcomes and the use of indocyanine green or brilliant blue for internal limiting membrane peel. Graefes Arch Clin Exp Ophthalmol. 2014;252(3):395–400.PubMedCrossRef
3.
Zurück zum Zitat Wallsh J, Asahi MG, Gallemore R. Long-term outcomes of macular hole repair with triamcinolone acetonide visualization. Clin Ophthalmol. 2021;15:1607–19.PubMedPubMedCentralCrossRef
4.
Zurück zum Zitat Murphy DC, Al-Zubaidy M, Lois N, Scott N, Steel DH, Macular Hole Duration Study Group. The effect of macular hole duration on surgical outcomes: an individual participant data study of randomized controlled trials. Ophthalmology. 2023;130(2):152–63.PubMedCrossRef
5.
Zurück zum Zitat Patel SN, Law J, Cherney E, Recchia F, Kim SJ. Air vs gas tamponade during macular hole repair surgery. J Vitreoretin Dis. 2020;4(5):360–3.PubMedPubMedCentralCrossRef
6.
Zurück zum Zitat Karacorlu M, Sayman Muslubas I, Ersoz MG, Hocaoglu M, Arf S. When does visual acuity stabilize after macular hole surgery? Five-year follow-up of surgery for idiopathic macular hole. Acta Ophthalmol. 2019;97(1):e136–7.PubMedCrossRef
7.
Zurück zum Zitat Xirou T, Theodossiadis PG, Apostolopoulos M, et al. Macular hole surgery with short-acting gas and short-duration face-down positioning. Clin Ophthalmol. 2012;6:1107–12.PubMedPubMedCentral
8.
Zurück zum Zitat Elhusseiny AM, Schwartz SG, Flynn HW Jr, Smiddy WE. Long-term outcomes after macular hole surgery. Ophthalmol Retina. 2020;4(4):369–76.PubMedCrossRef
9.
Zurück zum Zitat Muni RH, Felfeli T, Sadda SR, et al. Postoperative photoreceptor integrity following pneumatic retinopexy vs pars plana vitrectomy for retinal detachment repair: a post hoc optical coherence tomography analysis from the pneumatic retinopexy versus vitrectomy for the management of primary rhegmatogenous retinal detachment outcomes randomized trial. JAMA Ophthalmol. 2021;139(6):620–7.PubMedPubMedCentralCrossRef
10.
Zurück zum Zitat Grant S, Adrean SD. Surgical macular hole closure without a gas tamponade. J Vitreoretin Dis. 2022;6(1):14–21.PubMedCrossRef
11.
Zurück zum Zitat Lally DR, Kasetty MA. Closure of small macular holes using vitrectomy surgery with internal limiting membrane peeling without the use of intraocular gas tamponade: broadening the understanding of the macular hole pathophysiology. Retin Cases Brief Rep. 2020;14(2):104–9.PubMedCrossRef
12.
Zurück zum Zitat Stopa M, Ciesielski M, Rakowicz P. Macular hole closure without endotamponade application. Retina. 2023;43(4):688–91.PubMedCrossRef
13.
Zurück zum Zitat Farahvash A, Marafon SB, Juncal VR, Figueiredo N, Ramachandran A, Muni RH. Understanding the mechanism of retinal displacement following rhegmatogenous retinal detachment repair: a computer simulation model. Acta Ophthalmol. 2022;100(5):e1163–71.PubMedCrossRef
14.
Zurück zum Zitat Lee WW, Ramachandran A, Hamli H, Escaf LC, Bansal A, Muni RH. Immediate subretinal fluid displacement from the buoyant force of a small gas bubble in pneumatic retinopexy: insights into the potential mechanism of retinal displacement after retinal detachment repair. Retin Cases Brief Rep. 2023;17(3):251–5.PubMedCrossRef
15.
Zurück zum Zitat Yagi F, Sato Y, Takagi ST, Tomita G. Idiopathic macular hole vitrectomy without postoperative face-down positioning performed by different surgeons. Asia Pac J Ophthalmol (Phila). 2013;2(1):20–2.PubMedCrossRef
16.
Zurück zum Zitat Muni RH, Felfeli T, Figueiredo N, Marafon SB, Escaf LC, Juncal VR. Minimal gas vitrectomy technique for reducing risk of retinal displacement following rhegmatogenous retinal detachment repair. Retin Cases Brief Rep. 2022;16(6):681–4.PubMedCrossRef
17.
Zurück zum Zitat Qi Y, Yu Y, You Q, Wang Z, Wang J, Liu W. Hole diameter ratio for prediction of anatomical outcomes in stage III or IV idiopathic macular holes. BMC Ophthalmol. 2020;20(1):351.PubMedPubMedCentralCrossRef
18.
Zurück zum Zitat Alberti M, Jacobsen MF, Hermann MN, et al. Quantifying surgical skill in macular surgery. Acta Ophthalmol. 2022;100(4):440–6.PubMedCrossRef
19.
Zurück zum Zitat Roth M, Schon N, Jurgens L, et al. Frequently assessed and used prognostic factors for outcome after macular hole surgery: which is better? BMC Ophthalmol. 2021;21(1):398.PubMedPubMedCentralCrossRef
20.
Zurück zum Zitat Yu Y, Liang X, Wang Z, Wang J, Qi B, Liu W. Stage or size? The identity of anatomical and visual outcomes in stage 3 and stage 4 idiopathic macular holes after vitrectomy. BMC Ophthalmol. 2023;23(1):91.PubMedPubMedCentralCrossRef
21.
Zurück zum Zitat Qi B, Zhang K, Yang X, Wu X, Wang X, Liu W. Comparison of different internal limiting membrane peeling sizes for idiopathic macular holes: a systematic review and meta-analysis. Ophthalmic Res. 2023;66(1):1071–84.PubMedCrossRef
22.
Zurück zum Zitat Kannan NB, Adenuga OO, Kumar K, Ramasamy K. Outcome of 2 cc pure sulfur hexafluoride gas tamponade for macular hole surgery. BMC Ophthalmol. 2016;16:73.PubMedPubMedCentralCrossRef
23.
Zurück zum Zitat Fajgenbaum MAP, Antonakis S, Williamson TH, Laidlaw DAH. Rate of postoperative autofluorescent macular shift with expanding gas bubble tamponade and no prone posture ambulatory care in patients with macula-involved retinal detachment. Ophthalmologica. 2020;243(5):342–6.PubMedCrossRef
24.
Zurück zum Zitat Chaudhary V, Sarohia GS, Phillips MR, et al. Role of positioning after full-thickness macular hole surgery: a systematic review and meta-analysis. Ophthalmol Retina. 2023;7(1):33–43.PubMedCrossRef
25.
Zurück zum Zitat Lee KE, Heitkotter H, Carroll J. Challenges associated with ellipsoid zone intensity measurements using optical coherence tomography. Transl Vis Sci Technol. 2021;10(12):27.PubMedPubMedCentralCrossRef
26.
Zurück zum Zitat Lee MW, Kim TY, Song YY, Baek SK, Lee YH. Changes in each retinal layer and ellipsoid zone recovery after full-thickness macular hole surgery. Sci Rep. 2021;11(1):11351.PubMedPubMedCentralCrossRef
27.
Zurück zum Zitat Hasebe H, Matsuoka N, Terashima H, Sasaki R, Ueda E, Fukuchi T. Restoration of the ellipsoid zone and visual prognosis at 1 year after surgical macular hole closure. J Ophthalmol. 2016;2016:1769794.PubMedPubMedCentralCrossRef
28.
Zurück zum Zitat Qi B, Yu Y, Yang X, et al. Photoreceptor outer segment loss at the macular hole border: clinical characteristics and surgical prognosis. Ophthalmic Res. 2023;66(1):1335–41.PubMedCrossRef
29.
Zurück zum Zitat Mester V, Kuhn F. Internal limiting membrane removal in the management of full-thickness macular holes. Am J Ophthalmol. 2000;129(6):769–77.PubMedCrossRef
30.
Zurück zum Zitat Mahajan VB, Chin EK, Tarantola RM, et al. Macular hole closure with internal limiting membrane abrasion technique. JAMA Ophthalmol. 2015;133(6):635–41.PubMedCrossRef
31.
Zurück zum Zitat Chan CK, Mein CE, Glassman AR, et al. Pneumatic vitreolysis with perfluoropropane for vitreomacular traction with and without macular hole: DRCR retina network protocols AG and AH. Ophthalmology. 2021;128(11):1592–603.PubMedCrossRef
32.
Zurück zum Zitat Green WR. The macular hole: histopathologic studies. Arch Ophthalmol. 2006;124(3):317–21.PubMedCrossRef
33.
Zurück zum Zitat Martins Melo I, Bansal A, et al. Morphologic stages of rhegmatogenous retinal detachment assessed using swept-source OCT. Ophthalmol Retina. 2023;7(5):398–405.PubMedCrossRef
34.
Zurück zum Zitat Venkatesh R, Mohan A, Sinha S, Aseem A, Yadav NK. Newer indices for predicting macular hole closure in idiopathic macular holes: a retrospective, comparative study. Indian J Ophthalmol. 2019;67(11):1857–62.PubMedPubMedCentralCrossRef
35.
Zurück zum Zitat Liu L, Wang Z, Yu Y, et al. Microstructural and microperimetric comparison of internal limiting membrane peeling and insertion in large idiopathic macular hole. BMC Ophthalmol. 2023;23(1):274.PubMedPubMedCentralCrossRef
36.
Zurück zum Zitat Cakir Y, Sassine A, Matar K, et al. Assessment of macular hole closure speed using trans-tamponade OCT and 3-dimensional macular hole segmentation in the DISCOVER study. J Vitreoretin Dis. 2024;8(5):558–64.PubMedCrossRef
37.
Zurück zum Zitat Muni RH, Lee WW, Bansal A, Ramachandran A, Hillier RJ. A paradigm shift in retinal detachment repair: the concept of integrity. Prog Retin Eye Res. 2022;91:101079.PubMedCrossRef
38.
Zurück zum Zitat Muselier A, Dugas B, Burelle X, et al. Macular hole surgery and cataract extraction: combined vs consecutive surgery. Am J Ophthalmol. 2010;150(3):387–91.PubMedCrossRef
39.
Zurück zum Zitat Farahvash A, Popovic MM, Eshtiaghi A, Kertes PJ, Muni RH. Combined versus sequential phacoemulsification and pars plana vitrectomy: a meta-analysis. Ophthalmol Retina. 2021;5(11):1125–38.PubMedCrossRef
40.
Zurück zum Zitat Yao Y, Yan H, Qu J, et al. Vitrectomy with sulfur hexafluoride versus air tamponade for idiopathic macular hole: a retrospective study. BMC Ophthalmol. 2023;23(1):331.PubMedPubMedCentralCrossRef
41.
Zurück zum Zitat Lindtjorn B, Krohn J, Haugstad M, et al. Air versus sulfur hexafluoride gas tamponade for small and medium-sized macular holes: a randomized noninferiority trial. Ophthalmol Retina. 2022;6(9):828–34.PubMedCrossRef
42.
Zurück zum Zitat Madreperla SA, McCuen BW 2nd, Hickingbotham D, Green WR. Clinicopathologic correlation of surgically removed macular hole opercula. Am J Ophthalmol. 1995;120(2):197–207.PubMedCrossRef
43.
Zurück zum Zitat Qi B, Yu Y, Yang X, et al. The evolution and visual prognosis of glial proliferation with different grades after macular hole surgery: an optical coherence tomography-based study. Ophthalmologica. 2023;246(5–6):314–23.PubMedCrossRef
44.
Zurück zum Zitat Bottoni F, De Angelis S, Luccarelli S, Cigada M, Staurenghi G. The dynamic healing process of idiopathic macular holes after surgical repair: a spectral-domain optical coherence tomography study. Invest Ophthalmol Vis Sci. 2011;52(7):4439–46.PubMedCrossRef
45.
Zurück zum Zitat Bonnabel A, Bron AM, Isaico R, Dugas B, Nicot F, Creuzot-Garcher C. Long-term anatomical and functional outcomes of idiopathic macular hole surgery. The yield of spectral-domain OCT combined with microperimetry. Graefes Arch Clin Exp Ophthalmol. 2013;251(11):2505–11.PubMedCrossRef

Kompaktes Leitlinien-Wissen Innere Medizin (Link öffnet in neuem Fenster)

Mit medbee Pocketcards schnell und sicher entscheiden.
Leitlinien-Wissen kostenlos und immer griffbereit auf ihrem Desktop, Handy oder Tablet.

Neu im Fachgebiet Innere Medizin

RSV birgt in der postakuten Phase erhebliche Risiken

Ob und wie stark können Infektionen mit dem Respiratorischen Synzytial-Virus kardiorespiratorische Probleme auch in der postakuten Phase verursachen? Eine Studie hat das untersucht.

Opportunistische Salpingektomie lohnt sich häufig

Eine opportunistische Eileiterentfernung reduziert das Risiko für tubo-ovarielle Karzinome um 40 bis 80% – ohne kurzfristige Nachteile für die Ovarialfunktion. Die Europäische Gynäkologievereinigung rät Frauen ohne Kinderwunsch daher, solche Eingriffe zu nutzen.

Beschleunigt leichte nächtliche Hypertonie eine Niereninsuffizienz?

Haben Menschen mit einer chronischen Niereninsuffizienz nachts systolische Blutdruckwerte über 110 mmHg, scheint dies die Nierenfunktion weiter zu verschlechtern. Ab 65 Jahren ist es nach Daten aus China aber genau umgekehrt.

Orales Semaglutid kann Herzinsuffizienz-Komplikationen reduzieren

Die Behandlung eines Typ-2-Diabetes mit oralem Semaglutid scheint sich auch auf eine bestehende Herzinsuffizienz günstig auszuwirken. Laut einer Sekundäranalyse der SOUL-Studie profitieren vor allem Patienten und Patientinnen mit erhaltener Auswurffraktion.

Update Innere Medizin

Bestellen Sie unseren Fach-Newsletter und bleiben Sie gut informiert.

Bildnachweise
Die Leitlinien für Ärztinnen und Ärzte, Seniorin verschluckt sich beim Teetrinken/© South_agency / Getty Images / iStock (Symbolbild mit Fotomodell), Hysterektomie/© nkeskin / Getty Images / iStock