Zum Inhalt

Das Morton-Neurom

Kompressionssyndrome der Leiste und der unteren Extremität - Teil 7

Erschienen in:

Auszug

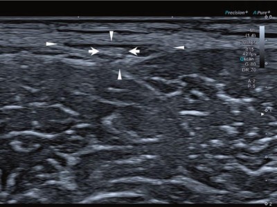
Der letzte Teil der Serie „Kompressionssyndrome der Leiste und der unteren Extremitäten“ behandelt das Morton-Neurom. Als Risikofaktor gilt vor allem das Tragen von unpassendem Schuhwerk, wodurch die Interdigitalnerven chronisch gereizt werden. Insbesondere bei größeren Neuromen sind konservative Maßnahmen nur begrenzt wirksam, weshalb oft eine operative Dekompression des Nervs indiziert ist. …
Titel
Das Morton-Neurom
Kompressionssyndrome der Leiste und der unteren Extremität - Teil 7
Verfasst von
Dr. med. Heinrich Binsfeld
Publikationsdatum
20.11.2023
Verlag
Springer Medizin
Erschienen in
Schmerzmedizin / Ausgabe 6/2023
Print ISSN: 2194-2536
Elektronische ISSN: 2364-1010
DOI
https://doi.org/10.1007/s00940-023-4302-2
Dieser Inhalt ist nur sichtbar, wenn du eingeloggt bist und die entsprechende Berechtigung hast.

Das könnte Sie auch interessieren

Meralgia paraesthetica – Wie gut kennen Sie das Kompressionssyndrom?

Nadelstichartige, brennende Schmerzen und Empfindungsstörungen an der vorderen Außenseite des Oberschenkels, bevorzugt im Gehen und Stehen, sind typisch für die Meralgia paraesthetica. Diagnostisch spielt die Sonografie eine wichtige Rolle; therapeutisch sind v.a. konservative Maßnahmen gefragt. Das Kompressionssyndrom des Nervus cutaneus femoris lateralis im Steckbrief.

Piriformissyndrom oder "tiefes gluteales Syndrom"?

Mit stechenden Schmerzen von Gesäß bis Oberschenkel, Taubheitsgefühlen, Kribbeln und wahrgenommener Muskelschwäche macht sich das Piriformissyndrom typischerweise bemerkbar. Eine Reihe manueller Tests bestätigt die Diagnose, wichtigste therapeutische Maßnahme ist die Entlastung der betroffenen Stelle. Doch ist der M. piriformis wirklich immer der alleinige Verursacher der Symptome?

Kompression von Nervus saphenus und Ramus infrapatellaris

In mehreren Beiträgen stellen wir Ihnen die Kompressions- und Engpasssyndrome der Leiste und der unteren Extremitäten vor. Im dritten Teil widmen wir uns dem idiopathischen Kompressionssyndrom des Nervus saphenus, das vor allem nach operativen …

Kompressionssyndrome des Nervus peronaeus

In mehreren Beiträgen stellen wir Ihnen die Kompressions- und Engpasssyndrome der Leiste und der unteren Extremitäten vor. Im vierten Teil widmen wir uns der Kompression des Nervus peronaeus, bei der es zu Sensibilitätsstörungen und …

Neu im Fachgebiet AINS

Botulinumtoxin in der orthopädischen Schmerztherapie

Chronische Schmerzen und therapieresistent: Botulinumtoxin A könnte dafür eine Lösung sein. Wie der Wirkstoff in der Orthopädie eingesetzt wird, welche Evidenz dafür spricht und wie es um die Kostenübernahme steht, erklärte Dr. Stephan Grüner auf dem Kongress für Orthopädie und Unfallchirurgie.

Bundesverfassungsgericht: Triage-Regelung nicht mit Grundgesetz vereinbar

Das Bundesverfassungsgericht hat Regelungen zur Triage für nichtig erklärt. Es gab damit Verfassungsbeschwerden von Intensiv- und Notfallmedizinern statt. Der Eingriff in die Berufsfreiheit der Ärztinnen und Ärzte sei verfassungsrechtlich nicht gerechtfertigt, betont das Gericht.

Mit „pflanzlichen“ Supplementen in die adrenale Insuffizienz

Als pflanzlich deklarierte Nahrungsergänzungsmittel gelten mit Blick auf unerwünschte Effekte gemeinhin als harmlos. Wie sehr man sich hier irren kann, zeigt ein Fallbericht.

Was lindert kindliche Kopfschmerzen?

Die Migräne-Inzidenz steigt auch bei Kindern und Jugendlichen. Medikamentös gibt es nur wenige Optionen, insbesondere für die Prophylaxe. Multimodale Ansätze sind gefragt. Hilft dabei auch ein strukturiertes Riechtraining? 

Update AINS

Bestellen Sie unseren Fach-Newsletter und bleiben Sie gut informiert.

Bildnachweise
Palpationstest bei Morton-Neurom/© Springer Medizin Verlag GmbH, Aufziehen einer Spritze/© Eisenhans / Fotolia, Junge Ärztin vor einem Triage-Zelt/© Milos / Stock.adobe.com (Symbolbild mit Fotomodell), Tabletten werden in Hand geschüttet/© O.Farion / Stock.adobe.com (Symbolbild mit Fotomodell), Kranker Junge mit erhöhter Temperatur/© Imgorthand / Getty Images / iStock (Symbolbild mit Fotomodell)