Zum Inhalt
Chirurgie Neurochirurgie

Neurochirurgie

Fieber, Trinkschwäche und dunkler Urin – was plagt den Säugling?

Ein drei Monate alter Säugling trinkt seit dem Vortag wenig, hat Fieber und einen dunkel gefärbten Urin. Der Verdacht auf eine Harnwegsinfektion bestätigt sich im Labor nicht. Ein Hinweis gibt das Blutbild, doch das gesamte Ausmaß zeigt sich in der Magnetresonanztomografie. 

weiterlesen

Weiterführende Themen

Kasuistiken

Multiple Raumforderungen beider Ovarien – und ein auffälliger Hautbefund

Eine 21-Jährige Nulligravida stellt sich mit Unterbauchschmerzen vor. Der Befund: multiple rezidivierende Raumforderungen beider Ovarien sowie ein benigner Hauttumor an der Nase. Bereits mit 16 wurden beidseitig benigne Ovarialtumoren entfernt. Wie würden Sie diesen komplexen Fall diagnostisch und therapeutisch einordnen?

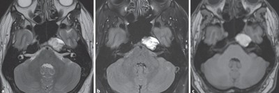
Halsschmerzen, Kloßgefühl und Heiserkeit – nicht immer ein Fall für die HNO

Während seiner Arbeit als Maurer spürt der 40-Jährige plötzlich Halsschmerzen auf der linken Seite, die sowohl in die Schläfenregion als auch in die Schulter ausstrahlen. Zudem wird er heiser. Zunächst wird eine Epiglottitis vermutet. Die Lösung des Falls liegt jedoch in der  neurologischen Untersuchung.

Erektionsstörung: Im Schädel-MRT zeigt sich die Ursache

Ein 26-Jähriger hat seit mehreren Monaten eine verminderte Libido, erektile Dysfunktion sowie reduziertes Ejakulatvolumen. Erste Untersuchungen ergeben einen Testosteronmangel, jedoch keine körperlichen oder neurologischen Beschwerden. Die daraufhin veranlasste Schädel-MRT weist eine Kontrastmittel-Aussparung in der Adenohypophyse auf.

Weitere Artikel aus unseren Fachzeitschriften

Schwannomatose bei Kindern und Jugendlichen: hohe Relevanz frühzeitiger Diagnostik

Die häufigste Form der Schwannomatose (SWN) ist die NF2 -bedingte SWN, die mit einer Inzidenz von 1:61.332 auftritt (Tab. 1 ). Früher wurde diese SWN-Form als Neurofibromatose Typ 2 (NF2) bezeichnet, und die genetische Ursache ist eine …

Neurologische Prognose nach Herzstillstand und Reanimation

Nach zunächst erfolgreicher Reanimation mit Erreichen eines spontanen Rhythmus sind Patient:innen zumeist komatös und werden auf eine Intensivstation aufgenommen. Das Gehirn ist besonders vulnerabel für Schädigungen unter globaler Ischämie bzw.

Objektive Verfahren der Hörprüfung als Beitrag zur wissenschaftlich fundierten Begutachtung

Objektive Hörprüfungsverfahren haben im Gutachten einen hohen Stellenwert, da ihre Ergebnisse von der zu untersuchenden Person nicht manipulierbar sind, sie erhöhen die Richtigkeit, Genauigkeit und diagnostische Tiefe sowie die forensische …

Management des chronischen Subduralhämatoms

Das chronische Subduralhämatom weist eine steigende Inzidenz, variable Rezidivraten und ein breites Therapiespektrum auf. Dieser Beitrag gibt einen Überblick über die aktuelle Evidenz zur Diagnostik, operative und interventionelle Therapie sowie …

Erst verwackeltes Schriftbild, dann Cephalgien und Sehstörungen

Alle in dieser Rubrik erschienen Fälle, bei denen Ihr diagnostischer Spürsinn gefragt ist, stehen für Sie gesammelt auf SpringerMedizin.de bereit: …

Radiologische Diagnostik bei Wirbelsäulentraumata in besonderen Konstellationen

Wirbelsäulentraumata sind selten, aber mit erheblicher Morbidität und Mortalität verknüpft. Ihre Diagnostik stellt Radiologinnen und Radiologen vor besondere Herausforderungen, insbesondere in speziellen Patientengruppen und klinischen …

Einsatz von funktioneller Bildgebung zur Therapieplanung

Funktionelle Bildgebung hat in den letzten Jahren immer mehr Bedeutung in der onkologischen Therapieplanung gewonnen. Die Positronenemissionstomographie (PET), meist kombiniert mit einer Computertomographie (PET-CT), ermöglicht häufig nicht nur …

Frakturen der Halswirbelsäule

Zwei validierte klinische Entscheidungsregeln – die NEXUS-Kriterien und die Canadian C‑Spine Rule (CCR) – ermöglichen eine zuverlässige Einschätzung der Notwendigkeit zur Bildgebung bei Verdacht auf eine zervikale Wirbelsäulenverletzung.

Videos und Webinare

Webinar

ADCs x Brustkrebs: Strategien für den klinischen Alltag (Link öffnet in neuem Fenster)

  • Live
  • Webinar | 19.11.2025 | 18:00

Rund 30 % der Patientinnen mit HER2-positivem Mammakarzinom entwickeln im Laufe der Zeit Hirnmetastasen – mit gravierenden Folgen für Prognose und Lebensqualität. Im Webinar am 19. November von 18 bis 19.30 Uhr erhalten Sie einen praxisnahen Überblick zum Management von Hirnmetastasen bei metastasiertem Brustkrebs. Das Webinar ist mit 2 CME-Punkten zertifiziert.

Mit freundlicher Unterstützung von:
  • Daiichi Sankyo Austria GmbH & AstraZeneca Österreich GmbH
Webinar

S3-Leitline zu peripheren Nervenverletzungen

  • Webinar | 10.02.2025 | 13:00

Über den Weg zur finalen Fassung der S3-Leitlinie "Versorgung peripherer Nervenverletzungen" spricht Prof. Dr. Leila Harhaus-Wähner im MedTalk Leitlinie KOMPAKT. In dem acht-minütigen Video geht es darum, was sich im Vergleich zur vorigen Fassung der Leitlinie geändert hat, welche Aspekte für die tägliche Praxis besonders wichtig sind und was jeder gemäß Leitlinie nun anders oder besser machen sollte.

Prof. Dr. Leila Harhaus-Wähner
MedTalk Leitlinie KOMPAKT

Buchkapitel zum Thema

Subarachnoidalblutung

Eine 27-jährige Patientin wird kurz vor Weihnachten komatös in ihrer Wohnung aufgefunden. Ihr Freund erzählt, dass sie Tage zuvor über heftige Kopfschmerzen geklagt hat. Da sie aber mit einer Hausarbeit im Rahmen ihres Studiums beschäftigt ist …

Rückenmarkverletzung und Querschnittlähmung

Ein 23-jähriger Patient macht im Schwimmbad einen Kopfsprung und taucht nur langsam wieder auf. Als er von seinen Freunden aus dem Wasser geholt wird, klagt er über Unwohlsein, kann aber alle Extremitäten bewegen. Sekundär kommt es zu einer …

Neuromuskuläre Erkrankungen

Im vorliegenden Kapitel werden die Grundlagen, Ätiologie und Pathophysiologie der wichtigsten neuromuskulären Erkrankungen ebenso beleuchtet, wie die Klinik, Diagnostik und Therapie. Zu den neuromuskulären Pathologien zählen sowohl die angeborenen …

Neurologische Notfälle

Neurologische Notfälle haben einen wichtigen Stellenwert in der Notfallmedizin, da sie häufig zeitkritisches Handeln erfordern. Von der zerebralen Ischämie, über die unterschiedlichen Hirnblutungen bis hin zur Meningitis wird das wesentliche in …

Nicht gefunden, wonach Sie suchten?

Probieren Sie es mit der Suchfunktion:

Neu im Fachgebiet Chirurgie

Periprothetische Infektion: Welches Verfahren beim Prothesenwechsel liegt im Trend?

Eine periprothetische Gelenkinfektion stellt ein erhebliches Mortalitätsrisiko in der Endoprothetik dar. Der Prothesenwechsel kann in einem einzeitigen oder zweizeitigen Verfahren erfolgen. Die Wahl des Verfahrens beeinflusst die Prognose maßgeblich, der Trend geht aber klar in eine Richtung.

Gliome zielgerichtet behandeln mit Vorasidenib

IDH (Isocitrat-Dehydrogenase)-Mutationen sind bei Gliomen im Erwachsenenalter ein wichtiger prognostischer und prädiktiver Faktor und zugleich ein ideales Target für eine zielgerichtete Therapie. Mittlerweile gibt es mit Vorasidenib eine zugelassene Behandlungsoption. 

Bei präoperativer Dyspnoe könnte sich gezieltes Atemtraining lohnen

Eine präoperative Dyspnoe war bei Teilnehmenden eines Prähabilitationsprogramms ein Risikofaktor für suboptimale Ergebnisse nach Op. am Magen-Darm-Trakt. Forschende aus den USA plädieren für ein verstärktes individuelles Atemtraining.

Bundesverfassungsgericht: Triage-Regelung nicht mit Grundgesetz vereinbar

Das Bundesverfassungsgericht hat Regelungen zur Triage für nichtig erklärt. Es gab damit Verfassungsbeschwerden von Intensiv- und Notfallmedizinern statt. Der Eingriff in die Berufsfreiheit der Ärztinnen und Ärzte sei verfassungsrechtlich nicht gerechtfertigt, betont das Gericht.

Update Chirurgie

Bestellen Sie unseren Fach-Newsletter und bleiben Sie gut informiert.

Bildnachweise
Blutung im transversalen als auch im saggitalen Schnitt/© Instituts für Diagnostische und Interventionelle Radiologie der Uniklinik Köln; mit freundlicher Genehmigung, MRT des Beckens: Uterus und Ovarialtumoren/© Hosten AK et al. / all rights reserved Springer Medizin Verlag GmbH, Spinale Stenose/© A. Frank, Cholesterolgranulom im MRT/© Frederik F/ all rights reserved Springer Medizin Verlag GmbH, Ultraschalluntersuchung der Schilddrüse/© Olesia Bilkei / Fotolia (Symbolbild mit Fotomodellen), Hirntumoren sichtbar im MRT/© semnic / Getty Images / iStock (Symbolbild mit Fotomodell), Subdurales Hämatom im MRT-Befund/© Springer Medizin, Magnetresonanztomographie/© Svitlana / Stock.adobe.com (Symbolbild mit Fotomodell), Springer Medizin Podcast - Trigeminusneuralgie/© (M) pain au chocolat / stock.adobe.com (Symbolbild mit Fotomodell), Tumor im linken Kleinhirnbrückenwinkel und inneren Gehörgang (linkes Bild) und Tumor am Foramen jugulare (rechtes Bild)/© Springer Medizin, Ischämischer Insult/© stockdevil / iStock / Thinkstock, Schreiendes Baby/© AzmanL / Getty Images / iStock (Symbolbild mit Fotomodell), Arzt und Ärztin sehen sich Befunde einer kranialen MRT-Untersuchung an/© Atthapon / stock.adobe.com (Symbolbild mit Fotomodellen), Abklärung von Rückenschmerz bei älterer Patientin/© andreswd / Getty Images / iStock (Symbolbild mit Fotomodellen), Manuelle Behandlung unterer Rückenschmerzen/© Viorika / Getty Images / iStock (Symbolbild mit Fotomodellen), Akute Deckplattenimpressionsfraktur des LWK 2/© Klinikum Bayreuth, Lumbale Spinalkanalstenose/© Birkenmaier C & Fuetsch M / all rights reserved Springer Medizin Verlag GmbH, Verminderte Schulterhebung beim Patient/© Hülsmann Y et al. / all rights reserved Springer Medizin Verlag GmbH, Prolaktinom mit sekundärem hypogonadotropem Hypogonadismus/© Linse K, Hartmann M / all rights reserved Springer Medizin Verlag GmbH, Frau bei Strahlentherapie/© (M) Mark Kostich / Stock.adobe.com (Symbolbild mit Fotomodellen), Neuroradiologe und Assistentin/© (M) tunedin / Stock.adobe.com (Symbolbild mit Fotomodellen), Search Icon, Knochensäge im Einsatz bei Knie-TEP/© Issara / stock.adobe.com (Symbolbild mit Fotomodellen), Lungentrainer/© S@photo / stock.adobe.com (Symbolbild mit Fotomodell), Junge Ärztin vor einem Triage-Zelt/© Milos / Stock.adobe.com (Symbolbild mit Fotomodell)