Zum Inhalt

Neurofibromatose Typ 1 im Kindes- und Jugendalter

Fallberichte aus einem weiten Spektrum

Erschienen in:

Zusammenfassung

Am NF Kinder Expertisezentrum der Med. Univ. Wien betreuen wir ein sehr breites Spektrum an NF-Manifestationen, und keiner unserer Patient*innen gleicht der/dem anderen. Die individualisierte ärztliche Versorgung bedarf eines Teams mit Vertreter*innen aus den relevanten medizinischen Fachrichtungen, das die Patient*innen in einem geeigneten Rahmen, wie z. B. einem dedizierten NF-Board, regelmäßig interdisziplinär bespricht. Ebenso wichtig ist die (neuro)psychosoziale Betreuung der Betroffenen und deren Familien (so können etwa mögliche neurokognitive Einschränkungen den Schulalltag beeinflussen). Weiters ist es für viele Familien schwierig, mit einer lebensbegleitenden Veranlagung umzugehen, deren individueller Verlauf (Auftreten von NF1-assoziierten Symptomen/Tumoren) in keiner Weise vorhersehbar ist. Edukation der Patient*innen und Familien bzgl. onkologischer Erkrankungen und deren Symptome bzw. Warnzeichen ist essenziell, es ist aber auch wichtig darauf hinzuweisen, dass diese u. U. nie auftreten werden.
QR-Code scannen & Beitrag online lesen

Hinweis des Verlags

Der Verlag bleibt in Hinblick auf geografische Zuordnungen und Gebietsbezeichnungen in veröffentlichten Karten und Institutsadressen neutral.

Einleitung

Neurofibromatose Typ 1 (NF1) wird verursacht durch pathologische Veränderungen des NF1-Gens auf dem Chromosom 17 und wird autosomal-dominant vererbt, wobei etwa die Hälfte der Fälle auf eine Neumutation zurückzuführen ist. Die Prävalenz liegt bei etwa 1:2500 [1], die Lebenserwartung ist ca. um 10–15 Jahre verkürzt. Es handelt sich um ein Tumorprädispositionssyndrom, jedoch können neben diversen Tumoren (mit Prädilektion im Nervengewebe) mannigfaltige andere Symptome auftreten – wie in den Fallberichten dargestellt. Die Diagnose wird häufig im Kindesalter gestellt, wenn die Betroffenen durch Café-au-lait-Flecken auf der Haut auffallen (Abb. 1). Meistens ist zu diesem Zeitpunkt noch kein weiteres klinisches Diagnosekriterium vorhanden, sodass oft erst eine genetische Untersuchung das Vorliegen der Erkrankung bestätigen kann (Infobox 1). Die multidisziplinäre Betreuung zielt auf die Früherkennung möglicher medizinischer, neuropsychologischer und psychosozialer Probleme ab. NF1 ist nicht heilbar, viele auftretende Probleme können jedoch gut therapeutisch angegangen werden, insbesondere bei frühzeitiger Erkennung. In den Fallbeispielen werden wichtige und typische Erscheinungsformen der NF1 bei Kindern und Jugendlichen dargestellt.
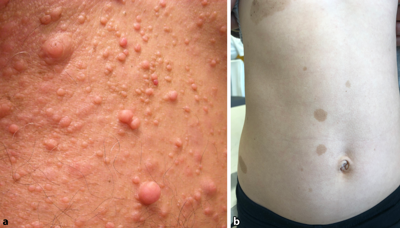
Abb. 1
a Namensgebende kutane Neurofibrome der NF1 (bei einem Erwachsenen). b Typische Café-au-lait-Flecken bei einem Kind (im Bild links oben auch ein Nävus spilus). NF1 Neurofibromatose Typ 1. (© A. Azizi)
Bild vergrößern
Infobox 1 Diagnosekriterien (nach Legius et al. 2021) [7];
A Die Diagnosekriterien für NF1 sind bei einer Person, bei der kein Elternteil mit NF1 diagnostiziert wurde, erfüllt, wenn zwei oder mehr der folgenden Punkte vorliegen:
  • ≥ 6 Café-au-lait-Flecken mit über 5 mm im Durchmesser vor der Pubertät und über 15 mm im Durchmesser nach der Pubertät
  • Sommersprossenartige Pigmentierung (Freckling) in der Achselhöhle oder Leistengegend
  • ≥ 2 Neurofibrome jeglicher Art oder ein plexiformes Neurofibrom
  • Sehbahngliom (Optikusgliom)
  • ≥ 2 Lisch-Knötchen (Irishamartome) oder ≥ 2 choroidale Abnormalities (CA)
  • Charakteristische Knochenläsion wie Keilbeindysplasie oder Verdünnung der langen Röhrenknochen mit oder ohne Pseudoarthrose
  • Eine heterozygote pathogene NF1-Variante mit einem Varianten-Allel-Anteil von 50 % in scheinbar normalem Gewebe wie weißen Blutkörperchen
B Ein Kind eines Elternteils, das die in A genannten Diagnosekriterien erfüllt, verdient die Diagnose NF1, wenn eines oder mehrere der in A genannten Kriterien erfüllt sind.

Alexej, 8 Jahre alt

Alexej (Name geändert) wurde im 6. Lebensmonat am NF Kinder-Expertisezentrum der Med. Univ. Wien vorgestellt, nachdem beim Kinderarzt Café-au-lait-Flecken auf der Haut aufgefallen waren. Die Eltern selbst wiesen keine Symptome einer NF1 auf, eine genetische Untersuchung aus dem Blut konnte schließlich den Verdacht auf Neurofibromatose Typ 1 (NF1) sichern. Es erfolgten konform der Leitlinien regelmäßige Augenkontrollen aufgrund des bei NF1 erhöhten Risikos auf Sehbahngliome [2], und im 2. Lebensjahr erfolgte eine an unserem Zentrum routinemäßige MRT-Screening-Untersuchung. In dieser zeigte sich ein ausgedehntes, linksseitig betontes Optikus/Chiasma-Gliom. Es wurde mit der Familie besprochen, dass es sich hierbei um einen Tumor der Sehbahn handelt, der zwar biologisch gutartig ist, aber zu einer erheblichen Einschränkung der Sehleistung bis hin zur Erblindung führen kann. Zu dem Zeitpunkt konnten bei dem Patienten aufgrund der altersbedingten schlechten Compliance noch keine zuverlässigen Augenuntersuchungen durchgeführt werden, sodass eine Visusbestimmung nicht möglich war. Es erfolgten kurzfristige MRT-Kontrollen alle 3 Monate, in denen sich im Laufe des nächsten halben Jahres eine Größenzunahme des bekannten Glioms zeigte. In der Zwischenzeit konnten auch binokuläre Augenuntersuchungen durchgeführt werden, in denen sich eine Abnahme des Visus im Verlauf zeigte. Der Patient wurde in unserem interdisziplinären pädiatrisch neuroonkologischen Tumorboard diskutiert, in welchem die Indikation für eine Chemotherapie, gemäß internationalen Standards, mittels Carboplatin und Vincristin gestellt wurde. Es erfolgten ausführliche Gespräche mit der Familie über die Notwendigkeit einer Behandlung, die Eltern lehnten die Chemotherapie zu diesem Zeitpunkt jedoch ab, da sie im Alltag kein Problem bemerken konnten. Im Laufe der nächsten Monate war auch eine seitengetrennte Augenuntersuchung möglich, und es zeigte sich, dass der Visus (dezimal) auf dem linken Auge nur 0,3 betrug, während das rechte Auge einen Visus von 0,63 aufwies, und somit eine klare Seitendifferenz und eindeutige Sehbeeinträchtigung vorlagen. Nachdem den Eltern erneut der Ernst der Situation dargelegt wurde, stimmten sie schließlich der Behandlung ihres nun bald 3‑jährigen Kindes zu. Die Therapie führte zu einer deutlichen Reduktion der Tumorausdehnung (Abb. 2), leider kam es jedoch im weiteren Verlauf zu einem Fortschreiten des Sehverlustes ohne wesentliche Größendynamik des Tumors. Es folgten daher noch zwei weitere medikamentöse Behandlungen, eine Verbesserung des Visus konnte jedoch nicht mehr erreicht werden. Dies deckt sich leider mit den Daten einer europäischen Studie, die darauf hinweisen, dass ein früher Therapiebeginn die Chancen auf eine Sehverbesserung erhöht [3]. Alexej ist nun 8 Jahre alt und weist mit einem Visus von rechts 0,16 und links 0,03 eine hochgradige Sehbeeinträchtigung auf. Er besucht eine Integrationsklasse und ist auf diverse Hilfsmittel des Blindeninstituts angewiesen, um dem Schulunterricht zu folgen, z. B. einer speziellen Kamera, die ihm hilft, die Schrift auf der Tafel lesen zu können.
Abb. 2
MRT von Patient 1 a vor und b nach 18 Monaten Chemotherapie (Markierung: Tumorausdehnung im Chiasma opticum). (© A. Azizi)
Bild vergrößern

Adrian, 9 Jahre alt

Bei Adrian (Name geändert) wurde bereits im Kleinkindalter die Diagnose einer Neurofibromatose Typ 1 gestellt. Bereits ab Geburt bestand eine sehr ausgedehnte Raumforderung im rechten Halsbereich. Eine Teilresektion im frühen Kindesalter ergab die Diagnose eines plexiformen Neurofibroms (PN), der Tumor habe jedoch im Verlauf an Größe zugenommen. Die Vorstellung in unserer Ambulanz erfolgte im Alter von 7 Jahren mit der Frage einer möglichen erneuten Operation. In der neurologischen Untersuchung des Patienten fiel auf, dass er rechtsseitig einen erheblichen Schultertiefstand und eine distale Kraftminderung der oberen Extremität aufwies. Zudem gab der Patient intermittierend Schmerzen und ein Kribbelgefühl sowie eine Hypästhesie im Bereich der Hand an. Zur weiteren Diagnostik erfolgte eine gezielte MRT-Untersuchung des Plexus brachialis, in der sich ein Konvolut aus plexiformen Neurofibromen im Bereich des Nervenplexus zeigte, die sich auch in den Spinalkanal drängten und zu einer massiven Verlagerung und Kompression des Myelons führten (Abb. 3a).
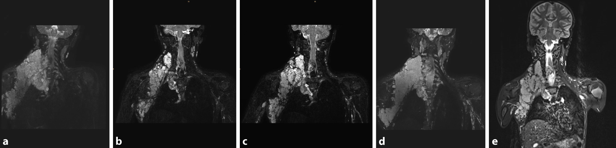
Abb. 3
MRT von Patient 2 mit ausgedehntem plexiformem Neurofibromen entlang des Plexus brachialis rechts. a Vor Therapie mit MEK-Inhibitor. b Nach 2 Jahren Therapie (Größenreduktion wurde erreicht). c Nach 3 Monaten Therapiepause (deutlicher Progress ersichtlich). d Weiterer Progress nach erneutem Therapiestart mit MEK-Inhibitor. e Erneutes, jedoch verzögertes Ansprechen unter weiterer Therapie. (© A. Azizi)
Bild vergrößern
Schmerzen und neurologischer Funktionsverlust wie bei Adrian (ebenso übrigens wie schnelles Wachstum, oder neues Auftreten von soliden Knoten innerhalb eines plexiformen Neurofibroms, was hier nicht der Fall war) stellen absolute Warnzeichen für eine mögliche maligne Transformation in Richtung eines malignen peripheren Nervenscheidentumors (MPNST) dar. Daher wurde als nächster Schritt eine FDG-PET/MRT (eine Kombination aus einer Positronen-Emissions-Tomographie mit einer markierten Glukose und einer Ganzkörper-MRT) durchgeführt, um eine mögliche Malignisierung zu identifizieren oder weitestgehend auszuschließen [4]. Erfreulicherweise zeigte sich keine erhöhte Speicherung, was gegen eine Entartung spricht. Der Patient wurde anschließend in unserem interdisziplinären NF Board besprochen, in dem Spezialist*innen aus den Bereichen pädiatrische Onkologie und pädiatrische Neurofibromatose, adulte Onkologie, plastische Chirurgie, Neurologie, Radiologie, Nuklearmedizin und bei Bedarf auch aus weiteren Organfächern oder chirurgischen Fächern komplexe Fälle von peripheren Nerventumoren besprechen. Aufgrund der Symptome, der Größe und der Inoperabilität wurde festgelegt, dass der Patient eine Therapie mit dem MEK Inhibitor Selumetinib erhalten soll (Infobox 2).
Infobox 2
Selumetinib gehört zur Wirkstoffklasse der MEK-Inhibitoren und stellt eine zielgerichtete Therapie („targeted therapy“) dar. Bei PatientInnen mit Neurofibromatose Typ 1 kommt es zu einer Dysregulation und Überaktivierung des RAS-Protoonkogens und dadurch zu einer vermehrten Signalübertragung über den MAP-Kinase-Transduktionsweg. Hierbei aktiviert RAF die Signalmoleküle MEK1 und MEK2, welche wiederum die Proteinkinase ERK phosphorylieren, die dann schließlich die Gentranskription über diverse Transkriptionsfaktoren anregt und damit zur Zellproliferation führt (Abb. 4a). Der Wirkstoff Selumetinib inhibiert die beiden MAP-Kinasen MEK1 und MEK2 und unterbricht daher in weiterer Folge diese Kaskade (Abb. 4b). Nach einer bahnbrechenden Studie an Kindern, die eine hohe Rate an Größenreduktion von NF1-assoziierten plexiformen Neurofibromen zeigte [5], erfolgte schließlich eine europäische Zulassung durch die EMA im Juni 2021 für die Therapie von inoperablen und symptomatischen plexiformen Neurofibromen bei Kindern und Jugendlichen ab 3 Jahren.
Abb. 4
NF1 Neurofibromatose Typ 1. a Imbalance des RAS/RAF-Pathways bei NF1, b schematische Wirkung der MEK Inhibitoren. (© A. Azizi)
Bild vergrößern
Adrian hat die Therapie mit Selumetinib bisher gut vertragen, und es ist zu keinen erheblichen Nebenwirkungen gekommen (oft neigen Patient*innen zu Hautausschlägen, asymptomatischem CK-Anstieg, gastrointestinalen Symptomen, von denen unser Patient verschont blieb). Er erhält regelmäßige MRT-Kontrollen die in unserem interdisziplinären NF-Board besprochen werden. Wenngleich das zervikale plexiforme Neurofibrom sich zwischen den einzelnen Bildgebungen stets stabil zeigte, so konnte man im längerfristigen Verlauf eine Reduktion erkennen (Abb. 3b). Das Ansprechen unter Selumetinib tritt oft erst langsam und manchmal auch erst nach mehreren Monaten auf. Sehr schnell (innerhalb weniger Wochen) verschwanden unter Therapie jedoch die neurologischen Beschwerden, wie z. B. Schmerzen oder Gefühlsstörungen und zu einem Teil auch die Kraftminderung. In der neurologischen Untersuchung fällt eben weiterhin die Reduktion der Kraft in der oberen Extremität auf, welche sich laut dem Patienten im Alltag nicht auswirke. Da sich der Befund schließlich lange Zeit stabil zeigte, erfolgte im Sommer 2022 ein Auslassversuch der Medikation. Leider kam es binnen weniger Monate zu einer Größenprogredienz des plexiformen Neurofibroms, und der Patient war wieder schmerzgeplagt, weshalb die Therapie wieder aufgenommen werden musste (Abb. 3c). Dies resultierte in einem erneuten sofortigen klinischen Ansprechen bzgl. der Dysästhesie, und das PN stabilisierte sich (Abb. 3e). Aktuell ist daher geplant, dass die Behandlung bis auf Weiteres fortgeführt werden soll. Die optimale Therapiedauer für inoperable plexiforme Neurofibrome wird sich erst in den nächsten Jahren bei zunehmender Erfahrung mit dieser Wirkstoffklasse zeigen. Auch werden wir erst durch Follow-up-Studien mögliche unbekannte Langzeitfolgen der Therapie (evtl. positive [Stichwort Kognition, Lebensqualität] oder u. U. auch negative) erfassen können [5, 6].

Laura, 20 Jahre alt

Laura (Name geändert) ist bereits seit dem Kindesalter in unserer Ambulanz in Betreuung, da bei ihrem Vater und Großvater eine Neurofibromatose Typ 1 bekannt ist und die Patientin selbst auch die klinischen Diagnosekriterien erfüllt. Aufgrund einer Skoliose, die ca. 10 % aller Kinder mit NF1 betrifft, musste die Patientin ein orthopädisches Mieder tragen und befand sich in engmaschiger orthopädischer und physiotherapeutischer Behandlung. Erfreulicherweise stabilisierte sich der Befund, sodass die Patientin aktuell nur noch zuhause Rückenübungen machen muss. Ihr Leben lang hat sie regelmäßige NF-spezifische Vorsorgeuntersuchungen (u. a. klinisch-neurologische Kontrollen an unserer Ambulanz, Augenkontrollen, MRT-Kontrollen des Schädels, Sonographien des Abdomens, neuropsychologische Diagnostiken) durchgeführt, die sich stets ohne Auffälligkeiten zeigten. Laura hat die Matura während der COVID-19-Pandemie absolviert und studiert nun Pflegewissenschaften an einer Fachhochschule. Sie hat nebenbei auch eine Ausbildung als Rettungssanitäterin gemacht und ist regelmäßig im Rettungsdienst tätig. Sie erzählt uns, dass sie die Termine im Krankenhaus und beim Orthopäden womöglich schon in ihrer Berufswahl beeinflusst haben, sie sich aber sehr gesund fühlt und froh ist, bisher, bis auf die Skoliose, keine gesundheitlichen Probleme gehabt zu haben. Da sie nun im jungen Erwachsenenalter ist, ist es für sie wichtig zu wissen, wer in Zukunft ihre Ansprechpartner für die NF1 sein werden. Da es (wenngleich erst in den letzten Jahren) möglich war, eine strukturierte Transition ins Erwachsenensetting aufzubauen, erhält sie einen Erstvorstellungstermin in der NF1-Ambulanz für Erwachsene, die an der Univ. Klinik für Onkologie verortet ist. Sie freut sich, dass die Ärzt*innen dort mit den bisher betreuenden Pädiater*innen in engem Austausch stehen und all ihre bisherigen Vorbefunde einsehen können. Die Patientin meinte lächelnd, dass der Abschied von unserer Ambulanz möglicherweise nur vorübergehend sein wird, da sie ja auch Kinder mit NF1 haben kann, die ja dann wiederum in unsere Betreuung kommen würden.
Infobox 3 Patientenorganisation NF Kinder
Der Verein „NF Kinder – Hilfe für Neurofibromatose-Patient*innen und Angehörige“ setzt sich seit 2013 für die Bedürfnisse von Menschen mit Neurofibromatose in Österreich ein. Der Vereinszweck ist neben der direkten Unterstützung für Betroffene vorrangig auf die Forschungsförderung, die Verbesserung der gesundheitlichen Versorgung und den Aufbau der dazu notwendigen medizinischen und psychosozialen Infrastrukturen ausgerichtet. Ein wichtiger Schritt erfolgte mit dem Aufbau und der Gründung des NF Kinder Expertisezentrums 2018 in Kooperation mit der Medizinischen Universität Wien.
Mehr Informationen über NF Kinder und Angebote für Betroffenen unter:
NF Kinder – Hilfe für Neurofibromatose-Patient*innen und Angehörige
Servitengasse 5/Top 16, 1090 Wien

Fazit für die Praxis

  • NF1 ist eine häufige seltene Erkrankung (1:~2500).
  • Im Kindesalter sind Café-au-lait-Flecken meist das erste und oft lange das einzige Symptom einer NF1 und müssen daher frühzeitig abgeklärt werden.
  • Die Betreuung von Kindern und Jugendlichen mit NF1 soll an einem spezialisierten Zentrum und in einem multi- und interdisziplinären Team erfolgen.
  • Es muss altersadaptiert auf mögliche Manifestationen geachtet werden.
  • Eine (neuro)psychologische Begleitung ist von großer Bedeutung.
  • Sehbahngliome können bis zur Erblindung führen und müssen frühzeitig erkannt und wenn nötig behandelt werden.
  • Plexiforme Neurofibrome können deutliche Beeinträchtigungen bedingen und müssen/können dann chirurgisch oder medikamentös behandelt werden.
  • Ärzt*innen und Familien müssen Risikofaktoren für mögliche maligne Tumoren kennen (z. B. schnelles Wachstum von Knoten, anhaltende Schmerzen in Knoten, neurologische Ausfälle).

Einhaltung ethischer Richtlinien

Interessenkonflikt

A.A. Azizi weist auf folgende Beziehungen hin: Alexion: Teilnahme an Advisory Boards, Vortragstätigkeit; Novartis: Teilnahme an Advisory Board. C. Hedrich gibt an, dass kein Interessenkonflikt besteht.
Für diesen Beitrag wurden von den Autor/-innen keine Studien an Menschen oder Tieren durchgeführt. Für die aufgeführten Studien gelten die jeweils dort angegebenen ethischen Richtlinien. Für Bildmaterial oder anderweitige Angaben innerhalb des Manuskripts, über die Patient/-innen zu identifizieren sind, liegt von ihnen und/oder ihren gesetzlichen Vertretern/Vertreterinnen eine schriftliche Einwilligung vor.
Open Access Dieser Artikel wird unter der Creative Commons Namensnennung 4.0 International Lizenz veröffentlicht, welche die Nutzung, Vervielfältigung, Bearbeitung, Verbreitung und Wiedergabe in jeglichem Medium und Format erlaubt, sofern Sie den/die ursprünglichen Autor(en) und die Quelle ordnungsgemäß nennen, einen Link zur Creative Commons Lizenz beifügen und angeben, ob Änderungen vorgenommen wurden.
Die in diesem Artikel enthaltenen Bilder und sonstiges Drittmaterial unterliegen ebenfalls der genannten Creative Commons Lizenz, sofern sich aus der Abbildungslegende nichts anderes ergibt. Sofern das betreffende Material nicht unter der genannten Creative Commons Lizenz steht und die betreffende Handlung nicht nach gesetzlichen Vorschriften erlaubt ist, ist für die oben aufgeführten Weiterverwendungen des Materials die Einwilligung des jeweiligen Rechteinhabers einzuholen.
Weitere Details zur Lizenz entnehmen Sie bitte der Lizenzinformation auf http://creativecommons.org/licenses/by/4.0/deed.de.

Hinweis des Verlags

Der Verlag bleibt in Hinblick auf geografische Zuordnungen und Gebietsbezeichnungen in veröffentlichten Karten und Institutsadressen neutral.
download
DOWNLOAD
print
DRUCKEN
Titel
Neurofibromatose Typ 1 im Kindes- und Jugendalter
Fallberichte aus einem weiten Spektrum
Verfasst von
Dr. Cora Hedrich
Assoc. Prof. Dr. Amedeo A. Azizi
Publikationsdatum
01.12.2023
Verlag
Springer Vienna
Erschienen in
Pädiatrie & Pädologie / Ausgabe 6/2023
Print ISSN: 0030-9338
Elektronische ISSN: 1613-7558
DOI
https://doi.org/10.1007/s00608-023-01153-6
1.
Zurück zum Zitat Hirbe AC, Gutmann DH (2014) Neurofibromatosis type 1: a multidisciplinary approach to care. Lancet Neurol 13:834–843. https://doi.org/10.1016/S1474-4422(14)70063-8CrossRefPubMed
2.
Zurück zum Zitat Carton C, Evans DG, Blanco I et al (2023) ERN GENTURIS tumour surveillance guidelines for individuals with neurofibromatosis type 1. EClinicalMedicine 56:101818. https://doi.org/10.1016/j.eclinm.2022.101818CrossRefPubMedPubMedCentral
3.
Zurück zum Zitat Azizi AA, Walker DA, Liu J‑F et al (2021) NF1 optic pathway glioma: analyzing risk factors for visual outcome and indications to treat. Neuro Oncol 23:100–111. https://doi.org/10.1093/neuonc/noaa153CrossRefPubMed
4.
Zurück zum Zitat Azizi AA, Slavc I, Theisen BE et al (2018) Monitoring of plexiform neurofibroma in children and adolescents with neurofibromatosis type 1 by [18 F]FDG-PET imaging. Is it of value in asymptomatic patients? Pediatr Blood Cancer. https://doi.org/10.1002/pbc.26733CrossRefPubMed
5.
Zurück zum Zitat Gross AM, Wolters PL, Dombi E et al (2020) Selumetinib in children with inoperable plexiform neurofibromas. N Engl J Med 382:1430–1442. https://doi.org/10.1056/NEJMoa1912735CrossRefPubMedPubMedCentral
6.
Zurück zum Zitat Gross AM, Dombi E, Wolters PL et al (2023) Long-term safety and efficacy of selumetinib in children with neurofibromatosis type 1 on a phase 1/2 trial for inoperable plexiform neurofibromas. Neuro Oncol 25:1883–1894. https://doi.org/10.1093/neuonc/noad086CrossRefPubMed
7.
Zurück zum Zitat Legius E, Messiaen L, Wolkenstein P et al (2021) Revised diagnostic criteria for neurofibromatosis type 1 and Legius syndrome: an international consensus recommendation. Genet Med 23:1506–1513. https://doi.org/10.1038/s41436-021-01170-5CrossRefPubMedPubMedCentral

Kompaktes Leitlinien-Wissen Pädiatrie (Link öffnet in neuem Fenster)

Mit medbee Pocketcards schnell und sicher entscheiden.
Leitlinien-Wissen kostenlos und immer griffbereit auf ihrem Desktop, Handy oder Tablet.

Neu im Fachgebiet Pädiatrie

Atopische Dermatitis als erhebliche seelische Belastung

Bei Kindern und Jugendlichen, die an atopischer Dermatitis leiden, ist auch das Risiko für viele psychische Erkrankungen erhöht. Dafür sprechen Ergebnisse einer großen Kohortenstudie auf Basis von US-Patientenakten.     

Elektroschrott: Wie Praxen Altgeräte sicher entsorgen

Ob nun Sonogerät, Praxiscomputer oder gar TI-Konnektor: Einfach zum nächsten Wertstoffhof sollten Praxisteams ausgediente Elektrogeräte nicht bringen. Was bei der Entsorgung zu beachten ist. Und wie die Teams sicher sensible Daten auf PC-Festplatte, externem Datenspeicher und TI-Komponenten löschen.

Tipps: So können Praxen die Risiken für einen GOÄ-Streit minimieren

Für Streitigkeiten, die das GOÄ-Honorar betreffen, sind neuerdings nur noch Landgerichte zuständig. Das macht Prozesse teurer. Eine Praxisberaterin erläutert, wie Praxen vorbauen können, um solche Streitfälle und Gerichtsverfahren zu vermeiden.

Assistierte Geburt oder Kaiserschnitt – was ist für die Gehirnentwicklung sicherer?

Ob vaginal-operative Geburt oder Kaiserschnitt in der Austreibungsphase: Das neurologische Outcome der Kinder scheint laut aktuellen Daten vergleichbar zu sein. Für Vakuumentbindungen und Geburten mit mehrfachem Instrumenteneinsatz gilt das jedoch nur mit Einschränkung.

Update Pädiatrie

Bestellen Sie unseren Fach-Newsletter und bleiben Sie gut informiert.

Bildnachweise
Die Leitlinien für Ärztinnen und Ärzte, Ultraschalluntersuchung der Niere/© Your_Photo_Today (Symbolbild mit Fotomodellen), Richter mit Gesetzbuch/© Kzenon / stock.adobe.com (Symbolbild mit Fotomodell), Geburtszange/© Marek / Stock.adobe.com (Symbolbild mit Fotomodellen)