Zum Inhalt
Der Nervenarzt

Hirninfarkt bei einem Patienten mit Pseudoxanthoma elasticum und Rete mirabile der A. carotis interna

Erschienen in:

Auszug

Ein 58-jähriger Patient stellte sich in unserer Klinik vor mit einer seit zwei Tagen bestehenden Sprechstörung und einer am Tag der Vorstellung aufgetretenen Gangstörung. Als Vorerkrankung bestand ein humangenetisch gesichertes Pseudoxanthoma elasticum (PXE). Im Rahmen der Erkrankung litt der Patient an typischen Hautveränderungen sowie einer peripheren arteriellen Verschlusskrankheit (pAVK IIb). In der neurologischen Untersuchung fanden sich eine leichte Dysarthrie und eine brachiofaziale Hemiparese links (NIHSS 3). Daneben zeigten sich die typischen Hautveränderungen des PXE (Abb. 1). In der CCT- und MRT-Bildgebung fand sich als morphologisches Korrelat der aktuellen Symptomatik ein rechtsseitiger Hirninfarkt im Nucleus caudatus und im oberen Anteil des Linsenkerns. Daneben ließen sich ältere Infarktresiduen im rechten Thalamus, in der Pons links paramedian sowie zerebellär im Stromgebiet der A. cerebelli inferior posterior nachweisen (Abb. 2). Die MR-Angiographie dokumentierte beidseits ein Rete mirabile der distalen A. carotis interna extrakraniell. Kompensatorisch waren beide Vertebralarterien sowie Aa. communicantes posteriores kräftig ausgebildet. Daneben bestand eine hochgradige Abgangsstenose der A. vertebralis links im V1-Segment. Farbduplexsonographisch fanden wir reduzierte Flussgeschwindigkeiten in der A. carotis interna extrakraniell beidseits bei geringem Gefäßkaliber (Abb. 2) mit kräftiger intrakranieller Kollateralisierung über die Rr. communicantes posteriores. Die übrige Hirninfarktabklärung inklusive Ruhe- und LZ-EKG sowie transösophagealer Echokardiographie blieb ohne wegweisende Befunde.
Abb. 1
Typische Hautveränderung in der Ellenbeuge bei PXE
Bild vergrößern
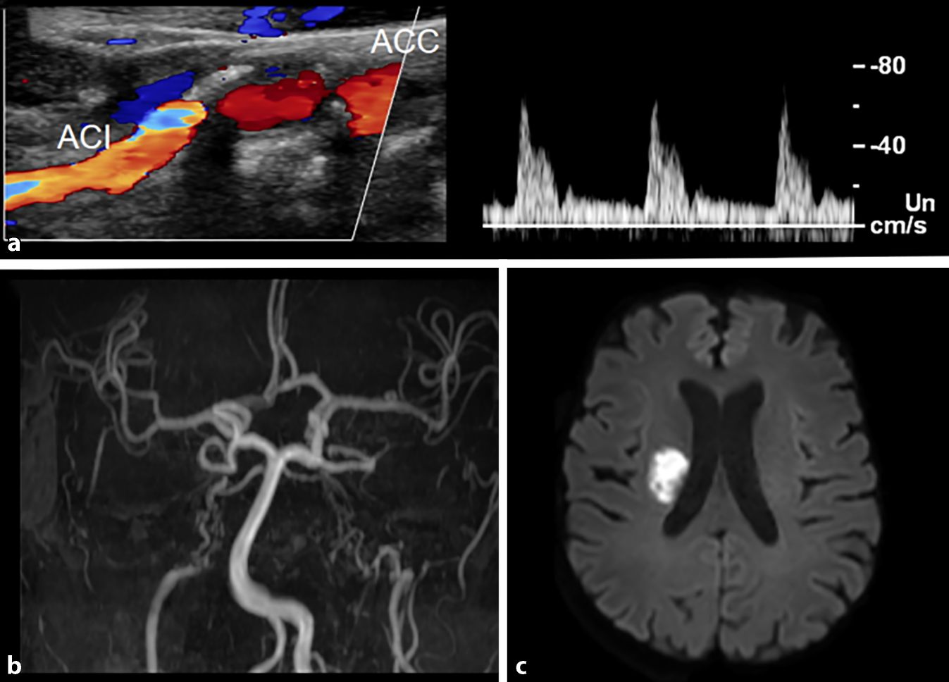
Abb. 2
a Farbduplexsonographie der A. carotis interna (ACI) und A. carotis communis (ACC) rechts und Dopplerfrequenzspektren der ACI. Plaque am Abgang der schmächtigen A. carotis interna, die Flussgeschwindigkeit relativ niedrig und pulsatil. b „Maximum intensity projection“ einer 3‑D-Time-of-flight-Angiographie in koronarer Schnittführung, Abbruch der ACI beidseits und angedeutete Darstellung des Rete mirabile. c Diffusionsgewichtete Darstellung (isotrope Darstellung, b‑Wert: 1000), isotrope (richtungsunabhängige Darstellung), Nachweis einer Diffusionsstörung rechts paraventrikulär
Bild vergrößern
Titel
Hirninfarkt bei einem Patienten mit Pseudoxanthoma elasticum und Rete mirabile der A. carotis interna
Verfasst von
Lea Auksutat
Volker Heßelmann
Prof. Dr. Günter Seidel
Publikationsdatum
29.04.2024
Dieser Inhalt ist nur sichtbar, wenn du eingeloggt bist und die entsprechende Berechtigung hast.

Passend zum Thema

ANZEIGE

Achondroplasie (ACH): Ganzheitliches Management ist gefragt

ACH hat viele Gesichter. Die Erkrankung geht nicht nur mit dysproportioniertem Kleinwuchs einher, sondern bringt eine Vielgestalt von Komplikationen sowie psychische und soziale Herausforderungen mit sich. Daher ist ein holistisches Therapie-Management gefragt. Hintergründe und Tipps lesen Sie hier.

Organisiert und finanziert von BioMarin. Nur für Ärztinnen und Ärzte.

Passend zum Thema

APDS im Praxisalltag erkennen

Das klinische Bild von APDS ist heterogen mit erhöhter Infektanfälligkeit, Immunschwäche, Autoimmunität, Malignität, Allergien und Autoinflammation. Betroffene weisen zwar typische Laborabnormitäten auf, aber eine eindeutige Diagnose kann jedoch nur anhand einer genetischen Untersuchung gestellt werden.

Pathomechanismus – warum Betroffene unter APDS leiden

Ursache von APDS (Activated Phosphoinositide 3-Kinase Delta Syndrome) ist ein Gendefekt der zellulären Phosphoinositid-3-Kinase δ (PI3Kδ). Dieses Enzym gehört zur Familie der Kinasen und spielt eine zentrale Rolle bei der zellulären Signaltransduktion, insbesondere bei der Entwicklung und Funktion des Immunsystems.

ANZEIGE

Seltener Immundefekt: Activated Phosphoinositide 3-Kinase δ Syndrome (APDS)

Beim Activated Phosphoinositide 3-Kinase Delta Syndrome (APDS) handelt es sich um einen seltenen, schweren progredienten Immundefekt mit äußerst heterogener Symptomatik. Eine frühzeitige Diagnosestellung und Therapie ist für das Überleben der Patienten von entscheidender Bedeutung. 

Bildnachweise
Bildbefunde bei Pseudoxanthoma elasticum und Stammganglieninfarkt/© Auksutat L. et al. / all rights reserved Springer Medizin Verlag GmbH, Kind streckt sich freudig, Mutter sitzt und lacht/© BioMarin, Arzt untersucht Teenager an den Lymphknoten/© South_agency | GettyImages (Symbolbild mit Fotomodellen), Pathomechanismus APDS/© Pharming, Teenagerin sitzt im Bett, während sie hustet/© Vladimir Vladimirov | Getty Images (Symbolbild mit Fotomodell)