Zum Inhalt
Radiologie Neuroradiologie

Neuroradiologie

Akute Rückenschmerzen: Wer muss sofort ins MRT?

Hinter akut aufgetretenen Rückenschmerzen können sich ganz unterschiedliche Krankheitszustände verbergen. In welchen Fällen ist eine unverzügliche Bildgebung angezeigt, um bleibende Nervenausfälle bis hin zur Querschnittlähmung zu verhindern?

weiterlesen

Kasuistiken

Weit mehr als „nur“ ein ischämiebedingter kardiogener Schock

Eine 54-jährige Patientin wird luftgebunden unter der Voranmeldung „V. a. Aortendissektion, DD Myokardinfarkt, DD intrazerebrales Geschehen“ intubiert in die Notaufnahme transportiert. Der Verlauf zeigt, warum „STEMI mimics“ insbesondere bei untypischer Gesamtkonstellation an weitere lebensbedrohliche Differenzialdiagnosen denken lassen sollten.

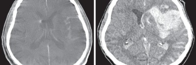
Ein Abszess auf Abwegen

Bei einer Krebspatientin wird ein verdächtiger mediastinaler Lymphknoten bronchoskopisch biopsiert. Kurz darauf entwickeln sich erst ein Lymphknotenabszess, dann eine Blutstrominfektion – und weitere vier Wochen später schließlich multiple suspekte Läsionen im Gehirn. Der Blick in das Herz der 69-Jährigen zeigt, wie es dazu kommen konnte.

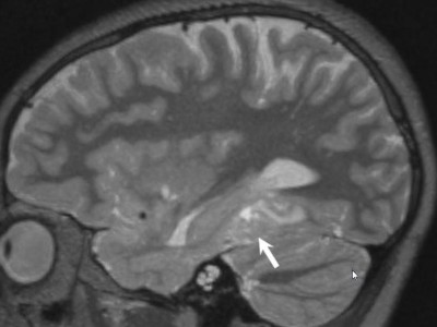
Hirntumor bei einem Kind

Ein Krampfanfall mit Bewusstseinsverlust führten einen 11-jährigen Jungen in die Klinik. Im MRT zeigte sich ein Hirntumor – doch um welche Erkrankung handelte es sich genau? Eine Kasuistik (auf englisch).

Weitere Artikel aus unseren Fachzeitschriften

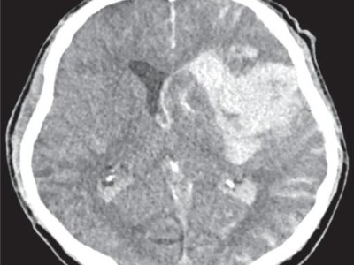
Komplikation bei mechanischer Thrombektomie? So gehen Sie vor

Die gefürchtetste Komplikation im Rahmen der mechanischen Thrombektomie ist das Auftreten von (symptomatischen) intrazerebralen Blutungen. In diesem Übersichtsartikel wird ein Überblick über diese und andere im Rahmen einer mechanischen Thrombektomie auftretenden Komplikationen gegeben.

Videos und Webinare

Webinar

ADCs x Brustkrebs: Strategien für den klinischen Alltag (Link öffnet in neuem Fenster)

  • Live
  • Webinar | 19.11.2025 | 18:00

Rund 30 % der Patientinnen mit HER2-positivem Mammakarzinom entwickeln im Laufe der Zeit Hirnmetastasen – mit gravierenden Folgen für Prognose und Lebensqualität. Im Webinar am 19. November von 18 bis 19.30 Uhr erhalten Sie einen praxisnahen Überblick zum Management von Hirnmetastasen bei metastasiertem Brustkrebs. Das Webinar ist mit 2 CME-Punkten zertifiziert.

Mit freundlicher Unterstützung von:
  • Daiichi Sankyo Austria GmbH & AstraZeneca Österreich GmbH

Buchkapitel zum Thema

Vaskuläre Erkrankungen

Wie beim Gehirn werden spinale Blutungen nach dem anatomischen Kompartiment, in dem sie auftreten, unterschieden in epidurale, subdurale, subarachnoidale und intramedulläre Blutungen.

Fehlbildungen und Entwicklungsstörungen

Spinale Fehlbildungen entstehen zwischen der 3. und 6. Schwangerschaftswoche (SSW). In diesem Zeitraum verläuft die Entwicklung von Wirbelsäule und Rückenmark in drei Schritten: Gastrulation (SSW 2–3, primäre Neurulation (SSW 3–4) sowie sekundäre …

Tumoren der Wirbelsäule und des Spinalkanals

Die Liste der möglichen Differenzialdiagnosen spinaler Tumoren ist umfangreich. Eine sichere Entscheidung ist deshalb nicht allein nach bildmorphologischen Kriterien möglich.

Motoneuronerkrankungen

Zum Formenkreis der Motoneuronerkrankungen gehören viele unterschiedliche, teils äußerst seltene Erkrankungen mit sehr variablem, klinischen Bild. Je nach Erkrankungsform liegt eine Beteiligung des zerebralen (ersten) und/oder spinalen (zweiten) …

Nicht gefunden, wonach Sie suchten?

Probieren Sie es mit der Suchfunktion:

Neu im Fachgebiet Radiologie

Unnötige Strahlenbelastung bei Schwangeren mit Verdacht auf Lungenembolie?

In der Praxis hapert es an der Umsetzung von Empfehlungen, die bei Lungenembolieverdacht in der Schwangerschaft zunächst strahlungsfreie Diagnostikpfade vorsehen. Dafür sprechen zumindest Daten einer Kohortenstudie aus Kalifornien.

Wie steht es um die Strahlenbelastung des Personals bei distalem radialem Zugang?

Seit einiger Zeit gewinnt der linke distale radiale Zugang für Koronarinterventionen an Bedeutung. In einer aktuellen Studie wurde untersucht, ob es für die Strahlenbelastung von Kardiologinnen und Kardiologen einen Unterschied macht, ob sie diesen oder den „konventionellen“ Zugang wählen.

In engen Grenzen: So sollen Apotheken Rx-Produkte ohne ärztliches Rezept abgeben

Ganz so frei, wie es zunächst den Anschein hatte, wird die eigenverantwortliche Abgabe verschreibungspflichtiger Arzneimittel in der Offizin nun doch nicht aufgesetzt. Das Gesundheitsministerium will den Apothekern Krankheitsbilder vorgeben.

Gretchenfrage: Verkehrstauglichkeit bewerten

Ärzte sind laut Führerscheinverordnung an strikte Richtlinien gebunden, wenn es um die Feststellung der Verkehrstauglichkeit von Patienten geht – oft eine Herausforderung im Versorgungsalltag. Ein rechtlicher Überblick.

Update Radiologie

Bestellen Sie unseren Fach-Newsletter und bleiben Sie gut informiert.

Bildnachweise
Magnetresonanztomographie/© Svitlana / Stock.adobe.com (Symbolbild mit Fotomodell), Schaumiges Bronchialsekret bei akutem Lungenödem/© Eichner M. doi.org/10.1007/s00063-025-01258-9 unter CC-BY 4.0, Intrazerebrale Blutung nach mechanischer Thrombektomie/© Mohamad J / all rights reserved Springer Medizin Verlag GmbH, Intrakranielle Abszesse/© Seidl H et al. doi.org/10.1007/s00108-025-01863-y unter CC-BY 4.0, Bildtitel/© Klaus Eppele / stock.adobe.com (Symbolbild mit Fotomodell), Seniorin liegt reglos auf Boden/© Racle Fotodesign / stock.adobe.com (Symbolbild mit Fotomodell), Tumor im linken Kleinhirnbrückenwinkel und inneren Gehörgang (linkes Bild) und Tumor am Foramen jugulare (rechtes Bild)/© Springer Medizin, Eine Frau im MRT/© Maksym Povozniuk / stock.adobe.com (Symbolbild mit Fotomodellen), Passantin hilf Frau, die bewusstlos am Boden liegt/© M.Dörr & M.Frommherz / stock.adobe.com (Symbolbild mit Fotomodellen), CT-Aufnahme bei intrakranieller Hämorrhagie/© stockdevil / Fotolia, CT und MRT bei Schädel-Hirn-Trauma/© Springer Medizin Verlag GmbH, Junger Mann liegt auf CT-Liege/© LStockStudio / stock.adobe.com (Symbolbild mit Fotomodell), Lesion in the right-sided medial occipitotemporal gyrus/© Springer-Verlag GmbH, Frau bei Strahlentherapie/© (M) Mark Kostich / Stock.adobe.com (Symbolbild mit Fotomodellen), Search Icon, CT-Pulmonalisangiographie/© Das M et al. doi.org/10.1007/s00117-016-0100-3 unter CC-BY 4.0, Kanüle für Katheterbehandlung/© romaset / stock.adobe.com, Alter Mann in Sprechstunde mit junger Ärztin/© lordn / Stock.adobe.com (Symbolbild mit Fotomodellen)