Zum Inhalt

Orthopädie und Unfallchirurgie

Nachrichten

Mit „pflanzlichen“ Supplementen in die adrenale Insuffizienz

Als pflanzlich deklarierte Nahrungsergänzungsmittel gelten mit Blick auf unerwünschte Effekte gemeinhin als harmlos. Wie sehr man sich hier irren kann, zeigt ein Fallbericht.

Gonarthrose-Therapie: Was bei der medikamentösen Therapie wichtig ist

Reichen Bewegung und andere nicht-pharmakologische Therapien bei Gonarthrose nicht aus, werden Medikamente nötig. Die neue Leitlinie zeigt, welche Wirkstoffe empfohlen werden, wo Risiken bestehen und wann Injektionen oder sogar eine Radiosynoviorthese infrage kommen.

Neue Optionen bei Fibromyalgie – und viel Luft nach oben

„Es gibt kein Wundermittel gegen die Fibromyalgie“ – so lautete ein ernüchterndes Fazit auf dem Deutschen Schmerzkongress. Aber: Digitale Gesundheitsanwendungen, TENS und neue medikamentöse Optionen können den Betroffenen potenziell helfen. 

Myopathien und Myasthenia gravis auch schmerzmedizinisch abklären!

Schmerzen können auch bei neuromuskulären Erkrankungen auftreten – allerdings werden sie nicht immer erfasst. Praktische Empfehlungen für das Vorgehen bei Myopathien und Myasthenia gravis.

Rückenschmerzen: „Falsche Diagnosen lassen viele Therapien scheitern!“

Der Rücken lügt nicht – aber er wird oft falsch verstanden. Laut dem Schmerzforscher Prof. Hendrik Schmidt von der Berliner Charité ist die herkömmliche Diagnostik bei Rückenschmerzen völlig unzulänglich. Mit umfangreichen Bewegungsanalysen konnten er und sein Team zeigen, dass die Ursachen oft nicht da liegen, wo die Schmerzen sind.

Schlafdefizit durch Rufbereitschaft bei orthopädischen Chirurgen

Laut einer retrospektiven Studie aus den USA führen Nächte mit Bereitschaftsdiensten zu Hause zu signifikanten Einbußen in Schlafdauer und -qualität. Am stärksten davon betroffen ist eine ganz bestimmte Berufsgruppe.

Wann nach einem Kreuzbandriss keine Op. nötig ist

Nach einer Ruptur des vorderen Kreuzbands steht oft eine Operation im Raum. Doch ist das medizinisch immer notwendig? Eine norwegische Kohortenstudie hat nun untersucht, in welchen Fällen stattdessen eine konservative Behandlung sinnvoll sein kann.

Biomarker sagen Wirksamkeit eines VEGFR-Inhibitors bei Sarkomen vorher

Haben Sarkompatientinnen und -patienten einen bestimmten SNP oder eine CSF1-Amplifikation/Hochregulation, so sprechen sie offenbar gut auf den VEGFR-Inhibitor Apatinib an. Dank der neuen Biomarker könnten VEGFR-Inhibitoren möglicherweise gezielter eingesetzt werden.

Belastende Nichtgelenkschmerzen bei rheumatoider Arthritis

Schmerzen außerhalb der betroffenen Gelenke sind bei rheumatoider Arthritis nicht selten – und kennzeichnen eine besonders beeinträchtigte Personengruppe. Dafür sprechen Daten einer Kohortenstudie aus Kanada.

Gefäßtraumatologie: Sind wir für den Ernstfall vorbereitet?

Wie gut ist unser Gesundheitssystem – und insbesondere die Gefäßchirurgie – auf Extremsituationen wie Terroranschläge vorbereitet? Prof. Dr. med. Tomislav Stojanovic aus Wolfsburg ist der Ansicht, dass das Fachgebiet für die Versorgung traumatischer Gefäßverletzungen in Deutschland bislang nicht breit genug aufgestellt ist.

Sehnenschmerz durch Ciprofloxacin: Nach sieben Jahren endlich geheilt

Nach zwei antibiotischen Behandlungen mit einem Fluorchinolon litt ein 69-Jähriger sieben Jahre lang unter extremen Schmerzen in beiden Achillessehnen. Nichts half, bis ein Klinikteam auf die Idee kam, es mit einer speziellen Kombinationsbehandlung zu versuchen. 

Knie-CT liefert auch Informationen zur Knochendichte

Geht es nach den Daten einer retrospektiven US-Studie, lassen sich relevante Minderungen der Knochendichte anhand von bereits vorhandenen Computertomogrammen des Knies recht gut abschätzen.

Muskelverspannung: Lokalisierter Druckschmerz macht noch keinen Triggerpunkt

Wer die wichtigsten Triggerpunkt-Syndrome kennt und weiß, worauf bei der Untersuchung zu achten ist, kann Patientinnen und Patienten mit Muskelbeschwerden oft schon mit ein paar Handgriffen helfen.

Virtuelle Realität mildert Schmerzen bei Wundversorgung

Eine systematische Übersichtsarbeit mit Metaanalyse zeigt: Der Einsatz virtueller Realität kann Schmerzen bei der Behandlung von Wunden und Verbrennungen deutlich verringern – besonders bei Kindern.

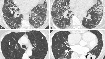
Rheuma und interstitielle Lungenerkrankung hängen oft zusammen!

Eine interstitielle Lungenerkrankung (ILD) kann als Folge einer rheumatischen Grunderkrankung auftreten, sie kann dieser aber auch vorausgehen. Bei der Abklärung sollte man daher beides im Blick haben.

Beim Management des kindlichen Schädel-Hirn-Traumas ist noch Luft nach oben

Eine Überversorgung im stationären Bereich, uneinheitliche Versorgungsstrategien und eine dünne Evidenzlage zur Therapie der schweren Form: Offensichtlich gibt es bezüglich des Managements eines Schädel-Hirn-Traumas bei Kindern noch Verbesserungsbedarf. Wie aktuell behandelt wird und was sich ändern muss.

Op. bei degenerativem Meniskusschaden ohne Langzeitnutzen

Ob die Behandlung von verschleißbedingten Meniskusbeschwerden eine Kniearthroskopie einschließt oder nicht, ist langfristig egal, auch für das Aktivitätsniveau. Körperlich aktiv zu bleiben, ist dagegen wichtig für die Kniefunktion.

Rheuma und Sport: Positive Effekte gezielt nutzen

Auch wenn die Basistherapie wirksam ist, bessern sich Müdigkeit, Antriebslosigkeit, Fatigue und depressive Verstimmung oftmals nicht ausreichend. Sport- und Bewegungstherapie können diese für Rheuma-Patientinnen und Patienten wichtigen Krankheitsaspekte lindern.

Muskelschmerzen und „positiver“ Myositis-Blot: Hier hat sich ChatGPT getäuscht!

Muskelschmerzen und ein erhöhter CK-Wert veranlassen einen rheumatologisch interessierten Hausarzt, einen Myositis-Blot anfertigen zu lassen. Bei der Interpretation soll ChatGPT helfen – doch mit der Diagnose liegt der Bot komplett daneben.

Synoviaanalyse richtig gemacht

Wird ein einzelnes Gelenk plötzlich dick oder erweist sich bei ansonsten gut kontrollierter Rheuma-Erkrankung als „rebellisch“, gilt es, rasch eine septische Arthritis auszuschließen.

Systemische Sklerose: Immunsuppressiva auch bei Herzbeteiligung!

In ihrer neuen S2k-Leitlinie zur systemischen Sklerose hat die Deutsche Gesellschaft für Rheumatologie der Herzbeteiligung ein eigenes Kapitel gewidmet. Troponin als Biomarker spielt darin eine wichtige Rolle, ebenso das Kardio-MRT. Neben der kardiologischen Basistherapie sind Immunsuppressiva unverzichtbar.

Borrelien weg, Gelenk weiter entzündet – was nun?

Das neu definierte Krankheitsbild der Antibiotika-refraktären Lyme-Arthritis (ARLA) erinnert an eine reaktive Arthritis. Entsprechend ist eine rheumatologische Basistherapie zu erwägen.

Polymyalgia rheumatica: Immer gleich zum Facharzt!

Die häufig geübte Strategie, Betroffene mit (vermuteter) Polymyalgia rheumatica mit Glukokortikoiden „anzutherapieren“, bevor man sie in die rheumatologische Praxis schickt, ist kontraproduktiv. Damit verhindert man eine zeitnahe zuverlässige Diagnostik.

Arthritiden und Augen – lernen von den Ophthalmologen

Bei Arthritis-assoziierten Uveitiden wirkt sich die Behandlung der Arthritis mit Biologika und Januskinase-Inhibitoren positiv auf die Epidemiologie aus. Für die Therapie der ophthalmologischen Manifestation gibt es aber bisher nur in zwei Fällen eine Leitlinie und kaum zugelassene Medikamente.

Was einer Vaskulitis täuschend ähnlich sehen kann

Imitatoren von rheumatologischen Krankheitsbildern stellen eine Herausforderung dar. Sie unterstreichen die Bedeutung einer präzisen Diagnostik, um seltene Mimiker erkennen bzw. ausschließen zu können. 

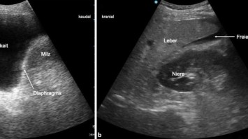
pPOCUS im Evidenz-Check

Die präklinische Notfallsonographie (pPOCUS) erlaubt es, wichtige zeitkritische Diagnosen schnell und sicher zu stellen und akuttherapeutische Maßnahmen bereits am Einsatzort oder während des Krankentransports vorzunehmen. Die Evidenz aus Studien ist dazu allerdings noch limitiert.

S2k-Konsensus-Leitlinie zur systemischen Sklerose vorgestellt

Erstmals gibt es auch eine deutsche Leitlinie zur Diagnostik und Behandlung bei systemischer Sklerose (SSc). Eine Besonderheit ist, dass sie auch ein Kapitel zur Zahn-, Mund- und Kiefergesundheit und eines zu Sexualität und Schwangerschaft enthält.

Deshalb gehören Glukokortikoide in die Morgenmedikation

Immer noch kommt es vor, dass Ärztinnen und Ärzte ihre Glukokortikoid-Verordnungen auf eine morgendliche und eine abendliche Dosis aufteilen. Das macht selten Sinn und wird mitunter gefährlich.

Die häufigste Vortherapie bei chronischen Rückenschmerzen

Physiotherapie ist die häufigste Vortherapie bei Personen mit chronischen Rückenschmerzen. Medikamentöse Schmerztherapien nutzen Betroffene nach eigenen Angaben dagegen eher nicht oder nur bei Bedarf. Das legen zumindest Daten einer großen Kohortenstudie der Charité nahe.

Wie lässt sich am Lebensende die „Rutschbahnfahrt“ in den OP stoppen?

Bei Entscheidungen am Lebensende geraten Chirurginnen und Chirurgen oft unter Zugzwang. In einer Interviewstudie wurde der Frage nachgegangen, warum dem Impuls zum Operieren so oft nachgegeben wird, obwohl sich die Situation der Betroffenen dadurch verschlechtert.

Fünf „Trigger“ mit plötzlichem Tod assoziiert

Um herauszufinden, was hinter plötzlichen, nicht durch einen Unfall verursachten Todesfällen steckt, hat ein Team aus China eine große Populationsstudie durchgeführt. Schmerzen führten demnach sowohl bei kardiovaskulären als auch nicht kardiovaskulären Todesfällen die Liste der fünf Haupt-„Trigger“ an. 

Akupunktur offenbar mit Zusatznutzen bei chronischen Rückenschmerzen

Sollte man Seniorinnen und Senioren mit chronischen Kreuzschmerzen Akupunktur als ergänzende Erstlinientherapie anbieten? Das untersuchten Forschende aus den USA in einer randomisierten kontrollierten Studie – mit zunächst erfreulichen Erkenntnissen.

Distale Radiusfraktur bei Älteren: Sind operatives und konservatives Vorgehen ebenbürtig?

Kann man bei Älteren mit dislozierter Speichenfraktur mit Handgelenksbeteiligung auf eine Op. ohne größere funktionelle Einbußen verzichten? Die Primäranalyse der niederländischen DART-Studie spricht dagegen. Auf den zweiten Blick sind sich die Forschenden darüber allerdings nicht ganz so sicher.

Dehnen verbessert die Beweglichkeit, beugt aber kaum Verletzungen vor

Vor dem Sport die Muskeln dehnen, um Verletzungen zu vermeiden – diese Empfehlung kennen wohl alle, die sich intensiv körperlich betätigen. Doch gibt es genügend Studien, die diese und ähnliche Empfehlungen bestätigen? 20 internationale Forschende gingen nun verschiedenen Fragen rund um das Dehnen genauer auf den Grund.

Arbeit auf dem Bau ist ein Risiko fürs Karpaltunnelsyndrom

Wer in Berufen tätig ist, die harte körperliche Arbeit erfordern, trägt je nach Belastung ein erhöhtes Risiko für ein operationsbedürftiges Karpaltunnelsyndrom. Das haben Forschende aus Schweden im Zuge einer arbeitsmedizinischen Studie herausgefunden.

Kreuzschmerz-Behandlung mit Langzeitwirkung

Wenige Sitzungen einer individuellen und ursachenorientierten Behandlung können bei chronischen, den Alltag beeinträchtigenden Kreuzschmerzen dauerhaft Besserung bringen: Dafür sprechen die Drei-Jahres-Daten der RESTORE-Studie zum Nutzen einer kognitiven Funktionstherapie.

Schmerzen, Dyspnoe, Fatigue – aber Long-COVID war es nicht!

Erst zwei Jahre und eine diagnostische Odyssee später wird hier die tatsächliche Ursache gefunden: Während bei der jungen Frau zunächst alles auf Long-COVID hindeutet, kommen bald Herzstolpern, Atemnot und ein Engegefühl in der Brust hinzu. In der dritten Notaufnahme keimt endlich der richtige Verdacht auf.

Vier Risikofaktoren für Hirnblutung bei SHT im Alter

Die meisten Kopfverletzungen bei älteren Menschen gehen auf Stürze auf einer Ebene zurück. Welche Faktoren in diesen Fällen eine Hirnblutung wahrscheinlicher machen, war Gegenstand einer Metaanalyse – mit zumindest einem eher überraschenden Ergebnis.

Verstauchte Finger heilen offenbar schneller mit Kinesio-Tapes

Kinesio-Tapes können bei verletzten Fingern möglicherweise die Heilung beschleunigen, so ein Team aus Istanbul. Sie seien außerdem angenehmer zu tragen als Schiene oder Buddy-Taping, was die Compliance erhöhen könnte.

Kein Vertrauen ohne weißen Kittel?

Hausärztinnen und -ärzte werden immer noch am liebsten im traditionellen weißen Kittel gesehen, so das Ergebnis eines systematischen Reviews. Dabei scheinen vor allem männliche Patienten zunehmend auch ein saloppes Outfit zu billigen – allerdings nur beim Arzt, nicht bei der Ärztin.

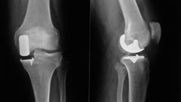
Knie-TEP: Bei wem ist das Risiko für Instabilität erhöht?

Warum kommt es nach einer Knie-TEP manchmal zu Instabilität? Hamburger Orthopäden sind dieser Frage retrospektiv nachgegangen. Ihre Ergebnisse werfen neue Fragen für die Praxis auf.

Polymyalgia rheumatica in Deutschland häufiger als bisher angenommen

In Deutschland erkrankt jährlich etwa ein Promille der Bevölkerung im Alter von über 50 Jahren neu an Polymyalgia rheumatica, die Prävalenz beträgt etwa 1%. Die Krankheit tritt damit in Deutschland weit häufiger auf als bislang angenommen.

Frühe Skolioseoperation verbessert nicht die Lungenfunktion

Die frühe, wachstumsadaptierte Operation skoliotischer Fehlbildungen der Wirbelsäule hat in einer Studie keine positiven Wirkungen auf die Lungenfunktion ergeben. Allenfalls wurde einer Verschlechterung vorgebaut.

Mit Allograft steigt das Risiko für späteren Kniegelenkersatz

Nach der Rekonstruktion eines gerissenen vorderen Kreuzbands (VKB) wird häufiger und früher als in der Allgemeinbevölkerung ein künstliches Kniegelenk fällig. Zu den modifizierbaren Risikofaktoren für den Gelenkersatz scheint die Verwendung eines Allografts zu gehören.

So häufig werden Rettungskräfte selbst zum zweiten Opfer

Eine Studie ist dem "Second-Victim-Phänomen" unter deutschen Rettungssanitäterinnen und -sanitätern nachgegangen. Die Ergebnisse fallen besorgniserregend aus.

Frakturrisiko nach Absetzen vorübergehend höher als ohne vorherige Hormontherapie

Nach Beendigung einer Hormontherapie zur Behandlung von Menopausebeschwerden steigt das Risiko für Frakturen zunächst steil an und ist für kurze Zeit sogar höher als bei Frauen, die nie Hormone verordnet bekommen haben.

Tele-Verhaltenstherapie lindert chronischen Schmerz

Eine Online- und Videoverhaltenstherapie kann schwer beeinträchtigende chronische muskuloskelettale Schmerzen deutlich lindern – vor allem dann, wenn sie unter professioneller Anleitung stattfindet. Dafür sprechen die Resultate einer großen Phase-3-Studie.

So effektiv ist Kryotherapie bei Gonarthrose

Hilft Kälte bei einem arthrotischen Knie – mit Blick auf Schmerzen, Funktion und Muskelkraft? Eine aktuelle Metaanalyse hat den therapeutischen Nutzen der Kryotherapie bei Gonarthrose genauer untersucht. Die Ergebnisse: zumindest teilweise positiv.

Thorax-Röntgenuntersuchungen nebenher zum Osteoporose-Check nutzen?

Röntgenaufnahmen des Thorax können womöglich unabhängig von der ursprünglichen Indikation dazu beitragen, Osteoporose-gefährdete 50- bis 65-Jährige zu identifizieren. Laut einer US-amerikanischen Studie liegt die Trefferquote über 12%.

FAST bei kindlichem Bauchtrauma mit AST kombinieren?

Kann die Kombination aus FAST-Sonografie mit einem Aspartat-Aminotransferase-Test (AST) die CT-Diagnostik bei Kindern mit stumpfem Abdominaltrauma ersetzen? Ein indisches Forschungsteam hat sich auf die Suche nach einem sensitiven Score zur Erkennung von intraabdominalen Verletzungen gemacht.

Fersenkick lindert Verstauchungsschmerz am Knöchel

Eine simple Übung zusätzlich zur üblichen Behandlung soll helfen, eine akute laterale Distorsion des Sprunggelenks schneller abheilen zu lassen. Eine Studie zeigt: Wunder bewirkt die Methode keine, aber Verbesserungen verspricht sie durchaus.

Woran erkennt man einen posterioren Wurzelriss im Ultraschall?

Geht es nach einer kleinen Studie aus Japan, lassen sich posteriore Wurzelläsionen des Innenmeniskus auch im Ultraschall mit einer gewissen Sicherheit diagnostizieren. Dazu muss auf fünf Indikatoren geachtet werden.

Timing der perioperativen Antibiotikaprophylaxe weniger wichtig als gedacht?

Der genaue Zeitpunkt einer prophylaktischen Antibiose vor Bauchoperationen ist möglicherweise weniger kritisch als angenommen. Zu diesem Schluss kommen zumindest Münchner Chirurginnen und Chirurgen auf Basis einer retrospektiven Fallauswertung. Allerdings bleiben Fragen.

Praxisorientierter Leitfaden zur lokalen Wundversorgung

Eine effektive Wundversorgung orientiert sich an den individuellen Merkmalen der Wunde und dem jeweiligen Stadium der Heilung. Beschwerden wie Blutungen, Schmerzen, Juckreiz oder unangenehmer Geruch sollten gezielt angesprochen und behandelt werden.

Podcast

Stürze im Alter: Wichtig sind Optimismus und ein klares Ziel

"Schaff ich es wieder auf die Beine? Lande ich im Pflegeheim?" Mortalität und Risiken für bleibende Einschränkungen steigen nach einer Fraktur im Alter dramatisch an. Gemeinsam können Orthopädie, Geriatrie und Anästhesie hier viel leisten, um die Lebensqualität hoch und die Komplikationsrate gering zu halten. Prof. Dr. Markus Gosch erklärt, worauf es hier ankommt.

Lieber frühzeitig belasten nach Op. am Sprunggelenk

Bessere funktionelle Ergebnisse und nicht mehr Komplikationen – geht es nach der irischen INWN-Studie, ist die geschützte sofortige Belastung nach einer chirurgisch versorgten Sprunggelenksfraktur das Mobilisationsprotokoll der Wahl.

Welche Gefahren beim Gassigehen lauern – aus orthopädischer Sicht

Regelmäßige Spaziergänge mit dem Hund halten fit, doch sind nicht ganz ohne Risiko. Wer stolpert oder vom Hund an der Leine umgerissen wird, kann sich schnell verletzen. Und eine bestimmte Personengruppe ist davon besonders häufig betroffen.

Chronischer Opioidkonsum nach Hüftoperation – an diese Risikofaktoren denken

Nach einer Hüftfraktur haben sozial benachteiligte Menschen offenbar ein höheres Risiko, in einen chronischen Opioidkonsum zu rutschen als Gutsituierte. Das hat eine Bevölkerungsstudie aus Dänemark ergeben. Die Forschenden weisen auf Strategien hin, wie sich intra- und postoperativ gegensteuern lässt.

KI-Zukunft in Praxen: Haben Sie heute schon mit einer Leitlinie gechattet?

Wie werden Arztpraxen künstlich intelligent? Und ist das überhaupt erstrebenswert? Eine Diskussion beim Hauptstadtkongress brachte interessante Anwendungen zutage – und manche Bedenken.

ePA im Praxistest – zwischen Pionierarbeit und PVS-Frust

Die Teilnehmer eines Panels auf dem Hauptstadtkongress waren sich einig: Die ePA ist ein gutes Tool – aber mit Luft nach oben. Kritik gab es an den starren Fristen und fehlenden Modulen der PVS-Hersteller.

Röntgen bei Platzwunden: notwendig oder überversorgt?

Platzwunden zählen zu den häufigsten Gründen für eine Vorstellung in der Notaufnahme – Röntgenaufnahmen gehören dort vielerorts zum Standard. Eine aktuelle Studie hinterfragt nun die diagnostische Aussagekraft dieser Praxis und zeigt: Der Nutzen ist begrenzt.

Grenzverletzungen in Kliniken und Praxen: Um Gewalt zu verhindern, braucht es systematische Prozesse

Aggression ist in Praxen und Kliniken mittlerweile an der Tagesordnung. Wie das Personal besser geschützt werden kann, erörterte ein Panel beim Hauptstadtkongress.

Cyberangriffe aufs Gesundheitswesen: Kliniken geben Einblick

Das Gesundheitswesen ist einer der Bereiche, die mit am stärksten von Cyberattacken betroffen sind. Beim Hauptstadtkongress berichteten zwei Universitätskliniken davon, wenn nichts mehr geht. Und welche Möglichkeiten es gibt, sich auf Angriffsszenarien vorzubereiten.

Interprofessionell statt allein: Warum sich mehr Aufgabenteilung lohnt

Wie gelingt die interprofessionelle Zusammenarbeit – stationär wie ambulant? Und warum lohnt es sich für Ärzte, Kompetenzbereiche abzugeben? Beim Hauptstadtkongress wurden Beispiele und Hürden diskutiert.

Herausfordernde Manifestationen bei SLE

Bei kaum einer Manifestation des systemischen Lupus erythematodes sind selbst Rheumatologinnen und Rheumatologen so unsicher wie beim neuropsychiatrischen Lupus. Am besten ist, sich dem Krankheitsbild erst einmal genauso zu nähern wie ohne SLE.

Karpaltunnelsyndrom lieber gleich operativ angehen?

Eine niederländische Studie stellt die konservative Therapie des Karpaltunnelsyndroms infrage. Verzögert die Injektion von Kortikosteroid nur die Op. oder lässt sich gänzlich darauf verzichten?

CAR-T-Zellen bilden Antikörper gegen Rheumatoide Arthritis

Chimäre-Antigen-Rezeptor (CAR)-T-Zellen werden zunehmend auch bei therapierefraktärer Rheumatoider Arthritis erprobt. Neuerdings werden sie so konstruiert, dass sie vor Ort als Fabrik für therapeutische Anti-Zytokin-Antikörper fungieren.

Entzündung oder nicht? – Das ist hier die Frage

Um bei schwer behandelbarer und speziell bei polyrefraktärer Rheumatoider Arthritis hilfreiche Therapieentscheidungen treffen zu können, ist es wichtig, zu klären, ob weiterhin Entzündungen da sind. Sie können auch Folge einer Autoinflammation sein.

Thromboserisiko nach Fraktur-Op. bei Kindern: Wann ist eine Prophylaxe sinnvoll?

Eine aktuelle US-Studie hat das Thromboserisiko nach operativ versorgten Frakturen der unteren Extremität bei Kindern und Jugendlichen untersucht. Die Ergebnisse liefern neue Daten zur Risikoeinschätzung – und regen zur Diskussion über mögliche prophylaktische Maßnahmen an. 

Neues zu Chancen und Risiken der MRT-Bildgebung in der axSpA-Diagnostik

Die Bildgebung ist und bleibt ein großes Thema bei der axialen Spondyloarthritis (axSpA) – zum einen in der Diagnose der axSpA, zum anderen in der Differentialdiagnose einer axialen Beteiligung bei der Psoriasis Arthritis.

Osteoporose-Therapie bei Rheuma birgt spezielle Herausforderungen

Die entzündlich-rheumatische Erkrankung, aber auch deren vorherige Behandlung, können die Therapie einer Osteoporose erschweren. Beispielhaft wird dies an der diffusen kutanen Systemische Sklerose und Methotrexat-Osteopathie deutlich.

PsA: Vielfalt der Therapieoptionen – auch eine Herausforderung

Die inzwischen große Vielfalt an Therapieoptionen bei der Psoriasis-Arthritis ist grundsätzlich zu begrüßen, stellt Behandelnde im Hinblick auf die Therapiestrategie aber auch vor Herausforderungen. Was rät eine renommierte Expertin?

Innovative Strategien für das Management der erosiven Handarthrose

Eine rein auf die Synovitis ausgerichtete Therapie scheint bei dieser aggressiven Form der Hand-Osteoarthrose nur wenig effektiv zu sein. Daher rücken Therapien in den Fokus, die am subchronralen Knochen ansetzen.

Gegen chronischen Kreuzschmerz hilft Gehen – und zwar täglich

Spazierengehen – eine einfache und leicht zugängliche Maßnahme mit großer Wirkung: Einer norwegischen Kohortenstudie zufolge stehen sowohl die Dauer als auch die Intensität des täglichen Gehens in umgekehrtem Zusammenhang mit dem Risiko, chronische Schmerzen im unteren Rücken zu entwickeln.

Rheumatoide Arthritis: Was zwischen MTX und Biologika noch möglich ist

Mit ihrer klinischen Heterogenität stellt die rheumatoide Arthritis hohe Anforderungen an die Therapieentscheidung – insbesondere, wenn Methotrexat allein nicht ausreicht, Biologika aber noch nicht infrage kommen. Wie effektiv alternative basistherapeutische Strategien sind, wurde beim EULAR-Kongress 2025 diskutiert.

Welchen Sport verträgt die Hüft-TEP?

Einem kanadischen Forschungsteam zufolge ist es sicher, nach einer Hüft-TEP Freizeitsport zu betreiben. Wie die Ergebnisse einer prospektiven Studie nahelegen, darf es dabei ruhig eine Sportart sein, bei der es etwas mehr zur Sache geht.

Kryoneurolyse nicht besser als Scheinbehandlung?

Ergebnisse einer dänischen Studie sprechen dafür, dass die Schmerzlinderung mittels Kryoneurolyse bei Personen mit chronischer Kniearthrose nicht besser ausfällt als unter einer Scheinablation. Gleichzeitig raten die Forschenden, andere Vereisungsprotokolle zu prüfen.

Aktualisierte Leitlinie zum Hallux valgus

Die überarbeitete Leitlinie zum Hallux valgus bringt wichtige Neuerungen: Die Klassifikation wurde vereinfacht und umfasst nun nur noch zwei Schweregrade – leicht bis moderat und schwer. Damit soll für Behandelnde die Entscheidung über die Therapie leichter werden.

Rauchen lässt den Rücken schmerzen

Patientinnen und Patienten mit Rückenschmerzen, die zur Zigarette greifen, müssen damit rechnen, ihr Leiden zu verschlimmern. Laut Ergebnissen einer Querschnittstudie sollte der Rauchverzicht daher Teil der Therapie chronischen Kreuzwehs sein.

Akute Rückenschmerzen: Wer muss sofort ins MRT?

Hinter akut aufgetretenen Rückenschmerzen können sich ganz unterschiedliche Krankheitszustände verbergen. In welchen Fällen ist eine unverzügliche Bildgebung angezeigt, um bleibende Nervenausfälle bis hin zur Querschnittlähmung zu verhindern?

Chirurgisch-anästhesistisches Teamwork zahlt sich aus!

Je vertrauter Anästhesist und Chirurgin im Team zusammenarbeiten, desto besser für die Operierten, so eine aktuelle Studie.

Wie sich der diabetische „desert foot“ doch noch zum Leben erwecken lässt

Menschen mit diabetischem Fußsyndrom und „No Option“-Atherosklerose haben ein deutlich erhöhtes Amputationsrisiko und stellen eine vulnerable Patientengruppe dar. Ein Experte stellte auf dem Diabetes-Kongress mehrere Ansätze vor, welche Optionen hier vielleicht doch noch infrage kommen.

Säugling mit Schädelfraktur – Warnzeichen für intrakranielle Blutung erkennen

Die Diagnose einer intrakraniellen Blutung bei Säuglingen unter drei Monaten mit Schädelfraktur gestaltet sich schwierig. Klinische Symptome, körperliche Untersuchungsbefunde und Verhaltensbeurteilungen sind oft unzuverlässig. In einer US-amerikanischen Studie wurden die Anzeichen genauer untersucht.

Hat die Kreuzband-Op. Einfluss auf den Kniegelenkersatz?

Wer sich früh eine Kreuzbandverletzung zuzieht, könnte später mehr Komplikationen bei einem Kniegelenkersatz haben. Was an dieser Vermutung dran ist, hat ein chinesisches Forschungsteam nun in einer aktuellen Metaanalyse untersucht.

Neuer Test entlarvt Iliopsoas-Tendinopathie

Ein belgisches Orthopädenteam hat einen neuen klinischen Test zur Diagnose der Iliopsoas-Tendinopathie entwickelt. In einer aktuellen Studie verglichen sie den HEC-Test mit etablierten Verfahren – und erhielten aufschlussreiche Ergebnisse zur diagnostischen Genauigkeit.

Mediale Epicondylusfraktur: gipsen oder operieren?

Sollte man dislozierte Frakturen des humeralen Epicondylus medialis konservativ versorgen oder operieren? Eine aktuelle Studie gibt darauf eine klare Antwort. Und die spricht zumindest nicht gegen das Gipsen.

Patellofemorale Prothese offenbar sicherer als Knie-TEP

Betroffene mit isolierter patellofemoraler Arthrose sollten bei entsprechender Indikation häufiger als bisher auf die Möglichkeit einer patellofemoralen Prothese hingewiesen werden, fordert ein britisches Forschungsteam.

Patienten klimasensibel beraten – ein Ansatz gegen die Klimakrise

Der Klimawandel wirkt sich direkt auf die Gesundheit der Menschen aus – unter anderem auf rheumatische Erkrankungen. Daher kann eine klimasensible Beratung der Patienten sinnvoll sein. Was das bedeutet, wurde beim DGIM-Kongress erläutert.

Update zum infantilen Hämangiom

Es ist die häufigste Gefäßanomalie: Das infantile Hämangiom. Circa jedes zwanzigste Kind im Säuglingsalter ist davon betroffen, häufiger Mädchen und Frühgeborene. Was gibt es Neues zu diesem benignen Gefäßtumor? 

Fallstricke bei der Diagnostik und Behandlung von Borreliose

Ein kleiner Stich mit großer Wirkung: Zecken können bekanntermaßen unter anderem Borrelien übertragen. Wie laufen Diagnostik und Therapie der Borreliose ab? Eine Expertin gab beim DGIM-Kongress Tipps für die Praxis.

Irrwege einer Patientin mit Gelenkschmerzen und Hämoptysen

Der Fall einer 50-jährigen Patientin zeigt, dass eine Urindiagnostik in unklaren Fällen grundlegend ist, auch wenn die Symptome auf etwas ganz anderes hinzudeuten scheinen.

Ab welcher Sport-Dosis schmerzt das arthrotische Knie?

Körperliche Bewegung ist für Menschen mit Arthrose der Kniegelenke ein wichtiges Element der Therapie. Andererseits kann zu viel Belastung die Kniebeschwerden verstärken. Wie eine Studie zeigt, gilt auch hier: Entscheidend ist die Dosis.

KI erkennt Frakturen bei Kindern kaum besser als Notärzte

Wie gut ist eine KI-basierte Software im Auswerten von Röntgenbildern bei Kindern mit Frakturverdacht? In einer Studie aus Leipzig schwächelte die Maschine vor allem bei einer Verletzung, die tunlichst nicht übersehen werden sollte.

Kinesio-Tapes offenbar wirksam bei femoropatellaren Schmerzen

Kinesio-Tapes sind wahrscheinlich eine sinnvolle Ergänzung zur Physiotherapie in der Behandlung von femoropatellaren Schmerzen. Darauf deuten die Ergebnisse einer aktuellen Metaanalyse hin.

Metformin ist eine mögliche Option gegen Gonarthrose

Patienten mit Übergewicht, die Symptome einer Arthrose des Kniegelenks aufweisen, könnte die Gabe von Metformin helfen. Das legen Ergebnisse einer kleinen Studie nahe, die allerdings noch in größerem Maßstab zu bestätigen wären.

Viele Versäumnisse bei Psoriasis-Arthritis

Menschen mit Psoriasis-Arthritis (PsA) müssen länger auf die Diagnose warten und werden zögerlicher behandelt als an rheumatoider Arthritis (RA) Erkrankte. Diese Defizite hat eine Untersuchung in Großbritannien aufgedeckt.

Yoga gegen Kniearthrose nicht schlechter als Krafttraining

Menschen mit Gonarthrose profitieren von Yogaübungen nicht weniger als von gezielten Kräftigungsübungen für die lädierten Knie. In einer Vergleichsstudie haben sich für Yogis und Yoginis sogar einige Vorteile ergeben.

Muskelrelaxanzien wohl nur bei akuten Kreuzschmerzen hilfreich

Bei akuten Rückenschmerzen können Muskelrelaxanzien, eventuell in Kombination mit NSAR, zur Schmerzlinderung beitragen. Wegen der Nebenwirkungen wird jedoch empfohlen, die Medikamente nur über wenige Tage einzusetzen.

Thoracic-Outlet-Syndrom nur in Ausnahmefällen operieren!

Das Thoracic-Outlet-Syndrom erfordert nur in ganz bestimmten Fällen ein operatives Vorgehen. Beim DCK wurde vor schwerwiegenden Komplikationen des anspruchsvollen Eingriffs gewarnt.

Wie bereits der virtuelle "Blick ins Grüne" Schmerzen lindern kann

Dass der Blick in die Natur Menschen dazu bringen kann, Schmerzen weniger stark zu empfinden, konnte bereits mehrfach nachgewiesen werden. Jetzt ließen sich in einer experimentellen Studie sogar allein durch das Betrachten von Videos mit Naturszenen analgetische Effekte erzeugen.

Arthropedia

Grundlagenwissen der Arthroskopie und Gelenkchirurgie erweitert durch Fallbeispiele, Videos und Abbildungen. Zur Fortbildung und Wissenserweiterung, verfasst und geprüft von Expertinnen und Experten der Gesellschaft für Arthroskopie und Gelenkchirurgie (AGA).


Jetzt entdecken!

Neu im Fachgebiet Orthopädie und Unfallchirurgie

Vorderer Knieschmerz nach Gelenkersatz: konservative Therapie im Vordergrund

Bei Schmerzen im Bereich der Patella nach Kniegelenkersatz sollten vor allem gravierende mechanische Ursachen, Instabilität und Infektionen ausgeschlossen werden. Therapeutisch stehen konservative Maßnahmen im Vordergrund, Eingriffe wie sekundäres Patella-Resurfacing sollte man sich dagegen zweimal überlegen.

Revision von Kurzschaftprothesen: Auf den Worst Case vorbereiten!

Auch eine Kurzschaftprothese im Hüftgelenk kann bei der Revision erhebliche Probleme bereiten. Wie man sich auf intraoperative Komplikationen, zum Beispiel eine Trochanterfraktur, vorbereitet, erklärte der Endoprothetikspezialist Dr. Sebastian Hardt von der Berliner Charité.

Prähabilitation: Fit werden für die Op.

Nach dem Prinzip „better in, better out“ können mit Maßnahmen der Prähabilitation Patientinnen und Patienten auf Operationen vorbereitet und deren Outcome verbessert werden. Worauf es dabei speziell bei knorpelregenerativen Eingriffen ankommt, war Thema beim diesjährigen DKOU-Kongress.

Bundesverfassungsgericht: Triage-Regelung nicht mit Grundgesetz vereinbar

Das Bundesverfassungsgericht hat Regelungen zur Triage für nichtig erklärt. Es gab damit Verfassungsbeschwerden von Intensiv- und Notfallmedizinern statt. Der Eingriff in die Berufsfreiheit der Ärztinnen und Ärzte sei verfassungsrechtlich nicht gerechtfertigt, betont das Gericht.

Update Orthopädie und Unfallchirurgie

Bestellen Sie unseren Fach-Newsletter und bleiben Sie gut informiert.

Bildnachweise
Tabletten werden in Hand geschüttet/© O.Farion / Stock.adobe.com (Symbolbild mit Fotomodell), Mann appliziert Salbe auf sein Knie/© Ake Ngiamsanguan / Getty Images / iStock (Symbolbild mit Fotomodell), Cannabisarzneimittel/© [M] Rocky89 / Getty images / iStock, Störung der Lidhebung bei Myasthenia gravis/© Alessandro Grandini / stock.adobe.com (Symbolbild mit Fotomodell), Arzt untersucht Patient mit Rückenschmerzen/© gilaxia / Getty Images / iStock (Symbolbild mit Fotomodellen), Junger bärtiger Mann liegt im Bett und hält sich die Stirn/© kleberpicui - stock.adobe.com (Symbolbild mit Fotomodell), Vordere Kreuzbandruptur/© Springer-Verlag Berlin Heidelberg 2016, Liposarkom des Funiculus spermaticus/© Springer Medizin Verlag GmbH, Behandschuhte Hände drücken Stumpf nach Amputation/© Vitaly Zubrytsky / stock.adobe.com (Symbolbild mit Fotomodellen), Untersuchung des Beins eines Patienten/© Visionär / Fotolia, Mann erhält einen CT-Scan /© Mark Kostich / stock.adobe.com (Symbolbild mit Fotomodell), Arzt untersucht Senior am Rücken/© miodrag ignjatovic / Getty Images / iStock (Symbolbild mit Fotomodellen), Bildgebung verschiedener interstitieller Lungenerkrankungen/© Christoph Lederer et al. / all rights reserved Springer Medizin Verlag GmbH, Kleinkind und Teddy mit Verband/© simoningate / Getty Images / iStock (Symbolbild mit Fotomodell), Frau unkenntlich fasst sich ans Knie/© Pornpak Khunatorn / Getty Images / iStock (Symbolbild mit Fotomodell), Ein älteres Paar läuft mit Stöcken im Wald/© Roman / Stock.adobe.com (Symbolbild mit Fotomodell), Illustration zur künstlichen Intelligenz/© Toowongsa / Stock.adobe.com (Symbolbild mit Fotomodell), Ärztin untersucht Patientin mit Knieschmerz/© Jirapong / Stock.adobe.com (Symbolbild mit Fotomodell), Arzt untersucht älteren Mann/© contrastwerkstatt / Stock.adobe.com (Symbolbild mit Fotomodellen), Blutabnahme/© Yakobchuk Olena / stock.adobe.com (Symbolbild mit Fotomodell), Point-of-care-Ultraschall bei Trauma/© Vicent O et al. / all rights reserved Springer Medizin Verlag GmbH, Röntgenbild Kiefer/© Aniuszka / Fotolia (Symbolbild mit Fotomodell), Box mit Tabletten/© ekachai050050 / stock.adobe.com (Symbolbild), Manuelle Behandlung unterer Rückenschmerzen/© Viorika / Getty Images / iStock (Symbolbild mit Fotomodellen), Operationssaal-Korridor /© h368k742 / stock.adobe.com, Ohnmächtige ältere Frau/© Satjawat / stock.adobe.com (Symbolbild mit Fotomodellen), Akupunktur/© (M) geargodz / stock.adobe.com (Symbolbild mit Fotomodell), Hand greift nach Skalpell/© Morsa Images / Getty Images / iStock, Gruppe beim Rückentraining im Fitnesscenter/© Robert Kneschke / stock.adobe.com (Symbolbild mit Fotomodellen), Mann auf dem Bau/© pololia / Stock.adobe.com (Symbolbild mit Fotomodell), Psychotherapeutische Sitzung/© PeopleImages / Getty Images / iStock (Symbolbild mit Fotomodellen), Frau sitzt besorgt beim Arzt und hält sich den Kopf/© M+Isolation+Photo / Stock.adobe.com (Symbolbild mit Fotomodell), Seniorin liegt reglos auf Boden/© Racle Fotodesign / stock.adobe.com (Symbolbild mit Fotomodell), Medizinisches Personal hält verschiedenfarbige Kinesiotapes/© Татьяна Волкова / stock.adobe.com (Symbolbild mit Fotomodell), Ärztin in Op.-Kleidung/© shapecharge / Getty Images / iStock (Symbolbild mit Fotomodell), Skoliose/© Springer Medizin, Vordere Kreuzbandruptur/© Müller P E & Niethammer T R / all rights reserved Springer Medizin Verlag GmbH, Rettungsdienst/© huettenhoelscher / Getty images / iStock (Symbolbild mit Fotomodellen), Person hält zwei Tabletten in der Hand/© AsiaVision / Getty Images / iStock (Symbolbild mit Fotomodell), Video-Therapie /© Valerii Honcharuk / stock.adobe.com (Symbolbild mit Fotomodellen), Ältere Person hält sich das Knie/© ZayNyi / Stock.adobe.com (Symbolbild mit Fotomodell), Fallbeispiel Röntgenaufnahme des Thorax in zwei Ebenen/© Reinke L. et al. / all rights reserved Springer Medizin Verlag GmbH, Kleiner Junge nach Fahrradunfall/© JohnAlexandr / Getty Images / iStock (Symbolbild mit Fotomodell), Läufer umfasst sein Sprunggelenk/© PeopleImages / Getty Images / iStock (Symbolbild mit Fotomodell), Mann mit Knieschmerzen/© Rockaa / Getty Images / iStock (Symbolbild mit Fotomodell), Vorbereitung eines periphere Venenverweilkatheter/© Seppographie / stock.adobe.com, Springer Medizin Podcast - Stürze im Alter/© Gatz M et al / all rights reserved Springer Medizin Verlag, Orthese und Gehhilfen/© Ralf Geithe / stock.adobe.com (Symbolbild mit Fotomodell), Mann geht mit Hund an der Leine spazieren/© K. Thalhofer / stock.adobe.com (Symbolbild mit Fotomodell), Schenkelhalsfraktur prä- und postoperativ/© Henze K et al. / all rights reserved Springer Medizin Verlag GmbH, Älterer Arzt mit Arzthelfer schauen über Patientenakte/© stokkete / stock.adobe.com (Symbolbild mit Fotomodellen), Röntgenbild Hand/© Mathias Weil / stock.adobe.com, Hinweisschild Notaufnahme/© huettenhoelscher / Getty images / iStock, Frau sitzt vor mehreren Bildschirmen/© Baba Images / stock.adobe.com (Symbolbild mit Fotomodell), Junge Ärztinnen und Ärzte diskutieren/© fizkes / stock.adobe.com (Symbolbild mit Fotomodellen), Systemischer Lupus erythematodes Gesicht Mann/© velimir / Stock.adobe.com (Symbolbild mit Fotomodell), Operation Karpaltunnelsyndrom/© Gardinovacki / Getty Images / iStock (Symbolbild mit Fotomodell), CAR-T-Zellen/© Meletios Verras / Getty Images / iStock, Ärztin untersucht älteren Mann/© Drazen Zigic / Getty Images / iStock (Symbolbild mit Fotomodellen), Frau zieht Patientin Thrombosestrumpf an/© tibanna79 / stock.adobe.com (Symbolbild mit Fotomodellen), Wirbelsäulen-MRT bei Patient mit axialer Spondyloarthritis/© Springer Medizin, Frau bei Knochenmineraldichte-Messung/© gelmold / stock.adobe.com (Symbolbild mit Fotomodell), Psoriasisarthritis /© Springer Medizin, Anatomischer Überblick Handgelenk/© Deglmann CJ / all rights reserved Springer Medizin Verlag GmbH, Frau mit Hut im Wald/© (M) encierro / stock.adobe.com (Symbolbild mit Fotomodell), Rheumatoide Arthritis in den Händen/© RFBSIP / stock.adobe.com (Symbolbild mit Fotomodell), Frau und Mann joggen im Wald/© Harbucks / Getty Images / iStock (Symbolbild mit Fotomodellen), Frau mit Knieschmerzen/© shurkin_son / Getty Images / iStock (Symbolbild mit Fotomodell), Hallux valgus/© masanyanka / stock.adobe.com, Raucher Zigarette Rauch /© buenaventura13 / stock.adobe.com (Symbolbild mit Fotomodell), Magnetresonanztomographie/© Svitlana / Stock.adobe.com (Symbolbild mit Fotomodell), Anästhesistin im OP/© stefanamer / Getty Images / iStock (Symbolbild mit Fotomodellen), Verband an Unterschenkelstumpf wird angelegt/© angkhan / stock.adobe.com (Symbolbild mit Fotomodellen), Schreiendes Baby/© AzmanL / Getty Images / iStock (Symbolbild mit Fotomodell), Narbe nach Kniegelenkersatz/© Miriam Dörr / Fotolia (Symbolbild mit Fotomodell), Mann untersucht Frau an der Lende/© pololia / stock.adobe.com (Symbolbild mit Fotomodell), Gebrochener Arm eines Kindes erhält Gips/© Rafael Ben-Ari / stock.adobe.com (Symbolbild mit Fotomodellen), Unikompartimentelle Knieprothese/© NICOLAS LARENTO / stock.adobe.com, Frankfurt am Main an einem heißen Sommertag mit strahlender Sonne und großem Thermometer/© Günter Albers / Stock.adobe.com, Infantiles Hämangiom/© tolgart / Getty Images / iStock (Symbolbild mit Fotomodell), Zecke auf menschlicher Haut/© sasel77 / stock.adobe.com, Urinbecher und Urinanalyse-Streifen/© RHJ / Stock.adobe.com, Walking mit Kniebandage/© Suzi Media Production / Getty Images / iStock (Symbolbild mit Fotomodell), Fraktur der lateralen Condyle des Humerus im Röntgenbild/© Susmit / stock.adobe.com, Arzt untersucht Knie einer Seniorin/© FluxFactory / Getty Images / iStock (Symbolbild mit Fotomodellen), Röntgenbild einer Psoriasis-Arthritis/© Springer Medizin Verlag GmbH, Frau macht Gymnastikübung in ihrem Schlafzimmer/© Krakenimages.com / stock.adobe.com (Symbolbild mit Fotomodell), Abklärung von Rückenschmerz bei älterer Patientin/© andreswd / Getty Images / iStock (Symbolbild mit Fotomodellen), Physiotherapeut behandelt Patientin an Schulter/© © contrastwerkstatt / stock.adobe.com (Symbolbild mit Fotomodellen), Wald/© alexugalek / stock.adobe.com, Arthropedia, Kinesiotape um das Knie herum/© baranq / stock.adobe.com (Symbolbild mit Fotomodell), Röntgenbild eines künstlichen Hüftgelenks/© Nicolas Larento / Fotolia, Prähabilitation am Fußgelenk/© herraez / Getty Images / iStock (Symbolbild mit Fotomodellen), Junge Ärztin vor einem Triage-Zelt/© Milos / Stock.adobe.com (Symbolbild mit Fotomodell)