Zum Inhalt
Allgemeinmedizin Orthopädische Erkrankungen in der Hausarztpraxis

Orthopädische Erkrankungen in der Hausarztpraxis

Sehnenschmerz durch Ciprofloxacin: Nach sieben Jahren endlich geheilt

Nach zwei antibiotischen Behandlungen mit einem Fluorchinolon litt ein 69-Jähriger sieben Jahre lang unter extremen Schmerzen in beiden Achillessehnen. Nichts half, bis ein Klinikteam auf die Idee kam, es mit einer speziellen Kombinationsbehandlung zu versuchen. 

weiterlesen

Kasuistiken

Blickdiagnose – dicker Ellenbogen in der Prüfungsphase

Ein 34-jähriger Fliesenleger, der zweimal pro Woche zum Judotraining geht und seit Wochen intensiv für seine Meisterprüfung lernt, stellt sich wegen einer schmerzhaften Schwellung des linken Ellenbogens vor. Klinik und Anamnese ergeben ohne Weiteres eine klassische Blickdiagnose.

Schmerzhafte und versteifte Großzehe – ein typischer Fall wovon?

Bei einer 58 Jahre alten Frau ist die rechte Großzehe schmerzhaft verdickt und nur noch eingeschränkt beweglich. Das Röntgenbild zeigt deutlich die Ursache ihres Leids.

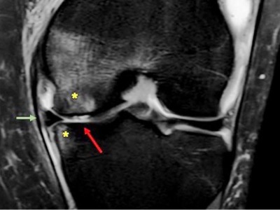
Schmerz im Knie, Problem woanders

Vorgestellt wird eine 86-jährige Patientin mit Gangstörungen, verbunden mit Schmerzen im rechten Bein. Mitunter sei das rechte Kniegelenk auch "weggeknickt". Periradikuläre Injektionen und eine mikrochirurgische Dekompression L3/L4 hatten keine Besserung erbracht. Gefixt wurden die Probleme schließlich durch einen operativen Eingriff, doch weder am Knie noch an der Wirbelsäule.

Weitere Artikel aus unseren Fachzeitschriften

Leitfaden: Nährstoffe zur Prävention von Arthrose und Osteoporose

Unsere Ernährung ist oft alles andere als knochenfreundlich – dabei spielt sie eine zentrale Rolle für die Knochengesundheit. Die gezielte Zufuhr von Vitaminen und Mineralstoffen trägt dazu bei, Arthrose und Osteoporose vorzubeugen oder zu behandeln. Wie eine solche Ernährung gelingt, thematisiert der Beitrag.

S3-Leitlinie: Prävention und Therapie der Gonarthrose

Kerninhalt der neuen S3-Leitlinie zur Gonarthrose sind verschiedene Therapiemaßnahmen von konservativ bis operativ. Aber auch das Aufklären über die Krankheit und das Appellieren an Betroffene, sich täglich zu bewegen, wurde thematisiert. Wichtige Aspekte der Leitlinie finden Sie im Überblick.

How to Sonografie: Schmerzen an Sprunggelenk und Fuß

Die Ursachen für Beschwerden des Sprunggelenks reichen von Instabilitäten, über Arthritiden bis hin zu Bandverletzungen oder Frakturen. Zur Abklärung kann die Arthrosonografie gute Dienste leisten. Anhand von Beispielen wird hier der richtige Umgang mit dem Schallkopf in den verschiedenen Schnittebenen erklärt.

Knieschmerzen diagnostizieren per Ultraschall

Ist das Kniegelenk entzündet? Liegt ein Muskelriss vor? Sind Bänder, Knorpel oder Knochen verletzt? Die Ultraschalluntersuchung kann bei Schmerzen im Knie schnell und zuverlässig die Ursache klären und therapieentscheidend sein.

Gonarthrose konservativ und gelenkerhaltend therapieren

Die Behandlung der Kniegelenksarthrose bedarf eines multimodalen Ansatzes und ist symptom- und stadienabhängig. Grundsätzlich ist bei initialen Beschwerden eine konservative Therapie indiziert. Ein wichtiger Baustein ist die richtige Aufklärung und Schulung.

How to: Ultraschall am Ellenbogen

In der zweiten Folge der Serie Gelenkultraschall richten wir den Fokus auf den Ellenbogen. Lernen Sie, wie Sie die Sonografie in der Hausarztpraxis gezielt einsetzen können, um häufige Pathologien wie Bursitis oder Synovialitis zu erkennen.

Die Schulter-Sonografie in der Hausarztpraxis

Während Patientinnen und Patienten noch auf einen Facharzttermin warten, kann in der Hausarztpraxis mit Grundkenntnissen des Gelenkultraschalls schon viel getan werden. Der erste Teil der neuen Serie widmet sich der Sonographie der Schulter – und zeigt, wie die Leistung abgerechnet werden kann.

Haben Frauen wirklich häufiger X- und Männer O-Beine?

Laut der bislang überschaubaren Datenlage scheinen Frauen eher zur X‑Beinachse zu neigen, während Männer eher O‑Beine haben. Stimmt das? Um die orthopädisch weitreichende Frage nach genderspezifischen Normwerten zu klären, hat ein Team am Klinikum Bamberg 713 gesunde Beine durchleutet.

Die akute Achillessehnenruptur hört man am Peitschenschlag

Ein 39-jähriger Fußballer verspürt beim Versuch, zum Ball zu sprinten, einen krachenden Riss oberhalb der linken Ferse. Er kann nicht mehr laufen und bricht zusammen. Im Verlauf der Achillessehne ca. 4 cm oberhalb des Ansatzes am Fersenbein zeigt sich eine Delle, der Test nach Thompson ist positiv, der Patient kann nicht auf den linken Zehenspitzen stehen. Diagnose: Achillessehnenruptur.

Kopfverletzungen: Was der Teamarzt wissen sollte

Die steigende Aufmerksamkeit für Schädel-Hirn-Verletzungen im Sport hat zu einer intensiveren Auseinandersetzung mit der Concussion geführt. Der Artikel beleuchtet die klinische Symptomatik, Diagnoseverfahren und therapeutische Ansätze, die für eine sichere Rückkehr zum Sport unerlässlich sind.

Videos und Webinare

Webinar

S3-Leitline Prävention und Therapie der Gonarthrose

  • Webinar | 23.04.2025 | 16:30

Erstmals wird in diesem Jahr eine S3-Leitlinie zum Thema "Prävention und Therapie der Gonarthrose" erscheinen. Über die Gründe für das Upgrade auf S3-Niveau und was im Versorgungsalltag beachtet werden sollte, spricht Leitlinienautor Prof. Stöve im MedTalk Leitlinie KOMPAKT für die Zeitschrift Orthopädie und Unfallchirurgie.

Prof. Dr. Johannes Stöve
MedTalk Leitlinie KOMPAKT

Nicht gefunden, wonach Sie suchten?

Probieren Sie es mit der Suchfunktion:

Kompaktes Leitlinien-Wissen Allgemeinmedizin (Link öffnet in neuem Fenster)

Mit medbee Pocketcards schnell und sicher entscheiden.
Leitlinien-Wissen kostenlos und immer griffbereit auf ihrem Desktop, Handy oder Tablet.

Facharzt-Training Allgemeinmedizin

Vorbereitungskurs zur Facharztprüfung Allgemeinmedizin

Die ideale Vorbereitung zur anstehenden Prüfung mit 100 klinischen Fallbeispielen verschiedener Themenfelder.

Kostenfrei für DEGAM-Mitglieder.

Mehr erfahren

Neu im Fachgebiet Allgemeinmedizin

iFOBT: Positiv ist positiv – Punkt.

Das Ergebnis des fäkalen immunochemischen Tests auf Blut im Stuhl wird üblicherweise qualitativ als positiv oder negativ interpretiert. Ob sich mit einer quantitativen Auswertung das Risiko näher differenzieren lässt, ist in einer Studie untersucht worden.

Muskelfaserrisse im Sport – kein banales Problem!

Die Tragweite von Muskelverletzungen im Sport wird oftmals verkannt. Sie sind eine wesentliche Ursache für Ausfälle, nicht selten sogar für das Ende der Karriere. Nur eine optimierte Versorgung kann solche desaströsen Konsequenzen für die Athleten verhindern.

STIKO ändert Empfehlung zur Herpes zoster-Impfung

Menschen mit erhöhtem Risiko, an Herpes zoster zu erkranken, empfiehlt die STIKO nun, sich bereits ab 18 statt ab 50 Jahren mit dem Totimpfstoff Shingrix impfen zu lassen.

Risiken von Nierenkranken gesunken, aber immer noch hoch

Patienten mit chronischen Nierenleiden tragen ein überschießendes Risiko für kardiovaskuläre Komplikationen und Blutungen. Das ist noch immer so, auch wenn sich die Situation im vergangenen Jahrzehnt gebessert hat, wie eine Studie belegt.

EKG Essentials: EKG befunden mit System (Link öffnet in neuem Fenster)

In diesem CME-Kurs können Sie Ihr Wissen zur EKG-Befundung anhand von zwölf Video-Tutorials auffrischen und 10 CME-Punkte sammeln.
Praxisnah, relevant und mit vielen Tipps & Tricks vom Profi.

Update Allgemeinmedizin

Bestellen Sie unseren Fach-Newsletter und bleiben Sie gut informiert.

Bildnachweise
Untersuchung des Beins eines Patienten/© Visionär / Fotolia, Sonographiequerschnitt über der Hälfte des M. quadriceps (Normalbefund)/© Gehlen M et al. / all rights reserved Springer Medizin Verlag GmbH, Eine Frau hält sich den Fuß am Knöchel/© dragana991 / Getty Images / iStock (Symbolbild mit Fotomodell), ZFA TALKS - Nackenschmerzen/© (M) contrastwerkstatt / Stock.adobe.com (Symbolbild mit Fotomodell), Fortgeschrittene Gonarthrose bei 83-Jähriger/© J. Stöve, Arzt untersucht Senior am Rücken/© miodrag ignjatovic / Getty Images / iStock (Symbolbild mit Fotomodellen), Frau mit Hut im Wald/© (M) encierro / stock.adobe.com (Symbolbild mit Fotomodell), Frau bei Knochenmineraldichte-Messung/© gelmold / stock.adobe.com (Symbolbild mit Fotomodell), Arzt untersucht Patienten mit Rückenschmerzen /© ChesiireCat / Getty Images / iStock (Symbolbild mit Fotomodellen), Frau geht Spazieren/© HODEI / stock.adobe.com (Symbolbild mit Fotomodell), Messung des Kopf-Wand-Abstands/© A. Schuh, Schmerzhafte Schwellung des linken Ellenbogens/© C. Raschka, Hallux rigidus Röntgenbefund/© A. Schuh, Coxarthrose rechts nach Kellgren-Lawrence-Grad III/© Dres. Lieser und Kollegen, Radiologische Praxis Trier, Sonografie am Fußgelenk/© A. Schuh, Gelenkultraschall am Knie/© A. Schuh, MRT bei medialseitiger Gonarthrose mit Knorpelschaden/© Klinikum rechts der Isar, Ultraschall am Ellenbogen/© A. Schuh, Position des Schallkopfs ventral an der Schulter/© So wie es am Bild steht, Röntgenaufnahmen von Valgus- und Varusachsen/© Schubert I et al. / all rights reserved Springer Medizin Verlag GmbH, Achillessehnenruptur/© Z. Binder, Ärztin behandelt Fußballspielerin mit Kopfverletzung/© rocketclips / stock.adobe.com (Symbolbild mit Fotomodell), Patientin mit Gonarthrose/© (M) FluxFactory / Getty Images / iStock (Symbolbild mit Fotomodellen), Search Icon, Die Leitlinien für Ärztinnen und Ärzte, Facharzttraining Allgemeinmedizin, Hand hält Laborröhrchen/© Kunstzeug / stock.adobe.com (Symbolbild mit Fotomodell), Läufer umfasst sein Sprunggelenk/© PeopleImages / Getty Images / iStock (Symbolbild mit Fotomodell), Herpes Zoster am Rücken/© Mumemories / Getty Images / iStock (Symbolbild mit Fotomodell), EKG befunden mit System - EKG Essential/© Springer Medizin Verlag GmbH