Zum Inhalt
Orthopädie und Unfallchirurgie Orthopädische Sportmedizin

Orthopädische Sportmedizin

Kennen Sie alle Ursachen von Leistenschmerz bei Sportlern?

Nachdem er knapp 2 Stunden in der Halle auf Teppich Tennis gespielt hat, plagen einen 39-jährigen Freizeitsportler stärkste Schmerzen in der rechten Leiste. Blockaden des Iliosakralgelenks sind ihm bekannt. Aktuell befürchtet er jedoch einen Leistenbruch. Wie Sie in derartigen Fällen einer Sportlerleiste vorgehen, lesen Sie im Übersichtsbeitrag.

weiterlesen

Kasuistiken

Zwei Freunde auf Schlittenfahrt – plötzlich ist ein Mast im Weg

Ein neunjähriger Junge teilt sich einen Schlitten mit einem Freund. Beide ohne Schutzausrüstung rodeln sie einen steilen Hang hinunter, bis sie mit voller Wucht gegen einen Mast prallen. Der Neunjährige trägt eine Platzwunde an der Stirn und zunehmende Bauchschmerzen davon. Der Vater bringt ihn in die Notaufnahme. Eine gute Idee.

Hautfalte am Knie nach Sportunfall: Was war kaputt?

Ein 48-jähriger männlicher Patient stellt sich nach einem Sportunfall mit Kniegelenksbeteiligung vor. Er war beim Rollschuhhockey mit einem Gegner zusammengestoßen. Er beschreibt starke Schmerzen und ein deutliches Instabilitätsgefühl. Die Haut ist im Bereich des innenseitigen Kniegelenks deutlich eingezogen. Welche Bänder sind gerissen und wie ist es dazu gekommen?

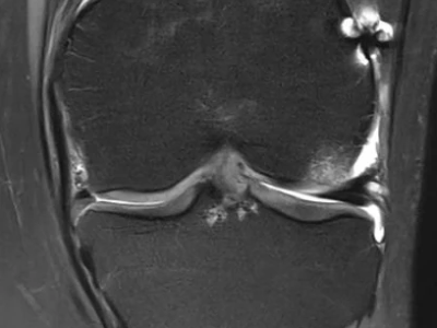
Woher kommt der "Schiefhals"?

Ein zwölfjähriger Junge wird in der Notaufnahme vorgestellt, nachdem er beim Trampolinspringen heftig auf seinem Gesäß aufgekommen ist. Seitdem stimme etwas mit seinem Hals nicht: Er hat Schmerzen, kann die HWS kaum bewegen und hält den Kopf zwangsweise auffällig schief. Daraufhin erfolgt die bildgebende Diagnostik mittels CT. Ihre Verdachtsdiagnose?

Weitere Artikel aus unseren Fachzeitschriften

„Think before you immobilize!“ – prähospitale Ruhigstellung bei pädiatrischen Patienten

Die prähospitale Ruhigstellung der Wirbelsäule bei Traumapatienten gilt seit Jahrzehnten als Standardmaßnahme im Rettungsdienst. Aufgrund der limitierten Evidenz und der potenziellen Komplikationen wird diese Maßnahme aktuell kritisch diskutiert.

Radiologische Diagnostik bei Wirbelsäulentraumata in besonderen Konstellationen

Wirbelsäulentraumata sind selten, aber mit erheblicher Morbidität und Mortalität verknüpft. Ihre Diagnostik stellt Radiologinnen und Radiologen vor besondere Herausforderungen, insbesondere in speziellen Patientengruppen und klinischen …

Frakturen der Halswirbelsäule

Zwei validierte klinische Entscheidungsregeln – die NEXUS-Kriterien und die Canadian C‑Spine Rule (CCR) – ermöglichen eine zuverlässige Einschätzung der Notwendigkeit zur Bildgebung bei Verdacht auf eine zervikale Wirbelsäulenverletzung.

Frakturen der Brust- und Lendenwirbelsäule

Traumatische Wirbelsäulenverletzungen betreffen Wirbelkörper, Wirbelbögen sowie Dorn- und Querfortsätze, können jedoch auch diskoligamentäre Schäden an Bändern, Bandscheiben oder Gelenken und angrenzenden Weichteilen umfassen. Eine zielgerichtete …

Kennen Sie alle Ursachen von Leistenschmerz bei Sportlern?

Nachdem er knapp 2 Stunden in der Halle auf Teppich Tennis gespielt hat, plagen einen 39-jährigen Freizeitsportler stärkste Schmerzen in der rechten Leiste. Blockaden des Iliosakralgelenks sind ihm bekannt. Aktuell befürchtet er jedoch einen Leistenbruch. Wie Sie in derartigen Fällen einer Sportlerleiste vorgehen, lesen Sie im Übersichtsbeitrag.

Was Sie zur Meniskustransplantation wissen sollten

Verliert ein junger Mensch den Meniskus, leidet oft die Lebensqualität erheblich. Eine bewährte Behandlungsmethode ist die Meniskusallografttransplantation (MAT). Diese Arbeit bietet Ihnen eine Übersicht, worauf Sie beim Anwenden dieser Methode und der Nachsorge achten sollten.

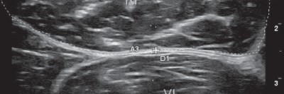
How to Sonografie: Schmerzen an Sprunggelenk und Fuß

Die Ursachen für Beschwerden des Sprunggelenks reichen von Instabilitäten, über Arthritiden bis hin zu Bandverletzungen oder Frakturen. Zur Abklärung kann die Arthrosonografie gute Dienste leisten. Anhand von Beispielen wird hier der richtige Umgang mit dem Schallkopf in den verschiedenen Schnittebenen erklärt.

Therapie von sportbedingten Knochenmarködemen und Osteonekrosen

Das wiederholte Überbeanspruchen der Gelenke kann bei Sportlern zu ernsthaften Problemen wie Knochenmarködemen oder Osteonekrosen führen. Ein stufenförmiges Behandlungskonzept beinhaltet verschiedene konservative und operative Therapieformen mit unterschiedlicher Prognose je nach Ausmaß und Lokalisation der Erkrankung.

Osteoporose: Eine Fraktur kommt selten allein

Die genauen Ursachen der typischen Frakturkaskade bei Osteoporose sind bislang ungeklärt. Eine Studie untersuchte nun, an welchem Punkt die Kaskade beginnt, mit welcher Fraktur sie startet und welche Frakturen am häufigsten auftreten.

Welche Diagnostik ist nach einem HWS-Trauma in der Notaufnahme indiziert?

Verletzungen der Halswirbelsäule (HWS) sind eine diagnostische Herausforderung, da sie, bezogen auf die Gesamtbevölkerung, zwar selten sind, jedoch keinesfalls übersehen werden dürfen. Der vorliegende Beitrag stellt das diagnostische Vorgehen in …

Nicht gefunden, wonach Sie suchten?

Probieren Sie es mit der Suchfunktion:

Arthropedia

Grundlagenwissen der Arthroskopie und Gelenkchirurgie erweitert durch Fallbeispiele, Videos und Abbildungen. Zur Fortbildung und Wissenserweiterung, verfasst und geprüft von Expertinnen und Experten der Gesellschaft für Arthroskopie und Gelenkchirurgie (AGA).


Jetzt entdecken!

Neu im Fachgebiet Orthopädie und Unfallchirurgie

Robuste antitumorale Aktivität bei tenosynovialem Riesenzelltumor

Die 2-Jahres-Daten der Phase-III-Studie MOTION bestätigen Vimseltinib als anhaltend wirksame Therapieoption für Patientinnen und Patienten mit tenosynovialen Riesenzelltumoren bei handhabbarem Risikoprofil.

Pincer-Impingement und Coxarthrose: Auf den CE-Winkel kommt es an!

Das sogenannte Beißzangen-Impingement des Hüftgelenks war in einer großen Kohortenstudie mit einem signifikant höheren Risiko für eine spätere Coxarthrose assoziiert – allerdings nur dann, wenn ein bestimmter Wert beim CE-Winkel überschritten wurde.

STAR-Approach: „Das Beste aus zwei Welten“

Mit dem STAR-Approach, einem modifizierten posterioren Zugang zum Hüftgelenk, erreicht man nicht nur optimalen Überblick, sondern auch die vollständige Schonung des M. piriformis und wichtiger Nerven.

Sprunggelenksfraktur: Die Fünf-Millimeter-Grenze als OP-Indikation

Ob bei Sprunggelenksfrakturen operiert wird, hängt von der Stabilität und Gelenkkongruenz ab. Entscheidend ist die Messung des medialen Gelenkspalts im Belastungsröntgen. Warum die Fünf-Millimeter-Regel hilft, unnötige Operationen zu vermeiden, stellte Dr. Helen Anwander auf dem Orthopädie und Unfallchirurgie Kongress vor.

Update Orthopädie und Unfallchirurgie

Bestellen Sie unseren Fach-Newsletter und bleiben Sie gut informiert.

Bildnachweise
Pincer-Konstellation, Hüftdysplasie und CAM-Impingement im Röntgenbild/© Fehske K / all rights reserved Springer Medizin Verlag GmbH, Sonographiequerschnitt über der Hälfte des M. quadriceps (Normalbefund)/© Gehlen M et al. / all rights reserved Springer Medizin Verlag GmbH, Mediale Meniskusallografttransplantation /© Winkler PW et al. doi.org/10.1007/s43205-025-00320-y unter CC-BY 4.0, Sehnentransplantate zur Rekonstruktion des vorderen Kreuzbands /© Fink C et al. doi.org/10.1007/s00113-025-01551-4 unter CC-BY 4.0, Knie-MRT zeigt überlastungsbedingte Knochenmarködeme/© Brockmeyer M et al. / all rights reserved Springer Medizin Verlag GmbH, Läufer umfasst sein Sprunggelenk/© PeopleImages / Getty Images / iStock (Symbolbild mit Fotomodell), Gruppe beim Rückentraining im Fitnesscenter/© Robert Kneschke / stock.adobe.com (Symbolbild mit Fotomodellen), Walking mit Kniebandage/© Suzi Media Production / Getty Images / iStock (Symbolbild mit Fotomodell), Vordere Kreuzbandruptur/© Springer-Verlag Berlin Heidelberg 2016, Operation zum Kniegelenkersatz/© Issara / stock.adobe.com, Ein kleines Kind hüpft auf einem Trampolin/© anzebizjan / stock.adobe.com (Symbolbild mit Fotomodellen), Anteriore Schulterluxation im Röntgenbild/© Spagna G et al. / all rights reserved Springer Medizin Verlag GmbH, Laufschuh binden/© ssoil322 / stock.adobe.com, Hämatom an der Stirn des 9-Jährigen/© Dr. med. Thomas Hoppen, Innenseitige Hauteinziehung bei eingeschlagenem Innenband/© Akalin ER et al. / all rights reserved Springer Medizin Verlag GmbH, Rekonstruktion der Halswirbelsäule im CT/© Prof. Klaus Schunk, Sonografie am Fußgelenk/© A. Schuh, Gebrochener Fuß im Gips/© Aleksandr Kirillov / stock.adobe.com (Symbolbild mit Fotomodell), Search Icon, Arthropedia, Frau unkenntlich fasst sich ans Knie/© Pornpak Khunatorn / Getty Images / iStock (Symbolbild mit Fotomodell), Ärzteteam führt Hüftoperation durch/© ATRPhoto / stock.adobe.com (Symbolbild mit Fotomodell)