Zum Inhalt
Gynäkologische Tumoren Ovarialkarzinom

Ovarialkarzinom

CME: Früherkennung von gynäkologischen Malignomen und Mammakarzinomen

Die Früherkennung gynäkologischer Malignome ist ein zentraler Bestandteil der Krebsprävention. Welche Untersuchungen je nach Altersgruppe empfohlen werden und wie Sie Risikopatientinnen gezielt beraten, erfahren Sie in diesem CME-Beitrag.

weiterlesen

Kasuistiken

Multiple Raumforderungen beider Ovarien – und ein auffälliger Hautbefund

Eine 21-Jährige Nulligravida stellt sich mit Unterbauchschmerzen vor. Der Befund: multiple rezidivierende Raumforderungen beider Ovarien sowie ein benigner Hauttumor an der Nase. Bereits mit 16 wurden beidseitig benigne Ovarialtumoren entfernt. Wie würden Sie diesen komplexen Fall diagnostisch und therapeutisch einordnen?

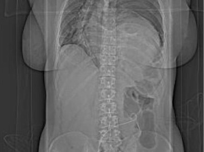
Schulterschmerz als gastroenterologisches Symptom

Eine 48-jährige Patientin mit metastasierendem Ovarialkarzinom stellt sich nach dem 5. Chemotherapiezyklus abends in der Notaufnahme vor, nachdem starke Schmerzen im mittleren Epigastrium mit Ausstrahlung in die linke Schulter sowie atemabhängige Thoraxschmerzen aufgetreten waren. Wie das CT zeigt ist die Interpretation der Symptome als „muskuloskeletale Schulterschmerzen und Gastritis“ falsch.

Eine chronische Prurigo mit unerwarteter Ursache

Eine 61-Jährige leidet seit einem Jahr an einem starkem Juckreiz mit Knoten auf der gesamten Haut. Die Frau wird mit der Diagnose einer chronischen nodulären Prurigo in eine klinische Studie aufgenommen. Im Rahmen der interdisziplinären Durchuntersuchung kommt jedoch die wahre Ursache der chronischen Prurigo ans Licht.

Weitere Artikel aus unseren Fachzeitschriften

Zukunft der Zertifizierung

Seit über 20 Jahren bilden zertifizierte Krebszentren das Rückgrat der qualitätsgesicherten onkologischen Versorgung in Deutschland. Ursprünglich mit Brustkrebszentren begonnen, hat sich das Zertifizierungssystem auf nahezu alle Tumorentitäten …

Innovative Ansätze zur risikobasierten Früherkennung und Prävention von hereditären Tumorerkrankungen

Hereditäre Tumorprädispositionssyndrome sind für etwa 10 % aller malignen Erkrankungen verantwortlich und eröffnen nicht nur Optionen für eine personalisierte Therapie, sondern v. a. Chancen für gezielte Prävention und risikoadaptierte …

Lohnt sich die Gelegenheits-Salpingektomie?

Es gibt Hinweise, dass die Eileiter an der Pathogenese von Eierstockkrebs beteiligt sein könnten und ihre Entfernung das Krebsrisiko reduziert. Im Zuge anderer Operationen wie Hysterektomie aber auch Endometrioseexzision oder Appendektomie bei Frauen mit abgeschlossener Familienplanung könnten die Eileiter präventiv entfernt werden. Klinisch als auch wirtschaftlich hat das Potenzial, wie eine Modellierungsanalyse zeigt.

Zentren für Familiären Brust- und Eierstockkrebs

Im Bereich der gynäkologischen Onkologie nehmen die Zentren für Familiären Brust- und Eierstockkrebs (FBREK-Zentren) eine besondere Stellung ein. Sie richten sich nicht nur an Patientinnen mit einer manifesten Tumorerkrankung, sondern auch an …

Personalisiertere Therapie mit Biomarkern

Die Integration molekularer Biomarker in die gynäkologische Onkologie hat das Paradigma der Behandlung auf Grundlage klinischer und pathologischer Parameter revolutioniert. Durch moderne Sequenzierungsverfahren gelingt es zunehmend, die Diversität der Tumorerkrankungen auf molekularer Ebene darzustellen und damit präzise Therapiekonzepte zu ermöglichen.

Stellenwert der Sentinel-Lymphknotenbiopsie

Die Sentinel-Lymphknotenbiopsie hat in den letzten Jahren große Relevanz bei verschiedenen gynäkologischen Tumoren gewonnen und wird inzwischen in Leitlinien zur Stadieneinteilung des Zervix-, Endometrium- und Vulvakarzinoms empfohlen. Im Gegensatz zur klassischen systematischen Lymphonodektomie lassen sich mit der Sentinel-Lymphknotenbiopsie vergleichbare Ergebnisse erzielen - bei geringerem chirurgischem Aufwand und weniger postoperativen Komplikationen.

Korneale Nebenwirkungen von Mirvetuximab-Soravtansin

Antikörper-Wirkstoff-Konjugate („antibody-drug conjugates“ [ADCs]) sind eine Klasse zielgerichteter Krebstherapien, die aus einem monoklonalen Antikörper, einem Verbindungsmolekül (Linker) und einem zytotoxischen Wirkstoff bestehen. Unerwünschte …

Ovarialkarzinom-Rezidiv: Wichtige Faktoren für die Therapieplanung

Die Begriffe „platinsensibel“ und „platinresistent“ sind bei Ovarialkarzinom weiterhin gebräuchlich, aber ihre Bedeutung geht mittlerweile weit über eine Intervalldefinition hinaus. Heute ist klar, dass eine Vielzahl von Faktoren den wahrscheinlichen Nutzen einer erneuten platinhaltigen Therapie beeinflussen. Außerdem ist die Chemotherapie in Zeiten zielgerichteter Ansätze nur die Therapiegrundlage.

Systemtherapie des Ovarialkarzinoms bei einem Rezidiv

Der vaskuläre endotheliale Wachstumsfaktor A („vascular endothelial growth factor-A“, VEGF-A) ist von großer Bedeutung bei der Tumorprogression des Ovarialkarzinoms und bei der Ätiologie des malignen Aszites. Daher liegt der Grundgedanke der …

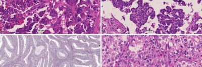
Pathologie des Ovarialkarzinoms

In der vorliegenden Übersicht wird eine Zusammenfassung der histopathologischen und molekularen Charakteristika der häufigsten Ovarialkarzinome gegeben. Der Fokus liegt dabei auf der praxisrelevanten histopathologischen, immunhistochemischen und …

Buchkapitel zum Thema

Hämatologische Neoplasien und solide Tumore

Die Auswertung der Verordnungen von Onkologika zeigt schon in der Übersicht einige bemerkenswerte Ergebnisse. Für GKV-Patienten wurden 2021 insgesamt 8,4 Mio. Verordnungen von Onkologika ausgestellt. Dies entspricht einem Anteil hinsichtlich aller …

Komplementärmedizinische Maßnahmen in der gynäkologischen Onkologie

Verfahren, die zunächst nicht Bestandteil der wissenschaftlichen Medizin sind, wurden schon immer, insbesondere bei schweren Erkrankungen, von Betroffenen genutzt. Diese haben in den letzten 10–20 Jahren weiter an Bedeutung zugenommen. Dabei …

Maligne Tumoren des Ovars

Hierzu zählen Borderline-Tumoren, Ovarialkarzinome, Keimstrangstromatumoren und Keimzelltumoren. 90 % sind epitheliale Tumoren. Die Therapie besteht bei Karzinomen in den frühen Stadien FIGO IA‒IIA in der Operation mit Hysterektomie, beidseitiger …

Metastatische Tumoren im Ovar

Metastatische Tumoren im Ovar treten bevorzugt nach Mamma-, Kolorektal- oder Magenkarzinom auf. Der Pathologie kommt mit der immunhistochemischen Differentialdiagnose besondere klinische Bedeutung zu. Die operative Therapie ist palliativ mit …

Nicht gefunden, wonach Sie suchten?

Probieren Sie es mit der Suchfunktion:

Neu im Fachgebiet Onkologie

Tiefere Diagnostik, mehr Therapietargets bei metastasiertem Brustkrebs

Eine umfangreichere molekulardiagnostische Aufarbeitung kann bei metastasiertem Brustkrebs mehr therapierelevante Angriffsstellen aufdecken als das Standardvorgehen, was sich in Behandlungsvorteile übersetzt. Dafür sprechen zumindest die ersten Ergebnisse der deutschen CATCH-Studie.     

Steigert Langzeit-Cannabiskonsum das Risiko für Hodentumoren?

Männer, die regelmäßig oder über viele Jahre Cannabis konsumieren, entwickeln häufiger testikuläre Keimzelltumoren – vor allem nicht-seminomatöse Formen. Darauf verweist eine Analyse von drei Fall-Kontroll- und zwei Beobachtungsstudien.

Akute Zystitis kann auf künftigen Krebs hinweisen

Die Diagnose einer akuten Zystitis im Alter ab 50 Jahren hat sich in einer Studie als nützlicher Prädiktor kommender urogenitaler Krebserkrankungen erwiesen. Besonders hoch ist das Risiko demnach in den ersten drei Monaten nach der Blasenentzündung.

Wo ist das größte Innovationspotenzial in der Strahlentherapie?

"Das größte Potenzial liegt in der Verbindung biologischer und technischer Innovationen", sagt Professor Emmanouil Fokas, stellvertretender Sprecher der AG Radiologische Onkologie in der DKG und benennt Beispiele. Über seine radiologischen Highlights auf dem Krebskongress 2026 und wie mehr Nachwuchs für sein Fach begeistert werden kann, erzählt er im Interview.

Mit freundlicher Unterstützung von:
  • Deutsche Krebsgesellschaft und Deutsche Krebshilfe

Update Onkologie

Bestellen Sie unseren Fach-Newsletter und bleiben Sie gut informiert.

Bildnachweise
Ein Abstrich vom Gebärmutterhals wird auf ein Objektivträger geschmiert/© Tatiana Buzmakova / Getty Images / iStock (Symbolbild mit Fotomodellen), MRT des Beckens: Uterus und Ovarialtumoren/© Hosten AK et al. / all rights reserved Springer Medizin Verlag GmbH, Ultraschall eines Adnextumors/© Markus Hoopmann, Mehrere Personen erhalten Chemotherapie/© FatCamera / Getty Images / iStock (Symbolbild mit Fotomodellen), Subtypen des epithelialen Ovarialkarzinoms/© Springer Medizin, Frau mit Kopftuch und Infusion/© FatCamera / Getty Images / iStock (Symbolbild mit Fotomodell), Gewinner des Galenus-von-Pergamon-Preises 2025 in der Kategorie Specialist Care/© Marc-Steffen Unger, Frau bereitet einen Smoothie zu/© Tijana Simic / Getty Images / iStock (Symbolbild mit Fotomodell), Subkutane Injektion/© myskin / stock.adobe.com (Symbolbild mit Fotomodel), Eine ältere Frau bekommt eine intravenöse Therapie/© peopleimages.com / stock.adobe.com, Ärztin betrachtet Mammografie-Befund/© Gorodenkoff / stock.adobe.com (Symbolbild mit Fotomodellen), Frau bei Mammografie-Untersuchung/© Myroslava / Stock.adobe.com (Symbolbild mit Fotomodellen), Frau setzt sich ein Pflaster auf den Schenkel/© svetikd / Getty Images / iStock (Symbolbild mit Fotomodell), Lungenmetastasendiagnostik/© Krämer S. et al. / all rights reserved Springer Medizin Verlag GmbH, Verlagerung von Oberbauchorganen in den Thorax/© Koop H (Mit freundl. Genehmigung der Radiologischen Abteilung), Multiple Papeln auf der Hand bei chronischer Prurigo/© E. Steffens et al. doi.org/10.1007/s00105-023-05131-8 unter CC-BY 4.0, Hysterektomie/© nkeskin / Getty Images / iStock, Search Icon, Person setzt DNS-Probe in Maschine ein/© Vit Kovalcik / stock.adobe.com, Mann raucht Joint/© Daniel Sierralta / Westend61 / stock.adobe.com (Symbolbild mit Fotomodell), Blut in Toilette/© stylefoto24 / stock.adobe.com