Zum Inhalt

Welche Verdachtsdiagnose stellen Sie?

Zwei Freunde auf Schlittenfahrt - plötzlich ist ein Mast im Weg

Erschienen in:

Auszug

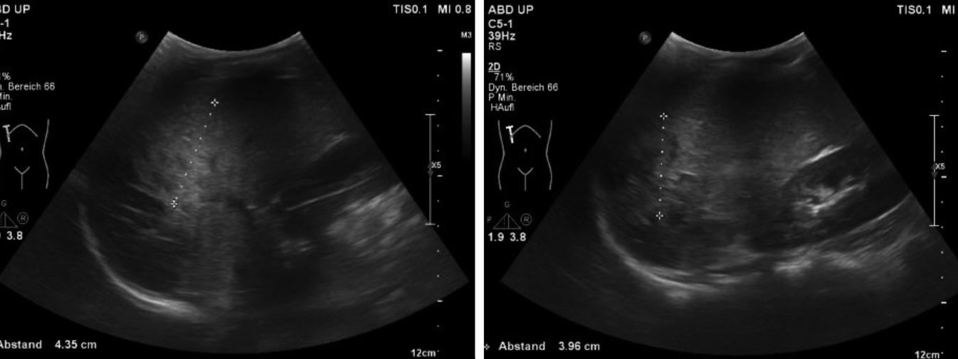
Ein neunjähriger Junge wurde nach einem Schlittenunfall notfallmäßig in der Kinderklinik vorgestellt. Sein Vater trug ihn auf dem Arm in die Notaufnahme, da der Rettungsdienst nicht verständigt worden war. Der Junge war zusammen mit einem Freund, beide ohne Helm oder Schutzkleidung, eine steile Abfahrt hinuntergefahren. Während der Junge auf dem Schlitten lag, saß sein Freund auf ihm. Die beiden prallten mit hoher Geschwindigkeit gegen einen Mast. Seitdem hatte der Junge zunehmende Bauchschmerzen. Sein Hautkolorit war blass, er atmete angestrengt und hatte einen angespannten Bauch. Seine Gelenke waren frei beweglich, aber er wirkte schmerzgeplagt und war kaltschweißig. Der Junge war allseits orientiert. Die Herzfrequenz betrug 160 Schläge pro Minute, der Blutdruck lag bei 83/65 mmHg, und die pulsoxymetrisch gemessene Sauerstoffsättigung betrug 100 %. Äußerlich waren eine Platzwunde an der Stirn (Abb. 1) und eine kleine thorakale Prellmarke sichtbar. Umgehend erfolgten eine Sonografie und danach eine Computertomografie des Abdomens (Abb. 2 und 3).
Abb. 1
: Hämatom an der Stirn
© Dr. med. Thomas Hoppen
Bild vergrößern
Abb. 2
: Sonografie des Abdomens
© Dr. med. Thomas Hoppen
Bild vergrößern
Abb. 3
: Computertomografie des Abdomens
© GKM
Bild vergrößern
Titel
Welche Verdachtsdiagnose stellen Sie?
Zwei Freunde auf Schlittenfahrt - plötzlich ist ein Mast im Weg
Verfasst von
Dr. med. Thomas Hoppen
Publikationsdatum
11.12.2024
Dieser Inhalt ist nur sichtbar, wenn du eingeloggt bist und die entsprechende Berechtigung hast.

Die CME App von Springer Medizin

CME-Punkte sammeln leicht gemacht – Fortbildung, wann und wo Sie wollen

Die CME-App bietet einen schnellen Zugang zu über 500 zertifizierten medizinischen Fortbildungen aus Springer-Publikationen und deckt über 35 Fachbereiche ab. Sie gibt einen perfekten Überblick über das Kursangebot, ermöglicht einfaches Vormerken, Teilnehmen und CME-Punkte-Sammeln.
 

Laden im App Store        Laden bei Google Play

Mehr Infos
Bildnachweise
Hämatom an der Stirn des 9-Jährigen/© Dr. med. Thomas Hoppen, CME App