Zum Inhalt

Drohende ösophago-arterielle Fistel nach Batterieingestion – weltweit erste präventive Operation bei einem Kleinkind

Erschienen in:
Die englische Version dieses Beitrags ist unter https://doi.org/10.1007/s00101-024-01487-1 zu finden.
QR-Code scannen & Beitrag online lesen

Hinweis des Verlags

Der Verlag bleibt in Hinblick auf geografische Zuordnungen und Gebietsbezeichnungen in veröffentlichten Karten und Institutsadressen neutral.

Anamnese

Ein 3‑jähriges Kleinkind wurde in einer Notfallambulanz vorgestellt, weil es kurz zuvor eine Knopfzellbatterie verschluckt hatte. Das Kind habe danach eine Zeit lang gehustet und war dann beschwerdefrei. Bei einer HNO-ärztlichen Spiegelung des Larynx konnte kein Fremdkörper dargestellt werden. Das Kleinkind wurde etwa 3 h nach der Ingestion in unser Kinderkrankenhaus verlegt.

Erstmaßnahmen

Das Mädchen präsentierte sich vollständig beschwerdefrei. Aufgrund der beobachtet verschluckten Knopfzellbatterie wurden sofort 10 ml Sucralfat-Suspension, 10 %ig, p.o. verabreicht und ein Röntgenbild mit Darstellung der Knopfzellbatterie im oberen Ösophagussphinkter angefertigt. Es erfolgte das sofortige Bergen der Knopfzelle mit einer Magill-Zange unter Darstellung mit einem Videolaryngoskop in tiefer Sedierung [1]. Hierbei zeigten sich ausgeprägte Verätzungen des Ösophagus.

Verlauf

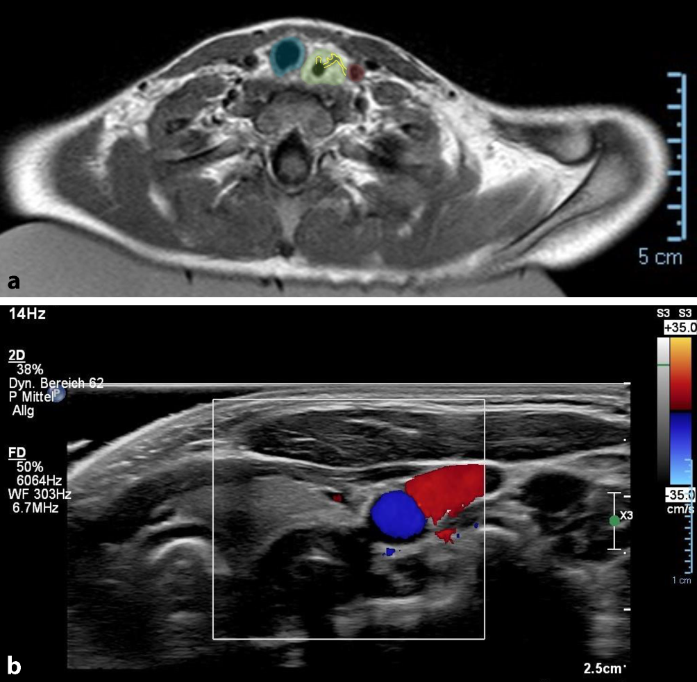
Dem Standard in unserem Kinderkrankenhaus entsprechend wurde eine MRT-Untersuchung nach 2 Tagen durchgeführt, um die typische Panösophagitis sowie mögliche, sich darin ausbildende Fistelgänge, darzustellen. Hierbei wurde ein entzündlich-ödematös aufgetriebener Ösophagus mit gangbildenden Ulzerationen bis zur Wand der Arteria carotis communis (ACC) links gezeigt. Sonographisch konnte keine eindeutige Barriere mehr zwischen diesem Gang und der ACC dargestellt werden (Abb. 1).
Abb. 1
a MRT präoperativ. Trachea (blau), ödematöser Ösophagus (grün) mit 2 gangbildenden Ulzerationen (gelb), von denen einer bis in die Nähe der ACC (rot) reicht. b Farbkodierte Duplexsonographie: Ösophaguswand ohne erkennbare trennende Strukturen zur ACC (Farbduplex, blau)
Bild vergrößern
Wir haben sofort eine interdisziplinäre Fallbesprechung einberufen (Kinderanästhesie, Kinderchirurgie, Kinderradiologie, Pädiatrische Intensivmedizin, Gefäßchirurgie und plastische Chirurgie). Weil bei einem akuten Anschluss der drohenden Fistel an die ACC mit einer hohen Mortalität zu rechnen war, wurde im interdisziplinären Konsens mit den Eltern die Entscheidung zu einer sofortigen operativen Exploration getroffen.

Operation

Es erfolgte eine Querinzision zervikal links paramedian auf Höhe der vorab sonographisch markierten Ulzeration. Unter endoskopischer Kontrolle wurde der Ösophagus im Bereich des Ulkus freigelegt, die Muscularis und die Serosa waren intakt. Die anliegende ACC wurde vom Ösophagus isoliert und eine Schutzbarriere mit einem bovinen Perikard-Patch und einem Kollagenvlies eingebracht sowie endoskopisch eine transnasal positionierte Magensonde gelegt.

Postoperativer Verlauf, Entlassung und Nachsorge

Die Extubation und Entfernung der Magensonde erfolgten bei klinisch und laborchemischem Normbefund bereits nach 12 h. In einem erneuten MRT am 2. postoperativen Tag war das Ödem des Ösophagus rückläufig und die operative eingebrachte Barriere zur ACC deutlich darstellbar (Abb. 2). Das Kleinkind konnte in uneingeschränktem Allgemeinzustand und nach vollständigem Kostaufbau am 3. postoperativen Tag nach Hause entlassen werden. Bei der geplanten Ösophagoskopie nach 2 Wochen waren lediglich 2 kleine narbige Areale zu sehen, welche sicher nicht obstruierend abheilen werden.
Abb. 2
Postoperatives MRT. Trachea (blau), Ösophagus (grün) deutlich weniger wandverdickt, zwischen Ösophagus und ACC (rot) das Kollagenflies (gelb)
Bild vergrößern

Diskussion

In allen Industrienationen wird eine zunehmende Inzidenz schwerer Schädigungen durch die Ingestion von Knopfzellbatterien beobachtet, was sowohl durch ihre zunehmende Verbreitung als auch durch deren größere Energiekapazität erklärbar ist [4]. In der Speiseröhre löst der Stromfluss eine elektrische Hydrolyse aus, die schon nach kurzer Zeit zu schweren Kolliquationsnekrosen führt [8]. Zu den möglichen Komplikationen gehören Perforationen, tracheoösophageale Fisteln und Stimmbandparesen. Todesfälle werden v. a. durch Fisteln in Arterien berichtet [5]. Auf der ständig aktualisierten Internetseite des National Poison Control Center der USA werden aktuell 280 Fälle mit schwerwiegenden Komplikationen und 71 Todesfälle berichtet (Stand September 2024 [5, 6]).
Erste wichtige Sofortmaßnahme ist die sofortige Gabe von Sucralfat1 oder Honig2 [3], um die Folgen der Verätzung zu reduzieren. In verschiedenen Übersichtarbeiten [2, 3] wird diskutiert, „bei Verletzungen nahe der Aorta“ wiederholte MRT-Untersuchungen durchzuführen. Als Konsequenz wird das Hinzuziehen von Herz- und Thoraxchirurgie sowie eine erhöhte Bereitschaft zur einer Notfalloperation benannt. Ein klarer Rat zu einer präventiven Operation, wie in unserem Fall durchgeführt, ist in der bisherigen Literatur nicht zu finden. Weil aber ein akuter Durchbruch der gangbildenden Ulzerationen in das Gefäßsystem auch bei Ballonkatheterpositionierung im Ösophagus, transluminalen Gefäßkatheterverfahren und selbst bei sofort durchgeführter operativer Freilegung meistens tödlich verläuft [5, 7], halten wir unser Vorgehen für die einzig richtige Entscheidung in einem vergleichbaren Fall [9].

Fazit für die Praxis

Überall, wo Kinder innerhalb der ersten 12 h nach einer Knopfzellingestion vorstellig werden, sollte unmittelbar Sucralfat oder Honig verabreicht werden. Zudem muss eine schnellstmögliche Bergung erfolgen, die aus dem oberen Ösophagus meist mithilfe eines Laryngoskops und einer geeigneten Zange gelingt. Bei sichtbaren Verätzungen des Ösophagus empfehlen wir eine MRT-Bildgebung in den Folgetagen und eine präventive operative Isolierung des entzündlichen Prozesses bei ausgeprägten Ulzera, die bedrohlich nah an Blutgefäße reichen. Zur Nachsorge sollten die Kinder daher in eine Einrichtung verlegt werden, in der die empfohlene Vorgehensweise durchgeführt werden kann. Wir empfehlen die aktualisierte Version der S2k-Leitlinie zur Fremdkörperaspiration und Ingestion bei Kindern, die zeitnah auf der AMWF-Homepage veröffentlicht werden wird.

Einhaltung ethischer Richtlinien

Interessenkonflikt

J. Lohman, T. Klein, M. Stenzel, M. Aleksic, P. Fuchs, T. Boemers und J. Kaufmann geben an, dass kein Interessenkonflikt besteht.
Für diesen Beitrag wurden von den Autor/-innen keine Studien an Menschen oder Tieren durchgeführt. Für die aufgeführten Studien gelten die jeweils dort angegebenen ethischen Richtlinien. Für Bildmaterial oder anderweitige Angaben innerhalb des Manuskripts, über die Patient/-innen zu identifizieren sind, liegt von ihnen und/oder ihren gesetzlichen Vertretern/Vertreterinnen eine schriftliche Einwilligung vor.
Open Access Dieser Artikel wird unter der Creative Commons Namensnennung 4.0 International Lizenz veröffentlicht, welche die Nutzung, Vervielfältigung, Bearbeitung, Verbreitung und Wiedergabe in jeglichem Medium und Format erlaubt, sofern Sie den/die ursprünglichen Autor(en) und die Quelle ordnungsgemäß nennen, einen Link zur Creative Commons Lizenz beifügen und angeben, ob Änderungen vorgenommen wurden.
Die in diesem Artikel enthaltenen Bilder und sonstiges Drittmaterial unterliegen ebenfalls der genannten Creative Commons Lizenz, sofern sich aus der Abbildungslegende nichts anderes ergibt. Sofern das betreffende Material nicht unter der genannten Creative Commons Lizenz steht und die betreffende Handlung nicht nach gesetzlichen Vorschriften erlaubt ist, ist für die oben aufgeführten Weiterverwendungen des Materials die Einwilligung des jeweiligen Rechteinhabers einzuholen.
Weitere Details zur Lizenz entnehmen Sie bitte der Lizenzinformation auf http://creativecommons.org/licenses/by/4.0/deed.de.

Hinweis des Verlags

Der Verlag bleibt in Hinblick auf geografische Zuordnungen und Gebietsbezeichnungen in veröffentlichten Karten und Institutsadressen neutral.
download
DOWNLOAD
print
DRUCKEN
Titel
Drohende ösophago-arterielle Fistel nach Batterieingestion – weltweit erste präventive Operation bei einem Kleinkind
Verfasst von
Judith Lohmann
Dr. med. Tobias Klein
Dr. med. Martin Stenzel
Prof. Dr. med. Marko Aleksic
Prof. Dr. med. Paul Fuchs
Prof. Dr. med. Dr. hc. Thomas Boemers
Prof. Dr. med. Jost Kaufmann
Publikationsdatum
08.01.2025
1
Sucralfat-Suspension mit 1 g/10 ml, alle 10 min 10 ml trinken bis zu 3‑mal.
 
2
10 ml Honig alle 10 min bis zu 6 Dosen (nicht bei Säuglingen).
 
1.
Zurück zum Zitat Kaufmann J, Grozeva B, Laschat M et al (2021) Rapid and safe removal of foreign bodies in the upper esophagus in children using an optimized Miller size 3 video laryngoscope blade. Paediatr Anaesth 31:587–593CrossRefPubMed
2.
Zurück zum Zitat Kramer RE, Lerner DG, Lin T et al (2015) Management of ingested foreign bodies in children: a clinical report of the NASPGHAN Endoscopy Committee. J Pediatr Gastroenterol Nutr 60:562–574CrossRefPubMed
3.
Zurück zum Zitat Lerner DG, Brumbaugh D, Lightdale JR et al (2020) Mitigating Risks of Swallowed Button Batteries: New Strategies Before and After Removal. J Pediatr Gastroenterol Nutr 70:542–546CrossRefPubMed
4.
Zurück zum Zitat Litovitz T, Whitaker N, Clark L et al (2010) Emerging battery-ingestion hazard: clinical implications. Pediatrics 125:1168–1177CrossRefPubMed
5.
Zurück zum Zitat National_Capitol_Poison_Center (2024) Fatal Button Battery Ingestions: 71 Reported Cases. https://www.poison.org/battery/fatalcases. Zugegriffen: 4. Sept. 2024
6.
Zurück zum Zitat National_Capitol_Poison_Center (2024) Nonfatal Button Battery Ingestions with Severe Esophageal or Airway Injury: 280 Cases. https://www.poison.org/battery/severecases. Zugegriffen: 4. Sept. 2024
7.
Zurück zum Zitat Pae SJ, Habte SH, Mccloskey JJ et al (2012) Battery ingestion resulting in an aortoesophageal fistula. Anesthesiology 117:1354CrossRefPubMed
8.
Zurück zum Zitat Shaffer AD, Jacobs IN, Derkay CS et al (2021) Management and Outcomes of Button Batteries in the Aerodigestive Tract: A Multi-institutional Study. Laryngoscope 131:E298–E306CrossRefPubMed
9.
Zurück zum Zitat Kaufmann J et al (2024) S2k-LL 001/031 Fremdkörperaspiration und Ingestion im Kindesalter. https://www.awmf.org/

Neu im Fachgebiet AINS

Mit den Schmerzen steigen die Troponinspiegel nach Hüft-Op.

Postoperative Schmerzen nach Hüftfraktur könnten Auswirkungen auf das Herz haben, wie die Subgruppenanalyse einer randomisierten Studie nahelegt. Bei ausgeprägten Schmerzen stiegen die Troponinspiegel signifikant an – ein Kausalzusammenhang mit einer myokardialen Schädigung ist damit allerdings noch nicht belegt.

7% durch chronische Schmerzen stark beeinträchtigt

Laut einer Querschnittstudie leiden rund 7% der in Deutschland lebenden über 16-Jährigen unter chronischen Schmerzen, die ihren Alltag stark beeinträchtigen. Außer biologischen scheinen auch psychische und soziale Faktoren mit sogenanntem High-Impact Chronic Pain assoziiert zu sein.

Hypothermie bei Sepsis – ein Warnsignal

  • 04.02.2026
  • Sepsis
  • Nachrichten

Im Fall einer Sepsis ist eine Körpertemperatur unter 36 °C bei älteren Menschen ein Warnsignal. In einer Studie aus Dänemark war bei Hypothermie, nicht aber bei Fieber das Mortalitätsrisiko deutlich erhöht.

TWIST-Score optimiert Versorgung beim akuten Skrotum

Die Einführung des TWIST-Scores (Testicular Workup for Ischemia and Suspected Torsion) kann einer türkischen Studie zufolge dazu beitragen, unnötige operative Explorationen zu vermeiden. Es konnte eine hohe diagnostische Genauigkeit bei der Erkennung von Hodentorsionen erreicht werden.

e.Med Anästhesiologie - Alles drin für Ihr Fortbildungsziel ​ (Link öffnet in neuem Fenster)

Mit unserem e.Med Abo Anästhesiologie haben Sie jederzeit Zugriff auf aktuelles, ​praxisnahes Fachwissen – kompakt und einfach verfügbar. Jetzt CME-Punkte bequem online sammeln.

Update AINS

Bestellen Sie unseren Fach-Newsletter und bleiben Sie gut informiert.

Bildnachweise
Drohende ösophago-arterielle Fistel nach Batterieingestion/© Lohmann J et al. doi.org/10.1007/s00101-024-01477-3 unter CC-BY 4.0, Troponintest/© MdBabul/stock.adobe.com (Symbolbild mit Fotomodell), Verschiedene Tabletten/© zozzzzo / Getty Images / iStock, Ohrthermometer/© fresnel6 / Stock.adobe.com (Symbolbild mit Fotomodellen), e.Med Anästhesiologie