Zum Inhalt
Orthopädie und Unfallchirurgie Pädiatrische Orthopädie und Unfallchirurgie

Pädiatrische Orthopädie und Unfallchirurgie

Wenn der Kopf schief ist – Lagerungsplagiozephalus

Lagerungsbedingte Schädelasymmetrien bei Neugeborenen treten in den vergangenen Jahren immer häufiger auf. Hier gilt es zum einen die richtige Diagnose zu stellen und zum anderen den Eltern die Ängste zu nehmen. Diese Risikofaktoren, Entstehungsmechanismen, Präventions- und Behandlungsoptionen sind wichtig zu kennen. 

weiterlesen

Kasuistiken

CME: acht Fallbeispiele für die Fraktursonographie bei Kindern 

Die Fraktursonographie ist ein seit langer Zeit etabliertes Verfahren in der Frakturbehandlung und wird bei Kindern seitens der Strahlenschutzkommission als Standarduntersuchung empfohlen. Anhand von acht Fallbeispielen wird im Beitrag die leitliniengerechte Diagnostik von Frakturen im Kindesalter aufgezeigt.

Übersehene Verletzungen in der Kindertraumatologie

Bei mehrfach verletzten Kindern werden trotz moderner Bildgebung häufig Verletzungen übersehen. Somit bleiben sie ein Risiko in der Notfallversorgung. Zwei Fallbeispiele zeigen, wie standardisierte Abläufe, festgelegte Zuständigkeiten und Nachuntersuchungen dabei helfen können, solche Verletzungen frühzeitig zu erkennen. 

Zwei Freunde auf Schlittenfahrt – plötzlich ist ein Mast im Weg

Ein neunjähriger Junge teilt sich einen Schlitten mit einem Freund. Beide ohne Schutzausrüstung rodeln sie einen steilen Hang hinunter, bis sie mit voller Wucht gegen einen Mast prallen. Der Neunjährige trägt eine Platzwunde an der Stirn und zunehmende Bauchschmerzen davon. Der Vater bringt ihn in die Notaufnahme. Eine gute Idee.

Weitere Artikel aus unseren Fachzeitschriften

Coxitis fugax richtig erkennen

Die Coxitis fugax, auch transiente Synovitis des Hüftgelenkes, ist die häufigste Ursache akuter Hüftschmerzen bei Kindern im Alter von drei bis zehn Jahren. Sie verläuft meist selbstlimitierend innerhalb weniger Tage, kann aber diagnostisch zur …

Komplikationen nach dynamischer In-situ-Fixierung des Femurkopfes bei Patienten mit Epiphyseolysis capitis femoris

Epiphyseolysis capitis femoris (ECF) ist eine nichttraumatische Epiphysenlösung in der Schenkelhalsepiphysenfuge mit Dislokation des Femurkopfes, in der Regel nach medial und dorsal während des pubertären Wachstumsschubes.

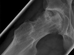
Kleiner Junge humpelt seit Monaten

Ein fünfjähriger Junge bewegt seit Monaten sein rechtes Bein wiederkehrend auffällig – ohne Schmerzen, Verletzung oder erkennbare Entzündung. Eine durchgeführte Sonografie gibt letztlich Anlass für eine sofortige radiologische Abklärung. Was steckt hinter dem ungewöhnlichen Gangbild? 

Wenn der Kopf schief ist – Lagerungsplagiozephalus

Lagerungsbedingte Schädelasymmetrien bei Neugeborenen treten in den vergangenen Jahren immer häufiger auf. Hier gilt es zum einen die richtige Diagnose zu stellen und zum anderen den Eltern die Ängste zu nehmen. Diese Risikofaktoren, Entstehungsmechanismen, Präventions- und Behandlungsoptionen sind wichtig zu kennen. 

Vorgehen bei Hüftkopfnekrosen in der pädiatrischen Unfallchirurgie

Die posttraumatische Hüftkopfnekrose stellt die schwerwiegendste Komplikation nach einer Schenkelhalsfraktur dar. Bei Kindern und Jugendlichen steht der Erhalt des Hüftgelenks im Vordergrund. Eine allgemeingültige Empfehlung fehlt, verschiedene Maßnahmen stehen zur Debatte. Erlaubt es die Anatomie, bietet die Endoprothese eine geeignete Therapieoption.

Kinderorthopädie bei angeborenen Gefäßanomalien

Gefäßanomalien führen häufig zu orthopädischen Komplikationen bei Kindern, besonders an den unteren Extremitäten, wo Beinlängendifferenzen, Fußdeformitäten und Gelenkschäden auftreten. Die regelmäßige klinische Untersuchung ist essenziell, um …

Operative Behandlung des Torticollis muscularis congenitus

Vorgestellt wird ein Verfahren zur operativen Korrektur des Torticollis muscularis congenitus. Dabei wird eine triterminale Tenotomie des M. sternocleidomastoideus vorgenommen. Noch im Operationssaal wird eine Spiegel-Orthese zur Nachbehandlung angelegt. Es werden die Ergebnisse von 13 Eingriffen präsentiert.

Das schmerzhafte kindliche Kniegelenk

Knieschmerzen sind bei Kindern und Jugendlichen häufige muskuloskelettale Beschwerden, allerdings gestaltet sich die Anamneseerhebung und Diagnostik oftmals schwierig – gerade bei kleinen Kindern. Eine Übersicht über die häufigsten Ursachen, die klinische Diagnostik und den Stellenwert bildgebender Verfahren.

Frakturen rund um das Knie im Wachstumsalter

Epiphysiolysen und Epiphysenfrakturen von distalem Femur und proximaler Tibia sind eine äußerst seltene Entität, müssen aufgrund ihrer weitreichenden Konsequenzen mit einhergehenden Funktionseinschränkungen des Kniegelenks aber obligat erkannt und …

Buchkapitel zum Thema

Akute und chronische Schäden durch Sportklettern

Das Unfallrisiko in den einzelnen Disziplinen des Alpinsports variiert sehr in Abhängigkeit von objektiven Gefahren, Sicherungsmöglichkeiten und der persönlichen Risikobereitschaft. Beim reinen Sportklettern sind die objektiven Gefahren allerdings …

Nicht gefunden, wonach Sie suchten?

Probieren Sie es mit der Suchfunktion:

Arthropedia

Grundlagenwissen der Arthroskopie und Gelenkchirurgie erweitert durch Fallbeispiele, Videos und Abbildungen. Zur Fortbildung und Wissenserweiterung, verfasst und geprüft von Expertinnen und Experten der Gesellschaft für Arthroskopie und Gelenkchirurgie (AGA).


Jetzt entdecken!

Neu im Fachgebiet Orthopädie und Unfallchirurgie

Robuste antitumorale Aktivität bei tenosynovialem Riesenzelltumor

Die 2-Jahres-Daten der Phase-III-Studie MOTION bestätigen Vimseltinib als anhaltend wirksame Therapieoption für Patientinnen und Patienten mit tenosynovialen Riesenzelltumoren bei handhabbarem Risikoprofil.

Pincer-Impingement und Coxarthrose: Auf den CE-Winkel kommt es an!

Das sogenannte Beißzangen-Impingement des Hüftgelenks war in einer großen Kohortenstudie mit einem signifikant höheren Risiko für eine spätere Coxarthrose assoziiert – allerdings nur dann, wenn ein bestimmter Wert beim CE-Winkel überschritten wurde.

STAR-Approach: „Das Beste aus zwei Welten“

Mit dem STAR-Approach, einem modifizierten posterioren Zugang zum Hüftgelenk, erreicht man nicht nur optimalen Überblick, sondern auch die vollständige Schonung des M. piriformis und wichtiger Nerven.

Sprunggelenksfraktur: Die Fünf-Millimeter-Grenze als OP-Indikation

Ob bei Sprunggelenksfrakturen operiert wird, hängt von der Stabilität und Gelenkkongruenz ab. Entscheidend ist die Messung des medialen Gelenkspalts im Belastungsröntgen. Warum die Fünf-Millimeter-Regel hilft, unnötige Operationen zu vermeiden, stellte Dr. Helen Anwander auf dem Orthopädie und Unfallchirurgie Kongress vor.

Update Orthopädie und Unfallchirurgie

Bestellen Sie unseren Fach-Newsletter und bleiben Sie gut informiert.

Bildnachweise
Lagerungsplagiozephalus/© Aus Linz et al. Positional Skull Deformities Etiology, Prevention, Diagnosis, andTreatment, mit freundlicher Genehmigung © Deutscher Arzte-Verlag GmbH, Röntgen eines Ellenbogens mit Humerusfraktur/© Sampaio E et al. / all rights reserved Springer Medizin Verlag GmbH, Hüftkopfnekrose eines 13-Jährigen /© Loose O et al. / all rights reserved Springer Medizin Verlag GmbH, Röntgen einer Beckenfraktur und Abdomen-CT bei Jugendlichem/© Karvouniaris N. et al. / all rights reserved Springer Medizin Verlag GmbH, Ausgeprägte fluktuierende okzipitale Schwellung am Kopf eines Babys nach Geburtstrauma/© Härtel C et al. / all rights reserved Springer Medizin Verlag GmbH, Rückenuntersuchung bei kleinem Mädchen/© Viacheslav Lakobchuk / stock.adobe.com (Symbolbild mit Fotomodellen), Schreiendes Baby/© AzmanL / Getty Images / iStock (Symbolbild mit Fotomodell), Gebrochener Arm eines Kindes erhält Gips/© Rafael Ben-Ari / stock.adobe.com (Symbolbild mit Fotomodellen), Kind mit Unterarmfraktur/© DragonImages / stock.adobe.com (Symbolbild mit Fotomodellen), Kind mit Gipsarm/© nycshooter / Getty Images / iStock (Symbolbild mit Fotomodell), Antikörper - Molekül /© luismmolina / Getty Images / iStock (Symbolbild), Adoleszente idiopathische Skoliose/© Springer Medizin Verlag GmbH, Hämatom an der Stirn des 9-Jährigen/© Dr. med. Thomas Hoppen, Morbus Perthes rechts bei 5-jährigem Jungen/© Gemeinschaftsklinikum Mittelrhein, Operative Behandlung des Torticollis muscularis congenitus/© Ploeger M et al. / all rights reserved Springer Medizin Verlag GmbH, Morbus Osgood-Schlatter/© Springer Medizin, Search Icon, Arthropedia, Frau unkenntlich fasst sich ans Knie/© Pornpak Khunatorn / Getty Images / iStock (Symbolbild mit Fotomodell), Ärzteteam führt Hüftoperation durch/© ATRPhoto / stock.adobe.com (Symbolbild mit Fotomodell), Gebrochener Fuß im Gips/© Aleksandr Kirillov / stock.adobe.com (Symbolbild mit Fotomodell)