Zum Inhalt

Parkinsonian phenotype in Late-onset pantothenate kinase-associated neurodegeneration: a case report

  • Open Access
  • 10.10.2025
  • Correspondence
Erschienen in:
download
DOWNLOAD
print
DRUCKEN
insite
SUCHEN
Supplementary Material 2

Supplementary Information

The online version contains supplementary material available at https://doi.org/10.1007/s13760-025-02906-9.

Publisher’s note

Springer Nature remains neutral with regard to jurisdictional claims in published maps and institutional affiliations.

Introduction

Pantothenate kinase-associated neurodegeneration (PKAN) is an autosomal-recessive disorder caused by defects in the pantothenate kinase 2 protein, encoded by the PANK2 gene. It’s the most common form of neurodegeneration with brain iron accumulation (NBIA) [1].
Traditionally, the disease is divided into two types of presentation: The classic PKAN, characterized by childhood onset of dystonia, gait abnormalities, and clumsiness due to lower extremity dystonia, along with mild global developmental delay, pigmentary retinopathy and dyspraxia. The atypical PKAN refers to a later-onset form, usually encountered in the second and third decade of life, and features a more insidious progression with predominant parkinsonian symptoms, chorea, tremor, neuropsychiatric and speech disorders [1].
We here report a very late-onset, genetically confirmed, case of PKAN starting at 58 years of age presented as a Parkinsonian gait phenotype without cognitive decline, dystonia or neuropsychiatric features contributing to the expansion of its known clinical spectrum.

Case report

A 69-year-old woman presented with a progressive gait impairment beginning at 58 years of age with a walk with small steps, festination, falls and writing and speech difficulties. There were no neuropsychiatric features, no cognitive decline (Montreal Cognitive Assessment version 8.1 of 29/30), no dystonia and no relevant family history. After 2–3 years of initial worsening, the symptomatology was reported as stable by the patient. The complaints were independent of any infectious context or pyrexia. At initial presentation, the patient had been treated with levodopa-benserazide (1100 mg/day of levodopa) and pramipexole (1.05 mg/day) during the past 12 months by another center but with any significant benefit, leading to discontinuation of both medications.
The neurological examination revealed mild hypophonia, dysarthria, and a Parkinsonian gait characterised by a forward-leaning posture, small steps, mild festination, gait rigidity, and extrapyramidal rigidity in all four limbs. There was no chorea, dystonia, tremor or marked bradykinesia, but we noted an impairment of alternating rapid hand movements with interruptions, hesitations and perseveration (video attached).
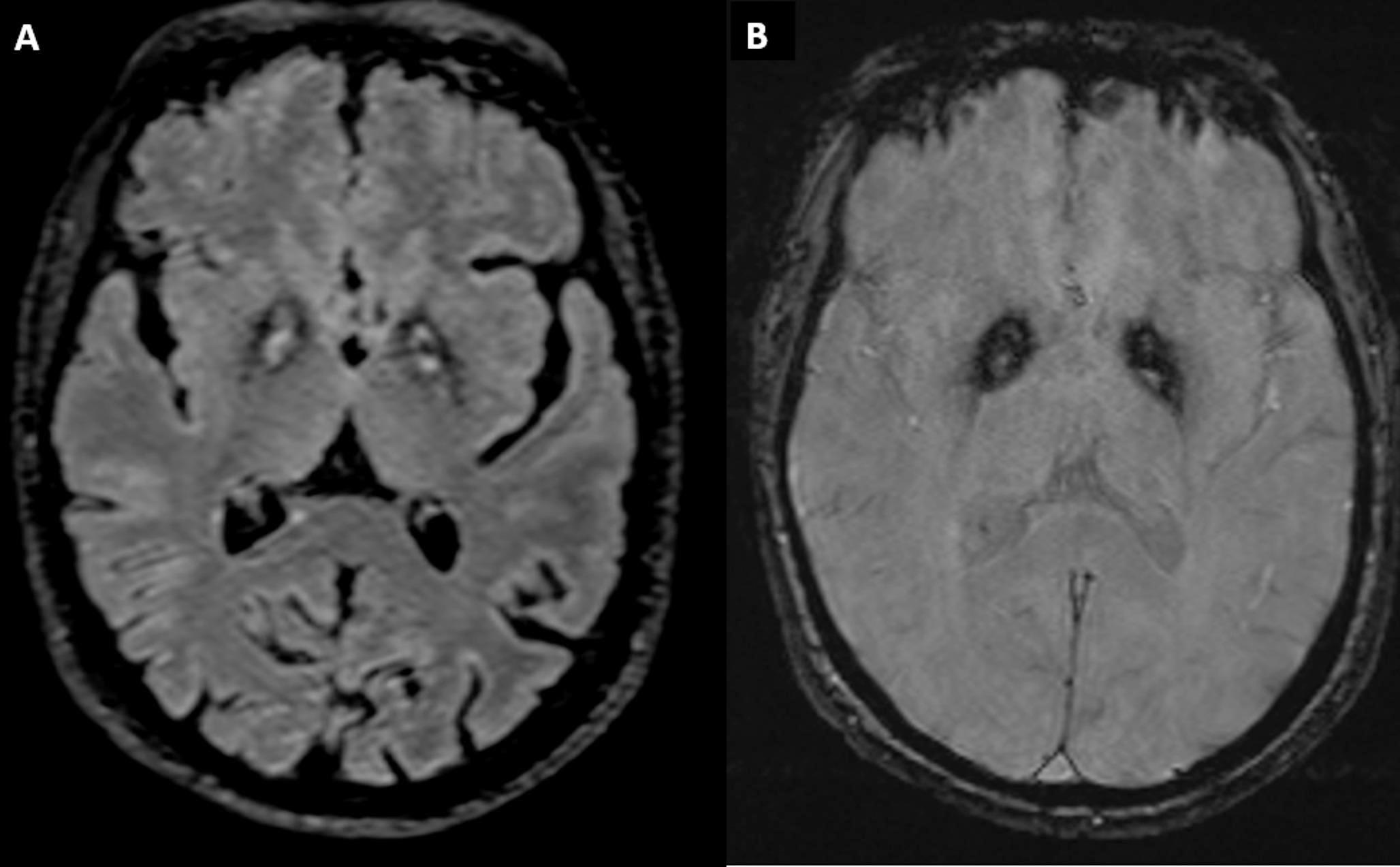
Brain magnetic resonance imaging (MRI) showed an “eye of the tiger” sign, defined by a bilateral central region with hyperintense signal surrounded by hypointensity in the globus pallidus on T2-weighted sequences (Fig. 1) [1]. There was no evidence of cerebellar or cortical atrophy. Fluorodeoxyglucose positron emission tomography (FDG-PET) and I-123 ioflupane single-photon emission computed tomography (DATscan) were normal, in accordance with previous cases reported (Fig. 2) [2, 3].
Fig. 1
Brain MRI Imaging. (A) Axial-slice of T2-FLAIR weighted sequences with the classical “Eye of the tiger sign” defined by a bilateral central region with hyperintense signal surrounded by hypointensity in the globus pallidus. (B) Axial slice of Susceptibility Weighted Imaging sequences showing susceptibility artifact (low signal) in corresponding areas from iron deposition
Bild vergrößern
Fig. 2
The quantitative indices (specific binding ratios) of I-123 ioflupane single-photon emission computed tomography (DATscan) were considered as normal. Discriminate value reported in litterature to differenciate essential tremor/healthy subjects and parkinsonism disease are above 0.76 for putamen (Se 87%, Spe 85%) and above 1,56 for caudate nuclei (Se 82%, Spe 85%).2 (A) Axial slice shows normal uptake of dopamine in both putamen with respectively specific binding ratios at 2.1 (right putamen) and 1.65 (left putamen). (B) Coronal slice shows normal captation in both caudate nuclei with specific binding ratios at 2.08 (right caudate nucleus) and 2 (left caudate nucleus)
Bild vergrößern
Based on the observation of iron deposition and late-onset symptomatology, NBIA disorder was suspected and a whole exome sequencing using a Next-Generation Sequencing gene panel was performed including 73 genes involved in NBIA diseases or related conditions. During the following year, neurological symptoms remained stable, however the patient developed bilateral gonalgia, further impairing her gait and necessitating bilateral total knee arthroplasty. No neuropsychiatric features and no cognitive impairment were observed.
Finally, genetic testing confirmed a homozygote missense variant (NM_153638.4: c.1280G > C p.Gly427Ala) in the PANK2 gene. This variant has not been previously reported in the literature and is absent from the gnomADv4 control database (gnomad.broadinstitute.org) and most prediction tools predict it to have a deleterious effect. Considering this, and the fact that the variant is located in a region where other mutations have already been reported, as well as the good correlation with the phenotype, this variant was classified as likely pathogenic. Family segregation analysis could not be performed as both patient’s parents were deceased at the time of assessment.

Discussion

We report here a very-late onset, genetically confirmed, case of PKAN with predominent Parkinsonian gait feature in the absence of dystonia, chorea, cognitive impairment or neuropsychiatric features. This case could mimic a “pure” motor axial parkinsonism phenotype and expands the recognized clinical spectrum of this disease. As illustrated by this case, the response to levodopa is poor or absent [4].
Neurological deterioration in PKAN has traditionally been described as occurring between the second and third decades, and, to date, only 17 cases were reported in the literature with symptom onset after 50 years of age [3]. Based on previous genetically confirmed cases, late-onset PKAN is associated with more insidious and pauci-symptomatic course, mainly characterized by parkinsonian symptoms, chorea and gait disturbances [3]. This contrasts with earlier atypical PKAN which is usually also associated with prominent neuropsychiatric features, spasticity and other movement disorders such as dystonia [1].
The MRI characteristic pattern with the “eye of the tiger” sign in the globus pallidus is pathognomonic of PKAN disease [1].
Missense variants are the most common type of mutation identified in both typical and atypical PKAN forms but, to our knowledge, this specific variant (NM_153638.4: c.1280G > C p.Gly427Ala) has never been described in literature. Interestingly, this mutation is located within the same functional region as other NBIA-related mutations such as p.Leu425Pro, Leu425His, p.Leu424Phe which are associated with “classical” pediatric presentations[5].
Consistently with previous late-onset PKAN case reported, this case challenges the traditionally dichotomous classification of this condition and contributes to expanding the phenotypic spectrum of PKAN. It highlights the importance of considering PKAN in older patients with progressive Parkinsonian gait phenotype.

Acknowledgements

We are grateful to the patient for her willingness to share clinical data.

Declarations

Competing interests

The authors declare no competing interests.
Open Access This article is licensed under a Creative Commons Attribution 4.0 International License, which permits use, sharing, adaptation, distribution and reproduction in any medium or format, as long as you give appropriate credit to the original author(s) and the source, provide a link to the Creative Commons licence, and indicate if changes were made. The images or other third party material in this article are included in the article’s Creative Commons licence, unless indicated otherwise in a credit line to the material. If material is not included in the article’s Creative Commons licence and your intended use is not permitted by statutory regulation or exceeds the permitted use, you will need to obtain permission directly from the copyright holder. To view a copy of this licence, visit http://creativecommons.org/licenses/by/4.0/.

Publisher’s note

Springer Nature remains neutral with regard to jurisdictional claims in published maps and institutional affiliations.
download
DOWNLOAD
print
DRUCKEN
Titel
Parkinsonian phenotype in Late-onset pantothenate kinase-associated neurodegeneration: a case report
Verfasst von
Faustine Lebout
Vandernoot Isabelle
Desmyter Laurence
Gil Leurquin-Sterk
Virginie Destrebecq
Publikationsdatum
10.10.2025
Verlag
Springer International Publishing
Erschienen in
Acta Neurologica Belgica / Ausgabe 6/2025
Print ISSN: 0300-9009
Elektronische ISSN: 2240-2993
DOI
https://doi.org/10.1007/s13760-025-02906-9

Supplementary Information

Below is the link to the electronic supplementary material.
Supplementary Material 2
1.
Zurück zum Zitat Pohane MR, Dafre R, Sontakke NG (2023) Diagnosis and treatment of pantothenate kinase-associated neurodegeneration (PKAN): a systematic review. Cureus 15:e46135PubMedPubMedCentral
2.
Zurück zum Zitat Nichols KJ, Chen B, Tomas MB, Palestro CJ (2018) Interpreting 123I-ioflupane dopamine transporter scans using hybrid scores. Eur J Hybrid Imaging 2(1):10CrossRefPubMed
3.
Zurück zum Zitat Sipilä JOT, Hietaharju A, Saukkonen AM (2025) Very late-onset neurodegeneration with brain iron accumulation associated with mild chorea: a clinicopathological case. Mov Disord Clin Pract 12:835–841CrossRefPubMed
4.
Zurück zum Zitat Feuerstein J, Olvera C, Fullard M (2020) Treatment responsiveness of parkinsonism in atypical pantothenate kinase-associated neurodegeneration. Mov Disord Clin Pract 7(Suppl 3):S71–S73CrossRefPubMedPubMedCentral
5.
Zurück zum Zitat Zhou J, He J, Kou LP (2017) Phenotypic and genotypic features of twenty children with classic pantothenate kinase-associated neurodegeneration. Zhonghua Er Ke Za Zhi 55:678–682PubMed

Kompaktes Leitlinien-Wissen Neurologie (Link öffnet in neuem Fenster)

Mit medbee Pocketcards schnell und sicher entscheiden.
Leitlinien-Wissen kostenlos und immer griffbereit auf ihrem Desktop, Handy oder Tablet.

Neu im Fachgebiet Neurologie

Antibiotikum verbessert Prognose nach leichtem Schlaganfall

Eine Therapie mit Minocyclin kann das funktionelle Ergebnis nach einem milden ischämischen Schlaganfall geringfügig verbessern. In einer Phase-3-Studie aus China lag damit die Chance auf ein sehr gutes funktionelles Ergebnis rund fünf Prozentpunkte höher als unter Placebo.

Schlafarchitektur nach OP oft massiv gestört

Nach einem operativen Eingriff ist die Schlafqualität oft massiv beeinträchtigt. In einer US-Studie waren bei Risikopatienten nicht nur die Gesamtdauer des Schlafs, sondern vor allem auch REM- und Tiefschlafphasen deutlich verkürzt.

Tipps: So können Praxen die Risiken für einen GOÄ-Streit minimieren

Für Streitigkeiten, die das GOÄ-Honorar betreffen, sind neuerdings nur noch Landgerichte zuständig. Das macht Prozesse teurer. Eine Praxisberaterin erläutert, wie Praxen vorbauen können, um solche Streitfälle und Gerichtsverfahren zu vermeiden.

Update Neurologie

Bestellen Sie unseren Fach-Newsletter und bleiben Sie gut informiert.

Bildnachweise
Die Leitlinien für Ärztinnen und Ärzte, Fachperson breitet Infusion vor/© pirke / stock.adobe.com (Symbolbild mit Fotomodellen), Frauen ruhen im Krankenhaus /© Gorodenkoff / Stock.adobe.com (Symbolbild mit Fotomodell), Richter mit Gesetzbuch/© Kzenon / stock.adobe.com (Symbolbild mit Fotomodell)