Zum Inhalt
Die Urologie

Update zur Pathologie der Peniskarzinome

Erschienen in:

Zusammenfassung

Die Inzidenz von Peniskarzinomen beträgt in Europa < 1 %. Etwa die Hälfte der Peniskarzinome entsteht über die Präkanzerose hochgradige squamöse intraepitheliale Läsion (HSIL) durch eine transformierende Infektion mit humanen Papillomaviren (HPV) – am häufigsten High-risk-HPV 16. Die HP-E6/E7-Onkogenproteine binden an Proteine der p53 und Retinoblastomsignalwege. Diese Zellzyklusstörung führt zur zellulären Ansammlung/Überexpression von p16, was als Biomarker für HPV-assoziierte Karzinogenese gilt. Die Mehrheit der HPV-unabhängigen Peniskarzinome entsteht in Läsionen chronischer lichenoider Dermatosen (Lichen sclerosus und Lichen planus) über die schnell fortschreitende Präkanzerose differenzierte penile intraepitheliale Neoplasie (dPeIN). Diese entzündungsassoziierten, meist hoch differenzierten verhornten Karzinome enthalten Mutationen in Tumorsuppressorgenen CDKN2A und TP53. Missense-TP53-Mutationen führen zur Ansammlung von aberrantem p53-Protein in Kernen proliferierender Tumorzellen (nukleäre Überexpression). Die restlichen HPV-negativen, überwiegend verrukösen Peniskarzinome entstehen ohne Dermatosen und Tumorsuppressorgenmutationen und sind ohne p16- und p53-Überexpression. Sie entwickeln sich über verruköse PeIN. Die korrekte ätiologische Zuordnung hat klinische Bedeutung, denn HPV-assoziierte Peniskarzinome haben eine bessere Prognose und Überlebensraten. Sie ist insbesondere wichtig für die Wahl der Therapie der Präkanzerosen. Die langsam fortscheitende HSIL kann chirurgisch, destruktiv oder medikamentös über einen längeren Zeitraum behandelt werden. dPeIN dagegen sollte zeitnah chirurgisch saniert werden, um eine frühe Invasion auszuschließen. Leitliniengerechte Therapie der Dermatosen kann das Karzinomrisiko reduzieren.
QR-Code scannen & Beitrag online lesen

Hinweis des Verlags

Der Verlag bleibt in Hinblick auf geografische Zuordnungen und Gebietsbezeichnungen in veröffentlichten Karten und Institutsadressen neutral.
Karzinome des Penis zählen in Europa zu den seltenen Karzinomen. Ätiologisch spielt bei etwa 50 % der Peniskarzinome eine transformierende Infektion mit humanen Papillomaviren (HPV) eine Rolle. HPV-unabhängige Peniskarzinome entstehen oft in chronisch entzündlichen Dermatosen. Die Ätiologie beeinflusst die Therapie der Präkanzerosen und die Prognose der invasiven Karzinome. Eine HPV-Impfung kann vor HPV-assoziierten Peniskarzinomen schützen. Eine leitliniengerechter Therapie der Dermatosen kann auch sowohl das Entartungsrisikos wie auch das Risiko eines Rezidivs verringern.

Ätiologie der Peniskarzinome

Plattenepithelkarzinome des Penis zählen in den sog. High-incidence-Ländern Südamerikas und Afrikas mit etwa 10 % zu den häufigen Karzinomen beim Mann. In Nordeuropa sind sie sehr selten mit einer Inzidenz < 1 %. Peniskarzinome entstehen entweder nach einer persistierenden und transformierenden Infektion mit HPV-high-risk-Genotypen [1] oder unabhängig von HPV [2].
Die HPV-assoziierte Karzinogenese ist organübergreifend seit Jahrzehnten gut erforscht und kann durch Impfung verhindert werden. Die HPV-unabhängige Karzinogenese ist dagegen kaum erforscht. Chronisch-entzündliche Dermatosen spielen aber in der Entstehung eine wichtige Rolle [3]. Unabhängig von der Ätiologie stellen invasive und insbesondere metastasierte Peniskarzinome eine therapeutische Herausforderung dar. Bisher konnten keine Peniskarzinom-spezifischen Mutationen identifiziert werden, und nur in einem geringen Prozentsatz liegen sog. „Druggable“-Mutationen vor ([4, 5]; Details s. Tab. 1).
Tab. 1
Penile Karzinogenese
 
HPV-assoziiert
HPV-unabhängig/negativ
HPV-Subtypen
HPV 16 > 31, 52, 56, 18, 45
Keine
Risikofaktoren
Zahlreiche Sexualpartner
Chronische Dermatosen,
Lichen sclerosus: verhornte Haut,
Lichen planus: in verhornter Haut, Schleimhäuten/Urethra
Immunsuppression
HIV
Rauchen
Histologien invasiver Karzinome
Unverhornt/basaloid
Hochdifferenziert/verhornt
Klarzellig
Verrukös/verruciform
Kondylomatös
Sarkomatoid
Lymphoepithelial
Basaloid
Spezifische pathogene Mutationen
In Tumorsuppressorgenen TP53 und CDKN2A in dermatosenassoziierten Karzinomen
HRAS-Mutationen
Bio/Surrogatmarker
p16-Überexpression durch E6/E7-Onkogen vermittelte Zellzyklusstörung
Nukleäre p53-Überexpression bei Missense-TP53-Genmutationen „null pattern bei disruptiven TP53-Mutationen
Präkanzerosen/Karzinoma in situ
Penile hochgradige squamöse intraepitheliale Läsion (HSIL)
Differenzierte penile intraepitheliale Neoplasie (dPeIN); assoziiert mit Lichen planus und Lichen sclerosus
Verruköse/verruciforme penile intraepitheliale Neoplasie (vPeIN)
Klinischer Verlauf
Langsame Entwicklung von HSIL und Invasion über Jahre und Jahrzehnte
Schnelle, oft multifokale Entwicklung von dPeIN in Läsionen von Lichen planus und Lichen sclerosus:
Langsame Entwicklung solitärer verruköser Präkanzerosen und indolenter verruköser Karzinome
Therapie der Präkanzerosen
Vielfältige Therapieoptionen: Chirurgisch, destruktiv (Kryo, Laser), zeitintensiv medikamentös (z. B. „off-label use Imiquimod“), Lebensstilmodifikation (Rauchen!!)
Zeitnahe chirurgische Exzision; keine Indikation für zeitintensive medikamentöse Therapie
Prognose
Längere Überlebenszeit
Dermatosenassoziierte Karzinome: kürzere Überlebenszeit; verruköse Karzinome: indolenter Verlauf
Prävention
HPV-Impfung
Leitliniengerechte Therapie der Dermatosen, engmaschige Kontrolle
HPV humane Papillomaviren, HIV humaner Immundefizienzvirus

HPV-assoziierte Peniskarzinome

Im Laufe des Lebens kommt jeder sexuell aktive Mensch mit HPV in Kontakt. Risikofaktoren für die Karzinomentstehung sind häufig wechselnde Sexualpartner und ein geschwächtes Immunsystem oder Immunsuppression (z. B. Organtransplantationen oder HIV-Infektion). Zudem wird Rauchen beim Fortschreiten von Präkanzerosen zu invasiven Karzinomen impliziert. Der häufigste HPV-Subtyp in Peniskarzinomen ist High-risk-HPV 16, gefolgt von HPV 31, 52, 56, 18, 45. Nur selten entstehen kondylomatöse Peniskarzinome aufgrund von Low-risk-HPV-6- und 11-Infektionen (sog. Riesenkondylome nach Buschke u. Löwenstein; [6]).
Die HPV-assoziierten Karzinome entwickeln sich langsam über Jahre und Jahrzehnte nach der Erstinfektion, die fast immer unbemerkt, also subklinisch verläuft. Manche Patienten entwickeln aber eine sog. produktive Infektion mit sichtbaren Läsionen eines Condyloma accuminatum, einer Erythroplakie (Querat) oder einer Leukoplakie. In diesem Stadium kann ein intaktes Immunsystem die HPV-Infektion bekämpfen.
HPV-assoziierte Karzinome entwickeln sich langsam
Nach Rückbildung der Läsionen spricht man von Regression. Klinisch unbemerkt bleiben allerdings einige wenige HPV in basalen Stammzellen des Plattenepithels erhalten. In diesem sog. Latenzstadium liegt die Anzahl der HPV dann unterhalb der Nachweisgrenze der klinischen HPV-Tests (was klinisch oft als HPV-Negativierung bezeichnet wird). Je nach Immunlage kann diese Infektion oft erst Jahre/Jahrzehnte später wieder aktiv werden.
Kommt es nach einer länger persistierenden produktiven (primären oder auch reaktivierten) Infektion zur malignen Transformation, entwickelt sich zuerst eine autonom proliferierende intraepitheliale (nicht invasive) Präkanzerose mit basaloider (niedrig differenzierter) Histologie. Die HPV-assoziierten Präkanzerosen nach WHO werden als hochgradige squamöse intraepitheliale Läsion (HSIL) bezeichnet [1].
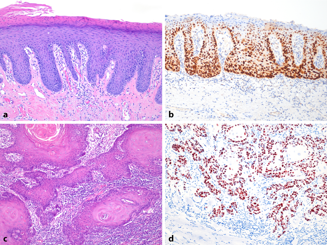
Die karzinogene Wirkung von HPV entfaltet sich durch Bindung der E6- und E7-Onkoproteine an Proteine der p53- und Retinoblastom-Zellzyklus-Signalwege. Als Folge dieser Blockade kommt es zur intrazellulären Ansammlung von p16. Diese kann im Tumorgewebe immunhistochemisch nachgewiesen werden (Abb. 1).
Abb. 1
HPV-assoziierte (humane Papillomaviren) Präkanzerose und invasives Peniskarzinom: a HE-Färbung (Hämatoxilin-Eosin) einer HSIL (hochgradige squamöse intraepitheliale Läsion). Es zeigt sich eine die ganze Epitheldicke umfassende dysplastische Proliferation ohne Durchbruch durch die Basalmembran. b p16-Überexpression in allen dysplastischen undifferenzierten basaloiden Zellen der HSIL („block-like staining“). c HE-Färbung eines niedrig differenzierten invasiven Karzinoms. d p16-Überexpression in allen invasiven Zellen des Karzinoms. (Vergrößerung: a,b 10x und c,d 20x)
Bild vergrößern
Eine einheitliche starke „Block-like“-Anfärbung von p16 wird als Überexpression definiert und gilt als indirekter Nachweis und zuverlässiger Biomarker für eine HPV-induzierte Karzinogenese [7]. Derzeit wird angenommen, dass die E6/E7-vermittelte Zellzyklusstörung für die Karzinogenese ausreicht, denn pathogene somatische Genmutationen treten erst im invasiven Stadium in < 25 % der Karzinome auf [5].

HPV-unabhängige Plattenepithelkarzinome

Die HPV-unabhängigen Plattenepithelkarzinome zeigen keine p16-Überexpression. Etwa zwei Drittel der HPV-unabhängigen Plattenepithelkarzinome im Anogenitalbereich (Penis und Vulva) sind mit chronischen, meist unbehandelten entzündlichen Dermatosen Lichen planus (LP) und Lichen sclerosus (LS) assoziiert. Peniskarzinome entstehen in Läsionen von LS und LP an der Innenseite des Präputiums, im Sulcus coronarius, aber auch an der Glans penis. Der LP (aber nicht der LS) manifestiert sich auch in Schleimhäuten (z. B. Mundhöhle) und ist mit einem erhöhten Risiko für Karzinomentwicklung assoziiert [8, 9]. Daher sollten LP-Läsionen in der Schleimhaut des Meatus urethrae und in der Urethra besonders gründlich kontrolliert werden.
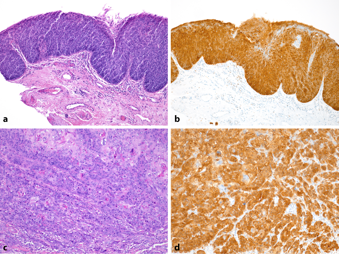
Der LS und LP enden früher oder später in entzündlichen Phimosen. In den Zirkumzisionspräparaten werden dann gelegentlich zufällig Präkanzerosen und frühinvasive Karzinome entdeckt. Typisch für dermatosenassoziierte Plattenepithelkarzinome sind Mutationen in Tumorsuppressorgenen TP53 [10] und CDKN2A [5]. TP53-Mutationen beeinträchtigen die Bildung des p53-Proteins und resultieren in einem aberranten Expressionsmuster von p53 in immunhistochemischen Untersuchungen.
LS und LP enden früher oder später in entzündlichen Phimosen
In nicht-mutierten Karzinomen liegt ein sog. Wildtypmuster mit einzelnen positiven p53-Zellkernen vor. Bei Missense-Mutationen wird ein aberrantes p53 gebildet, das sich in den Kernen der teilungsfähigen Karzinomzellen ansammelt. Dies wird als nukleäre p53-Überexpression bezeichnet [3, 10]. Bei Nonsense-Mutationen wird kein p53-Protein gebildet, und die immunhistochemische Färbung ist komplett negativ (sog. Null-Muster). Das CDKN2A-Gen kodiert für die Proteine p16 und p14. Die meisten CDKN2A-Mutationen sind disruptiv, so dass kein p16 gebildet wird. Die seltenen CDKN2A-missense-Mutationen dagegen führen zur Bildung eines aberranten p16, daher kann eine p16-Färbung beobachtet werden [11].
Ein kleiner Anteil an HPV-negativen, p16-negativen Karzinome entsteht ohne lichenoide Dermatosen und ohne Mutationen in Tumorsuppressorgenen. Sie zeigen ein p53-Wildtypmuster und Genmutationen in PIK3CA, FGFR‑3 und HRAS [5]. Histologisch handelt es sich um verhornte verruköse Karzinome mit breiter plumper Invasionsfront oder in Schleimhautnähe um unverhornte papilläre Karzinome. Diese Karzinome haben einen indolenten Verlauf und kein Metastasierungspotential.

Histologie der invasiven Peniskarzinome

In den letzten Jahrzehnten wurde eine verwirrende Vielzahl von beschreibenden, schlecht reproduzierbaren histologischen Diagnosen in der Diagnostik verwendet. Diese stammten überwiegend aus der Prä-HPV-Ära. Erst die Einführung der Genotypisierung und klinischen HPV-Testungen erlaubten eine ätiologische Zuordnung der Peniskarzinome. Mit Hilfe des kostengünstigen Surrogatmarkers p16 wurde die histologische Klassifikation in den letzten 15 Jahren deutlich vereinfacht und verschlankt [7]. In der aktuellen WHO Classification of Urological Tumors (2022; [1]) werden für HPV-assoziierte Karzinome nur mehr die histologischen Subtypen basaloid, klarzellig [12], lymphoepithelial und kondylomatös beschrieben.
Die meisten HPV-unabhängigen Karzinome sind hochdifferenziert und verhornt [2, 3, 5, 10]. Sie zeigen oft ein charakteristisches Invasionsmuster mit Einzelzellinfiltraten und Zellsträngen [13]. Diese Einzelzellen können schnell über die Lymphgefäße in die regionalen Lymphknoten metastasieren. Die verrukösen und papillären/verruciform HPV-negative Karzinome haben breite plumpe Invasionsfronten. Selten ist eine sarkomatoide Differenzierung nachweisbar.

TNM-Klassifikation der Peniskarzinome

Unabhängig von der Ätiologie werden invasive Peniskarzinome nach TNM („tumour, node, metastasis“) klassifiziert (letzte Überarbeitung 2017; [14]). Die primären Karzinome mit Invasion in das subepitheliale Bindegewebe werden als pT1-Karzinome klassifiziert. Je nach histologischem Differenzierungsgrad und Nachweis von Lymphgefäßinvasion werden sie noch zusätzlich in pT1a (histologischer Grad 1 und 2, keine Gefäßinvasion) und pT1b (histologischer Grad 3 und/oder Gefäßinvasion) unterteilt. Der Prozentsatz an pT1a-Karzinomen ist bei den HPV-unabhängigen Tumoren etwas höher als bei den HPV-assoziierten Karzinomen. Dies ist wahrscheinlich dem schnellen Fortschreiten der HPV-unabhängigen Präkanzerosen und der zufälligen Entdeckung von frühinvasiven Karzinomen in Zirkumzisionspräparaten von Phimosen geschuldet [5].
Die derzeitige Datenlage spricht dafür, dass pT1a-Karzinome beider Ätiologien kein metastatisches Potential haben. Ab dem pT1b-Stadium liegen ausgedehntere invasive Tumoren vor, die auch das Potential zur lymphogenen Invasion haben [15]. Die histopathologische Aufarbeitung der Sentinel-Lymphknoten mit Serienschnittstufen (Hämatoxilin-Eosin-Färbungen und immunhistochemischen Untersuchungen mit Antikörper gegen Zytokeratin) hilft in der Beurteilung der frühen regionalen Metastasierung bei insgesamt geringer Morbidität [16]. Sie erlaubt den Nachweis einzelner therapierelevanter metastatischer Karzinomzellen. In Analogie zum Vulvakarzinom [17] wird die Einzelmetastasierung überwiegend bei HPV-unabhängigen Peniskarzinomen erwartet.

Präkanzerosen der Peniskarzinome

Aufgrund der begrenzten Therapiemöglichkeiten größerer invasiver Peniskarzinome ist es wichtig, die präinvasiven Stadien rechtzeitig zu erkennen und adäquat zu therapieren. In Analogie zu anderen HPV-assoziierten anogenitalen Plattenepithelkarzinomen bezeichnet die WHO die HPV-assoziierten penilen Präkanzerosen als HSIL. Die undifferenzierte Proliferation durchsetzt die gesamte Epitheldicke und ist durch eine starke, einheitliche p16-Anfärbung charakterisiert (Abb. 1).
Die HPV-unabhängigen Präkanzerosen werden in dPeIN und vPeIN unterteilt
Die HPV-unabhängigen Präkanzerosen werden – ebenfalls in Analogie zu HPV-unabhängigen Präkanzerosen an der Vulva und Zervix – in differenzierte penile intraepitheliale Neoplasie (dPeIN) und verruköse/verruciforme penile intraepitheliale Neoplasie (vPeIN) unterteilt [18]. Sie entstehen oft multifokal in Läsionen von LP und LS.
Charakteristisch für die dPeIN sind eine atypische basalzellige Proliferation mit nukleärer p53-Überexpression in verlängerten Reteleisten und einer abrupten vorzeitigen Verhornung (Abb. 2). Die oberflächliche Verhornung des Plattenepithels kann normal sein, allerdings zeigen viele dPeIN eine schuppige Oberfläche mit Parakeratose. Die verhornten verrukösen und unverhornten verruciformen PeIN sind meist solitäre hochdifferenzierte Läsionen mit minimalen Zellatypien ohne nennenswerte mitotische Aktivität.
Abb. 2
Humane Papillomavirus unabhängige Präkanzerose und invasives Peniskarzinom: a Hämatoxilin-Eosin-Färbung einer differenzierten penilen intraepithelialen Neoplasie (dPeIN) mit deutlich verlängerten Reteleisten, Para- und Hyperkeratose; b mit nukleärer p53-Überexpression in den basalen und suprabasalen Zellen der verlängerten Reteleistungen der dPeIN. c HE-Färbung eines hoch differenzierten verhornten invasiven Karzinoms mit. d Nukleärer p53-Überexpression in den invasiven Zellen des Karzinoms. (Vergrößerung: a-c 10x, d 20x)
Bild vergrößern
Die ätiologische Unterteilung der Präkanzerosen basierend auf dem HPV-Status hat wichtige therapeutische Konsequenzen. Die HPV-assoziierte Karzinogenese ist ein langsamer Prozess. Daher können für die HSIL verschiedene Therapiekonzepte angeboten werden; neben chirurgischer Intervention und Destruktion können auch eine zeitintensive topische medikamentöse Behandlung (z. B. mit Imiquimod [„off-label use“] über mehrere Monate) zum Einsatz kommen. Auch eine Lebensstiländerung (z. B. Raucherentwöhnung) kann die Therapie unterstützen.
Auch die HPV-unabhängigen verrukösen/verruciformen PeIN sind in ihrem Verlauf langsam und indolent. Die HPV-unabhängige dPeIN dagegen ist als schnellfortschreitende Präkanzerose zu werten, die trotz oberflächlicher Ausreifung und hoch differenzierter Histologie schnell invasiv werden kann.

Risikofaktoren HPV und lichenoide Dermatosen

Ein wichtiger Fokus liegt auf der Prävention von Präkanzerosen und invasiven Peniskarzinomen. Eine rechtzeitige HPV-Impfung im Schulalter kann HPV-assoziierte Karzinome deutlich reduzieren, wenn nicht gar verhindern. Leider gibt es keine kausale Prävention für die HPV-unabhängige Karzinogenese. LS und LP sind im Spektrum der Immundysregulierung/Autoimmunerkrankungen bei genetischer Disposition einzureihen. Eine leitliniengerechte Therapie dieser Dermatosen kann die Morbidität und auch das Risiko der Entartung verringern [19].
Regelmäßige und engmaschige Kontrollen und klinische Kenntnis der mannigfaltigen Präsentationen von LP sind für eine frühzeitige Diagnose von Präkanzerosen hilfreich. Klinisch präsentiert sich der LS mit größeren, glatten, weißlichen Plaques in verhornter Haut. Der LP dagegen hat mehrere klinische Präsentationen. Typisch in verhornter Haut sind gruppierte kleine Papeln mit abgeflachter „planer“ Oberfläche. Bei deutlicher Verhornung der Papeln spricht man vom hypertrophen LP. Hier stellt sich klinisch oft die Differentialdiagnose einer verrukösen Präkanzerose.
In größerflächigen Läsionen entstehen Präkanzerosen oft multifokal. Alternativ manifestiert sich der LP mit glänzenden, scharf begrenzten Erythemen, die von verdickter weißlicher Schleimhaut (sog. Wickham-Streifung oder „Wickham striae“) umgeben sind. Diese Läsionen werden auch als sog. erosiver LP und in der Dermatologie oft als Lichen ruber bezeichnet. Typische Lokalisationen sind an der Glans penis und der Innenseite der Vorhaut. Besonders wichtig ist die Inspektion des Meatus urethrae und der distalen Harnröhre. Nach einer Zirkumzision sollte eine topische Therapie der residuellen Dermatosen erfolgen.
In größerflächigen Läsionen von LP entstehen Präkanzerosen oft multifokal
Auch wenn für Peniskarzinome nur begrenzte Erfahrungswerte vorliegen, können viele Erfahrungen von vulvären Dermatosen und der vulvären Karzinogenese auf den Penis übertragen werden. Der LS ist die unkompliziertere Dermatose, mit häufiger kompletter Remission, während der LP schwieriger zu therapieren ist. Die Lokaltherapie kann in Analogie zur Vulva primär mit hochpotenten Kortikosteroiden für bis zu 3 Monate begonnen werden [19]. Die therapieinduzierte Reduktion des Entzündungsinfiltrates kann nicht nur die Morbidität, sondern auch das Entartungsrisiko verringern [20].

Fazit für die Praxis

  • Die ätiologische Zuordnung von Peniskarzinomen und Präkanzerosen ist aus prognostischen und therapeutischen Gründen wichtig:
  • Humane Papillomaviren assoziierte Peniskarzinome entstehen über die Präkanzerose hochgradige squamöse intraepitheliale Läsion (HSIL). p16 gilt als Surrogat-Marker für die HPV-Ätiologie und korreliert mit besserer Prognose.
  • Die langsame Progression von HSIL erlaubt chirurgische und destruktive, aber auch zeitintensive medikamentöse Therapien
  • Die meisten HPV-unabhängigen, p16-negativen Karzinome sind mit Lichen planus (LP) oder Lichen sclerosus (LS) assoziiert. Sie enthalten Tumorsuppressorgenmutationen und entstehen über die schnell fortschreitende Präkanzerose differenzierte penile intraepitheliale Neoplasie (dPeIN). Eine TP53-missense-Mutation führt zu nukleärer p53-Überexpression.
  • dPeIN erfordern eine zeitnahe chirurgische Exzision, um eine frühe Invasion auszuschließen.
  • Eine Therapie der Dermatosen kann das Krebsrisiko verringern.
  • Verruköse Präkanzerosen und Karzinome ohne Dermatosen haben einen indolenten Verlauf.

Einhaltung ethischer Richtlinien

Interessenkonflikt

S. Regauer gibt an, dass kein Interessenkonflikt besteht.
Für diesen Beitrag wurden von den Autor/-innen keine Studien an Menschen oder Tieren durchgeführt. Für die aufgeführten Studien gelten die jeweils dort angegebenen ethischen Richtlinien.
Open Access Dieser Artikel wird unter der Creative Commons Namensnennung 4.0 International Lizenz veröffentlicht, welche die Nutzung, Vervielfältigung, Bearbeitung, Verbreitung und Wiedergabe in jeglichem Medium und Format erlaubt, sofern Sie den/die ursprünglichen Autor(en) und die Quelle ordnungsgemäß nennen, einen Link zur Creative Commons Lizenz beifügen und angeben, ob Änderungen vorgenommen wurden. Die in diesem Artikel enthaltenen Bilder und sonstiges Drittmaterial unterliegen ebenfalls der genannten Creative Commons Lizenz, sofern sich aus der Abbildungslegende nichts anderes ergibt. Sofern das betreffende Material nicht unter der genannten Creative Commons Lizenz steht und die betreffende Handlung nicht nach gesetzlichen Vorschriften erlaubt ist, ist für die oben aufgeführten Weiterverwendungen des Materials die Einwilligung des jeweiligen Rechteinhabers einzuholen. Weitere Details zur Lizenz entnehmen Sie bitte der Lizenzinformation auf http://creativecommons.org/licenses/by/4.0/deed.de.

Hinweis des Verlags

Der Verlag bleibt in Hinblick auf geografische Zuordnungen und Gebietsbezeichnungen in veröffentlichten Karten und Institutsadressen neutral.

Unsere Produktempfehlungen

Die Urologie

Print-Titel

Aktuelle Informationen zu Urologie und Uro-Onkologie. Leitthema in jeder Ausgabe. Mit Übersichts- und Originalarbeiten sowie Kasuistiken. Leitlinien zu Diagnostik und Therapie. 12 Hefte pro Jahr.

e.Med Interdisziplinär

Kombi-Abonnement

Für Ihren Erfolg in Klinik und Praxis - Die beste Hilfe in Ihrem Arbeitsalltag

Mit e.Med Interdisziplinär erhalten Sie Zugang zu allen CME-Fortbildungen und Fachzeitschriften auf SpringerMedizin.de.

Jetzt bestellen und im ersten Jahr 100 € sparen!

© Springer Medizin


e.Med Gynäkologie

Kombi-Abonnement

Mit e.Med Gynäkologie erhalten Sie Zugang zu CME-Fortbildungen der beiden Fachgebiete, den Premium-Inhalten der Fachzeitschriften, inklusive einer gedruckten gynäkologischen oder urologischen Zeitschrift Ihrer Wahl.

Weitere Produktempfehlungen anzeigen
download
DOWNLOAD
print
DRUCKEN
Titel
Update zur Pathologie der Peniskarzinome
Verfasst von
Prof. Dr. Sigrid Regauer
Publikationsdatum
22.10.2025
Verlag
Springer Medizin
Erschienen in
Die Urologie / Ausgabe 12/2025
Print ISSN: 2731-7064
Elektronische ISSN: 2731-7072
DOI
https://doi.org/10.1007/s00120-025-02701-7
1.
Zurück zum Zitat Alvarado-Cabrero I, Chaux A, Muneer A et al (2022) HPV-associated squamous cell carcinoma, in WHO Classification of Tumors. Urinary and male genital tumours. IARC, Lyon, France, S 372–374
2.
Zurück zum Zitat Alvarado-Cabrero I, Canete-Portillo S, Chaux A et al (2022) HPV-independent squamous cell carcinoma, in WHO Classification of Tumours. IARC, Lyon, France, S 375–379
3.
Zurück zum Zitat Mannweiler S, Sygulla S, Winter E et al (2013) Two major pathways of penile carcinogenesis: HPV-induced penile cancers overexpress p16, HPV-negative cancers associated with dermatoses express p53, but lack p16 overexpression. J Am Acad Dermatol 69(1):73–81CrossRefPubMed
4.
Zurück zum Zitat Chahoud J, Pham R, Sonpavde G (2022) Innovative systemic therapies for penile cancer. Curr Opin Urol 32(1):8–16CrossRefPubMed
5.
Zurück zum Zitat Ermakov MS, Kashofer K, Regauer S (2023) Different Mutational Landscape in HPV-induced and HPV-independent Invasive Penile Squamous Cell Cancers. Mod Pathol: 100250 (p)
6.
Zurück zum Zitat Mannweiler S, Sygulla S, Beham-Schmid C et al (2011) Penile carcinogenesis in a low-incidence area: a clinicopathologic and molecular analysis of 115 invasive carcinomas with special emphasis on chronic inflammatory skin diseases. Am J Surg Pathol 35(7):998–1006CrossRefPubMed
7.
Zurück zum Zitat Mustasam A, Parza K, Ionescu F et al (2025) The Prognostic Role of HPV or p16INK4a Status in Penile Squamous Cell Carcinoma: A Meta-Analysis. J Natl Compr Canc Netw 23(2):e247078
8.
Zurück zum Zitat Gandolfo S, Richiardi L, Carrozzo M et al (2004) Risk of oral squamous cell carcinoma in 402 patients with oral lichen planus: a follow-up study in an Italian population. Oral Oncol 40(1):77–83CrossRefPubMed
9.
Zurück zum Zitat Chryssostalis A, Gaudric M, Terris B et al (2008) Esophageal lichen planus: a series of eight cases including a patient with esophageal verrucous carcinoma. A case series. Endoscopy 40(9):764–768CrossRefPubMed
10.
Zurück zum Zitat Kashofer K, Winter E, Halbwedl I et al (2017) HPV-negative penile squamous cell carcinoma: disruptive mutations in the TP53 gene are common. Mod Pathol 30(7):1013–1020CrossRefPubMed
11.
Zurück zum Zitat May M, Hrudka J, Elst L et al (2025) Letter to the Editor: Advancing Prognostic Stratification in PSCC: Developing Predictive Models as the Next Pivotal Step. J Natl Compr Canc Netw 23(5)
12.
Zurück zum Zitat Liegl B, Regauer S (2004) Penile clear cell carcinoma: a report of 5 cases of a distinct entity. Am J Surg Pathol 28(11):1513–1517CrossRefPubMed
13.
Zurück zum Zitat Hrudka J, Prouzova Z, Bartu MK et al (2023) Immune cell infiltration, tumour budding, and the p53 expression pattern are important predictors in penile squamous cell carcinoma: a retrospective study of 152 cases. Pathology 55(5):637–649CrossRefPubMed
14.
Zurück zum Zitat UICC (Hrsg) (2017) TNM Classification of Malignant Tumours, 8. Aufl. John Wiley & Sons, Oxford, UK
15.
Zurück zum Zitat Mannweiler S, Sygulla S, Tsybrovskyy O et al (2012) Clear-cell differentiation and lymphatic invasion, but not the revised TNM classification, predict lymph node metastases in pT1 penile cancer: a clinicopathologic study of 76 patients from a low incidence area. Urol Oncol 31(7):1378–1385CrossRefPubMed
16.
Zurück zum Zitat Elversang J, Gronkaer Toft B, Predbjorn Krarup K et al (2021) Lessons learned from histological step-sectioning of sentinel lymph nodes in penile cancer. Histopathology 78(4):627–633CrossRefPubMed
17.
Zurück zum Zitat Regauer S (2009) Histopathological work-up and interpretation of sentinel lymph nodes removed for vulvar squamous cell carcinoma. Histopathology 55(2):174–181CrossRefPubMed
18.
Zurück zum Zitat Regauer S, Ermakov M, Kashofer K (2023) The Spectrum of HPV-independent Penile Intraepithelial Neoplasia: A Proposal for Subclassification. Am J Surg Pathol 47(12):1449–1460CrossRefPubMedPubMedCentral
19.
Zurück zum Zitat Kirtschig G, Kinberger M, Kreuter A et al (2024) EuroGuiderm guideline on lichen sclerosus-introduction into lichen sclerosus. J Eur Acad Dermatol Venereol 38(10):1850–1873CrossRefPubMed
20.
Zurück zum Zitat Cooper SM, Madnani N, Margesson L (2015) Reduced Risk of Squamous Cell Carcinoma With Adequate Treatment of Vulvar Lichen Sclerosus. JAMA Dermatol 151(10):1059–1060CrossRefPubMed

Passend zum Thema

ANZEIGE

Pneumokokken-Kinderimpfquote steigern!

Wie viel Prozent der Kinder sind in Deutschland im Alter von 24 Monaten vollständig gegen Pneumokokken geimpft? Und wie könnte die Impfquote weiter gesteigert werden? Hier geht’s zu den Antworten!

ANZEIGE

HPV-Impfung für Erwachsene – eine Rechnung die aufgeht!

Kostenübernahme der HPV-Impfung bei Erwachsenen – wir unterstützen Sie mit fundierten Informationen zur Verordnung und Abrechnung. So lassen sich bürokratische Hürden reduzieren und der Zugang zur HPV-Impfung erleichtern – für die Prävention bestimmter HPV-bedingter Erkrankungen.

ANZEIGE

Impfstoffe – Krankheiten vorbeugen, bevor sie entstehen

Seit mehr als 130 Jahren entwickelt und produziert MSD Impfstoffe für alle Altersgruppen. Hier finden Sie nützliche Informationen und Praxismaterialien rund um das Thema Impfen.

MSD Sharp & Dohme GmbH
Bildnachweise
Kleinkind rennt draußen, während es in die Luft zeigt/© William / Adobe Stock, Teaserbild HPV-Impfung für Erwachsene – eine Rechnung die aufgeht!/© syedfahadghazanfar / shutterstock, Neuer Inhalt/© MKC / shutterstock