Zum Inhalt

Percutaneous sacroiliac screw fixation with a 3D robot-assisted image-guided navigation system

Technical solutions

  • Open Access
  • 18.11.2024
  • Operative Techniken
Erschienen in:

Abstract

Objective

Presentation and description of percutaneous sacroiliac (SI) screw fixation with the use of a 3D robot-assisted image-guided navigation system and the clinical outcome of this technique.

Indications

Pelvic fractures involving the posterior pelvis.

Contraindications

Patients not suited for surgery.

Surgical technique

Planning the screws on the diagnostic computer tomogram (CT). Matching with a low-dose CT in the operating room. Lateral incision. Verify the guidewire position with the personalized inlet and outlet views. After correct positioning, place a cannulated screw over the guidewire. For fragility fractures, augmentation is recommended. Finish the surgery with a final 3D scan to confirm correct placement of the screws and cement.

Postoperative management

Direct postoperative mobilization with pain-adapted full weight-bearing.

Results

Data of 141 patients between January 2018 and August 2022 were analyzed (average age 82 ± 10 years, 89% female). Most of the fractures were type II fragility fractures of the pelvis (FFP; 75%). The median hospital stay was 12 ± 7 days and the median surgery duration for a unilateral SI screw was 26 min. In total 221 S1 screws and 17 S2 screws were applied. No screws showed signs of loosening or migration. Of the five suboptimally placed screws, one screw was removed due to sensory impairment. All patients with cement leakage remained without symptoms.

Conclusion

The surgical technique with the use of a 3D robot-assisted image-guided navigation system is a technique for safe fixation of dorsal fragility fractures of the pelvis and is associated with fewer complications.

Redaktion

Martin Hessmann, Fulda

Supplementary Information

The online version of this article (https://doi.org/10.1007/s00064-024-00871-9) contains supplementary images, explanations and video material, which are available to authorized users.
B.-C. Link and R.A. Haveman shared first authorship.
Supplementary material online – scan QR code

Publisher’s Note

Springer Nature remains neutral with regard to jurisdictional claims in published maps and institutional affiliations.

Introductory remarks

Percutaneous screw osteosynthesis has emerged as the procedure of choice for fixing the posterior pelvic ring due to its minimally invasive nature [18], lower risk of infection [4], rapid recovery [19] precise screw placement [14], and cost-effectiveness. First described in 1995 by Routt, this technique was initially challenging with high complication rates, mainly due to screw misplacement, nerve injuries, or screw failure (0–33%) [18]. But, over the years, this technique has improved, and complication rates are decreasing [7].
One of the most challenging aspects of the percutaneous screw fixation is intraoperative imaging [9]. Weak contrast due to decreased bone density, bowl gas overlay, and symphysis superposition can limit imaging quality [12]. Implementing a 3D robot-assisted image-guided navigation system might provide a reliable solution. By calibrating the 3D scan prior to surgery, the surgeon can easily switch between personalized inlet, outlet, and lateral views of the pelvis, ensuring consistency and efficiency throughout the procedure. Moreover, 3D robot-assisted image-guided navigation system allows for precise planning and intraoperative guidance of screw placement. Furthermore, intraoperative 3D scans can be obtained to confirm correct screw positions and allow for immediate correction of any misplacements.
While the advantages of this 3D robot-assisted image-guided navigation technology extend to all pelvic fractures, we have chosen to focus on its application in fragility fractures of the pelvis (FFP) due to the increased benefits it provides to this frail patient population.
The paper aims to present a standardized surgical technique and to address technical challenges and possible solutions. We share our clinical experience with 3D robot-assisted image-guidance in the surgical treatment of FFP using percutaneous sacroiliac screws.

Surgical principle and objective

The objective of percutaneous sacroiliac screw osteosynthesis of the pelvis is to achieve stabilization with minimal soft tissue dissection and short operation time. The use of a robot-assisted 3D image-guided navigation system allows for precise execution of the preoperative plan by intraoperative navigation of the screw path with the help of individually definable and exactly reproducible imaging planes by means of a high-resolution 3D scan.

Advantages

  • Short operation duration [15]
  • Minimal blood loss
  • Limited soft-tissue dissection
  • Precise determination, guidance, and control of the screw position
  • Early patient mobilization especially in frail patients
  • Reduced technical limitations in obese patients
  • Providing maximal contrasted x‑ray in osteopenic patients or bowl gas overlay

Disadvantages

  • Requires access to a hybrid operating room
  • Patient movement during the procedure may lead to loss of matching with the navigation system
  • Limited use of needle guidance in the anterior pelvic ring due to potential movement during posterior screw insertion and greater distance to the table
  • Learning curve for handling the hybrid operating room
  • Longer preparation, including draping and matching 3D scan

Indications

  • Fragility fractures of the pelvis type II, III, and IV
  • High-energy pelvic fractures

Contraindications

  • The patient is not fit for surgery according to anesthesiology assessment
  • Infection at site of screw insertion

Patient information

  • General risks of surgery
  • Screw loosening over time
  • Injury to the nerves (nerve roots S1, S2, and L5)
  • Injury to the vessels (branches of the superior gluteal artery)

Preoperative work-up

  • Perform a clinical examination of the pelvis, focusing on compression pain and tenderness over the sacrum and pubic rami.
  • Conduct a clinical neurological examination of the lower extremities.
  • Utilize a diagnostic CT for detection and classification of the fracture (appendix 1). Conventional X‑rays carry a high risk of misclassification [2].
  • Employ the diagnostic CT to measure the angles for the personalized inlet and outlet view, which are critical aspects of the presented method (Fig. 1). A comprehensive explanation of the personalized inlet and outlet angles is illustrated in appendix 2
Fig. 1
Determination of the personalized inlet angle (α) and personalized outlet angle (β) in the sagittal view. The dashed line encircles the bony part of the symphysis, the solid line encircles the sacral vertebral bodies, the black arrow points to the S1 body
Bild vergrößern

Instruments

  • Standard surgical instruments for osteosynthesis (scalpel, long pean, light mallet, screwdriver, power drill with guidewire adapter, forceps, needle holder)
  • Long 2.8 mm guidewires
  • Changing canula with hexagonal ending for secure insertion into the screw head
  • 7.3 mm cannulated screws with washer
  • If cement augmentation is considered: 7.5 mm fully threaded, cannulated, and fenestrated screws with integrated washer and augmentation kit with slow polymerizing polymethyl methacrylate (PMMA) bone cement
  • Optional: non-cannulated 3.5 or 4.5 mm or cannulated 7.3 mm fully threaded screws

Anesthesia and positioning

  • General anesthesia or compliant patient with spinal anesthesia
  • All patients receive a perioperative antibiotic prophylaxis (cefazolin 2 g single shot)
  • Supine positioning allows for fixation of the anterior and posterior pelvic ring and reduces anesthesiologic challenges. Prone positioning is also possible if the anterior pelvic ring is addressed in a retrograde manner.
  • The patient should be placed in the center of a radiolucent table, pelvic tilt and/or rotation should be avoided
  • Arms are positioned in front of the patients face and positioned in an arm holder device
  • Disinfection area includes the visible abdomen from the navel to mid thighs. Draping consists of a drape deeply tucked beneath the patient on either side, a self-adherent U‑drape starting just above the confluence of the major labia or the base of the penis, and a self-adherent drape covering half the navel and above. The loose ends of the drapes are collated to the inferior part of the radiolucent table to allow for free movement of the C‑arm (Fig. 2). After definitive patient positioning and draping, it must be tested that the C‑arm can move freely around the patient.
  • It is important that the patient lays completely still, and no position adjustments are made after the 3D scan.
Fig. 2
Positioning and draping of the patient. On two movable screens customizable views with intra- and preoperative images may be viewed. The robotic C‑arm is controlled by an operator or the control panel may be draped and operated by the surgeons. For the acquisition of a 3D scan the situs is additionally covered with loose drape
Bild vergrößern

Surgical technique

(Figs. 3, 4, 5, 6, 7, 8, 9, 10 and 11)
Fig. 3
The first step is performing a 3D scan for matching with the diagnostic CT scan for abbreviations and further explanations see appendix 3. The staff leaves the room during acquisition of the 3D scan to reduce radiation exposure. Matching consists of manual approximation, but final matching is done by the computer
Bild vergrößern
Fig. 4
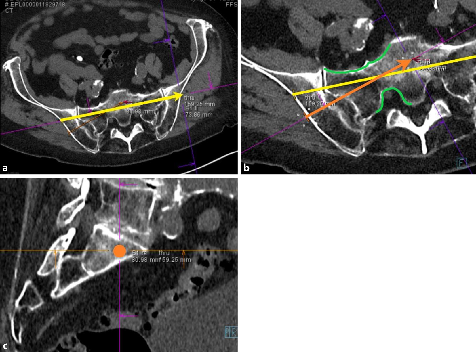
To facilitate an efficient workflow, screw pathway planning on the diagnostic CT is performed while preparing the patient in the hybrid theatre. The process of planning the screw pathways involves several steps. Firstly, ensure symmetrical alignment of the pelvis in all three planes. Then, an auxiliary pathway is defined (yellow arrow, a), to achieve the lateral view intraoperatively (Fig. 5) which is essential to determine the optimal entry point for the SI screw. The predefined personalized inlet, outlet, and lateral views (see appendix 2) are saved by the software system to allow swift intraoperative transition between these views. The next step involves planning the desired screws in the coronal and axial slices (orange arrow and dot,  bc). Two critical factors to consider are: ensuring the entry point is not too dorsal to avoid conflict with the operating table due to supine positioning of the patient, and the planned screw ideally transversing the corridor in the S1 body centrally between the ventral sacral cortex and the neuroforamen (green lines, b) [5]. The correct intraosseous path can be checked by scrolling forward and backward along the planned screws in the sagittal plane. These planned screw pathways can be projected with dotted lines on all fluoroscopic views intraoperatively (as shown in Figs. 67, and 9)
Bild vergrößern
Fig. 5
The surgeon stands on the ipsilateral side. Following team time-out, the C‑arm is positioned in the predefined lateral view (yellow arrow, Fig. 4a). The robotic C‑arm software enables approach to a planned screw path in the so-called bull’s eye view, aligning the central X‑ray beam precisely with the screw path. In Fig. 5, this path is displayed in the bull’s eye view as “thru”. To gain more space to work between the patient and the C‑arm, the C‑arm must be moved to the ipsilateral side. Typically, this results in a parallax effect if the patient is not aligned to the table. Manually this may be corrected by moving the C‑arm so the center of the image is aligned with planned entry point. The laser on the patient’s skin indicates the center of the fluoroscopy image. With SI screws typically positioned in a posterior-to-anterior direction (approximately 10–20°), the entry point is more dorsal, requiring a skin incision made 1–2 cm dorsal to the laser marker
Bild vergrößern
Fig. 6
Lateral fluoroscopic image with real-time projection of the planned guide-wire entry point (green cross), its direction (dotted line), and endpoint (red circle). The guidewire is positioned on the bone. Once correctly positioned, it is introduced into the bone via light mallet strikes until it penetrates three cortices. If the correct angle in the axial plane is achieved (usually 10–20°), the guidewire advances along the planned trajectory in the lateral view. The planned screw pathway is visible at all times on the fluoroscopic images, to allow for navigation and direct adjustment of the guidewire. To minimize the surgeon’s radiation exposure, the guidewire is held with a forceps
Bild vergrößern
Fig. 7
The guidewire position is verified using the predefined personalized inlet and outlet angles (see appendix 2). While alternating between these personalized angles, the guidewire can be repositioned and driven into its final position with the drill. Key to this process is keeping in mind the vital landmark: the slightly S‑shaped anterior cortex of the S1 vertebral body. In uncertain scenarios, a higher dosage x‑ray may be acquired, or the contralateral side extrapolated for reference. Possible mismatch between diagnostic and intraoperative CT may result in an inaccurate planned screw pathway overlay; in such cases, the overlay can still provide an estimated guidewire pathway and end position. After final placement of the guidewire, its length is measured
Bild vergrößern
Fig. 8
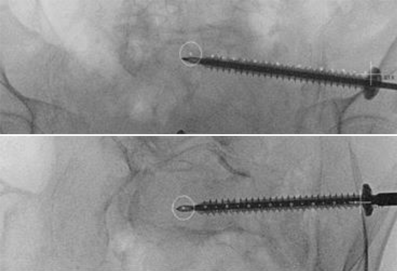
a Measurement of the intended screw length. b The guidewire is over drilled through three cortices with a 5.0 mm drill into the sacrum. Due to the osteoporotic bone, it is not necessary to over-drill the entire length of the guidewire. c A cannulated screw is manually inserted over the guidewire; a washer is utilized to prevent intrusion into the ilium. Correct snug positioning of the washer on the cortex is checked with an x‑ray in 20° ipsilateral tilt
Bild vergrößern
Fig. 9
At this stage, a 3D scan can be performed to verify the screws’ correct positioning. In our department, 3D scans are typically conducted at the end of the procedure. For introducing a second screw on the contralateral side, a mirrored version of the original lateral view is used to identify the correct entry point
Bild vergrößern
Fig. 10
For FFP we recommend augmentation [4, 8, 13]. a and b The augmentation trocar is placed over the guidewire and introduced into the screw head. The cement is prepared as per manufacturer guidelines, and the guidewire is replaced with the augmentation cannula before connecting a syringe filled with cement. c The cement typically spreads around the screw tip and via the fenestrations, with around 1–2 ml of cement used per screw. If the distribution is atypical, cement augmentation should be aborted
Bild vergrößern
Fig. 11
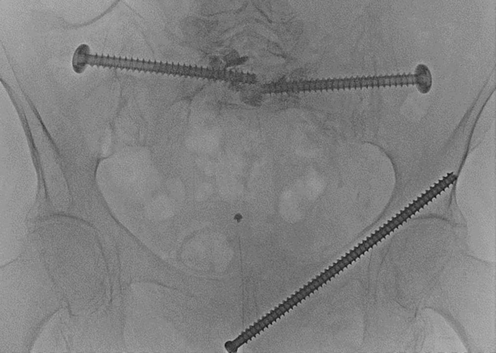
An overview of the pelvis showcasing the final results. All incisions are irrigated and closed by suture
Bild vergrößern

Special surgical considerations

  • For standardized positioning and collision-free movement, we recommend floor markings for all mobile devices, such as infusion stand, ventilator machine or suction machine.
  • The described sacroiliac screws and retrograde superior ramus screw may be combined with transiliosacral screws, sacral bars or sacroiliac screws in the S2 body.
  • This technique may be combined with open procedures and is highly adaptable.
  • The typical personalized outlet angle is approximately 40°. If this angle is not achievable intraoperatively due to potential collision of the C‑arm with the table, the highest possible angle should be accepted. The procedure becomes less complex with an increased difference between the angels of the personalized inlet and outlet views. Ideally, this difference would be 90°, as changes in one plane do not necessarily result in changes in the other.
  • However, typically the difference between angles is significantly lower than 90° (also see appendix 2).
  • The personalized inlet and outlet angle, described in appendix 2, are especially of advantage in elderly patients with dysmorphic pelvic characteristics [11].
  • In older patients with more elastic skin and soft tissues, guidewire repositioning is relatively easy compared to younger patients with firm skin, who may require pullback beneath the skin for redirection. Penetration of the washer into the ilium should be avoided because it typically causes persisting pain.
  • Even in cases in which sacral fractures are not evident on CT but patients report pain on sacral palpation, an imminent fracture may be assumed and, thus, a screw may be inserted due to low complication risk and minimal additional time (Table 1; [1])
Table 1
Our approach for screw placement indication
 
Painful
Not painful
Fracture visible in CT
+
+
Fracture not visible in CT
+
+ means screw indicated, − means no screw indicated

Postoperative management

  • Direct postoperative mobilization with pain adapted full weight bearing
  • Daily physiotherapy focused on stability, gait security and prevention of falling, breathing exercises
  • Main goal should be to regain the preoperative mobility and independence level and return to same domicile as before the fracture
  • Thromboembolic prophylaxis for at least 6 weeks postoperative [6]
  • Removal of skin sutures after 2 weeks
  • Clinical and radiological (anteroposterior pelvis X‑ray) follow-up after 6 weeks and 3–4 months
  • In cases of persisting pain until 6 weeks or pathological findings on conventional x‑ray additional CT is recommended

Errors and complications

  • Screw misplacement in the spinal canal or the neuroforamen with contact to the nerve root of S1 or S2
  • Cement leakage posterior into the neuroforamen or spinal canal with possible neurological symptoms
  • Intraoperative or postoperative bleeding, for example, injury of the superior gluteal artery. If recognized intraoperatively, it may be controlled by image-guided embolization.
  • General surgical and medical complications

Results

Data were collected from 141 patients who underwent 3D robot-assisted image-guided percutaneous sacroiliac screw fixation for fragility fractures between January 2018 and August 2022. The average patient age was 82 ± 10 years (95% confidence interval 78–90), with a majority being female (89%). Most of the fractures were type II, consistent with the literature (Fig. 12; [16, 17]).
Fig. 12
Distribution of fragility fractures of the pelvis (FFP) types
Bild vergrößern
Table 2 summarizes patient characteristics, highlighting gender distribution, median age, hospital stay duration, and timeline from trauma to diagnosis and surgery.
Table 2
Patient characteristics
 
n
 
95% CI
Female/Male (%)
126/15
89%/11%
Age (median in years)
85
78–90
Length of hospital stay (median in days)
10
7–15
Time from trauma till diagnosis (median in days)
1
0–14
Time from trauma till surgery (median in days)
13
6–28
Time from first diagnosis until surgery (median in days)
6
4–13
The time from trauma to surgery varied significantly due to referral delays or failure of conservative management. On average, diagnoses were made on the first day following trauma, and surgeries were typically performed 6 days postdiagnosis. As expected, surgery duration increased with the number of screws placed, with the median duration for one sacroiliac screw placement being 26 min (Table 3).
Table 3
Surgery duration
 
n
 
Range
Surgery duration (median in minutes)
70
12–272
Unilateral SI screw (median in minutes)
6
26
12–35
Bilateral SI screws (median in minutes)
16
49
34–102
SI + Transiliosacral screws (median in minutes)
1
179
Unilateral SI + anterior screw (median in minutes)
48
63
28–247
Bilateral SI + anterior screw (median in minutes)
63
75
47–272
Combination all (median in minutes)
3
154
79–157
Table 4 offers a detailed breakdown of the 238 screws placed in 141 patients, outlining the type of screws used and complications encountered. Direct postoperative complications, such are screw misplacement, cement leakage, bleeding or postoperative infection are reported for all patients. Long-term complications, such as secondary screw migration, is reported for 112 patients. The mean follow-up of those patients was 22 weeks (range 4–184 weeks). Five sacroiliac screws (1.3%) were placed suboptimally, identified by a 3D scan performed at the end of the procedure. These placements were within acceptable limits and only one required removal 9 days postoperatively due to sensory impairment. Five screws exhibited cement leakage into the neuroforamina. However, none of these patients reported neurological symptoms.
Table 4
Distribution of screws in numbers and % of all patients
 
S1 (n = 221)
S2 (n = 17)
Left
27 (7.0%)
8 (2.1%)
Right
26 (6.8%)
7 (1.8%)
Both
84 (21.9%)
1 (0.3%)
Complications
Screw misplacement ventral
4 (1.0%)
0
Screw misplacement foramen
0
1 (0.3%)
Cement leakage (foramen or spinal canal)
5 (1.3%)
0
Cement leakage (other)
5 (1.3%)
1 (0.3%)
Infection
0
0
Secondary screw migration
0
0
Given the low incidence and minimal clinical impact of screw misplacement and cement leakage, it has become common practice in our hospital to perform a 3D scan at the end of the procedure, following augmentation. However, a 3D scan can be carried out at any point during surgery if there is uncertainty about correct screw placement depending on local preferences and level of expertise.
No loosening or migration was observed in sacroiliac screws. There were no postoperative infections. Intraoperative bleeding was reported in 2 patients: one was controlled by compression and in the other patient an angiography was performed showing that the bleeding had stopped spontaneously.
The percutaneous screw fixation technique for pelvic fragility fractures has evolved over time, addressing various technical challenges. While technological advancements from 2D to 3D and nonnavigated to navigated screw placement did not significantly reduce complication rates, it positively influenced screw misplacement rates and operation duration [3, 10, 15, 20].

Declarations

Conflict of interest

B.-C. Link is a consultant for Siemens. R.A. Haveman, B. Van de Wall, R. Baumgärtner, R. Babst, F.J.P. Beeres and P. Haefeli declare that they have no competing interests.
For this article no studies with human participants or animals were performed by any of the authors. All studies mentioned were in accordance with the ethical standards indicated in each case.
Open Access This article is licensed under a Creative Commons Attribution 4.0 International License, which permits use, sharing, adaptation, distribution and reproduction in any medium or format, as long as you give appropriate credit to the original author(s) and the source, provide a link to the Creative Commons licence, and indicate if changes were made. The images or other third party material in this article are included in the article’s Creative Commons licence, unless indicated otherwise in a credit line to the material. If material is not included in the article’s Creative Commons licence and your intended use is not permitted by statutory regulation or exceeds the permitted use, you will need to obtain permission directly from the copyright holder. To view a copy of this licence, visit http://creativecommons.org/licenses/by/4.0/.

Publisher’s Note

Springer Nature remains neutral with regard to jurisdictional claims in published maps and institutional affiliations.
Download
Titel
Percutaneous sacroiliac screw fixation with a 3D robot-assisted image-guided navigation system
Technical solutions
Verfasst von
PD Dr. med. Björn-Christian Link
R. A. Haveman
B. J. M. Van de Wall
R. Baumgärtner
R. Babst
F. J. P. Beeres
P. C. Haefeli
Publikationsdatum
18.11.2024
Verlag
Springer Medizin
Erschienen in
Operative Orthopädie und Traumatologie / Ausgabe 1/2025
Print ISSN: 0934-6694
Elektronische ISSN: 1439-0981
DOI
https://doi.org/10.1007/s00064-024-00871-9
1.
Zurück zum Zitat Alnaib M, Waters S, Shanshal Y, Caplan N, Jones S, St Clair Gibson A et al (2012) Combined pubic rami and sacral osteoporotic fractures: a prospective study. J Orthop Traumatol 13(2):97–103CrossRefPubMedPubMedCentral
2.
Zurück zum Zitat Beelen G, Loggers SAI, de Wit BWK, Schakenraad D, Hofstee DJ, Joosse P et al (2022) Additional clinical value of routine CT imaging in fragility fractures of the pelvis: a prospective cohort study (ARTIFACT). Eur J Trauma Emerg Surg 48(6):4713–4718CrossRefPubMed
3.
Zurück zum Zitat Ciolli G, Caviglia D, Vitiello C, Lucchesi S, Pinelli C, De Mauro D et al (2021) Navigated percutaneous screw fixation of the pelvis with O‑arm 2: two years’ experience. Med Glas 18(1):309–315
4.
Zurück zum Zitat Collinge CA, Crist BD (2016) Combined percutaneous iliosacral screw fixation with sacroplasty using resorbable calcium phosphate cement for osteoporotic pelvic fractures requiring surgery. J Orthop Trauma 30:217–222
5.
Zurück zum Zitat Cruz HA, Angelis GP (2013) Sacroiliac secure corridor: analysis for safe insertion of iliosacral screws. Rev Bras Ortop 48(4):348–356CrossRefPubMedPubMedCentral
6.
Zurück zum Zitat El-Daly I, Reidy J, Culpan P, Bates P (2013) Thromboprophylaxis in patients with pelvic and acetabular fractures: a short review and recommendations. Injury 44(12):1710–1720CrossRefPubMed
7.
Zurück zum Zitat Gericke L, Fritz A, Osterhoff G, Josten C, Pieroh P, Hoch A (2022) Percutaneous operative treatment of fragility fractures of the pelvis may not increase the general rate of complications compared to non-operative treatment. Eur J Trauma Emerg Surg 48(5):3729–3735CrossRefPubMed
8.
Zurück zum Zitat Haveman RA, Baumlein M, van Veelen N, Oberkircher L, Beeres FJP, Babst R et al (2022) Percutaneous sacroiliac screw fixation in fragility fractures of the pelvis: comparison of two different augmentation techniques. Injury 53(12):4062–4066CrossRefPubMed
9.
Zurück zum Zitat Keil H, Grützner PA, Franke J (2018) Bildgebung in der Beckenchirurgie. OP-JOURNAL 34:5–16CrossRef
10.
Zurück zum Zitat Kress H, Klein R, Pohlemann T, Wolfl CG (2022) Sacroiliac screw placement with ease: CT-guided pelvic fracture Osteosynthesis in the elderly. Medicina 58(6)
11.
Zurück zum Zitat Lee HH, Kim WY, Lim YW, Byun YS, Lee SW (2021) Is there a correlation between fragility fractures of the pelvis (FFP) and the morphology of the true pelvis in geriatric patients? Eur J Trauma Emerg Surg 47(1):3–10CrossRefPubMed
12.
Zurück zum Zitat Mehta S, Auerbach JD, Born CT, Chin KR (2006) Sacral fractures. J Am Acad Orthop Surg 14:656–665CrossRefPubMed
13.
Zurück zum Zitat Osterhoff G, Dodd AE, Unno F, Wong A, Amiri S, Lefaivre KA et al (2016) Cement augmentation in sacroiliac screw fixation offers Modest biomechanical advantages in a cadaver model. Clin Orthop Relat Res 474(11):2522–2530CrossRefPubMedPubMedCentral
14.
Zurück zum Zitat Pohlemann T, Gänsslen A, Schellwald O, Culemann U, Tscherne H (1996) Outcome after pelvic ring injuries. Injury 27:31–38CrossRef
15.
Zurück zum Zitat Richter PH, Gebhard F, Dehner C, Scola A (2016) Accuracy of computer-assisted iliosacral screw placement using a hybrid operating room. Injury 47(2):402–407CrossRefPubMed
16.
Zurück zum Zitat Rommens PM, Hofmann A (2013) Comprehensive classification of fragility fractures of the pelvic ring: Recommendations for surgical treatment. Injury 44(12):1733–1744CrossRefPubMed
17.
Zurück zum Zitat Rommens PM, Hofmann A, Kraemer S, Kisilak M, Boudissa M, Wagner D (2022) Operative treatment of fragility fractures of the pelvis: a critical analysis of 140 patients. Eur J Trauma Emerg Surg 48(4):2881–2896CrossRefPubMed
18.
Zurück zum Zitat Routt ML, Simonian PT, Mills WJ (1997) Iliosacral screw fixation: early complications of the percutaneous technique. J Orthop Trauma 11:584–589CrossRefPubMed
19.
Zurück zum Zitat Smith W, Williams A, Agudelo J, Shannon M, Morgan S, Stahel P et al (2007) Early predictors of mortality in hemodynamically unstable pelvis fractures. J Orthop Trauma 21(1):31–37CrossRefPubMed
20.
Zurück zum Zitat Thakkar SC, Thakkar RS, Sirisreetreerux N, Carrino JA, Shafiq B, Hasenboehler EA (2017) 2D versus 3D fluoroscopy-based navigation in posterior pelvic fixation: review of the literature on current technology. Int J Comput Assist Radiol Surg 12(1):69–76CrossRefPubMed

Arthropedia

Grundlagenwissen der Arthroskopie und Gelenkchirurgie erweitert durch Fallbeispiele, Videos und Abbildungen. Zur Fortbildung und Wissenserweiterung, verfasst und geprüft von Expertinnen und Experten der Gesellschaft für Arthroskopie und Gelenkchirurgie (AGA).


Jetzt entdecken!

Neu im Fachgebiet Orthopädie und Unfallchirurgie

Linkshändige orthopädische Chirurgen: Spezies mit Handicap?

Es ist jetzt auch schon wieder rund 600 Millionen Jahre her, dass sich mit dem Erscheinen der Zweiseitentiere die Lateralität ausgebildet hat. In chirurgischen Fächern wie der Orthopädie hat das Folgen bis auf den heutigen Tag. Linkshänder wissen, wovon die Rede ist.

Mit Glukokortikoiden überbrücken? Studie stützt europäische Rheuma-Leitlinie

Glukokortikoide, die zu Beginn einer krankheitsmodifizierenden Rheumatherapie begleitend eingesetzt werden, lassen sich in den allermeisten Fällen planmäßig ausschleichen und absetzen: Das Ergebnis der ARCTIC-Studie spricht diesbezüglich für die europäische und gegen die US-amerikanische Leitlinie.

7% durch chronische Schmerzen stark beeinträchtigt

Laut einer Querschnittstudie leiden rund 7% der in Deutschland lebenden über 16-Jährigen unter chronischen Schmerzen, die ihren Alltag stark beeinträchtigen. Außer biologischen scheinen auch psychische und soziale Faktoren mit sogenanntem High-Impact Chronic Pain assoziiert zu sein.

Elektroschrott: Wie Praxen Altgeräte sicher entsorgen

Ob nun Sonogerät, Praxiscomputer oder gar TI-Konnektor: Einfach zum nächsten Wertstoffhof sollten Praxisteams ausgediente Elektrogeräte nicht bringen. Was bei der Entsorgung zu beachten ist. Und wie die Teams sicher sensible Daten auf PC-Festplatte, externem Datenspeicher und TI-Komponenten löschen.

Update Orthopädie und Unfallchirurgie

Bestellen Sie unseren Fach-Newsletter und bleiben Sie gut informiert.

Bildnachweise
Arthropedia, Hand greift nach Skalpell/© Morsa Images / Getty Images / iStock, Verschiedene Tabletten/© zozzzzo / Getty Images / iStock, Ultraschalluntersuchung der Niere/© Your_Photo_Today (Symbolbild mit Fotomodellen)