Zum Inhalt

Was ein Schizophreniepatient in seinem Magen hortet

  • 07.02.2025
  • Pica
  • Kritisch gelesen
Erschienen in:

Auszug

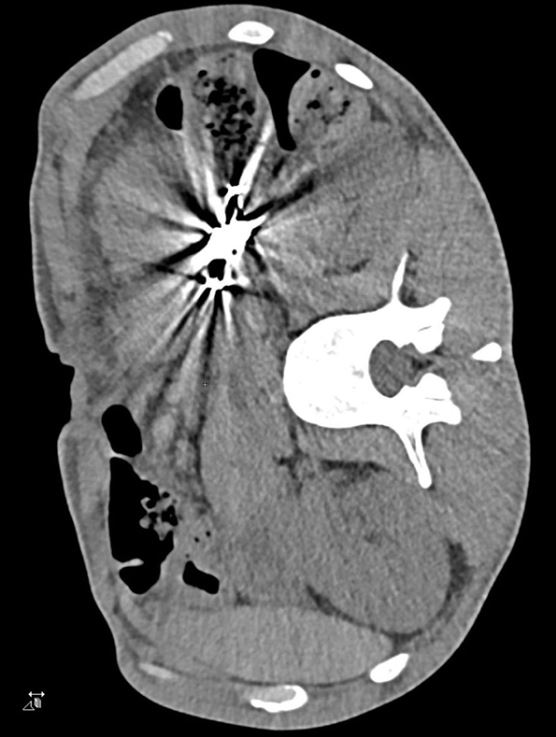
Seit zwei Wochen musste sich ein 42-jähriger Mann regelmäßig erbrechen; zudem hatte er über die letzten drei Monate 10 kg Gewicht verloren. Er wurde schließlich in einer internistischen Klinik vorstellig. Der Mann litt an einer schweren chronischen Schizophrenie, nahm aber keine Medikamente ein.
CT und 3D-CT-Rekonstruktion einer Raumforderung im Magen.
© CMAJ. 2024;196:E906-7
Bild vergrößern Bild vergrößern
Titel
Was ein Schizophreniepatient in seinem Magen hortet
Verfasst von
Cornelius Heyer
Publikationsdatum
07.02.2025
Verlag
Springer Medizin
Erschienen in
MMW - Fortschritte der Medizin / Ausgabe 2/2025
Print ISSN: 1438-3276
Elektronische ISSN: 1613-3560
DOI
https://doi.org/10.1007/s15006-025-4673-5

Kompaktes Leitlinien-Wissen Allgemeinmedizin (Link öffnet in neuem Fenster)

Mit medbee Pocketcards schnell und sicher entscheiden.
Leitlinien-Wissen kostenlos und immer griffbereit auf ihrem Desktop, Handy oder Tablet.

Facharzt-Training Allgemeinmedizin

Vorbereitungskurs zur Facharztprüfung Allgemeinmedizin

Die ideale Vorbereitung zur anstehenden Prüfung mit 100 klinischen Fallbeispielen verschiedener Themenfelder.

Kostenfrei für DEGAM-Mitglieder.

Mehr erfahren

Neu im Fachgebiet Allgemeinmedizin

Vorhaltepauschale: So viele Kriterien erfüllen Praxen laut Honorarvorschau

  • 10.12.2025
  • EBM
  • Nachrichten

Zum 1. Januar geht die Vorhaltepauschale an den Start. In Rheinland-Pfalz ist für Hausarztpraxen bereits jetzt durch eine Onlinefunktion erkennbar, welche Kriterien sie erfüllen – und wo sie nachlegen müssten. Auch für die KV ist manche Erkenntnis überraschend.

Unspezifischer und später Beginn einer Autoimmunerkrankung

Hinter Gelenkschmerzen, Gewichtsverlust und intermittierendem Fieber bei einer über 70-Jährigen steht eine schwere Erkrankung, die eigentlich eher mit einem Beginn in jüngeren Jahren und anderen Symptomen in Verbindung gebracht wird.


Aluminiumbasierte Adjuvanzien in Impfstoffen bleiben sicher

Aluminiumhydroxide gehören seit nahezu einem Jahrhundert zu den zentralen Adjuvanzien in Kinderimpfstoffen. Trotz ihrer langen Erfolgsgeschichte hinsichtlich Sicherheit und Wirksamkeit geraten sie immer wieder in die öffentliche Diskussion, da sie mit neurologischen Erkrankungen, Allergien und Autoimmunstörungen in Verbindung gebracht werden.

Woran versterben Super-Ager?

Auch wer in subjektiv guter Verfassung 80 Jahre oder älter wird, verstirbt letztlich an ähnlichen Ursachen wie weniger Fitte. Dafür sprechen zumindest Daten aus dem US-amerikanischen National Health Interview Survey.

EKG Essentials: EKG befunden mit System

In diesem CME-Kurs können Sie Ihr Wissen zur EKG-Befundung anhand von zwölf Video-Tutorials auffrischen und 10 CME-Punkte sammeln.
Praxisnah, relevant und mit vielen Tipps & Tricks vom Profi.

Update Allgemeinmedizin

Bestellen Sie unseren Fach-Newsletter und bleiben Sie gut informiert.

Bildnachweise
Die Leitlinien für Ärztinnen und Ärzte, Facharzttraining Allgemeinmedizin, Eine Hand die schreibt mit Computer daneben/© Chainarong Prasertthai / Getty Images / iStock (Symbolbild mit Fotomodell), Ältere Frau mit schmerzender Hand/© Evrymmnt / stock.adobe.com (Symbolbild mit Fotomodell), Mädchen bekommt eine Spritze in den Oberarm/© Photographee.eu / stock.adobe.com (Symbolbild mit Fotomodell), Ältere Frau mit Hanteln/© Satjawat / Stock.adobe.com (Symbolbild mit Fotomodell), EKG befunden mit System - EKG Essential/© Springer Medizin Verlag GmbH