Zum Inhalt
Die Dermatologie

Kutane Fernmetastase eines Pleuramesothelioms

Zusammenfassung

Kutane Metastasen eines Pleuramesothelioms sind selten und stellen aufgrund ihrer histopathologischen Heterogenität eine diagnostische Herausforderung dar. Wir präsentieren einen Fall, bei dem initial fälschlicherweise ein kutanes Plattenepithelkarzinom diagnostiziert wurde. Die korrekte Diagnose einer kutanen Metastasierung eines vorbekannten Pleuramesothelioms konnte erst durch eine differenzierte immunhistochemische Analyse gesichert werden. Die präzise histologische Klassifikation ist von hoher klinischer Relevanz, da das therapeutische Vorgehen insbesondere vom histologischen Subtyp sowie dem ECOG-Performance-Status des Patienten abhängt. Eine frühzeitige und exakte Diagnosestellung sowie die darauf basierende adäquate Therapieeinleitung sind prognostisch von entscheidender Bedeutung.
QR-Code scannen & Beitrag online lesen

Hinweis des Verlags

Der Verlag bleibt in Hinblick auf geografische Zuordnungen und Gebietsbezeichnungen in veröffentlichten Karten und Institutsadressen neutral.

Anamnese

Ein 85-jähriger Patient stellte sich mit einem innerhalb weniger Monate rasch progredienten kutanen Tumor im Bereich des rechten Kieferwinkels in unserer dermatologischen Ambulanz vor. Eine extern durchgeführte Probebiopsie ergab histologisch ein akantholytisches, mäßig differenziertes Plattenepithelkarzinom mit einem R1-Resektionsstatus. Klinisch bestand eine R2-Situation.
Zwei Jahre zuvor wurde bei dem Patienten ein linksseitiges, nichtoperables Pleuramesotheliom festgestellt. Die klinische Stadieneinteilung gemäß TNM-Klassifikation lautete zu diesem Zeitpunkt cT4, cN0, cM0 Stadium IIIB nach IASLC/UICC 8. Der lokal fortgeschrittene Tumor zeigte eine Infiltration in alle ipsilateralen Pleuraflächen (parietal, viszeral, mediastinal, diaphragmatisch) mit Pleuraerguss sowie eine Ausdehnung in die laterale Thoraxwand mit konsekutiver Destruktion der linken 7. Rippe im lateralen Abschnitt.
Im Rahmen einer interdisziplinären Tumorkonferenz wurde aufgrund des kompromittierenden Allgemeinzustandes eine palliative Chemotherapie mit Cisplatin und Pemetrexed im 21-Tage-Zyklus initiiert. Im weiteren Verlauf zeigten bildgebende Verlaufskontrollen mittels CT-Thorax und serieller Pleura- sowie Abdomensonographien eine Krankheitsstabilität ohne Tumorprogress, insbesondere keine infradiaphragmale Metastasierung. Die Therapie wurde aufgrund einer fortschreitenden chronischen Niereninsuffizienz (Stadium 3b nach KDIGO) auf eine Pemetrexed-Monotherapie umgestellt, jedoch infolge einer transfusionspflichtigen Panzytopenie abgebrochen. Angesichts des stabilen Krankheitsverlaufs, der deutlichen Blutbildveränderungen und des reduzierten Allgemeinzustandes wurde gemeinsam mit dem Patienten eine Therapiepause vereinbart.

Hautbefund

Bei Erstvorstellung zeigte sich am rechten lateralen Unterkiefer im Bereich des Angulus mandibulae, auf Höhe des M. masseter, ein ca. 25 mm großer, gestielter, erythematöser, erosiver und blutender kutaner Nodus (Abb. 1). Die Läsion war nicht gegenüber dem Untergrund verschieblich und ohne Druckschmerz. Die regionalen Lymphknoten waren klinisch unauffällig.
Abb. 1
Seitliche klinische Aufnahme bei Erstvorstellung. Dargestellt ist ein etwa 25 mm großer, exophytisch wachsender, blutender Nodus im Bereich des rechten lateralen Unterkiefers auf Höhe des Angulus mandibulae.
Bild vergrößern

Diagnostik

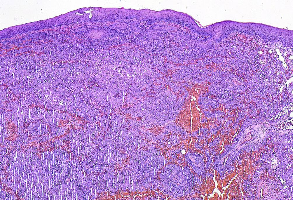
Histologisch zeigte sich nach durchgeführter histographisch kontrollierter Exzision ein exophytisch wachsender Tumor mit polymorphen, epitheloiden und teils diskohäsiv wachsenden Tumorzellen sowie ausgedehnten interstitiellen Hämorrhagien (Abb. 2). Die immunhistochemische Untersuchung ergab eine herdförmige Expression von Calretinin sowie eine homogene nukleäre Expression von WT1. Zudem waren CK5/6, D2-40 und AE1/AE3 positiv. Die Endothelien der Blutgefäße exprimierten CD31 und CD34. Die Tumorzellen zeigten keine Expression von S100, Melan A oder p40 (Abb. 3a–e).
Abb. 2
Hämatoxylin-Eosin-Färbung mit Darstellung eines mehrschichtig verhornten Plattenepithels der Haut. In der darunterliegenden Dermis zeigen sich ausgeprägte interstitielle Blutungen sowie eine Infiltration durch polymorphe, epitheloide, teils diskohäsiv wachsende Tumorzellen (Originalvergrößerung 100:1).
Bild vergrößern
Abb. 3
Immunhistochemische Untersuchung mit deutlicher Positivität für Calretinin (a); mit deutlicher, homogener nukleärer WT1-Expression (Wilms-Tumor-Protein) (b); mit Positivität für CK5/6 (Cytokeratin 5/6) (c) sowie D2-40 (Podoplanin) (d). Keine nachweisbare nukleäre oder zytoplasmatische p40-Expression in den Tumorzellen (e). Originalvergrößerung 100:1.
Bild vergrößern

Diagnose

Die ergänzende Immunhistochemie führte zur Revision der initialen Diagnose und bestätigte eine kutane Metastase eines malignen Pleuramesothelioms (MPM). Nach der IASLC/UICC-Klassifikation (TNM, 8. Auflage, 2017) entsprach dies einem cT4 cN0 pM1-Befund im Stadium IVB.

Therapie und Verlauf

Nach Sicherstellung eines R0-Resektionsstatus erfolgte die Defektdeckung mittels Dehnungsplastik in unserer dermatologischen Klinik. Der Fall wurde im Anschluss in der interdisziplinären Tumorkonferenz vorgestellt. Das Staging (CT von Hals bis Becken, cMRT) ergab keinen Anhalt für eine weitere Fernmetastasierung. Der Tumorkonferenzbeschluss beinhaltete die Reinitierung der Pemetrexed-Monotherapie sowie die Einbindung des Patienten in ein palliativ-supportives Behandlungskonzept.

Diskussion

Das MPM ist ein seltener, hochmaligner Tumor, der typischerweise durch eine langjährige Asbestexposition insbesondere in Form von Blau- (Amphibol) oder Weißasbest (Chrysotil) in Deutschland verursacht wird [1].
Neben dem Pleuramesotheliom sind auch Mesotheliome anderer Lokalisationen wie Peritoneum, Perikard oder Tunica vaginalis testis bekannt, wobei die pleurale Form am häufigsten auftritt [2]. Gemäß der WHO-Klassifikation werden 3 histologische Subtypen unterschieden: epitheloide, biphasische und sarkomatoide Varianten, wobei letztere beide zu den nicht-epitheloiden Subtypen zusammengefasst werden [3, 4]. Diese Einteilung besitzt prognostische und therapeutische Relevanz [5]. In etwa 60 % der Fälle liegt ein epitheloider Subtyp vor [6].
Das MPM zeigt eine primär lokale Infiltration, kann aber über lymphogene und hämatogene Routen oder iatrogen durch direkte Ausbreitungswege (z. B. entlang von Biopsiekanälen oder Operationsnarben) auch Fernmetastasen bilden [6, 7]. Zu den häufigsten Metastasierungsorten zählen thorakale Lymphknoten, die kontralaterale Pleura, die Lunge und das Peritoneum [2]. Eine kutane Metastasierung im Rahmen eines MPM wie im vorliegenden Fall stellt eine seltene Manifestation dar. Bevorzugte Lokalisationen kutaner Metastasen sind typischerweise das Gesicht, die Kopfhaut sowie der Thorax [8]. Kutane Metastasen entwickeln sich meist wenige Monate nach Primärdiagnose, werden aber auch noch Jahre später beobachtet.
Collins et al. (2020) berichten über 2 Fälle solcher kutanen Manifestationen an der Stirn bei MPM sowie im Bereich der Oberlippe bei thorakalem und abdominellem malignem Mesotheliom. Abgesehen von den beiden 2020 publizierten Fällen kutaner Metastasen eines MPM in der Kopf-Hals-Region finden sich in der Literatur zwischen 1968 und 2010 lediglich 13 weitere dokumentierte Fälle – überwiegend bei männlichen Patienten (n = 11; 84,6 %) [9].
Besonders hervorzuheben ist das selten beschriebene Phänomen der isoradiotropen Reaktion – einer metastatischen Manifestation in zuvor bestrahlten Arealen. Dieses Muster wurde unter anderem bei einem 68-jährigen Patienten mit malignem Pleuramesotheliom und V.-cava-superior-Infiltration beobachtet, bei dem sich nach palliativer Bestrahlung eine kutane Metastase in der bestrahlten Brust- und Halsregion entwickelte [1]. Der pathophysiologische Mechanismus dieser Lokalisation ist bislang nicht abschließend geklärt. Diskutiert werden strahlungsinduzierte Veränderungen des lokalen Gewebemikromilieus, einschließlich einer gestörten Immunüberwachung, erhöhter vaskulärer Permeabilität sowie einer Modulation von Adhäsionsmolekülen, die das Tumorzellhoming begünstigen könnten [10]. Im Fall unseres Patienten lag keine entsprechende Vorbestrahlung des Primarius oder der betroffenen kutanen Region vor, sodass der Befund nicht im Sinne einer isoradiotropen Reaktion zu interpretieren war.
Die Diagnose eines epitheloiden Mesothelioms anhand einer Hautbiopsie ist aufgrund seiner histologischen Variabilität herausfordernd und muss von Differenzialdiagnosen wie Adenokarzinomen (Lunge, Kolon), Nierenzell- und Prostatakarzinomen sowie vaskulären Neoplasien wie Angiosarkomen abgegrenzt werden [11]. In unserem Fall erfolgte die extern gestellte Diagnose eines kutanen Plattenepithelkarzinoms ausschließlich auf Basis einer externen Probebiopsie ohne immunhistochemische Zusatzuntersuchungen. Insbesondere bei akantholytischen, mäßig differenzierten Tumoren gestaltet sich die feingewebliche Differenzierung ohne immunhistochemische Untersuchung häufig als besonders schwierig und kann leicht zu Fehldiagnosen führen. Die Tab. 1 zeigt differenzialdiagnostisch relevante Entitäten, bei denen die Immunhistochemie aufgrund histologischer Überschneidungen diagnostisch richtungsweisend ist.
Tabelle 1
Relevante klinische sowie histopathologische Differenzialdiagnosen mit Immunhistochemischen Charakteristika im Vergleich.
Entität
Positive IHC
Negative IHC
MPM
Calretinin
WT1
D2-40
AE1/3
CK5/6
EMA
p40
CD34
CD31
BerEP4/MOC31
Plattenepithelkarzinom (SCC)
CK5/6
p40
EMA
Calretinin
WT1
D2-40
Basalzellkarzinom (BCC)
AE1/3
BerEP4
EMA
Calretinin
Angiosarkom
D2-40
CD34/CD31
ERG
FLI1
WT1
AE1/3
Calretinin
CK5/6
Ekkrines Karzinom
AE1/3
EMA
BerEP4
D2-40
Calretinin
Karzinom-Metastasen
AE1/3
MOC31
D2-40
Calretinin
IHC Immunhistochemie, MPM Kutane Metastase eines epitheloiden Pleuramesothelioms
Für die Diagnose eines MPM empfiehlt die Internationale Mesotheliom Interest Group (IMIG) den Einsatz eines immunhistochemischen Panels mit mindestens 2 mesothelialen (z. B. Calretinin, Wilms-Tumor-Protein 1 [WT1], Podoplanin [D2-40], Cytokeratin 5/6 [CK5/6]) und 2 karzinomspezifischen Markern (z. B. CEA, TTF‑1, EpCAM, MOC-31). Für die Abgrenzung gegenüber Adenokarzinomen werden typischerweise folgende Marker eingesetzt: TTF‑1 („thyroid transcription factor-1“), welches hochspezifisch für pulmonale Adenokarzinome ist, CEA („carcinoembryonale antigen“) sowie MOC-31 („epithelial cell adhesion molecule“[EpCAM]-Antikörper) [2, 12, 13]. Bei Verdacht auf ein sarkomatoides Mesotheliom ist die Expression von breitbandigen Zytokeratinen (z. B. AE1/AE3) entscheidend, da sarkomatoide Tumoren mesothelialer Herkunft Zytokeratine exprimieren im Gegensatz zu vielen echten Sarkomen.
Bei nichtresezierbarem MPM mit epitheloider Histologie sowie bei nicht-epitheloiden Subtypen ohne hohen Remissionsdruck wird zunehmend die Kombination der Checkpointinhibitoren Nivolumab und Ipilimumab als Erstlinientherapie eingesetzt [2]. In der Zulassungsstudie CheckMate743 zeigte sich für diese Immuntherapie ein Überlebensvorteil im Vergleich zur platinbasierten Chemotherapie. Zudem war die Symptomkontrolle (z. B. Fatigue, Dyspnoe, Schmerzen) verbessert und die Lebensqualität im Immuntherapiearm höher [1, 14]. Daher wird die Kombination aus Nivolumab und Ipilimumab bei beiden histologischen Subtypen als potenzielle Therapieoption betrachtet.
Bei resezierbarem epitheloidem MPM sowie bei nichtresezierbaren Tumoren mit hohem Remissionsdruck stellt die platinbasierte Chemotherapie mit Cisplatin und Pemetrexed weiterhin den empfohlenen Therapiestandard dar – wie auch im vorliegenden Fall [15, 16]. Als Zweitlinientherapie kann in solchen Fällen, bei nichtoperabler Krankheitssituation und nicht erfolgter Immuntherapie in der Erstlinie die Kombination aus Nivolumab und Ipilimumab im Off-label-Use erwogen werden. Bei Kontraindikationen gegenüber Cisplatin und/oder Pemetrexed kann Pemetrexed durch Vinorelbin oder Gemcitabin und Cisplatin ggf. durch Carboplatin ersetzt werden [17, 18].

Fazit für die Praxis

  • Bei neu aufgetretenen Hautveränderungen bei Patienten mit Pleuramesotheliom sollten auch kutane Metastasen als Differenzialdiagnose in Betracht gezogen werden, da ihre korrekte Identifikation entscheidend ist und den Behandlungsverlauf maßgeblich beeinflussen kann.
  • Für die sichere immunhistochemische Abgrenzung eines Pleuramesothelioms von anderen malignen Entitäten, insbesondere pulmonalen und gastrointestinalen Adenokarzinomen, empfiehlt die Internationale Mesotheliom Interest Group (IMIG) die Anwendung eines Markerpanels mit mindestens 2 mesothelialen und 2 karzinomspezifischen Markern, um eine diagnostische Präzision und Sicherheit zu gewährleisten.
  • Die Immuntherapie mit Kombinationen aus Ipilimumab und Nivolumab etabliert sich zunehmend als therapeutische Option bei MPM und zeigt insbesondere in fortgeschrittenen und nichtresezierbaren Fällen ein vielversprechendes klinisches Potenzial.

Einhaltung ethischer Richtlinien

Interessenkonflikt

A. Aliu, K. Hohaus, U.P. Wehry, Z. Deeb, F. Oellig, T. Gambichler, S.-N. Burmann und A. Kreuter geben an, dass kein Interessenkonflikt besteht.
Für diesen Beitrag wurden von den Autor/-innen keine Studien an Menschen oder Tieren durchgeführt. Für die aufgeführten Studien gelten die jeweils dort angegebenen ethischen Richtlinien. Für Bildmaterial oder anderweitige Angaben innerhalb des Manuskripts, über die Patient/-innen zu identifizieren sind, liegt von ihnen und/oder ihren gesetzlichen Vertretern/Vertreterinnen eine schriftliche Einwilligung vor.
Open Access Dieser Artikel wird unter der Creative Commons Namensnennung 4.0 International Lizenz veröffentlicht, welche die Nutzung, Vervielfältigung, Bearbeitung, Verbreitung und Wiedergabe in jeglichem Medium und Format erlaubt, sofern Sie den/die ursprünglichen Autor(en) und die Quelle ordnungsgemäß nennen, einen Link zur Creative Commons Lizenz beifügen und angeben, ob Änderungen vorgenommen wurden. Die in diesem Artikel enthaltenen Bilder und sonstiges Drittmaterial unterliegen ebenfalls der genannten Creative Commons Lizenz, sofern sich aus der Abbildungslegende nichts anderes ergibt. Sofern das betreffende Material nicht unter der genannten Creative Commons Lizenz steht und die betreffende Handlung nicht nach gesetzlichen Vorschriften erlaubt ist, ist für die oben aufgeführten Weiterverwendungen des Materials die Einwilligung des jeweiligen Rechteinhabers einzuholen. Weitere Details zur Lizenz entnehmen Sie bitte der Lizenzinformation auf http://creativecommons.org/licenses/by/4.0/deed.de.

Hinweis des Verlags

Der Verlag bleibt in Hinblick auf geografische Zuordnungen und Gebietsbezeichnungen in veröffentlichten Karten und Institutsadressen neutral.
download
DOWNLOAD
print
DRUCKEN
Titel
Kutane Fernmetastase eines Pleuramesothelioms
Verfasst von
Antigona Aliu
Katja Hohaus
Ulrich Peter Wehry
Zain Deeb
Frank Oellig
Thilo Gambichler
Sven-Niklas Burmann
Prof. Dr. med. Alexander Kreuter
Publikationsdatum
08.10.2025
Verlag
Springer Medizin
Erschienen in
Die Dermatologie
Print ISSN: 2731-7005
Elektronische ISSN: 2731-7013
DOI
https://doi.org/10.1007/s00105-025-05575-0
1.
Zurück zum Zitat Abou Shahla W, Khoury DM, Saade D (2024) Cutaneous metastasis from pleural mesothelioma at site of radiation therapy: Case report and review of the literature. JAAD Case Rep 54:37–40CrossRefPubMedPubMedCentral
2.
Zurück zum Zitat Metzenmacher M, Aigner C, Curioni-Fontecedro A et al (2023) Malignes Pleuramesotheliom (ICD-10: C45.0) – Leitlinie zur Diagnostik und Therapie hämatologischer und onkologischer Erkrankungen. Deutsche Gesellschaft für Hämatologie und Medizinische Onkologie (DGHO). https://www.onkopedia.com/de/onkopedia/guidelines/pleuramesotheliom/@@guideline/html/index.html#litID0E3KAG. Zugegriffen: 2015
3.
Zurück zum Zitat Galateau-Salle F, Churg A, Roggli V et al (2016) World Health Organization Committee for Tumors of the Pleura. The 2015 World Health Organization Classification of Tumors of the Pleura: Advances since the 2004 Classification. J Thorac Oncol 11(2):142–154CrossRefPubMed
4.
Zurück zum Zitat Beasley MB, Galateau-Salle F, Dacic S (2021) Pleural mesothelioma classification update. Virchows Arch 478:59–72CrossRefPubMed
5.
Zurück zum Zitat Dacic S (2022) Pleural mesothelioma classification—update and challenges. Mod Pathol 35(Suppl 1):51–56CrossRefPubMed
6.
Zurück zum Zitat Ward RE, Ali SA, Kuhar M (2017) Epithelioid malignant mesothelioma metastatic to the skin: a case report and review of the literature. J Cutan Pathol 44(12):1057–1063CrossRefPubMed
7.
Zurück zum Zitat Mori T, Yamamoto T (2021) Skin metastasis of malignant mesothelioma. An Bras Dermatol 96(5):642–643CrossRefPubMedPubMedCentral
8.
Zurück zum Zitat Elbahaie AM, Kamel DE, Lawrence J et al (2009) Late cutaneous metastases to the face from malignant pleural mesothelioma: a case report and review of the literature. World J Surg Oncol 7:84CrossRefPubMedPubMedCentral
9.
Zurück zum Zitat Collins K, Nagarajan P, Aung PP (2020) Distant cutaneous metastasis of malignant epithelioid mesothelioma. J Cutan Pathol 48(7):902–907CrossRefPubMed
10.
Zurück zum Zitat Ruocco E, Caccavale S, Siano M et al (2014) Radiation port cutaneous metastases: a further example of immunocompromised district. Indian J Dermatol 59(3):302–303CrossRefPubMedPubMedCentral
11.
Zurück zum Zitat Abban C, Viglione M (2009) Peritoneal mesothelioma presenting as a skin nodule. J Cutan 36(6):675–679CrossRef
12.
Zurück zum Zitat Terada T (2011) Skin metastasis of pleural epithelioid malignant mesothelioma. Appl Immunohistochem Mol Morphol 19(1):92–93CrossRefPubMed
13.
Zurück zum Zitat Sinn K, Mosleh B, Hoda MA (2021) Malignant pleural mesothelioma: recent developments. Curr Opin Oncol 33(1):80–86CrossRefPubMed
14.
Zurück zum Zitat Baas P, Scherpereel A, Nowak AK et al (2021) First-line nivolumab plus ipilimumab in unresectable malignant pleural mesothelioma (CheckMate 743): a multicentre, randomised, open-label, phase 3 trial. Lancet 397:375–386CrossRefPubMed
15.
Zurück zum Zitat Vogelzang NJ, Rusthoven JJ, Symanowski J et al (2003) Phase III study of pemetrexed in combination with cisplatin versus cisplatin alone in patients with malignant pleural mesothelioma. J Clin Oncol 21:2636–2644CrossRefPubMed
16.
Zurück zum Zitat Ceresoli GL, Aerts JG, Dziadziuszko R et al (2019) Tumour Treating Fields in combination with pemetrexed and cisplatin or carboplatin as first-line treatment for unresectable malignant pleural mesothelioma (STELLAR): a multicentre, single-arm phase 2 trial. Lancet Oncol 20(12):1702–1709CrossRefPubMed
17.
Zurück zum Zitat de Gooijer CJ, van der Noort V, Stigt JA et al (2021) Switch-maintenance gemcitabine after first-line chemotherapy in patients with malignant mesothelioma (NVALT19): an investigator-initiated, randomised, open-label, phase 2 trial. Lancet Respir Med 9(6):585–592CrossRefPubMed
18.
Zurück zum Zitat Zauderer MG, Kass SL, Woo K et al (2014) Vinorelbine and gemcitabine as second- or third-line therapy for malignant pleural mesothelioma. Lung Cancer 84(3):271–274CrossRefPubMed
19.
Zurück zum Zitat Osama MA, Gaur K, Chatterjee P et al (2023) Acantholytic Squamous Cell Carcinoma: a Diagnostic Pitfall on Cytology. Indian J Surg Oncol 14(4):963–967CrossRefPubMedPubMedCentral
20.
Zurück zum Zitat Mardi K, Singh N (2014) Acantholytic squamous cell carcinoma of the oral cavity: A rare entity. J Oral Maxillofac Pathol 18(Suppl 1):S128–30CrossRefPubMedPubMedCentral
21.
Zurück zum Zitat Yorita K, Tsuji K, Takano Y et al (2018) Acantholytic squamous cell carcinoma of the lung with marked lymphogenous metastases and high titers of myeloperoxidase-antineutrophil cytoplasmic antibodies: a case report. Bmc Cancer 18:300CrossRefPubMedPubMedCentral
22.
Zurück zum Zitat Beer TW, Shepherd P, Theaker JM (2000) Ber EP4 and epithelial membrane antigen aid distinction of basal cell, squamous cell and basosquamous carcinomas of the skin. Histopathology 37(3):218–223CrossRefPubMed
23.
Zurück zum Zitat Pisacane AM, Picciotto F, Risio M (2007) CD31 and CD34 expression as immunohistochemical markers of endothelial transdifferentiation in human cutaneous melanoma. Cell Oncol 29(1):59–66PubMedPubMedCentral
24.
Zurück zum Zitat Dennis JL, Hvidsten TR, Wit EC et al (2005) Markers of adenocarcinoma characteristic of the site of origin: development of a diagnostic algorithm. Clin Cancer Res 11:3766–3772CrossRefPubMed
25.
Zurück zum Zitat Bishop JA, Teruya-Feldstein J, Westra WH et al (2012) p40 (∆Np63) is superior to p63 for the diagnosis of pulmonary squamous cell carcinoma. Mod Pathol 25(3):405–415CrossRefPubMed
26.
Zurück zum Zitat Ordóñez NG (2005) D2-40 and podoplanin are highly specific and sensitive immunohistochemical markers of epithelioid malignant mesothelioma. Hum Pathol 36(4):372–380CrossRefPubMed
27.
Zurück zum Zitat Fukunaga M (2005) Expression of D2-40 in lymphatic endothelium of normal tissues and in vascular tumours. Histopathology 46(4):396–402CrossRefPubMed

Passend zum Thema

Kongressdossier zum Deutschen Krebskongress 2026

18. - 21. Februar 2026 | Berlin
Auf dieser Seite werden wir Sie mit tagesaktuellen Berichten vom Deutschen Krebskongress auf dem Laufenden halten. Vor dem Start des Kongresses finden Sie hier zudem Ausblicke auf spannende Themen, die vor Ort diskutiert werden. Expertinnen und Experten erzählen, auf welche DKK-Sessions sie sich besonders freuen.

Bildnachweise
Kutane Fernmetastase eines Pleuramesothelioms/© Aliu A et al. doi.org/10.1007/s00105-025-05575-0 unter CC-BY 4.0, Berlin/© amyrxa / stock.adobe.com