Zum Inhalt

POCUS, how can we include the brain? An overview

  • Open Access
  • 01.12.2022
  • Review
Erschienen in:

Abstract

Point-of-care ultrasound (POCUS) is an essential tool to assess and manage different pathologies in the intensive care unit, and many protocols have been proposed for its application in critical care literature. However, the brain has been overlooked in these protocols.
Brain ultrasonography (BU) is easily available, and it allows a goal-directed approach thanks to its repeatability and immediate interpretation and provides a quick management and real time assessment of patients’ conditions. Based on recent studies, the increasing interest from intensivists, and the undeniable benefits of ultrasound, the main goal of this overview is to describe the main evidence and progresses in the incorporation of BU into the POCUS approach in the daily practice, and thus becoming POCUS-BU. This integration would allow a noninvasive global assessment to entail an integrated analysis of the critical care patients.
Additional file 1: Video 1.
Additional file 2: Video 2.

Supplementary Information

The online version contains supplementary material available at https://doi.org/10.1186/s44158-022-00082-3.

Publisher’s Note

Springer Nature remains neutral with regard to jurisdictional claims in published maps and institutional affiliations.

Introduction

Point-of-care ultrasound (POCUS) is an essential tool in intensive care units to assess and manage pathologies of the heart, lungs, vessels, and abdomen [13]. Several protocols, such as Rush, Fast, and LUS, have been included in the critical care practice [13]. Nevertheless, the brain has been overlooked in these protocols.
A recent consensus of experts’ recommendations regarding the basic skills for “head to toes” ultrasonography in the intensive care setting included in its recommendations also the use of the brain ultrasound (BU) for triage or clinical suspicion for intracranial hypertension [4]. Although there is a lack of conclusive evidence surrounding BU and therefore the panel was unable to provide strong recommendations on the majority of circumstances related to the brain [4], this consensus paved the way for the inclusion of BU in ultrasonography evaluation of critically ill patients. Over the last decade, there has been a rising interest in this field and updated studies have been consistently published showing that BU can be an important technique to routinely provide imaging and assess cerebrovascular alterations [58].
BU is considered a relatively simple method and short-term learning program, where reliable results can be achieved even if conducted by inexperienced operators [9, 10]. Nevertheless, BU is characterized by some limitations, such as the necessity of patent transcranial acoustic windows and operator dependency. To address this concern, a recent consensus aimed to define a standardized approach for the use of BU, defining the various levels of skills/competencies associated with this technique [11].
Besides the well-known benefits of being non-invasive, safe, and bedside [12], the advantage of bringing physicians and intensivists closer to the patient is unquestionable, as it forces them to constantly reassess the efficiency of their management. Incorporating the BU to POCUS (POCUS-BU) could add another piece of the puzzle to complement the global ultrasound assessment.
Therefore, the main aim of this review is to describe the techniques and applications for POCUS-BU in critical care patients, as well as provide evidence of its utility in guiding clinical management in intensive care units.

How it is performed

There are two existing types of BU evaluation: traditional transcranial Doppler (TCD), which provides information regarding the cerebral blood flow velocity of the main vessels, and transcranial color-coded duplex Doppler sonography (TCCD), which combines B-mode and color Doppler imaging.

TCD ultrasonography

TCD was first described in 1982 by Aaslid et al. [13] as a readily available, noninvasive, and reproducible technique used to evaluate cerebral blood flow (CBFV) hemodynamics through the insonation of the basal cerebral arteries, usually performed with a 2–2.5 MHz probe.
The TCD technique is based on the Doppler effect, according to which a sound wave, emitted with a certain frequency, strikes a moving object (e.g., red blood cells moving in an insonated vessel), and produces a reflected wave with a different frequency (the Doppler shift), directly proportional to the velocity of the object [10]. The normal spectral waveform has a characteristic shape: a sharp systolic upstroke and stepwise deceleration with positive end-diastolic flow (Fig. 1) resulting in a peak systolic velocity (PSV in cm/s), end-diastolic velocity (EDV in cm/s), and mean flow velocity (MFV in cm/s). The POCUS-BU can therefore analyze the waveform itself, as certain pathologies can alter FV waveform, but it cannot provide any information on cerebral anatomy.
Fig. 1
Representation of the transcranial Doppler ultrasonography showing cerebral blood flow velocity. PSV, peak systolic velocity; DV, diastolic velocity; MFV, mean flow velocity
Bild vergrößern

Windows for insonation

Transtemporal approach

This view is obtained by positioning the probe between the tragus and the lateral orbit wall, with the probe marker facing toward the eye. The first step of POCUS-BU using TCD could be to assess the CBFV of the middle cerebral artery (MCA) through the transtemporal window, which has been considered by a recent expert consensus as a basic skill for BU [11]. MCA is responsible for approximately 70% of the flow from internal carotid artery (ICA) and 70 to 80% of CBF comes from bilateral ICA. Therefore, the analysis of MCA bilaterally can bring enough information about CBF. The additional acoustic windows are also accessible through BU; however, this requires a more advanced training and is considered a basic-plus skill [11].
It is important to note that POCUS-BU emphasizes measurements of the MCA, although in this window it is possible to evaluate the anterior cerebral artery (ACA), posterior cerebral artery (PCA), and anterior communicating artery (PCOM) as well. The depth, sharpness, and sound help to differentiate the curves of blood flow velocities (Fig. 2). Insonation of these arteries is considered a basic-plus skill [11].
Fig. 2
The figure represents the transtemporal, transorbital, and suboccipital bone window and the normal curve of blood flow velocity with its pattern, depth, value, pulsatility, and resistance index. A Transtemporal window and middle cerebral artery in 55mm of depth. B Anterior cerebral artery in 74mm of depth. C Posterior cerebral artery in 59mm of depth. D Transorbital window and siphon artery in 70mm of depth. E Suboccipital window and Basilar artery in 80–110mm of depth
Bild vergrößern

Transorbital window

Transorbital insonation can be used to evaluate the ipsilateral ophthalmic artery and the ICA siphon. The transducer is placed gently over the eyelid and angled slightly toward the medial and upward (Fig. 2 (D)). The ICA siphon is also considered a basic-plus skill [11].

Suboccipital window

To obtain this view, the operator should turn the patient’s face to one side and place the transducer just below and medial to the mastoid process, directing the transducer slightly medially toward the bridge of the nose or contralateral eye.
The suboccipital window is key to obtain flow signals from the vertebral arteries (VA) and the basilar artery (BA). The latter may be visualized by aiming the transducer slightly upward and medially and increasing the depth. If the BA cannot be visualized, one may place the transducer just below the occipital protuberance and guide it toward the nasal bridge, commonly called the transforaminal window. The flow from the basilar artery is directed away from the transducer, producing a negative wave (Fig. 2 (B)). Insonation of the vessels in the cerebral posterior circulation is considered a basic-plus skill [11].

Submandibular window

Transducer should be placed laterally, under the jaw anterior and medial to the sternocleidomastoid muscle, directing the transducer upwards and slightly medially with a depth of 50mm. The distal ICA should be visualized as a low-resistance flow signal directed away from the transducer.

TCCD ultrasonography

TCCD combines B-mode and color Doppler imaging. This technique provides some advantages compared to traditional TCD, due to its capability of assessing both the intracerebral vascular system and anatomical structures, either bone or parenchymal [12]. TCCD is usually performed using a 2–2.5-MHz sectorial transducer probe that allows visualization of the main cerebral structures and vessels. According to recent consensus, the insonation of transtemporal planes below is considered a basic-plus skill [11].

The mesencephalic plane

It is the most basal plane and allows the identification of the contralateral skull as principal landmark (usually at 12–15cm) confirming the presence of an adequate insonation window. The midbrain is usually easily identified at the midline, resembling a butterfly with the wings directed anteriorly (also called Mickey face) (Fig. 3 (C)).
Fig. 3
The transtemporal window approach and the three images of the brain’s ultrasonography planes. A Ventricular plan. B Diencephalic plan. C Mesencephalic plan
Bild vergrößern

Diencephalic plane

It can be evaluated from the mesencephalic plane. An approximate 10° cranial tilting of ultrasound beam allows the identification of the third ventricle, visualized as two pulsating parallel lines (usually less than 10mm apart) positioned slightly more cranially and anteriorly to the midbrain (Fig. 3 (B)).

Ventricular plane

In this plane, an additional cranial tilting of the ultrasound beam allows visualization of the thalamus and frontal horns of the lateral ventricles (Fig. 3 (A)).
The evaluation of these anatomical structures has been considered a basic-plus skill in a recent expert consensus on skill recommendations and competency levels in performing BU within the critical care setting [11].

Main indexes obtained with TCD/TCCD

Pulsatility index (PI)

The resistance of intra-arterial flow can be assessed by measuring the PI, which is calculated by subtracting end-diastolic velocity from peak systolic velocity and dividing the resulting value by the mean flow velocity [14]. The PI is independent of the angle of insonation, and a value of more than 1.3 represents high resistance blood flow [14]. Furthermore, in some specific cases, this can be linked to high ICP (see the “Clinical applications” section and Fig. 5).
$$\textrm{PI}=\left(\textrm{PSV}-\textrm{EDV}\right)/\textrm{MFV}$$

Intracranial pressure estimation (ICPtcd)

Cerebral perfusion pressure (CPPe) and ICP estimation through TCD (ICPtcd) have been studied for more than 20 years [15]. Recent studies suggest that ICPtcd has high negative predictive value in ruling out intracranial hypertension and may be useful to clinicians in situations where invasive methods cannot be used or are unavailable [7, 16].
The intracranial pressure estimation by TCD (ICPtcd) formula is a mathematical model which comprises parameters derived from BU flow velocities and arterial blood pressure [15].
$${\displaystyle \begin{array}{c}\textrm{CPPe}=\textrm{MAP}\ast \textrm{CBFVd}/\textrm{CBFVm}+14\\ {}\textrm{ICPtcd}=\textrm{MAP}-\textrm{CPPe}\end{array}}$$

Lindegaard/Soustiel indexes

The BU could help in the diagnosis of cerebral vasospasm consequent to subarachnoid hemorrhage. The Lindegaard ratio or Lindegaard index (LI) has been proposed to differentiate between cerebral vasospasm and hyperemic flow [17]. The Lindegaard ratio is calculated using the CBFV of the MCA and the internal carotid artery (ICA). Furthermore, LI allows to graduate the vasospasm (Table 1).
Table 1
The vasospasm grade is related to the two indexes, Lindegaard and Soustiel
 
Vasospasm grade
MCA or ACA/ICA
 < 3
Hyperemia
 3–4
Mild
 4–5
Moderate
 5–6
Severe
BA/ICA
 2.5–3.0
Moderate
 > 3.0
Severe
MCA, middle cerebral artery; ACA, anterior cerebral artery; ICA, internal carotid artery
The identification of vasospasm is considered a basic-plus skill [11].
$$\textrm{LI}=\textrm{MCA}\ \textrm{or}\ \textrm{ACA}/\textrm{ICA}$$
The Lindegaard index focuses on the anterior circulation vessels and does not address issues in the vertebrobasilar system. Basilar artery (BA) vasospasm has been defined as moderate when the CBFV was higher than 60cm/s and severe above 85cm/s. Similarly, in an attempt to differentiate between basilar hyperemia and vasospasm, the Soustiel index (SI) is calculated and analyzed with the ratio between BA and ICA (Table 1) [18].
$$\textrm{SI}=\textrm{BA}/\textrm{ICA}$$
Optic nerve sheath diameter (ONSD)
There is a strong anatomical relationship between the optic nerve and the subarachnoid space within the brain. The meninges surround the optic nerve, and consequently, a rise in ICP results in increased ONSD and optic disc height [19].
Ultrasound measurement of ONSD has been shown to correlate well with invasive measurements of ICP [19]. The majority of studies that measured ONSD as a means of diagnosing raised ICP were performed in patients with traumatic brain injury [20]. Nevertheless, this method has also been found to be useful in patients with various pathologies (Table 2).
Table 2
Summary of the major studies published in the last 5 years about ultrasonographic optic nerve sheath diameter
Author and year
Type of study
N
Type of patients
Cutoff (mm)
Main results and conclusion
Subramanian S. et al., 2021 [21]
Prospective observational
51
Patients with hydrocephalus and pre-procedure
5.5
ONSD on postoperative day 7 after CSF diversion correlates well with early surgical outcome. Rise in postoperative day 7 ONSD at follow-up correlates with failure of the CSF diversion procedure
Grupt and Pachisia, 2019 [22]
Prospective observational
100
All patients in whom lumbar puncture was indicated
6.3
There is a positive correlation of ONSD and CSF pressure. ONSD of >0.63 cm suggests a CSF pressure of >20 cm of water.
Agrawal, D et al., 2021 [23]
Prospective, blinded study of diagnostic accuracy
120
Consecutive patients with severe TBI
7.2
The optimal threshold was >0.72cm, with sensitivity 82% and specificity 79%. Optimal ODE threshold was >0.04cm, with sensitivity 90% and specificity 71%.
Çelik K et al., 2021 [24]
Prospective observational
162
TBI
-
A negative correlation was detected between ONSD values and GCS values and ONSD significantly increased in patients who died.
Xu H, et al., 2022 [25]
Prospective observational
529
Hemorrhagic stroke
5.9
ONSD of the poor outcome group was significantly greater than that of the favorable outcome group. ONSD improved the accuracy of ultraearly hematoma growth in the prediction of poor outcome by ROC curve.
Manouchehrifar M. et al., 2018 [26]
Prospective observational
80
Hemorrhagic and ischemic stroke
6.0
ONDS has moderate accuracy in differentiation of hemorrhagic and ischemic stroke
Yüzbaşıoğlu Y., et al., 2018 [27]
Prospective, cross-sectional
108
Cerebrovascular disorders
5.7
A positive relationship was determined between NIHSS scores and ONSD values. The specificity and sensitivity values were determined as 98.1% and 81.8%, respectively, for a cutoff value of 5 mm and as 100% and 72.7%, respectively, for a cutoff value of 6 mm
Wang Li-juan, et al., 2018 [28]
Prospective observational
60
Suspected of having elevated ICP for various reasons
5.8
ICP and ONSD values obtained on admission were strongly correlated. The dilated ONSDs decreased along with the elevated ICP reduction at follow-up 1 month.
Jeon J. P. et al., 2017 [29]
Prospective observational
63
Patients who required an external ventricular drainage
5.6
ONSD > 5.6 mm disclosed a sensitivity of 93.75% and a specificity of 86.67% for identifying increased ICP (over 20 mmHg).
Liu D. et al., 2017 [30]
Prospective observational
110
Patients who underwent lumber puncture
5.6
A significant correlation was found between ICP and body mass index. A discriminant equation for predicting ICP = 0.169 × BMI + 1.484 × mean ONSD-12.74.
Ebraheim AM, et al., 2018 [31]
Prospective, observational
54
Idiopathic intracranial hypertension.
6.2
ONSD was significantly higher in patients compared to controls. ONSD could be a valuable noninvasive additional tool to diagnose and monitor IIH patients. IIH insignificantly influences ophthalmic vessels hemodynamics.
Kishk N. A. et al., 2018 [32]
Case-control
99
Idiopathic intracranial hypertension
6.05
The best estimated cut-off value of the ONSD in detecting IIH was 6.05 mm. The sensitivity and the specificity were 73.2% and 91.4%, respectively. ONSD but not OND/ONSD ratio could offer a bedside adjunct or alternative indicator of elevated ICP for these patients.
Onder H. et al., 2021 [33]
Prospective, observational
103
Idiopathic intracranial hypertension
6.3
The right ONSD values were higher in the IIH group. Using a cut-off of 6.3 mm, ONSD had the following performance characteristics: sensitivity 18%, specificity 81%.
Robba C et al., 2020 [8]
Prospective, observational
100
Neurological patients with invasive ICP monitoring for risk of
≥ 6.0
The area under the curve to estimate intracranial hypertension was 0.78 for ONSD. The multimodal combination of ONSD and eICP may increase the accuracy to estimate the occurrence of intracranial hypertension.
Robba C et al., 2017 [34]
Prospective, single-cohort observational
64
Brain injury requiring invasive ICP monitoring
5.85
ONSD is the best estimator of ICP. Model that best fitted the data: nICP ONSD : 5.00 × ONSD − 13.92mm Hg
Canakci Y. et al., 2018 [35]
Prospective, observational
100
patients who applied to the ER with the complaint of headache
≥5.0
In all cases with abnormal CT findings, ONSD measurements were significantly higher. ONSD value in the ipsilateral side with the lesion was significantly higher than the contralateral side.
Yazar M. À. et al., 2019 [36]
Prospective observational
45
Brain death
-
ONSD values of group brain (7.55 ±.29) death were significantly higher than both control group (5.07 ±.32) and comatose patients 6.99 ± .42.)
Robles-Caballero A. et al., 2021 [37]
Prospective cross-sectional
99
Brain death
-
ONSD values capable of recognizing CBF were not identified.
Ortner C. M. et al., 2018 [38]
Prospective observational cohort
95
Preeclampsia
5.8
ONSD were common in preeclampsia with severe features.
Simenc G. B. et al., 2018 [39]
Prospective, observational
60
Preeclampsia
5.8
ONDS diameter was significantly higher in patients with severe preeclampsia compared to controls before delivery, and one day and four days post-delivery
Sterrett M. E. et al., 2022 [40]
Cohort
62
Pregnant women
5.8
There was not a significant elevated optic nerve sheath diameter relative risk between severe preeclampsia patients with neurologic features and non-preeclampsia control patients
Ertl M. et al., 2018 [41]
Prospective, observational
 
Post cardiac arrest
5.75
Nonsurvivors showed significantly higher ONSD values (P < .001). For predicting mortality, a threshold of 5.75 mm was calculated with a specificity of 100%.
Yang 12/12/2022 11:50:00 AM Z et al., 2020 [42]
Prospective observational
90
Septic
5.5
The ONSD of patients with sepsis-associated encephalopathy was significantly wider than non-sepsis-associated encephalopathy patients.
Donovan J. et al., 2021 [43]
Prospective observational
107
Tuberculous meningitis
5.5
Higher baseline ONSD was associated with more severe disease and abnormal brain imaging and increased death by 3 months.
The search strategy was the MESH terms of “intracranial hypertension AND Optic nerve sheath diameter”. In total, 512 studies were found in the last 5 years. Studies were excluded if duplicated (1), in non-English language studies (5), trial/protocol registration (4), case report (12), studies in healthy subjects (27), non-ultrasound (54), reviews (39), comments/responses (60), ophthalmologic pathology (38), including children (30), animals (147), concordance between other image methods (49), N < 45 patients (20), and retrospective (2). Hence, 24 publications were eligible for summarization in this table
GCS, Glasgow Coma Scale; ONDS, optic nerve sheath diameter; ODE, optic disc elevation; OND, optic nerve diameter; ER, emergency room; ICP, intracranial pressure; IIH, idiopathic intracranial hypertension; eICP, estimate intracranial pressure; ROC, receiver operating characteristic curve; CBF, cerebral blood flow velocity

Technique

The ultrasound probe (linear probe) should be placed on the temporal area of the eyelid (Fig. 4). The probe should be then angled in order to display the optic disc and the entry of the optic nerve into the globe. ONSD is measured 3mm behind the retina, using an electronic caliper and an axis perpendicular to the optic nerve (Fig. 4). It is paramount to perform a short examination duration and minimize image information loss by recording an US video clip to reduce the examination duration for the safety of the patient, ALARA principle (as low as reasonable achievable) [44]. It is important to reduce the power output of the US, usually expressed as a percentage.
Fig. 4
A The Nerve optic measured through the transorbital window. B ONSD is measured 3mm behind the globe, using an electronic caliper and an axis perpendicular to the optic nerve
Bild vergrößern
To reduce errors, it has been suggested to use the mean of three values obtained from each patient, for each eye. Furthermore, identifying the main structures (optic nerve, retina, meninges) and following the CLOSED protocol help to improve the inter- and intra-rater reliability and decrease the risk of inter-rater bias [44, 45]. At present, ONDS is considered a basic-plus skill [11].
With regard to ONSD measurement, in the vast majority of published studies, ONSD is defined as the distance between the external borders of the hyperechogenic area surrounding the optic nerve, which represents the subarachnoidal space including the arachnoid mater. In some studies, however, the ONSD was also measured including the outer hypoechogenic rim, which represents the dura mater, resulting in a large heterogeneity of reported reference values [20, 22].
The cutoff of ONDS is another lack in the literature. An ONSD >5.8 mm indicates increased ICP with a sensitivity of 90% and a specificity of 84%; however, the cut-off value is divergent in literature (Table 2), and recent guidelines suggest a threshold ≥ 6.0 mm [5].

Facilities using brain ultrasound appraisal

Noninvasive intracranial pressure

The first practical use of BU at bedside is the access to indirect and non-invasive information of the intracranial pressure through ONSD and TCD measurements. The association of information such as ONSD ≥ 6mm, PI > 1.4, and ICPtcd >22 reinforce intracranial hypertension suspicion (Fig. 5). The waveform analysis of the MCA (a sharp decrease of diastolic flow velocity, P2>P1) is also another tool to raise suspicion of increased ICP (Fig. 5). This non-invasive tool is paramount information about cerebral compliance, especially when invasive access to intracranial pressure is not available.
Fig. 5
An algorithm for evaluating intracranial pressure (ICP) and vasospasm by brain ultrasound. CBFV, cerebral blood flow velocity; ICPtcd, intracranial pressure through transcranial Doppler; PI, pulsatility index; ICH, intracranial hypertension. LI, Lindegaard index = CBFVm of middle cerebral artery (MCA)/CBFVm of the extracranial internal carotid artery
Bild vergrößern

Hydrocephalus

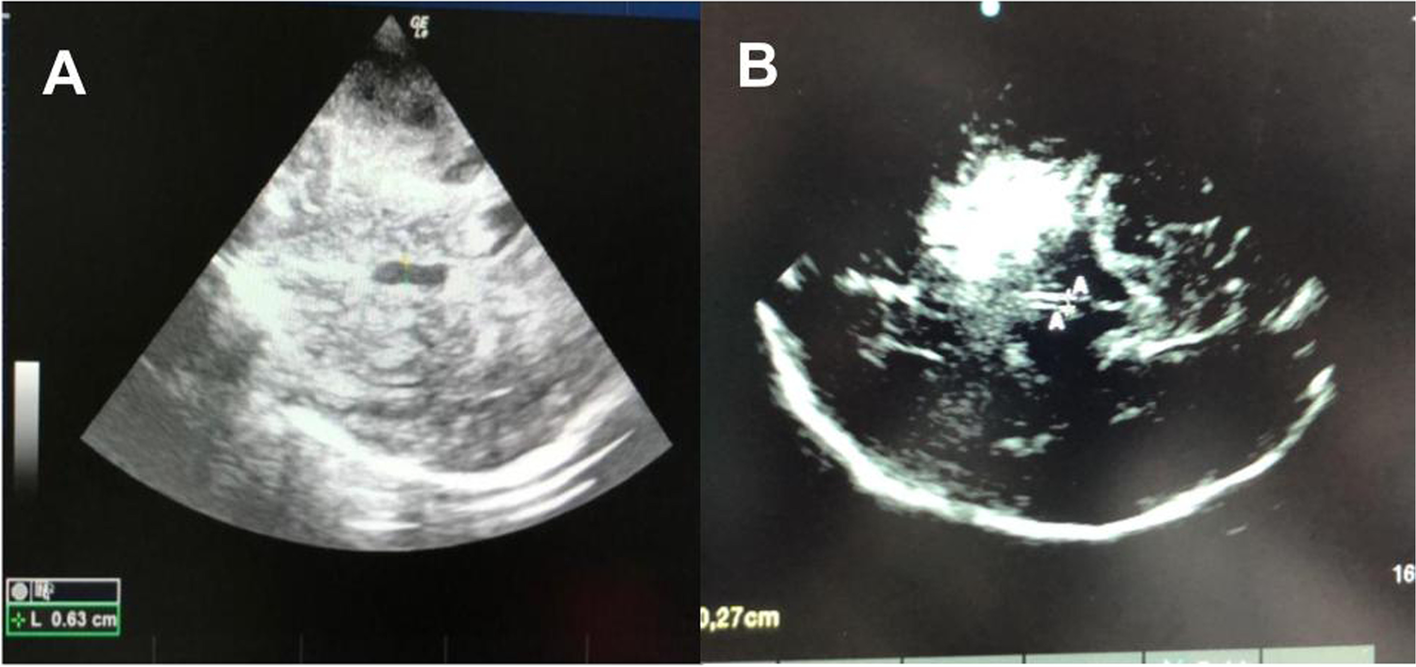
Several neurocritical patients have a high risk to develop hydrocephalus. BU through the estimation of the size of the third and lateral ventricles can provide important information about hydrocephalus (Figs. 3 (B) and 6). Intracranial ventricles appear as double hyperechogenic lines, thus making feasible the evaluation of their diameter. It has been observed a good correlation between BU and CT measurements of the width of the third ventricle (r = 0.83–0.95), of the right (r=0.86) and left (r=0.92) frontal horns, and middle part (r=0.73) of the lateral ventricles [46].
Fig. 6
Diencephalic plane, the third ventricle is obtained (A-A). It should be measured the largest transverse diameter of the third ventricle with its hyperechogenic margins. These figures were performed of two women patients, with same ages, 24h after derivation devices were removed. A Large third ventricles suggesting hydrocephalus. B Normal value without hydrocephalus
Bild vergrößern
It is important to note that this technique is useful to evaluate a trend of ventricles size especially after derivation devices removal, in order to minimize transfer of the patients and ICU staff team to CT exams. Although the assessment of third ventriculus is considered a basic plus skills, the evaluation of hydrocephalus needs more experience and it is considered as pre advanced skills [11].

Guided ventricular puncture

Although insertion of an external ventricular derivation (EVD) is generally safe, complications such as hemorrhage and suboptimal placement have been reported in up to 40% of cases [47]. This led several authors to suggest that current ventriculostomy practice leaves room for improvement and calls for wider adoption of image-guided insertion, especially in patients with smaller ventricles and midline shift. In this setting, the BU could provide real-time information and can optimize the “standard” ventriculostomy trajectory [48].
After bone removal, the transducer should be placed over the dura mater, identifying the mesencephalic plane and its landmark of the midbrain (“butterfly” or “mickey”) (Fig. 3 (C)). An approximate 10–20° cranial tilting of ultrasound beam allows identification of the third and the ipsilateral frontal horn of the ventricle, before the EVD catheter placement. Dimming of the overhead room lights helps facilitate improved visualization of the ultrasound images (Additional file 1: Video 1 and Additional file 2: Video 2).

Brain midline shift

Brain midline shift (MLS) through BU has been described since 1996 by Seidel et al. [49]. Using 2–2.5-MHz sectorial transducer probe, the distance between the BU and the center of the third ventricle is measured through a line perpendicular to the walls of the third ventricle from both the ipsilateral and contralateral sides, and the deviation from the presumed midline is calculated by the equation MLS=(A−B)/2 [46].
The correlation of MLS (> 2.5 mm) apparent on CT and BU in acute severe MCA territory stroke is high and presents sensitivity of 83% and 100% of specificity [50, 51]. Another study showed that an MLS >0.35 cm on BUS in severely ill neurosurgical ICU patients, including patients after decompressive craniectomy or with subcutaneous temporal hematomas, can predict a MLS >0.5 on CT with good sensitivity, specificity, and a positive likelihood ratio of more than 5 [9].
Bedside evaluation of MLS can be worthwhile to detect early cerebral complications and the need for additional imaging test or neurosurgical intervention for patients with significant intracranial mass effects. This skill is considered a basic plus [11].

Assessment of cerebral autoregulation

Cerebral autoregulation (CA) refers to the ability of the brain to maintain approximately constant blood flow in response to changes in blood pressure [52].
Assessing CA remains a major challenge, with multiple methods and approaches having been described in literature [53]. Two distinct ways to assess CA have been studied: static and dynamic. Static cerebral autoregulation (sCA) [54] refers to changes in blood flow in response to changes in blood pressure in the “steady state” (i.e., where mean blood pressure changes to a new level and is held there for minutes or hours). In dynamic cerebral autoregulation (dCA), the transient responses of blood flow to spontaneous changes in blood pressure are studied using a software which correlates changes in FV and blood pressure providing a correlation index [54].
BU allows the evaluation of CA in both static and dynamic ways (Table 3). Analysis of CA is considered a pre-advanced skill [11]; however, the noninvasive and bedside characteristics of BU are essential for critical care patients, which entails a growing interest in this field, both in neurological [6063] and general critical care patients [53, 64, 65].
Table 3
Indices of static and dynamic CA used in the literature
Index
Definition
Static/dynamic
Impaired CA
BU
THRT [55]
Changes in cerebral blood flow velocity after a brief compression of the ipsilateral common carotid artery. THRT = FVsystolic (hyperemia)/FVsystolic (baseline)
Static
≤ 1.1
Yes
ARI [54]
Autoregulation index derived from cerebral blood flow velocity and transfer function analysis
Dynamic
≤ 4
Yes
PRx [56]
Moving Pearson’s correlation coefficient between intracranial pressure and blood pressure.
Quasi- Static
≥ 0.3
No
Mx/Mxa [57]
Moving Pearson’s correlation coefficient between cerebral blood flow velocity and blood pressure
Quasi-
Static
≥0.3
Yes
COx [58]
Correlation coefficient between MAP and rScO2
Static
+1
No
RoR [59]
Ratio of slope of cerebral blood flow velocity recovery normalized by blood pressure after thigh cuff release
Dynamic
-
Yes
BU, brain ultrasound; THRT, transient hyperemic response test; FV, flow velocity; ARI, autoregulation index; PRx, pressure-reactivity index; Mx, Mean index; COx, cerebral oximetry index; rScO2, regional cerebral oxygen saturation; RoR, rate of regulation
In addition to the analysis of whether or not there is impairment in CA, its monitoring can provide an individual “optimal” cerebral perfusion pressure (CPPopt) target at which CA is best preserved [66].

Clinical applications

Traumatic brain injury

Early investigation of traumatic brain injury (TBI) patients by using BU may provide important information regarding CBF and ICP [67]. Martin et al. have described some BU patterns of cerebral blood flow occurring in 3 phases after TBI: first 24 h of hypoflow, then the following 3 days of hyperemia and the last 10 days of vasospasm [68]. Sonographic vasospasm can be present in about 40% of severe TBI, even without traumatic subarachnoid hemorrhage (SAH) [69]. The presence of hypoflow, hyperemia, or vasospasm, independently of the period, is associated with unfavorable outcomes [67]. Ract et al. have described that half of severe TBI patients will present some pathological findings in BU [70]. Moreover, a mean CBFV < 30 cm/s or diastolic flow velocity < 20 cm/s or pulsatility index > 1.4 in the MCA may indicate compromised cerebral hemodynamic and potentially increased ICP [71].
When analyzing CBFV by BU/TCD, we must consider occasional oscillation in PaCO2, not only in TBI but in all brain injury patients. Hypocapnia stimulates cerebral vasoconstriction that can reduce CBFV, and the inverse occurs in the opposite situation [71].

Subarachnoid hemorrhage (SAH)

SAH is a complex disease, and depending on the phase of SAH, BU can detect failure of CA, sonographic vasospasm, and signals of intracranial hypertension due to hydrocephalus or delayed cerebral ischemia (DCI) [41, 42]. BU is a tool which adds important information to the constellation of important clinical information, aimed at the early detection, intervention, and guiding intervention designed to prevent the neurologic sequelae related to cerebral vasospasm and delayed cerebral ischemia, especially in poor-grade patients, whose clinical examination is jeopardized.
A recent meta-analysis regarding the topic of vasospasm and SAH confirmed that MCA is the artery with the highest prevalence of vasospasm, comprising around 70% of all cases. Therefore, POCUS-BU, through the insonation of MCA [6], may be used to identify patients with vasospasm with a high positive predictive value, but with low negative predictive value and sensitivity. The majority of studies included in this meta-analysis reported CBFV of 120 m/s in MCA, with 66.7% of sensibility and 89.5% specificity [6]. It is important to differentiate hyperemia from vasospasm, and therefore the Lindegaard [17] and Soustiel [18] indexes should be measured. Nevertheless, a rapid increase of 50cm/sec or more over a 24-h period seems to be a strong predictor of neurologic deficit of DCI (Fig. 5) [72].

Brain death diagnosis

The use of ancillary testing for brain death confirmation remains controversial, and some countries such as the UK and the USA do not require these tests to confirm brain death [73]. Brain death is a clinical diagnosis, and ancillary tests should always be considered supplementary and never a substitute. However, ancillary tests remain essential in brain death confirmation in peculiar cases, when clinical assessment is not reliable, such as clinical instability during apnea test, barbiturate therapy, hypothermia precluding proper brain death confirmation, extensive faciomaxillary injuries, and some cases of pediatric hypoxic brain injury [74]. On the other hand, in countries such as Brazil and Australia, an ancillary test is always required to confirm brain death [75]. In this context, BU/TCD is a useful alternative, due to being safe, noninvasive, and conducted at the bedside.
TCD can confirm brain death by evaluating cerebral circulatory arrest, which has distinctive flow patterns: oscillatory flow representing reversal of diastolic flow and systolic spikes representing lack of net forward flow. In a recent meta-analysis [74], TCD as ancillary testing for brain death was found to be highly sensitive (89%) and specific (98%). Nevertheless, TCD is an operator-dependent, experience-requiring technique, and false-negative cases may occur in patients with poor transcranial windows for ultrasound insonation, which occurs in 10–20% of cases due to the thickness and porosity of the skull bone [76]. In addition, some patients with clinical diagnosis of brain death may present residual blood flow even after cerebral arteriography, such as decompressive surgery, ventricular shunt, and in anoxic encephalopathy after cardiac arrest.
The same physiological prerequisites before beginning the protocol for brain death must be maintained, such as systolic blood pressure above 100 mmHg, avoidance of hypoxemia (SpO2>94%), and no hypothermia (>35.1) [77]. In addition, the patient must be in the dorsal decubitus position. The following steps should be followed for applying TCD as a diagnostic test to confirm brain death in Brazil (Fig. 7) [75].
Fig. 7
A step-by-step algorithm for TCD use in the diagnosis of brain death. SBP, systolic blood pressure; MAP mean arterial pressure; Sat, saturation of oxygen; MCA, middle cerebral artery; VA, vertebral artery; BA, basilar artery
Bild vergrößern
TCD is one of the most appropriate ancillary tests when clinical conditions or medications make the clinical examination unsuitable, or in countries in which it is mandatory.

Monitoring brain function in general critical care unit

Brain dysfunction is observed as part of multiorgan dysfunction syndrome in critical care patients in a number of pathologies such as sepsis, shock, and respiratory failure [78, 79].
The traditional focus in critical care is on monitoring hemodynamic and respiratory systems; nevertheless, neuromonitoring should also become part of the standard care to maintain brain homeostasis in the critical care setting.

Acute respiratory distress syndrome (ARDS)

ARDS has been associated with a high incidence of neurological complications and secondary acute brain injury [80]. The physiopathology is not well understood; however, the primary hypoxic-ischemic injury from hypoxic respiratory failure and secondary injury from lung injury induces neuroinflammation and increased intracranial pressure from lung-protective mechanical ventilatory strategies. Monitoring using BU is possible in real time, to identify patients who are at risk of presenting cerebral blood flow disturbances. Although the main goal of the management of these patients is the lung, in high-risk patients for brain damage, an approach which takes into consideration also the cerebral dynamics and needs is warranted (Fig. 8).
Fig. 8
Monitoring of cerebral blood flow regulation in critical care scenarios. ARDS, acute respiratory distress syndrome; IABP, intra-aortic balloon pump; ECMO, extracorporeal membrane oxygenation; TCD, transcranial Doppler; CBFV, cerebral blood flow velocity; ARI, autoregulation index; CA, cerebral autoregulation; MV, mechanical ventilator; PaCO2, partial pressure of carbon dioxide
Bild vergrößern

Sepsis

Sepsis and shock patients are also other examples of critical care patients where neurological complications are common [81]. Impairment of CA has also been showed in these patients and it was demonstrated to be associated with systemic organ [82] and brain dysfunction [83]. Furthermore, a systematic review and meta-analysis reported that abnormal PI values are often observed in sepsis patients. In early sepsis, the PI seems to increase, and on the other hand, PI reduction was found to be very common in the later phases of sepsis [84]. BU can be used as part of multimodal neuromonitoring to assess cerebrovascular resistance, CA, as well as the optimal CPP to apply to this group of patients.

Dispositive devices for hemodynamic support

The intra-aortic balloon pump (IABP) and extracorporeal membrane oxygenation (ECMO) are often used to manage patients with advanced heart failure, cardiogenic shock, and ARDS patients [85]. Despite both devices are linked with neurological complications which significantly affect the short-and long-term outcomes of patients, there is sparse data on systematic neurological monitoring in this population [85].
Diastolic flow reversal in CBFV has been described in patients with IABP [86]. This pattern of flow has also been associated with intracranial hypertension, brain death, and comatose patients, and it is probably due to rapid deflation of IABP [86], with the suggestion that CBFV reversal is iatrogenic and should be avoided. One possible approach is to optimize the balloon inflation/deflation cycle, by moving deflation to the absolute end of diastole [86]. Nevertheless, the largest study published with TCD in IABP patients did not show deterioration of CA [87].
BU monitoring is also important to detect microemboli in IABP and ECMO, a cause of cerebral infarct, thromboembolism, and commonly iatrogenic in origin [88]. With the increasing application of ECMO, more attention has been paid to the neuromonitoring devices. In a prospective observational study in patients with ECMO, 18 thromboembolic events were observed, 14 of which had positive microembolic signals in TCD [89], and in a recent systematic review, TCD by microemboli and CA monitoring appeared to have potential for assessing the risk of ischemic stroke [88].
It is important to note that new evidence suggested that CA is often impaired in critical care patients [64, 65, 82, 83], and it could play a role in the occurrence of brain dysfunction leading to brain ischemia or hyper-perfusion causing edema and capillary damage [90]. In these critical care patients, a closer analysis of hemodynamic changes, CO2, temperature, drugs, and other physiological variables is deemed even more important.
Although the CA analysis still awaits prospective clinical trials to evaluate outcomes and establish the prognostic value of CA [4], BU may allow for adequate therapeutic measures to be taken through non-invasive assessment of cerebral circulatory status in critical care patients in real time and being as a continuous methods (Fig. 8).
Some studies have been published regarding ABPopt in general critically ill patients using BU as a tool [66, 91]. The idea of treating patients with an optimal cerebral autoregulation “or optimal BP” regime is not firmly established. Nevertheless, it seems feasible and large deviation from CPPopt has been associated with adverse outcomes [66].

Conclusions

Considering the ample use of ultrasound in critical care scenarios and the benefits it entails, such as bedside performance, repeatable after therapies, and easy follow-up as a noninvasive method and without requiring contrast, it is unquestionably the best method to provide intracranial hemodynamics information in real time. Although expertise requires the apprehension of specific skills acquired through knowledge of the various landmarks, parameters, and fields of application, and especially through hands-on training and practice of this technique, the POCUS-BU deserves to be more explored in a critical care setting and more studies are deemed necessary to this end.

Acknowledgements

The picture contribution received from Nathalia Souza Jones and Danielle Feitosa is gratefully acknowledged.

Declarations

Not applicable.
Not applicable.

Competing interests

The authors declare no competing interests.
Open AccessThis article is licensed under a Creative Commons Attribution 4.0 International License, which permits use, sharing, adaptation, distribution and reproduction in any medium or format, as long as you give appropriate credit to the original author(s) and the source, provide a link to the Creative Commons licence, and indicate if changes were made. The images or other third party material in this article are included in the article's Creative Commons licence, unless indicated otherwise in a credit line to the material. If material is not included in the article's Creative Commons licence and your intended use is not permitted by statutory regulation or exceeds the permitted use, you will need to obtain permission directly from the copyright holder. To view a copy of this licence, visit http://creativecommons.org/licenses/by/4.0/.

Publisher’s Note

Springer Nature remains neutral with regard to jurisdictional claims in published maps and institutional affiliations.
Download
Titel
POCUS, how can we include the brain? An overview
Verfasst von
Juliana Caldas
Carla Bittencourt Rynkowski
Chiara Robba
Publikationsdatum
01.12.2022
Verlag
BioMed Central
Erschienen in
Journal of Anesthesia, Analgesia and Critical Care / Ausgabe 1/2022
Elektronische ISSN: 2731-3786
DOI
https://doi.org/10.1186/s44158-022-00082-3

Supplementary Information

Additional file 1: Video 1.
Additional file 2: Video 2.
1.
Zurück zum Zitat Perera P, Mailhot T, Riley D, Mandavia D (2010) The RUSH exam: Rapid Ultrasound in SHock in the evaluation of the critically ill. Emerg Med Clin North Am 28(1):29–56 viiCrossRef
2.
Zurück zum Zitat Moylan M, Newgard CD, Ma OJ, Sabbaj A, Rogers T, Douglass R (2007) Association between a positive ED FAST examination and therapeutic laparotomy in normotensive blunt trauma patients. J Emerg Med 33(3):265–271CrossRef
3.
Zurück zum Zitat Volpicelli G, Elbarbary M, Blaivas M, Lichtenstein DA, Mathis G, Kirkpatrick AW et al (2012) International evidence-based recommendations for point-of-care lung ultrasound. Intensive Care Med 38(4):577–591CrossRef
4.
Zurück zum Zitat Robba C, Wong A, Poole D, Al Tayar A, Arntfield RT, Chew MS et al (2021) Basic ultrasound head-to-toe skills for intensivists in the general and neuro intensive care unit population: consensus and expert recommendations of the European Society of Intensive Care Medicine. Intensive Care Med 47(12):1347–1367CrossRef
5.
Zurück zum Zitat Meyfroidt G, Bouzat P, Casaer MP, Chesnut R, Hamada SR, Helbok R et al (2022) Management of moderate to severe traumatic brain injury: an update for the intensivist. Intensive Care Med 48(6):649–666CrossRef
6.
Zurück zum Zitat Mastantuono JM, Combescure C, Elia N, Tramèr MR, Lysakowski C (2018) Transcranial Doppler in the diagnosis of cerebral vasospasm: an updated meta-analysis. Crit Care Med 46(10):1665–1672CrossRef
7.
Zurück zum Zitat Rasulo FA, Calza S, Robba C, Taccone FS, Biasucci DG, Badenes R et al (2022) Transcranial Doppler as a screening test to exclude intracranial hypertension in brain-injured patients: the IMPRESSIT-2 prospective multicenter international study. Crit Care 26(1):110CrossRef
8.
Zurück zum Zitat Robba C, Pozzebon S, Moro B, Vincent JL, Creteur J, Taccone FS (2020) Multimodal non-invasive assessment of intracranial hypertension: an observational study. Crit Care 24(1):379CrossRef
9.
Zurück zum Zitat Motuel J, Biette I, Srairi M, Mrozek S, Kurrek MM, Chaynes P et al (2014) Assessment of brain midline shift using sonography in neurosurgical ICU patients. Crit Care 18(6):676CrossRef
10.
Zurück zum Zitat Klinzing S, Steiger P, Schüpbach RA, Bèchir M, Brandi G (2015) Competence for transcranial color-coded Duplex sonography is rapidly acquired. Minerva Anestesiol 81(3):298–304
11.
Zurück zum Zitat Robba C, Poole D, Citerio G, Taccone FS, Rasulo FA (2020) Consensus on brain ultrasonography in critical care group. Brain Ultrasonography Consensus on Skill Recommendations and Competence Levels Within the Critical Care Setting. Neurocrit Care 32(2):502–511CrossRef
12.
Zurück zum Zitat Robba C, Goffi A, Geeraerts T, Cardim D, Via G, Czosnyka M et al (2019) Brain ultrasonography: methodology, basic and advanced principles and clinical applications. A narrative review. Intensive Care Med 45(7):913–927CrossRef
13.
Zurück zum Zitat Aaslid R, Markwalder TM, Nornes H (1982) Noninvasive transcranial Doppler ultrasound recording of flow velocity in basal cerebral arteries. J Neurosurg 57(6):769–774CrossRef
14.
Zurück zum Zitat Bellner J, Romner B, Reinstrup P, Kristiansson KA, Ryding E, Brandt L (2004) Transcranial Doppler sonography pulsatility index (PI) reflects intracranial pressure (ICP). Surg Neurol 62(1):45–51 discussion 51CrossRef
15.
Zurück zum Zitat Czosnyka M, Matta BF, Smielewski P, Kirkpatrick PJ, Pickard JD (1998) Cerebral perfusion pressure in head-injured patients: a noninvasive assessment using transcranial Doppler ultrasonography. J Neurosurg 88(5):802–808CrossRef
16.
Zurück zum Zitat Rasulo FA, Bertuetti R, Robba C, Lusenti F, Cantoni A, Bernini M et al (2017) The accuracy of transcranial Doppler in excluding intracranial hypertension following acute brain injury: a multicenter prospective pilot study. Crit Care 21(1):44CrossRef
17.
Zurück zum Zitat Lindegaard KF, Nornes H, Bakke SJ, Sorteberg W, Nakstad P (1988) Cerebral vasospasm after subarachnoid haemorrhage investigated by means of transcranial Doppler ultrasound. Acta Neurochir Suppl (Wien) 42:81–84
18.
Zurück zum Zitat Soustiel JF, Shik V, Feinsod M (2002) Basilar vasospasm following spontaneous and traumatic subarachnoid haemorrhage: clinical implications. Acta Neurochir (Wien) 144(2):137–144 discussion 144CrossRef
19.
Zurück zum Zitat Robba C, Santori G, Czosnyka M, Corradi F, Bragazzi N, Padayachy L et al (2018) Optic nerve sheath diameter measured sonographically as non-invasive estimator of intracranial pressure: a systematic review and meta-analysis. Intensive Care Med 44(8):1284–1294CrossRef
20.
Zurück zum Zitat Schroeder C, Katsanos AH, Richter D, Tsivgoulis G, Gold R, Krogias C (2020) Quantification of optic nerve and sheath diameter by transorbital sonography: a systematic review and metanalysis. J Neuroimaging 30(2):165–174CrossRef
21.
Zurück zum Zitat Subramanian S, Nair S, Moorthy RK, Rebekah G, Krishnaprabhu R, Joseph BV et al (2021) Utility of serial optic nerve sheath diameter measurements in patients undergoing cerebral spinal fluid diversion procedures for hydrocephalus. World Neurosurg 154:e168–e175CrossRef
22.
Zurück zum Zitat Gupta S, Pachisia A (2019) Ultrasound-measured optic nerve sheath diameter correlates well with cerebrospinal fluid pressure. Neurol India 67(3):772–776
23.
Zurück zum Zitat Agrawal D, Raghavendran K, Zhao L, Rajajee V (2020) A prospective study of optic nerve ultrasound for the detection of elevated intracranial pressure in severe traumatic brain injury. Crit Care Med 48(12):e1278–e1285CrossRef
24.
Zurück zum Zitat Çelik K, Demiryurek BE (2021) The association between intracranial pressure and optic nerve sheath diameter on patients with head trauma. Arq Neuropsiquiatr 79(10):879–885CrossRef
25.
Zurück zum Zitat Xu H, Li Y, Liu J, Chen Z, Chen Q, Xiang Y et al (2022) Dilated optic nerve sheath diameter predicts poor outcome in acute spontaneous intracerebral hemorrhage. Cerebrovasc Dis 51(2):199–206CrossRef
26.
Zurück zum Zitat Manouchehrifar M, Lakestani M, Kashani P, Safari S (2018) Sonographic diameter of optic nerve sheath in differentiation of ischemic and hemorrhagic strokes; a diagnostic accuracy study. Am J Emerg Med 36(11):2064–2067CrossRef
27.
Zurück zum Zitat Yüzbaşıoğlu Y, Yüzbaşıoğlu S, Coşkun S, İçme F, Öz T, Kunt R et al (2018) Bedside measurement of the optic nerve sheath diameter with ultrasound in cerebrovascular disorders. Turk J Med Sci 48(1):93–99CrossRef
28.
Zurück zum Zitat Wang LJ, Chen LM, Chen Y, Bao LY, Zheng NN, Wang YZ et al (2018) Ultrasonography assessments of optic nerve sheath diameter as a noninvasive and dynamic method of detecting changes in intracranial pressure. JAMA Ophthalmol 136(3):250–256CrossRef
29.
Zurück zum Zitat Jeon JP, Lee SU, Kim SE, Kang SH, Yang JS, Choi HJ et al (2017) Correlation of optic nerve sheath diameter with directly measured intracranial pressure in Korean adults using bedside ultrasonography. PLoS One 12(9):e0183170CrossRef
30.
Zurück zum Zitat Liu D, Li Z, Zhang X, Zhao L, Jia J, Sun F et al (2017) Assessment of intracranial pressure with ultrasonographic retrobulbar optic nerve sheath diameter measurement. BMC Neurol 17(1):188CrossRef
31.
Zurück zum Zitat Ebraheim AM, Mourad HS, Kishk NA, Badr Eldin N, Saad AA (2018) Sonographic assessment of optic nerve and ophthalmic vessels in patients with idiopathic intracranial hypertension. Neurol Res 40(9):728–735CrossRef
32.
Zurück zum Zitat Kishk NA, Ebraheim AM, Ashour AS, Badr NM, Eshra MA (2018) Optic nerve sonographic examination to predict raised intracranial pressure in idiopathic intracranial hypertension: The cut-off points. Neuroradiol J 31(5):490–495CrossRef
33.
Zurück zum Zitat Onder H, Goksungur G, Eliacik S, Ulusoy EK, Arslan G (2021) The significance of ONSD, ONSD/ETD ratio, and other neuroimaging parameters in idiopathic intracranial hypertension. Neurol Res 43(12):1098–1106CrossRef
34.
Zurück zum Zitat Robba C, Cardim D, Tajsic T, Pietersen J, Bulman M, Donnelly J et al (2017) Ultrasound non-invasive measurement of intracranial pressure in neurointensive care: a prospective observational study. PLoS Med 14(7):e1002356CrossRef
35.
Zurück zum Zitat Canakci Y, Koksal O, Durak VA (2018) The value of bedside ocular ultrasound assessment of optic nerve sheath diameter in the detection of increased intracranial pressure in patients presenting to the emergency room with headache. Niger J Clin Pract 21(6):778–782CrossRef
36.
Zurück zum Zitat Yazar MA (2019) Bedside ultrasonography of the optic nerve sheath in brain death. Transplant Proc 51(7):2180–2182CrossRef
37.
Zurück zum Zitat Robles-Caballero A, Henríquez-Recine MA, Juárez-Vela R, García-Olmos L, Yus-Teruel S, Quintana-Díaz M (2020) Usefulness of the optic nerve sheath ultrasound in patients with cessation of cerebral flow. Neurocirugia (Astur : Engl Ed) S1130-1473(20):30134–30132
38.
Zurück zum Zitat Ortner CM, Krishnamoorthy V, Neethling E, Flint M, Swanevelder JL, Lombard C et al (2019) Point-of-care ultrasound abnormalities in late-onset severe preeclampsia: prevalence and association with serum albumin and brain natriuretic peptide. Anesth Analg 128(6):1208–1216CrossRef
39.
Zurück zum Zitat Brzan Simenc G, Ambrozic J, Prokselj K, Tul N, Cvijic M, Mirkovic T et al (2018) Ocular ultrasonography for diagnosing increased intracranial pressure in patients with severe preeclampsia. Int J Obstet Anesth 36:49–55CrossRef
40.
Zurück zum Zitat Sterrett ME, Austin B, Barnes RM, Chang EY (2022) Optic nerve sheath diameter in severe preeclampsia with neurologic features versus controls. BMC Pregnancy Childbirth 22(1):224CrossRef
41.
Zurück zum Zitat Ertl M, Weber S, Hammel G, Schroeder C, Krogias C (2018) Transorbital sonography for early prognostication of hypoxic-ischemic encephalopathy after cardiac arrest. J Neuroimaging 28(5):542–548CrossRef
42.
Zurück zum Zitat Yang Z, Qin C, Zhang S, Liu S, Sun T (2020) Bedside ultrasound measurement of optic nerve sheath diameter in patients with sepsis: a prospective observational study. Crit Care 24(1):235CrossRef
43.
Zurück zum Zitat Donovan J, Oanh PKN, Dobbs N, Phu NH, Nghia HDT, Summers D et al (2021) Optic nerve sheath ultrasound for the detection and monitoring of raised intracranial pressure in tuberculous meningitis. Clin Infect Dis 73(9):e3536–e3544CrossRef
44.
Zurück zum Zitat Aspide R, Bertolini G, Albini Riccioli L, Mazzatenta D, Palandri G, Biasucci DG (2020) A proposal for a new protocol for sonographic assessment of the optic nerve sheath diameter: the CLOSED protocol. Neurocrit Care 32(1):327–332CrossRef
45.
Zurück zum Zitat Pansell J, Bell M, Rudberg P, Friman O, Cooray C (2022) Optic nerve sheath diameter measurement by ultrasound: Evaluation of a standardized protocol. J Neuroimaging 32(1):104–110CrossRef
46.
Zurück zum Zitat Seidel G, Gerriets T, Kaps M, Missler U (1996) Dislocation of the third ventricle due to space-occupying stroke evaluated by transcranial duplex sonography. J Neuroimaging 6(4):227–230CrossRef
47.
Zurück zum Zitat Huyette DR, Turnbow BJ, Kaufman C, Vaslow DF, Whiting BB, Oh MY (2008) Accuracy of the freehand pass technique for ventriculostomy catheter placement: retrospective assessment using computed tomography scans. J Neurosurg 108(1):88–91CrossRef
48.
Zurück zum Zitat Manfield JH, Yu KKH (2017) Real-time ultrasound-guided external ventricular drain placement: technical note. Neurosurg Focus 43(5):E5CrossRef
49.
Zurück zum Zitat Seidel G, Kaps M, Gerriets T, Hutzelmann A (1995) Evaluation of the ventricular system in adults by transcranial duplex sonography. J Neuroimaging 5(2):105–108CrossRef
50.
Zurück zum Zitat Gerriets T, Stolz E, König S, Babacan S, Fiss I, Jauss M et al (2001) Sonographic monitoring of midline shift in space-occupying stroke: an early outcome predictor. Stroke 32(2):442–447CrossRef
51.
Zurück zum Zitat Stolz E, Gerriets T, Fiss I, Babacan SS, Seidel G, Kaps M (1999) Comparison of transcranial color-coded duplex sonography and cranial CT measurements for determining third ventricle midline shift in space-occupying stroke. AJNR Am J Neuroradiol 20(8):1567–1571
52.
Zurück zum Zitat Panerai RB (2008) Cerebral autoregulation: from models to clinical applications. Cardiovasc Eng (Dordrecht, Netherlands) 8(1):42–59
53.
Zurück zum Zitat Caldas J, Quispe-Cornejo AA, Crippa IA, Subira C, Creteur J, Panerai R et al (2022) Cerebral autoregulation indices are not interchangeable in patients with sepsis. Front Neurol 13:760293CrossRef
54.
Zurück zum Zitat Tiecks FP, Lam AM, Aaslid R, Newell DW (1995) Comparison of static and dynamic cerebral autoregulation measurements. Stroke 26(6):1014–1019CrossRef
55.
Zurück zum Zitat Smielewski P, Czosnyka M, Kirkpatrick P, Pickard JD (1997) Evaluation of the transient hyperemic response test in head-injured patients. J Neurosurg 86(5):773–778CrossRef
56.
Zurück zum Zitat Czosnyka M, Smielewski P, Kirkpatrick P, Laing RJ, Menon D, Pickard JD (1997) Continuous assessment of the cerebral vasomotor reactivity in head injury. Neurosurgery 41(1):11–17 discussion 17-19CrossRef
57.
Zurück zum Zitat Czosnyka M, Smielewski P, Kirkpatrick P, Menon DK, Pickard JD (1996) Monitoring of cerebral autoregulation in head-injured patients. Stroke 27(10):1829–1834CrossRef
58.
Zurück zum Zitat Brady KM, Lee JK, Kibler KK, Smielewski P, Czosnyka M, Easley RB et al (2007) Continuous time-domain analysis of cerebrovascular autoregulation using near-infrared spectroscopy. Stroke. 38(10):2818–2825CrossRef
59.
Zurück zum Zitat Aaslid R, Lindegaard KF, Sorteberg W, Nornes H (1989) Cerebral autoregulation dynamics in humans. Stroke 20(1):45–52CrossRef
60.
Zurück zum Zitat Rynkowski CB, de Oliveira Manoel AL, Dos Reis MM, Puppo C, Worm PV, Zambonin D et al (2019) Early transcranial Doppler evaluation of cerebral autoregulation independently predicts functional outcome after aneurysmal subarachnoid hemorrhage. Neurocrit Care 31(2):253–262CrossRef
61.
Zurück zum Zitat Budohoski KP, Czosnyka M, Smielewski P, Varsos GV, Kasprowicz M, Brady KM et al (2016) Monitoring cerebral autoregulation after subarachnoid hemorrhage. Acta Neurochir Suppl 122:199–203CrossRef
62.
Zurück zum Zitat Salinet AS, Silva NC, Caldas J, de Azevedo DS, de- Lima-Oliveira M, Nogueira RC et al (2018) Impaired cerebral autoregulation and neurovascular coupling in middle cerebral artery stroke: influence of severity? J Cereb Blood Flow Metab:271678X18794835
63.
Zurück zum Zitat Caldas JR, da Passos RH, Robinson TG, Panerai RB, Minhas JS (2020) Intensive care management of arterial carbon dioxide in acute intracerebral haemorrhage: Case report of influences on cerebral haemodynamics. Ultrasound 28(4):260–265. https://doi.org/10.1177/1742271X20903753CrossRef
64.
Zurück zum Zitat Caldas JR, Panerai RB, Bor-Seng-Shu E, Ferreira GSR, Camara L, Passos RH et al (2019) Dynamic cerebral autoregulation: a marker of post-operative delirium? Clin Neurophysiol 130(1):101–108CrossRef
65.
Zurück zum Zitat Caldas J, Passos R, Sancho L, Rosa Ramos JG, Panerai RB (2022) Monitoring cerebral hemodynamics in COVID-19 patients in the prone position. J Crit Care 70:154055CrossRef
66.
Zurück zum Zitat Tas J, Beqiri E, van Kaam RC, Czosnyka M, Donnelly J, Haeren RH et al (2021) Targeting autoregulation-guided cerebral perfusion pressure after traumatic brain injury (COGiTATE): a feasibility randomized controlled clinical trial. J Neurotrauma 38(20):2790–2800CrossRef
67.
Zurück zum Zitat Bouzat P, Almeras L, Manhes P, Sanders L, Levrat A, David JS et al (2016) Transcranial Doppler to predict neurologic outcome after mild to moderate traumatic brain injury. Anesthesiology 125(2):346–354CrossRef
68.
Zurück zum Zitat Martin NA, Patwardhan RV, Alexander MJ, Africk CZ, Lee JH, Shalmon E et al (1997) Characterization of cerebral hemodynamic phases following severe head trauma: hypoperfusion, hyperemia, and vasospasm. J Neurosurg 87(1):9–19CrossRef
69.
Zurück zum Zitat Perrein A, Petry L, Reis A, Baumann A, Mertes P, Audibert G (2015) Cerebral vasospasm after traumatic brain injury: an update. Minerva Anestesiol 81(11):1219–1228
70.
Zurück zum Zitat Ract C, Le Moigno S, Bruder N, Vigué B (2007) Transcranial Doppler ultrasound goal-directed therapy for the early management of severe traumatic brain injury. Intensive Care Med 33(4):645–651CrossRef
71.
Zurück zum Zitat Bouzat P, Oddo M, Payen JF (2014) Transcranial Doppler after traumatic brain injury: is there a role? Curr Opin Crit Care 20(2):153–160CrossRef
72.
Zurück zum Zitat Grosset DG, Straiton J, du Trevou M, Bullock R (1992 May) Prediction of symptomatic vasospasm after subarachnoid hemorrhage by rapidly increasing transcranial Doppler velocity and cerebral blood flow changes. Stroke 23(5):674–679CrossRef
73.
Zurück zum Zitat Manara AR, Thomas I (2020) Current status of organ donation after brain death in the UK. Anaesthesia 75(9):1205–1214CrossRef
74.
Zurück zum Zitat Chang JJ, Tsivgoulis G, Katsanos AH, Malkoff MD, Alexandrov AV (2016) Diagnostic accuracy of transcranial Doppler for brain death confirmation: systematic review and meta-analysis. AJNR Am J Neuroradiol 37(3):408–414CrossRef
75.
Zurück zum Zitat Lange MC, Zétola VHF, Miranda-Alves M, Moro CHC, Silvado CE, Rodrigues DLG et al (2012) Brazilian guidelines for the application of transcranial ultrasound as a diagnostic test for the confirmation of brain death. Arq Neuro-Psiquiatr 70:373–380CrossRef
76.
Zurück zum Zitat Kasapoğlu US, Haliloğlu M, Bilgili B, Cinel İ (2019) The role of transcranial Doppler ultrasonography in the diagnosis of brain death. Turk J Anaesthesiol Reanim 47(5):367–374CrossRef
77.
Zurück zum Zitat Westphal GA, Veiga VC, Franke CA (2019) Diagnosis of brain death in Brazil. Rev Bras Ter Intensiva 31(3):403–409CrossRef
78.
Zurück zum Zitat Vincent JL, De Backer D (2013) Circulatory shock. N Engl J Med. 369(18):1726–1734CrossRef
79.
Zurück zum Zitat Blanch L, Quintel M (2017) Lung-brain cross talk in the critically ill. Intensive Care Med 43(4):557–559CrossRef
80.
Zurück zum Zitat Huang M, Gedansky A, Hassett CE, Price C, Fan TH, Stephens RS et al (2021) Pathophysiology of brain injury and neurological outcome in acute respiratory distress syndrome: a scoping review of preclinical to clinical studies. Neurocrit Care 35(2):518–527CrossRef
81.
Zurück zum Zitat Robba C, Crippa IA, Taccone FS (2018) Septic encephalopathy. Curr Neurol Neurosci Rep 18(12):82CrossRef
82.
Zurück zum Zitat Caldas JR, Passos RH, Ramos JGR, Ramalho C, Sancho LS, Salinet AM et al (2020) Dynamic autoregulation is impaired in circulatory shock. Shock 54(2):183–189CrossRef
83.
Zurück zum Zitat Crippa IA, Subirà C, Vincent JL, Fernandez RF, Hernandez SC, Cavicchi FZ et al (2018) Impaired cerebral autoregulation is associated with brain dysfunction in patients with sepsis. Crit Care 22(1):327CrossRef
84.
Zurück zum Zitat de Azevedo DS, Salinet ASM, de Lima OM, Teixeira MJ, Bor-Seng-Shu E, de Carvalho NR (2017) Cerebral hemodynamics in sepsis assessed by transcranial Doppler: a systematic review and meta-analysis. J Clin Monit Comput 31(6):1123–1132CrossRef
85.
Zurück zum Zitat Shoskes A, Whitman G, Cho SM (2021) Neurocritical care of mechanical circulatory support devices. Curr Neurol Neurosci Rep 21(5):20CrossRef
86.
Zurück zum Zitat Caldas JR, Panerai RB, Passos R, Hajjar LA (2020) Is there still a place for transcranial Doppler in patients with IABP? Crit Care 24(1):625CrossRef
87.
Zurück zum Zitat Caldas JR, Panerai RB, Bor-Seng-Shu E, Ferreira GSR, Camara L, Passos RH et al (2019) Intra-aortic balloon pump does not influence cerebral hemodynamics and neurological outcomes in high-risk cardiac patients undergoing cardiac surgery: an analysis of the IABCS trial. Ann Intensive Care 9(1):130CrossRef
88.
Zurück zum Zitat Fan TH, Hassett CE, Migdady I, Price C, Choi CW, Katzan I et al (2021) How are we monitoring brain injuries in patients with left ventricular assist device? A systematic review of literature. ASAIO J 67(2):149–156CrossRef
89.
Zurück zum Zitat Cho SM, Ziai W, Mayasi Y, Gusdon AM, Creed J, Sharrock M et al (2020) Noninvasive neurological monitoring in extracorporeal membrane oxygenation. ASAIO J 66(4):388–393CrossRef
90.
Zurück zum Zitat Claassen JAHR, Thijssen DHJ, Panerai RB, Faraci FM (2021) Regulation of cerebral blood flow in humans: physiology and clinical implications of autoregulation. Physiol Rev 101(4):1487–1559CrossRef
91.
Zurück zum Zitat Dias C, Silva MJ, Pereira E, Monteiro E, Maia I, Barbosa S et al (2015 Aug) Optimal cerebral perfusion pressure management at bedside: a single-center pilot study. Neurocrit Care 23(1):92–102CrossRef

Neu im Fachgebiet AINS

Acht Empfehlungen zur perioperativen Nüchternheit

Lange Nüchternzeiten vor einer OP können unerwünschte gesundheitliche Konsequenzen haben. Ein multidisziplinäres internationales Team hat deswegen in einem Delphi-Prozess acht Empfehlungen formuliert, die die perioperative Versorgung verbessern sollen.

Krebs: Viel Schmerz am Lebensende

Das Gros der Krebspatientinnen und -patienten leidet in der letzten Lebenswoche an Schmerzen, wobei die Belastung bei bestimmten Entitäten besonders hoch ist. Das zeigt eine große Registerdatenanalyse aus Schweden. Wurden Schmerzen strukturiert erfasst, stieg die Chance, diese vollständig zu lindern.      

Kein Schreien, kein Trinken – dann wird’s kritisch bei Säuglingen mit Infekten

Welche klinischen Zeichen sprechen bei Säuglingen in den ersten zwei Lebensmonaten für eine Sepsis? Einer Metaanalyse von 52 Studien zufolge besteht Lebensgefahr vor allem dann, wenn die Kinder nur noch schwach oder gar nicht schreien und kaum noch Nahrung akzeptieren.

Fremdkörperentfernung allein reicht nicht

Wenn ein Speiserest die Atemwege blockiert, zählt jede Minute. Um gravierende neurologische Schäden zu vermeiden, sollten vor allem ältere Menschen in die Notaufnahme gebracht werden – selbst wenn der Übeltäter bereits entfernt wurde. Das verdeutlicht eine Studie aus Japan.

e.Med Anästhesiologie - Alles drin für Ihr Fortbildungsziel ​ (Link öffnet in neuem Fenster)

Mit unserem e.Med Abo Anästhesiologie haben Sie jederzeit Zugriff auf aktuelles, ​praxisnahes Fachwissen – kompakt und einfach verfügbar. Jetzt CME-Punkte bequem online sammeln.

Update AINS

Bestellen Sie unseren Fach-Newsletter und bleiben Sie gut informiert.

Bildnachweise
Frau mit Schnabeltasse im Krankenhausbett/© bilderstoeckchen / stock.adobe.com (Symbolbild mit Fotomodell), Person hält die Hand eines Krebspatienten im Bett/© Photographee.eu / stock.adobe.com (Symbolbild mit Fotomodell), Schreiendes Baby/© AzmanL / Getty Images / iStock (Symbolbild mit Fotomodell), e.Med Anästhesiologie