Zum Inhalt
Die Dermatologie

Porokeratosis ptychotropica mit mykotischer Superinfektion bei einem 68-jährigen Mann

download
DOWNLOAD
print
DRUCKEN
insite
SUCHEN

Zusammenfassung

Die Porokeratosis ptychotropica stellt eine sehr seltene Unterform der Porokeratosen, einer heterogenen Gruppe erblicher Verhornungsstörungen, dar. Es kommt zu verrukösen, großflächigen, hyperkeratotischen Plaques in der Perigenital‑, Gluteal- und Inguinalregion. Histologisch weisen die Porokeratosen eine pathognomonische Veränderung auf, die sog. kornoide Lamelle. Die Behandlungsergebnisse sind meist enttäuschend und mit hohen Rezidivraten verbunden.
QR-Code scannen & Beitrag online lesen

Hinweis des Verlags

Der Verlag bleibt in Hinblick auf geografische Zuordnungen und Gebietsbezeichnungen in veröffentlichten Karten und Institutsadressen neutral.

Anamnese

Wir berichten über den Fall eines 68-jährigen Patienten, der sich mit einer seit ca. 40 Jahren bestehenden Hautveränderung am Gesäß vorstellte.
Der Patient berichtete, dass sich die Hautveränderung über die Jahre langsam nach peripher ausgebreitet hätte. Er klagte über starken Juckreiz und ein brennendes Gefühl beim Sitzen im Bereich der Läsion. Der Patient hatte keine Vorerkrankungen und keine bekannten Allergien. Die Familienanamnese bezüglich Hauterkrankungen war negativ. Auslandsaufenthalte vor Auftreten der Veränderung sowie der Kontakt zu Tieren wurden verneint.

Untersuchung

Bei der körperlichen Untersuchung fanden sich an beiden Gesäßhälften nahezu symmetrische, livid-erythematöse, scharf begrenzte, verruköse Plaques mit Randbetonung und gelblicher Schuppung sowie wenigen peripheren Satellitenherden (Abb. 1a).
Abb. 1
a Klinisches Bild: an beiden Gesäßhälften nahezu symmetrische, livid-erythematöse, scharf begrenzte, verruköse Plaques mit Randbetonung und gelblicher Schuppung sowie wenigen peripheren Satellitenherden. b Klinisches Bild nach abgeschlossener antimykotischer Therapie: deutliche Regredienz der Hyperkeratosen
Bild vergrößern
Das restliche Integument, die Mund- und Genitalschleimhaut sowie die Kopfhaut zeigten keine Auffälligkeiten.

Diagnostik

Die mykologische Multiplex-real-time-PCR(Polymerasekettenreaktion)-Untersuchung der Schuppen von gluteal zeigte sich positiv für Trichophyton rubrum.
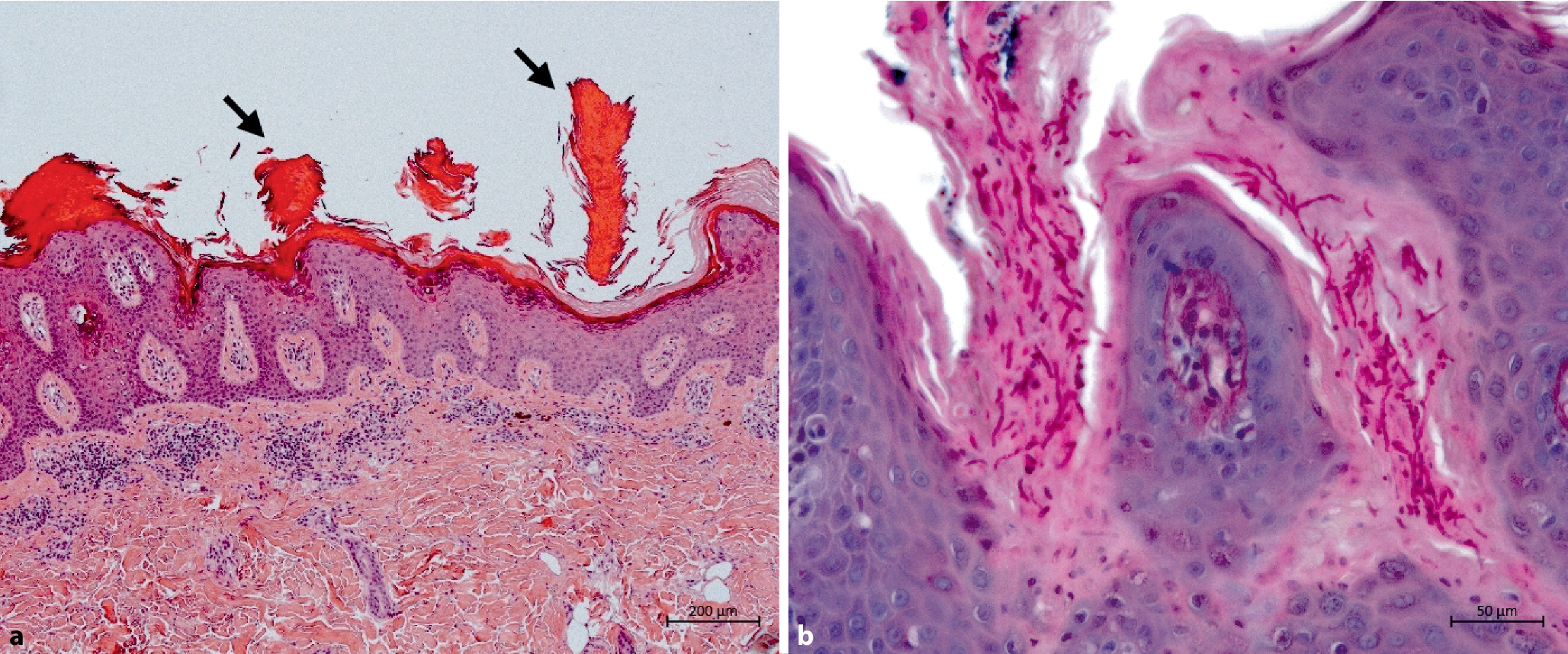
Wir führten eine Stanzbiopsie vom Randbereich der Läsion durch, wobei sich histologisch zahlreiche sog. kornoide Lamellen (Hyperparakeratosesäulen, die in grübchenartigen Vertiefungen der Epidermis verankert sind) nachweisen ließen (Abb. 2a). In der Alcian-PAS(Periodic-Acid-Schiff)-Färbung imponierten zahlreiche Pilzhyphen in der Hornschicht (Abb. 2b).
Abb. 2
a Hautbiopsat von gluteal: zahlreiche Säulen bzw. schlotartig angeordnete Hyperparakeratosestreifen (schwarze Pfeile), die in grübchenartigen Vertiefungen der Epidermis verankert sind, die sog. kornoiden Lamellen (Hämatoxylin-Eosin-Färbung, Originalvergrößerung 50:1, Maßstabbalken = 200 µm). b In der Alcian-PAS(Periodic-Acid-Schiff)-Färbung zeigen sich zahlreiche Pilzhyphen, betont im Bereich der kornoiden Lamellen
Bild vergrößern

Diagnose

  • Porokeratosis ptychotropica mit mykotischer Superinfektion

Therapie und Verlauf

Es wurden eine orale antimykotische Therapie mit Terbinafin 250 mg pro Tag über 4 Wochen sowie eine begleitende Lokaltherapie mit Ciclopirox-haltiger Creme 1‑mal täglich im Wechsel mit Calcipotriol-Creme 1‑mal täglich eingeleitet. Darunter kam es bei dem Patienten zu einer Regredienz der Hyperkeratosen (Abb. 1b). Die anschließend erfolgte mykologische Multiplex-PCR zeigte sich negativ. Das Ansprechen auf eine orale Retinoidtherapie bleibt abzuwarten.

Diskussion

Die Porokeratosen umfassen eine heterogene Gruppe seltener, autosomal-dominant erblicher Verhornungsstörungen. Sie sind durch eine charakteristische gemeinsame Morphologie gekennzeichnet. Typisch sind nummuläre, zentral oft atrophe Papeln bis Plaques mit wallartigem Rand [1]. Es wird eine langsame, zentrifugale Ausbreitung der Hautveränderungen ohne Spontanheilungstendenz beschrieben. Histologisch weisen die Porokeratosen eine pathognomonische Veränderung auf, die als kornoide Lamelle bezeichnet wird. Die kornoide Lamelle zeigt eine säulenartige Parakeratose über einer fokalen Hypogranulose, häufig unterlegt von Dyskeratosen im Stratum spinosum und granulosum. Dies reflektiert eine gestörte terminale Keratinozytendifferenzierung [2]. Es sind mehrere Hauptformen der Porokeratosen bekannt, hierunter die klassische Porokeratosis Mibelli, die Porokeratosis palmaris, plantaris et disseminata und die Gruppe der disseminierten superfiziellen aktinischen Porokeratosen [1].
Die Porokeratosis ptychotropica (PP) gilt als eine der seltensten klinischen Varianten der Porokeratose und ist bislang nur in wenigen Fallberichten und kleinen Fallserien beschrieben worden [3]. Prädilektionsstellen sind die Perigenital‑, Gluteal- und Inguinalregion. Klinisch imponieren bei dieser Unterform großflächige, verruköse, hyperkeratotische Plaques mit ausgeprägtem Juckreiz. Betroffen sind v. a. Männer mittleren Alters. Eine Abgrenzung zu relevanten Differenzialdiagnosen wie Psoriasis, Lichen ruber oder chronischem Ekzem stellt häufig eine klinische Herausforderung dar [3, 4].
Der Entstehung von Porokeratosen liegt eine klonale Expansion atypischer Keratinozyten zugrunde. Molekulargenetische Studien der letzten Jahre haben gezeigt, dass bei vielen Formen Mutationen im Mevalonat-Stoffwechselweg nachweisbar sind. Diese führen zu einer gestörten Cholesterin- und Isoprenoid-Biosynthese und damit zu einer fehlerhaften terminalen Differenzierung der Keratinozyten. Das pathophysiologische Modell des „Two-Hit“-Prinzips wird zunehmend unterstützt. Demnach schafft eine Keimbahnmutation eine genetische Prädisposition, während ein somatisches Ereignis (z. B. UV-induzierte DNA[Desoxyribonukleinsäure]-Schädigung) zur klinischen Manifestation führt [5, 6].
Neben genetischen Faktoren spielen auch exogene und endogene Kofaktoren eine wichtige Rolle. Hierzu zählen Immunsuppression (u. a. nach Organtransplantation), UV-Exposition, bestimmte Medikamente (z. B. Hydroxyurea, Thiaziddiuretika, TNF[Tumornekrosefaktor]-α-Inhibitoren) sowie virale Infektionen (z. B. HCV [Hepatitis-C-Virus], HPV [humane Papillomviren], HSV [Herpes-simplex-Virus]). Auch systemische Erkrankungen wie rheumatologische Autoimmunerkrankungen, hämatologische Neoplasien und solide Tumoren sind mit einem erhöhten Risiko für Porokeratosen assoziiert. Diese Faktoren scheinen die klonale Expansion mutierter Keratinozyten zu fördern und damit die Krankheitsentstehung zu begünstigen [2].
Für nahezu alle Typen der Porokeratosen sind Fälle der malignen Entartung beschrieben. Vor allem bei großflächigen Herden mit langjährigem Bestehen konnte der Übergang in einen Morbus Bowen, ein Plattenepithelkarzinom oder ein Basalzellkarzinom beobachtet werden. Der Prozess der malignen Entartung bei der PP ist sehr selten, in der Literatur findet sich bisher nur ein einziger Fall [7].
Die Behandlungsergebnisse der Porokeratosen sind in den meisten Fällen enttäuschend, geprägt von schlechtem Ansprechen und hohen Rezidivraten.
Es gibt keine internationalen Therapieleitlinien. Die Therapieempfehlungen basieren auf Fallberichten/-serien, und die Entscheidung richtet sich nach der Variante und der Ausbreitung. Ein Vorgehen nach dem „watch-and-wait approach“ unter angemessenem Sonnenschutz und regelmäßiger, langfristiger Nachsorge ist eine gute Option für asymptomatische Patienten [2]. Die Therapieoptionen bei der PP reichen von topischen Steroiden und Immunmodulatoren über topische sowie orale Retinoide, PDT(photodynamische Therapie)-Behandlung, CO2(Kohlenstoffdioxid)-Laser, Dermabrasio bis hin zur Exzision [4]. Ein aktueller Fallbericht beschreibt eine erfolgreiche Therapie der PP mit dem JAK(Januskinase)-1-Inhibitor Abrocitinib [8]. In jüngster Vergangenheit haben sich topisches Simvastatin sowie die Kombination aus topischem Cholesterin und Simvastatin als effektive, lang anhaltende und gut verträgliche Therapieoption bei Patienten mit PP erwiesen [9]. Eine Kombination aus pathogeneseorientierter Lokaltherapie mit ablativen Maßnahmen mittels Dermabrasio bei ausgedehnten hyperkeratotischen Plaques wurden an unserem Zentrum klinisch erfolgreich eingesetzt.

Fazit für die Praxis

  • Der Fall des hier vorgestellten Patienten verdeutlicht, dass bei langjährig bestehenden, therapierefraktären Psoriasis-ähnlichen Plaques in der Glutealregion auch an seltene Erkrankungen wie die Porokeratosis ptychotropica (PP) gedacht werden sollte.
  • Die Gewinnung einer Probebiopsie vom Randbereich der Hautveränderung kann durch die spezifische Histologie mit der sog. kornoiden Lamelle entscheidend zur Diagnosestellung beitragen.
  • Die Behandlung verläuft oft unbefriedigend. Neue pathogeneseorientierte Therapieansätze bieten womöglich vielversprechende Perspektiven und lassen auf positive Entwicklungen hoffen.
  • Eine mykotische Superinfektion der PP ist extrem selten, sollte jedoch bei entsprechendem Verdacht abgeklärt und behandelt werden.

Einhaltung ethischer Richtlinien

Interessenkonflikt

J. Roßner, A. Enk und F. Toberer geben an, dass kein Interessenkonflikt besteht.
Für diesen Beitrag wurden von den Autor/-innen keine Studien an Menschen oder Tieren durchgeführt. Für die aufgeführten Studien gelten die jeweils dort angegebenen ethischen Richtlinien. Für Bildmaterial oder anderweitige Angaben innerhalb des Manuskripts, über die Patient/-innen zu identifizieren sind, liegt von ihnen und/oder ihren gesetzlichen Vertretern/Vertreterinnen eine schriftliche Einwilligung vor.
Open Access Dieser Artikel wird unter der Creative Commons Namensnennung 4.0 International Lizenz veröffentlicht, welche die Nutzung, Vervielfältigung, Bearbeitung, Verbreitung und Wiedergabe in jeglichem Medium und Format erlaubt, sofern Sie den/die ursprünglichen Autor(en) und die Quelle ordnungsgemäß nennen, einen Link zur Creative Commons Lizenz beifügen und angeben, ob Änderungen vorgenommen wurden. Die in diesem Artikel enthaltenen Bilder und sonstiges Drittmaterial unterliegen ebenfalls der genannten Creative Commons Lizenz, sofern sich aus der Abbildungslegende nichts anderes ergibt. Sofern das betreffende Material nicht unter der genannten Creative Commons Lizenz steht und die betreffende Handlung nicht nach gesetzlichen Vorschriften erlaubt ist, ist für die oben aufgeführten Weiterverwendungen des Materials die Einwilligung des jeweiligen Rechteinhabers einzuholen. Weitere Details zur Lizenz entnehmen Sie bitte der Lizenzinformation auf http://​creativecommons.​org/​licenses/​by/​4.​0/​deed.​de.

Hinweis des Verlags

Der Verlag bleibt in Hinblick auf geografische Zuordnungen und Gebietsbezeichnungen in veröffentlichten Karten und Institutsadressen neutral.

Unsere Produktempfehlungen

Die Dermatologie

Print-Titel

Aktuelle, praxisnahe Leitthemen verständlich aufbereitet

Von Allergologie bis Venerologie

Fortbildung für Klinik und Praxis

e.Med Interdisziplinär

Kombi-Abonnement

Für Ihren Erfolg in Klinik und Praxis - Die beste Hilfe in Ihrem Arbeitsalltag

Mit e.Med Interdisziplinär erhalten Sie Zugang zu allen CME-Fortbildungen und Fachzeitschriften auf SpringerMedizin.de.

e.Dent – Das Online-Abo der Zahnmedizin

Online-Abonnement

Mit e.Dent erhalten Sie Zugang zu allen zahnmedizinischen Fortbildungen und unseren zahnmedizinischen und ausgesuchten medizinischen Zeitschriften.

Weitere Produktempfehlungen anzeigen
download
DOWNLOAD
print
DRUCKEN
Titel
Porokeratosis ptychotropica mit mykotischer Superinfektion bei einem 68-jährigen Mann
Verfasst von
Jana Roßner
Alexander Enk
Ferdinand Toberer
Publikationsdatum
10.10.2025
Verlag
Springer Medizin
Erschienen in
Die Dermatologie
Print ISSN: 2731-7005
Elektronische ISSN: 2731-7013
DOI
https://doi.org/10.1007/s00105-025-05594-x
1.
Zurück zum Zitat Williams GM, Dreyer MA, Fillman EP (2025) Porokeratosis. In: StatPearls, Bd. 2025. Treasure Island (FL): StatPearls Publishing, (https://​www.​ncbi.​nlm.​nih.​gov/​books/​NBK532290/​?​report=​classic)
2.
Zurück zum Zitat Vargas-Mora P, Molina-Ruiz AM, Requena L (2020) Porokeratosis: A review of its pathophysiology, clinical manifestations, diagnosis, and treatment. Actas Dermosifiliogr 111(5):407–417
3.
Zurück zum Zitat Thomas MT, Boj SJ, Pradhan D, Lobo FD, Pai MR (2024) Perianal and scrotal porokeratosis ptychotropica: Case report of an unusual condition and review of the literature. Actas Dermosifiliogr 115(6):580–583
4.
Zurück zum Zitat Bartley BR, Maldonado DR, Mays S, Rapini RP (2025) Expanding the clinical spectrum of porokeratosis ptychotropica. Cureus 17(3):e78234
5.
Zurück zum Zitat Atzmony L, Li M, Thareja S, Ramon M, Requena L, Requena C et al (2019) Second-hit somatic mutations in mevalonate pathway genes underlie porokeratosis. J Invest Dermatol 139(12):2409–2411CrossRefPubMedPubMedCentral
6.
Zurück zum Zitat Pietkiewicz P, Skibińska M, Sobolewska-Szymańska B, Wcisło-Dziadecka D (2023) Porokeratoses: A comprehensive review on the genetics, pathogenesis, histopathology, and treatment of rare keratinization disorders. Metabolites 13(12):1176CrossRefPubMedPubMedCentral
7.
Zurück zum Zitat Loh CH, Tan CL, Tan KB, Sudhoff H, Goon P (2024) Malignant transformation in porokeratosis ptychotropica: A systematic review. Acta Derm Venereol 104:e331CrossRef
8.
Zurück zum Zitat Zhang X, Zhang Y, Lv C, Zou Q, Zhou K (2024) Successful treatment of porokeratosis ptychotropica with abrocitinib. Int J Dermatol 63(8):1072–1075
9.
Zurück zum Zitat Chen Z, Liu Y, Yu H, Li J, Huang X, Xiang R, Mo R, Chen H, Yang Y (2025) Safety and efficacy of topical simvastatin plus cholesterol cream versus topical simvastatin cream alone for porokeratosis ptychotropica: A randomized, single-blind, split-body, placebo-controlled, investigator-initiated trial. J Am Acad Dermatol 92(2):391–399

Kompaktes Leitlinien-Wissen Dermatologie (Link öffnet in neuem Fenster)

Mit medbee Pocketcards schnell und sicher entscheiden.
Leitlinien-Wissen kostenlos und immer griffbereit auf ihrem Desktop, Handy oder Tablet.

Neu im Fachgebiet Dermatologie

STIKO ändert Empfehlung zur Herpes zoster-Impfung

Menschen mit erhöhtem Risiko, an Herpes zoster zu erkranken, empfiehlt die STIKO nun, sich bereits ab 18 statt ab 50 Jahren mit dem Totimpfstoff Shingrix impfen zu lassen.

Bildgebung in der Nachsorge von Melanomen womöglich nutzlos?

Verschiedene Leitlinien zum Melanom, darunter die deutsche, empfehlen in der Nachsorge von Patienten mit hohem Rückfallrisiko, die Betroffenen routinemäßig einer Schnittbildgebung zu unterziehen. Wie nützlich das ist, soll die TRIM-Studie herausfinden.

Nagelverfärbungen als Indikatoren systemischer Erkrankungen

Veränderungen der Nagelfarbe und der Gefäßstruktur des Nagelbetts können frühe Anzeichen systemischer Erkrankungen sein. Eine aktuelle Übersichtsarbeit fasst die wichtigsten klinischen Befunde zusammen und erläutert deren diagnostische Relevanz für die ärztliche Praxis.

Podcast

Frailty: Funktionalität erhalten – aber wie?

Ab 60 Jahren in die Muckibude? Häufiger ein Frühstücksei im Alter? Zurückhaltung bei der Blutdruckregulation? Persönlich wie auch fachlich besprechen Markus M. Lerch und Cornel Sieber die Besonderheiten bei Prävention und Therapien im Alter. Und was es eigentlich bedeutet, gebrechlich – also frail – zu sein.

Deutsche Gesellschaft für Innere Medizin

Update Dermatologie

Bestellen Sie unseren Fach-Newsletter und bleiben Sie gut informiert.

Bildnachweise
Porokeratosis ptychotropica am Hintern/© Roßner J et al. doi.org/10.1007/s00105-025-05594-x unter CC-BY 4.0, Die Leitlinien für Ärztinnen und Ärzte, Herpes Zoster am Rücken/© Mumemories / Getty Images / iStock (Symbolbild mit Fotomodell), DGIM Podcast-Reihe - Frailty/© (M) David L / peopleimages.com / Stock.adobe.com (Symbolbild mit Fotomodell)