Zum Inhalt

Postictal petechiae caused by hyponatremia

  • 02.07.2025
  • Images in Nephrology
Erschienen in:

Auszug

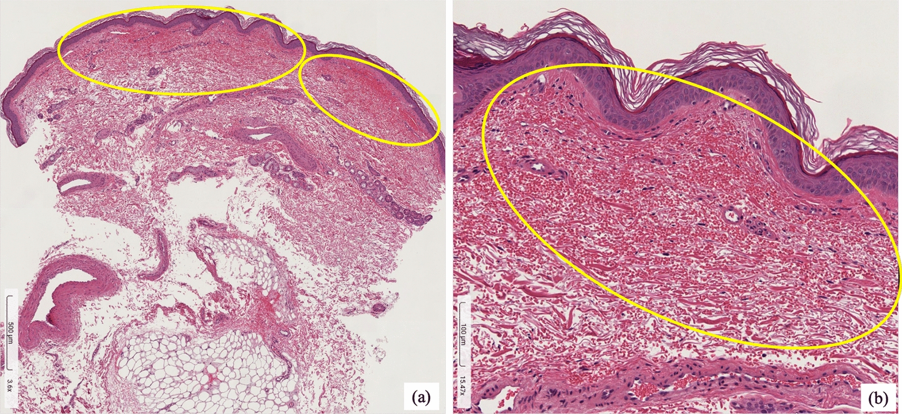
A 46-year-old man with schizophrenia presented with seizures and coma, without newly introduced medications. Physical examination revealed petechiae—some raised and confluent—on the chest, abdomen, and thighs (Fig. 1). Laboratory investigations showed a platelet count of 18.9 × 104/μL, serum sodium of 111 mEq/L, creatinine of 0.48 mg/dL, PT-INR of 0.96, APTT of 31.9 s, and fibrinogen of 250 mg/dL. The patient was diagnosed with symptomatic hyponatremia secondary to water intoxication. Petechiae gradually resolved as sodium levels normalized. Skin biopsy demonstrated hemorrhage within the superficial dermis, without evidence of vasculitis (Fig. 2). While petechiae are typically associated with coagulopathies, coagulation parameters were within normal limits, and there was no history of trauma. Postictal petechiae, attributed to mechanical stress from sustained muscle contraction during seizures, are usually observed on the face and upper torso [1, 2]. In this case, petechiae also involved the lower extremities. Postictal petechiae should be considered when evaluating cases of petechiae with unclear etiology.
Fig. 1
Elevated purpuric lesions were observed on the chest, abdomen, and thighs
Bild vergrößern
Fig. 2
Histopathological examination revealed erythrocyte extravasation in the subcutaneous tissue (circle), consistent with subcutaneous hemorrhage. There was no evidence of vasculitis, such as inflammatory cell infiltration or fibrinoid necrosis
Bild vergrößern
Titel
Postictal petechiae caused by hyponatremia
Verfasst von
Daichi Yomogida
Shinjiro Horikawa
Yoshinao Koshida
Publikationsdatum
02.07.2025
Verlag
Springer Nature Singapore
Erschienen in
Clinical and Experimental Nephrology / Ausgabe 11/2025
Print ISSN: 1342-1751
Elektronische ISSN: 1437-7799
DOI
https://doi.org/10.1007/s10157-025-02724-6
Dieser Inhalt ist nur sichtbar, wenn du eingeloggt bist und die entsprechende Berechtigung hast.

Kompaktes Leitlinien-Wissen Innere Medizin (Link öffnet in neuem Fenster)

Mit medbee Pocketcards schnell und sicher entscheiden.
Leitlinien-Wissen kostenlos und immer griffbereit auf ihrem Desktop, Handy oder Tablet.

Neu im Fachgebiet Innere Medizin

Ist die Mundmikrobiota mit Pankreaskrebs assoziiert?

In einer Kohortenstudie wurde ein Zusammenhang zwischen oralen Bakterien und Pilzen und dem Auftreten von Pankreaskarzinomen gesehen. Diese Assoziation könnte helfen, Patientinnen und Patienten für gezielte Vorsorgeuntersuchungen ausfindig zu machen.

Herzstillstand beim Marathon: Die letzten Meter sind die gefährlichsten!

Ein Team aus Frankreich hat Fälle von plötzlichem Herzstillstand während des Paris-Marathons ausgewertet. In fast 90% waren Männer betroffen, und zwar überwiegend auf dem letzten Kilometer vor dem Ziel.

BMI-angepasste NT-proBNP-Schwelle bringt keinen Nutzen

Patienten mit Adipositas weisen erniedrigte Spiegel des N-terminalen pro-B-Typ-natriuretischen Peptids (NT-ProBNP) auf. Ob sich das auf die NT-proBNP-gestützte Diagnostik von Herzinsuffizienz auswirkt, haben britische Mediziner untersucht.

Herzinsuffizienz: die Top-Studien des Jahres 2025

Auch 2025 gab es wieder neue Studien, deren Ergebnisse zu einer Optimierung der symptomatischen und prognoseverbessernden Therapie bei Patienten mit Herzinsuffizienz in der Praxis beitragen könnten.

Update Innere Medizin

Bestellen Sie unseren Fach-Newsletter und bleiben Sie gut informiert.

Bildnachweise
Die Leitlinien für Ärztinnen und Ärzte, Eine Speichelprobe wird entnommen/© Animaflora PicsStock / stock.adobe.com (Symbolbild mit Fotomodell), Menschen bei einer Laufveranstaltung/© TeamDaf / stock.adobe.com (Symbolbild mit Fotomodellen), Ärztin spricht mit Patienten/© Robert Kneschke / stock.adobe.com (Symbolbild mit Fotomodellen)