Zum Inhalt
Kardiologie Prävention und Rehabilitation in der Kardiologie

Prävention und Rehabilitation in der Kardiologie

Frailty: Funktionalität erhalten – aber wie? (Link öffnet in neuem Fenster)

Ab 60 Jahren in die Muckibude? Häufiger ein Frühstücksei im Alter? Zurückhaltung bei der Blutdruckregulation? Persönlich wie auch fachlich besprechen Markus M. Lerch und Cornel Sieber die Besonderheiten bei Prävention und Therapien im Alter. Und was es eigentlich bedeutet, gebrechlich – also frail – zu sein.

Prof. Dr. med. Cornel Sieber
Prof. Dr. med. Markus M. Lerch
jetzt anhören
Podcast

Kasuistiken

Tipps zur Rehabilitation von Arm-Hand-Paresen nach Schlaganfall

Die Kontrolle von Willkürbewegungen in den ersten Tagen nach Schlaganfall hat sich als bedeutsamer prognostischer Faktor erwiesen. Der Neurorehabilitation kommt somit eine zentrale Rolle zu. Wichtig sind dabei individuelle Ziele und eine stetige Anpassung der Therapie, wie zwei Fallbeispiele verdeutlichen.

Weitere Artikel aus unseren Fachzeitschriften

Single Pill – was ist gesichert und wie sieht die Wirklichkeit aus?

Der Einsatz von Single Pills, also Kombinationstherapien mit einer einzigen Tablette, wird unterstützt durch Untersuchungen zur Therapieadhärenz und mittlerweile auch durch Studien zu kardiovaskulären Endpunkten. In der vorliegenden Übersicht sollen diese Entwicklungen kritisch diskutiert werden.

Blutdruckziel unter 130/80 mmHg: Die Evidenz wird robuster

In den aktuellen Hypertonie-Leitlinien der nationalen und europäischen Fachgesellschaften ist es unbestritten, dass Menschen mit Blutdruckwerten > 140/90 mmHg behandelt werden sollten. Damit stellt sich automatisch die essenzielle Frage nach dem Zielblutdruck: Welcher Wert sollte angestrebt werden?

Nie zu früh: Screening auf familiäre Hypercholesterinämie

Der Vater des siebenjährigen Henri starb mit 42 unerwartet an einem Herzinfarkt. Beide teilen eine genetische Besonderheit: die familiäre Hypercholesterinämie. Doch Henri hat eine Chance, die sein Vater nie hatte. Durch ein frühzeitiges Screening konnte die Erkrankung rechtzeitig erkannt und behandelt werden.

So gehen Sie dem Verdacht auf eine KHK nach

Ein großer Teil der häufig überraschenden Todesfälle durch die chronisch ischämische Herzkrankheit wäre vermeidbar. Auf welche Anzeichen sollten Sie achten und welche diagnostischen Verfahren stehen zur Verfügung, um einem Verdacht möglichst schnell nachzugehen? Dieser Beitrag fasst das Vorgehen Schritt für Schritt zusammen.

Wer profitiert vom Check-Up für junge Erwachsene?

Von den gesetzlichen Krankenkassen wird ein Check-up bereits für 18-Jährige angeboten. Was auf den ersten Blick überflüssig erscheint, kann für bestimmte Patientengruppen auf lange Sicht jedoch durchaus nützlich sein. Im Beitrag erfahren Sie, auf welche Personen Sie – insbesondere in Zeiten von immer knapper werdenden Ressourcen – Ihr Augenmerk lenken sollten.

Was machen Umweltstressoren mit der kardiovaskulären Gesundheit?

Luftverschmutzung, Lärm, künstliches Licht in der Nacht und der Klimawandel – welchen Einfluss haben diese Umweltstressoren auf unser Herz-Kreislauf-System? Dieser Übersichtsbeitrag fasst die Epidemiologie und Pathophysiologie zusammen und diskutiert Lösungsansätze.

Kardiovaskuläre Prävention im Alter: Das Potential wird nicht ausgeschöpft

Die klassischen kardiovaskulären Risikofaktoren erklären mehr als die Hälfte der kardiovaskulären Erkrankungen. Die Assoziation wird zwar im hohen Alter schwächer, aber die Behandlung bleibt effektiv. Welche Empfehlungen geben die Fachgesellschaften?

Lipidmanagement bei Patienten mit HIV

  • HIV
  • Übersichtsartikel

Patienten mit HIV-Krankheiten haben ein erhöhtes Risiko für atherosklerosebedingte kardiovaskuläre Krankheiten. Vor diesem Hintergrund empfehlen aktuelle Leitlinien ein proaktives Lipidmanagement, um das kardiovaskuläre Risiko zu minimieren.

Junger Sportler mit Herzproblemen unter Belastung — wie lautet Ihre Diagnose?

Ein 37-jähriger Mann stellt sich zur weiteren Abklärung thorakaler Beschwerden vor. Er ist schlank, sportlich und raucht 2-4 Zigaretten am Tag. Puls, Blutdruck und das Aufnahme-EKG sind unauffällig — nicht aber die Koronarangiografie.  

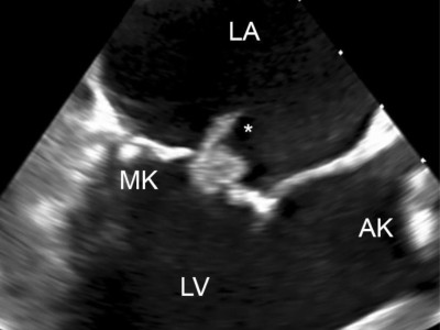
Endokarditisprophylaxe vor Zahnextraktion?

Ein 76-jähriger Patient, der vor zwei Jahren einen transfemoralen Aortenklappenersatz (TAVI) erhalten hat, stellt sich vor geplanter Zahnextraktion in der hausärztlichen Praxis vor. Ist hier eine Endokarditisprophylaxe angezeigt und wenn ja, wie sollte sie erfolgen?

Buchkapitel zum Thema

Programmierung

Wenn die Diagnosespeicher ausgelesen und die Tests für die Nachsorge durchgeführt sind, sollte unter Berücksichtigung des Patientenstatus und der Schrittmacherindikation überprüft werden, ob eine Anpassung oder Optimierung der programmierbaren …

Diagnosefunktionen

Herzschrittmacher verfügen über umfangreiche Speicher- und Diagnosefunktionen. Gespeicherte Daten liefern detaillierte Einblicke in die Funktionalität des Schrittmachers und geben Informationen über den Rhythmus des Patienten. Sie erlauben eine …

Komplikationen

Das Kapitel beschreibt die peri- und postoperativen Komplikationen unmittelbar nach dem Eingriff sowie die Komplikationen im Langzeitverlauf.

Troubleshooting

Die Funktionalität heutiger Schrittmachersysteme erlaubt neben der einfachen Impulsabgabe eine differenzierte Analyse von Rhythmusstörungen und eine automatische Begrenzung der ventrikulären Stimulationsfrequenz der Mehrkammersysteme bei atrialen …

Nicht gefunden, wonach Sie suchten?

Probieren Sie es mit der Suchfunktion:

Neu im Fachgebiet Kardiologie

Antisense-Medikament senkt Triglyzeride und Pankreatitis-Risiko

In zwei Phase-3-Studien zeigte eine Therapie mit dem Antisense-Oligonukleotid Olezarsen einen starken Triglyzerid-senkenden Effekt bei Betroffenen mit schwerer Hypertriglyzeridämie. Auch das Risiko für akute Pankreatitiden reduzierte sich.

Schützt Metformin vor Vorhofflimmern-Rezidiven?

Nach Vorhofflimmern-Ablation kann Metformin möglicherweise das Rezidiv-Risiko reduzieren. Dies deutet eine kleinere Studie an, bei Patienten und Patientinnen mit Adipositas, aber ohne Diabetes.

Triple-Agonist reduziert Triglyzeride und Leberfett

Bei sehr hohen Triglyzerid-Werten über 500 mg/dl steigt v.a. das Risiko einer akuten Pankreatitis, aber auch jenes für kardiovaskuläre Erkrankungen und Fettleber. Beim US-Herzkongress der American Heart Association wurden jetzt neue wirksame Therapieansätze präsentiert.

PCSK9-Hemmer funktioniert auch oral

Trotz guter Möglichkeiten zur Senkung des atherogenen LDL-Cholesterins sind viele Personen mit hohen Risiken unzureichend therapiert. Nun wurde ein oraler PCSK9-Inhibitor entwickelt, der sich in einer Phase-3-Studie wirksam und sicher zeigte.

EKG Essentials: EKG befunden mit System (Link öffnet in neuem Fenster)

In diesem CME-Kurs können Sie Ihr Wissen zur EKG-Befundung anhand von zwölf Video-Tutorials auffrischen und 10 CME-Punkte sammeln.
Praxisnah, relevant und mit vielen Tipps & Tricks vom Profi.

Update Kardiologie

Bestellen Sie unseren Fach-Newsletter und bleiben Sie gut informiert.

Bildnachweise
DGIM Podcast-Reihe - Frailty/© (M) David L / peopleimages.com / Stock.adobe.com (Symbolbild mit Fotomodell), Junge Frau misst Blutdruck bei älterer Frau/© CasarsaGuru / Getty Images / iStock (Symbolbild mit Fotomodellen), Ältere Dame nimmt Tabletten ein/© Satjawat / stock.adobe.com (Symbolbild mit Fotomodell), Älterer Mann schaut kritisch auf Tabletten/© Mediteraneo / stock.adobe.com (Symbolbild mit Fotomodell), Blutabnahme/© Grafvision / stock.adobe.com (Symbolbild mit Fotomodellen), Frau auf einem Laufband mit Elektroden am Oberkörper/© technotr / Getty Images / iStock (Symbolbild mit Fotomodell), Ältere Dame in Reha/© W PRODUCTION / stock.adobe.com (Symbolbild mit Fotomodellen), Arzt berät Patienten zu Pillen/© crizzystudio / stock.adobe.com (Symbolbild mit Fotomodell), Frau misst Blutdruck/© Microgen / stock.adobe.com (Symbolbild mit Fotomodell), Blutabnahme bei einem Jungen/© Kalim / Stock.adobe.com (Symbolbild mit Fotomodellen), CT-Koronarangiographie eines Patienten mit Plaque im RIVA/© Springer Medizin, Junge Patientin im Gespräch mit einer Ärztin/© FatCamera / Getty Images / iStock (Symbolbild mit Fotomodellen), Alte Frau hält Sportbälle in Fitnessstudio hoch/© Robert Kneschke / stock.adobe.com (Symbolbild mit Fotomodell), Lipidprofil/© gamjai / stock.adobe.com, Koronarangiografie der Herzkranzarterien/© S. Dörr, Bild einer Endokarditis der Mitralklappe/© C. Stremmel, Search Icon, Person hält Tablette und Glas/© bilderstoeckchen / stock.adobe.com (Symbolbild mit Fotomodell), Ultraschall bei einem älteren Patienten/© Alex Potemkin / Getty Images / iStock (Symbolbild mit Fotomodellen), EKG befunden mit System - EKG Essential/© Springer Medizin Verlag GmbH